JavaScript is disabled in your browser. Please enable JavaScript to view this website.
AB322409

Anti-Grp75/MOT antibody [EPR29618-542]

  • 20ul selling size
  • BOND RX™ Validated
  • RabMAb
  • Recombinant
  • What is this?

Be the first to review this product! Submit a review

|

(0 Publication)

Rabbit Recombinant Monoclonal Grp75/MOT antibody. Suitable for ICC/IF, WB, IHC-P and reacts with Mouse samples.

View Alternative Names

Grp75, Hsp74, Hspa9a, Hspa9, 75 kDa glucose-regulated protein, Heat shock 70 kDa protein 9, Mortalin, Peptide-binding protein 74, p66 MOT, GRP-75, PBP74

9 Images
Immunocytochemistry/ Immunofluorescence - Anti-Grp75/MOT antibody [EPR29618-542] (AB322409)
  • ICC/IF

Supplier Data

Immunocytochemistry/ Immunofluorescence - Anti-Grp75/MOT antibody [EPR29618-542] (AB322409)

Immunofluorescent analysis of 100% methanol-fixed, 0.1% TritonX-100 permeabilized NIH/3T3 (mouse embryonic fibroblast) cells labelling Grp75/MOT with ab322409 at 1/500 (1.028 ug/ml) dilution, followed by ab150081 Goat Anti-Rabbit IgG H&L (Alexa Fluor® 488) preadsorbed antibody at 1/1000 2 ug/ml dilution (Green).

Confocal image showing mitochondrial staining in NIH/3T3 cells (shown in green). The counterstain was observed in magenta. Nuclear DNA was labelled with DAPI (shown in blue). Image was taken with a confocal microscope (Leica-Microsystems, TCS SP8).

anti-COX IV mouse monoclonal antibody - Mitochondrial Marker was used to counterstain tubulin at 1/200 2.5 ug/ml dilution (Magenta). The Nuclear counterstain was DAPI (Blue).

Secondary antibody only control : Secondary antibody is ab150081 Goat Anti-Rabbit IgG H&L (Alexa Fluor® 488) preadsorbed at 1/1000 2 ug/ml dilution.

-ve control 1 : ab322409 at a 1/500 dilution followed by ab150120 at a 1/1000 dilution.

-ve control 2 : anti-COX IV mouse monoclonal antibody - Mitochondrial Marker at a 1/200 dilution followed by ab150081 at a 1/1000 dilution.

Immunohistochemistry (Formalin/PFA-fixed paraffin-embedded sections) - Anti-Grp75/MOT antibody [EPR29618-542] (AB322409)
  • IHC-P

Supplier Data

Immunohistochemistry (Formalin/PFA-fixed paraffin-embedded sections) - Anti-Grp75/MOT antibody [EPR29618-542] (AB322409)

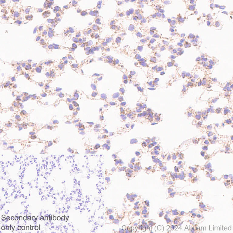
Immunohistochemical analysis of paraffin-embedded Mouse lung tissue labeling Grp75/MOT with ab322409 at 1/1000 (0.514 ug/ml) dilution, followed by a ready to use LeicaDS9800 (Bond™ Polymer Refine Detection).

Positive staining on mouse lung.
The section was incubated with ab322409 for 30 mins at room temperature.
The immunostaining was performed on a Leica Biosystems BOND® RX instrument

Counterstained with Hematoxylin.

Secondary antibody only control : Secondary antibody is a ready to use LeicaDS9800 (Bond™ Polymer Refine Detection).

Heat mediated antigen retrieval was performed with Tris-EDTA buffer (pH 9.0, Epitope Retrieval Solution2) for 20 mins

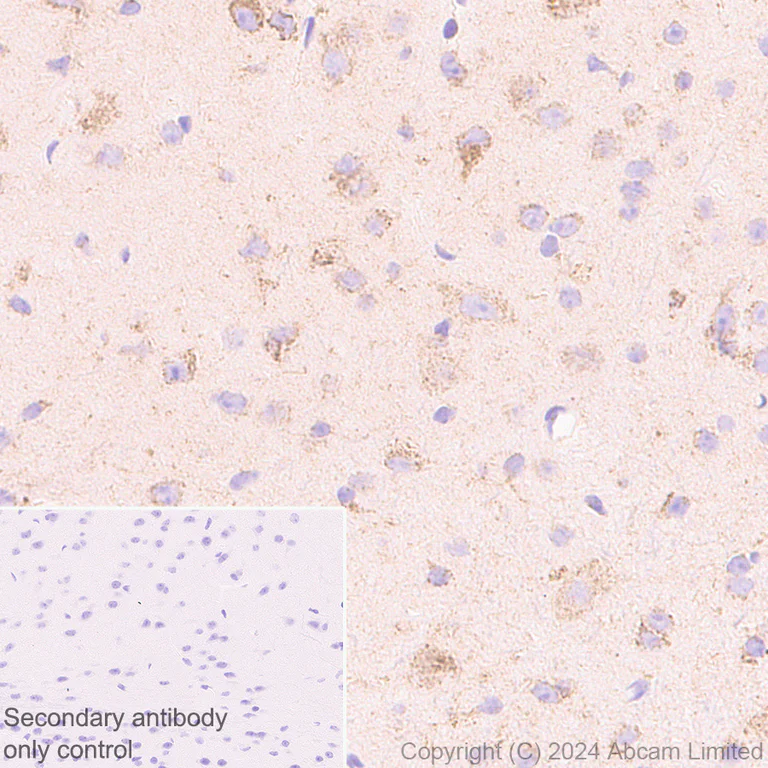
Immunohistochemistry (Formalin/PFA-fixed paraffin-embedded sections) - Anti-Grp75/MOT antibody [EPR29618-542] (AB322409)
  • IHC-P

Supplier Data

Immunohistochemistry (Formalin/PFA-fixed paraffin-embedded sections) - Anti-Grp75/MOT antibody [EPR29618-542] (AB322409)

Immunohistochemical analysis of paraffin-embedded Mouse cerebrum tissue labeling Grp75/MOT with ab322409 at 1/1000 (0.514 ug/ml) dilution, followed by a ready to use LeicaDS9800 (Bond™ Polymer Refine Detection).

Positive staining on mouse cerebrum.
The section was incubated with ab322409 for 30 mins at room temperature.
The immunostaining was performed on a Leica Biosystems BOND® RX instrument

Counterstained with Hematoxylin.

Secondary antibody only control : Secondary antibody is a ready to use LeicaDS9800 (Bond™ Polymer Refine Detection).

Heat mediated antigen retrieval was performed with Tris-EDTA buffer (pH 9.0, Epitope Retrieval Solution2) for 20 mins

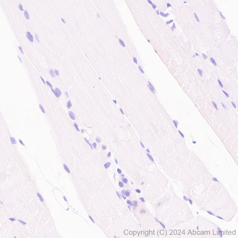
Immunohistochemistry (Formalin/PFA-fixed paraffin-embedded sections) - Anti-Grp75/MOT antibody [EPR29618-542] (AB322409)
  • IHC-P

Supplier Data

Immunohistochemistry (Formalin/PFA-fixed paraffin-embedded sections) - Anti-Grp75/MOT antibody [EPR29618-542] (AB322409)

Immunohistochemical analysis of paraffin-embedded Mouse skeletal muscle tissue labeling Grp75/MOT with ab322409 at 1/1000 (0.514 ug/ml) dilution, followed by a ready to use LeicaDS9800 (Bond™ Polymer Refine Detection).

Low expression tissue : No staining on mouse skeletal muscle
The section was incubated with ab322409 for 30 mins at room temperature.
The immunostaining was performed on a Leica Biosystems BOND® RX instrument

Counterstained with Hematoxylin.

Secondary antibody only control : Secondary antibody is a ready to use LeicaDS9800 (Bond™ Polymer Refine Detection).

Heat mediated antigen retrieval was performed with Tris-EDTA buffer (pH 9.0, Epitope Retrieval Solution2) for 20 mins

Immunohistochemistry (Formalin/PFA-fixed paraffin-embedded sections) - Anti-Grp75/MOT antibody [EPR29618-542] (AB322409)
  • IHC-P

Supplier Data

Immunohistochemistry (Formalin/PFA-fixed paraffin-embedded sections) - Anti-Grp75/MOT antibody [EPR29618-542] (AB322409)

Immunohistochemical analysis of paraffin-embedded Mouse kidney tissue labeling Grp75/MOT with ab322409 at 1/1000 (0.514 ug/ml) dilution, followed by a ready to use LeicaDS9800 (Bond™ Polymer Refine Detection).

Positive staining on mouse kidney.
The section was incubated with ab322409 for 30 mins at room temperature.
The immunostaining was performed on a Leica Biosystems BOND® RX instrument

Counterstained with Hematoxylin.

Secondary antibody only control : Secondary antibody is a ready to use LeicaDS9800 (Bond™ Polymer Refine Detection).

Heat mediated antigen retrieval was performed with Tris-EDTA buffer (pH 9.0, Epitope Retrieval Solution2) for 20 mins

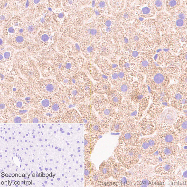
Immunohistochemistry (Formalin/PFA-fixed paraffin-embedded sections) - Anti-Grp75/MOT antibody [EPR29618-542] (AB322409)
  • IHC-P

Supplier Data

Immunohistochemistry (Formalin/PFA-fixed paraffin-embedded sections) - Anti-Grp75/MOT antibody [EPR29618-542] (AB322409)

Immunohistochemical analysis of paraffin-embedded Mouse liver tissue labeling Grp75/MOT with ab322409 at 1/1000 (0.514 ug/ml) dilution, followed by a ready to use LeicaDS9800 (Bond™ Polymer Refine Detection).

Positive staining on mouse liver.
The section was incubated with ab322409 for 30 mins at room temperature.
The immunostaining was performed on a Leica Biosystems BOND® RX instrument

Counterstained with Hematoxylin.

Secondary antibody only control : Secondary antibody is a ready to use LeicaDS9800 (Bond™ Polymer Refine Detection).

Heat mediated antigen retrieval was performed with Tris-EDTA buffer (pH 9.0, Epitope Retrieval Solution2) for 20 mins

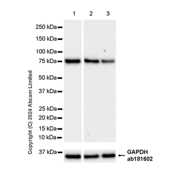
Western blot - Anti-Grp75/MOT antibody [EPR29618-542] (AB322409)
  • WB

Supplier Data

Western blot - Anti-Grp75/MOT antibody [EPR29618-542] (AB322409)

Blocking and diluting buffer and concentration : 5% NFDM/TBST.

In Western blot, Anti-GAPDH antibody [EPR16891] - Loading Control (ab181602) staining at 1/200000 dilution.

Exposure time : Lane 1 : 15 seconds; Lanes 2-3 : 114 seconds.

All lanes:

Western blot - Anti-Grp75/MOT antibody [EPR29618-542] (ab322409) at 1/2000 dilution

Lane 1:

NIH/3T3 (mouse embryonic fibroblast) whole cell lysate at 1 µg

Lane 2:

C2C12 (mouse myoblast) transfected with scrambled siRNA control whole cell lysate at 1 µg

Lane 3:

C2C12 transfected with siRNA specifically targeting Grp75/MOT whole cell lysate at 1 µg

Secondary

All lanes:

Western blot - Goat Anti-Rabbit IgG H&L (HRP) (<a href='/en-us/products/secondary-antibodies/goat-rabbit-igg-h-l-hrp-ab97051'>ab97051</a>) at 1/100000 dilution

Observed band size: 75 kDa,36 kDa

false

Western blot - Anti-Grp75/MOT antibody [EPR29618-542] (AB322409)
  • WB

Supplier Data

Western blot - Anti-Grp75/MOT antibody [EPR29618-542] (AB322409)

Blocking and diluting buffer and concentration : 5% NFDM/TBST.

Low expression tissue : skeletal muscle.

In Western blot, Anti-GAPDH antibody [EPR16891] - Loading Control (ab181602) staining at 1/200000 dilution.

All lanes:

Western blot - Anti-Grp75/MOT antibody [EPR29618-542] (ab322409) at 1/1000 dilution

Lane 1:

Mouse kidney tissue lysate at 10 µg

Lane 2:

Mouse skeletal muscle tissue lysate at 10 µg

Lane 3:

Mouse liver tissue lysate at 10 µg

Secondary

All lanes:

Western blot - Goat Anti-Rabbit IgG H&L (HRP) (<a href='/en-us/products/secondary-antibodies/goat-rabbit-igg-h-l-hrp-ab97051'>ab97051</a>) at 1/100000 dilution

Observed band size: 75 kDa,36 kDa

false

Exposure time: 10s

Western blot - Anti-Grp75/MOT antibody [EPR29618-542] (AB322409)
  • WB

Supplier Data

Western blot - Anti-Grp75/MOT antibody [EPR29618-542] (AB322409)

Blocking and diluting buffer and concentration : 5% NFDM/TBST.

All lanes:

Western blot - Anti-Grp75/MOT antibody [EPR29618-542] (ab322409) at 1/1000 dilution

Lane 1:

NIH/3T3 (mouse embryonic fibroblast) whole cell lysate at 20 µg

Lane 2:

RAW 264.7 (mouse abelson murine leukemia virus-induced tumor macrophage) whole cell lysate at 20 µg

Lane 3:

Neuro-2a (mouse neuroblastoma neuroblast) whole cell lysate at 20 µg

Lane 4:

MEF (mouse embryo fibroblast) whole cell lysate at 20 µg

Lane 5:

Mouse heart tissue lysate at 10 µg

Secondary

All lanes:

Western blot - Goat Anti-Rabbit IgG H&L (HRP) (<a href='/en-us/products/secondary-antibodies/goat-rabbit-igg-h-l-hrp-ab97051'>ab97051</a>) at 1/100000 dilution

Observed band size: 75 kDa

false

Exposure time: 8s

Key facts

Host species

Rabbit

Clonality

Monoclonal

Clone number

EPR29618-542

Isotype

IgG

Carrier free

No

Reacts with

Mouse

Applications

ICC/IF, IHC-P, WB

applications

Immunogen

The exact immunogen used to generate this antibody is proprietary information.

Reactivity data

{ "title": "Reactivity Data", "filters": { "stats": ["", "Species", "Dilution Info", "Notes"], "tabs": { "all-applications": {"fullname" : "All Applications", "shortname": "All Applications"}, "ICCIF" : {"fullname" : "Immunocytochemistry/ Immunofluorescence", "shortname":"ICC/IF"}, "WB" : {"fullname" : "Western blot", "shortname":"WB"}, "IHCP" : {"fullname" : "Immunohistochemistry (Formalin/PFA-fixed paraffin-embedded sections)", "shortname":"IHC-P"} }, "product-promise": { "all": "all", "testedAndGuaranteed": "tested", "guaranteed": "expected", "predicted": "predicted", "notRecommended": "not-recommended" } }, "values": { "Mouse": { "ICCIF-species-checked": "testedAndGuaranteed", "ICCIF-species-dilution-info": "1/500", "ICCIF-species-notes": "<p></p>", "WB-species-checked": "testedAndGuaranteed", "WB-species-dilution-info": "1/1000", "WB-species-notes": "<p></p>", "IHCP-species-checked": "testedAndGuaranteed", "IHCP-species-dilution-info": "1/1000", "IHCP-species-notes": "<p></p> Perform heat-mediated antigen retrieval with Tris/EDTA buffer pH 9.0 before commencing with IHC staining protocol." } } }

Product details

Patented technology
Our RabMAb® technology is a patented hybridoma-based technology for making rabbit monoclonal antibodies. For details on our patents, please refer to RabMAb® patents.

What are the advantages of a recombinant monoclonal antibody?
This product is a recombinant monoclonal antibody, which offers several advantages including:

  • - High batch-to-batch consistency and reproducibility
  • - Improved sensitivity and specificity
  • - Long-term security of supply
  • - Animal-free batch production

For more information, read more on recombinant antibodies.

Properties and storage information

Form
Liquid
Purification technique
Affinity purification Protein A
Storage buffer
pH: 7.2 - 7.4 Preservative: 0.01% Sodium azide Constituents: PBS, 40% Glycerol (glycerin, glycerine), 0.05% BSA
Shipped at conditions
Blue Ice
Appropriate short-term storage duration
1-2 weeks
Appropriate short-term storage conditions
+4°C
Appropriate long-term storage conditions
-20°C
Aliquoting information
Upon delivery aliquot
Storage information
Avoid freeze / thaw cycle

Product protocols

For this product, it's our understanding that no specific protocols are required. You can visit:

Target data

Chaperone protein which plays an important role in mitochondrial iron-sulfur cluster (ISC) biogenesis (PubMed : 26702583). Interacts with and stabilizes ISC cluster assembly proteins FXN, NFU1, NFS1 and ISCU (By similarity). Regulates erythropoiesis via stabilization of ISC assembly (PubMed : 21123823). May play a role in cell cycle regulation via its interaction with and promotion of degradation of TP53 (By similarity). May play a role in the control of cell proliferation and cellular aging (By similarity) (PubMed : 21123823, PubMed : 26702583, PubMed : 8454632). Molecular adapter that regulates mitochondrial calcium-dependent apoptosis by coupling two calcium channels, ITPR1 and VDAC1, at the mitochondria-associated endoplasmic reticulum (ER) membrane to facilitate calcium transport from the ER lumen to the mitochondria intermembrane space, thus providing calcium for the downstream calcium channel MCU that directly releases it into mitochondria matrix (PubMed : 29907098).
See full target information Hspa9

Product promise

We are committed to supporting your work with high-quality reagents, and we're here for you every step of the way. In the unlikely event that one of our products does not perform as expected, you're protected by our Product Promise.
For full details, please see our Terms & Conditions

Please note: All products are 'FOR RESEARCH USE ONLY. NOT FOR USE IN DIAGNOSTIC OR THERAPEUTIC PROCEDURES'.

For licensing inquiries, please contact partnerships@abcam.com