JavaScript is disabled in your browser. Please enable JavaScript to view this website.
AB227825

Anti-GRK2 antibody [EPR22465]

Be the first to review this product! Submit a review

|

(4 Publications)

Rabbit Recombinant Monoclonal GRK2 antibody. Suitable for IP, WB and reacts with Human samples. Cited in 4 publications.

View Alternative Names

ADRBK1, BARK, BARK1, GRK2, Beta-adrenergic receptor kinase 1, Beta-ARK-1, G-protein coupled receptor kinase 2

5 Images
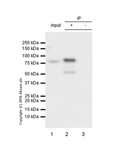
Immunoprecipitation - Anti-GRK2 antibody [EPR22465] (AB227825)
  • IP

Supplier Data

Immunoprecipitation - Anti-GRK2 antibody [EPR22465] (AB227825)

GRK2 was immunoprecipitated from 0.35 mg HEK-293T (human epithelial cell line from embryonic kidney transformed with large T antigen) whole cell lysate with ab227825 at 1/30 dilution. Western blot was performed from the immunoprecipitate using ab227825 at 1/1000 dilution. VeriBlot for IP Detection Reagent (HRP) (ab131366), was used for detection at 1/1000 dilution.
Lane 1 : HEK-293T whole cell lysate 10 μg (Input).
Lane 2 : ab227825 IP in HEK-293T whole cell lysate.
Lane 3 : Rabbit monoclonal IgG (ab172730) instead of ab227825 in HEK-293T whole cell lysate.
Blocking/Dilution buffer : 5% NFDM/TBST.
Exposure time : 3 seconds.

GRK2 was found readily degradable by proteolytic process (PMID : 9857063; PMID : 12738776). The bands smaller than 80-kDa detected in the immune-precipitate may represent degraded GRK2.

All lanes:

Immunoprecipitation - Anti-GRK2 antibody [EPR22465] (ab227825)

Predicted band size: 80 kDa

false

Immunoprecipitation - Anti-GRK2 antibody [EPR22465] (AB227825)
  • IP

Supplier Data

Immunoprecipitation - Anti-GRK2 antibody [EPR22465] (AB227825)

GRK2 was immunoprecipitated from 0.35 mg HeLa (human epithelial cell line from cervix adenocarcinoma) whole cell lysate with ab227825 at 1/30 dilution. Western blot was performed from the immunoprecipitate using ab227825 at 1/1000 dilution. VeriBlot for IP Detection Reagent (HRP) (ab131366), was used for detection at 1/1000 dilution.
Lane 1 : HeLa whole cell lysate 10 μg (Input).
Lane 2 : ab227825 IP in HeLa whole cell lysate.
Lane 3 : Rabbit monoclonal IgG (ab172730) instead of ab227825 in HeLa whole cell lysate.
Blocking/Dilution buffer : 5% NFDM/TBST.
Exposure time : 3 seconds.

GRK2 was found readily degradable by proteolytic process (PMID : 9857063; PMID : 12738776). The bands smaller than 80-kDa detected in the immune-precipitate may represent degraded GRK2.

All lanes:

Immunoprecipitation - Anti-GRK2 antibody [EPR22465] (ab227825)

Predicted band size: 80 kDa

false

Western blot - Anti-GRK2 antibody [EPR22465] (AB227825)
  • WB

Lab

Western blot - Anti-GRK2 antibody [EPR22465] (AB227825)

Lanes 1-4 : Merged signal (red and green). Green - ab227825 observed at 80 kDa. Red - loading control ab8245 observed at 36 kDa.

ab227825 Anti-GRK2 antibody [EPR22465] was shown to specifically react with GRK2 in wild-type HEK293T cells. Loss of signal was observed when knockout cell line ab266352 (knockout cell lysate ab257345) was used. Wild-type and GRK2 knockout samples were subjected to SDS-PAGE. ab227825 and Anti-GAPDH antibody [6C5] - Loading Control (ab8245) were incubated overnight at 4°C at 1 in 1000 dilution and 1 in 20000 dilution respectively. Blots were developed with Goat anti-Rabbit IgG H&L (IRDye® 800CW) preadsorbed (ab216773) and Goat anti-Mouse IgG H&L (IRDye® 680RD) preadsorbed (ab216776) secondary antibodies at 1 in 20000 dilution for 1 hour at room temperature before imaging.

All lanes:

Western blot - Anti-GRK2 antibody [EPR22465] (ab227825) at 1/1000 dilution

Lane 1:

Wild-type HEK293T cell lysate at 20 µg

Lane 2:

ADRBK1 knockout HEK293T cell lysate at 20 µg

Lane 2:

Western blot - Human ADRBK1 (GRK2) knockout HEK-293T cell line (<a href='/en-us/products/cell-lines/human-adrbk1-grk2-knockout-hek-293t-cell-line-ab266352'>ab266352</a>)

Lane 3:

HepG2 cell lysate at 20 µg

Lane 4:

HeLa cell lysate at 20 µg

Secondary

All lanes:

Western blot - Goat anti-Rabbit IgG H&L (IRDye® 800CW) preadsorbed (<a href='/en-us/products/secondary-antibodies/goat-rabbit-igg-h-l-irdye-800cw-preadsorbed-ab216773'>ab216773</a>) at 1/10000 dilution

Predicted band size: 80 kDa

Observed band size: 80 kDa

false

Western blot - Anti-GRK2 antibody [EPR22465] (AB227825)
  • WB

Supplier Data

Western blot - Anti-GRK2 antibody [EPR22465] (AB227825)

Blocking/Dilution buffer : 5% NFDM/TBST.

All lanes:

Western blot - Anti-GRK2 antibody [EPR22465] (ab227825) at 1/1000 dilution

All lanes:

Human skeletal muscle lysate at 20 µg

Secondary

All lanes:

Western blot - Goat Anti-Rabbit IgG H&L (HRP) (<a href='/en-us/products/secondary-antibodies/goat-rabbit-igg-h-l-hrp-ab97051'>ab97051</a>) at 1/1000 dilution

Predicted band size: 80 kDa

false

Exposure time: 3min

Western blot - Anti-GRK2 antibody [EPR22465] (AB227825)
  • WB

Supplier Data

Western blot - Anti-GRK2 antibody [EPR22465] (AB227825)

Blocking/Dilution buffer : NFDM/TBST.

ab227825 was shown to specifically react with GRK2 in wild-type HAP1 cells as signal was lost in GRK2 knockout cells. Wild-type and GRK2 knockout samples were subjected to SDS-PAGE. ab227825 and ab181602 (Rabbit anti-GAPDH loading control) were incubated 1 hour at room temperature at 1/1000 dilution and 1/200,000 dilution respectively. Blots were developed with Goat Anti-Rabbit IgG, (H+L), Peroxidase conjugated (ab97051) secondary antibody at 1/100,000 dilution for 1 hour at room temperature before imaging. The blot was developed on a BIO-RAD® ChemiDoc™ MP instrument using the ECL technique.

All lanes:

Western blot - Anti-GRK2 antibody [EPR22465] (ab227825) at 1/1000 dilution

Lane 1:

Wild-type HAP1 whole cell lysate at 20 µg

Lane 2:

GRK2 knockout HAP1 whole cell lysate at 20 µg

Lane 3:

HEK-293 (human epithelial cell line from embryonic kidney) whole cell lysate at 20 µg

Lane 4:

HeLa (human epithelial cell line from cervix adenocarcinoma) whole cell lysate at 20 µg

Lane 5:

HepG2 (human liver hepatocellular carcinoma cell line) whole cell lysate at 20 µg

Secondary

All lanes:

Western blot - Goat Anti-Rabbit IgG H&L (HRP) (<a href='/en-us/products/secondary-antibodies/goat-rabbit-igg-h-l-hrp-ab97051'>ab97051</a>) at 1/100000 dilution

Predicted band size: 80 kDa

false

  • Carrier free

    Anti-GRK2 antibody [EPR22465] - BSA and Azide free

Key facts

Host species

Rabbit

Clonality

Monoclonal

Clone number

EPR22465

Isotype

IgG

Carrier free

No

Reacts with

Human

Applications

IP, WB

applications

Immunogen

The exact immunogen used to generate this antibody is proprietary information.

Reactivity data

{ "title": "Reactivity Data", "filters": { "stats": ["", "Species", "Dilution Info", "Notes"], "tabs": { "all-applications": {"fullname" : "All Applications", "shortname": "All Applications"}, "IP" : {"fullname" : "Immunoprecipitation", "shortname":"IP"}, "WB" : {"fullname" : "Western blot", "shortname":"WB"}, "IHCP" : {"fullname" : "Immunohistochemistry (Formalin/PFA-fixed paraffin-embedded sections)", "shortname":"IHC-P"}, "ICCIF" : {"fullname" : "Immunocytochemistry/ Immunofluorescence", "shortname":"ICC/IF"} }, "product-promise": { "all": "all", "testedAndGuaranteed": "tested", "guaranteed": "expected", "predicted": "predicted", "notRecommended": "not-recommended" } }, "values": { "Human": { "IP-species-checked": "testedAndGuaranteed", "IP-species-dilution-info": "1/30", "IP-species-notes": "<p></p>", "WB-species-checked": "testedAndGuaranteed", "WB-species-dilution-info": "1/1000", "WB-species-notes": "<p></p>", "IHCP-species-checked": "notRecommended", "IHCP-species-dilution-info": "", "IHCP-species-notes": "<p></p>", "ICCIF-species-checked": "notRecommended", "ICCIF-species-dilution-info": "", "ICCIF-species-notes": "<p></p>" } } }

Product details

Patented technology
Our RabMAb® technology is a patented hybridoma-based technology for making rabbit monoclonal antibodies. For details on our patents, please refer to RabMAb® patents.

What are the advantages of a recombinant monoclonal antibody?
This product is a recombinant monoclonal antibody, which offers several advantages including:

  • - High batch-to-batch consistency and reproducibility
  • - Improved sensitivity and specificity
  • - Long-term security of supply
  • - Animal-free batch production

For more information, read more on recombinant antibodies.

Properties and storage information

Form
Liquid
Purification technique
Affinity purification Protein A
Storage buffer
pH: 7.2 - 7.4 Preservative: 0.01% Sodium azide Constituents: PBS, 40% Glycerol (glycerin, glycerine), 0.05% BSA
Shipped at conditions
Blue Ice
Appropriate short-term storage duration
1-2 weeks
Appropriate short-term storage conditions
+4°C
Appropriate long-term storage conditions
-20°C
Aliquoting information
Upon delivery aliquot
Storage information
Avoid freeze / thaw cycle

Supplementary information

This supplementary information is collated from multiple sources and compiled automatically.

The protein GRK2 also known as G protein-coupled receptor kinase 2 is an important enzyme involved in the regulation of G protein-coupled receptors (GPCRs). It has a molecular weight of approximately 80 kilodaltons. GRK2 is widely expressed in many tissues especially in the heart and brain where it plays an important role in cellular signaling processes. Its primary action is phosphorylating activated GPCRs which leads to receptor desensitization and downregulation modulating cellular responses to stimuli.
Biological function summary

GRK2 acts by coordinating with other proteins to regulate signal transduction pathways. It usually forms a complex with arrestins which prevent further signaling by blocking G protein coupling and directing receptors towards internalization pathways. This kinase acts to modulate receptor activity and maintain cellular homeostasis. GRK2 is essential for preventing overstimulation of cells playing a role in neurobiology and cardiology.

Pathways

GRK2 plays an important role in the adrenergic receptor signaling pathways including the beta-adrenergic and alpha-adrenergic pathways. It participates in the regulation of cardiac output and vascular tone by influencing the response of cells to catecholamines like adrenaline and noradrenaline. Proteins related to GRK2 in these pathways include adrenergic receptor subtypes and arrestin proteins. Voltage-gated calcium channels also interact with GRK2 linking it to calcium signaling pathways vital for muscle contraction and neurotransmitter release.

Research highlights GRK2's involvement in heart failure and hypertension. In heart failure elevated levels of GRK2 correlate with worsened cardiac function due to impaired beta-adrenergic receptor signaling. GRK2 is also linked to the development of hypertension through its effects on vascular smooth muscle cells and blood pressure regulation. Its interaction with proteins like arrestins suggests potential therapeutic targets for these cardiovascular conditions. Understanding and modulating GRK2 activity might offer approaches to treat these disorders.

Product protocols

For this product, it's our understanding that no specific protocols are required. You can visit:

Target data

Specifically phosphorylates the agonist-occupied form of the beta-adrenergic and closely related receptors, probably inducing a desensitization of them (PubMed : 19715378). Key regulator of LPAR1 signaling (PubMed : 19306925). Competes with RALA for binding to LPAR1 thus affecting the signaling properties of the receptor (PubMed : 19306925). Desensitizes LPAR1 and LPAR2 in a phosphorylation-independent manner (PubMed : 19306925). Positively regulates ciliary smoothened (SMO)-dependent Hedgehog (Hh) signaling pathway by facilitating the trafficking of SMO into the cilium and the stimulation of SMO activity (By similarity). Inhibits relaxation of airway smooth muscle in response to blue light (PubMed : 30284927).
See full target information GRK2

Publications (4)

Recent publications for all applications. Explore the full list and refine your search

Chemical science 15:2833-2847 PubMed38404368

2024

High-throughput drug target discovery using a fully automated proteomics sample preparation platform.

Applications

Unspecified application

Species

Unspecified reactive species

Qiong Wu,Jiangnan Zheng,Xintong Sui,Changying Fu,Xiaozhen Cui,Bin Liao,Hongchao Ji,Yang Luo,An He,Xue Lu,Xinyue Xue,Chris Soon Heng Tan,Ruijun Tian

Aging 15:10524-10539 PubMed37815883

2023

Paroxetine protects against bleomycin-induced pulmonary fibrosis by blocking GRK2/Smad3 pathway.

Applications

Unspecified application

Species

Unspecified reactive species

Kaochang Zhao,Hanxiang Nie,Zheng Tang,Guozhong Chen,Jizhen Huang

Experimental and therapeutic medicine 25:276 PubMed37206562

2023

ZBTB16 eases lipopolysaccharide‑elicited inflammation, apoptosis and degradation of extracellular matrix in chondrocytes during osteoarthritis by suppressing GRK2 transcription.

Applications

Unspecified application

Species

Unspecified reactive species

Bo Xiong,Lihua Chen,Yue Huang,Guanyu Lu,Cai Chen,Jiao Nong,Haida Pan

Cell death discovery 8:15 PubMed35013140

2022

METTL14 promotes apoptosis of spinal cord neurons by inducing EEF1A2 m6A methylation in spinal cord injury.

Applications

Unspecified application

Species

Unspecified reactive species

Gang Gao,Yufen Duan,Feng Chang,Ting Zhang,Xinhu Huang,Chen Yu
View all publications

Product promise

We are committed to supporting your work with high-quality reagents, and we're here for you every step of the way. In the unlikely event that one of our products does not perform as expected, you're protected by our Product Promise.
For full details, please see our Terms & Conditions

Please note: All products are 'FOR RESEARCH USE ONLY. NOT FOR USE IN DIAGNOSTIC OR THERAPEUTIC PROCEDURES'.

For licensing inquiries, please contact partnerships@abcam.com