JavaScript is disabled in your browser. Please enable JavaScript to view this website.
AB282703

Anti-Granzyme K antibody [EPR24601-164]

  • BOND RX™ Validated
  • 20ul selling size
  • RabMAb
  • Recombinant
  • What is this?

Be the first to review this product! Submit a review

|

(4 Publications)

Anti-Granzyme K antibody [EPR24601-164] (ab282703) is a rabbit monoclonal antibody detecting Granzyme K in Western Blot, IHC-P. Suitable for Human.

- Biophysical QC for unrivalled batch-batch consistency

View Alternative Names

TRYP2, GZMK, Granzyme K, Fragmentin-3, Granzyme-3, NK-tryptase-2, NK-Tryp-2

7 Images
Immunohistochemistry (Formalin/PFA-fixed paraffin-embedded sections) - Anti-Granzyme K antibody [EPR24601-164] (AB282703)
  • IHC-P

Supplier Data

Immunohistochemistry (Formalin/PFA-fixed paraffin-embedded sections) - Anti-Granzyme K antibody [EPR24601-164] (AB282703)

Immunohistochemical analysis of paraffin-embedded human tonsil tissue labelling Granzyme K with ab282703 at 1/1000 dilution (0.485 ug/ml), followed by a ready to use LeicaDS9800 (Bond™ Polymer Refine Detection). Positive staining on human tonsil. (PMID : 22207739). The section was incubated with ab282703 for 30 mins at room temperature. The immunostaining was performed on a Leica Biosystems BOND® RX instrument. Counterstained with Hematoxylin.

Secondary antibody only control : Secondary antibody is a ready to use LeicaDS9800 (Bond™ Polymer Refine Detection).

Heat mediated antigen retrieval with Tris-EDTA buffer (pH 9.0, epitope retrieval solution2) for 20 mins.

Immunohistochemistry (Formalin/PFA-fixed paraffin-embedded sections) - Anti-Granzyme K antibody [EPR24601-164] (AB282703)
  • IHC-P

Supplier Data

Immunohistochemistry (Formalin/PFA-fixed paraffin-embedded sections) - Anti-Granzyme K antibody [EPR24601-164] (AB282703)

Immunohistochemical analysis of paraffin-embedded human cervical carcinoma tissue labelling Granzyme K with ab282703 at 1/1000 dilution (0.485 ug/ml), followed by a ready to use LeicaDS9800 (Bond™ Polymer Refine Detection) was used. Positive staining on immune cells of human cervical carcinoma. The section was incubated with ab282703 for 30 mins at room temperature. The immunostaining was performed on a Leica Biosystems BOND® RX instrument. Counterstained with Hematoxylin.

Secondary antibody only control : Secondary antibody is a ready to use LeicaDS9800 (Bond™ Polymer Refine Detection) was used.

Heat mediated antigen retrieval with Tris-EDTA buffer (pH 9.0, epitope retrieval solution2) for 20 mins.

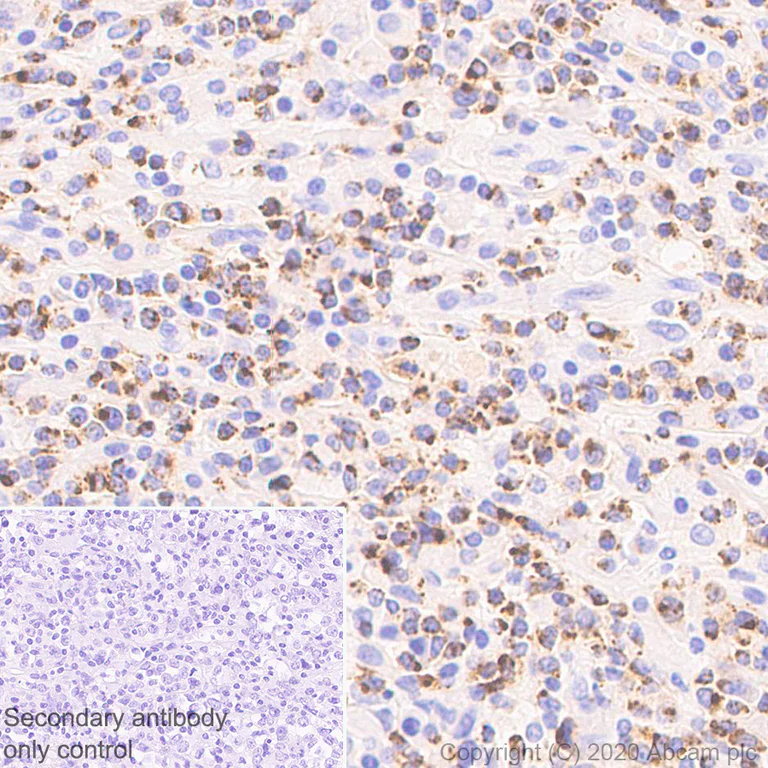
Immunohistochemistry (Formalin/PFA-fixed paraffin-embedded sections) - Anti-Granzyme K antibody [EPR24601-164] (AB282703)
  • IHC-P

Supplier Data

Immunohistochemistry (Formalin/PFA-fixed paraffin-embedded sections) - Anti-Granzyme K antibody [EPR24601-164] (AB282703)

Immunohistochemical analysis of paraffin-embedded human diffuse large B-cell lymphoma tissue labelling Granzyme K with ab282703 at 1/1000 dilution (0.485 ug/ml), followed by a ready to use LeicaDS9800 (Bond™ Polymer Refine Detection) was used. Positive staining on human diffuse large B-cell lymphoma. The section was incubated with ab282703 for 30 mins at room temperature. The immunostaining was performed on a Leica Biosystems BOND® RX instrument. Counterstained with Hematoxylin.

Secondary antibody only control : Secondary antibody is a ready to use LeicaDS9800 (Bond™ Polymer Refine Detection) was used.

Heat mediated antigen retrieval with Tris-EDTA buffer (pH 9.0, epitope retrieval solution2) for 20 mins.

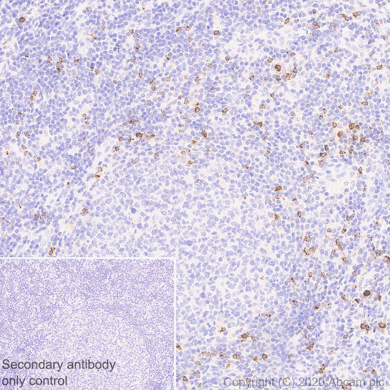
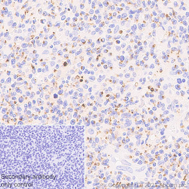
Immunohistochemistry (Formalin/PFA-fixed paraffin-embedded sections) - Anti-Granzyme K antibody [EPR24601-164] (AB282703)
  • IHC-P

Supplier Data

Immunohistochemistry (Formalin/PFA-fixed paraffin-embedded sections) - Anti-Granzyme K antibody [EPR24601-164] (AB282703)

Immunohistochemical analysis of paraffin-embedded human NKT lymphoma tissue labelling Granzyme K with ab282703 at 1/1000 dilution (0.485 ug/ml), followed by a ready to use LeicaDS9800 (Bond™ Polymer Refine Detection). Positive staining on human NKT lymphoma. The section was incubated with ab282703 for 30 mins at room temperature. The immunostaining was performed on a Leica Biosystems BOND® RX instrument. Counterstained with Hematoxylin.

Secondary antibody only control : Secondary antibody is a ready to use LeicaDS9800 (Bond™ Polymer Refine Detection).

Heat mediated antigen retrieval with Tris-EDTA buffer (pH 9.0, epitope retrieval solution2) for 20 mins.

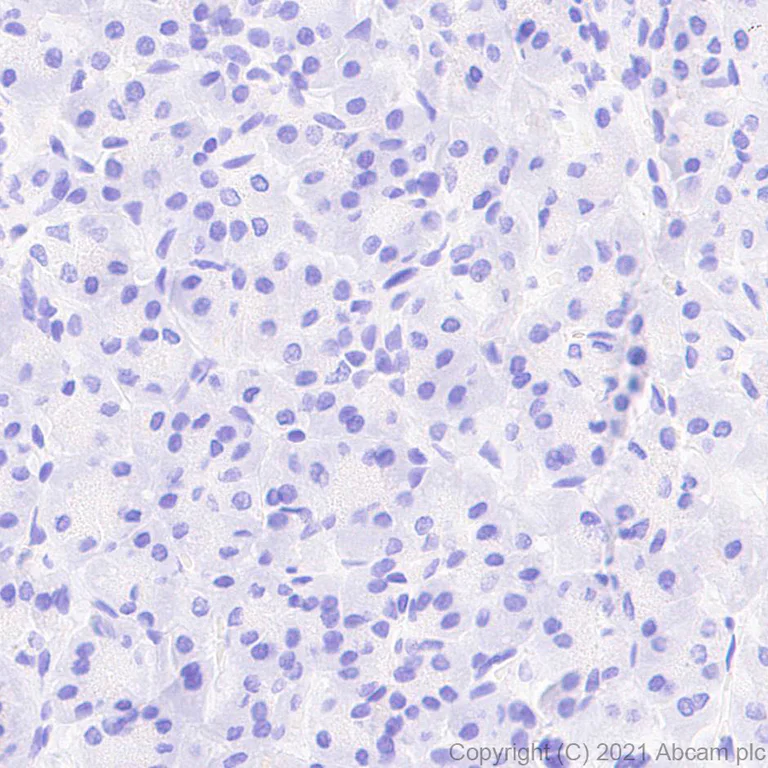
Immunohistochemistry (Formalin/PFA-fixed paraffin-embedded sections) - Anti-Granzyme K antibody [EPR24601-164] (AB282703)
  • IHC-P

Supplier Data

Immunohistochemistry (Formalin/PFA-fixed paraffin-embedded sections) - Anti-Granzyme K antibody [EPR24601-164] (AB282703)

Immunohistochemical analysis of paraffin-embedded human pancreas tissue labelling Granzyme K with ab282703 at 1/1000 dilution (0.485 ug/ml), followed by a ready to use LeicaDS9800 (Bond™ Polymer Refine Detection).

Negative control : no staining on human pancreas. The section was incubated with ab282703 for 30 mins at room temperature. The immunostaining was performed on a Leica Biosystems BOND® RX instrument. Counterstained with Hematoxylin.

Secondary antibody only control : Secondary antibody is a ready to use LeicaDS9800 (Bond™ Polymer Refine Detection).

Heat mediated antigen retrieval with Tris-EDTA buffer (pH 9.0, epitope retrieval solution2) for 20 mins.

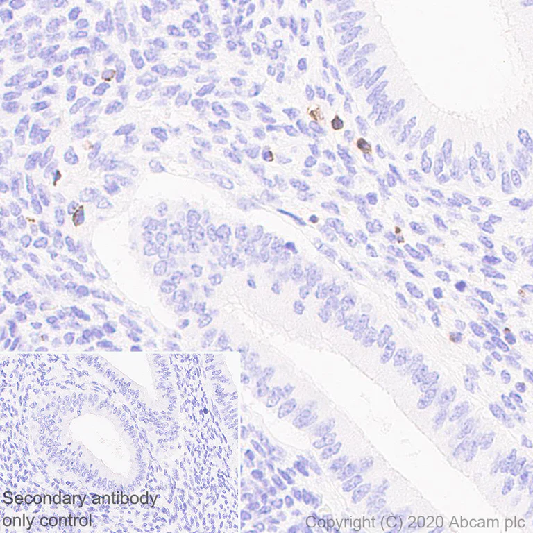
Immunohistochemistry (Formalin/PFA-fixed paraffin-embedded sections) - Anti-Granzyme K antibody [EPR24601-164] (AB282703)
  • IHC-P

Supplier Data

Immunohistochemistry (Formalin/PFA-fixed paraffin-embedded sections) - Anti-Granzyme K antibody [EPR24601-164] (AB282703)

Immunohistochemical analysis of paraffin-embedded human endometrium tissue labelling Granzyme K with 282703 at 1/1000 dilution (0.485 ug/ml), followed by a ready to use LeicaDS9800 (Bond™ Polymer Refine Detection). Positive staining on lymphocytes in human endometrium. The section was incubated with ab282703 for 30 mins at room temperature. The immunostaining was performed on a Leica Biosystems BOND® RX instrument. Counterstained with Hematoxylin.

Secondary antibody only control : Secondary antibody is a ready to use LeicaDS9800 (Bond™ Polymer Refine Detection) was used.

Heat mediated antigen retrieval with Tris-EDTA buffer (pH 9.0, epitope retrieval solution2) for 20 mins.

Western blot - Anti-Granzyme K antibody [EPR24601-164] (AB282703)
  • WB

Lab

Western blot - Anti-Granzyme K antibody [EPR24601-164] (AB282703)

Blocking and diluting buffer and concentration : 5% NFDM/TBST

The expression profile/molecular weight observed is consistent with what has been described in the literature (PMID : 10407175, 18559365).

Negative control : heart (PMID : 10407175).

Exposure time : 15 seconds

All lanes:

Western blot - Anti-Granzyme K antibody [EPR24601-164] (ab282703) at 1/1000 dilution

Lane 1:

Human spleen tissue lysate at 40 µg

Lane 2:

Human tonsil tissue lysate at 40 µg

Lane 3:

Human lymphoma tissue lysate at 40 µg

Lane 4:

Human heart tissue lysate at 40 µg

Secondary

All lanes:

Western blot - VeriBlot for IP Detection Reagent (HRP) (<a href='/en-us/products/reagents/veriblot-for-ip-detection-reagent-hrp-ab131366'>ab131366</a>) at 1/2000 dilution

Predicted band size: 29 kDa

Observed band size: 22 kDa,27 kDa

false

  • Carrier free

    Anti-Granzyme K antibody [EPR24601-164] - BSA and Azide free

Key facts

Host species

Rabbit

Clonality

Monoclonal

Clone number

EPR24601-164

Isotype

IgG

Carrier free

No

Reacts with

Human

Applications

IHC-P, WB

applications

Immunogen

The exact immunogen used to generate this antibody is proprietary information.

Reactivity data

{ "title": "Reactivity Data", "filters": { "stats": ["", "Species", "Dilution Info", "Notes"], "tabs": { "all-applications": {"fullname" : "All Applications", "shortname": "All Applications"}, "ICCIF" : {"fullname" : "Immunocytochemistry/ Immunofluorescence", "shortname":"ICC/IF"}, "IP" : {"fullname" : "Immunoprecipitation", "shortname":"IP"}, "WB" : {"fullname" : "Western blot", "shortname":"WB"}, "IHCP" : {"fullname" : "Immunohistochemistry (Formalin/PFA-fixed paraffin-embedded sections)", "shortname":"IHC-P"}, "FlowCytIntra" : {"fullname" : "Flow Cytometry (Intracellular)", "shortname":"Flow Cyt (Intra)"} }, "product-promise": { "all": "all", "testedAndGuaranteed": "tested", "guaranteed": "expected", "predicted": "predicted", "notRecommended": "not-recommended" } }, "values": { "Human": { "ICCIF-species-checked": "notRecommended", "ICCIF-species-dilution-info": "", "ICCIF-species-notes": "<p></p>", "IP-species-checked": "notRecommended", "IP-species-dilution-info": "", "IP-species-notes": "<p></p>", "WB-species-checked": "testedAndGuaranteed", "WB-species-dilution-info": "1/1000", "WB-species-notes": "<p></p>", "IHCP-species-checked": "testedAndGuaranteed", "IHCP-species-dilution-info": "1/1000", "IHCP-species-notes": "<p></p>", "FlowCytIntra-species-checked": "notRecommended", "FlowCytIntra-species-dilution-info": "", "FlowCytIntra-species-notes": "<p></p>" }, "Mouse": { "ICCIF-species-checked": "notRecommended", "ICCIF-species-dilution-info": "", "ICCIF-species-notes": "", "IP-species-checked": "notRecommended", "IP-species-dilution-info": "", "IP-species-notes": "", "WB-species-checked": "notRecommended", "WB-species-dilution-info": "1/1000", "WB-species-notes": "<p></p>", "IHCP-species-checked": "notRecommended", "IHCP-species-dilution-info": "1/1000", "IHCP-species-notes": "<p></p>", "FlowCytIntra-species-checked": "notRecommended", "FlowCytIntra-species-dilution-info": "", "FlowCytIntra-species-notes": "" }, "Rat": { "ICCIF-species-checked": "notRecommended", "ICCIF-species-dilution-info": "", "ICCIF-species-notes": "", "IP-species-checked": "notRecommended", "IP-species-dilution-info": "", "IP-species-notes": "", "WB-species-checked": "notRecommended", "WB-species-dilution-info": "1/1000", "WB-species-notes": "<p></p>", "IHCP-species-checked": "notRecommended", "IHCP-species-dilution-info": "1/1000", "IHCP-species-notes": "<p></p>", "FlowCytIntra-species-checked": "notRecommended", "FlowCytIntra-species-dilution-info": "", "FlowCytIntra-species-notes": "" } } }

Product details

What is this antibody validated in?
Anti-Granzyme K antibody [EPR24601-164] (ab282703) is a rabbit recombinant monoclonal antibody and is validated for use in Western Blot (WB), Immunohistochemistry (IHC-P) in Human samples.

What is the molecular weight of Granzyme K?
Anti-Granzyme K [EPR24601-164] (ab282703) specifically detects a band for Granzyme K (UniProt: P49863) at a molecular weight of 29kDa.

Trial sizes available!
Test your antibody or perform pre-screening before committing to a larger quantity. Sold in 10µl. Discover our selection of trial-size antibodies.

Other related products
We have a range of other formats of antibody clone [EPR24601-164] also available for your convenience: ab282703, Carrier free - ab282714

Patented technology
Our RabMAb® technology is a patented hybridoma-based technology for making rabbit monoclonal antibodies. For details on our patents, please refer to RabMAb® patents.

What are the advantages of a recombinant monoclonal antibody?
This product is a recombinant monoclonal antibody, which offers several advantages including:

  • - High batch-to-batch consistency and reproducibility
  • - Improved sensitivity and specificity
  • - Long-term security of supply
  • - Animal-free batch production

For more information, read more on recombinant antibodies.

Properties and storage information

Form
Liquid
Purification technique
Affinity purification Protein A
Storage buffer
pH: 7.2 - 7.4 Preservative: 0.01% Sodium azide Constituents: PBS, 40% Glycerol (glycerin, glycerine), 0.05% BSA
Shipped at conditions
Blue Ice
Appropriate short-term storage duration
1-2 weeks
Appropriate short-term storage conditions
+4°C
Appropriate long-term storage conditions
-20°C
Aliquoting information
Upon delivery aliquot
Storage information
Avoid freeze / thaw cycle

Supplementary information

This supplementary information is collated from multiple sources and compiled automatically.

Granzyme K also known as protein K or 24c3 is a serine protease with a mass of approximately 27 kilodaltons. It belongs to the granzyme family of proteins which are mainly found within the cytotoxic granules of natural killer (NK) cells and cytotoxic T lymphocytes (CTLs). These immune cells store granzyme K in their granules which they release to induce apoptosis in target cells. Researchers have identified granzyme K expression in various tissues and immune cells highlighting its widespread role in modulating immune responses.
Biological function summary

Granzyme K serves as a potent mediator in the immune system by inducing apoptosis in target cells. It does not act alone but rather in concert with other granzymes and proteins to effectively execute cell death. Granzyme K can degrade cellular proteins once introduced into a target cell's cytoplasm leading to apoptosis. The protease functions independently and does not require a complex for its activity contributing to the immune system's ability to eliminate infected or transformed cells.

Pathways

The granzyme K protein exists within essential immune regulatory pathways such as the cytotoxic T lymphocyte-induced apoptosis pathway and the natural killer cell-mediated cytotoxicity pathway. Granzyme K acts alongside granzymes A and B to promote programmed cell death and finely tune host immune responses. While granzymes A and B have more defined roles granzyme K complements their activity offering redundancy and ensuring efficient elimination of harmful target cells.

Granzyme K shows significant connections to inflammatory conditions and autoimmune diseases such as rheumatoid arthritis. Elevated granzyme K levels in these diseases may result from dysregulated immune responses leading to excessive tissue damage. In autoimmune disorders granzyme K works in combination with proteins like perforin which facilitates entry of granzymes into the cell to stimulate apoptosis. Understanding granzyme K's role in these conditions may help develop therapeutic approaches to modulate immune activity and minimize tissue damage.

Product protocols

For this product, it's our understanding that no specific protocols are required. You can visit:

Publications (4)

Recent publications for all applications. Explore the full list and refine your search

World journal of diabetes 16:109553 PubMed40980297

2025

Farrerol ameliorates diabetic cardiomyopathy by inhibiting ferroptosis miR-29b-3p/SIRT1 signaling pathway in endothelial cells.

Applications

Unspecified application

Species

Unspecified reactive species

Yan Guo,Xin-Rou Yu,Hao-Di Gu,Yu-Jie Wang,Zhen-Gang Yang,Ju-Fang Chi,Liu-Ping Zhang,Hui Lin

Cellular and molecular gastroenterology and hepatology 19:101411 PubMed39349248

2024

Single-cell Profiling of Intrahepatic Immune Cells Reveals an Expansion of Tissue-resident Cytotoxic CD4 T Lymphocyte Subset Associated With Pathogenesis of Alcoholic-associated Liver Diseases.

Applications

Unspecified application

Species

Unspecified reactive species

Chao Gao,Shiguan Wang,Xiaoyu Xie,Pierluigi Ramadori,Xinying Li,Xiaoyu Liu,Xue Ding,Jinyuan Liang,Bowen Xu,Yawei Feng,Xueying Tan,Haoran Wang,Yan Zhang,Haiyan Zhang,Tingguo Zhang,Ping Mi,Shiyang Li,Cuijuan Zhang,Detian Yuan,Mathias Heikenwalder,Peng Zhang

NPJ precision oncology 8:159 PubMed39060379

2024

Novel molecular subtypes of METex14 non-small cell lung cancer with distinct biological and clinical significance.

Applications

Unspecified application

Species

Unspecified reactive species

Shengnan Chen,Tao Hu,Jikai Zhao,Qian Zhu,Jin Wang,Zhan Huang,Chan Xiang,Ruiying Zhao,Changbin Zhu,Shun Lu,Yuchen Han

Environmental toxicology 39:890-904 PubMed37956258

2023

Multidimensional progressive single-cell sequencing reveals cell microenvironment composition and cancer heterogeneity in lung cancer.

Applications

Unspecified application

Species

Unspecified reactive species

Hua Chen,Anqi Song,Faisal Ul Rehman,Dan Han
View all publications

Product promise

We are committed to supporting your work with high-quality reagents, and we're here for you every step of the way. In the unlikely event that one of our products does not perform as expected, you're protected by our Product Promise.
For full details, please see our Terms & Conditions

Please note: All products are 'FOR RESEARCH USE ONLY. NOT FOR USE IN DIAGNOSTIC OR THERAPEUTIC PROCEDURES'.

For licensing inquiries, please contact partnerships@abcam.com