JavaScript is disabled in your browser. Please enable JavaScript to view this website.
AB53098

Anti-Grp75/MOT antibody

4

(2 Reviews)

|

(22 Publications)

Rabbit Polyclonal Grp75/MOT antibody. Suitable for ELISA, WB, IHC-P, ICC/IF and reacts with Mouse, Rat, African green monkey, Human samples. Cited in 22 publications. Immunogen corresponding to Synthetic Peptide within Human HSPA9 aa 600 to C-terminus.

View Alternative Names

GRP75, HSPA9B, mt-HSP70, HSPA9, 75 kDa glucose-regulated protein, Heat shock 70 kDa protein 9, Heat shock protein family A member 9, Mortalin, Peptide-binding protein 74, GRP-75, MOT, PBP74

4 Images
Western blot - Anti-Grp75/MOT antibody (AB53098)
  • WB

Unknown

Western blot - Anti-Grp75/MOT antibody (AB53098)

All lanes:

Western blot - Anti-Grp75/MOT antibody (ab53098) at 1/300 dilution

Lane 1:

COS-7 (African green monkey kidney fibroblast-like cell line) cell extract

Lane 2:

COS-7 (African green monkey kidney fibroblast-like cell line) cell extract with peptide

Predicted band size: 74 kDa

Observed band size: 74 kDa

false

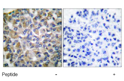
Immunohistochemistry (Formalin/PFA-fixed paraffin-embedded sections) - Anti-Grp75/MOT antibody (AB53098)
  • IHC-P

Unknown

Immunohistochemistry (Formalin/PFA-fixed paraffin-embedded sections) - Anti-Grp75/MOT antibody (AB53098)

Immunohistochemical analysis of Grp75/MOT in paraffin-embedded human breast carcinoma tissue, using ab53098 at 1/50 dilution, in the presence (right) or absence (left) of peptide.

Immunocytochemistry/ Immunofluorescence - Anti-Grp75/MOT antibody (AB53098)
  • ICC/IF

Supplier Data

Immunocytochemistry/ Immunofluorescence - Anti-Grp75/MOT antibody (AB53098)

Immunocytochemistry/ Immunofluorescence analysis of Grp75/MOT in COS-7 (African green monkey kidney fibroblast-like) cells, using ab53098 at 1/100 dilution, in the presence (right) or absence (left) of peptide.

Immunocytochemistry/ Immunofluorescence - Anti-Grp75/MOT antibody (AB53098)
  • ICC/IF

Unknown

Immunocytochemistry/ Immunofluorescence - Anti-Grp75/MOT antibody (AB53098)

ICC/IF image of ab53098 stained HeLa cells. The cells were 4% PFA fixed (10 min) and then incubated in 1%BSA / 10% normal goat serum / 0.3M glycine in 0.1% PBS-Tween for 1h to permeabilise the cells and block non-specific protein-protein interactions. The cells were then incubated with the antibody (ab53098, 1µg/ml) overnight at +4°C. The secondary antibody (green) was Alexa Fluor® 488 goat anti-rabbit IgG (H+L) used at a 1/1000 dilution for 1h. Alexa Fluor® 594 WGA was used to label plasma membranes (red) at a 1/200 dilution for 1h. DAPI was used to stain the cell nuclei (blue) at a concentration of 1.43µM.

Key facts

Host species

Rabbit

Clonality

Polyclonal

Isotype

IgG

Carrier free

No

Reacts with

Human, African green monkey, Rat, Mouse

Applications

ICC/IF, ELISA, WB, IHC-P

applications

Immunogen

Synthetic Peptide within Human HSPA9 aa 600 to C-terminus. The exact immunogen used to generate this antibody is proprietary information.

P38646

Specificity

Detects endogenous levels of total Grp75 / MOT protein

Reactivity data

{ "title": "Reactivity Data", "filters": { "stats": ["", "Species", "Dilution Info", "Notes"], "tabs": { "all-applications": {"fullname" : "All Applications", "shortname": "All Applications"}, "ELISA" : {"fullname" : "ELISA", "shortname":"ELISA"}, "WB" : {"fullname" : "Western blot", "shortname":"WB"}, "IHCP" : {"fullname" : "Immunohistochemistry (Formalin/PFA-fixed paraffin-embedded sections)", "shortname":"IHC-P"}, "ICCIF" : {"fullname" : "Immunocytochemistry/ Immunofluorescence", "shortname":"ICC/IF"} }, "product-promise": { "all": "all", "testedAndGuaranteed": "tested", "guaranteed": "expected", "predicted": "predicted", "notRecommended": "not-recommended" } }, "values": { "Human": { "ELISA-species-checked": "guaranteed", "ELISA-species-dilution-info": "", "ELISA-species-notes": "<p></p>", "WB-species-checked": "guaranteed", "WB-species-dilution-info": "", "WB-species-notes": "", "IHCP-species-checked": "testedAndGuaranteed", "IHCP-species-dilution-info": "", "IHCP-species-notes": "<p></p>", "ICCIF-species-checked": "testedAndGuaranteed", "ICCIF-species-dilution-info": "1 µg/mL", "ICCIF-species-notes": "<p></p>" }, "Mouse": { "ELISA-species-checked": "guaranteed", "ELISA-species-dilution-info": "", "ELISA-species-notes": "<p></p>", "WB-species-checked": "predicted", "WB-species-dilution-info": "", "WB-species-notes": "", "IHCP-species-checked": "predicted", "IHCP-species-dilution-info": "", "IHCP-species-notes": "", "ICCIF-species-checked": "predicted", "ICCIF-species-dilution-info": "", "ICCIF-species-notes": "" }, "Rat": { "ELISA-species-checked": "guaranteed", "ELISA-species-dilution-info": "", "ELISA-species-notes": "<p></p>", "WB-species-checked": "predicted", "WB-species-dilution-info": "", "WB-species-notes": "", "IHCP-species-checked": "predicted", "IHCP-species-dilution-info": "", "IHCP-species-notes": "", "ICCIF-species-checked": "predicted", "ICCIF-species-dilution-info": "", "ICCIF-species-notes": "" }, "African green monkey": { "ELISA-species-checked": "guaranteed", "ELISA-species-dilution-info": "", "ELISA-species-notes": "<p></p>", "WB-species-checked": "testedAndGuaranteed", "WB-species-dilution-info": "1/300 - 1/1000", "WB-species-notes": "<p></p>", "IHCP-species-checked": "guaranteed", "IHCP-species-dilution-info": "", "IHCP-species-notes": "", "ICCIF-species-checked": "testedAndGuaranteed", "ICCIF-species-dilution-info": "1 µg/mL", "ICCIF-species-notes": "<p></p>" } } }

Properties and storage information

Form
Liquid
Purification technique
Affinity purification Immunogen
Purification notes
Affinity purified from rabbit antiserum by affinity chromatography using epitope specific immunogen.
Storage buffer
pH: 7.4 Preservative: 0.02% Sodium azide Constituents: PBS, 50% Glycerol (glycerin, glycerine), 0.87% Sodium chloride
Shipped at conditions
Blue Ice
Appropriate short-term storage conditions
+4°C
Appropriate long-term storage conditions
-20°C
Storage information
Stable for 12 months at -20°C

Supplementary information

This supplementary information is collated from multiple sources and compiled automatically.

Grp75 also known as MOT is a chaperone protein with a molecular mass of approximately 75 kDa. This protein is part of the heat shock protein 70 family and often referred to as Grp75 protein or MOT protein. Typically Grp75 is expressed in the mitochondria of eukaryotic cells. Its primary function lies in aiding the folding and assembly of newly synthesized proteins and responding to cellular stress conditions. The MOT-238 and MOT proteins are related variants in this protein family and antibodies like anti-MOT can specifically detect Grp75.
Biological function summary

Grp75 facilitates important cellular processes through its involvement in the regulation of mitochondrial homeostasis and cellular stress responses. Grp75 forms complexes with other mitochondrial proteins ensuring proper function of protein import and maintenance of mitochondrial DNA. It plays an essential role in the cellular response to stress by interacting with other heat shock proteins such as Hsp60 and by stabilizing proteins under conditions of thermal and oxidative stress. Additionally Grp75 is connected to the regulation of cell proliferation and apoptosis mechanisms integral to maintaining cellular balance.

Pathways

Grp75 is heavily involved in the mitochondrial unfolded protein response and apoptosis pathways. It associates with proteins like PINK1 and Parkin which are vital in the selective autophagy of mitochondria known as mitophagy. In response to misfolded proteins Grp75 helps to maintain mitochondrial function and promotes cell survival through interaction with other mitochondrial proteins. The JG1 and 9F8 proteins are also part of these pathways linked through their roles in protein quality control mechanisms within the cell.

Grp75 has been implicated in neurodegenerative diseases such as Parkinson's disease and certain cancers. Mutations or functional deficiencies in Grp75 can disrupt mitochondrial function which is a critical factor in the pathogenesis of Parkinson’s disease. The connection to proteins like PINK1 and Parkin in this context highlights the role Grp75 plays in the etiology of the disorder. In cancer Grp75 contributes to the cellular stress response and its overexpression can lead to drug resistance making it a target of interest for developing therapeutic strategies.

Product protocols

For this product, it's our understanding that no specific protocols are required. You can visit:

Target data

Chaperone protein which plays an important role in mitochondrial iron-sulfur cluster (ISC) biogenesis. Interacts with and stabilizes ISC cluster assembly proteins FXN, NFU1, NFS1 and ISCU (PubMed : 26702583). Regulates erythropoiesis via stabilization of ISC assembly (PubMed : 21123823, PubMed : 26702583). May play a role in cell cycle regulation via its interaction with and promotion of degradation of TP53 (PubMed : 24625977, PubMed : 26634371). May play a role in the control of cell proliferation and cellular aging (By similarity). Molecular adapter that regulates mitochondrial calcium-dependent apoptosis by coupling two calcium channels, ITPR1 and VDAC1, at the mitochondria-associated endoplasmic reticulum (ER) membrane to facilitate calcium transport from the ER lumen to the mitochondria intermembrane space, thus providing calcium for the downstream calcium channel MCU that directly releases it into mitochondria matrix (By similarity).
See full target information HSPA9

Publications (22)

Recent publications for all applications. Explore the full list and refine your search

NPJ Parkinson's disease 9:148 PubMed37903765

2023

Characterization of the pathogenic α-Synuclein Variant V15A in Parkinson´s disease.

Applications

Unspecified application

Species

Unspecified reactive species

Sokhna Haissatou Diaw,Max Borsche,Linn Streubel-Gallasch,Marija Dulovic-Mahlow,Julia Hermes,Insa Lenz,Philip Seibler,Christine Klein,Norbert Brüggemann,Melissa Vos,Katja Lohmann

Acta neuropathologica 144:939-966 PubMed36121477

2022

PolyGA targets the ER stress-adaptive response by impairing GRP75 function at the MAM in C9ORF72-ALS/FTD.

Applications

Unspecified application

Species

Unspecified reactive species

Federica Pilotto,Alexander Schmitz,Niran Maharjan,Rim Diab,Adolfo Odriozola,Priyanka Tripathi,Alfred Yamoah,Olivier Scheidegger,Angelina Oestmann,Cassandra N Dennys,Shrestha Sinha Ray,Rochelle Rodrigo,Stephen Kolb,Eleonora Aronica,Stefano Di Santo,Hans Rudolf Widmer,Nicolas Charlet-Berguerand,Bhuvaneish T Selvaraj,Siddharthan Chandran,Kathrin Meyer,Benoît Zuber,Anand Goswami,Joachim Weis,Smita Saxena

Redox biology 46:102087 PubMed34411987

2021

Recruitment and remodeling of peridroplet mitochondria in human adipose tissue.

Applications

Unspecified application

Species

Unspecified reactive species

Rebeca Acín-Perez,Anton Petcherski,Michaela Veliova,Ilan Y Benador,Essam A Assali,Georgia Colleluori,Saverio Cinti,Alexandra J Brownstein,Siyouneh Baghdasarian,Masha J Livhits,Michael W Yeh,Karthickeyan Chella Krishnan,Laurent Vergnes,Nathan C Winn,Jaume Padilla,Marc Liesa,Harold S Sacks,Orian S Shirihai

Nucleic acids research 49:5230-5248 PubMed33956154

2021

DNA polymerase gamma mutations that impair holoenzyme stability cause catalytic subunit depletion.

Applications

Unspecified application

Species

Unspecified reactive species

Pedro Silva-Pinheiro,Carlos Pardo-Hernández,Aurelio Reyes,Lisa Tilokani,Anup Mishra,Raffaele Cerutti,Shuaifeng Li,Dieu-Hien Rozsivalova,Sebastian Valenzuela,Sukru A Dogan,Bradley Peter,Patricio Fernández-Silva,Aleksandra Trifunovic,Julien Prudent,Michal Minczuk,Laurence Bindoff,Bertil Macao,Massimo Zeviani,Maria Falkenberg,Carlo Viscomi

International journal of cancer 147:1086-1097 PubMed31845320

2020

Novel ovarian cancer maintenance therapy targeted at mortalin and mutant p53.

Applications

Unspecified application

Species

Unspecified reactive species

Satish K Ramraj,Sugantha P Elayapillai,Richard C Pelikan,Yan D Zhao,Zitha R Isingizwe,Amy L Kennedy,Stanley A Lightfoot,Doris M Benbrook

Diabetologia 63:149-161 PubMed31720731

2019

Activation of the HIF1α/PFKFB3 stress response pathway in beta cells in type 1 diabetes.

Applications

Unspecified application

Species

Unspecified reactive species

Hiroshi Nomoto,Lina Pei,Chiara Montemurro,Madeline Rosenberger,Allison Furterer,Giovanni Coppola,Brian Nadel,Matteo Pellegrini,Tatyana Gurlo,Peter C Butler,Slavica Tudzarova

Oncotarget 10:5419-5438 PubMed31534628

2019

SMR peptide antagonizes mortalin promoted release of extracellular vesicles and affects mortalin protection from complement-dependent cytotoxicity in breast cancer cells and leukemia cells.

Applications

Unspecified application

Species

Unspecified reactive species

Ming-Bo Huang,Jennifer Y Wu,James Lillard,Vincent C Bond

Journal of cancer therapy 10:382-399 PubMed33833900

2019

Characterization of Exosomes in Plasma of Patients with Breast, Ovarian, Prostate, Hepatic, Gastric, Colon, and Pancreatic Cancers.

Applications

Unspecified application

Species

Unspecified reactive species

Ming-Bo Huang,Meng Xia,Zhao Gao,Hu Zhou,Min Liu,Shan Huang,Rong Zhen,Jennifer Y Wu,William W Roth,Vincent C Bond,Jian Xiao,Jing Leng

Cell metabolism 28:764-775.e5 PubMed30122554

2018

Perturbed Redox Signaling Exacerbates a Mitochondrial Myopathy.

Applications

Unspecified application

Species

Unspecified reactive species

Sukru Anil Dogan,Raffaele Cerutti,Cristiane Benincá,Gloria Brea-Calvo,Howard Trevor Jacobs,Massimo Zeviani,Marten Szibor,Carlo Viscomi

Redox biology 19:37-45 PubMed30098457

2018

Redox regulation of GRPEL2 nucleotide exchange factor for mitochondrial HSP70 chaperone.

Applications

Unspecified application

Species

Unspecified reactive species

Svetlana Konovalova,Xiaonan Liu,Pooja Manjunath,Sundar Baral,Nirajan Neupane,Taru Hilander,Yang Yang,Diego Balboa,Mügen Terzioglu,Liliya Euro,Markku Varjosalo,Henna Tyynismaa
View all publications

Product promise

We are committed to supporting your work with high-quality reagents, and we're here for you every step of the way. In the unlikely event that one of our products does not perform as expected, you're protected by our Product Promise.
For full details, please see our Terms & Conditions

Associated Products

Select an associated product type
Alternative Product
Primary Antibodies

AB227215

Anti-Grp75/MOT antibody

primary-antibodies

grp75-mot-antibody-ab227215

0

(0 reviews)

Alternative Product
Primary Antibodies

AB2799

Anti-Grp75/MOT antibody [JG1]

primary-antibodies

grp75-mot-antibody-jg1-ab2799

5

(14 reviews)

Alternative Product
Primary Antibodies

AB171089

Anti-Grp75/MOT antibody [9F8]

primary-antibodies

grp75-mot-antibody-9f8-ab171089

0

(0 reviews)

Alternative Product
Primary Antibodies

AB129201

Anti-Grp75/MOT antibody [EPR5326(2)]

primary-antibodies

grp75-mot-antibody-epr53262-ab129201

0

(0 reviews)

Please note: All products are 'FOR RESEARCH USE ONLY. NOT FOR USE IN DIAGNOSTIC OR THERAPEUTIC PROCEDURES'.

For licensing inquiries, please contact partnerships@abcam.com