JavaScript is disabled in your browser. Please enable JavaScript to view this website.
AB271023

Anti-GRHL2 antibody [EPR24386-76]

  • BOND RX™ Validated
  • 20ul selling size
  • RabMAb
  • Recombinant
  • What is this?

Be the first to review this product! Submit a review

|

(7 Publications)

Rabbit Recombinant Monoclonal GRHL2 antibody. Suitable for ICC/IF, IP, Flow Cyt (Intra), WB, IHC-P and reacts with Human, Mouse, Rat samples. Cited in 7 publications.

View Alternative Names

BOM, TFCP2L3, GRHL2, Grainyhead-like protein 2 homolog, Brother of mammalian grainyhead, Transcription factor CP2-like 3

8 Images
Immunocytochemistry/ Immunofluorescence - Anti-GRHL2 antibody [EPR24386-76] (AB271023)
  • ICC/IF

Supplier Data

Immunocytochemistry/ Immunofluorescence - Anti-GRHL2 antibody [EPR24386-76] (AB271023)

Immunofluorescent analysis of 4% Paraformaldehyde-fixed, 0.1% TritonX-100 permeabilized MCF7 cells labelling GRHL2 with ab271023 at 1/50 (10.52 ug/ml) dilution, followed by ab150081 Goat Anti-Rabbit IgG H&L (Alexa Fluor® 488) preadsorbed antibody at 1/1000 dilution (Green) Confocal image showing nuclear staining in MCF7 cell line. Negative control : HeLa (PMID : 25550776) is observed.

ab195889 Anti-alpha Tubulin mouse monoclonal antibody - Microtubule Marker (Alexa Fluor® 594) was used to counterstain tubulin at 1/200 dilution (Red). The Nuclear counterstain was DAPI (Blue).

Secondary antibody only control : Secondary antibody is ab150081 Goat Anti-Rabbit IgG H&L (Alexa Fluor® 488) preadsorbed at 1/1000 dilution.

Immunohistochemistry (Formalin/PFA-fixed paraffin-embedded sections) - Anti-GRHL2 antibody [EPR24386-76] (AB271023)
  • IHC-P

Supplier Data

Immunohistochemistry (Formalin/PFA-fixed paraffin-embedded sections) - Anti-GRHL2 antibody [EPR24386-76] (AB271023)

Immunohistochemical analysis of paraffin-embedded Human skin tissue labelling GRHL2 with ab271023 at 1/10000 (0.053 ug/ml) dilution followed by a ready to use LeicaDS9800 (Bond™ Polymer Refine Detection). Nuclear staining on human skin. The section was incubated with ab271023 for 30 minutes at room temperature. The immunostaining was performed on a Leica Biosystems BOND RX instrument. Counterstained with Hematoxylin.

Secondary antibody only control : Secondary antibody is a ready to use LeicaDS9800 (Bond™ Polymer Refine Detection).

Heat mediated antigen retrieval with Tris-EDTA buffer (pH 9.0, epitope retrieval solution2) for 20 minutes.

Flow Cytometry (Intracellular) - Anti-GRHL2 antibody [EPR24386-76] (AB271023)
  • Flow Cyt (Intra)

Supplier Data

Flow Cytometry (Intracellular) - Anti-GRHL2 antibody [EPR24386-76] (AB271023)

Flow cytometric analysis of 4% paraformaldehyde fixed 90% methanol permeabilized HeLa (Human cervix adenocarcinoma epithelial cell, Left) / MCF7 (Human breast adenocarcinoma epithelial cell, Right) cells labelling GRHL2 with ab271023 at 1/5000 dilution (0.01ug) (Red) compared with a Rabbit monoclonal IgG (ab172730) (Black) isotype control and an unlabelled control (cells without incubation with primary antibody and secondary antibody) (Blue). A Goat anti rabbit IgG (Alexa Fluor® 488, ab150077) at 1/2000 dilution was used as the secondary antibody. Negative control : HeLa. (PMID : 25550776).

Immunoprecipitation - Anti-GRHL2 antibody [EPR24386-76] (AB271023)
  • IP

Supplier Data

Immunoprecipitation - Anti-GRHL2 antibody [EPR24386-76] (AB271023)

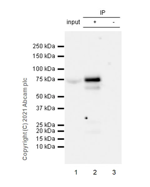
GRHL2 was immunoprecipitated from 0.35 mg MDA-MB-468 (human breast adenocarcinoma epithelial cell) whole cell lysate 10 ug with ab271023 at 1/30 dilution (2ug in 0.35mg lysates). Western blot was performed on the immunoprecipitate using ab271023 at 1/1000 dilution. VeriBlot for IP secondary antibody (HRP)(ab131366) was used at 1/5000 dilution.

Lane 1 : MDA-MB-468 (human breast adenocarcinoma epithelial cell) whole cell lysate 10 ug

Lane 2 : ab271023 IP in MDA-MB-468 whole cell lysate

Lane 3 : Rabbit monoclonal IgG (ab172730) instead of ab271023 in MDA-MB-468 whole cell lysate

Blocking and dilution buffer and concentration : 5% NFDM/TBST.

Exposure time : 10 seconds

All lanes:

Immunoprecipitation - Anti-GRHL2 antibody [EPR24386-76] (ab271023)

Predicted band size: 71 kDa

false

Immunohistochemistry (Formalin/PFA-fixed paraffin-embedded sections) - Anti-GRHL2 antibody [EPR24386-76] (AB271023)
  • IHC-P

Supplier Data

Immunohistochemistry (Formalin/PFA-fixed paraffin-embedded sections) - Anti-GRHL2 antibody [EPR24386-76] (AB271023)

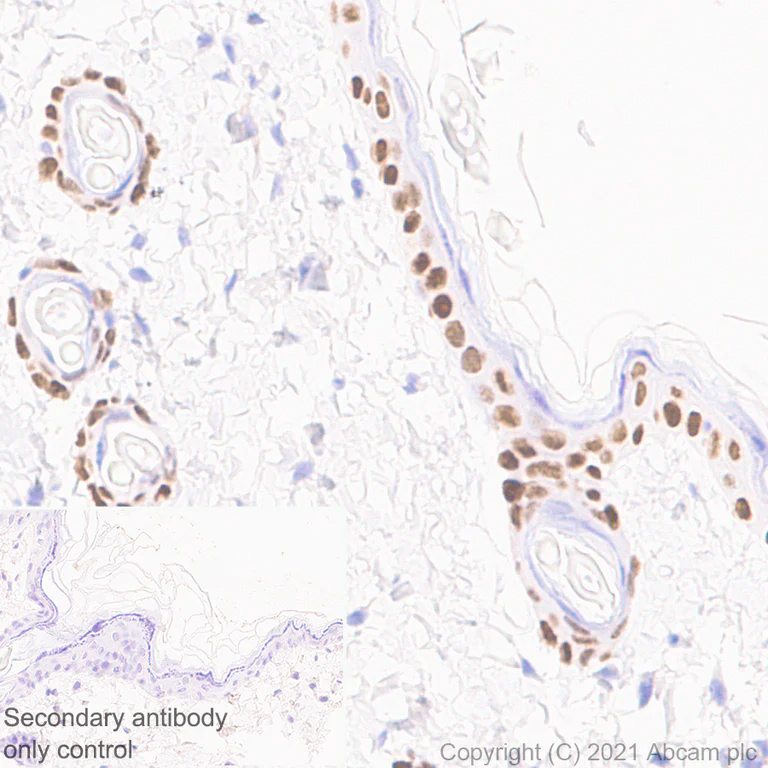
Immunohistochemical analysis of paraffin-embedded Mouse skin tissue labelling GRHL2 with ab271023 at 1/10000 (0.053 ug/ml) dilution followed by a ready to use LeicaDS9800 (Bond™ Polymer Refine Detection). Nuclear staining on mouse skin. The section was incubated with ab271023 for 30 minutes at room temperature. The immunostaining was performed on a Leica Biosystems BOND RX instrument. Counterstained with Hematoxylin.

Secondary antibody only control : Secondary antibody is a ready to use LeicaDS9800 (Bond™ Polymer Refine Detection).

Heat mediated antigen retrieval with Tris-EDTA buffer (pH 9.0, epitope retrieval solution2) for 20 minutes.

Immunohistochemistry (Formalin/PFA-fixed paraffin-embedded sections) - Anti-GRHL2 antibody [EPR24386-76] (AB271023)
  • IHC-P

Supplier Data

Immunohistochemistry (Formalin/PFA-fixed paraffin-embedded sections) - Anti-GRHL2 antibody [EPR24386-76] (AB271023)

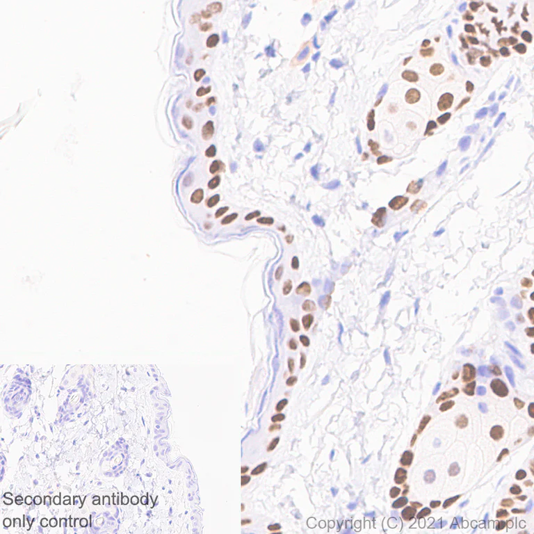
Immunohistochemical analysis of paraffin-embedded Rat skin tissue labelling GRHL2 with ab271023 at 1/10000 (0.053 ug/ml) dilution followed by a ready to use LeicaDS9800 (Bond™ Polymer Refine Detection). Nuclear staining on rat skin. The section was incubated with ab271023 for 30 minutes at room temperature. The immunostaining was performed on a Leica Biosystems BOND RX instrument. Counterstained with Hematoxylin.

Secondary antibody only control : Secondary antibody is a ready to use LeicaDS9800 (Bond™ Polymer Refine Detection).

Heat mediated antigen retrieval with Tris-EDTA buffer (pH 9.0, epitope retrieval solution2) for 20 minutes.

Western blot - Anti-GRHL2 antibody [EPR24386-76] (AB271023)
  • WB

Lab

Western blot - Anti-GRHL2 antibody [EPR24386-76] (AB271023)

Blocking and diluting buffer and concentration : 5% NFDM/TBST

The molecular weight observed is consistent with what has been described in the literature (PMID : 23814079 ). The lower bands would be different GRHL2 variants.

Negative control : MDA-MB-231 (PMID : 23814079), HeLa (PMID : 25550776 ).

Exposure time : Lanes 1-6 : 26 seconds;

Lane 7 : 70 seconds.

All lanes:

Western blot - Anti-GRHL2 antibody [EPR24386-76] (ab271023) at 1/1000 dilution

Lane 1:

MDA-MB-468 (human breast adenocarcinoma epithelial cell) whole cell lysate at 20 µg

Lane 2:

MDA-MB-231 (human breast adenocarcinoma epithelial cell) whole cell lysate at 20 µg

Lane 3:

MCF7 (human breast adenocarcinoma epithelial cell) whole cell lysate at 20 µg

Lane 4:

HeLa (human cervix adenocarcinoma epithelial cell) whole cell lysate at 20 µg

Lane 5:

T-47D (human ductal breast epithelial tumor epithelial cell) whole cell lysate at 20 µg

Lane 6:

HaCaT (human skin keratinocyte) whole cell lysate at 20 µg

Lane 7:

Human placenta tissue lysate at 20 µg

Secondary

All lanes:

Western blot - Goat Anti-Rabbit IgG H&L (HRP) (<a href='/en-us/products/secondary-antibodies/goat-rabbit-igg-h-l-hrp-ab97051'>ab97051</a>) at 1/50000 dilution

Predicted band size: 71 kDa

false

Western blot - Anti-GRHL2 antibody [EPR24386-76] (AB271023)
  • WB

Lab

Western blot - Anti-GRHL2 antibody [EPR24386-76] (AB271023)

Blocking and diluting buffer and concentration : 5% NFDM/TBST

Negative control : NIH/3T3 (PMID : 23814079).

Exposure time : 3 minutes

All lanes:

Western blot - Anti-GRHL2 antibody [EPR24386-76] (ab271023) at 1/1000 dilution

Lane 1:

4T1 (mouse mammary gland carcinoma epithelial cell) whole cell lysate at 20 µg

Lane 2:

NIH/3T3 (mouse embryonic fibroblast) whole cell lysate at 20 µg

Lane 3:

Mouse placenta tissue lysate at 20 µg

Lane 4:

Rat placenta tissue lysate at 20 µg

Secondary

All lanes:

Western blot - Goat Anti-Rabbit IgG H&L (HRP) (<a href='/en-us/products/secondary-antibodies/goat-rabbit-igg-h-l-hrp-ab97051'>ab97051</a>) at 1/50000 dilution

Predicted band size: 71 kDa

false

  • Carrier free

    Anti-GRHL2 antibody [EPR24386-76] - BSA and Azide free

Key facts

Host species

Rabbit

Clonality

Monoclonal

Clone number

EPR24386-76

Isotype

IgG

Carrier free

No

Reacts with

Mouse, Rat, Human

Applications

IHC-P, IP, WB, Flow Cyt (Intra), ICC/IF

applications

Immunogen

The exact immunogen used to generate this antibody is proprietary information.

Reactivity data

{ "title": "Reactivity Data", "filters": { "stats": ["", "Species", "Dilution Info", "Notes"], "tabs": { "all-applications": {"fullname" : "All Applications", "shortname": "All Applications"}, "ICCIF" : {"fullname" : "Immunocytochemistry/ Immunofluorescence", "shortname":"ICC/IF"}, "IP" : {"fullname" : "Immunoprecipitation", "shortname":"IP"}, "ChIP" : {"fullname" : "ChIP", "shortname":"ChIP"}, "FlowCytIntra" : {"fullname" : "Flow Cytometry (Intracellular)", "shortname":"Flow Cyt (Intra)"}, "WB" : {"fullname" : "Western blot", "shortname":"WB"}, "IHCP" : {"fullname" : "Immunohistochemistry (Formalin/PFA-fixed paraffin-embedded sections)", "shortname":"IHC-P"} }, "product-promise": { "all": "all", "testedAndGuaranteed": "tested", "guaranteed": "expected", "predicted": "predicted", "notRecommended": "not-recommended" } }, "values": { "Human": { "ICCIF-species-checked": "testedAndGuaranteed", "ICCIF-species-dilution-info": "1/50", "ICCIF-species-notes": "<p></p>", "IP-species-checked": "testedAndGuaranteed", "IP-species-dilution-info": "1/30", "IP-species-notes": "<p></p>", "ChIP-species-checked": "notRecommended", "ChIP-species-dilution-info": "", "ChIP-species-notes": "<p></p>", "FlowCytIntra-species-checked": "testedAndGuaranteed", "FlowCytIntra-species-dilution-info": "1/5000", "FlowCytIntra-species-notes": "<p></p>", "WB-species-checked": "testedAndGuaranteed", "WB-species-dilution-info": "1/1000", "WB-species-notes": "<p></p>", "IHCP-species-checked": "testedAndGuaranteed", "IHCP-species-dilution-info": "1/10000", "IHCP-species-notes": "<p></p>" }, "Mouse": { "ICCIF-species-checked": "guaranteed", "ICCIF-species-dilution-info": "", "ICCIF-species-notes": "", "IP-species-checked": "guaranteed", "IP-species-dilution-info": "", "IP-species-notes": "", "ChIP-species-checked": "notRecommended", "ChIP-species-dilution-info": "", "ChIP-species-notes": "", "FlowCytIntra-species-checked": "guaranteed", "FlowCytIntra-species-dilution-info": "", "FlowCytIntra-species-notes": "", "WB-species-checked": "testedAndGuaranteed", "WB-species-dilution-info": "1/1000", "WB-species-notes": "<p></p>", "IHCP-species-checked": "testedAndGuaranteed", "IHCP-species-dilution-info": "1/10000", "IHCP-species-notes": "<p></p>" }, "Rat": { "ICCIF-species-checked": "guaranteed", "ICCIF-species-dilution-info": "", "ICCIF-species-notes": "", "IP-species-checked": "guaranteed", "IP-species-dilution-info": "", "IP-species-notes": "", "ChIP-species-checked": "notRecommended", "ChIP-species-dilution-info": "", "ChIP-species-notes": "", "FlowCytIntra-species-checked": "guaranteed", "FlowCytIntra-species-dilution-info": "", "FlowCytIntra-species-notes": "", "WB-species-checked": "testedAndGuaranteed", "WB-species-dilution-info": "1/1000", "WB-species-notes": "<p></p>", "IHCP-species-checked": "testedAndGuaranteed", "IHCP-species-dilution-info": "1/10000", "IHCP-species-notes": "<p></p>" } } }

Product details

Patented technology
Our RabMAb® technology is a patented hybridoma-based technology for making rabbit monoclonal antibodies. For details on our patents, please refer to RabMAb® patents.

What are the advantages of a recombinant monoclonal antibody?
This product is a recombinant monoclonal antibody, which offers several advantages including:

  • - High batch-to-batch consistency and reproducibility
  • - Improved sensitivity and specificity
  • - Long-term security of supply
  • - Animal-free batch production

For more information, read more on recombinant antibodies.

Properties and storage information

Form
Liquid
Purification technique
Affinity purification Protein A
Storage buffer
pH: 7.2 - 7.4 Preservative: 0.01% Sodium azide Constituents: PBS, 40% Glycerol (glycerin, glycerine), 0.05% BSA
Shipped at conditions
Blue Ice
Appropriate short-term storage duration
1-2 weeks
Appropriate short-term storage conditions
+4°C
Appropriate long-term storage conditions
-20°C
Aliquoting information
Upon delivery aliquot
Storage information
Avoid freeze / thaw cycle

Supplementary information

This supplementary information is collated from multiple sources and compiled automatically.

GRHL2 also known as Grainyhead-like protein 2 homolog serves an important role in transcription regulation. This protein has a mass of approximately 68 kDa. It is expressed in various tissues including the liver kidneys and skin. GRHL2 functions mechanically by binding DNA sequences and influencing the expression of genes involved in epithelial development and maintenance.
Biological function summary

GRHL2 plays a critical role in epithelial cell differentiation and proliferation. It is not known to form part of a larger protein complex but rather acts individually to regulate genes associated with epidermal barrier formation and wound healing. GRHL2 affects keratinocyte behavior and has been shown to modulate cellular adhesion molecules like E-cadherin highlighting its direct impact on cellular architecture.

Pathways

GRHL2 influences key regulatory networks such as the Wnt signaling and epithelial-mesenchymal transition (EMT) pathways. Within these systems GRHL2 interacts with proteins like beta-catenin to modulate gene expression important for maintaining epithelial cell identity. These pathways highlight its label as a gatekeeper against unwanted cellular transition states.

Mutations or dysregulation of GRHL2 have been linked to conditions like breast cancer and hereditary hearing loss. In breast cancer aberrant GRHL2 expression affects oncogenes like MYC facilitating tumor growth and metastasis. In hereditary hearing loss GRHL2's impact on E-cadherin and other junctional proteins leads to inner ear developmental defects shedding light on its role in cellular integrity beyond the skin.

Product protocols

For this product, it's our understanding that no specific protocols are required. You can visit:

Target data

Transcription factor playing an important role in primary neurulation and in epithelial development (PubMed : 25152456, PubMed : 29309642). Binds directly to the consensus DNA sequence 5'-AACCGGTT-3' acting as an activator and repressor on distinct target genes (By similarity). During embryogenesis, plays unique and cooperative roles with GRHL3 in establishing distinct zones of primary neurulation. Essential for closure 3 (rostral end of the forebrain), functions cooperatively with GRHL3 in closure 2 (forebrain/midbrain boundary) and posterior neuropore closure (By similarity). Regulates epithelial morphogenesis acting as a target gene-associated transcriptional activator of apical junctional complex components. Up-regulates of CLDN3 and CLDN4, as well as of RAB25, which increases the CLDN4 protein and its localization at tight junctions (By similarity). Comprises an essential component of the transcriptional machinery that establishes appropriate expression levels of CLDN4 and CDH1 in different types of epithelia. Exhibits functional redundancy with GRHL3 in epidermal morphogenetic events and epidermal wound repair (By similarity). In lung, forms a regulatory loop with NKX2-1 that coordinates lung epithelial cell morphogenesis and differentiation (By similarity). In keratinocytes, plays a role in telomerase activation during cellular proliferation, regulates TERT expression by binding to TERT promoter region and inhibiting DNA methylation at the 5'-CpG island, possibly by interfering with DNMT1 enzyme activity (PubMed : 19015635, PubMed : 20938050). In addition, impairs keratinocyte differentiation and epidermal function by inhibiting the expression of genes clustered at the epidermal differentiation complex (EDC) as well as GRHL1 and GRHL3 through epigenetic mechanisms (PubMed : 23254293).
See full target information GRHL2

Publications (7)

Recent publications for all applications. Explore the full list and refine your search

iScience 28:113302 PubMed40894904

2025

CPNE5 overexpression inhibits cardiomyocytes apoptosis by promoting the degradation of FAS receptor.

Applications

Unspecified application

Species

Unspecified reactive species

Tingting Zhao,Yangjinming Bai,Yudong Fei,Zhixing Wei,Pengcheng Yao,Qianji Che,Yichao Zhang,Ji Yan,Kaiyan Chen,Zhengyang Wu,Junhao Qiu,Yuepeng Wang,Wei Li,Qian Wang,Yigang Li

Discover oncology 16:1482 PubMed40767901

2025

Identification of copper related biomarkers in breast cancer using machine learning.

Applications

Unspecified application

Species

Unspecified reactive species

Jing Wang,Haining Wang,Zilan Li,Qi Xu,Yiwei Yang,Run Shi,Feng Liu,Shiyang Jin

Frontiers in cell and developmental biology 12:1511190 PubMed39897079

2025

GRHL2-HER3 and E-cadherin mediate EGFR-bypass drug resistance in lung cancer cells.

Applications

Unspecified application

Species

Unspecified reactive species

Fumiya Ito,Wakiko Iwata,Yoshihiro Adachi,Hiromi Sesaki,Miho Iijima

Cell death & disease 15:748 PubMed39402063

2024

GRHL2 regulates keratinocyte EMT-MET dynamics and scar formation during cutaneous wound healing.

Applications

Unspecified application

Species

Unspecified reactive species

Tianying Chen,Bo Zhang,Hanqi Xie,Chenyu Huang,Qiong Wu

Nature 632:411-418 PubMed39048831

2024

In vivo interaction screening reveals liver-derived constraints to metastasis.

Applications

Unspecified application

Species

Unspecified reactive species

Costanza Borrelli,Morgan Roberts,Davide Eletto,Marie-Didiée Hussherr,Hassan Fazilaty,Tomas Valenta,Atefeh Lafzi,Jonas A Kretz,Elena Guido Vinzoni,Andromachi Karakatsani,Srivathsan Adivarahan,Ardian Mannhart,Shoichiro Kimura,Ab Meijs,Farah Baccouche Mhamedi,Ilhan E Acar,Kristina Handler,Xenia Ficht,Randall J Platt,Salvatore Piscuoglio,Andreas E Moor

Experimental biology and medicine (Maywood, N.J.) 248:1267-1277 PubMed37728157

2023

RBM25 induces trophoblast epithelial-mesenchymal transition and preeclampsia disorder by enhancing the positive feedback loop between Grhl2 and RBM25.

Applications

Unspecified application

Species

Unspecified reactive species

Jing Zhang,Wen-Qi Chen,Kai Yang,Zhao-Xi Wang,Dong-Lan Sun,Yuan-Yuan Peng,Mei Yu,Shao-Xiong Wang,Qing Guo

American journal of reproductive immunology (New York, N.Y. : 1989) 89:e13657 PubMed36409529

2022

Circ_0111277 suppresses trophoblast cell proliferation, angiogenesis, migration, invasion and EMT via regulating miR-188-3p/GRHL2 axis.

Applications

Unspecified application

Species

Unspecified reactive species

Meixi Zhou,Xiang Yu,Chenping Li,Lejing Lou,Song Yang,Jihao Cai,Chang Cai
View all publications

Product promise

We are committed to supporting your work with high-quality reagents, and we're here for you every step of the way. In the unlikely event that one of our products does not perform as expected, you're protected by our Product Promise.
For full details, please see our Terms & Conditions

Please note: All products are 'FOR RESEARCH USE ONLY. NOT FOR USE IN DIAGNOSTIC OR THERAPEUTIC PROCEDURES'.

For licensing inquiries, please contact partnerships@abcam.com