JavaScript is disabled in your browser. Please enable JavaScript to view this website.
AB227215

Anti-Grp75/MOT antibody

Be the first to review this product! Submit a review

|

(4 Publications)

Rabbit Polyclonal Grp75/MOT antibody. Suitable for IP, WB, IHC-P, ICC/IF and reacts with Human, Mouse, Rat samples. Cited in 4 publications. Immunogen corresponding to Recombinant Fragment Protein within Human HSPA9.

View Alternative Names

GRP75, HSPA9B, mt-HSP70, HSPA9, 75 kDa glucose-regulated protein, Heat shock 70 kDa protein 9, Heat shock protein family A member 9, Mortalin, Peptide-binding protein 74, GRP-75, MOT, PBP74

8 Images
Immunocytochemistry/ Immunofluorescence - Anti-Grp75/MOT antibody (AB227215)
  • ICC/IF

Supplier Data

Immunocytochemistry/ Immunofluorescence - Anti-Grp75/MOT antibody (AB227215)

Immunocytochemistry/ Immunofluorescence of HeLa cells staining Grp75/MOT with ab227215 (1/500). Hoechst 33342 staining. (blue).

Immunoprecipitation - Anti-Grp75/MOT antibody (AB227215)
  • IP

Supplier Data

Immunoprecipitation - Anti-Grp75/MOT antibody (AB227215)

Grp75/MOT was immunoprecipitated from HepG2 (human liver hepatocellular carcinoma cell line) whole cell extract with 5 μg of ab227215. Western blot was performed from the immunoprecipitate using ab227215. Anti-Rabbit IgG was used as secondary antibody.

Lane 1 : Control IgG instead of ab227215 in HepG2 whole cell extract.
Lane 2 : ab227215 IP in HepG2 whole cell extract.

All lanes:

Immunoprecipitation - Anti-Grp75/MOT antibody (ab227215)

Predicted band size: 74 kDa

false

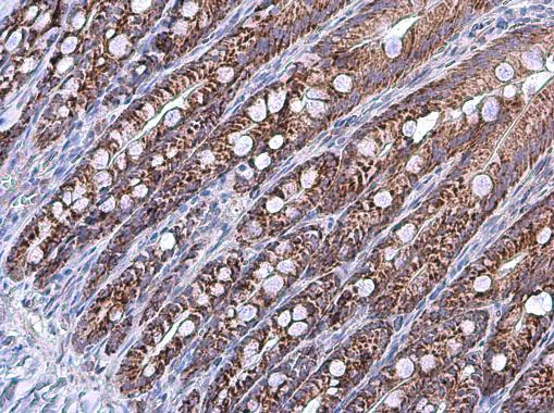
Immunohistochemistry (Formalin/PFA-fixed paraffin-embedded sections) - Anti-Grp75/MOT antibody (AB227215)
  • IHC-P

Supplier Data

Immunohistochemistry (Formalin/PFA-fixed paraffin-embedded sections) - Anti-Grp75/MOT antibody (AB227215)

Paraffin-embedded rat duodenum tissue stained for Grp75/MOT using ab227215 at 1/500 dilution in immunohistochemical analysis.

Immunohistochemistry (Formalin/PFA-fixed paraffin-embedded sections) - Anti-Grp75/MOT antibody (AB227215)
  • IHC-P

Supplier Data

Immunohistochemistry (Formalin/PFA-fixed paraffin-embedded sections) - Anti-Grp75/MOT antibody (AB227215)

Paraffin-embedded rat brain tissue stained for Grp75/MOT using ab227215 at 1/500 dilution in immunohistochemical analysis.

Immunohistochemistry (Formalin/PFA-fixed paraffin-embedded sections) - Anti-Grp75/MOT antibody (AB227215)
  • IHC-P

Supplier Data

Immunohistochemistry (Formalin/PFA-fixed paraffin-embedded sections) - Anti-Grp75/MOT antibody (AB227215)

Paraffin-embedded mouse duodenum tissue stained for Grp75/MOT using ab227215 at 1/500 dilution in immunohistochemical analysis.

Western blot - Anti-Grp75/MOT antibody (AB227215)
  • WB

Supplier Data

Western blot - Anti-Grp75/MOT antibody (AB227215)

7.5% SDS-PAGE gel.

All lanes:

Western blot - Anti-Grp75/MOT antibody (ab227215) at 1/500 dilution

All lanes:

SCC-15 (Human squamous cell carcinoma, tongue) whole cell extract at 6 µg

Predicted band size: 74 kDa

false

Western blot - Anti-Grp75/MOT antibody (AB227215)
  • WB

Supplier Data

Western blot - Anti-Grp75/MOT antibody (AB227215)

Samples were separated by 7.5% SDS-PAGE.

All lanes:

Western blot - Anti-Grp75/MOT antibody (ab227215) at 1/2500 dilution

Lane 1:

293T whole cell extracts at 30 µg

Lane 2:

A431 whole cell extracts at 30 µg

Lane 3:

HeLa whole cell extracts at 30 µg

Lane 4:

HepG2 whole cell extracts at 30 µg

Secondary

All lanes:

HRP-conjugated anti-rabbit IgG antibody

Predicted band size: 74 kDa

false

Western blot - Anti-Grp75/MOT antibody (AB227215)
  • WB

Supplier Data

Western blot - Anti-Grp75/MOT antibody (AB227215)

All lanes:

Western blot - Anti-Grp75/MOT antibody (ab227215) at 1/3000 dilution

Lane 1:

HepG2 whole cell extract at 30 µg

Lane 2:

HepG2 and mitochondria extracts at 30 µg

Secondary

All lanes:

HRP-conjugated anti-rabbit IgG

Predicted band size: 74 kDa

false

Key facts

Host species

Rabbit

Clonality

Polyclonal

Isotype

IgG

Carrier free

No

Reacts with

Mouse, Rat, Human

Applications

WB, ICC/IF, IP, IHC-P

applications

Immunogen

Recombinant Fragment Protein within Human HSPA9. The exact immunogen used to generate this antibody is proprietary information.

P38646

Reactivity data

{ "title": "Reactivity Data", "filters": { "stats": ["", "Species", "Dilution Info", "Notes"], "tabs": { "all-applications": {"fullname" : "All Applications", "shortname": "All Applications"}, "IP" : {"fullname" : "Immunoprecipitation", "shortname":"IP"}, "WB" : {"fullname" : "Western blot", "shortname":"WB"}, "IHCP" : {"fullname" : "Immunohistochemistry (Formalin/PFA-fixed paraffin-embedded sections)", "shortname":"IHC-P"}, "ICCIF" : {"fullname" : "Immunocytochemistry/ Immunofluorescence", "shortname":"ICC/IF"} }, "product-promise": { "all": "all", "testedAndGuaranteed": "tested", "guaranteed": "expected", "predicted": "predicted", "notRecommended": "not-recommended" } }, "values": { "Human": { "IP-species-checked": "testedAndGuaranteed", "IP-species-dilution-info": "1/100 - 1/500", "IP-species-notes": "<p></p>", "WB-species-checked": "testedAndGuaranteed", "WB-species-dilution-info": "1/500 - 1/3000", "WB-species-notes": "<p></p>", "IHCP-species-checked": "guaranteed", "IHCP-species-dilution-info": "", "IHCP-species-notes": "", "ICCIF-species-checked": "testedAndGuaranteed", "ICCIF-species-dilution-info": "1/00 - 1/1000", "ICCIF-species-notes": "<p></p>" }, "Mouse": { "IP-species-checked": "guaranteed", "IP-species-dilution-info": "", "IP-species-notes": "", "WB-species-checked": "guaranteed", "WB-species-dilution-info": "", "WB-species-notes": "", "IHCP-species-checked": "testedAndGuaranteed", "IHCP-species-dilution-info": "1/100 - 1/1000", "IHCP-species-notes": "<p></p>", "ICCIF-species-checked": "guaranteed", "ICCIF-species-dilution-info": "", "ICCIF-species-notes": "" }, "Rat": { "IP-species-checked": "guaranteed", "IP-species-dilution-info": "", "IP-species-notes": "", "WB-species-checked": "guaranteed", "WB-species-dilution-info": "", "WB-species-notes": "", "IHCP-species-checked": "testedAndGuaranteed", "IHCP-species-dilution-info": "1/100 - 1/1000", "IHCP-species-notes": "<p></p>", "ICCIF-species-checked": "guaranteed", "ICCIF-species-dilution-info": "", "ICCIF-species-notes": "" }, "Chicken": { "IP-species-checked": "predicted", "IP-species-dilution-info": "", "IP-species-notes": "", "WB-species-checked": "predicted", "WB-species-dilution-info": "", "WB-species-notes": "", "IHCP-species-checked": "predicted", "IHCP-species-dilution-info": "", "IHCP-species-notes": "", "ICCIF-species-checked": "predicted", "ICCIF-species-dilution-info": "", "ICCIF-species-notes": "" }, "Cow": { "IP-species-checked": "predicted", "IP-species-dilution-info": "", "IP-species-notes": "", "WB-species-checked": "predicted", "WB-species-dilution-info": "", "WB-species-notes": "", "IHCP-species-checked": "predicted", "IHCP-species-dilution-info": "", "IHCP-species-notes": "", "ICCIF-species-checked": "predicted", "ICCIF-species-dilution-info": "", "ICCIF-species-notes": "" }, "Xenopus laevis": { "IP-species-checked": "predicted", "IP-species-dilution-info": "", "IP-species-notes": "", "WB-species-checked": "predicted", "WB-species-dilution-info": "", "WB-species-notes": "", "IHCP-species-checked": "predicted", "IHCP-species-dilution-info": "", "IHCP-species-notes": "", "ICCIF-species-checked": "predicted", "ICCIF-species-dilution-info": "", "ICCIF-species-notes": "" } } }

Properties and storage information

Form
Liquid
Purification technique
Affinity purification Immunogen
Storage buffer
pH: 7 Preservative: 0.025% Proclin 300 Constituents: PBS, 20% Glycerol (glycerin, glycerine), 1% BSA
Shipped at conditions
Blue Ice
Appropriate short-term storage duration
1-2 weeks
Appropriate short-term storage conditions
+4°C
Appropriate long-term storage conditions
-20°C
Aliquoting information
Upon delivery aliquot
Storage information
Avoid freeze / thaw cycle

Supplementary information

This supplementary information is collated from multiple sources and compiled automatically.

Grp75 also known as MOT is a chaperone protein with a molecular mass of approximately 75 kDa. This protein is part of the heat shock protein 70 family and often referred to as Grp75 protein or MOT protein. Typically Grp75 is expressed in the mitochondria of eukaryotic cells. Its primary function lies in aiding the folding and assembly of newly synthesized proteins and responding to cellular stress conditions. The MOT-238 and MOT proteins are related variants in this protein family and antibodies like anti-MOT can specifically detect Grp75.
Biological function summary

Grp75 facilitates important cellular processes through its involvement in the regulation of mitochondrial homeostasis and cellular stress responses. Grp75 forms complexes with other mitochondrial proteins ensuring proper function of protein import and maintenance of mitochondrial DNA. It plays an essential role in the cellular response to stress by interacting with other heat shock proteins such as Hsp60 and by stabilizing proteins under conditions of thermal and oxidative stress. Additionally Grp75 is connected to the regulation of cell proliferation and apoptosis mechanisms integral to maintaining cellular balance.

Pathways

Grp75 is heavily involved in the mitochondrial unfolded protein response and apoptosis pathways. It associates with proteins like PINK1 and Parkin which are vital in the selective autophagy of mitochondria known as mitophagy. In response to misfolded proteins Grp75 helps to maintain mitochondrial function and promotes cell survival through interaction with other mitochondrial proteins. The JG1 and 9F8 proteins are also part of these pathways linked through their roles in protein quality control mechanisms within the cell.

Grp75 has been implicated in neurodegenerative diseases such as Parkinson's disease and certain cancers. Mutations or functional deficiencies in Grp75 can disrupt mitochondrial function which is a critical factor in the pathogenesis of Parkinson’s disease. The connection to proteins like PINK1 and Parkin in this context highlights the role Grp75 plays in the etiology of the disorder. In cancer Grp75 contributes to the cellular stress response and its overexpression can lead to drug resistance making it a target of interest for developing therapeutic strategies.

Product protocols

For this product, it's our understanding that no specific protocols are required. You can visit:

Target data

Chaperone protein which plays an important role in mitochondrial iron-sulfur cluster (ISC) biogenesis. Interacts with and stabilizes ISC cluster assembly proteins FXN, NFU1, NFS1 and ISCU (PubMed : 26702583). Regulates erythropoiesis via stabilization of ISC assembly (PubMed : 21123823, PubMed : 26702583). May play a role in cell cycle regulation via its interaction with and promotion of degradation of TP53 (PubMed : 24625977, PubMed : 26634371). May play a role in the control of cell proliferation and cellular aging (By similarity). Molecular adapter that regulates mitochondrial calcium-dependent apoptosis by coupling two calcium channels, ITPR1 and VDAC1, at the mitochondria-associated endoplasmic reticulum (ER) membrane to facilitate calcium transport from the ER lumen to the mitochondria intermembrane space, thus providing calcium for the downstream calcium channel MCU that directly releases it into mitochondria matrix (By similarity).
See full target information HSPA9

Publications (4)

Recent publications for all applications. Explore the full list and refine your search

Journal of addiction & prevention 13: PubMed40463894

2025

Alcohol, Anti-HIV Drugs, and/or Hippuric Acid Deteriorate Cellular Stresses in Senescent Hepatocytes and Aging Murine Liver.

Applications

Unspecified application

Species

Unspecified reactive species

L Chen,M Kaypaghian,E Duran,C Ji

Acta neuropathologica communications 13:21 PubMed39893487

2025

Kaempferol enhances ER-mitochondria coupling and protects motor neurons from mitochondrial dysfunction and ER stress in C9ORF72-ALS.

Applications

Unspecified application

Species

Unspecified reactive species

Federica Pilotto,Paulien Hermine Smeele,Olivier Scheidegger,Rim Diab,Martina Schobesberger,Julieth Andrea Sierra-Delgado,Smita Saxena

Journal of translational medicine 21:695 PubMed37798747

2023

TRPA1 promotes cisplatin-induced acute kidney injury via regulating the endoplasmic reticulum stress-mitochondrial damage.

Applications

Unspecified application

Species

Unspecified reactive species

Fei Deng,Heping Zhang,Wei Zhou,Shijie Ma,Yuwei Kang,Wei Yang,Liangbin Zhao,Wei Qin

Bioengineered 12:8217-8232 PubMed34596006

2021

LncRNA DARS-AS1 aggravates the growth and metastasis of hepatocellular carcinoma via regulating the miR-3200-5p-Cytoskeleton associated protein 2 (CKAP2) axis.

Applications

Unspecified application

Species

Unspecified reactive species

Yanqing Feng,Gang Wei,Linfei Zhang,Huadong Zhou,Wei Wang,Peng Guo,Caitao Cheng,Lei Ji,Qinghe Cai,Yong Feng,Huahua Tu
View all publications

Product promise

We are committed to supporting your work with high-quality reagents, and we're here for you every step of the way. In the unlikely event that one of our products does not perform as expected, you're protected by our Product Promise.
For full details, please see our Terms & Conditions

Please note: All products are 'FOR RESEARCH USE ONLY. NOT FOR USE IN DIAGNOSTIC OR THERAPEUTIC PROCEDURES'.

For licensing inquiries, please contact partnerships@abcam.com