JavaScript is disabled in your browser. Please enable JavaScript to view this website.
AB249824

Anti-GRASP65 antibody [EPR12439] - BSA and Azide free

Be the first to review this product! Submit a review

|

(1 Publication)

Rabbit Recombinant Monoclonal GRASP65 antibody. Carrier free. Suitable for IHC-P, IP, WB, ICC/IF, Flow Cyt (Intra) and reacts with Human samples. Cited in 1 publication.

View Alternative Names

GOLPH5, GRASP65, GORASP1, Golgi reassembly-stacking protein 1, Golgi peripheral membrane protein p65, Golgi phosphoprotein 5, Golgi reassembly-stacking protein of 65 kDa

6 Images
Immunocytochemistry/ Immunofluorescence - Anti-GRASP65 antibody [EPR12439] - BSA and Azide free (AB249824)
  • ICC/IF

Supplier Data

Immunocytochemistry/ Immunofluorescence - Anti-GRASP65 antibody [EPR12439] - BSA and Azide free (AB249824)

This data was developed using ab174834, the same antibody clone in a different buffer formulation.

Immunofluorescent analysis of HepG2 cells, labeling GRASP65 with ab174834 at 1/100 dilution (red). DAPI nuclear staining (blue).

Western blot - Anti-GRASP65 antibody [EPR12439] - BSA and Azide free (AB249824)
  • WB

Supplier Data

Western blot - Anti-GRASP65 antibody [EPR12439] - BSA and Azide free (AB249824)

This data was developed using ab174834, the same antibody clone in a different buffer formulation.

All lanes:

Western blot - Anti-GRASP65 antibody [EPR12439] - C-terminal (<a href='/en-us/products/primary-antibodies/grasp65-antibody-epr12439-c-terminal-ab174834'>ab174834</a>) at 1/1000 dilution

Lane 1:

293T cell lysate at 10 µg

Lane 2:

HeLa cell lysate at 10 µg

Lane 3:

HepG2 cell lysate at 10 µg

Lane 4:

MCF7 cell lysate at 10 µg

Secondary

All lanes:

Goat anti-rabbit HRP-conjugated at 1/2000 dilution

Predicted band size: 46 kDa

true

Immunohistochemistry (Formalin/PFA-fixed paraffin-embedded sections) - Anti-GRASP65 antibody [EPR12439] - BSA and Azide free (AB249824)
  • IHC-P

Supplier Data

Immunohistochemistry (Formalin/PFA-fixed paraffin-embedded sections) - Anti-GRASP65 antibody [EPR12439] - BSA and Azide free (AB249824)

This data was developed using ab174834, the same antibody clone in a different buffer formulation.

Immunohistochemical analysis of formalin-fixed, paraffin-embedded Human colon tissue, labeling GRASP65 with ab174834 at 1/50 dilution.

Perform heat mediated antigen retrieval with citrate buffer pH 6 before commencing with IHC staining protocol.

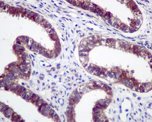
Immunohistochemistry (Formalin/PFA-fixed paraffin-embedded sections) - Anti-GRASP65 antibody [EPR12439] - BSA and Azide free (AB249824)
  • IHC-P

Supplier Data

Immunohistochemistry (Formalin/PFA-fixed paraffin-embedded sections) - Anti-GRASP65 antibody [EPR12439] - BSA and Azide free (AB249824)

This data was developed using ab174834, the same antibody clone in a different buffer formulation.

Immunohistochemical analysis of formalin-fixed, paraffin-embedded Human uterus tissue, labeling GRASP65 with ab174834 at 1/50 dilution.

Perform heat mediated antigen retrieval with citrate buffer pH 6 before commencing with IHC staining protocol.

Flow Cytometry (Intracellular) - Anti-GRASP65 antibody [EPR12439] - BSA and Azide free (AB249824)
  • Flow Cyt (Intra)

Supplier Data

Flow Cytometry (Intracellular) - Anti-GRASP65 antibody [EPR12439] - BSA and Azide free (AB249824)

This data was developed using ab174834, the same antibody clone in a different buffer formulation.

Intracellular Flow Cytometry analysis of permeabilized HeLa cells labeling GRASP65 with ab174834 at 1/10 dilution (red), or negative control rabbit IgG (green).

Immunoprecipitation - Anti-GRASP65 antibody [EPR12439] - BSA and Azide free (AB249824)
  • IP

Supplier Data

Immunoprecipitation - Anti-GRASP65 antibody [EPR12439] - BSA and Azide free (AB249824)

This data was developed using ab174834, the same antibody clone in a different buffer formulation.

Western blot analysis on immunoprecipitation pellet from HeLa cell lysate labeling GRASP65, immunoprecipitated using ab174834 at 1/10 dilution.

All lanes:

Immunoprecipitation - Anti-GRASP65 antibody [EPR12439] - C-terminal (<a href='/en-us/products/primary-antibodies/grasp65-antibody-epr12439-c-terminal-ab174834'>ab174834</a>)

Predicted band size: 46 kDa

true

  • Unconjugated

    Anti-GRASP65 antibody [EPR12439] - C-terminal

Key facts

Host species

Rabbit

Clonality

Monoclonal

Clone number

EPR12439

Isotype

IgG

Carrier free

Yes

Reacts with

Human

Applications

IP, WB, IHC-P, ICC/IF, Flow Cyt (Intra)

applications

Immunogen

The exact immunogen used to generate this antibody is proprietary information.

Reactivity data

{ "title": "Reactivity Data", "filters": { "stats": ["", "Species", "Dilution Info", "Notes"], "tabs": { "all-applications": {"fullname" : "All Applications", "shortname": "All Applications"}, "IHCP" : {"fullname" : "Immunohistochemistry (Formalin/PFA-fixed paraffin-embedded sections)", "shortname":"IHC-P"}, "IP" : {"fullname" : "Immunoprecipitation", "shortname":"IP"}, "WB" : {"fullname" : "Western blot", "shortname":"WB"}, "ICCIF" : {"fullname" : "Immunocytochemistry/ Immunofluorescence", "shortname":"ICC/IF"}, "FlowCytIntra" : {"fullname" : "Flow Cytometry (Intracellular)", "shortname":"Flow Cyt (Intra)"} }, "product-promise": { "all": "all", "testedAndGuaranteed": "tested", "guaranteed": "expected", "predicted": "predicted", "notRecommended": "not-recommended" } }, "values": { "Human": { "IHCP-species-checked": "testedAndGuaranteed", "IHCP-species-dilution-info": "", "IHCP-species-notes": "<p></p> Perform heat-mediated antigen retrieval with citrate buffer pH 6 before commencing with IHC staining protocol.", "IP-species-checked": "testedAndGuaranteed", "IP-species-dilution-info": "", "IP-species-notes": "<p></p>", "WB-species-checked": "testedAndGuaranteed", "WB-species-dilution-info": "", "WB-species-notes": "<p></p>", "ICCIF-species-checked": "testedAndGuaranteed", "ICCIF-species-dilution-info": "", "ICCIF-species-notes": "<p></p>", "FlowCytIntra-species-checked": "testedAndGuaranteed", "FlowCytIntra-species-dilution-info": "", "FlowCytIntra-species-notes": "<p></p>" }, "Mouse": { "IHCP-species-checked": "notRecommended", "IHCP-species-dilution-info": "", "IHCP-species-notes": "<p></p> Perform heat-mediated antigen retrieval with citrate buffer pH 6 before commencing with IHC staining protocol.", "IP-species-checked": "notRecommended", "IP-species-dilution-info": "", "IP-species-notes": "<p></p>", "WB-species-checked": "notRecommended", "WB-species-dilution-info": "", "WB-species-notes": "<p></p>", "ICCIF-species-checked": "notRecommended", "ICCIF-species-dilution-info": "", "ICCIF-species-notes": "<p></p>", "FlowCytIntra-species-checked": "notRecommended", "FlowCytIntra-species-dilution-info": "", "FlowCytIntra-species-notes": "<p></p>" }, "Rat": { "IHCP-species-checked": "notRecommended", "IHCP-species-dilution-info": "", "IHCP-species-notes": "<p></p> Perform heat-mediated antigen retrieval with citrate buffer pH 6 before commencing with IHC staining protocol.", "IP-species-checked": "notRecommended", "IP-species-dilution-info": "", "IP-species-notes": "<p></p>", "WB-species-checked": "notRecommended", "WB-species-dilution-info": "", "WB-species-notes": "<p></p>", "ICCIF-species-checked": "notRecommended", "ICCIF-species-dilution-info": "", "ICCIF-species-notes": "<p></p>", "FlowCytIntra-species-checked": "notRecommended", "FlowCytIntra-species-dilution-info": "", "FlowCytIntra-species-notes": "<p></p>" } } }

Product details

ab249824 is the carrier-free version of ab174834.

Patented technology
Our RabMAb® technology is a patented hybridoma-based technology for making rabbit monoclonal antibodies. For details on our patents, please refer to RabMAb® patents.

What are the advantages of a recombinant monoclonal antibody?
This product is a recombinant monoclonal antibody, which offers several advantages including:

  • - High batch-to-batch consistency and reproducibility
  • - Improved sensitivity and specificity
  • - Long-term security of supply
  • - Animal-free batch production

For more information, read more on recombinant antibodies.

Conjugation ready
Our carrier-free antibodies are typically supplied in a PBS-only formulation, purified and free of BSA, sodium azide and glycerol. This conjugation-ready format is designed for use with fluorochromes, metal isotopes, oligonucleotides, and enzymes, which makes them ideal for antibody labelling, functional and cell-based assays, flow-based assays (e.g. mass cytometry) and Multiplex Imaging applications.

Use our conjugation kits for antibody conjugates that are ready-to-use in as little as 20 minutes with 1 minute hands-on-time and 100% antibody recovery: available for fluorescent dyes, HRP, biotin and gold.

Compatibility
This product is compatible with the Maxpar® Antibody Labeling Kit from Fluidigm, without the need for antibody preparation. Maxpar® is a trademark of Fluidigm Canada Inc.

Properties and storage information

Form
Liquid
Purification technique
Affinity purification
Storage buffer
pH: 7.2 - 7.4 Constituents: PBS
Shipped at conditions
Blue Ice
Appropriate short-term storage conditions
+4°C
Appropriate long-term storage conditions
+4°C
Storage information
Do Not Freeze

Supplementary information

This supplementary information is collated from multiple sources and compiled automatically.

GRASP65 also known as Golgi reassembly stacking protein 65 is an important Golgi apparatus-associated protein. It weighs approximately 74 kDa and is expressed predominantly in mammalian cells. GRASP65 localizes to the cis-Golgi cisternae performing functions necessary for preserving the Golgi structure and facilitating protein trafficking. This protein plays a role in maintaining the Golgi ribbon during the cell cycle which is essential for proper cellular operation.
Biological function summary

GRASP65 participates in key processes related to Golgi stack organization and structure. It forms a complex with other Golgi proteins acting as an important scaffold protein during membrane tethering and linking adjacent Golgi membranes. GRASP65 influences Golgi dynamics by regulating Golgi stacking and membrane fusion events which are essential processes for the normal functioning of the secretory pathway.

Pathways

GRASP65 integrates into the mitotic Golgi fragmentation pathway and also influences the ER-to-Golgi transport pathway. It interacts with proteins such as GM130 and forms a bridge between vesicles and Golgi membranes influencing vesicle tethering and cisternal formation. In these roles GRASP65 helps coordinate Golgi disassembly and reassembly processes that are important during cell division to ensure proper Golgi inheritance among daughter cells.

GRASP65 displays relationships with certain neurodegenerative and cancerous conditions. Dysfunctional GRASP65 activity associates with Alzheimer's disease-related pathologies potentially linked through proteins such as tau which aggregates during disease progression. It also connects to certain cancers by misregulating Golgi structure suggesting a role in improper cell cycle control. Understanding GRASP65's function and regulation could offer insights into therapeutic strategies for these diseases.

Product protocols

For this product, it's our understanding that no specific protocols are required. You can visit:

Target data

Key structural protein of the Golgi apparatus (PubMed : 33301566). The membrane cisternae of the Golgi apparatus adhere to each other to form stacks, which are aligned side by side to form the Golgi ribbon (PubMed : 33301566). Acting in concert with GORASP2/GRASP55, is required for the formation and maintenance of the Golgi ribbon, and may be dispensable for the formation of stacks (PubMed : 33301566). However, other studies suggest that GORASP1 plays an important role in assembly and membrane stacking of the cisternae, and in the reassembly of Golgi stacks after breakdown during mitosis (By similarity). Caspase-mediated cleavage of GORASP1 is required for fragmentation of the Golgi during apoptosis (By similarity). Also mediates, via its interaction with GOLGA2/GM130, the docking of transport vesicles with the Golgi membranes (PubMed : 16489344). Mediates ER stress-induced unconventional (ER/Golgi-independent) trafficking of core-glycosylated CFTR to cell membrane (PubMed : 21884936).
See full target information GORASP1

Publications (1)

Recent publications for all applications. Explore the full list and refine your search

Frontiers in cell and developmental biology 9:775642 PubMed35004677

2021

HIF-1α Induces HECTD2 Up-Regulation and Aggravates the Malignant Progression of Renal Cell Cancer Repressing miR-320a.

Applications

Unspecified application

Species

Unspecified reactive species

Dong Lv,Taimin Shen,Juncheng Yao,Qi Yang,Ying Xiang,Zhiwei Ma
View all publications

Product promise

We are committed to supporting your work with high-quality reagents, and we're here for you every step of the way. In the unlikely event that one of our products does not perform as expected, you're protected by our Product Promise.
For full details, please see our Terms & Conditions

Please note: All products are 'FOR RESEARCH USE ONLY. NOT FOR USE IN DIAGNOSTIC OR THERAPEUTIC PROCEDURES'.

For licensing inquiries, please contact partnerships@abcam.com