JavaScript is disabled in your browser. Please enable JavaScript to view this website.
AB109017

Anti-GRIM19 antibody [EPR4471(2)]

Be the first to review this product! Submit a review

|

(1 Publication)

Rabbit Recombinant Monoclonal GRIM19 antibody. Suitable for IHC-P, WB and reacts with Human samples. Cited in 1 publication.

View Alternative Names

GRIM19, CDA016, CGI-39, NDUFA13, NADH dehydrogenase [ubiquinone] 1 alpha subcomplex subunit 13, Cell death regulatory protein GRIM-19, Complex I-B16.6, Gene associated with retinoic and interferon-induced mortality 19 protein, NADH-ubiquinone oxidoreductase B16.6 subunit, CI-B16.6, GRIM-19, Gene associated with retinoic and IFN-induced mortality 19 protein

3 Images
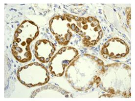
Immunohistochemistry (Formalin/PFA-fixed paraffin-embedded sections) - Anti-GRIM19 antibody [EPR4471(2)] (AB109017)
  • IHC-P

Unknown

Immunohistochemistry (Formalin/PFA-fixed paraffin-embedded sections) - Anti-GRIM19 antibody [EPR4471(2)] (AB109017)

Immunohistochemical analysis of GRIM19 in paraffin-embedded Human kidney tissue using ab109017 at 1/100 dilution.

Perform heat mediated antigen retrieval with citrate buffer pH 6 before commencing with IHC staining protocol.

Western blot - Anti-GRIM19 antibody [EPR4471(2)] (AB109017)
  • WB

Lab

Western blot - Anti-GRIM19 antibody [EPR4471(2)] (AB109017)

Lanes 1-3 : Merged signal (red and green). Green - ab109017 observed at 17 kDa. Red - loading control ab8245 observed at 36 kDa.

ab109017 Anti-GRIM19 antibody [EPR4471(2)] was shown to specifically react with GRIM19 in wild-type HeLa cells. Loss of signal was observed when knockout cell line ab265863 (knockout cell lysate ab257136) was used. Wild-type and GRIM19 knockout samples were subjected to SDS-PAGE. ab109017 and Anti-GAPDH antibody [6C5] - Loading Control (ab8245) were incubated overnight at 4°C at 1 in 1000 dilution and 1 in 20000 dilution respectively. Blots were developed with Goat anti-Rabbit IgG H&L (IRDye® 800CW) preadsorbed (ab216773) and Goat anti-Mouse IgG H&L (IRDye® 680RD) preadsorbed (ab216776) secondary antibodies at 1 in 20000 dilution for 1 hour at room temperature before imaging.

All lanes:

Western blot - Anti-GRIM19 antibody [EPR4471(2)] (ab109017) at 1/1000 dilution

Lane 1:

Wild-type HeLa cell lysate at 20 µg

Lane 2:

NDUFA13 knockout HeLa cell lysate at 20 µg

Lane 2:

Western blot - Human NDUFA13 (GRIM19) knockout HeLa cell line (<a href='/en-us/products/cell-lines/human-ndufa13-grim19-knockout-hela-cell-line-ab265863'>ab265863</a>)

Lane 3:

Jurkat cell lysate at 20 µg

Secondary

All lanes:

Western blot - Goat anti-Rabbit IgG H&L (IRDye® 800CW) preadsorbed (<a href='/en-us/products/secondary-antibodies/goat-rabbit-igg-h-l-irdye-800cw-preadsorbed-ab216773'>ab216773</a>) at 1/10000 dilution

Predicted band size: 17 kDa

Observed band size: 17 kDa

false

Western blot - Anti-GRIM19 antibody [EPR4471(2)] (AB109017)
  • WB

Unknown

Western blot - Anti-GRIM19 antibody [EPR4471(2)] (AB109017)

All lanes:

Western blot - Anti-GRIM19 antibody [EPR4471(2)] (ab109017) at 1/1000 dilution

Lane 1:

HeLa cell lysate at 10 µg

Lane 2:

Ramos cell lysate at 10 µg

Lane 3:

Jurkat cell lysate at 10 µg

Lane 4:

293T cell lysate at 10 µg

Predicted band size: 17 kDa

false

  • Carrier free

    Anti-GRIM19 antibody [EPR4471(2)] - BSA and Azide free

Key facts

Host species

Rabbit

Clonality

Monoclonal

Clone number

EPR4471(2)

Isotype

IgG

Carrier free

No

Reacts with

Human

Applications

WB, IHC-P

applications

Immunogen

The exact immunogen used to generate this antibody is proprietary information.

Reactivity data

{ "title": "Reactivity Data", "filters": { "stats": ["", "Species", "Dilution Info", "Notes"], "tabs": { "all-applications": {"fullname" : "All Applications", "shortname": "All Applications"}, "IHCP" : {"fullname" : "Immunohistochemistry (Formalin/PFA-fixed paraffin-embedded sections)", "shortname":"IHC-P"}, "IP" : {"fullname" : "Immunoprecipitation", "shortname":"IP"}, "FlowCyt" : {"fullname" : "Flow Cytometry", "shortname":"Flow Cyt"}, "WB" : {"fullname" : "Western blot", "shortname":"WB"} }, "product-promise": { "all": "all", "testedAndGuaranteed": "tested", "guaranteed": "expected", "predicted": "predicted", "notRecommended": "not-recommended" } }, "values": { "Human": { "IHCP-species-checked": "testedAndGuaranteed", "IHCP-species-dilution-info": "1/100 - 1/250", "IHCP-species-notes": "<p></p> Perform heat-mediated antigen retrieval with citrate buffer pH 6 before commencing with IHC staining protocol.", "IP-species-checked": "notRecommended", "IP-species-dilution-info": "", "IP-species-notes": "<p></p>", "FlowCyt-species-checked": "notRecommended", "FlowCyt-species-dilution-info": "", "FlowCyt-species-notes": "<p></p>", "WB-species-checked": "testedAndGuaranteed", "WB-species-dilution-info": "1/1000 - 1/10000", "WB-species-notes": "<p></p>" } } }

Product details

Species reactivity
Mouse, Rat: We have preliminary internal testing data to indicate this antibody may not react with these species.
Please contact us for more information.

Patented technology
Our RabMAb® technology is a patented hybridoma-based technology for making rabbit monoclonal antibodies. For details on our patents, please refer to RabMAb® patents.

What are the advantages of a recombinant monoclonal antibody?
This product is a recombinant monoclonal antibody, which offers several advantages including:

  • - High batch-to-batch consistency and reproducibility
  • - Improved sensitivity and specificity
  • - Long-term security of supply
  • - Animal-free batch production

For more information, read more on recombinant antibodies.

Properties and storage information

Form
Liquid
Purification technique
Affinity purification Protein A
Storage buffer
pH: 7.2 - 7.4 Preservative: 0.01% Sodium azide Constituents: PBS, 40% Glycerol (glycerin, glycerine), 0.05% BSA
Shipped at conditions
Blue Ice
Appropriate short-term storage conditions
+4°C
Appropriate long-term storage conditions
-20°C
Storage information
Stable for 12 months at -20°C

Supplementary information

This supplementary information is collated from multiple sources and compiled automatically.

GRIM19 also known as NDUFA13 is a small protein with a molecular mass of approximately 16 kDa. It expresses mainly in mitochondria where it forms an integral component of the mitochondrial respiratory chain complex I. GRIM19 plays an important role in the functioning of complex I by facilitating the assembly and stabilization of the complex enabling efficient electron transport and ATP synthesis.
Biological function summary

GRIM19 interacts with several complexes and proteins within the mitochondrial inner membrane. As a part of complex I also known as NADH:ubiquinone oxidoreductase it contributes to the initial step of mitochondrial oxidative phosphorylation. GRIM19 also participates in the regulation of apoptosis and its expression is influenced during cellular stress situations highlighting its significance in cellular survival and energy production.

Pathways

GRIM19 integrates closely with mitochondrial apoptosis and energy metabolism pathways. Its interactions within oxidative phosphorylation place it in concert with both the electron transport chain and the apoptosis regulatory network. GRIM19 shares associations with related proteins such as cytochrome c oxidase and other complex I subunits highlighting its essential contribution to these important biological processes.

GRIM19 demonstrates links to various pathologies including cancer and mitochondrial diseases. Alterations in GRIM19 expression or function have been implicated in the progression of certain cancers such as colorectal and thyroid cancer where GRIM19's usual regulatory role in apoptosis can be disrupted. Additionally its involvement in mitochondrial disease connects to proteins like COX-A1 emphasizing the importance of maintaining functional complexes for cellular health.

Product protocols

For this product, it's our understanding that no specific protocols are required. You can visit:

Target data

Accessory subunit of the mitochondrial membrane respiratory chain NADH dehydrogenase (Complex I), that is believed not to be involved in catalysis (PubMed : 27626371). Complex I functions in the transfer of electrons from NADH to the respiratory chain. The immediate electron acceptor for the enzyme is believed to be ubiquinone (PubMed : 27626371). Involved in the interferon/all-trans-retinoic acid (IFN/RA) induced cell death. This apoptotic activity is inhibited by interaction with viral IRF1. Prevents the transactivation of STAT3 target genes. May play a role in CARD15-mediated innate mucosal responses and serve to regulate intestinal epithelial cell responses to microbes (PubMed : 15753091).
See full target information NDUFA13

Publications (1)

Recent publications for all applications. Explore the full list and refine your search

Cancer medicine 14:e70658 PubMed40062505

2025

Radiation-Enhanced AF1q Moves Center Stage as a Key Driver to Favorable Tumor Stage in Rectal Cancer Patients.

Applications

Unspecified application

Species

Unspecified reactive species

Elisabeth S Gruber,Georg Oberhuber,Elisabeth Gurnhofer,Robert Eferl,Gerald Timelthaler,Béla Teleky,D I Dietmar Georg,Joachim Widder,William Tse,Lukas Kenner
View all publications

Product promise

We are committed to supporting your work with high-quality reagents, and we're here for you every step of the way. In the unlikely event that one of our products does not perform as expected, you're protected by our Product Promise.
For full details, please see our Terms & Conditions

Please note: All products are 'FOR RESEARCH USE ONLY. NOT FOR USE IN DIAGNOSTIC OR THERAPEUTIC PROCEDURES'.

For licensing inquiries, please contact partnerships@abcam.com