JavaScript is disabled in your browser. Please enable JavaScript to view this website.
AB203632

Anti-GRIN1 antibody

Be the first to review this product! Submit a review

|

(2 Publications)

Rabbit Polyclonal GRIN1 antibody. Suitable for IHC-P and reacts with Rat samples. Cited in 2 publications. Immunogen corresponding to Synthetic Peptide within Human GPRIN1 aa 100-200 conjugated to Keyhole Limpet Haemocyanin.

View Alternative Names

KIAA1893, GPRIN1, G protein-regulated inducer of neurite outgrowth 1, GRIN1

1 Images
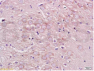
Immunohistochemistry (Formalin/PFA-fixed paraffin-embedded sections) - Anti-GRIN1 antibody (AB203632)
  • IHC-P

Supplier Data

Immunohistochemistry (Formalin/PFA-fixed paraffin-embedded sections) - Anti-GRIN1 antibody (AB203632)

Immunohistochemical analysis of formalin-fixed and paraffin embedded Rat brain labeling GRIN1 with ab203632 at 1/200 followed by conjugation to the secondary antibody and DAB staining

Key facts

Host species

Rabbit

Clonality

Polyclonal

Isotype

IgG

Carrier free

No

Reacts with

Rat

Applications

IHC-P

applications

Immunogen

Synthetic Peptide within Human GPRIN1 aa 100-200 conjugated to Keyhole Limpet Haemocyanin. The exact immunogen used to generate this antibody is proprietary information.

Q7Z2K8

Reactivity data

{ "title": "Reactivity Data", "filters": { "stats": ["", "Species", "Dilution Info", "Notes"], "tabs": { "all-applications": {"fullname" : "All Applications", "shortname": "All Applications"}, "IHCP" : {"fullname" : "Immunohistochemistry (Formalin/PFA-fixed paraffin-embedded sections)", "shortname":"IHC-P"} }, "product-promise": { "all": "all", "testedAndGuaranteed": "tested", "guaranteed": "expected", "predicted": "predicted", "notRecommended": "not-recommended" } }, "values": { "Rat": { "IHCP-species-checked": "testedAndGuaranteed", "IHCP-species-dilution-info": "1/100 - 1/500", "IHCP-species-notes": "<p>When using a fluorescent probe the recommended dilution is 1/50 - 1/200.</p>" } } }

Properties and storage information

Form
Liquid
Purification technique
Affinity purification Protein A
Storage buffer
pH: 7.4 Preservative: 0.02% Proclin 300 Constituents: 50% Glycerol (glycerin, glycerine), 48.98% TBS, 1X, 1% BSA
Shipped at conditions
Blue Ice
Appropriate short-term storage duration
1-2 weeks
Appropriate short-term storage conditions
+4°C
Appropriate long-term storage conditions
-20°C
Aliquoting information
Upon delivery aliquot
Storage information
Avoid freeze / thaw cycle

Supplementary information

This supplementary information is collated from multiple sources and compiled automatically.

GRIN1 also known as GluN1 represents a subunit of the NMDA receptor essential for normal synaptic function. This receptor weighs approximately 120 kDa and is mainly expressed in the brain where it plays an important role in excitatory neurotransmission. The receptor channels calcium sodium and potassium ions maintaining communication between neurons. GRIN1 combines with other subunits to form a functional receptor complex critical in mediating synaptic plasticity and memory function.
Biological function summary

GRIN1 binds with other NMDA receptor subunits to form a ligand-gated ion channel complex. The channel opens in response to glutamate binding allowing ions to flow through the membrane. This activity is fundamental for synaptic plasticity impacting processes like learning and memory. GRIN1 modulation affects activities at the synapse influencing both neuronal survival and excitatory signaling.

Pathways

NMDA receptors involving GRIN1 participate in the glutamatergic neurotransmission pathway which is critical for excitatory synaptic transmission. These receptors associate with proteins like CaMKII linking them to the calcium signaling pathway. The proper functioning of this pathway is important for synaptic strength and development as dysregulation can lead to neurological issues.

Aberrations in GRIN1 activity relate to neurodegenerative and psychiatric disorders. Alzheimer's disease often shows disrupted NMDA receptor function where GRIN1 plays a role in amyloid-beta-mediated neuronal damage. Moreover dysregulation of GRIN1 is connected to schizophrenia where abnormal synaptic signaling alters brain function. Both diseases underline the importance of proper GRIN1 function in maintaining neural health.

Product protocols

For this product, it's our understanding that no specific protocols are required. You can visit:

Target data

May be involved in neurite outgrowth.
See full target information GPRIN1

Publications (2)

Recent publications for all applications. Explore the full list and refine your search

Genes, chromosomes & cancer 63:e70007 PubMed39535842

2024

Differential Expression of Proteins and Genes at the Tumor-Brain Interface in Invasive Meningioma.

Applications

Unspecified application

Species

Unspecified reactive species

Kornwika Senglek,Chinachote Teerapakpinyo,Nutchawan Jittapiromsak,Pakrit Jittapiromsak,Irin Lertparinyaphorn,Paul Scott Thorner,Shanop Shuangshoti

Biology of reproduction 97:302-312 PubMed29044427

2017

Genomic identification, expression profiling, and functional characterization of CatSper channels in the bovine.

Applications

Unspecified application

Species

Unspecified reactive species

Gillian P Johnson,Anne-Marie English,Sinead Cronin,David A Hoey,Kieran G Meade,Sean Fair
View all publications

Product promise

We are committed to supporting your work with high-quality reagents, and we're here for you every step of the way. In the unlikely event that one of our products does not perform as expected, you're protected by our Product Promise.
For full details, please see our Terms & Conditions

Please note: All products are 'FOR RESEARCH USE ONLY. NOT FOR USE IN DIAGNOSTIC OR THERAPEUTIC PROCEDURES'.

For licensing inquiries, please contact partnerships@abcam.com