JavaScript is disabled in your browser. Please enable JavaScript to view this website.
AB317459

Anti-Granzyme B antibody [RM1165] - BSA and Azide free

Be the first to review this product! Submit a review

|

(0 Publication)

Rabbit Recombinant Multiclonal Granzyme B antibody. Carrier free. Suitable for WB, IHC-P, IP, ICC/IF, Flow Cyt (Intra) and reacts with Human, Mouse samples.

View Alternative Names

CGL1, CSPB, CTLA1, GRB, GZMB, Granzyme B, C11, CTLA-1, Cathepsin G-like 1, Cytotoxic T-lymphocyte proteinase 2, Fragmentin-2, Granzyme-2, Human lymphocyte protein, SECT, T-cell serine protease 1-3E, CTSGL1, Lymphocyte protease, HLP

11 Images
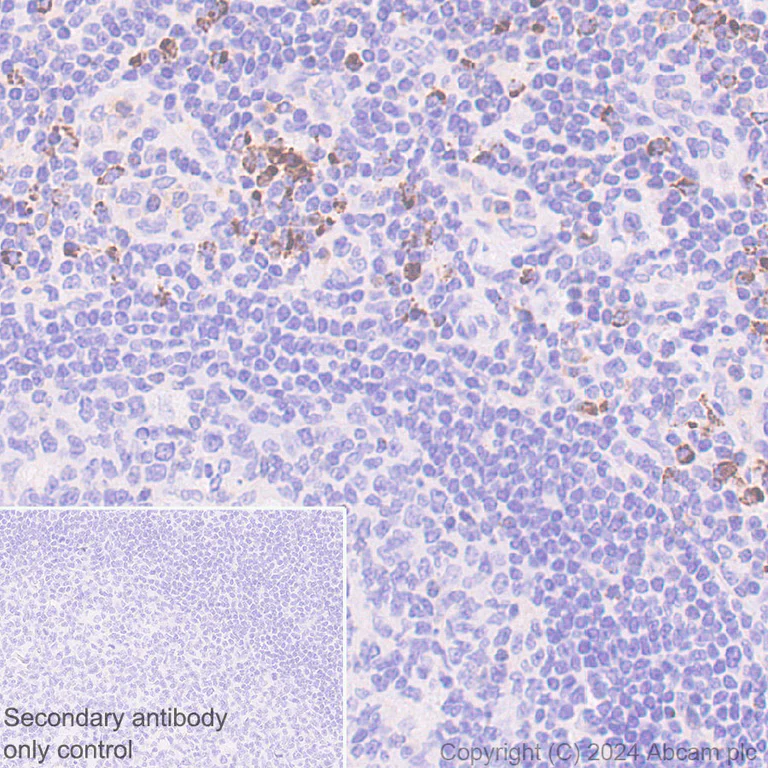
Immunohistochemistry (Formalin/PFA-fixed paraffin-embedded sections) - Anti-Granzyme B antibody [RM1165] - BSA and Azide free (AB317459)
  • IHC-P

Supplier Data

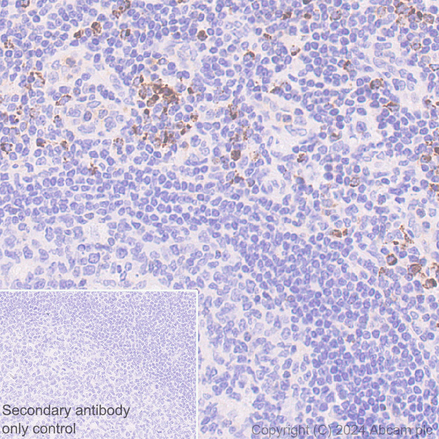
Immunohistochemistry (Formalin/PFA-fixed paraffin-embedded sections) - Anti-Granzyme B antibody [RM1165] - BSA and Azide free (AB317459)

This data was developed using ab317458, the same antibody clone in a different buffer formulation.

Immunohistochemical analysis of paraffin-embedded Human tonsil tissue labeling Granzyme B with ab317458 at 1/1000 (0.51 ug/ml) dilution, followed by a ready to use LeicaDS9800 (Bond™ Polymer Refine Detection).

Positive staining on human tonsil. The section was incubated with ab317458 for 30 mins at room temperature.
The immunostaining was performed on a Leica Biosystems BOND® RX instrument

Counterstained with Hematoxylin.

Secondary antibody only control : Secondary antibody is a ready to use LeicaDS9800 (Bond™ Polymer Refine Detection).

Heat mediated antigen retrieval was performed with Tris-EDTA buffer (pH 9.0, Epitope Retrieval Solution2) for 20 mins

Immunocytochemistry/ Immunofluorescence - Anti-Granzyme B antibody [RM1165] - BSA and Azide free (AB317459)
  • ICC/IF

Supplier Data

Immunocytochemistry/ Immunofluorescence - Anti-Granzyme B antibody [RM1165] - BSA and Azide free (AB317459)

This data was developed using ab317458, the same antibody clone in a different buffer formulation.

Immunofluorescent analysis of 4% Paraformaldehyde-fixed, 0.1% TritonX-100 permeabilized KARPAS-299 (human T cell lymphoma cell) cells labelling Granzyme B with ab317458 at 1/50 (10.2 ug/ml) dilution, followed by ab150081 Goat Anti-Rabbit IgG H&L (Alexa Fluor® 488) preadsorbed antibody at 1/1000 2 ug/ml dilution (Green).

Confocal image showing cytoplasmic staining in KARPAS-299 cell line (shown in green). The counterstain was observed in magenta. Nuclear DNA was labeled with DAPI (shown in blue).
Negative control : Jurkat (PMID : 18437383).
Image was taken with a confocal microscope (Leica-Microsystems, TCS SP8).

ab195889 Anti-alpha Tubulin mouse monoclonal antibody - Microtubule Marker (Alexa Fluor® 594) was used to counterstain tubulin at 1/200 2.5 ug/ml dilution (Magenta). The Nuclear counterstain was DAPI (Blue).

Secondary antibody only control : Secondary antibody is ab150081 Goat Anti-Rabbit IgG H&L (Alexa Fluor® 488) preadsorbed at 1/1000 2 ug/ml dilution.

Flow Cytometry (Intracellular) - Anti-Granzyme B antibody [RM1165] - BSA and Azide free (AB317459)
  • Flow Cyt (Intra)

Supplier Data

Flow Cytometry (Intracellular) - Anti-Granzyme B antibody [RM1165] - BSA and Azide free (AB317459)

This data was developed using ab317458, the same antibody clone in a different buffer formulation.

Flow cytometric analysis of 2% paraformaldehyde fixed 0.1% Tween-20 permeabilized Human PBMC(human peripheral blood mononuclear cell) treated with 10ug/ml CD3 for 72hours and 10ug/ml CD28 for 72 hours(Bottom left and Bottom right) / Untreated Human PBMC(Top left and Top right) cells labelling Granzyme B with ab317458 at 1/50 dilution (1 ug)/Top right and Bottom right (Red) compared with a Rabbit monoclonal IgG (ab172730) / Left isotype control and an unlabelled control (cells without incubation with primary antibody and secondary antibody) (Blue).

Goat Anti-Rabbit IgG (Alexa Fluor® 488, ab150081) at 1/5000 dilution was used as the secondary antibody.

human PBMC are co-stained with CD8a conjugated Pacific Blue (440/50BP).

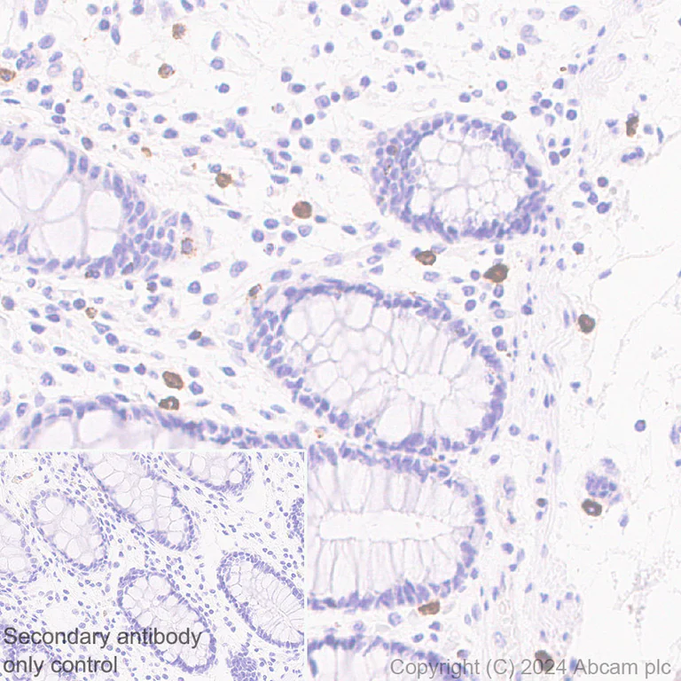
Immunohistochemistry (Formalin/PFA-fixed paraffin-embedded sections) - Anti-Granzyme B antibody [RM1165] - BSA and Azide free (AB317459)
  • IHC-P

Supplier Data

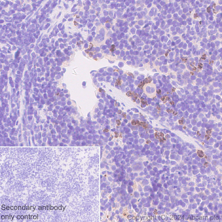
Immunohistochemistry (Formalin/PFA-fixed paraffin-embedded sections) - Anti-Granzyme B antibody [RM1165] - BSA and Azide free (AB317459)

This data was developed using ab317458, the same antibody clone in a different buffer formulation.

Immunohistochemical analysis of paraffin-embedded Human colon tissue labeling Granzyme B with ab317458 at 1/1000 (0.51 ug/ml) dilution, followed by a ready to use LeicaDS9800 (Bond™ Polymer Refine Detection).

Positive staining on immune cells of human colon. The section was incubated with ab317458 for 30 mins at room temperature.
The immunostaining was performed on a Leica Biosystems BOND® RX instrument

Counterstained with Hematoxylin.

Secondary antibody only control : Secondary antibody is a ready to use LeicaDS9800 (Bond™ Polymer Refine Detection).

Heat mediated antigen retrieval was performed with Tris-EDTA buffer (pH 9.0, Epitope Retrieval Solution2) for 20 mins

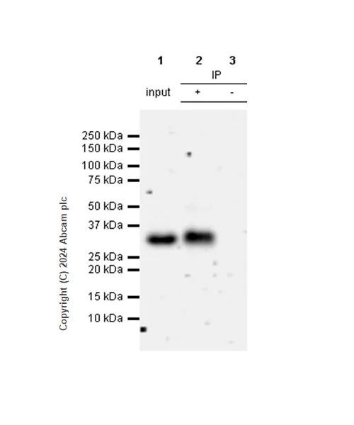
Immunoprecipitation - Anti-Granzyme B antibody [RM1165] - BSA and Azide free (AB317459)
  • IP

Supplier Data

Immunoprecipitation - Anti-Granzyme B antibody [RM1165] - BSA and Azide free (AB317459)

This data was developed using ab317458, the same antibody clone in a different buffer formulation.

Granzyme B was immunoprecipitated from 0.35 mg KARPAS-299 (human T cell lymphoma cell) whole cell lysate with ab317458 at 1/30 dilution (2ug in 0.35mg lysates). Western blot was performed on the immunoprecipitate using ab317458 at 1/1000 dilution. VeriBlot for IP secondary antibody(HRP)(ab131366) was used at 1/5000 dilution.

Lane 1 : KARPAS-299 (human T cell lymphoma cell) whole cell lysate
Lane 2 : ab317458 IP in KARPAS-299 (human T cell lymphoma cell) whole cell lysate
Lane 3 : Rabbit monoclonal IgG (ab172730) instead of ab317458 in KARPAS-299 whole cell lysate

Blocking and dilution buffer and concentration : 5% NFDM/TBST.

All lanes:

Immunoprecipitation - Anti-Granzyme B antibody [RM1165] (<a href='/en-us/products/primary-antibodies/granzyme-b-antibody-rm1165-ab317458'>ab317458</a>) at 1/30 dilution

Lane 1:

KARPAS-299 (human T cell lymphoma cell) whole cell lysate

Lane 2:

<a href='/en-us/products/primary-antibodies/granzyme-b-antibody-rm1165-ab317458'>ab317458</a> IP in KARPAS-299 (human T cell lymphoma cell) whole cell lysate

Secondary

All lanes:

Immunoprecipitation - VeriBlot for IP Detection Reagent (HRP) (<a href='/en-us/products/reagents/veriblot-for-ip-detection-reagent-hrp-ab131366'>ab131366</a>) at 1/5000 dilution

false

Exposure time: 180s

Flow Cytometry (Intracellular) - Anti-Granzyme B antibody [RM1165] - BSA and Azide free (AB317459)
  • Flow Cyt (Intra)

Supplier Data

Flow Cytometry (Intracellular) - Anti-Granzyme B antibody [RM1165] - BSA and Azide free (AB317459)

This data was developed using ab317458, the same antibody clone in a different buffer formulation.

Flow cytometric analysis of 2% paraformaldehyde fixed 0.1% Tween-20 permeabilized Mouse PBMC(mouse peripheral blood mononuclear cell) treated with 2.5ug/ml Concanavalin A for 72h (Bottom left and Bottom right) / Untreated mouse PBMC(Top left and Top right) cells labelling Granzyme B with ab317458 at 1/50 dilution (1 ug)/Top right and Bottom right (Red) compared with a Rabbit monoclonal IgG (ab172730) / Left isotype control and an unlabelled control (cells without incubation with primary antibody and secondary antibody) (Blue).

Goat Anti-Rabbit IgG (Alexa Fluor® 488, ab150081) at 1/5000 dilution was used as the secondary antibody.

mouse PBMC are co-stained with CD8a conjugated Pacific Blue (440/50BP).

Immunohistochemistry (Formalin/PFA-fixed paraffin-embedded sections) - Anti-Granzyme B antibody [RM1165] - BSA and Azide free (AB317459)
  • IHC-P

Supplier Data

Immunohistochemistry (Formalin/PFA-fixed paraffin-embedded sections) - Anti-Granzyme B antibody [RM1165] - BSA and Azide free (AB317459)

This data was developed using ab317458, the same antibody clone in a different buffer formulation.

Immunohistochemical analysis of paraffin-embedded Mouse spleen tissue labeling Granzyme B with ab317458 at 1/2000 (0.255 ug/ml) dilution, followed by a ready to use LeicaDS9800 (Bond™ Polymer Refine Detection).

Positive staining on mouse spleen. The section was incubated with ab317458 for 30 mins at room temperature.
The immunostaining was performed on a Leica Biosystems BOND® RX instrument

Counterstained with Hematoxylin.

Secondary antibody only control : Secondary antibody is a ready to use LeicaDS9800 (Bond™ Polymer Refine Detection).

Heat mediated antigen retrieval was performed with Tris-EDTA buffer (pH 9.0, Epitope Retrieval Solution2) for 20 mins

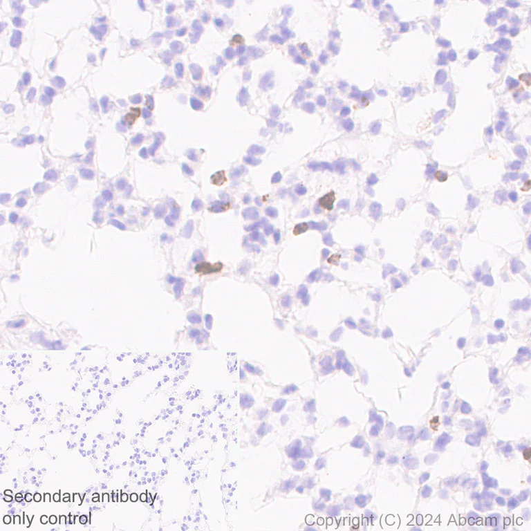
Immunohistochemistry (Formalin/PFA-fixed paraffin-embedded sections) - Anti-Granzyme B antibody [RM1165] - BSA and Azide free (AB317459)
  • IHC-P

Supplier Data

Immunohistochemistry (Formalin/PFA-fixed paraffin-embedded sections) - Anti-Granzyme B antibody [RM1165] - BSA and Azide free (AB317459)

This data was developed using ab317458, the same antibody clone in a different buffer formulation.

Immunohistochemical analysis of paraffin-embedded Mouse lung tissue labeling Granzyme B with ab317458 at 1/2000 (0.255 ug/ml) dilution, followed by a ready to use LeicaDS9800 (Bond™ Polymer Refine Detection).

Positive staining on immune cells of mouse lung. The section was incubated with ab317458 for 30 mins at room temperature.
The immunostaining was performed on a Leica Biosystems BOND® RX instrument

Counterstained with Hematoxylin.

Secondary antibody only control : Secondary antibody is a ready to use LeicaDS9800 (Bond™ Polymer Refine Detection).

Heat mediated antigen retrieval was performed with Tris-EDTA buffer (pH 9.0, Epitope Retrieval Solution2) for 20 mins

Immunoprecipitation - Anti-Granzyme B antibody [RM1165] - BSA and Azide free (AB317459)
  • IP

Supplier Data

Immunoprecipitation - Anti-Granzyme B antibody [RM1165] - BSA and Azide free (AB317459)

This data was developed using ab317458, the same antibody clone in a different buffer formulation.

Granzyme B was immunoprecipitated from 0.35 mg Mouse spleen cell treated with 2.5 ug/ml Concanavalin A for 72h whole cell lysate with ab317458 at 1/30 dilution (2ug in 0.35mg lysates). Western blot was performed on the immunoprecipitate using ab317458 at 1/1000 dilution. VeriBlot for IP secondary antibody(HRP)(ab131366) was used at 1/5000 dilution.

Lane 1 : Mouse spleen cell treated with 2.5 ug/ml Concanavalin A for 72h whole cell lysate
Lane 2 : ab317458 IP in Mouse spleen cell treated with 2.5 ug/ml Concanavalin A for 72h whole cell lysate
Lane 3 : Rabbit monoclonal IgG (ab172730) instead of ab317458 in mouse spleen cell treated with 2.5 ug/ml Concanavalin A for 72h whole cell lysate

Blocking and dilution buffer and concentration : 5% NFDM/TBST.

All lanes:

Immunoprecipitation - Anti-Granzyme B antibody [RM1165] (<a href='/en-us/products/primary-antibodies/granzyme-b-antibody-rm1165-ab317458'>ab317458</a>) at 1/30 dilution

Lane 1:

Mouse spleen cell treated with 2.5 ug/ml Concanavalin A for 72h whole cell lysate

Lane 2:

<a href='/en-us/products/primary-antibodies/granzyme-b-antibody-rm1165-ab317458'>ab317458</a> IP in Mouse spleen cell treated with 2.5 ug/ml Concanavalin A for 72h whole cell lysate

Secondary

All lanes:

Immunoprecipitation - VeriBlot for IP Detection Reagent (HRP) (<a href='/en-us/products/reagents/veriblot-for-ip-detection-reagent-hrp-ab131366'>ab131366</a>) at 1/5000 dilution

false

Exposure time: 41s

Western blot - Anti-Granzyme B antibody [RM1165] - BSA and Azide free (AB317459)
  • WB

Supplier Data

Western blot - Anti-Granzyme B antibody [RM1165] - BSA and Azide free (AB317459)

This data was developed using ab317458, the same antibody clone in a different buffer formulation.

Negative control : Jurkat (PMID : 18437383).

Blocking and diluting buffer and concentration : 5% NFDM/TBST.

All lanes:

Western blot - Anti-Granzyme B antibody [RM1165] (<a href='/en-us/products/primary-antibodies/granzyme-b-antibody-rm1165-ab317458'>ab317458</a>) at 1/1000 dilution

Lane 1:

KARPAS-299 (human T cell lymphoma cell) whole cell lysate at 20 µg

Lane 2:

SR (human pleural effusion lymphoblast) whole cell lysate at 20 µg

Lane 3:

Jurkat (human T cell leukemia T lymphocyte from peripheral blood) whole cell lysate at 20 µg

Secondary

All lanes:

Western blot - Goat Anti-Rabbit IgG H&L (HRP) (<a href='/en-us/products/secondary-antibodies/goat-rabbit-igg-h-l-hrp-ab97051'>ab97051</a>) at 1/20000 dilution

Observed band size: 28 kDa,15 kDa

false

Exposure time: 15s

Western blot - Anti-Granzyme B antibody [RM1165] - BSA and Azide free (AB317459)
  • WB

Supplier Data

Western blot - Anti-Granzyme B antibody [RM1165] - BSA and Azide free (AB317459)

This data was developed using ab317458, the same antibody clone in a different buffer formulation.

The molecular weight observed is consistent with what has been described in the literature (PMID : 8663264 and 17116752).

Granzyme B forms complex with its protease inhibitor (PMID : 9774654).

Blocking and diluting buffer and concentration : 5% NFDM/TBST.

All lanes:

Western blot - Anti-Granzyme B antibody [RM1165] (<a href='/en-us/products/primary-antibodies/granzyme-b-antibody-rm1165-ab317458'>ab317458</a>) at 1/1000 dilution

Lane 1:

Untreated mouse splenocyte lysate at 20 µg

Lane 2:

Mouse splenocytes treated with 2.5µg/ml concanavalin for 72 hours lysate at 20 µg

Secondary

All lanes:

Western blot - Goat Anti-Rabbit IgG H&L (HRP) (<a href='/en-us/products/secondary-antibodies/goat-rabbit-igg-h-l-hrp-ab97051'>ab97051</a>) at 1/20000 dilution

Observed band size: 28 kDa,36 kDa

false

Exposure time: 15s

Key facts

Host species

Rabbit

Clonality

Multiclonal

Clone number

RM1165

Isotype

IgG

Carrier free

Yes

Reacts with

Human, Mouse

Applications

WB, IP, ICC/IF, IHC-P, Flow Cyt (Intra)

applications

Immunogen

The exact immunogen used to generate this antibody is proprietary information.

Reactivity data

{ "title": "Reactivity Data", "filters": { "stats": ["", "Species", "Dilution Info", "Notes"], "tabs": { "all-applications": {"fullname" : "All Applications", "shortname": "All Applications"}, "WB" : {"fullname" : "Western blot", "shortname":"WB"}, "IHCP" : {"fullname" : "Immunohistochemistry (Formalin/PFA-fixed paraffin-embedded sections)", "shortname":"IHC-P"}, "IP" : {"fullname" : "Immunoprecipitation", "shortname":"IP"}, "ICCIF" : {"fullname" : "Immunocytochemistry/ Immunofluorescence", "shortname":"ICC/IF"}, "FlowCytIntra" : {"fullname" : "Flow Cytometry (Intracellular)", "shortname":"Flow Cyt (Intra)"}, "IHCFr" : {"fullname" : "Immunohistochemistry (Frozen sections)", "shortname":"IHC-Fr"} }, "product-promise": { "all": "all", "testedAndGuaranteed": "tested", "guaranteed": "expected", "predicted": "predicted", "notRecommended": "not-recommended" } }, "values": { "Human": { "WB-species-checked": "testedAndGuaranteed", "WB-species-dilution-info": "", "WB-species-notes": "<p></p>", "IHCP-species-checked": "testedAndGuaranteed", "IHCP-species-dilution-info": "", "IHCP-species-notes": "<p></p>", "IP-species-checked": "testedAndGuaranteed", "IP-species-dilution-info": "", "IP-species-notes": "<p></p>", "ICCIF-species-checked": "testedAndGuaranteed", "ICCIF-species-dilution-info": "", "ICCIF-species-notes": "<p></p>", "FlowCytIntra-species-checked": "testedAndGuaranteed", "FlowCytIntra-species-dilution-info": "", "FlowCytIntra-species-notes": "<p></p>", "IHCFr-species-checked": "notRecommended", "IHCFr-species-dilution-info": "", "IHCFr-species-notes": "<p></p>" }, "Mouse": { "WB-species-checked": "testedAndGuaranteed", "WB-species-dilution-info": "", "WB-species-notes": "<p></p>", "IHCP-species-checked": "testedAndGuaranteed", "IHCP-species-dilution-info": "", "IHCP-species-notes": "<p></p>", "IP-species-checked": "testedAndGuaranteed", "IP-species-dilution-info": "", "IP-species-notes": "<p></p>", "ICCIF-species-checked": "guaranteed", "ICCIF-species-dilution-info": "", "ICCIF-species-notes": "", "FlowCytIntra-species-checked": "testedAndGuaranteed", "FlowCytIntra-species-dilution-info": "", "FlowCytIntra-species-notes": "<p></p>", "IHCFr-species-checked": "notRecommended", "IHCFr-species-dilution-info": "", "IHCFr-species-notes": "<p></p>" }, "Rat": { "WB-species-checked": "notRecommended", "WB-species-dilution-info": "", "WB-species-notes": "<p></p>", "IHCP-species-checked": "notRecommended", "IHCP-species-dilution-info": "", "IHCP-species-notes": "<p></p>", "IP-species-checked": "notRecommended", "IP-species-dilution-info": "", "IP-species-notes": "", "ICCIF-species-checked": "notRecommended", "ICCIF-species-dilution-info": "", "ICCIF-species-notes": "", "FlowCytIntra-species-checked": "notRecommended", "FlowCytIntra-species-dilution-info": "", "FlowCytIntra-species-notes": "", "IHCFr-species-checked": "notRecommended", "IHCFr-species-dilution-info": "", "IHCFr-species-notes": "" } } }

Product details

ab317459 is the carrier-free version of ab317458.

What are recombinant multiclonals?
Recombinant multiclonals are a mixture of recombinant antibodies co-expressed from a library of heavy and light chains. They offer several advantages including:

  • - The sensitivity of polyclonal antibodies by recognising multiple epitopes
  • - High batch-to-batch consistency and reproducibility
  • - Improved sensitivity and specificity
  • - Long-term security of supply
  • - Animal-free batch production

View our range of recombinant multiclonal antibodies.

Patented technology
Our RabMAb® technology is a patented hybridoma-based technology for making rabbit monoclonal antibodies. For details on our patents, please refer to RabMAb® patents.

Conjugation ready
Our carrier-free antibodies are typically supplied in a PBS-only formulation, purified and free of BSA, sodium azide and glycerol. This conjugation-ready format is designed for use with fluorochromes, metal isotopes, oligonucleotides, and enzymes, which makes them ideal for antibody labelling, functional and cell-based assays, flow-based assays (e.g. mass cytometry) and Multiplex Imaging applications.

Use our conjugation kits for antibody conjugates that are ready-to-use in as little as 20 minutes with 1 minute hands-on-time and 100% antibody recovery: available for fluorescent dyes, HRP, biotin and gold.

Compatibility
This product is compatible with the Maxpar® Antibody Labeling Kit from Fluidigm, without the need for antibody preparation. Maxpar® is a trademark of Fluidigm Canada Inc.

Properties and storage information

Form
Liquid
Purification technique
Affinity purification Protein A
Storage buffer
pH: 7.2 - 7.4 Constituents: PBS
Shipped at conditions
Blue Ice
Appropriate short-term storage conditions
+4°C
Appropriate long-term storage conditions
+4°C

Supplementary information

This supplementary information is collated from multiple sources and compiled automatically.

Granzyme B also known as GZMB GB11 or granzyme B protein is a serine protease with a molecular mass of approximately 32 kDa. It is expressed mainly in cytotoxic T lymphocytes and natural killer (NK) cells. This enzyme plays a mechanical role in inducing apoptosis in target cells serving as an effector protein in the immune system's defense against virally infected cells or transformed cancer cells. The activity of granzyme B relies on its ability to cleave after aspartate residues in substrate proteins leading to the activation of apoptotic pathways.
Biological function summary

Granzyme B participates prominently in the immune response by activating caspases particularly caspase-3 which promotes the breakdown of cellular components necessary for apoptosis. Granzyme B does not function in isolation but acts in concert with other immune system factors such as perforin to effectively induce cell death. Perforin creates pores in the target cell membrane allowing granzyme B to enter and instigate the apoptosis sequence. The enzyme also contributes to the processing of cytokines which enhances the immune response further.

Pathways

Studies have determined that granzyme B is critical in the apoptosis pathway particularly in the granule exocytosis pathway. It closely interacts with proteins such as perforin and other granzymes to mediate apoptosis in target cells. Granzyme B also plays a role in the inflammatory response and can influence pathways associated with cytotoxic T cell signaling. Its pathway interactions ensure effective elimination of damaged or infected cells maintaining tissue homeostasis.

Granzyme B has associations with autoimmune diseases and cancer. Abnormally high levels of granzyme B can contribute to tissue damage and inflammation in autoimmune conditions like rheumatoid arthritis. In the context of cancer granzyme B aids in tumor surveillance and destruction when functioning correctly but impaired granzyme B activity can lead to evasion of immune detection by cancerous cells. Perforin also plays a role in these conditions closely working with granzyme B to either protect against or drive disease progression.

Product protocols

For this product, it's our understanding that no specific protocols are required. You can visit:

Target data

Abundant protease in the cytosolic granules of cytotoxic T-cells and NK-cells which activates caspase-independent pyroptosis when delivered into the target cell through the immunological synapse (PubMed : 1985927, PubMed : 3262682, PubMed : 3263427). It cleaves after Asp (PubMed : 1985927, PubMed : 8258716). Once delivered into the target cell, acts by catalyzing cleavage of gasdermin-E (GSDME), releasing the pore-forming moiety of GSDME, thereby triggering pyroptosis and target cell death (PubMed : 31953257, PubMed : 32188940). Seems to be linked to an activation cascade of caspases (aspartate-specific cysteine proteases) responsible for apoptosis execution. Cleaves caspase-3, -9 and -10 (CASP3, CASP9 and CASP10, respectively) to give rise to active enzymes mediating apoptosis (PubMed : 9852092). Cleaves and activates CASP7 in response to bacterial infection, promoting plasma membrane repair (By similarity).
See full target information GZMB

Product promise

We are committed to supporting your work with high-quality reagents, and we're here for you every step of the way. In the unlikely event that one of our products does not perform as expected, you're protected by our Product Promise.
For full details, please see our Terms & Conditions

Please note: All products are 'FOR RESEARCH USE ONLY. NOT FOR USE IN DIAGNOSTIC OR THERAPEUTIC PROCEDURES'.

For licensing inquiries, please contact partnerships@abcam.com