JavaScript is disabled in your browser. Please enable JavaScript to view this website.
AB174834

Anti-GRASP65 antibody [EPR12439] - C-terminal

5

(4 Reviews)

|

(15 Publications)

Rabbit Recombinant Monoclonal GRASP65 antibody. C-terminal. Suitable for IHC-P, IP, WB, ICC/IF, Flow Cyt (Intra) and reacts with Human samples. Cited in 15 publications.

View Alternative Names

GOLPH5, GRASP65, GORASP1, Golgi reassembly-stacking protein 1, Golgi peripheral membrane protein p65, Golgi phosphoprotein 5, Golgi reassembly-stacking protein of 65 kDa

6 Images
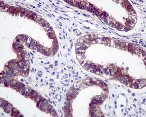
Immunohistochemistry (Formalin/PFA-fixed paraffin-embedded sections) - Anti-GRASP65 antibody [EPR12439] - C-terminal (AB174834)
  • IHC-P

Supplier Data

Immunohistochemistry (Formalin/PFA-fixed paraffin-embedded sections) - Anti-GRASP65 antibody [EPR12439] - C-terminal (AB174834)

Immunohistochemical analysis of formalin-fixed paraffin-embedded Human uterus tissue labeling GRASP65 with ab174834 at 1/50 dilution.

Perform heat mediated antigen retrieval with citrate buffer pH 6 before commencing with IHC staining protocol.

Flow Cytometry (Intracellular) - Anti-GRASP65 antibody [EPR12439] - C-terminal (AB174834)
  • Flow Cyt (Intra)

Supplier Data

Flow Cytometry (Intracellular) - Anti-GRASP65 antibody [EPR12439] - C-terminal (AB174834)

Intracellular Flow Cytometry analysis of permeabilized HeLa cells labeling GRASP65with ab174834 at 1/10 dilution (red), or negative control rabbit IgG (green).

Immunohistochemistry (Formalin/PFA-fixed paraffin-embedded sections) - Anti-GRASP65 antibody [EPR12439] - C-terminal (AB174834)
  • IHC-P

Supplier Data

Immunohistochemistry (Formalin/PFA-fixed paraffin-embedded sections) - Anti-GRASP65 antibody [EPR12439] - C-terminal (AB174834)

Immunohistochemical analysis of formalin-fixed paraffin-embedded Human colon tissue labeling GRASP65 with ab174834 at 1/50 dilution.

Perform heat mediated antigen retrieval with citrate buffer pH 6 before commencing with IHC staining protocol.

Immunocytochemistry/ Immunofluorescence - Anti-GRASP65 antibody [EPR12439] - C-terminal (AB174834)
  • ICC/IF

Supplier Data

Immunocytochemistry/ Immunofluorescence - Anti-GRASP65 antibody [EPR12439] - C-terminal (AB174834)

Immunofluorescent analysis of HepG2 cells labeling GRASP65 with ab174834 at 1/100 dilution (red). DAPI nuclear staining (blue).

Immunoprecipitation - Anti-GRASP65 antibody [EPR12439] - C-terminal (AB174834)
  • IP

Supplier Data

Immunoprecipitation - Anti-GRASP65 antibody [EPR12439] - C-terminal (AB174834)

Western blot analysis on immunoprecipitation pellet from HeLa cell lysate labeling GRASP65, immunoprecipitated using ab174834 at 1/10 dilution.

All lanes:

Immunoprecipitation - Anti-GRASP65 antibody [EPR12439] - C-terminal (ab174834)

Predicted band size: 46 kDa

true

Western blot - Anti-GRASP65 antibody [EPR12439] - C-terminal (AB174834)
  • WB

Supplier Data

Western blot - Anti-GRASP65 antibody [EPR12439] - C-terminal (AB174834)

All lanes:

Western blot - Anti-GRASP65 antibody [EPR12439] - C-terminal (ab174834) at 1/1000 dilution

Lane 1:

293T cell lysate at 10 µg

Lane 2:

HeLa cell lysate at 10 µg

Lane 3:

HepG2 cell lysate at 10 µg

Lane 4:

MCF7 cell lysate at 10 µg

Secondary

All lanes:

Goat anti-rabbit HRP-conjugated at 1/2000 dilution

Predicted band size: 46 kDa

true

  • Carrier free

    Anti-GRASP65 antibody [EPR12439] - BSA and Azide free

Key facts

Host species

Rabbit

Clonality

Monoclonal

Clone number

EPR12439

Isotype

IgG

Carrier free

No

Reacts with

Human

Applications

WB, Flow Cyt (Intra), IHC-P, IP, ICC/IF

applications

Immunogen

The exact immunogen used to generate this antibody is proprietary information.

Reactivity data

{ "title": "Reactivity Data", "filters": { "stats": ["", "Species", "Dilution Info", "Notes"], "tabs": { "all-applications": {"fullname" : "All Applications", "shortname": "All Applications"}, "IHCP" : {"fullname" : "Immunohistochemistry (Formalin/PFA-fixed paraffin-embedded sections)", "shortname":"IHC-P"}, "IP" : {"fullname" : "Immunoprecipitation", "shortname":"IP"}, "WB" : {"fullname" : "Western blot", "shortname":"WB"}, "ICCIF" : {"fullname" : "Immunocytochemistry/ Immunofluorescence", "shortname":"ICC/IF"}, "FlowCytIntra" : {"fullname" : "Flow Cytometry (Intracellular)", "shortname":"Flow Cyt (Intra)"} }, "product-promise": { "all": "all", "testedAndGuaranteed": "tested", "guaranteed": "expected", "predicted": "predicted", "notRecommended": "not-recommended" } }, "values": { "Human": { "IHCP-species-checked": "testedAndGuaranteed", "IHCP-species-dilution-info": "1/50 - 1/100", "IHCP-species-notes": "<p></p>", "IP-species-checked": "testedAndGuaranteed", "IP-species-dilution-info": "1/10 - 1/100", "IP-species-notes": "<p></p>", "WB-species-checked": "testedAndGuaranteed", "WB-species-dilution-info": "1/1000 - 1/5000", "WB-species-notes": "<p></p>", "ICCIF-species-checked": "testedAndGuaranteed", "ICCIF-species-dilution-info": "1/100 - 1/250", "ICCIF-species-notes": "<p></p>", "FlowCytIntra-species-checked": "testedAndGuaranteed", "FlowCytIntra-species-dilution-info": "1/10 - 1/100", "FlowCytIntra-species-notes": "<p><a href='/en-us/products/primary-antibodies/rabbit-igg-monoclonal-epr25a-isotype-control-ab172730'>ab172730</a> - Rabbit monoclonal IgG, is suitable for use as an isotype control with this antibody.</p>" }, "Mouse": { "IHCP-species-checked": "notRecommended", "IHCP-species-dilution-info": "1/50 - 1/100", "IHCP-species-notes": "<p></p>", "IP-species-checked": "notRecommended", "IP-species-dilution-info": "1/10 - 1/100", "IP-species-notes": "<p></p>", "WB-species-checked": "notRecommended", "WB-species-dilution-info": "1/1000 - 1/5000", "WB-species-notes": "<p></p>", "ICCIF-species-checked": "notRecommended", "ICCIF-species-dilution-info": "1/100 - 1/250", "ICCIF-species-notes": "<p></p>", "FlowCytIntra-species-checked": "notRecommended", "FlowCytIntra-species-dilution-info": "1/10 - 1/100", "FlowCytIntra-species-notes": "<p><a href='/en-us/products/primary-antibodies/rabbit-igg-monoclonal-epr25a-isotype-control-ab172730'>ab172730</a> - Rabbit monoclonal IgG, is suitable for use as an isotype control with this antibody.</p>" }, "Rat": { "IHCP-species-checked": "notRecommended", "IHCP-species-dilution-info": "1/50 - 1/100", "IHCP-species-notes": "<p></p>", "IP-species-checked": "notRecommended", "IP-species-dilution-info": "1/10 - 1/100", "IP-species-notes": "<p></p>", "WB-species-checked": "notRecommended", "WB-species-dilution-info": "1/1000 - 1/5000", "WB-species-notes": "<p></p>", "ICCIF-species-checked": "notRecommended", "ICCIF-species-dilution-info": "1/100 - 1/250", "ICCIF-species-notes": "<p></p>", "FlowCytIntra-species-checked": "notRecommended", "FlowCytIntra-species-dilution-info": "1/10 - 1/100", "FlowCytIntra-species-notes": "<p><a href='/en-us/products/primary-antibodies/rabbit-igg-monoclonal-epr25a-isotype-control-ab172730'>ab172730</a> - Rabbit monoclonal IgG, is suitable for use as an isotype control with this antibody.</p>" } } }

Product details

Patented technology
Our RabMAb® technology is a patented hybridoma-based technology for making rabbit monoclonal antibodies. For details on our patents, please refer to RabMAb® patents.

What are the advantages of a recombinant monoclonal antibody?
This product is a recombinant monoclonal antibody, which offers several advantages including:

  • - High batch-to-batch consistency and reproducibility
  • - Improved sensitivity and specificity
  • - Long-term security of supply
  • - Animal-free batch production

For more information, read more on recombinant antibodies.

Properties and storage information

Form
Liquid
Purity
Tissue culture supernatant
Storage buffer
pH: 7.2 - 7.4 Preservative: 0.01% Sodium azide Constituents: PBS, 50% Tissue culture supernatant, 40% Glycerol (glycerin, glycerine), 0.05% BSA
Shipped at conditions
Blue Ice
Appropriate short-term storage duration
1-2 weeks
Appropriate short-term storage conditions
+4°C
Appropriate long-term storage conditions
-20°C
Aliquoting information
Upon delivery aliquot
Storage information
Avoid freeze / thaw cycle

Supplementary information

This supplementary information is collated from multiple sources and compiled automatically.

GRASP65 also known as Golgi reassembly stacking protein 65 is an important Golgi apparatus-associated protein. It weighs approximately 74 kDa and is expressed predominantly in mammalian cells. GRASP65 localizes to the cis-Golgi cisternae performing functions necessary for preserving the Golgi structure and facilitating protein trafficking. This protein plays a role in maintaining the Golgi ribbon during the cell cycle which is essential for proper cellular operation.
Biological function summary

GRASP65 participates in key processes related to Golgi stack organization and structure. It forms a complex with other Golgi proteins acting as an important scaffold protein during membrane tethering and linking adjacent Golgi membranes. GRASP65 influences Golgi dynamics by regulating Golgi stacking and membrane fusion events which are essential processes for the normal functioning of the secretory pathway.

Pathways

GRASP65 integrates into the mitotic Golgi fragmentation pathway and also influences the ER-to-Golgi transport pathway. It interacts with proteins such as GM130 and forms a bridge between vesicles and Golgi membranes influencing vesicle tethering and cisternal formation. In these roles GRASP65 helps coordinate Golgi disassembly and reassembly processes that are important during cell division to ensure proper Golgi inheritance among daughter cells.

GRASP65 displays relationships with certain neurodegenerative and cancerous conditions. Dysfunctional GRASP65 activity associates with Alzheimer's disease-related pathologies potentially linked through proteins such as tau which aggregates during disease progression. It also connects to certain cancers by misregulating Golgi structure suggesting a role in improper cell cycle control. Understanding GRASP65's function and regulation could offer insights into therapeutic strategies for these diseases.

Product protocols

For this product, it's our understanding that no specific protocols are required. You can visit:

Target data

Key structural protein of the Golgi apparatus (PubMed : 33301566). The membrane cisternae of the Golgi apparatus adhere to each other to form stacks, which are aligned side by side to form the Golgi ribbon (PubMed : 33301566). Acting in concert with GORASP2/GRASP55, is required for the formation and maintenance of the Golgi ribbon, and may be dispensable for the formation of stacks (PubMed : 33301566). However, other studies suggest that GORASP1 plays an important role in assembly and membrane stacking of the cisternae, and in the reassembly of Golgi stacks after breakdown during mitosis (By similarity). Caspase-mediated cleavage of GORASP1 is required for fragmentation of the Golgi during apoptosis (By similarity). Also mediates, via its interaction with GOLGA2/GM130, the docking of transport vesicles with the Golgi membranes (PubMed : 16489344). Mediates ER stress-induced unconventional (ER/Golgi-independent) trafficking of core-glycosylated CFTR to cell membrane (PubMed : 21884936).
See full target information GORASP1

Publications (15)

Recent publications for all applications. Explore the full list and refine your search

FEBS open bio 15:165-179 PubMed39592427

2024

Alcohol induces α2-6sialo mucin O-glycans that kill U937 macrophages mediated by sialic acid-binding immunoglobulin-like lectin 7 (Siglec 7).

Applications

Unspecified application

Species

Unspecified reactive species

Pi-Wan Cheng,Vishwanath-Reddy Hothpet,Ganapati Bhat,Kristina Bailey,Lei Li,Derrick R Samuelson

The Journal of cell biology 223: PubMed39331042

2024

VPS13B is localized at the interface between Golgi cisternae and is a functional partner of FAM177A1.

Applications

Unspecified application

Species

Unspecified reactive species

Berrak Ugur,Florian Schueder,Jimann Shin,Michael G Hanna,Yumei Wu,Marianna Leonzino,Maohan Su,Anthony R McAdow,Catherine Wilson,John Postlethwait,Lilianna Solnica-Krezel,Joerg Bewersdorf,Pietro De Camilli

Cell communication and signaling : CCS 21:156 PubMed37370099

2023

The crescent-like Golgi ribbon is shaped by the Ajuba/PRMT5/Aurora-A complex-modified HURP.

Applications

Unspecified application

Species

Unspecified reactive species

Shao-Chih Chiu,Xin-Ting Yang,Tong-You Wade Wei,Yu-Ting Amber Liao,Jo-Mei Maureen Chen,Yi-Chun Kuo,Chun-Chih Jared Liu,Chiao-Yun Cheng,Yu-Ting Jenny Huang,Yun-Ru Jaoying Huang,He-Lian Joe Wu,Chang-Xin Wan,Jia-Rung Tsai,Chang-Tze Ricky Yu

Journal of cellular physiology 237:4517-4530 PubMed36250981

2022

The JMJD6/HURP axis promotes cell migration via NF-κB-dependent centrosome repositioning and Cdc42-mediated Golgi repositioning.

Applications

Unspecified application

Species

Unspecified reactive species

Yun-Ru Jaoying Huang,Shao-Chih Chiu,Jeng-Sen Tseng,Jo-Mei Maureen Chen,Tong-You Wade Wei,Chen-Yu Chu,Hsu-Ting Eric Kao,Chieh-Yun Oprah Yang,Yong-Chun Erin Shih,Tsung-Ying Yang,Kun-Yuan Chiu,Chieh-Lin Jerry Teng,Chang-Tze Ricky Yu

Neuroscience bulletin 38:249-262 PubMed34914033

2021

RhoGEF Trio Regulates Radial Migration of Projection Neurons via Its Distinct Domains.

Applications

Unspecified application

Species

Unspecified reactive species

Chengwen Wei,Mengwen Sun,Xiaoxuan Sun,Hu Meng,Qiongwei Li,Kai Gao,Weihua Yue,Lifang Wang,Dai Zhang,Jun Li

Communications biology 4:1370 PubMed34876695

2021

Tankyrase-1-mediated degradation of Golgin45 regulates glycosyltransferase trafficking and protein glycosylation in Rab2-GTP-dependent manner.

Applications

Unspecified application

Species

Unspecified reactive species

Xihua Yue,Neeraj Tiwari,Lianhui Zhu,Hai Dang Truong Ngo,Jae-Min Lim,Bopil Gim,Shuaiyang Jing,Yijing Wang,Yi Qian,Intaek Lee

Journal of cellular physiology 237:1033-1043 PubMed34541678

2021

The PRMT5/HURP axis retards Golgi repositioning by stabilizing acetyl-tubulin and Golgi apparatus during cell migration.

Applications

Unspecified application

Species

Unspecified reactive species

Shao-Chih Chiu,Yun-Ru Jaoying Huang,Tong-You Wade Wei,Jo-Mei Maureen Chen,Yi-Chun Kuo,Yu-Ting Jenny Huang,Yu-Ting Amber Liao,Chang-Tze Ricky Yu

International journal of molecular sciences 22: PubMed34502507

2021

Regulation of the Golgi Apparatus by p38 and JNK Kinases during Cellular Stress Responses.

Applications

Unspecified application

Species

Unspecified reactive species

Cathrine Nordgaard,Maxim A X Tollenaere,Ana Martinez Del Val,Dorte B Bekker-Jensen,Melanie Blasius,Jesper V Olsen,Simon Bekker-Jensen

Biochemical and biophysical research communications 527:406-410 PubMed32331836

2020

Markers of malignant prostate cancer cells: Golgi localization of α-mannosidase 1A at GM130-GRASP65 site and appearance of high mannose N-glycans on cell surface.

Applications

Unspecified application

Species

Unspecified reactive species

Pi-Wan Cheng,Samuel Davidson,Ganapati Bhat

Nature methods 17:225-231 PubMed31907447

2020

Nanoscale subcellular architecture revealed by multicolor three-dimensional salvaged fluorescence imaging.

Applications

Unspecified application

Species

Unspecified reactive species

Yongdeng Zhang,Lena K Schroeder,Mark D Lessard,Phylicia Kidd,Jeeyun Chung,Yuanbin Song,Lorena Benedetti,Yiming Li,Jonas Ries,Jonathan B Grimm,Luke D Lavis,Pietro De Camilli,James E Rothman,David Baddeley,Joerg Bewersdorf
View all publications

Product promise

We are committed to supporting your work with high-quality reagents, and we're here for you every step of the way. In the unlikely event that one of our products does not perform as expected, you're protected by our Product Promise.
For full details, please see our Terms & Conditions

Please note: All products are 'FOR RESEARCH USE ONLY. NOT FOR USE IN DIAGNOSTIC OR THERAPEUTIC PROCEDURES'.

For licensing inquiries, please contact partnerships@abcam.com