JavaScript is disabled in your browser. Please enable JavaScript to view this website.
AB305031

Anti-GRIN3A antibody [EPR25287-73]

  • BOND RX™ Validated
  • 20ul selling size
  • RabMAb
  • Recombinant
  • What is this?

Be the first to review this product! Submit a review

|

(0 Publication)

Rabbit Recombinant Monoclonal NR3A antibody. Suitable for IHC-P and reacts with Mouse, Rat samples.

View Alternative Names

GluN3A, Glutamate receptor chi-1, N-methyl-D-aspartate receptor, N-methyl-D-aspartate receptor subtype 3A, NMDAR-L, NMDAR-L1, NMDAR3A, NR3A, Grin3a

5 Images
Immunohistochemistry - Anti-GRIN3A antibody [EPR25287-73] (AB305031)
  • IHC

Supplier Data

Immunohistochemistry - Anti-GRIN3A antibody [EPR25287-73] (AB305031)

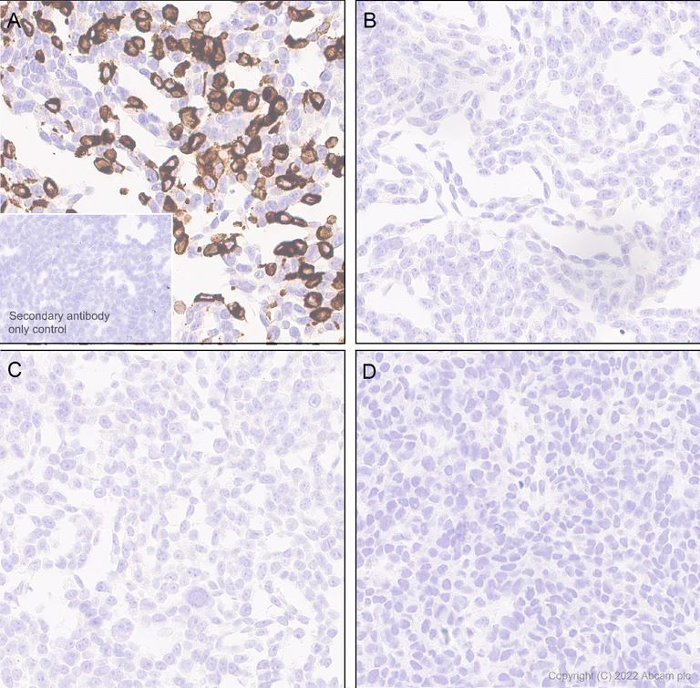
Immunohistochemical analysis of paraffin-embedded (A) HEK-293T cells labeling GRIN3A with ab305031 at 1/100 (4.74 ug/ml) followed by a ready to use Goat Anti-Rabbit IgG H&L (HRP). Positive staining on (A) HEK-293T cells transfected with a Grin3a expression vector containing a his tag, no staining on (B) HEK-293T cells transfected with a Grin2b expression vector containing a his tag and (C) HEK-293T cells transfected with a Grin2a expression vector containing a his tag. No staining on (D) HEK-293T cells transfected with empty vector containing a his tag. The section was incubated with ab305031 at 4°C overnight. Counterstained with Hematoxylin. Secondary antibody only control : Secondary antibody is a ready to use Goat Anti-Rabbit IgG H&L (HRP). Heat mediated antigen retrieval with Tris-EDTA buffer (pH 9.0, epitope retrieval solution2) for 20 mins

Immunohistochemistry - Anti-GRIN3A antibody [EPR25287-73] (AB305031)
  • IHC

Supplier Data

Immunohistochemistry - Anti-GRIN3A antibody [EPR25287-73] (AB305031)

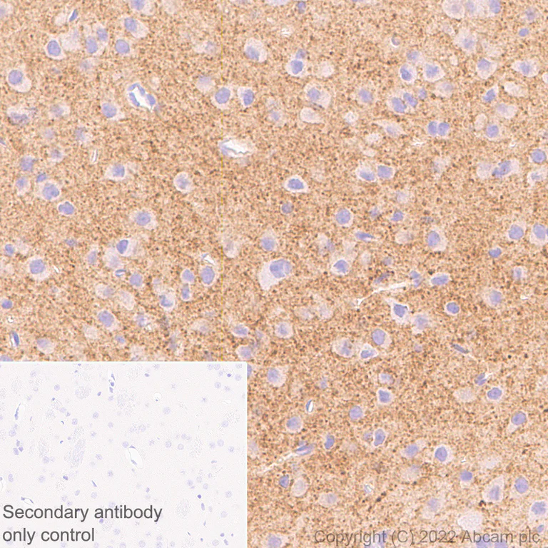
Immunohistochemical analysis of paraffin-embedded Rat cerebrum tissue labeling GRIN3A with ab305031 at 1/50 (9.48 ug/ml) followed by a ready to use LeicaDS9800 (Bond™ Polymer Refine Detection) was used. Postive staining on rat cerebrum (PMID : 7472412).The section was incubated with ab305031 for 30 mins at room temperature.The immunostaining was performed on a Leica Biosystems BOND® RX instrument Counterstained with Hematoxylin. Secondary antibody only control : Secondary antibody is a ready to use LeicaDS9800 (Bond™ Polymer Refine Detection). Heat mediated antigen retrieval with Tris-EDTA buffer (pH 9.0, epitope retrieval solution2) for 20 mins

Immunohistochemistry - Anti-GRIN3A antibody [EPR25287-73] (AB305031)
  • IHC

Supplier Data

Immunohistochemistry - Anti-GRIN3A antibody [EPR25287-73] (AB305031)

Immunohistochemical analysis of paraffin-embedded Mouse cerebrum (coronal tissue section labeling GRIN3A with ab305031 at 1/50 (9.48 ug/ml) followed by a ready to use LeicaDS9800 (Bond™ Polymer Refine Detection) was used. Postive staining on mouse cerebrum (PMID : 7472412).The section was incubated with ab305031 for 30 mins at room temperature.The immunostaining was performed on a Leica Biosystems BOND® RX instrument Counterstained with Hematoxylin. Secondary antibody only control : Secondary antibody is a ready to use LeicaDS9800 (Bond™ Polymer Refine Detection). Heat mediated antigen retrieval with Tris-EDTA buffer (pH 9.0, epitope retrieval solution2) for 20 mins

Immunohistochemistry - Anti-GRIN3A antibody [EPR25287-73] (AB305031)
  • IHC

Supplier Data

Immunohistochemistry - Anti-GRIN3A antibody [EPR25287-73] (AB305031)

Immunohistochemical analysis of paraffin-embedded Mouse cardiac muscle tissue labeling GRIN3A with ab305031 at 1/50 (9.48 ug/ml) followed by a ready to use LeicaDS9800 (Bond™ Polymer Refine Detection) was used. Negative control : No staining on mouse cardiac muscle.The section was incubated with ab305031 for 30 mins at room temperature.The immunostaining was performed on a Leica Biosystems BOND® RX instrument Counterstained with Hematoxylin. Secondary antibody only control : Secondary antibody is a ready to use LeicaDS9800 (Bond™ Polymer Refine Detection). Heat mediated antigen retrieval with Citrate buffer (pH 6.0, epitope retrieval solution 1) for 20 mins

Immunohistochemistry - Anti-GRIN3A antibody [EPR25287-73] (AB305031)
  • IHC

Supplier Data

Immunohistochemistry - Anti-GRIN3A antibody [EPR25287-73] (AB305031)

Immunohistochemical analysis of paraffin-embedded Rat cardiac muscle tissue labeling GRIN3A with ab305031 at 1/50 (9.48 ug/ml) followed by a ready to use LeicaDS9800 (Bond™ Polymer Refine Detection) was used. Negative control : No staining on rat cardiac muscle.The section was incubated with ab305031 for 30 mins at room temperature.The immunostaining was performed on a Leica Biosystems BOND® RX instrument Counterstained with Hematoxylin. Secondary antibody only control : Secondary antibody is a ready to use LeicaDS9800 (Bond™ Polymer Refine Detection). Heat mediated antigen retrieval with Citrate buffer (pH 6.0, epitope retrieval solution 1) for 20 mins

  • Carrier free

    Anti-GRIN3A antibody [EPR25287-73] - BSA and Azide free

Key facts

Host species

Rabbit

Clonality

Monoclonal

Clone number

EPR25287-73

Isotype

IgG

Carrier free

No

Reacts with

Mouse, Rat

Applications

IHC-P

applications

Immunogen

The exact immunogen used to generate this antibody is proprietary information.

Reactivity data

{ "title": "Reactivity Data", "filters": { "stats": ["", "Species", "Dilution Info", "Notes"], "tabs": { "all-applications": {"fullname" : "All Applications", "shortname": "All Applications"}, "WB" : {"fullname" : "Western blot", "shortname":"WB"}, "IHCP" : {"fullname" : "Immunohistochemistry (Formalin/PFA-fixed paraffin-embedded sections)", "shortname":"IHC-P"}, "IHCFr" : {"fullname" : "Immunohistochemistry (Frozen sections)", "shortname":"IHC-Fr"}, "ICCIF" : {"fullname" : "Immunocytochemistry/ Immunofluorescence", "shortname":"ICC/IF"}, "FlowCytIntra" : {"fullname" : "Flow Cytometry (Intracellular)", "shortname":"Flow Cyt (Intra)"}, "IP" : {"fullname" : "Immunoprecipitation", "shortname":"IP"} }, "product-promise": { "all": "all", "testedAndGuaranteed": "tested", "guaranteed": "expected", "predicted": "predicted", "notRecommended": "not-recommended" } }, "values": { "Human": { "WB-species-checked": "notRecommended", "WB-species-dilution-info": "", "WB-species-notes": "<p></p>", "IHCP-species-checked": "notRecommended", "IHCP-species-dilution-info": "1/50", "IHCP-species-notes": "<p></p> Perform heat-mediated antigen retrieval with Tris/EDTA buffer pH 9.0 before commencing with IHC staining protocol.", "IHCFr-species-checked": "notRecommended", "IHCFr-species-dilution-info": "", "IHCFr-species-notes": "", "ICCIF-species-checked": "notRecommended", "ICCIF-species-dilution-info": "", "ICCIF-species-notes": "", "FlowCytIntra-species-checked": "notRecommended", "FlowCytIntra-species-dilution-info": "", "FlowCytIntra-species-notes": "", "IP-species-checked": "notRecommended", "IP-species-dilution-info": "", "IP-species-notes": "" }, "Mouse": { "WB-species-checked": "notRecommended", "WB-species-dilution-info": "", "WB-species-notes": "<p></p>", "IHCP-species-checked": "testedAndGuaranteed", "IHCP-species-dilution-info": "1/50", "IHCP-species-notes": "<p></p> Perform heat-mediated antigen retrieval with Tris/EDTA buffer pH 9.0 before commencing with IHC staining protocol.", "IHCFr-species-checked": "notRecommended", "IHCFr-species-dilution-info": "", "IHCFr-species-notes": "<p></p>", "ICCIF-species-checked": "notRecommended", "ICCIF-species-dilution-info": "", "ICCIF-species-notes": "<p></p>", "FlowCytIntra-species-checked": "notRecommended", "FlowCytIntra-species-dilution-info": "", "FlowCytIntra-species-notes": "<p></p>", "IP-species-checked": "notRecommended", "IP-species-dilution-info": "", "IP-species-notes": "<p></p>" }, "Rat": { "WB-species-checked": "notRecommended", "WB-species-dilution-info": "", "WB-species-notes": "<p></p>", "IHCP-species-checked": "testedAndGuaranteed", "IHCP-species-dilution-info": "1/50", "IHCP-species-notes": "<p></p> Perform heat-mediated antigen retrieval with Tris/EDTA buffer pH 9.0 before commencing with IHC staining protocol.", "IHCFr-species-checked": "notRecommended", "IHCFr-species-dilution-info": "", "IHCFr-species-notes": "<p></p>", "ICCIF-species-checked": "notRecommended", "ICCIF-species-dilution-info": "", "ICCIF-species-notes": "<p></p>", "FlowCytIntra-species-checked": "notRecommended", "FlowCytIntra-species-dilution-info": "", "FlowCytIntra-species-notes": "<p></p>", "IP-species-checked": "notRecommended", "IP-species-dilution-info": "", "IP-species-notes": "<p></p>" } } }

Product details

Patented technology
Our RabMAb® technology is a patented hybridoma-based technology for making rabbit monoclonal antibodies. For details on our patents, please refer to RabMAb® patents.

What are the advantages of a recombinant monoclonal antibody?
This product is a recombinant monoclonal antibody, which offers several advantages including:

  • - High batch-to-batch consistency and reproducibility
  • - Improved sensitivity and specificity
  • - Long-term security of supply
  • - Animal-free batch production

For more information, read more on recombinant antibodies.

Properties and storage information

Form
Liquid
Purification technique
Affinity purification Protein A
Storage buffer
pH: 7.2 - 7.4 Preservative: 0.01% Sodium azide Constituents: PBS, 40% Glycerol (glycerin, glycerine), 0.05% BSA
Shipped at conditions
Blue Ice
Appropriate short-term storage duration
1-2 weeks
Appropriate short-term storage conditions
+4°C
Appropriate long-term storage conditions
-20°C
Aliquoting information
Upon delivery aliquot
Storage information
Avoid freeze / thaw cycle

Supplementary information

This supplementary information is collated from multiple sources and compiled automatically.

The NR3A protein also known as GluN3A is a subunit of the N-methyl-D-aspartate (NMDA) receptor an important glutamate receptor in the brain. It has a molecular weight of about 120 kDa. NR3A is expressed in various regions of the central nervous system but it is mostly present during early brain development. This subunit forms part of a receptor channel complex that is critical for synaptic plasticity and neurotransmission. NR3A regulates ion flow across the neuronal membrane in response to neurotransmitter binding modulating calcium permeability and excitability of neurons.
Biological function summary

NR3A serves to shape synaptic development and fine-tune signaling during early brain maturation. The NR3A subunit exists in a complex with other NMDA receptor subunits including NR1 and NR2 affecting receptor function by decreasing calcium influx when present. It can influence synaptic pruning and circuit formation which are essential processes in neurodevelopment. The presence of NR3A in the NMDA receptor decreases the receptor's calcium permeability altering the excitatory post-synaptic potential.

Pathways

Involvement in synaptic plasticity pathways connects NR3A to processes such as long-term potentiation (LTP) and long-term depression (LTD) which are important for learning and memory. The NMDA receptor containing NR3A plays a regulatory role in these pathways by mediating calcium entry into cells affecting downstream signaling events. NR3A has interactions with proteins such as CaMKII and PSD-95 which are key components in signaling cascades linked to synaptic strengthening and synapse stability.

NR3A has associations with neurodevelopmental disorders and neurodegenerative diseases. It is implicated in conditions such as schizophrenia where altered NR3A expression or function may contribute to cognitive deficits. Changes in NR3A levels relate to disruptions in NMDA receptor-mediated neurotransmission and could be linked to abnormal synaptic connectivity. Additionally NR3A might connect to Alzheimer's disease through pathways involving altered NMDA receptor activity where NR1 and NR2 subunits also play critical roles.

Product protocols

For this product, it's our understanding that no specific protocols are required. You can visit:

Target data

Component of a non-conventional N-methyl-D-aspartate (NMDA) receptors (NMDARs) that function as heterotetrameric, ligand-gated cation channels with low calcium permeability and low voltage-dependent block by Mg(2+) (PubMed : 11160393, PubMed : 11823786, PubMed : 11929923, PubMed : 18003876). During the development of neural circuits, participates in the synaptic refinement period, restricting spine maturation and growth (PubMed : 25009255). Forms glutamatergic receptor complexes with GluN1 and GluN2 subunits which are activated by glycine binding to the GluN1 and GluN3 subunits and L-glutamate binding to GluN2 subunits (PubMed : 11929923). Forms excitatory glycinergic receptor complexes with GluN1 alone which are activated by glycine binding to the GluN1 and GluN3 subunits (PubMed : 11823786). GluN3A subunit also binds D-serine (PubMed : 18636091). Each GluN3 subunit confers differential attributes to channel properties, including activation, deactivation and desensitization kinetics, pH sensitivity, Ca2(+) permeability, and binding to allosteric modulators (PubMed : 11160393, PubMed : 11929923). By competing with GIT1 interaction with ARHGEF7/beta-PIX, may reduce GIT1/ARHGEF7-regulated local activation of RAC1, hence affecting signaling and limiting the maturation and growth of inactive synapses (PubMed : 24297929).
See full target information GRIN3A

Product promise

We are committed to supporting your work with high-quality reagents, and we're here for you every step of the way. In the unlikely event that one of our products does not perform as expected, you're protected by our Product Promise.
For full details, please see our Terms & Conditions

Please note: All products are 'FOR RESEARCH USE ONLY. NOT FOR USE IN DIAGNOSTIC OR THERAPEUTIC PROCEDURES'.

For licensing inquiries, please contact partnerships@abcam.com