JavaScript is disabled in your browser. Please enable JavaScript to view this website.
AB318971

Anti-groEL antibody [EPR28718-8] - BSA and Azide free

Be the first to review this product! Submit a review

|

(0 Publication)

Rabbit Recombinant Monoclonal Hsp60 antibody. Carrier free. Suitable for WB, IHC-P, ICC/IF, Flow Cyt (Intra) and reacts with Transfected cell lysate - Escherichia coli K-12, Escherichia coli BL21(DE3), Transfected cell line - Escherichia coli K-12 samples.

View Alternative Names

groL, mopA, b4143, JW4103, groEL, Chaperonin GroEL, 60 kDa chaperonin, Chaperonin-60, GroEL protein, Cpn60

9 Images
Immunohistochemistry (Formalin/PFA-fixed paraffin-embedded sections) - Anti-groEL antibody [EPR28718-8] - BSA and Azide free (AB318971)
  • IHC-P

Supplier Data

Immunohistochemistry (Formalin/PFA-fixed paraffin-embedded sections) - Anti-groEL antibody [EPR28718-8] - BSA and Azide free (AB318971)

This data was developed using ab318970, the same antibody clone in a different buffer formulation.

Immunohistochemical analysis of paraffin-embedded Human cerebrum tissue labeling groEL with ab318970 at 1/100 (5.02 ug/ml) dilution, followed by a ready to use LeicaDS9800 (Bond™ Polymer Refine Detection).

Negative control : no staining on human cerebrum. The section was incubated with ab318970 for 30 mins at room temperature.
The immunostaining was performed on a Leica Biosystems BOND® RX instrument

Counterstained with Hematoxylin.

Secondary antibody only control : Secondary antibody is a ready to use LeicaDS9800 (Bond™ Polymer Refine Detection).

Heat mediated antigen retrieval was performed with Tris-EDTA buffer (pH 9.0, Epitope Retrieval Solution2) for 20 mins

Immunocytochemistry/ Immunofluorescence - Anti-groEL antibody [EPR28718-8] - BSA and Azide free (AB318971)
  • ICC/IF

Supplier Data

Immunocytochemistry/ Immunofluorescence - Anti-groEL antibody [EPR28718-8] - BSA and Azide free (AB318971)

This data was developed using ab318970, the same antibody clone in a different buffer formulation.

Immunofluorescent analysis of 4% Paraformaldehyde-fixed, 0.1% TritonX-100 permeabilized 293T (human embryonic kidney epithelial cell) cells labelling groEL with ab318970 at 1/2000 (0.251 ug/ml) dilution, followed by ab150081 Goat Anti-Rabbit IgG H&L (Alexa Fluor® 488) preadsorbed antibody at 1/1000 2 ug/ml dilution (Green).

Confocal image showing positive staining in 293T cells transfected with an E.coli K12 Chaperonin GroEL expression vector containing a myc-His-tag®. The counterstain was observed in magenta. Nuclear DNA was labeled with DAPI (shown in blue).
Image was taken with a confocal microscope(Leica-Microsystems, TCS SP8).

ab223894 Anti-Myc tag mouse monoclonal antibody (Alexa Fluor® 594) was used to counterstain tubulin at 1/100 5ug/ml dilution (Magenta). The Nuclear counterstain was DAPI (Blue).

Secondary antibody only control : Secondary antibody is ab150081 Goat Anti-Rabbit IgG H&L (Alexa Fluor® 488) preadsorbed at 1/1000 2 ug/ml dilution.

Flow Cytometry (Intracellular) - Anti-groEL antibody [EPR28718-8] - BSA and Azide free (AB318971)
  • Flow Cyt (Intra)

Supplier Data

Flow Cytometry (Intracellular) - Anti-groEL antibody [EPR28718-8] - BSA and Azide free (AB318971)

This data was developed using ab318970, the same antibody clone in a different buffer formulation.

Flow cytometric analysis of 4% paraformaldehyde fixed 90% methanol permeabilized Isotype (Left) / 293T (human embryonic kidney epithelial cell) cells transfected with an E. coli groEL expression vector containing a myc-His-tag®(Middle) / 293T cells transfected with an empty expression vector containing a myc-His-tag® (Right) cells labelling groEL with ab318970 at 1/5000 dilution (0.01 ug)/Middle and Right compared with a Rabbit monoclonal IgG (ab172730) / Left isotype control and an unlabelled control (cells without incubation with primary antibody and secondary antibody).

Goat Anti-Rabbit IgG (Alexa Fluor® 488, ab150081) at 1/5000 dilution was used as the secondary antibody.

Immunohistochemistry (Formalin/PFA-fixed paraffin-embedded sections) - Anti-groEL antibody [EPR28718-8] - BSA and Azide free (AB318971)
  • IHC-P

Supplier Data

Immunohistochemistry (Formalin/PFA-fixed paraffin-embedded sections) - Anti-groEL antibody [EPR28718-8] - BSA and Azide free (AB318971)

This data was developed using ab318970, the same antibody clone in a different buffer formulation.

Immunohistochemical analysis of paraffin-embedded (A) HEK-293T (human epithelial cell line from embryonic kidney) transfected with an E. coli groEL expression vector containing a myc-His-tag®. (B) HEK-293T transfected with empty vector containing a myc-His-tag®. tissue labeling groEL with ab318970 at 1/10000 (0.05 ug/ml) dilution, followed by a ready to use LeicaDS9800 (Bond™ Polymer Refine Detection).

Positive staining on (A) HEK-293T (human epithelial cell line from embryonic kidney) transfected with an E. coli groEL expression vector containing a myc-His-tag®, negative staining on (B) HEK-293T transfected with empty vector containing a myc-His-tag®. The section was incubated with ab318970 for 30 mins at room temperature.
The immunostaining was performed on a Leica Biosystems BOND® RX instrument

Counterstained with Hematoxylin.

Secondary antibody only control : Secondary antibody is a ready to use LeicaDS9800 (Bond™ Polymer Refine Detection).

Heat mediated antigen retrieval was performed with Tris-EDTA buffer (pH 9.0, Epitope Retrieval Solution2) for 20 mins

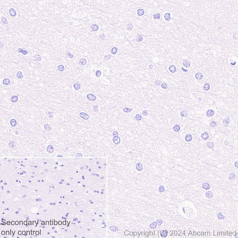
Immunohistochemistry (Formalin/PFA-fixed paraffin-embedded sections) - Anti-groEL antibody [EPR28718-8] - BSA and Azide free (AB318971)
  • IHC-P

Supplier Data

Immunohistochemistry (Formalin/PFA-fixed paraffin-embedded sections) - Anti-groEL antibody [EPR28718-8] - BSA and Azide free (AB318971)

This data was developed using ab318970, the same antibody clone in a different buffer formulation.

Immunohistochemical analysis of paraffin-embedded Rat cerebrum tissue labeling groEL with ab318970 at 1/100 (5.02 ug/ml) dilution, followed by a ready to use LeicaDS9800 (Bond™ Polymer Refine Detection).

Negative control : no staining on rat cerebrum. The section was incubated with ab318970 for 30 mins at room temperature.
The immunostaining was performed on a Leica Biosystems BOND® RX instrument

Counterstained with Hematoxylin.

Secondary antibody only control : Secondary antibody is a ready to use LeicaDS9800 (Bond™ Polymer Refine Detection).

Heat mediated antigen retrieval was performed with Tris-EDTA buffer (pH 9.0, Epitope Retrieval Solution2) for 20 mins

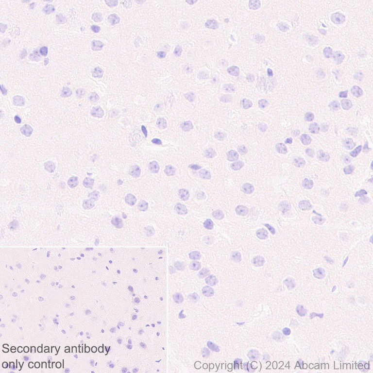
Immunohistochemistry (Formalin/PFA-fixed paraffin-embedded sections) - Anti-groEL antibody [EPR28718-8] - BSA and Azide free (AB318971)
  • IHC-P

Supplier Data

Immunohistochemistry (Formalin/PFA-fixed paraffin-embedded sections) - Anti-groEL antibody [EPR28718-8] - BSA and Azide free (AB318971)

This data was developed using ab318970, the same antibody clone in a different buffer formulation.

Immunohistochemical analysis of paraffin-embedded Mouse cerebrum tissue labeling groEL with ab318970 at 1/100 (5.02 ug/ml) dilution, followed by a ready to use LeicaDS9800 (Bond™ Polymer Refine Detection).

Negative control : no staining on mouse cerebrum. The section was incubated with ab318970 for 30 mins at room temperature.
The immunostaining was performed on a Leica Biosystems BOND® RX instrument

Counterstained with Hematoxylin.

Secondary antibody only control : Secondary antibody is a ready to use LeicaDS9800 (Bond™ Polymer Refine Detection).

Heat mediated antigen retrieval was performed with Tris-EDTA buffer (pH 9.0, Epitope Retrieval Solution2) for 20 mins

Immunocytochemistry/ Immunofluorescence - Anti-groEL antibody [EPR28718-8] - BSA and Azide free (AB318971)
  • ICC/IF

Supplier Data

Immunocytochemistry/ Immunofluorescence - Anti-groEL antibody [EPR28718-8] - BSA and Azide free (AB318971)

This data was developed using ab318970, the same antibody clone in a different buffer formulation.

Immunofluorescent analysis of 4% Paraformaldehyde-fixed, 0.1% TritonX-100 permeabilized Raw 264.7 (mouse Abelson murine leukemia virus-induced tumor macrophage) cells labelling groEL with ab318970 at 1/2000 (0.251 ug/ml) dilution, followed by ab150080 Goat Anti-Rabbit IgG H&L (Alexa Fluor® 594) antibody at 1/500 4ug/ml dilution (Green).

Confocal image showing positive staining in Raw 264.7 cells (shown in magenta) infected by Escherichia coli BL21(DE3), which was transformed with an eGFP expression vector. Nuclear DNA was labelled with DAPI (shown in blue).
Image was taken with a confocal microscope(Leica-Microsystems, TCS SP8).

was used to counterstain tubulin at 1/200 2.5 dilution (Magenta). The Nuclear counterstain was DAPI (Blue).

Secondary antibody only control : Secondary antibody is ab150080 Goat Anti-Rabbit IgG H&L (Alexa Fluor® 594) at 1/500 4ug/ml dilution.

Western blot - Anti-groEL antibody [EPR28718-8] - BSA and Azide free (AB318971)
  • WB

Supplier Data

Western blot - Anti-groEL antibody [EPR28718-8] - BSA and Azide free (AB318971)

This data was developed using ab318970, the same antibody clone in a different buffer formulation.

Blocking and diluting buffer and concentration : 5% NFDM/TBST.

This antibody does not cross-react with human, mouse and rat.

In Western blot, Anti-GAPDH antibody [EPR16891] - Loading Control (ab181602) staining at 1/200000 dilution.

All lanes:

Western blot - Anti-groEL antibody [EPR28718-8] (<a href='/en-us/products/primary-antibodies/groel-antibody-epr28718-8-ab318970'>ab318970</a>) at 1/1000 dilution

Lane 1:

E. coli (BL21(DE3)) whole cell lysate at 20 µg

Lane 2:

HeLa (human cervical adenocarcinoma epithelial cell) whole cell lysate at 20 µg

Lane 3:

Jurkat (human t cell leukemia t lymphocyte from peripheral blood) whole cell lysate at 20 µg

Lane 4:

NIH/3T3 (mouse embryonic fibroblast) whole cell lysate at 20 µg

Lane 5:

RAW 264.7 (mouse abelson murine leukemia virus-induced tumor macrophage) whole cell lysate at 20 µg

Lane 6:

PC-12 (rat adrenal gland pheochromocytoma cell) whole cell lysate at 20 µg

Lane 7:

Mouse brain tissue lysate at 20 µg

Lane 8:

Rat kidney tissue lysate at 20 µg

Lane 9:

Human liver tissue lysate at 20 µg

Secondary

All lanes:

Western blot - Goat Anti-Rabbit IgG H&L (HRP) (<a href='/en-us/products/secondary-antibodies/goat-rabbit-igg-h-l-hrp-ab97051'>ab97051</a>) at 1/100000 dilution

Observed band size: 57 kDa,36 kDa

false

Exposure time: 1s

Western blot - Anti-groEL antibody [EPR28718-8] - BSA and Azide free (AB318971)
  • WB

Supplier Data

Western blot - Anti-groEL antibody [EPR28718-8] - BSA and Azide free (AB318971)

This data was developed using ab318970, the same antibody clone in a different buffer formulation.

Blocking and diluting buffer and concentration : 5% NFDM/TBST.

This antibody does not cross-react with human HSPD1 .

In Western blot, Anti-GAPDH antibody [EPR16891] - Loading Control (ab181602) staining at 1/200000 dilution.

In Western blot, Anti-6X His tag® antibody [EPR20547] - ChIP Grade (ab213204) staining at 1/5000 dilution.

All lanes:

Western blot - Anti-groEL antibody [EPR28718-8] (<a href='/en-us/products/primary-antibodies/groel-antibody-epr28718-8-ab318970'>ab318970</a>) at 1/1000 dilution

Lane 1:

293T (human embryonic kidney epithelial cell) cells transfected with an empty vector containinga myc-His-tag®, whole cell lysate at 5 µg

Lane 2:

293T cells transfected with an E. coli groEL expression vector containinga myc-His-tag®, whole cell lysate at 5 µg

Lane 3:

293T cells transfected with a human HSPD1 expression vector containing a myc-His-tag®, whole cell lysate at 5 µg

Secondary

All lanes:

Western blot - Goat Anti-Rabbit IgG H&L (HRP) (<a href='/en-us/products/secondary-antibodies/goat-rabbit-igg-h-l-hrp-ab97051'>ab97051</a>) at 1/100000 dilution

Observed band size: 57 kDa,36 kDa

false

Exposure time: 10s

Key facts

Host species

Rabbit

Clonality

Monoclonal

Clone number

EPR28718-8

Isotype

IgG

Carrier free

Yes

Reacts with

Escherichia coli

Applications

WB, Flow Cyt (Intra), ICC/IF, IHC-P

applications

Immunogen

The exact immunogen used to generate this antibody is proprietary information.

Reactivity data

{ "title": "Reactivity Data", "filters": { "stats": ["", "Species", "Dilution Info", "Notes"], "tabs": { "all-applications": {"fullname" : "All Applications", "shortname": "All Applications"}, "WB" : {"fullname" : "Western blot", "shortname":"WB"}, "IHCP" : {"fullname" : "Immunohistochemistry (Formalin/PFA-fixed paraffin-embedded sections)", "shortname":"IHC-P"}, "ICCIF" : {"fullname" : "Immunocytochemistry/ Immunofluorescence", "shortname":"ICC/IF"}, "FlowCytIntra" : {"fullname" : "Flow Cytometry (Intracellular)", "shortname":"Flow Cyt (Intra)"} }, "product-promise": { "all": "all", "testedAndGuaranteed": "tested", "guaranteed": "expected", "predicted": "predicted", "notRecommended": "not-recommended" } }, "values": { "Escherichia coli": { "WB-species-checked": "predicted", "WB-species-dilution-info": "", "WB-species-notes": "", "IHCP-species-checked": "predicted", "IHCP-species-dilution-info": "", "IHCP-species-notes": "", "ICCIF-species-checked": "predicted", "ICCIF-species-dilution-info": "", "ICCIF-species-notes": "", "FlowCytIntra-species-checked": "predicted", "FlowCytIntra-species-dilution-info": "", "FlowCytIntra-species-notes": "" }, "Escherichia coli BL21(DE3)": { "WB-species-checked": "testedAndGuaranteed", "WB-species-dilution-info": "", "WB-species-notes": "<p></p>", "IHCP-species-checked": "guaranteed", "IHCP-species-dilution-info": "", "IHCP-species-notes": "", "ICCIF-species-checked": "guaranteed", "ICCIF-species-dilution-info": "", "ICCIF-species-notes": "", "FlowCytIntra-species-checked": "guaranteed", "FlowCytIntra-species-dilution-info": "", "FlowCytIntra-species-notes": "" }, "Transfected cell line - Escherichia coli K-12": { "WB-species-checked": "notRecommended", "WB-species-dilution-info": "", "WB-species-notes": "", "IHCP-species-checked": "testedAndGuaranteed", "IHCP-species-dilution-info": "", "IHCP-species-notes": "<p></p>", "ICCIF-species-checked": "testedAndGuaranteed", "ICCIF-species-dilution-info": "", "ICCIF-species-notes": "<p></p>", "FlowCytIntra-species-checked": "testedAndGuaranteed", "FlowCytIntra-species-dilution-info": "", "FlowCytIntra-species-notes": "<p></p>" }, "Transfected cell lysate - Escherichia coli K-12": { "WB-species-checked": "testedAndGuaranteed", "WB-species-dilution-info": "", "WB-species-notes": "<p></p>", "IHCP-species-checked": "notRecommended", "IHCP-species-dilution-info": "", "IHCP-species-notes": "", "ICCIF-species-checked": "notRecommended", "ICCIF-species-dilution-info": "", "ICCIF-species-notes": "", "FlowCytIntra-species-checked": "notRecommended", "FlowCytIntra-species-dilution-info": "", "FlowCytIntra-species-notes": "" } } }

Product details

ab318971 is the carrier-free version of ab318970.

Patented technology
Our RabMAb® technology is a patented hybridoma-based technology for making rabbit monoclonal antibodies. For details on our patents, please refer to RabMAb® patents.

What are the advantages of a recombinant monoclonal antibody?
This product is a recombinant monoclonal antibody, which offers several advantages including:

  • - High batch-to-batch consistency and reproducibility
  • - Improved sensitivity and specificity
  • - Long-term security of supply
  • - Animal-free batch production

For more information, read more on recombinant antibodies.

Conjugation ready
Our carrier-free antibodies are typically supplied in a PBS-only formulation, purified and free of BSA, sodium azide and glycerol. This conjugation-ready format is designed for use with fluorochromes, metal isotopes, oligonucleotides, and enzymes, which makes them ideal for antibody labelling, functional and cell-based assays, flow-based assays (e.g. mass cytometry) and Multiplex Imaging applications.

Use our conjugation kits for antibody conjugates that are ready-to-use in as little as 20 minutes with 1 minute hands-on-time and 100% antibody recovery: available for fluorescent dyes, HRP, biotin and gold.

Compatibility
This product is compatible with the Maxpar® Antibody Labeling Kit from Fluidigm, without the need for antibody preparation. Maxpar® is a trademark of Fluidigm Canada Inc.

Properties and storage information

Form
Liquid
Purification technique
Affinity purification Protein A
Storage buffer
pH: 7.2 - 7.4 Constituents: PBS
Shipped at conditions
Blue Ice
Appropriate short-term storage conditions
+4°C
Appropriate long-term storage conditions
+4°C

Supplementary information

This supplementary information is collated from multiple sources and compiled automatically.

The groEL protein often known as 60 kDa chaperonin is a highly conserved molecular chaperone with an approximate mass of 60 kilodaltons. It plays an integral role in assisting the correct folding of nascent or stress-denatured proteins in the cell. Expressed prominently in prokaryotic organisms such as E. coli groEL is an important component of the E. coli expression system due to its ability to maintain protein functionality. By forming a double-ring structure that encapsulates substrates groEL collaborates with its co-chaperonin groES to perform essential protein folding.
Biological function summary

GroEL functions in collaboration with groES as part of a chaperonin complex that stabilizes unfolded proteins and prevents aggregation. It operates by undergoing ATP-dependent conformational changes that create an environment conducive to proper protein folding. E. coli products such as enzymes and structural proteins rely on the folding mechanism orchestrated by groEL to achieve their native conformation. Consequently its role is indispensable for protein homeostasis within E. coli affecting diverse cellular processes.

Pathways

Molecular chaperones including groEL integrate into the protein quality control network which monitors and manages protein integrity and turnover. In particular groEL operates in the folding and stress response pathways. Working closely with other proteins such as DnaK and DnaJ groEL ensures efficient protein folding and repair especially during heat shock conditions. This function maintains cellular viability and is important for cellular adaptation to environmental stressors.

Disruptions in groEL function can lead to protein misfolding-related diseases like Alzheimer's and Parkinson's. Although direct links to groEL are less observed in eukaryotic systems similar chaperone proteins like HSP60 show connections to neurodegenerative disorders. Dysfunctional protein homeostasis due to insufficient chaperone activity highlights the role of molecular chaperones in preventing protein aggregation which is implicated in these diseases.

Product protocols

For this product, it's our understanding that no specific protocols are required. You can visit:

Target data

Together with its co-chaperonin GroES, plays an essential role in assisting protein folding (PubMed : 10532860, PubMed : 16751100, PubMed : 1676490, PubMed : 18418386, PubMed : 18987317, PubMed : 20603018, PubMed : 24816391, PubMed : 2573517, PubMed : 2897629, PubMed : 8104102, PubMed : 9285593). The GroEL-GroES system forms a nano-cage that allows encapsulation of the non-native substrate proteins and provides a physical environment optimized to promote and accelerate protein folding, probably by preventing aggregation and by entropically destabilizing folding intermediates (PubMed : 16751100, PubMed : 18418386, PubMed : 18987317, PubMed : 20603018, PubMed : 24816391). Rapid binding of ATP, followed by slower binding of the non-native substrate protein and GroES to the cis open ring of GroEL initiates productive folding of the non-native protein inside a highly stable GroEL-ATP-GroES complex (PubMed : 19915138, PubMed : 22445172, PubMed : 9285585, PubMed : 9285593). Binding of ATP and GroES induces conformational changes that result in the release of the substrate protein into a nano-cage compartment, within the GroEL central cavity, for folding in isolation (PubMed : 16684774, PubMed : 22445172, PubMed : 8861908, PubMed : 9285585). To discharge GroES and substrate protein, ATP hydrolysis in the cis ring is required to form a GroEL-ADP-GroES complex with decreased stability (PubMed : 9285593). Finally, binding of ATP to the opposite trans ring of GroEL results in disassembly of the cis-ternary complex, which opens the cage and allows release of the folded protein (PubMed : 9285585, PubMed : 9285593). Proteins released in non-native form may be rapidly rebound by another GroEL complex until all of the initially bound polypeptide reaches native form (PubMed : 7867798, PubMed : 7915201). Can rescue kinetically trapped intermediates (PubMed : 20603018). GroEL shows ATPase activity (PubMed : 1676490, PubMed : 379350, PubMed : 9285593). ATP hydrolysis moves the reaction cycle forward but is not required for substrate folding (PubMed : 9285593).. Also plays a role in coupling between replication of the F plasmid and cell division of the cell.. (Microbial infection) Essential for the assembly of several bacteriophages.
See full target information groEL

Product promise

We are committed to supporting your work with high-quality reagents, and we're here for you every step of the way. In the unlikely event that one of our products does not perform as expected, you're protected by our Product Promise.
For full details, please see our Terms & Conditions

Please note: All products are 'FOR RESEARCH USE ONLY. NOT FOR USE IN DIAGNOSTIC OR THERAPEUTIC PROCEDURES'.

For licensing inquiries, please contact partnerships@abcam.com