JavaScript is disabled in your browser. Please enable JavaScript to view this website.
AB218405

Anti-Growth Hormone antibody [GH/1450]

Be the first to review this product! Submit a review

|

(3 Publications)

Mouse Monoclonal Growth Hormone antibody. Suitable for IHC-P and reacts with Human samples. Cited in 3 publications. Immunogen corresponding to Recombinant Fragment Protein within Human GH1 aa 50-200.

View Alternative Names

Somatotropin, Growth hormone, Growth hormone 1, Pituitary growth hormone, GH, GH-N, GH1

1 Images
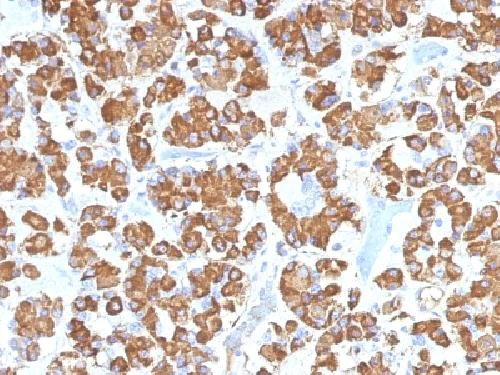
Immunohistochemistry (Formalin/PFA-fixed paraffin-embedded sections) - Anti-Growth Hormone antibody [GH/1450] (AB218405)
  • IHC-P

Supplier Data

Immunohistochemistry (Formalin/PFA-fixed paraffin-embedded sections) - Anti-Growth Hormone antibody [GH/1450] (AB218405)

Immunohistochemical analysis of formalin fixed, paraffin embedded Human pituitary tissue labeling Growth Hormone with ab218405 at 1 μg/ml.

Key facts

Host species

Mouse

Clonality

Monoclonal

Clone number

GH/1450

Isotype

IgG2b

Light chain type

kappa

Carrier free

No

Reacts with

Human

Applications

IHC-P

applications

Immunogen

Recombinant Fragment Protein within Human GH1 aa 50-200. The exact immunogen used to generate this antibody is proprietary information.

P01241

Reactivity data

{ "title": "Reactivity Data", "filters": { "stats": ["", "Species", "Dilution Info", "Notes"], "tabs": { "all-applications": {"fullname" : "All Applications", "shortname": "All Applications"}, "IHCP" : {"fullname" : "Immunohistochemistry (Formalin/PFA-fixed paraffin-embedded sections)", "shortname":"IHC-P"} }, "product-promise": { "all": "all", "testedAndGuaranteed": "tested", "guaranteed": "expected", "predicted": "predicted", "notRecommended": "not-recommended" } }, "values": { "Human": { "IHCP-species-checked": "testedAndGuaranteed", "IHCP-species-dilution-info": "0.1-0.2 µg/mL", "IHCP-species-notes": "<p></p> Perform heat-mediated antigen retrieval with Tris/EDTA buffer pH 9.0 before commencing with IHC staining protocol." } } }

Properties and storage information

Form
Liquid
Purification technique
Affinity purification Protein A/G
Storage buffer
pH: 7.2 - 7.4 Preservative: 0.05% Sodium azide Constituents: PBS, 0.05% BSA
Shipped at conditions
Blue Ice
Appropriate short-term storage duration
1-2 weeks
Appropriate short-term storage conditions
+4°C
Appropriate long-term storage conditions
-20°C
Aliquoting information
Upon delivery aliquot
Storage information
Avoid freeze / thaw cycle

Supplementary information

This supplementary information is collated from multiple sources and compiled automatically.

Growth Hormone (GH) also known as somatotropin is a polypeptide hormone with a mass of approximately 22 kDa. The pituitary gland synthesizes and secretes GH. Once synthesized GH circulates in the bloodstream and affects various tissues throughout the body. GH's expression is tightly regulated because of its significant roles in growth processes. Researchers might use anti-growth hormone antibodies and various hGH testing kits including ELISA to study its levels and functions.
Biological function summary

GH triggers growth and cell reproduction by exerting effects on multiple tissues. It binds to the growth hormone receptor which initiates a cascade of reactions that ultimately stimulates growth in muscle bone and cartilage. GH also contributes to protein synthesis and helps regulate metabolism. GH acts mostly independently but can interact with cytokines and other hormones.

Pathways

GH plays important roles in the regulation of the JAK-STAT signaling pathway and the IGF-1 signaling pathway. The JAK-STAT pathway is important for transmitting the signal of GH binding to its receptor into cellular responses. GH stimulates IGF-1 production in the liver and IGF-1 then acts in an endocrine manner to mediate much of GH’s growth-promoting activity. These interactions highlight the interconnectedness of GH with other hormones in growth signaling networks.

Several health conditions can arise from abnormal levels of GH. Dwarfism occurs due to GH deficiency while acromegaly results from GH excess. Clinical analysis might use hGH kits to measure hormone levels and aid in diagnosis. GH's role in such conditions links it to other hormones like insulin and glucagon that help regulate glucose levels further affecting metabolic processes. Recombinant forms of GH are used in therapy for these disorders providing avenues for treatment and management.

Product protocols

For this product, it's our understanding that no specific protocols are required. You can visit:

Target data

Plays an important role in growth control. Its major role in stimulating body growth is to stimulate the liver and other tissues to secrete IGF1. It stimulates both the differentiation and proliferation of myoblasts. It also stimulates amino acid uptake and protein synthesis in muscle and other tissues.
See full target information GH1

Publications (3)

Recent publications for all applications. Explore the full list and refine your search

Oncology letters 28:468 PubMed39119236

2024

Myeloid/lymphoid neoplasms with eosinophilia and FGFR1 rearrangement t(8;13)(p11;q12): A case report and literature review.

Applications

Unspecified application

Species

Unspecified reactive species

Yu-Jie Guo,Meng-Xue Ma,Tian Tian,Jing-Nan Zhang,Xiao-Nan Guo,Shukai Qiao

Scientific reports 13:19325 PubMed37935840

2023

Plasma level of omentin-1, its expression, and its regulation by gonadotropin-releasing hormone and gonadotropins in porcine anterior pituitary cells.

Applications

Unspecified application

Species

Unspecified reactive species

Natalia Respekta,Karolina Pich,Ewa Mlyczyńska,Kamil Dobrzyń,Christelle Ramé,Tadeusz Kamiński,Nina Smolińska,Joëlle Dupont,Agnieszka Rak

Scientific reports 13:18253 PubMed37880346

2023

Visfatin in the porcine pituitary gland: expression and regulation of secretion during the oestrous cycle and early pregnancy.

Applications

Unspecified application

Species

Unspecified reactive species

Karolina Szymanska,Ewa Zaobidna,Edyta Rytelewska,Ewa Mlyczynska,Patrycja Kurowska,Kamil Dobrzyn,Marta Kiezun,Barbara Kaminska,Nina Smolinska,Agnieszka Rak,Tadeusz Kaminski
View all publications

Product promise

We are committed to supporting your work with high-quality reagents, and we're here for you every step of the way. In the unlikely event that one of our products does not perform as expected, you're protected by our Product Promise.
For full details, please see our Terms & Conditions

Please note: All products are 'FOR RESEARCH USE ONLY. NOT FOR USE IN DIAGNOSTIC OR THERAPEUTIC PROCEDURES'.

For licensing inquiries, please contact partnerships@abcam.com