JavaScript is disabled in your browser. Please enable JavaScript to view this website.
AB2234

Anti-GRB2 antibody

4

(1 Review)

|

(2 Publications)

Goat Polyclonal GRB2 antibody. Suitable for WB, IHC-P and reacts with Pig, Rat, Mouse, Human samples. Cited in 2 publications. Immunogen corresponding to Synthetic Peptide within Human GRB2 aa 200 to C-terminus.

View Alternative Names

ASH, GRB2, Growth factor receptor-bound protein 2, Adapter protein GRB2, Protein Ash, SH2/SH3 adapter GRB2

4 Images
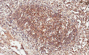
Immunohistochemistry (Formalin/PFA-fixed paraffin-embedded sections) - Anti-GRB2 antibody (AB2234)
  • IHC-P

Supplier Data

Immunohistochemistry (Formalin/PFA-fixed paraffin-embedded sections) - Anti-GRB2 antibody (AB2234)

ab2234 (1μg/ml) staining of paraffin embedded Human Lymph Node tissue. Microwaved antigen retrieval with citrate buffer pH 6, HRP-staining.

Western blot - Anti-GRB2 antibody (AB2234)
  • WB

Supplier Data

Western blot - Anti-GRB2 antibody (AB2234)

Primary incubation for 1 hour. Detected using chemiluminescence.

All lanes:

Western blot - Anti-GRB2 antibody (ab2234) at 0.05 µg/mL

Lane 1:

Human spleen tissue lysate in RIPA buffer at 35 µg

Lane 2:

Pig spleen tissue lysate in RIPA buffer at 35 µg

Predicted band size: 25 kDa

Observed band size: 26 kDa

false

Western blot - Anti-GRB2 antibody (AB2234)
  • WB

Supplier Data

Western blot - Anti-GRB2 antibody (AB2234)

Primary incubation for 1 hour. Detected using chemiluminescence.

Lane 1:

Western blot - Anti-GRB2 antibody (ab2234) at 0.05 µg/mL

Lane 2:

Western blot - Anti-GRB2 antibody (ab2234) at 0.05 µg

Lane 1:

Human thymus tissue lysate in RIPA buffer at 35 µg

Lane 2:

MOLT4 cell lysate in RIPA buffer at 35 µg

Predicted band size: 25 kDa

Observed band size: 26 kDa

false

Western blot - Anti-GRB2 antibody (AB2234)
  • WB

Supplier Data

Western blot - Anti-GRB2 antibody (AB2234)

Primary incubation for 1 hour. Detected using chemiluminescence.

All lanes:

Western blot - Anti-GRB2 antibody (ab2234) at 0.05 µg/mL

Lane 1:

Mouse brain tissue lysate in RIPA buffer at 35 µg

Lane 2:

Rat brain tissue lysate in RIPA buffer at 35 µg

Lane 3:

Mouse spleen tissue lysate in RIPA buffer at 35 µg

Lane 4:

Rat spleen tissue lysate in RIPA buffer at 35 µg

Predicted band size: 25 kDa

Observed band size: 26 kDa

false

Key facts

Host species

Goat

Clonality

Polyclonal

Isotype

IgG

Carrier free

No

Reacts with

Mouse, Rat, Human, Pig

Applications

WB, IHC-P

applications

Immunogen

Synthetic Peptide within Human GRB2 aa 200 to C-terminus. The exact immunogen used to generate this antibody is proprietary information.

P62993

Reactivity data

{ "title": "Reactivity Data", "filters": { "stats": ["", "Species", "Dilution Info", "Notes"], "tabs": { "all-applications": {"fullname" : "All Applications", "shortname": "All Applications"}, "WB" : {"fullname" : "Western blot", "shortname":"WB"}, "IHCP" : {"fullname" : "Immunohistochemistry (Formalin/PFA-fixed paraffin-embedded sections)", "shortname":"IHC-P"} }, "product-promise": { "all": "all", "testedAndGuaranteed": "tested", "guaranteed": "expected", "predicted": "predicted", "notRecommended": "not-recommended" } }, "values": { "Human": { "WB-species-checked": "testedAndGuaranteed", "WB-species-dilution-info": "0.05-0.15 µg/mL", "WB-species-notes": "<p>A 1 hour primary incubation is recommended for this product.</p>", "IHCP-species-checked": "testedAndGuaranteed", "IHCP-species-dilution-info": "1-2 µg/mL", "IHCP-species-notes": "<p>In paraffin embedded Human Tonsil, stains mantle zone and to a lessser extent germinal centre.</p>" }, "Mouse": { "WB-species-checked": "testedAndGuaranteed", "WB-species-dilution-info": "0.05-0.15 µg/mL", "WB-species-notes": "<p>A 1 hour primary incubation is recommended for this product.</p>", "IHCP-species-checked": "guaranteed", "IHCP-species-dilution-info": "", "IHCP-species-notes": "" }, "Rat": { "WB-species-checked": "testedAndGuaranteed", "WB-species-dilution-info": "0.05-0.15 µg/mL", "WB-species-notes": "<p>A 1 hour primary incubation is recommended for this product.</p>", "IHCP-species-checked": "guaranteed", "IHCP-species-dilution-info": "", "IHCP-species-notes": "" }, "Cow": { "WB-species-checked": "predicted", "WB-species-dilution-info": "", "WB-species-notes": "", "IHCP-species-checked": "predicted", "IHCP-species-dilution-info": "", "IHCP-species-notes": "" }, "Dog": { "WB-species-checked": "predicted", "WB-species-dilution-info": "", "WB-species-notes": "", "IHCP-species-checked": "predicted", "IHCP-species-dilution-info": "", "IHCP-species-notes": "" }, "Pig": { "WB-species-checked": "testedAndGuaranteed", "WB-species-dilution-info": "0.05-0.15 µg/mL", "WB-species-notes": "<p>A 1 hour primary incubation is recommended for this product.</p>", "IHCP-species-checked": "guaranteed", "IHCP-species-dilution-info": "", "IHCP-species-notes": "" } } }

Product details

Principal Names - GRB2; growth factor receptor-bound protein 2 Official Gene Symbol - GRB2. GenBank Accession Number – NP_002077. LocusLink ID - 2885. Gene Ontology terms - cell-cell signalling; SH3/SH2 adaptor protein; EGF receptor signalling pathway; RAS protein signal transduction; cell shape and cell size control.

Properties and storage information

Form
Liquid
Purification technique
Affinity purification Immunogen
Purification notes
Purified from goat serum by ammonium sulphate precipitation followed by antigen affinity chromatography using the immunizing peptide.
Storage buffer
pH: 7.3 Preservative: 0.02% Sodium azide Constituents: 0.5% BSA, 0.05% Tris
Shipped at conditions
Blue Ice
Appropriate short-term storage conditions
+4°C
Appropriate long-term storage conditions
-20°C
Aliquoting information
Upon delivery aliquot
Storage information
Avoid freeze / thaw cycle

Supplementary information

This supplementary information is collated from multiple sources and compiled automatically.

The GRB2 protein also known as growth factor receptor-bound protein 2 is instrumental in signal transduction. GRB2 has a molecular weight of about 25 kDa. It comprises one SH2 domain and two SH3 domains which facilitate its role in linking receptor tyrosine kinases to downstream signaling molecules. GRB2 is ubiquitously expressed in various tissues signifying its importance in diverse cellular functions.
Biological function summary

GRB2 functions as an adaptor protein that connects activated receptor tyrosine kinases to intracellular pathways. It often forms complexes with other proteins such as the SOS protein which further propagates signaling cascades critical for cell proliferation and differentiation. GRB2’s ability to mediate these interactions contributes to cellular responses to external stimuli including growth factors and hormones.

Pathways

GRB2 plays an important role in the Ras-MAPK signaling pathway. It interacts with proteins like SOS and Ras enabling signal transduction from the cell surface to the nucleus which is vital for processes such as cell growth and survival. GRB2 is also implicated in the PI3K-Akt pathway connecting it to another set of signaling proteins that regulate metabolism growth and survival.

GRB2 has significant associations with cancer and immune disorders. Aberrant activation of pathways involving GRB2 can lead to uncontrolled cell proliferation contributing to oncogenesis in different cancers. Additionally GRB2’s interactions with proteins like BCR-ABL in chronic myeloid leukemia highlight its potential role as a therapeutic target. GRB2 inhibitors could therefore offer promising avenues for treating such conditions by disrupting its pathological signaling interactions.

Product protocols

For this product, it's our understanding that no specific protocols are required. You can visit:

Target data

Non-enzymatic adapter protein that plays a pivotal role in precisely regulated signaling cascades from cell surface receptors to cellular responses, including signaling transduction and gene expression (PubMed : 11726515, PubMed : 37626338). Thus, participates in many biological processes including regulation of innate and adaptive immunity, autophagy, DNA repair or necroptosis (PubMed : 35831301, PubMed : 37626338, PubMed : 38182563). Controls signaling complexes at the T-cell antigen receptor to facilitate the activation, differentiation, and function of T-cells (PubMed : 36864087, PubMed : 9489702). Mechanistically, engagement of the TCR leads to phosphorylation of the adapter protein LAT, which serves as docking site for GRB2 (PubMed : 9489702). In turn, GRB2 establishes a a connection with SOS1 that acts as a guanine nucleotide exchange factor and serves as a critical regulator of KRAS/RAF1 leading to MAPKs translocation to the nucleus and activation (PubMed : 12171928, PubMed : 25870599). Functions also a role in B-cell activation by amplifying Ca(2+) mobilization and activation of the ERK MAP kinase pathway upon recruitment to the phosphorylated B-cell antigen receptor (BCR) (PubMed : 25413232, PubMed : 29523808). Plays a role in switching between autophagy and programmed necrosis upstream of EGFR by interacting with components of necrosomes including RIPK1 and with autophagy regulators SQSTM1 and BECN1 (PubMed : 35831301, PubMed : 38182563). Regulates miRNA biogenesis by forming a functional ternary complex with AGO2 and DICER1 (PubMed : 37328606). Functions in the replication stress response by protecting DNA at stalled replication forks from MRE11-mediated degradation. Mechanistically, inhibits RAD51 ATPase activity to stabilize RAD51 on stalled replication forks (PubMed : 38459011). Additionally, directly recruits and later releases MRE11 at DNA damage sites during the homology-directed repair (HDR) process (PubMed : 34348893).. Isoform 2. Does not bind to phosphorylated epidermal growth factor receptor (EGFR) but inhibits EGF-induced transactivation of a RAS-responsive element. Acts as a dominant negative protein over GRB2 and by suppressing proliferative signals, may trigger active programmed cell death. Mechanistically, inhibits RAS-ERK signaling and downstream cell proliferation by competing with GRB2 for SOS1 binding and thus by regulating SOS1 membrane recruitment (PubMed : 36171279).
See full target information GRB2

Publications (2)

Recent publications for all applications. Explore the full list and refine your search

Oxidative medicine and cellular longevity 2022:8151917 PubMed35355865

2022

Cysteine-Rich Whey Protein Isolate (CR-WPI) Ameliorates Erectile Dysfunction by Diminishing Oxidative Stress via DDAH/ADMA/NOS Pathway.

Applications

Unspecified application

Species

Unspecified reactive species

Kefan Li,Aiyun Zhu,Jimmy Gutman,Qiang Fu,Shuai Liu

Cell reports 29:1274-1286.e6 PubMed31665639

2019

Dysregulation of Mitochondrial Ca Uptake and Sarcolemma Repair Underlie Muscle Weakness and Wasting in Patients and Mice Lacking MICU1.

Applications

Unspecified application

Species

Unspecified reactive species

Valentina Debattisti,Adam Horn,Raghavendra Singh,Erin L Seifert,Marshall W Hogarth,Davi A Mazala,Kai Ting Huang,Rita Horvath,Jyoti K Jaiswal,György Hajnóczky
View all publications

Product promise

We are committed to supporting your work with high-quality reagents, and we're here for you every step of the way. In the unlikely event that one of our products does not perform as expected, you're protected by our Product Promise.
For full details, please see our Terms & Conditions

Please note: All products are 'FOR RESEARCH USE ONLY. NOT FOR USE IN DIAGNOSTIC OR THERAPEUTIC PROCEDURES'.

For licensing inquiries, please contact partnerships@abcam.com