JavaScript is disabled in your browser. Please enable JavaScript to view this website.
AB247908

Anti-GRB7 antibody [EPR4378] - BSA and Azide free

Be the first to review this product! Submit a review

|

(1 Publication)

Rabbit Recombinant Monoclonal GRB7 antibody. Carrier free. Suitable for IHC-P, WB and reacts with Human, Mouse, Rat samples. Cited in 1 publication.

View Alternative Names

Growth factor receptor-bound protein 7, B47, Epidermal growth factor receptor GRB-7, GRB7 adapter protein, GRB7

3 Images
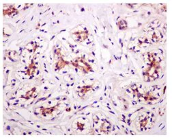
Immunohistochemistry (Formalin/PFA-fixed paraffin-embedded sections) - Anti-GRB7 antibody [EPR4378] - BSA and Azide free (AB247908)
  • IHC-P

Unknown

Immunohistochemistry (Formalin/PFA-fixed paraffin-embedded sections) - Anti-GRB7 antibody [EPR4378] - BSA and Azide free (AB247908)

This data was developed using ab109618, the same antibody clone in a different buffer formulation.

ab109618 at 1/50 dilution staining GRB7 in paraffin-embedded Human breast tissue by Immunohistochemistry.

Perform heat mediated antigen retrieval before commencing with IHC staining protocol.

Western blot - Anti-GRB7 antibody [EPR4378] - BSA and Azide free (AB247908)
  • WB

Unknown

Western blot - Anti-GRB7 antibody [EPR4378] - BSA and Azide free (AB247908)

This data was developed using ab109618, the same antibody clone in a different buffer formulation.

All lanes:

Western blot - Anti-GRB7 antibody [EPR4378] (<a href='/en-us/products/primary-antibodies/grb7-antibody-epr4378-ab109618'>ab109618</a>) at 1/1000 dilution

Lane 1:

SKBR-3 cell lysate at 10 µg

Lane 2:

HeLa cell lysate at 10 µg

Secondary

All lanes:

HRP-labelled Goat anti-Rabbit at 1/2000 dilution

Predicted band size: 60 kDa

false

Western blot - Anti-GRB7 antibody [EPR4378] - BSA and Azide free (AB247908)
  • WB

Lab

Western blot - Anti-GRB7 antibody [EPR4378] - BSA and Azide free (AB247908)

This data was developed using ab109618, the same antibody clone in a different buffer formulation.

Blocking and dilution buffer : 5% NFDM/TBST.

The expression level of GRB7 in SK-BR-3, T-47D and MCF7 cells is consistent with what has been described in PMID : 7907978 and 17916906.

All lanes:

Western blot - Anti-GRB7 antibody [EPR4378] (<a href='/en-us/products/primary-antibodies/grb7-antibody-epr4378-ab109618'>ab109618</a>) at 1/200 dilution

Lane 1:

SK-BR-3 (Human breast adenocarcinoma epithelial cell) whole cell lysates at 20 µg

Lane 2:

T-47D (Human ductal breast epithelial tumor epithelial cell) whole cell lysates at 20 µg

Lane 3:

MCF7 (Human breast adenocarcinoma epithelial cell) whole cell lysates at 20 µg

Lane 4:

HepG2 (Human hepatocellular carcinoma epithelial cell) whole cell lysates at 20 µg

Secondary

All lanes:

Western blot - Goat Anti-Rabbit IgG H&L (HRP) (<a href='/en-us/products/secondary-antibodies/goat-rabbit-igg-h-l-hrp-ab97051'>ab97051</a>) at 1/20000 dilution

Predicted band size: 60 kDa

Observed band size: 60 kDa

false

Key facts

Host species

Rabbit

Clonality

Monoclonal

Clone number

EPR4378

Isotype

IgG

Carrier free

Yes

Reacts with

Human

Applications

WB, IHC-P

applications

Immunogen

The exact immunogen used to generate this antibody is proprietary information.

Reactivity data

{ "title": "Reactivity Data", "filters": { "stats": ["", "Species", "Dilution Info", "Notes"], "tabs": { "all-applications": {"fullname" : "All Applications", "shortname": "All Applications"}, "IHCP" : {"fullname" : "Immunohistochemistry (Formalin/PFA-fixed paraffin-embedded sections)", "shortname":"IHC-P"}, "IP" : {"fullname" : "Immunoprecipitation", "shortname":"IP"}, "FlowCyt" : {"fullname" : "Flow Cytometry", "shortname":"Flow Cyt"}, "WB" : {"fullname" : "Western blot", "shortname":"WB"} }, "product-promise": { "all": "all", "testedAndGuaranteed": "tested", "guaranteed": "expected", "predicted": "predicted", "notRecommended": "not-recommended" } }, "values": { "Human": { "IHCP-species-checked": "testedAndGuaranteed", "IHCP-species-dilution-info": "", "IHCP-species-notes": "<p>For antigen retrieval, heat up to 98 degree C, below boiling, and then let cool for 10-20 minutes.</p>", "IP-species-checked": "notRecommended", "IP-species-dilution-info": "", "IP-species-notes": "<p></p>", "FlowCyt-species-checked": "notRecommended", "FlowCyt-species-dilution-info": "", "FlowCyt-species-notes": "<p></p>", "WB-species-checked": "testedAndGuaranteed", "WB-species-dilution-info": "", "WB-species-notes": "<p></p>" }, "Mouse": { "IHCP-species-checked": "predicted", "IHCP-species-dilution-info": "", "IHCP-species-notes": "", "IP-species-checked": "notRecommended", "IP-species-dilution-info": "", "IP-species-notes": "", "FlowCyt-species-checked": "notRecommended", "FlowCyt-species-dilution-info": "", "FlowCyt-species-notes": "", "WB-species-checked": "guaranteed", "WB-species-dilution-info": "", "WB-species-notes": "<p></p>" }, "Rat": { "IHCP-species-checked": "predicted", "IHCP-species-dilution-info": "", "IHCP-species-notes": "", "IP-species-checked": "notRecommended", "IP-species-dilution-info": "", "IP-species-notes": "", "FlowCyt-species-checked": "notRecommended", "FlowCyt-species-dilution-info": "", "FlowCyt-species-notes": "", "WB-species-checked": "guaranteed", "WB-species-dilution-info": "", "WB-species-notes": "<p></p>" } } }

Product details

ab247908 is the carrier-free version of ab109618.

Patented technology
Our RabMAb® technology is a patented hybridoma-based technology for making rabbit monoclonal antibodies. For details on our patents, please refer to RabMAb® patents.

What are the advantages of a recombinant monoclonal antibody?
This product is a recombinant monoclonal antibody, which offers several advantages including:

  • - High batch-to-batch consistency and reproducibility
  • - Improved sensitivity and specificity
  • - Long-term security of supply
  • - Animal-free batch production

For more information, read more on recombinant antibodies.

Conjugation ready
Our carrier-free antibodies are typically supplied in a PBS-only formulation, purified and free of BSA, sodium azide and glycerol. This conjugation-ready format is designed for use with fluorochromes, metal isotopes, oligonucleotides, and enzymes, which makes them ideal for antibody labelling, functional and cell-based assays, flow-based assays (e.g. mass cytometry) and Multiplex Imaging applications.

Use our conjugation kits for antibody conjugates that are ready-to-use in as little as 20 minutes with 1 minute hands-on-time and 100% antibody recovery: available for fluorescent dyes, HRP, biotin and gold.

Compatibility
This product is compatible with the Maxpar® Antibody Labeling Kit from Fluidigm, without the need for antibody preparation. Maxpar® is a trademark of Fluidigm Canada Inc.

Properties and storage information

Form
Liquid
Purification technique
Affinity purification Protein A
Storage buffer
pH: 7.2 - 7.4 Constituents: PBS
Shipped at conditions
Blue Ice
Appropriate short-term storage conditions
+4°C
Appropriate long-term storage conditions
+4°C
Storage information
Do Not Freeze

Supplementary information

This supplementary information is collated from multiple sources and compiled automatically.

GRB7 also known as Growth Factor Receptor-Bound Protein 7 is a signaling adapter protein with a molecular mass of approximately 55 kDa. It facilitates interactions between receptor tyrosine kinases and downstream signaling molecules. GRB7 is found in several tissues notably in breast and ovarian tissues. The protein plays a significant role in processes like cell migration and growth by mediating signal transduction pathways.
Biological function summary

Proteins like GRB7 interact with various cell surface receptors. GRB7 forms part of signaling complexes that modulate diverse cellular responses essential for cell communication and function. As an adapter protein GRB7 binds with SH2 and PH domains to facilitate signal transduction directly influencing cellular proliferation and movement. Its expression links with cell motility indicating its relevance in cellular responses such as migration and adhesion.

Pathways

Proteins influencing GRB7 highlight its involvement in several signaling pathways notably the mitogen-activated protein kinase (MAPK) and phosphatidylinositol 3-kinase (PI3K) pathways. These pathways play important roles in regulating cellular processes like growth survival and migration. GRB7 interacts closely with other proteins such as HER2 often amplifying the signaling related to growth factors further indicating its critical role in signal transduction networks.

GRB7 has implications in cancer and related abnormalities. In particular abnormal GRB7 expression is linked to breast cancer and ovarian cancer often associated with tumor progression and metastasis. It frequently associates with the HER2 protein a known player in aggressive cancer subtypes serving as a potential therapeutic target and prognostic marker. Understanding GRB7's involvement offers insights into new treatment strategies for these conditions.

Product protocols

For this product, it's our understanding that no specific protocols are required. You can visit:

Target data

Adapter protein that interacts with the cytoplasmic domain of numerous receptor kinases and modulates down-stream signaling. Promotes activation of down-stream protein kinases, including STAT3, AKT1, MAPK1 and/or MAPK3. Promotes activation of HRAS. Plays a role in signal transduction in response to EGF. Plays a role in the regulation of cell proliferation and cell migration. Plays a role in the assembly and stability of RNA stress granules. Binds to the 5'UTR of target mRNA molecules and represses translation of target mRNA species, when not phosphorylated. Phosphorylation impairs RNA binding and promotes stress granule disassembly during recovery after cellular stress (By similarity).
See full target information GRB7

Publications (1)

Recent publications for all applications. Explore the full list and refine your search

Phytotherapy research : PTR 37:4236-4250 PubMed37329155

2023

Anti-inflammatory effect of dictamnine on allergic rhinitis via suppression of the LYN kinase-mediated molecular signaling pathway during mast cell activation.

Applications

Unspecified application

Species

Unspecified reactive species

Rui Liu,Yonghui Zhang,Yuejin Wang,Yihan Huang,Jiapan Gao,Xi Tian,Tianyou Ma,Tao Zhang
View all publications

Product promise

We are committed to supporting your work with high-quality reagents, and we're here for you every step of the way. In the unlikely event that one of our products does not perform as expected, you're protected by our Product Promise.
For full details, please see our Terms & Conditions

Please note: All products are 'FOR RESEARCH USE ONLY. NOT FOR USE IN DIAGNOSTIC OR THERAPEUTIC PROCEDURES'.

For licensing inquiries, please contact partnerships@abcam.com