JavaScript is disabled in your browser. Please enable JavaScript to view this website.
AB282286

Anti-GRIK1+GRIK2 antibody [EPR23995-85] - BSA and Azide free

Be the first to review this product! Submit a review

|

(0 Publication)

Rabbit Recombinant Monoclonal GluK1 antibody. Carrier free. Suitable for ICC/IF, WB, IHC-P and reacts with Mouse, Human, Rat samples.

View Alternative Names

GLUR5, GRIK1, GluK1, Excitatory amino acid receptor 3, Glutamate receptor 5, EAA3, GluR-5, GluR5

8 Images
Immunohistochemistry (Formalin/PFA-fixed paraffin-embedded sections) - Anti-GRIK1+GRIK2 antibody [EPR23995-85] - BSA and Azide free (AB282286)
  • IHC-P

Supplier Data

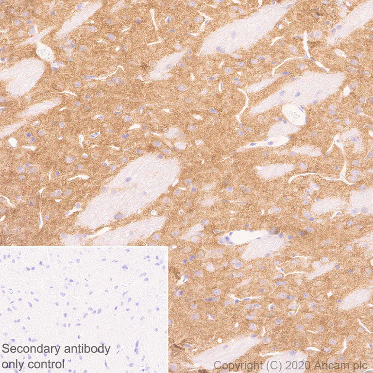
Immunohistochemistry (Formalin/PFA-fixed paraffin-embedded sections) - Anti-GRIK1+GRIK2 antibody [EPR23995-85] - BSA and Azide free (AB282286)

This data was developed using ab259886, the same antibody clone in a different buffer formulation.

Immunohistochemical analysis of paraffin-embedded Mouse cerebrum tissue labelling GRIK1+GRIK2 with ab259886 at 1/1000 (0.557 ug/ml) dilution followed by a ready to use LeicaDS9800 (Bond™ Polymer Refine Detection). Positive staining on mouse cerebrum.The section was incubated with ab259886 for 30 minutes at room temperature. The immunostaining was performed on a Leica Biosystems BOND ® RX instrument. Counterstained with Hematoxylin.

Secondary antibody only control : Secondary antibody is a ready to use LeicaDS9800 (Bond™ Polymer Refine Detection).

Heat mediated antigen retrieval with Tris-EDTA buffer (pH 9.0, epitope retrieval solution2) for 20 minutes.

Immunohistochemistry (Formalin/PFA-fixed paraffin-embedded sections) - Anti-GRIK1+GRIK2 antibody [EPR23995-85] - BSA and Azide free (AB282286)
  • IHC-P

Supplier Data

Immunohistochemistry (Formalin/PFA-fixed paraffin-embedded sections) - Anti-GRIK1+GRIK2 antibody [EPR23995-85] - BSA and Azide free (AB282286)

This data was developed using ab259886, the same antibody clone in a different buffer formulation.

Immunohistochemical analysis of paraffin-embedded Human cerebrum tissue labelling GRIK1+GRIK2 with ab259886 at 1/1000 (0.557 ug/ml) dilution followed by a ready to use LeicaDS9800 (Bond™ Polymer Refine Detection). Positive staining on human cerebrum (PMID : 12783878). The section was incubated with ab259886 for 30 minutes at room temperature. The immunostaining was performed on a Leica Biosystems BOND® RX instrument. Counterstained with Hematoxylin.

Secondary antibody only control : Secondary antibody is a ready to use LeicaDS9800 (Bond™ Polymer Refine Detection).

Heat mediated antigen retrieval with Tris-EDTA buffer (pH 9.0, epitope retrieval solution2) for 20 minutes.

Immunohistochemistry (Formalin/PFA-fixed paraffin-embedded sections) - Anti-GRIK1+GRIK2 antibody [EPR23995-85] - BSA and Azide free (AB282286)
  • IHC-P

Supplier Data

Immunohistochemistry (Formalin/PFA-fixed paraffin-embedded sections) - Anti-GRIK1+GRIK2 antibody [EPR23995-85] - BSA and Azide free (AB282286)

This data was developed using ab259886, the same antibody clone in a different buffer formulation.

Immunohistochemical analysis of paraffin-embedded Rat cerebrum tissue labelling GRIK1+GRIK2 with ab259886 at 1/1000 (0.557 ug/ml) dilution followed by a ready to use LeicaDS9800 (Bond™ Polymer Refine Detection). Positive staining on rat cerebrum. The section was incubated with ab259886 for 30 minutes at room temperature. The immunostaining was performed on a Leica Biosystems BOND® RX instrument. Counterstained with Hematoxylin.

Secondary antibody only control : Secondary antibody is a ready to use LeicaDS9800 (Bond™ Polymer Refine Detection).

Heat mediated antigen retrieval with Tris-EDTA buffer (pH 9.0, epitope retrieval solution2) for 20 minutes.

Immunohistochemistry (Formalin/PFA-fixed paraffin-embedded sections) - Anti-GRIK1+GRIK2 antibody [EPR23995-85] - BSA and Azide free (AB282286)
  • IHC-P

Supplier Data

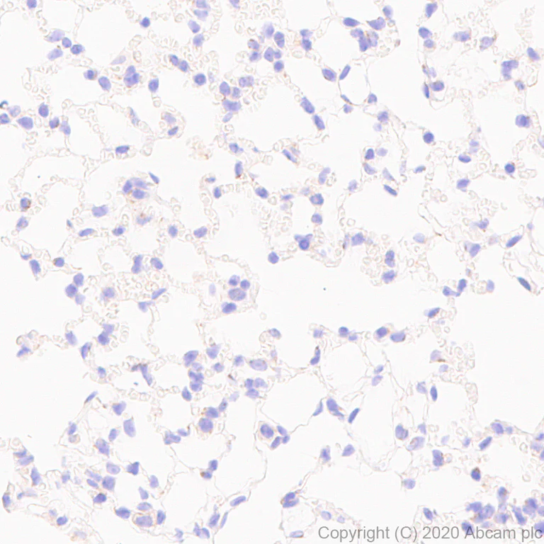
Immunohistochemistry (Formalin/PFA-fixed paraffin-embedded sections) - Anti-GRIK1+GRIK2 antibody [EPR23995-85] - BSA and Azide free (AB282286)

This data was developed using ab259886, the same antibody clone in a different buffer formulation.

Immunohistochemical analysis of paraffin-embedded Mouse lung tissue labelling GRIK1+GRIK2 with ab259886 at 1/1000 (0.557 ug/ml) dilution followed by a ready to use LeicaDS9800 (Bond™ Polymer Refine Detection). Negative control : No staining on mouse lung. The section was incubated with ab259886 for 30 minutes at room temperature. The immunostaining was performed on a Leica Biosystems BOND® RX instrument. Counterstained with Hematoxylin.

Secondary antibody only control : Secondary antibody is a ready to use LeicaDS9800 (Bond™ Polymer Refine Detection).

Heat mediated antigen retrieval with Tris-EDTA buffer (pH 9.0, epitope retrieval solution2) for 20 minutes.

Immunohistochemistry (Formalin/PFA-fixed paraffin-embedded sections) - Anti-GRIK1+GRIK2 antibody [EPR23995-85] - BSA and Azide free (AB282286)
  • IHC-P

Supplier Data

Immunohistochemistry (Formalin/PFA-fixed paraffin-embedded sections) - Anti-GRIK1+GRIK2 antibody [EPR23995-85] - BSA and Azide free (AB282286)

This data was developed using ab259886, the same antibody clone in a different buffer formulation.

Immunohistochemical analysis of paraffin-embedded Mouse cerebellum tissue labelling GRIK1+GRIK2 with ab259886 at 1/1000 (0.557 ug/ml) dilution followed by a ready to use LeicaDS9800 (Bond™ Polymer Refine Detection). Positive staining on mouse cerebellum (PMID : 11427689).The section was incubated with ab259886 for 30 minutes at room temperature. The immunostaining was performed on a Leica Biosystems BOND® RX instrument. Counterstained with Hematoxylin.

Secondary antibody only control : Secondary antibody is a ready to use LeicaDS9800 (Bond™ Polymer Refine Detection).

Heat mediated antigen retrieval with Tris-EDTA buffer (pH 9.0, epitope retrieval solution2) for 20 minutes.

Western blot - Anti-GRIK1+GRIK2 antibody [EPR23995-85] - BSA and Azide free (AB282286)
  • WB

Lab

Western blot - Anti-GRIK1+GRIK2 antibody [EPR23995-85] - BSA and Azide free (AB282286)

This data was developed using ab259886, the same antibody clone in a different buffer formulation.

Blocking and diluting buffer and concentration : 5% NFDM/TBST

Negative control : Mouse lung (PMID : 15014126)

Samples are non-boiled as boiling may cause protein aggregates.

Exposure time : 26 seconds

All lanes:

Western blot - Anti-GRIK1+GRIK2 antibody [EPR23995-85] (<a href='/en-us/products/primary-antibodies/grik1grik2-antibody-epr23995-85-ab259886'>ab259886</a>) at 1/1000 dilution

Lane 1:

Mouse hypothalamus tissue lysate at 20 µg

Lane 2:

Mouse cerebellum tissue lysate at 20 µg

Lane 3:

Mouse lung tissue lysate at 40 µg

Secondary

All lanes:

Western blot - Goat Anti-Rabbit IgG H&L (HRP) (<a href='/en-us/products/secondary-antibodies/goat-rabbit-igg-h-l-hrp-ab97051'>ab97051</a>) at 1/50000 dilution

Observed band size: 109 kDa

false

Western blot - Anti-GRIK1+GRIK2 antibody [EPR23995-85] - BSA and Azide free (AB282286)
  • WB

Lab

Western blot - Anti-GRIK1+GRIK2 antibody [EPR23995-85] - BSA and Azide free (AB282286)

This data was developed using ab259886, the same antibody clone in a different buffer formulation.

Blocking and diluting buffer and concentration : 5% NFDM/TBST

Bands around 250kDa and above might be dimer and tetramer according to the Uniprot database.

Samples are non-boiled as boiling may cause protein aggregates.

Exposure time : Lane1 : 48 seconds

Lane 2 : 10 seconds

Lane3 : 26 seconds

All lanes:

Western blot - Anti-GRIK1+GRIK2 antibody [EPR23995-85] (<a href='/en-us/products/primary-antibodies/grik1grik2-antibody-epr23995-85-ab259886'>ab259886</a>) at 1/1000 dilution

Lane 1:

Human hypothalamus tissue lysate at 20 µg

Lane 2:

Human cerebellum tissue lysate at 20 µg

Lane 3:

Rat cerebellum tissue lysate at 20 µg

Secondary

All lanes:

Goat Anti-Rabbit IgG (HRP) with minimal cross-reactivity with human IgG at 1/2000 dilution

Observed band size: 109 kDa

false

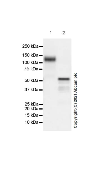
Western blot - Anti-GRIK1+GRIK2 antibody [EPR23995-85] - BSA and Azide free (AB282286)
  • WB

Lab

Western blot - Anti-GRIK1+GRIK2 antibody [EPR23995-85] - BSA and Azide free (AB282286)

This data was developed using ab259886, the same antibody clone in a different buffer formulation.

Blocking and diluting buffer and concentration : 5% NFDM/TBST

Exposure time : 5.5 seconds

All lanes:

Western blot - Anti-GRIK1+GRIK2 antibody [EPR23995-85] (<a href='/en-us/products/primary-antibodies/grik1grik2-antibody-epr23995-85-ab259886'>ab259886</a>) at 1/1000 dilution

Lane 1:

Mouse GRIK1 recombinant protein at 0.0005 µg

Lane 2:

Mouse GRIK2 recombinant protein at 0.0005 µg

Secondary

All lanes:

Western blot - Goat Anti-Rabbit IgG H&L (HRP) (<a href='/en-us/products/secondary-antibodies/goat-rabbit-igg-h-l-hrp-ab97051'>ab97051</a>) at 1/100000 dilution

Observed band size: 109 kDa

false

Key facts

Host species

Rabbit

Clonality

Monoclonal

Clone number

EPR23995-85

Isotype

IgG

Carrier free

Yes

Reacts with

Mouse, Rat, Human

Applications

WB, IHC-P, ICC/IF

applications

Immunogen

The exact immunogen used to generate this antibody is proprietary information.

Reactivity data

{ "title": "Reactivity Data", "filters": { "stats": ["", "Species", "Dilution Info", "Notes"], "tabs": { "all-applications": {"fullname" : "All Applications", "shortname": "All Applications"}, "ICCIF" : {"fullname" : "Immunocytochemistry/ Immunofluorescence", "shortname":"ICC/IF"}, "IP" : {"fullname" : "Immunoprecipitation", "shortname":"IP"}, "FlowCyt" : {"fullname" : "Flow Cytometry", "shortname":"Flow Cyt"}, "WB" : {"fullname" : "Western blot", "shortname":"WB"}, "IHCFr" : {"fullname" : "Immunohistochemistry (Frozen sections)", "shortname":"IHC-Fr"}, "IHCP" : {"fullname" : "Immunohistochemistry (Formalin/PFA-fixed paraffin-embedded sections)", "shortname":"IHC-P"} }, "product-promise": { "all": "all", "testedAndGuaranteed": "tested", "guaranteed": "expected", "predicted": "predicted", "notRecommended": "not-recommended" } }, "values": { "Human": { "ICCIF-species-checked": "testedAndGuaranteed", "ICCIF-species-dilution-info": "", "ICCIF-species-notes": "<p></p> Perform heat-mediated antigen retrieval with Tris/EDTA buffer pH 9.0 before commencing with IHC staining protocol.", "IP-species-checked": "notRecommended", "IP-species-dilution-info": "", "IP-species-notes": "", "FlowCyt-species-checked": "notRecommended", "FlowCyt-species-dilution-info": "", "FlowCyt-species-notes": "<p></p>", "WB-species-checked": "testedAndGuaranteed", "WB-species-dilution-info": "", "WB-species-notes": "<p></p>", "IHCFr-species-checked": "notRecommended", "IHCFr-species-dilution-info": "", "IHCFr-species-notes": "", "IHCP-species-checked": "testedAndGuaranteed", "IHCP-species-dilution-info": "", "IHCP-species-notes": "<p></p> Perform heat-mediated antigen retrieval with Tris/EDTA buffer pH 9.0 before commencing with IHC staining protocol." }, "Mouse": { "ICCIF-species-checked": "testedAndGuaranteed", "ICCIF-species-dilution-info": "", "ICCIF-species-notes": "<p></p> Perform heat-mediated antigen retrieval with Tris/EDTA buffer pH 9.0 before commencing with IHC staining protocol.", "IP-species-checked": "notRecommended", "IP-species-dilution-info": "", "IP-species-notes": "<p></p> Perform heat-mediated antigen retrieval with Tris/EDTA buffer pH 9.0 before commencing with IHC staining protocol.", "FlowCyt-species-checked": "notRecommended", "FlowCyt-species-dilution-info": "", "FlowCyt-species-notes": "<p></p>", "WB-species-checked": "testedAndGuaranteed", "WB-species-dilution-info": "", "WB-species-notes": "<p></p>", "IHCFr-species-checked": "notRecommended", "IHCFr-species-dilution-info": "", "IHCFr-species-notes": "<p></p>", "IHCP-species-checked": "testedAndGuaranteed", "IHCP-species-dilution-info": "", "IHCP-species-notes": "<p></p> Perform heat-mediated antigen retrieval with Tris/EDTA buffer pH 9.0 before commencing with IHC staining protocol." }, "Rat": { "ICCIF-species-checked": "guaranteed", "ICCIF-species-dilution-info": "", "ICCIF-species-notes": "", "IP-species-checked": "notRecommended", "IP-species-dilution-info": "", "IP-species-notes": "<p></p>", "FlowCyt-species-checked": "notRecommended", "FlowCyt-species-dilution-info": "", "FlowCyt-species-notes": "", "WB-species-checked": "testedAndGuaranteed", "WB-species-dilution-info": "", "WB-species-notes": "<p></p>", "IHCFr-species-checked": "notRecommended", "IHCFr-species-dilution-info": "", "IHCFr-species-notes": "<p></p>", "IHCP-species-checked": "testedAndGuaranteed", "IHCP-species-dilution-info": "", "IHCP-species-notes": "<p></p> Perform heat-mediated antigen retrieval with Tris/EDTA buffer pH 9.0 before commencing with IHC staining protocol." } } }

Product details

Properties and storage information

Form
Liquid
Purification technique
Affinity purification Protein A
Storage buffer
pH: 7.2 - 7.4 Constituents: 100% PBS
Shipped at conditions
Blue Ice
Appropriate short-term storage conditions
+4°C
Appropriate long-term storage conditions
+4°C

Supplementary information

This supplementary information is collated from multiple sources and compiled automatically.

GRIK1 and GRIK2 also known as GluK1 and GluK2 are subunits of kainate receptors. These receptors are ionotropic glutamate receptors that facilitate excitatory neurotransmission in the central nervous system. GRIK1 and GRIK2 proteins have a molecular mass of approximately 100 kDa. They are expressed not only in the brain but also in other tissues though their expression is most abundantly observed in the hippocampus and cerebellum. These proteins play a role in modulating synaptic transmission and plasticity contributing to the overall functioning of neural circuits.
Biological function summary

Kainate receptors which include GRIK1 and GRIK2 form ion channels upon ligand binding allowing the flow of cations such as sodium and calcium across the cell membrane. These interactions significantly influence synaptic strength and neuronal communication. GRIK1 and GRIK2 often assemble in a tetrameric complex which may also include other subunits like GRIK3 enhancing the diversity of receptor functions. The activity of these receptors has a profound impact on neurodevelopment and cognitive processes.

Pathways

GRIK1 and GRIK2 play a pivotal role in glutamatergic signaling pathways specifically impacting synaptic plasticity and long-term potentiation (LTP). These pathways are critical for learning and memory formation. The kainate receptor functions alongside AMPA and NMDA receptors key participants in synaptic transmission. The collaborative interactions among these receptor types facilitate complex neuronal network activities. This involvement positions GRIK1 and GRIK2 as essential players in mediating excitatory neurotransmission that influences higher cognitive functions.

Dysregulation of GRIK1 and GRIK2 is linked with several neurological conditions including epilepsy and schizophrenia. Altered expression or function of kainate receptors can lead to imbalances in excitatory and inhibitory signaling contributing to epileptic seizures. In schizophrenia abnormalities in glutamate receptor signaling including that of GRIK1 and GRIK2 may affect cognition and perception. Additionally their interaction with proteins like NMDA receptor subunits further highlights their role in neuropsychiatric disorders. Understanding these connections can aid in the development of targeted therapeutic approaches.

Product protocols

For this product, it's our understanding that no specific protocols are required. You can visit:

Target data

Ionotropic glutamate receptor that functions as a cation-permeable ligand-gated ion channel, gated by L-glutamate and the glutamatergic agonist kainic acid. L-glutamate acts as an excitatory neurotransmitter at many synapses in the central nervous system. Binding of the excitatory neurotransmitter L-glutamate induces a conformation change, leading to the opening of the cation channel, and thereby converts the chemical signal to an electrical impulse. The receptor then desensitizes rapidly and enters a transient inactive state, characterized by the presence of bound agonist.. Isoform 2. Ionotropic glutamate receptor that functions as a cation-permeable ligand-gated ion channel, gated by L-glutamate and the glutamatergic agonist kainic acid.
See full target information GRIK1

Additional targets

GRIK2

Product promise

We are committed to supporting your work with high-quality reagents, and we're here for you every step of the way. In the unlikely event that one of our products does not perform as expected, you're protected by our Product Promise.
For full details, please see our Terms & Conditions

Please note: All products are 'FOR RESEARCH USE ONLY. NOT FOR USE IN DIAGNOSTIC OR THERAPEUTIC PROCEDURES'.

For licensing inquiries, please contact partnerships@abcam.com