JavaScript is disabled in your browser. Please enable JavaScript to view this website.
AB119244

Anti-GRAP2 antibody [OTI1G2]

Be the first to review this product! Submit a review

|

(1 Publication)

Mouse Monoclonal GRAP2 antibody. Suitable for WB, IHC-P, Flow Cyt (Intra) and reacts with Human, Recombinant full length protein - Human samples. Cited in 1 publication. Immunogen corresponding to Recombinant Full Length Protein corresponding to Human GRAP2.

View Alternative Names

GADS, GRB2L, GRID, GRAP2, GRB2-related adapter protein 2, Adapter protein GRID, GRB-2-like protein, GRBLG, GRBX, Grf40 adapter protein, Growth factor receptor-binding protein, Hematopoietic cell-associated adapter protein GrpL, P38, Protein GADS, SH3-SH2-SH3 adapter Mona, Grf-40

7 Images
Flow Cytometry (Intracellular) - Anti-GRAP2 antibody [OTI1G2] (AB119244)
  • Flow Cyt (Intra)

Unknown

Flow Cytometry (Intracellular) - Anti-GRAP2 antibody [OTI1G2] (AB119244)

Flow cytometric analysis of HEK-293T (human epithelial cell line from embryonic kidney transformed with large T antigen) cells transfected with either pCMV6-ENTRY GRAP2 overexpress plasmid (Red) or empty vector control plasmid (Blue) labeling GRAP2 using ab119244 at 1/100 dilution.

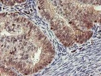
Immunohistochemistry (Formalin/PFA-fixed paraffin-embedded sections) - Anti-GRAP2 antibody [OTI1G2] (AB119244)
  • IHC-P

Unknown

Immunohistochemistry (Formalin/PFA-fixed paraffin-embedded sections) - Anti-GRAP2 antibody [OTI1G2] (AB119244)

Paraffin-embedded human endometrium adenocarcinoma tissue stained for GRAP2 using ab119244 at 1/150 in mmunohistochemical analysis.

Immunohistochemistry (Formalin/PFA-fixed paraffin-embedded sections) - Anti-GRAP2 antibody [OTI1G2] (AB119244)
  • IHC-P

Unknown

Immunohistochemistry (Formalin/PFA-fixed paraffin-embedded sections) - Anti-GRAP2 antibody [OTI1G2] (AB119244)

Paraffin-embedded human bladder carcinoma tissue stained for GRAP2 using ab119244 at 1/150 in mmunohistochemical analysis.

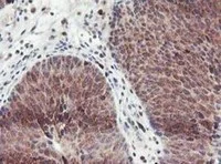
Immunohistochemistry (Formalin/PFA-fixed paraffin-embedded sections) - Anti-GRAP2 antibody [OTI1G2] (AB119244)
  • IHC-P

Unknown

Immunohistochemistry (Formalin/PFA-fixed paraffin-embedded sections) - Anti-GRAP2 antibody [OTI1G2] (AB119244)

Paraffin-embedded human endometrium tissue stained for GRAP2 using ab119244 at 1/150 in mmunohistochemical analysis.

Flow Cytometry (Intracellular) - Anti-GRAP2 antibody [OTI1G2] (AB119244)
  • Flow Cyt (Intra)

Unknown

Flow Cytometry (Intracellular) - Anti-GRAP2 antibody [OTI1G2] (AB119244)

Flow cytometric analysis of Jurkat (human T cell leukemia cell line from peripheral blood) cells stained for GRAP2 using ab119244 at 1/100 dilution (Red) compared to a nonspecific negative control antibody (Blue).

Western blot - Anti-GRAP2 antibody [OTI1G2] (AB119244)
  • WB

Unknown

Western blot - Anti-GRAP2 antibody [OTI1G2] (AB119244)

All lanes:

Western blot - Anti-GRAP2 antibody [OTI1G2] (ab119244) at 1/500 dilution

Lane 1:

HepG2 (human liver hepatocellular carcinoma cell line) cell extract at 35 µg

Lane 2:

HeLa (human epithelial cell line from cervix adenocarcinoma) cell extract at 35 µg

Lane 3:

SVT2 cell extract at 35 µg

Lane 4:

A549 (human lung carcinoma cell line) cell extract at 35 µg

Lane 5:

COS-7 (african green monkey kidney fibroblast-like cell line) cell extract at 35 µg

Lane 6:

Jurkat (human T cell leukemia cell line from peripheral blood) cell extract at 35 µg

Lane 7:

MDCK (Canine kidney cell line) cell extract at 35 µg

Lane 8:

PC-12 (Rat adrenal gland pheochromocytoma cell line) cell extract at 35 µg

Lane 9:

MCF7 (Human breast adenocarcinoma cell line) cell extract at 35 µg

Predicted band size: 37 kDa

false

Western blot - Anti-GRAP2 antibody [OTI1G2] (AB119244)
  • WB

Unknown

Western blot - Anti-GRAP2 antibody [OTI1G2] (AB119244)

All lanes:

Western blot - Anti-GRAP2 antibody [OTI1G2] (ab119244) at 1/500 dilution

Lane 1:

HEK-293T (human epithelial cell line from embryonic kidney transformed with large T antigen) cell lysate transfected with pCMV6-ENTRY control cDNA at 5 µg

Lane 2:

HEK-293T cell lysate transfected with pCMV6-ENTRY GRAP2 cDNA at 5 µg

Predicted band size: 37 kDa

false

Key facts

Host species

Mouse

Clonality

Monoclonal

Clone number

OTI1G2

Isotype

IgG1

Carrier free

No

Reacts with

Human

Applications

Flow Cyt (Intra), IHC-P, WB

applications

Immunogen

Recombinant Full Length Protein corresponding to Human GRAP2.

O75791

Reactivity data

{ "title": "Reactivity Data", "filters": { "stats": ["", "Species", "Dilution Info", "Notes"], "tabs": { "all-applications": {"fullname" : "All Applications", "shortname": "All Applications"}, "WB" : {"fullname" : "Western blot", "shortname":"WB"}, "IHCP" : {"fullname" : "Immunohistochemistry (Formalin/PFA-fixed paraffin-embedded sections)", "shortname":"IHC-P"}, "FlowCytIntra" : {"fullname" : "Flow Cytometry (Intracellular)", "shortname":"Flow Cyt (Intra)"} }, "product-promise": { "all": "all", "testedAndGuaranteed": "tested", "guaranteed": "expected", "predicted": "predicted", "notRecommended": "not-recommended" } }, "values": { "Human": { "WB-species-checked": "testedAndGuaranteed", "WB-species-dilution-info": "1/500 - 1/2000", "WB-species-notes": "<p></p>", "IHCP-species-checked": "testedAndGuaranteed", "IHCP-species-dilution-info": "1/150", "IHCP-species-notes": "<p></p>", "FlowCytIntra-species-checked": "testedAndGuaranteed", "FlowCytIntra-species-dilution-info": "1/100", "FlowCytIntra-species-notes": "<p></p>" }, "Recombinant full length protein - Human": { "WB-species-checked": "notRecommended", "WB-species-dilution-info": "", "WB-species-notes": "", "IHCP-species-checked": "notRecommended", "IHCP-species-dilution-info": "", "IHCP-species-notes": "", "FlowCytIntra-species-checked": "testedAndGuaranteed", "FlowCytIntra-species-dilution-info": "1/100", "FlowCytIntra-species-notes": "<p></p>" } } }

Product details

Clone OTI1G2 (formerly 1G2).

Properties and storage information

Form
Liquid
Purification technique
Affinity purification
Purification notes
Purified from cell culture supernatant.
Storage buffer
pH: 7.3 Preservative: 0.02% Sodium azide Constituents: PBS, 50% Glycerol (glycerin, glycerine), 1% BSA
Shipped at conditions
Blue Ice
Appropriate short-term storage duration
1-2 weeks
Appropriate short-term storage conditions
+4°C
Appropriate long-term storage conditions
-20°C
Aliquoting information
Upon delivery aliquot
Storage information
Avoid freeze / thaw cycle

Supplementary information

This supplementary information is collated from multiple sources and compiled automatically.

The protein GRAP2 also known as Gads plays an important role in intracellular signaling mechanisms. It is an adaptor protein with a mass of about 37 kDa. GRAP2 predominantly expresses in hematopoietic cells where it facilitates specific downstream signaling pathways. The protein assists in linking cell surface receptors to downstream signaling molecules enabling effective transmission of cellular signals.
Biological function summary

GRAP2 participates in the immune response by acting as a mediator that aids the assembly of signaling complexes. It often interacts with other proteins such as SLP-76 which is involved in specific immune cell activation. GRAP2 forms part of larger signaling complexes which are critical for the proper development and function of immune cells. This role highlights its importance in maintaining efficient immune surveillance and response.

Pathways

GRAP2 significantly contributes to the T-cell receptor (TCR) signaling pathway. It plays an integral part by interacting with proteins like LAT and ZAP-70 providing a scaffold for the further propagation of activation signals. Additionally in the Ras signaling pathway GRAP2 associates with other adaptor proteins coordinating downstream signaling needed for T cell activation and function.

GRAP2 has associations with immune system Pact conditions notably autoimmune diseases such as systemic lupus erythematosus (SLE). Its interactions with proteins like LAT and SLP-76 are important in these dysregulation of immune responses seen in these disorders. Any alteration in GRAP2 function or expression pathways could therefore potentially contribute to pathological immune activation reflecting its potential as a therapeutic target.

Product protocols

For this product, it's our understanding that no specific protocols are required. You can visit:

Target data

Interacts with SLP-76 to regulate NF-AT activation. Binds to tyrosine-phosphorylated shc.
See full target information GRAP2

Publications (1)

Recent publications for all applications. Explore the full list and refine your search

Frontiers in immunology 11:1559 PubMed32849529

2020

PDLIM7 Synergizes With PDLIM2 and p62/Sqstm1 to Inhibit Inflammatory Signaling by Promoting Degradation of the p65 Subunit of NF-κB.

Applications

Unspecified application

Species

Unspecified reactive species

Aya Jodo,Azusa Shibazaki,Asuka Onuma,Tsuneyasu Kaisho,Takashi Tanaka
View all publications

Product promise

We are committed to supporting your work with high-quality reagents, and we're here for you every step of the way. In the unlikely event that one of our products does not perform as expected, you're protected by our Product Promise.
For full details, please see our Terms & Conditions

Please note: All products are 'FOR RESEARCH USE ONLY. NOT FOR USE IN DIAGNOSTIC OR THERAPEUTIC PROCEDURES'.

For licensing inquiries, please contact partnerships@abcam.com