JavaScript is disabled in your browser. Please enable JavaScript to view this website.
AB155276

Anti-Growth Hormone antibody [EPR11047(B)]

  • BOND RX™ Validated
  • 20ul selling size
  • RabMAb
  • Advanced Validation
  • Recombinant
  • What is this?

Be the first to review this product! Submit a review

|

(4 Publications)

Rabbit Recombinant Monoclonal Growth Hormone antibody. Suitable for mIHC, IHC-P, IP, WB and reacts with Human samples. Cited in 4 publications.

View Alternative Names

Somatotropin, Growth hormone, Growth hormone 1, Pituitary growth hormone, GH, GH-N, GH1

10 Images
Multiplex immunohistochemistry - Anti-Growth Hormone antibody [EPR11047(B)] (AB155276)
  • mIHC

Supplier Data

Multiplex immunohistochemistry - Anti-Growth Hormone antibody [EPR11047(B)] (AB155276)

Fluorescence multiplex immunohistochemical analysis of human pituitary gland tissue (formalin-fixed paraffin-embedded section). Panel A shows merged staining of anti-ACTH stained on corticotrophs (ab233954; green; Opal™520) at 1 : 5000 (0.214 μg/ml) [Panel B], anti-TSH beta stained on thyrotrophs (ab155958; red; Opal™570) at 1 : 500 (1.728 μg/ml) [Panel C], and anti-Growth Hormone stained on somatotrophs (ab155276; gray; Opal™690) at 1 : 5000 (0.044 μg/ml) [Panel D] on human pituitary gland. DAPI was used as a nuclear counter stain. Followed by Opal Polymer HRP Ms + Rb secondary antibody. The immunostaining was performed on a Leica Biosystems BOND® RX instrument with an Opal™ 4-color kit. Image acquisition was performed with Leica SP8 confocal microscope. The section was incubated in three rounds of staining : in the order of ab155276, ab233954, and ab155958 for 30 mins at room temperature. Each round was followed by a separate fluorescent tyramide signal amplification system. Heat mediated antigen retrieval with Tris-EDTA buffer (pH 9.0, epitope retrieval solution2) for 20 mins was used.

Immunohistochemistry (Formalin/PFA-fixed paraffin-embedded sections) - Anti-Growth Hormone antibody [EPR11047(B)] (AB155276)
  • IHC-P

Unknown

Immunohistochemistry (Formalin/PFA-fixed paraffin-embedded sections) - Anti-Growth Hormone antibody [EPR11047(B)] (AB155276)

Immunohistochemical analysis of paraffin embedded Human placenta tissue using ab155276 showing +ve staining.

Perform heat mediated antigen retrieval with citrate buffer pH 6 before commencing with IHC staining protocol.

Immunohistochemistry (Formalin/PFA-fixed paraffin-embedded sections) - Anti-Growth Hormone antibody [EPR11047(B)] (AB155276)
  • IHC-P

Unknown

Immunohistochemistry (Formalin/PFA-fixed paraffin-embedded sections) - Anti-Growth Hormone antibody [EPR11047(B)] (AB155276)

Immunohistochemical analysis of paraffin embedded Human normal tonsil tissue using ab155276 showing -ve staining.

Perform heat mediated antigen retrieval with citrate buffer pH 6 before commencing with IHC staining protocol.

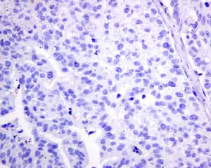
Immunohistochemistry (Formalin/PFA-fixed paraffin-embedded sections) - Anti-Growth Hormone antibody [EPR11047(B)] (AB155276)
  • IHC-P

Unknown

Immunohistochemistry (Formalin/PFA-fixed paraffin-embedded sections) - Anti-Growth Hormone antibody [EPR11047(B)] (AB155276)

Immunohistochemical analysis of paraffin embedded Human hepatocellular carcinoma tissue using ab155276 showing -ve staining.

Perform heat mediated antigen retrieval with citrate buffer pH 6 before commencing with IHC staining protocol.

Immunohistochemistry (Formalin/PFA-fixed paraffin-embedded sections) - Anti-Growth Hormone antibody [EPR11047(B)] (AB155276)
  • IHC-P

Unknown

Immunohistochemistry (Formalin/PFA-fixed paraffin-embedded sections) - Anti-Growth Hormone antibody [EPR11047(B)] (AB155276)

Immunohistochemical analysis of paraffin embedded Human cervical carcinoma tissue using ab155276 showing -ve staining.

Perform heat mediated antigen retrieval with citrate buffer pH 6 before commencing with IHC staining protocol.

Immunohistochemistry (Formalin/PFA-fixed paraffin-embedded sections) - Anti-Growth Hormone antibody [EPR11047(B)] (AB155276)
  • IHC-P

Unknown

Immunohistochemistry (Formalin/PFA-fixed paraffin-embedded sections) - Anti-Growth Hormone antibody [EPR11047(B)] (AB155276)

Immunohistochemical analysis of paraffin embedded Human heart tissue using ab155276 showing -ve staining.

Perform heat mediated antigen retrieval with citrate buffer pH 6 before commencing with IHC staining protocol.

Multiplex immunohistochemistry - Anti-Growth Hormone antibody [EPR11047(B)] (AB155276)
  • mIHC

Supplier Data

Multiplex immunohistochemistry - Anti-Growth Hormone antibody [EPR11047(B)] (AB155276)

Immunohistochemistry (Formalin/PFA-fixed paraffin-embedded sections) analysis of Human pituitary gland labelling ACTH with ab233954 at 1/5000 dilution (0.214 μg/ml) (B), Luteinizing Hormone beta with ab221494 at 1/4000 dilution (0.258 μg/ml) (C) and Growth Hormone with ab155276 at 1/5000 dilution (0.044 μg/ml) (D). Opal Polymer HRP Ms + Rb was used as a secondary antibody, and DAPI was used for a nuclear counter stain. Heat mediated antigen retrieval with Tris-EDTA buffer (pH 9.0, epitope retrieval solution2) for 20 mins. Panel A : merged staining of anti-Growth Hormone (gray; Opal™690), anti-ACTH (green; Opal™520) and anti-Luteinizing Hormone beta (red; Opal™570) on human pituitary gland. Panel B : anti-ACTH stained on corticotrophs. Panel C : anti-Luteinizing Hormone beta stained on gonadotrophs. Panel D : anti-Growth Hormone stained on somatotrophs. The section was incubated in three rounds of staining : in the order of ab155276, ab233954, and ab221494 for 30 mins at room temperature. Each round was followed by a separate fluorescent tyramide signal amplification system. The immunostaining was performed on a Leica Biosystems BOND® RX instrument with an Opal™ 4-color kit. Image acquisition was performed with Leica SP8 confocal microscope.

Immunohistochemistry (Formalin/PFA-fixed paraffin-embedded sections) - Anti-Growth Hormone antibody [EPR11047(B)] (AB155276)
  • IHC-P

Unknown

Immunohistochemistry (Formalin/PFA-fixed paraffin-embedded sections) - Anti-Growth Hormone antibody [EPR11047(B)] (AB155276)

Immunohistochemical analysis of paraffin embedded human pituitary gland tissue labeling Human Growth Hormone with ab155276 at a 1/250 dilution.

Perform heat mediated antigen retrieval with citrate buffer pH 6 before commencing with IHC staining protocol.

Immunoprecipitation - Anti-Growth Hormone antibody [EPR11047(B)] (AB155276)
  • IP

Lab

Immunoprecipitation - Anti-Growth Hormone antibody [EPR11047(B)] (AB155276)

Growth Hormone was immunoprecipitated from 0.35 mg Human placenta lysate 10 μg with 155276 at 1/50 dilution (2μg). VeriBlot for IP Detection Reagent (HRP)(ab131366) was used at 1/5000 dilution.

Lane 1 : Human placenta lysate 10 μg

Lane 2 : ab155276 IP in Human placenta lysate

Lane 3 : Rabbit monoclonal IgG (ab172730) instead of ab155276 Human placenta lysate

Blocking and dilution buffer and concentration : 5% NFDM/TBST.

All lanes:

Immunoprecipitation - Anti-Growth Hormone antibody [EPR11047(B)] (ab155276)

Predicted band size: 25 kDa

Observed band size: 22 kDa

false

Western blot - Anti-Growth Hormone antibody [EPR11047(B)] (AB155276)
  • WB

Unknown

Western blot - Anti-Growth Hormone antibody [EPR11047(B)] (AB155276)

All lanes:

Western blot - Anti-Growth Hormone antibody [EPR11047(B)] (ab155276) at 1/1000 dilution

All lanes:

Human placenta lysate at 10 µg

Predicted band size: 25 kDa,43 kDa

false

Key facts

Host species

Rabbit

Clonality

Monoclonal

Clone number

EPR11047(B)

Isotype

IgG

Carrier free

No

Reacts with

Human

Applications

IP, mIHC, WB, IHC-P

applications

Immunogen

The exact immunogen used to generate this antibody is proprietary information.

Reactivity data

{ "title": "Reactivity Data", "filters": { "stats": ["", "Species", "Dilution Info", "Notes"], "tabs": { "all-applications": {"fullname" : "All Applications", "shortname": "All Applications"}, "mIHC" : {"fullname" : "Multiplex immunohistochemistry", "shortname":"mIHC"}, "IHCP" : {"fullname" : "Immunohistochemistry (Formalin/PFA-fixed paraffin-embedded sections)", "shortname":"IHC-P"}, "ICCIF" : {"fullname" : "Immunocytochemistry/ Immunofluorescence", "shortname":"ICC/IF"}, "IP" : {"fullname" : "Immunoprecipitation", "shortname":"IP"}, "WB" : {"fullname" : "Western blot", "shortname":"WB"} }, "product-promise": { "all": "all", "testedAndGuaranteed": "tested", "guaranteed": "expected", "predicted": "predicted", "notRecommended": "not-recommended" } }, "values": { "Human": { "mIHC-species-checked": "testedAndGuaranteed", "mIHC-species-dilution-info": "1/5000", "mIHC-species-notes": "<p></p> Perform heat-mediated antigen retrieval with Tris/EDTA buffer pH 9.0 before commencing with IHC staining protocol.", "IHCP-species-checked": "testedAndGuaranteed", "IHCP-species-dilution-info": "1/250 - 1/500", "IHCP-species-notes": "<p></p> Perform heat-mediated antigen retrieval with citrate buffer pH 6 before commencing with IHC staining protocol.", "ICCIF-species-checked": "notRecommended", "ICCIF-species-dilution-info": "", "ICCIF-species-notes": "<p></p>", "IP-species-checked": "testedAndGuaranteed", "IP-species-dilution-info": "1/10 - 1/100", "IP-species-notes": "<p></p>", "WB-species-checked": "testedAndGuaranteed", "WB-species-dilution-info": "1/1000 - 1/10000", "WB-species-notes": "<p></p>" } } }

Product details

Species reactivity
Mouse, Rat: We have preliminary internal testing data to indicate this antibody may not react with these species.
Please contact us for more information.

Patented technology
Our RabMAb® technology is a patented hybridoma-based technology for making rabbit monoclonal antibodies. For details on our patents, please refer to RabMAb® patents.

What are the advantages of a recombinant monoclonal antibody?
This product is a recombinant monoclonal antibody, which offers several advantages including:

  • - High batch-to-batch consistency and reproducibility
  • - Improved sensitivity and specificity
  • - Long-term security of supply
  • - Animal-free batch production

For more information, read more on recombinant antibodies.

Properties and storage information

Form
Liquid
Purification technique
Affinity purification Protein A
Storage buffer
pH: 7.2 - 7.4 Preservative: 0.01% Sodium azide Constituents: PBS, 40% Glycerol (glycerin, glycerine), 0.05% BSA
Shipped at conditions
Blue Ice
Appropriate short-term storage conditions
+4°C
Appropriate long-term storage conditions
-20°C

Supplementary information

This supplementary information is collated from multiple sources and compiled automatically.

Growth Hormone (GH) also known as somatotropin is a polypeptide hormone with a mass of approximately 22 kDa. The pituitary gland synthesizes and secretes GH. Once synthesized GH circulates in the bloodstream and affects various tissues throughout the body. GH's expression is tightly regulated because of its significant roles in growth processes. Researchers might use anti-growth hormone antibodies and various hGH testing kits including ELISA to study its levels and functions.
Biological function summary

GH triggers growth and cell reproduction by exerting effects on multiple tissues. It binds to the growth hormone receptor which initiates a cascade of reactions that ultimately stimulates growth in muscle bone and cartilage. GH also contributes to protein synthesis and helps regulate metabolism. GH acts mostly independently but can interact with cytokines and other hormones.

Pathways

GH plays important roles in the regulation of the JAK-STAT signaling pathway and the IGF-1 signaling pathway. The JAK-STAT pathway is important for transmitting the signal of GH binding to its receptor into cellular responses. GH stimulates IGF-1 production in the liver and IGF-1 then acts in an endocrine manner to mediate much of GH’s growth-promoting activity. These interactions highlight the interconnectedness of GH with other hormones in growth signaling networks.

Several health conditions can arise from abnormal levels of GH. Dwarfism occurs due to GH deficiency while acromegaly results from GH excess. Clinical analysis might use hGH kits to measure hormone levels and aid in diagnosis. GH's role in such conditions links it to other hormones like insulin and glucagon that help regulate glucose levels further affecting metabolic processes. Recombinant forms of GH are used in therapy for these disorders providing avenues for treatment and management.

Product protocols

For this product, it's our understanding that no specific protocols are required. You can visit:

Target data

Plays an important role in growth control. Its major role in stimulating body growth is to stimulate the liver and other tissues to secrete IGF1. It stimulates both the differentiation and proliferation of myoblasts. It also stimulates amino acid uptake and protein synthesis in muscle and other tissues.
See full target information GH1

Publications (4)

Recent publications for all applications. Explore the full list and refine your search

iScience 26:106670 PubMed37168577

2023

Casein kinase 1α is required to maintain murine hypothalamic pro-opiomelanocortin expression.

Applications

Unspecified application

Species

Unspecified reactive species

Chenyang Lu,Jinglin Zhang,Bingjie Wang,Qiao Gao,Kezhe Ma,Shaona Pei,Juxue Li,Sheng Cui

Cell cycle (Georgetown, Tex.) 21:934-947 PubMed35188065

2022

Different isoforms of growth hormone (20 kD-GH and 22 kD-GH) shows different biological activities in mesenchymal stem cell (MSC).

Applications

Unspecified application

Species

Unspecified reactive species

Wei V Zheng,Yaqin Li,Yanwei Xu,Donghui Lu,Tao Zhou,Dezhi Li,Xianyi Cheng,Yu Xiong,Shaobin Wang,Zaizhong Chen

Aging 13:1422-1439 PubMed33472171

2020

Functional characterization of DLK1/MEG3 locus on chromosome 14q32.2 reveals the differentiation of pituitary neuroendocrine tumors.

Applications

Unspecified application

Species

Unspecified reactive species

Yiyuan Chen,Hua Gao,Qian Liu,Weiyan Xie,Bin Li,Sen Cheng,Jing Guo,Qiuyue Fang,Haibo Zhu,Zhuang Wang,Jichao Wang,Chuzhong Li,Yazhuo Zhang

Oncotarget 8:21579-21598 PubMed28223541

2017

Targeting growth hormone receptor in human melanoma cells attenuates tumor progression and epithelial mesenchymal transition via suppression of multiple oncogenic pathways.

Applications

WB

Species

Human

Reetobrata Basu,Shiyong Wu,John J Kopchick
View all publications

Product promise

We are committed to supporting your work with high-quality reagents, and we're here for you every step of the way. In the unlikely event that one of our products does not perform as expected, you're protected by our Product Promise.
For full details, please see our Terms & Conditions

Please note: All products are 'FOR RESEARCH USE ONLY. NOT FOR USE IN DIAGNOSTIC OR THERAPEUTIC PROCEDURES'.

For licensing inquiries, please contact partnerships@abcam.com