JavaScript is disabled in your browser. Please enable JavaScript to view this website.
AB226162

Anti-Granzyme B antibody [EPR8260] - BSA and Azide free

Be the first to review this product! Submit a review

|

(0 Publication)

Anti-Granzyme B antibody [EPR8260] - BSA and Azide free (ab226162) is a rabbit recombinant monoclonal antibody provided in a PBS only buffer for easy conjugation detecting Granzyme B in Western Blot, Flow Cytometry, IHC-P. Suitable for Human.

- BSA, sodium azide, and glycerol-free for easy conjugation
- Biophysical QC for unrivalled batch-batch consistency

View Alternative Names

CGL1, CSPB, CTLA1, GRB, GZMB, Granzyme B, C11, CTLA-1, Cathepsin G-like 1, Cytotoxic T-lymphocyte proteinase 2, Fragmentin-2, Granzyme-2, Human lymphocyte protein, SECT, T-cell serine protease 1-3E, CTSGL1, Lymphocyte protease, HLP

5 Images
Immunohistochemistry (Formalin/PFA-fixed paraffin-embedded sections) - Anti-Granzyme B antibody [EPR8260] - BSA and Azide free (AB226162)
  • IHC-P

Unknown

Immunohistochemistry (Formalin/PFA-fixed paraffin-embedded sections) - Anti-Granzyme B antibody [EPR8260] - BSA and Azide free (AB226162)

Immunohistochemistry (Formalin/PFA-fixed paraffin-embedded sections) analysis of Human tonsil tissue sections labeling Granzyme B with Purified ab134933 at 1 : 250 dilution (2.96 μg/ml). Heat mediated antigen retrieval was performed using ab93684 (Tris/EDTA buffer, pH 9.0). ImmunoHistoProbe one step HRP Polymer (ready to use)was used as the secondary antibody. Negative control : PBS instead of the primary antibody. Hematoxylin was used as a counterstain.

This data was developed using the same antibody clone in a different buffer formulation containing PBS, BSA, glycerol, and sodium azide (ab134933).

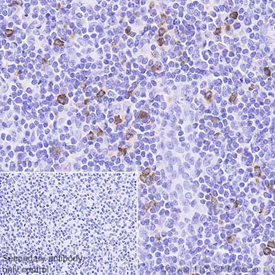
Immunohistochemistry (Formalin/PFA-fixed paraffin-embedded sections) - Anti-Granzyme B antibody [EPR8260] - BSA and Azide free (AB226162)
  • IHC-P

Unknown

Immunohistochemistry (Formalin/PFA-fixed paraffin-embedded sections) - Anti-Granzyme B antibody [EPR8260] - BSA and Azide free (AB226162)

Immunohistochemical analysis of paraffin-embedded, formalin-fixed Human Hodgkin's lymphoma tissue, labelling Granzyme B using unpurified ab134933 at a 1/100 dilution. Heat mediated antigen retrieval was performed with citrate buffer pH 6 before commencing with IHC staining protocol.

This data was developed using the same antibody clone in a different buffer formulation containing PBS, BSA, glycerol, and sodium azide (ab134933).

Flow Cytometry - Anti-Granzyme B antibody [EPR8260] - BSA and Azide free (AB226162)
  • Flow Cyt

Supplier Data

Flow Cytometry - Anti-Granzyme B antibody [EPR8260] - BSA and Azide free (AB226162)

Flow cytometric analysis of 4% paraformaldehyde fixed No-GFP-CD16.NK-92 Human Natural Killer cells labeling Granzyme B with ab134933 at 1/100 dilution (Red) compared with an Isotype control Rabbit monoclonal IgG (ab172730) (Black) and an unlabelled control (cells without incubation with primary antibody and secondary antibody) (Blue). Goat anti rabbit IgG Alexa Fluor® 488 (ab150081), at 1/5000 dilution was used as the secondary antibody.

This data was developed using the same antibody clone in a different buffer formulation containing PBS, BSA, glycerol, and sodium azide (ab134933).

Western blot - Anti-Granzyme B antibody [EPR8260] - BSA and Azide free (AB226162)
  • WB

Lab

Western blot - Anti-Granzyme B antibody [EPR8260] - BSA and Azide free (AB226162)

Negative control : Jurkat (PMID : 18437383, 25168906).

Blocking and diluting buffer : 5% NFDM/TBST.

This data was developed using the same antibody clone in a different buffer formulation containing PBS, BSA, glycerol, and sodium azide (ab134933).

All lanes:

Western blot - Anti-Granzyme B antibody [EPR8260] (<a href='/en-us/products/primary-antibodies/granzyme-b-antibody-epr8260-ab134933'>ab134933</a>) at 1/1000 dilution

Lane 1:

KARPAS-299 (human anaplastic large cell lymphoma), whole cell lysate at 20 µg

Lane 2:

Jurkat (human T cell leukemia T lymphocyte), whole cell lysate at 20 µg

Lane 3:

SR (human pleural effusion lymphoblast, whole cell lysate at 20 µg

Secondary

All lanes:

Western blot - Goat Anti-Rabbit IgG H&L (HRP) (<a href='/en-us/products/secondary-antibodies/goat-rabbit-igg-h-l-hrp-ab97051'>ab97051</a>) at 1/10000 dilution

Predicted band size: 28 kDa

Observed band size: 28 kDa

false

Exposure time: 48s

OI-RD Scanning - Anti-Granzyme B antibody [EPR8260] - BSA and Azide free (AB226162)
  • OI-RD Scanning

Unknown

OI-RD Scanning - Anti-Granzyme B antibody [EPR8260] - BSA and Azide free (AB226162)

We have systematically measured KD (the equilibrium dissociation constant between the antibody and its antigen), of more than 840 recombinant antibodies to assess not only their individual KD values but also to see the average affinity of antibody. Based on the comparison with published literature values for mouse monoclonal antibodies, Recombinant antibodies appear to be on average 1-2 order of magnitude higher affinity.

  • Unconjugated

    Anti-Granzyme B antibody [EPR8260]

  • 519 Alexa Fluor® 488

    Alexa Fluor® 488 Anti-Granzyme B antibody [EPR8260]

  • 775 Alexa Fluor® 750

    Alexa Fluor® 750 Anti-Granzyme B antibody [EPR8260]

  • 565 Alexa Fluor® 555

    Alexa Fluor® 555 Anti-Granzyme B antibody [EPR8260]

  • 665 Alexa Fluor® 647

    Alexa Fluor® 647 Anti-Granzyme B antibody [EPR8260]

  • Carrier free

    Anti-Granzyme B antibody [EPR8260] - Low endotoxin, Azide free

  • 578 PE

    PE Anti-Granzyme B antibody [EPR8260]

  • 660 APC

    APC Anti-Granzyme B antibody [EPR8260]

  • HRP

    HRP Anti-Granzyme B antibody [EPR8260]

  • 617 Alexa Fluor® 594

    Alexa Fluor® 594 Anti-Granzyme B antibody [EPR8260]

  • 603 Alexa Fluor® 568

    Alexa Fluor® 568 Anti-Granzyme B antibody [EPR8260]

Key facts

Host species

Rabbit

Clonality

Monoclonal

Clone number

EPR8260

Isotype

IgG

Carrier free

Yes

Reacts with

Human

Applications

Flow Cyt (Intra), IHC-P, WB

applications

Immunogen

The exact immunogen used to generate this antibody is proprietary information.

Reactivity data

{ "title": "Reactivity Data", "filters": { "stats": ["", "Species", "Dilution Info", "Notes"], "tabs": { "all-applications": {"fullname" : "All Applications", "shortname": "All Applications"}, "IHCP" : {"fullname" : "Immunohistochemistry (Formalin/PFA-fixed paraffin-embedded sections)", "shortname":"IHC-P"}, "WB" : {"fullname" : "Western blot", "shortname":"WB"}, "FlowCytIntra" : {"fullname" : "Flow Cytometry (Intracellular)", "shortname":"Flow Cyt (Intra)"} }, "product-promise": { "all": "all", "testedAndGuaranteed": "tested", "guaranteed": "expected", "predicted": "predicted", "notRecommended": "not-recommended" } }, "values": { "Human": { "IHCP-species-checked": "testedAndGuaranteed", "IHCP-species-dilution-info": "", "IHCP-species-notes": "<p>For antigen retrieval: heat up to 98 degrees C, below boiling, and then let cool for 10-20 min. Use of an HRP/AP polymerized secondary antibody is recommended.</p>", "WB-species-checked": "testedAndGuaranteed", "WB-species-dilution-info": "", "WB-species-notes": "<p></p>", "FlowCytIntra-species-checked": "testedAndGuaranteed", "FlowCytIntra-species-dilution-info": "", "FlowCytIntra-species-notes": "<p></p>" } } }

Product details

What is this antibody validated in?
Anti-Granzyme B antibody [EPR8260] - BSA and Azide free (ab226162) is a rabbit recombinant monoclonal antibody and is validated for use in Western Blot (WB), Flow Cytometry (Intra), Flow Cytometry (Flow Cyt), Immunohistochemistry (IHC-P) in Human samples.

What is the molecular weight of Granzyme B?
Anti-Granzyme B [EPR8260] - BSA and Azide free (ab226162) specifically detects a band for Granzyme B (UniProt: P10144) at a molecular weight of 28kDa.

Trial sizes available!
Test your antibody or perform pre-screening before committing to a larger quantity. Sold in 10µl. Discover our selection of trial-size antibodies.

Other related products
We have a range of other formats of antibody clone [EPR8260] also available for your convenience: ab134933, Carrier free - ab214443, Alexa Fluor® 647 - ab225185, Carrier free - ab226162, Alexa Fluor® 555 - ab280851, ab283315, Carrier free - ab283337, ab289888, Carrier free - ab289895, Carrier free - ab302863, PE - ab303034, APC - ab303035, HRP - ab303036, Alkaline Phosphatase - ab308998, Alexa Fluor® 594 - ab310771, Alexa Fluor® 568 - ab312793, Alexa Fluor® 488 - ab315854, Alexa Fluor® 750 - ab321091

Species reactivity
Mouse, Rat: We have preliminary internal testing data to indicate this antibody may not react with these species.
Please contact us for more information.

Patented technology
Our RabMAb® technology is a patented hybridoma-based technology for making rabbit monoclonal antibodies. For details on our patents, please refer to RabMAb® patents.

What are the advantages of a recombinant monoclonal antibody?
This product is a recombinant monoclonal antibody, which offers several advantages including:

  • - High batch-to-batch consistency and reproducibility
  • - Improved sensitivity and specificity
  • - Long-term security of supply
  • - Animal-free batch production

For more information, read more on recombinant antibodies.

Conjugation ready
Our carrier-free antibodies are typically supplied in a PBS-only formulation, purified and free of BSA, sodium azide and glycerol. This conjugation-ready format is designed for use with fluorochromes, metal isotopes, oligonucleotides, and enzymes, which makes them ideal for antibody labelling, functional and cell-based assays, flow-based assays (e.g. mass cytometry) and Multiplex Imaging applications.

Use our conjugation kits for antibody conjugates that are ready-to-use in as little as 20 minutes with 1 minute hands-on-time and 100% antibody recovery: available for fluorescent dyes, HRP, biotin and gold.

Compatibility
This product is compatible with the Maxpar® Antibody Labeling Kit from Fluidigm, without the need for antibody preparation. Maxpar® is a trademark of Fluidigm Canada Inc.

Properties and storage information

Form
Liquid
Purification technique
Affinity purification Protein A
Storage buffer
pH: 7.2 - 7.4 Constituents: PBS
Shipped at conditions
Blue Ice
Appropriate short-term storage conditions
+4°C
Appropriate long-term storage conditions
+4°C
Storage information
Do Not Freeze

Supplementary information

This supplementary information is collated from multiple sources and compiled automatically.

Granzyme B also known as GZMB GB11 or granzyme B protein is a serine protease with a molecular mass of approximately 32 kDa. It is expressed mainly in cytotoxic T lymphocytes and natural killer (NK) cells. This enzyme plays a mechanical role in inducing apoptosis in target cells serving as an effector protein in the immune system's defense against virally infected cells or transformed cancer cells. The activity of granzyme B relies on its ability to cleave after aspartate residues in substrate proteins leading to the activation of apoptotic pathways.
Biological function summary

Granzyme B participates prominently in the immune response by activating caspases particularly caspase-3 which promotes the breakdown of cellular components necessary for apoptosis. Granzyme B does not function in isolation but acts in concert with other immune system factors such as perforin to effectively induce cell death. Perforin creates pores in the target cell membrane allowing granzyme B to enter and instigate the apoptosis sequence. The enzyme also contributes to the processing of cytokines which enhances the immune response further.

Pathways

Studies have determined that granzyme B is critical in the apoptosis pathway particularly in the granule exocytosis pathway. It closely interacts with proteins such as perforin and other granzymes to mediate apoptosis in target cells. Granzyme B also plays a role in the inflammatory response and can influence pathways associated with cytotoxic T cell signaling. Its pathway interactions ensure effective elimination of damaged or infected cells maintaining tissue homeostasis.

Granzyme B has associations with autoimmune diseases and cancer. Abnormally high levels of granzyme B can contribute to tissue damage and inflammation in autoimmune conditions like rheumatoid arthritis. In the context of cancer granzyme B aids in tumor surveillance and destruction when functioning correctly but impaired granzyme B activity can lead to evasion of immune detection by cancerous cells. Perforin also plays a role in these conditions closely working with granzyme B to either protect against or drive disease progression.

Product protocols

For this product, it's our understanding that no specific protocols are required. You can visit:

Target data

Abundant protease in the cytosolic granules of cytotoxic T-cells and NK-cells which activates caspase-independent pyroptosis when delivered into the target cell through the immunological synapse (PubMed : 1985927, PubMed : 3262682, PubMed : 3263427). It cleaves after Asp (PubMed : 1985927, PubMed : 8258716). Once delivered into the target cell, acts by catalyzing cleavage of gasdermin-E (GSDME), releasing the pore-forming moiety of GSDME, thereby triggering pyroptosis and target cell death (PubMed : 31953257, PubMed : 32188940). Seems to be linked to an activation cascade of caspases (aspartate-specific cysteine proteases) responsible for apoptosis execution. Cleaves caspase-3, -9 and -10 (CASP3, CASP9 and CASP10, respectively) to give rise to active enzymes mediating apoptosis (PubMed : 9852092). Cleaves and activates CASP7 in response to bacterial infection, promoting plasma membrane repair (By similarity).
See full target information GZMB

Product promise

We are committed to supporting your work with high-quality reagents, and we're here for you every step of the way. In the unlikely event that one of our products does not perform as expected, you're protected by our Product Promise.
For full details, please see our Terms & Conditions

Please note: All products are 'FOR RESEARCH USE ONLY. NOT FOR USE IN DIAGNOSTIC OR THERAPEUTIC PROCEDURES'.

For licensing inquiries, please contact partnerships@abcam.com