JavaScript is disabled in your browser. Please enable JavaScript to view this website.
AB72999

Anti-GREB1 antibody

3

(2 Reviews)

|

(15 Publications)

Rabbit Polyclonal GREB1 antibody. Suitable for WB, IHC-P, ICC/IF and reacts with Human samples. Cited in 15 publications.

View Alternative Names

KIAA0575, GREB1, Protein GREB1, Gene regulated in breast cancer 1 protein

3 Images
Immunocytochemistry/ Immunofluorescence - Anti-GREB1 antibody (AB72999)
  • ICC/IF

Unknown

Immunocytochemistry/ Immunofluorescence - Anti-GREB1 antibody (AB72999)

ICC/IF image of ab72999 stained MCF7 cells. The cells were 100% methanol fixed (5 min) and then incubated in 1%BSA / 10% normal goat serum / 0.3M glycine in 0.1% PBS-Tween for 1h to permeabilise the cells and block non-specific protein-protein interactions. The cells were then incubated with the antibody (ab72999, 5µg/ml) overnight at +4°C. The secondary antibody (green) was Alexa Fluor® 488 goat anti-rabbit IgG (H+L) used at a 1/1000 dilution for 1h. Alexa Fluor® 594 WGA was used to label plasma membranes (red) at a 1/200 dilution for 1h. DAPI was used to stain the cell nuclei (blue) at a concentration of 1.43µM.

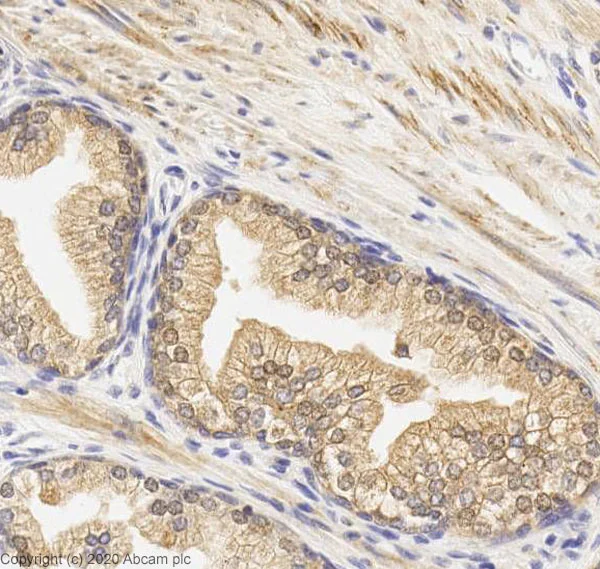
Immunohistochemistry (Formalin/PFA-fixed paraffin-embedded sections) - Anti-GREB1 antibody (AB72999)
  • IHC-P

Lab

Immunohistochemistry (Formalin/PFA-fixed paraffin-embedded sections) - Anti-GREB1 antibody (AB72999)

IHC image of GREB1 antibody staining in a section of formalin-fixed paraffin-embedded normal human prostate performed on a Leica BONDTM system using the standard protocol. The section was pre-treated using heat mediated antigen retrieval with sodium citrate buffer (pH6, epitope retrieval solution 1) for 20mins. The section was then incubated with ab72999, 1ug/ml, for 15 mins at room temperature and detected using an HRP conjugated compact polymer system. DAB was used as the chromogen. The section was then counterstained with haematoxylin and mounted with DPX.

Western blot - Anti-GREB1 antibody (AB72999)
  • WB

Unknown

Western blot - Anti-GREB1 antibody (AB72999)

All lanes:

Western blot - Anti-GREB1 antibody (ab72999) at 1 µg/mL

All lanes:

Human Prostate Tissue Lysate at 10 µg

Secondary

All lanes:

Goat polyclonal to Rabbit IgG - H&L - Pre-Adsorbed (HRP) at 1/3000 dilution

Predicted band size: 216 kDa

Observed band size: 216 kDa

true

Exposure time: 2min

Key facts

Host species

Rabbit

Clonality

Polyclonal

Isotype

IgG

Carrier free

No

Reacts with

Human

Applications

ICC/IF, IHC-P, WB

applications

Immunogen

The exact immunogen used to generate this antibody is proprietary information.

Reactivity data

{ "title": "Reactivity Data", "filters": { "stats": ["", "Species", "Dilution Info", "Notes"], "tabs": { "all-applications": {"fullname" : "All Applications", "shortname": "All Applications"}, "WB" : {"fullname" : "Western blot", "shortname":"WB"}, "IHCP" : {"fullname" : "Immunohistochemistry (Formalin/PFA-fixed paraffin-embedded sections)", "shortname":"IHC-P"}, "ICCIF" : {"fullname" : "Immunocytochemistry/ Immunofluorescence", "shortname":"ICC/IF"} }, "product-promise": { "all": "all", "testedAndGuaranteed": "tested", "guaranteed": "expected", "predicted": "predicted", "notRecommended": "not-recommended" } }, "values": { "Human": { "WB-species-checked": "testedAndGuaranteed", "WB-species-dilution-info": "1 µg/mL", "WB-species-notes": "<p></p>", "IHCP-species-checked": "testedAndGuaranteed", "IHCP-species-dilution-info": "1 µg/mL", "IHCP-species-notes": "<p></p>", "ICCIF-species-checked": "testedAndGuaranteed", "ICCIF-species-dilution-info": "5 µg/mL", "ICCIF-species-notes": "<p></p>" } } }

Properties and storage information

Form
Liquid
Purification technique
Affinity purification Immunogen
Storage buffer
pH: 7.4 Preservative: 0.02% Sodium azide Constituents: PBS, 1% BSA
Shipped at conditions
Blue Ice
Appropriate short-term storage duration
1-2 weeks
Appropriate short-term storage conditions
+4°C
Appropriate long-term storage conditions
-20°C
Aliquoting information
Upon delivery aliquot
Storage information
Avoid freeze / thaw cycle

Supplementary information

This supplementary information is collated from multiple sources and compiled automatically.

GREB1 also known as growth regulation by estrogen in breast cancer 1 is a protein with a molecular mass of approximately 216 kDa. This protein is composed of various structural domains that facilitate its interaction with other biomolecules. GREB1 expression mainly occurs in hormone-responsive tissues including breast and prostate tissues and it has been detected in other tissues as well. The regulation of GREB1 expression is known to be tightly controlled by estrogen signals making it an essential component in estrogen-related pathways.
Biological function summary

GREB1 plays a significant role in cell proliferation and differentiation within estrogen-dependent systems. This function connects it to critical physiological processes. GREB1 acts as an estrogen-responsive gene supporting its involvement in cellular growth mechanisms. It functions as part of a larger complex of proteins mediating signals essential for growth particularly in the context of reproductive biology. Its functionality in these processes highlights its relevance in the study of hormonal regulation.

Pathways

GREB1 integrates into the estrogen receptor signaling pathway as well as the PI3K/Akt pathway. These pathways are key in the regulation of cell survival and proliferation. GREB1 interacts with other proteins such as estrogen receptor alpha (ERα) within these signaling cascades reinforcing its function as an essential modulator of cellular responses to hormonal signals. This integration illustrates the broader network of interactions that GREB1 engages with in cellular environments influencing pathophysiological outcomes.

GREB1 is strongly linked to breast cancer and prostate cancer both of which depend on hormonal dynamics for their development and progression. In the case of breast cancer GREB1 operates alongside proteins like the androgen receptor and ERα reflecting its role in tumor growth that is sensitive to hormonal regulation. Understanding GREB1's contribution to these cancers contributes to developing targeted therapeutic approaches highlighting the importance of this protein in clinical oncology research.

Product protocols

For this product, it's our understanding that no specific protocols are required. You can visit:

Target data

May play a role in estrogen-stimulated cell proliferation. Acts as a regulator of hormone-dependent cancer growth in breast and prostate cancers.
See full target information GREB1

Publications (15)

Recent publications for all applications. Explore the full list and refine your search

Proceedings of the National Academy of Sciences of the United States of America 122:e2507571122 PubMed40815626

2025

TRIM24 as a therapeutic target in endocrine treatment-resistant breast cancer.

Applications

Unspecified application

Species

Unspecified reactive species

Nuno Padrão,Sebastian Gregoricchio,Nils Eickhoff,Jing Dong,Lara Luzietti,Daniela Bossi,Tesa M Severson,Joseph Siefert,Arianna Calcinotto,Laki Buluwela,Maria Donaldson Collier,Simak Ali,Leonie Young,Jean-Philippe Theurillat,Damir Varešlija,Wilbert Zwart

PloS one 19:e0313867 PubMed39570927

2024

Single-cell sequencing reveals transcriptional dynamics regulated by ERα in mouse ovaries.

Applications

Unspecified application

Species

Unspecified reactive species

Qicai Hu,Yiqian Gui,Congcong Cao,Jun Xie,Huiru Tang

Toxicological sciences : an official journal of the Society of Toxicology 181:187-198 PubMed33769548

2021

Physiologically Relevant Estrogen Receptor Alpha Pathway Reporters for Single-Cell Imaging-Based Carcinogenic Hazard Assessment of Estrogenic Compounds.

Applications

Unspecified application

Species

Unspecified reactive species

Britt Duijndam,Annabel Goudriaan,Tineke van den Hoorn,Wanda van der Stel,Sylvia Le Dévédec,Peter Bouwman,Jan Willem van der Laan,Bob van de Water

Journal of orthopaedic research : official publica : PubMed33533088

2021

The Effect of Estrogen-Like Compound on Rotator Cuff Tendon Healing in a Murine Model.

Applications

Unspecified application

Species

Unspecified reactive species

Robert Z Tashjian,Nikolas H Kazmers,Richard T Epperson,Matthew Honeggar,Ying Ma,Peter N Chalmers,Dustin L Williams,Michael J Jurynec

Molecular therapy. Nucleic acids 22:846-861 PubMed33230480

2020

MicroRNA let-7i Inhibits Histone Lysine Demethylase KDM5B to Halt Esophageal Cancer Progression.

Applications

Unspecified application

Species

Unspecified reactive species

Yang Yang,Wenhua Li,Bochong Wei,Kai Wu,Donglei Liu,Dengyan Zhu,Chunyang Zhang,Fengbiao Wen,Yuxia Fan,Song Zhao

Carcinogenesis 41:1660-1670 PubMed32894276

2020

GREB1 regulates PI3K/Akt signaling to control hormone-sensitive breast cancer proliferation.

Applications

Unspecified application

Species

Unspecified reactive species

Corinne N Haines,Hope D Klingensmith,Makanko Komara,Craig J Burd

Cancer science 111:3540-3549 PubMed32629543

2020

Oncogenic mutation in RAS-RAF axis leads to increased expression of GREB1, resulting in tumor proliferation in colorectal cancer.

Applications

Unspecified application

Species

Unspecified reactive species

Masatoshi Kochi,Takao Hinoi,Hiroaki Niitsu,Masashi Miguchi,Yasufumi Saito,Haruki Sada,Kazuhiro Sentani,Naoya Sakamoto,Naohide Oue,Hirotaka Tashiro,Yusuke Sotomaru,Wataru Yasui,Hideki Ohdan

Nature communications 11:4053 PubMed32792481

2020

PLK1 inhibition exhibits strong anti-tumoral activity in CCND1-driven breast cancer metastases with acquired palbociclib resistance.

Applications

Unspecified application

Species

Unspecified reactive species

Elodie Montaudon,Joanna Nikitorowicz-Buniak,Laura Sourd,Ludivine Morisset,Rania El Botty,Léa Huguet,Ahmed Dahmani,Pierre Painsec,Fariba Nemati,Sophie Vacher,Walid Chemlali,Julien Masliah-Planchon,Sophie Château-Joubert,Camilla Rega,Mariana Ferreira Leal,Nikiana Simigdala,Sunil Pancholi,Ricardo Ribas,André Nicolas,Didier Meseure,Anne Vincent-Salomon,Cécile Reyes,Audrey Rapinat,David Gentien,Thibaut Larcher,Mylène Bohec,Sylvain Baulande,Virginie Bernard,Didier Decaudin,Florence Coussy,Muriel Le Romancer,Guillaume Dutertre,Zakia Tariq,Paul Cottu,Keltouma Driouch,Ivan Bièche,Lesley-Ann Martin,Elisabetta Marangoni

The Journal of biological chemistry 294:19667-19682 PubMed31744881

2019

The transcriptional co-activator NCOA6 promotes estrogen-induced GREB1 transcription by recruiting ERα and enhancing enhancer-promoter interactions.

Applications

Unspecified application

Species

Unspecified reactive species

Zhangwei Tong,Yonghong Liu,Xiaobin Yu,Jarrod D Martinez,Jianming Xu

Endocrine-related cancer 25:735-746 PubMed29695586

2018

GREB1 isoforms regulate proliferation independent of ERα co-regulator activities in breast cancer.

Applications

Unspecified application

Species

Unspecified reactive species

Corinne N Haines,Kara M Braunreiter,Xiaokui Molly Mo,Craig J Burd
View all publications

Product promise

We are committed to supporting your work with high-quality reagents, and we're here for you every step of the way. In the unlikely event that one of our products does not perform as expected, you're protected by our Product Promise.
For full details, please see our Terms & Conditions

Please note: All products are 'FOR RESEARCH USE ONLY. NOT FOR USE IN DIAGNOSTIC OR THERAPEUTIC PROCEDURES'.

For licensing inquiries, please contact partnerships@abcam.com