JavaScript is disabled in your browser. Please enable JavaScript to view this website.
AB21685

Anti-GRP78 BiP antibody

5

(71 Reviews)

|

(822 Publications)

Anti-GRP78 BiP antibody (ab21685) is a rabbit polyclonal antibody detecting GRP78 BiP in Western Blot, IHC-P, ICC/IF. Suitable for Chinese hamster, Human, Mouse, Rat.

- Over 640 publications
- Trusted since 2006

View Alternative Names

GRP78, HSPA5, Endoplasmic reticulum chaperone BiP, 78 kDa glucose-regulated protein, Binding-immunoglobulin protein, Heat shock protein 70 family protein 5, Heat shock protein family A member 5, Immunoglobulin heavy chain-binding protein, GRP-78, BiP, HSP70 family protein 5

10 Images
Immunohistochemistry (Formalin/PFA-fixed paraffin-embedded sections) - Anti-GRP78 BiP antibody (AB21685)
  • IHC-P

Unknown

Immunohistochemistry (Formalin/PFA-fixed paraffin-embedded sections) - Anti-GRP78 BiP antibody (AB21685)

IHC image of GRP78 BiP staining in human liver carcinoma FFPE section, performed on a BondTM system using the standard protocol F. The section was pre-treated using heat mediated antigen retrieval with sodium citrate buffer (pH6, epitope retrieval solution 1) for 20 mins. The section was then incubated with ab21685, 1µg/ml, for 8 mins at room temperature and detected using an HRP conjugated compact polymer system. DAB was used as the chromogen. The section was then counterstained with haematoxylin and mounted with DPX.

Immunohistochemistry (Formalin/PFA-fixed paraffin-embedded sections) - Anti-GRP78 BiP antibody (AB21685)
  • IHC-P

Lab

Immunohistochemistry (Formalin/PFA-fixed paraffin-embedded sections) - Anti-GRP78 BiP antibody (AB21685)

Immunohistochemical analysis of formalin fixed paraffin embedded human liver carcinoma labelling GRP78 BiP with ab21685 at a concentration of 0.4µg/ml. The immunostaining was performed on a Ventana DISCOVERY ULTRA (Roche Tissue Diagnostics) instrument with a OptiView DAB IHC Detection Kit. Heat mediated antigen retrieval was performed with DISCOVERY cell conditioning solution (CC1) 100°C, pH8.5 for 32mins.

ab21685 Anti-GRP78 BiP antibody was incubated for 16mins at 37°C. Sections were counterstained with Hematoxylin II. Image inset shows absence of staining in secondary antibody only control.

Customers are encouraged to optimise antigen retrieval conditions, antibody concentration, incubation times and temperature for best results in their own IHC assay workflow (automated and manual).

Immunocytochemistry/ Immunofluorescence - Anti-GRP78 BiP antibody (AB21685)
  • ICC/IF

AbReview58303****

Immunocytochemistry/ Immunofluorescence - Anti-GRP78 BiP antibody (AB21685)

Immunocytochemistry/ Immunofluorescence analysis of MDA-MB-435S tumor cell line cells labeling GRP78 BiP with ab21685 at 1/400 dilution. Cells were fixed in formaldehyde and permeabilized with 0.25% Triton-X100 in PBS for 10 minutes. Blocking was done with 1%BSA for 1 hour at 20°C; followed by staining with ab21685 at 1/400 for 18 hours. Undiluted ab150077, a Goat Anti-Rabbit IgG H&L (Alexa Fluor® 488) secondary antibody was used. DAPI was used to counterstain.

This image is courtesy of an anonymous abreview.

Immunocytochemistry/ Immunofluorescence - Anti-GRP78 BiP antibody (AB21685)
  • ICC/IF

PubMed

Immunocytochemistry/ Immunofluorescence - Anti-GRP78 BiP antibody (AB21685)

Localization of TEM8 and CMG2 glycosylation mutants.

A) Immunofluorescence of transiently transfected HeLa cells. Cells were transfected for 48h with the respective cDNAs. Cells were fixed, permeabilized and stained for TEM8-HA, endogenous BiP and Hoechst. Scalebars represent 10 μm.

B) Immunofluorescence of transiently transfected HeLa cells. Cells were transfected for 48h with the respective cDNAs. Cells were fixed, permeabilized and stained for CMG2-V5, endogenous BiP and Hoechst. Scalebars represent 10 μm.

Image from Friebe S et al., PLoS One. 2015;10(3):e0119864. Fig 3.; doi: 10.1371/journal.pone.0119864. Reproduced under the Creative Commons license http://creativecommons.org/licenses/by/4.0/

Immunocytochemistry/ Immunofluorescence - Anti-GRP78 BiP antibody (AB21685)
  • ICC/IF

Lab

Immunocytochemistry/ Immunofluorescence - Anti-GRP78 BiP antibody (AB21685)

ab21685 staining GRP78 BiP in HeLa cells. The cells were fixed with 100% methanol (5 min), permeabilized with 0.1% PBS-Triton X-100 for 5 minutes and then blocked with 1% BSA/10% normal goat serum/0.3M glycine in 0.1%PBS-Tween for 1h. The cells were then incubated overnight at 4°C with ab21685 at 1µg/ml and ab7291, Mouse monoclonal [DM1A] to alpha Tubulin - Loading Control. Cells were then incubated with ab150081, Goat polyclonal Secondary Antibody to Rabbit IgG - H&L (Alexa Fluor® 488), pre-adsorbed at 1/1000 dilution (shown in green) and ab150120, Goat polyclonal Secondary Antibody to Mouse IgG - H&L (Alexa Fluor® 594), pre-adsorbed at 1/1000 dilution (shown in pseudocolour magenta). Nuclear DNA was labelled with DAPI (shown in blue).

Also suitable in cells fixed with 4% paraformaldehyde (10 min).

Image was acquired with a high-content analyser (Operetta CLS, Perkin Elmer) and a maximum intensity projection of confocal sections is shown.

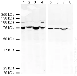
Western blot - Anti-GRP78 BiP antibody (AB21685)
  • WB

Project

Western blot - Anti-GRP78 BiP antibody (AB21685)

ab21685 recognises a band of ~ 75 kDa in CHO, mouse liver, rat liver and HeLa whole cell lysates, corresponding to GRP78 BiP. This band is quenched by the addition of the immunizing peptide, ab22410.

ab21685 also detects a 100 kDa band in Western Blot. We are unsure of the identity of this protein.

All lanes:

Western blot - Anti-GRP78 BiP antibody (ab21685) at 1 µg/mL

Lane 1:

CHO-K1 (chinese hamster ovary cell line) whole cell lysate at 20 µg

Lane 2:

Liver (Mouse) Tissue Lysate at 20 µg

Lane 3:

Rat liver whole cell lysate at 20 µg

Lane 4:

HeLa (human epithelial cell line from cervix adenocarcinoma) whole cell lysate at 20 µg

Lane 5:

CHO-K1 whole cell lysate at 20 µg/mL with Mouse GRP78 BiP peptide (<a href='/en-us/products/unavailable/mouse-grp78-bip-peptide-ab22410'>ab22410</a>)

Lane 6:

Liver (Mouse) Tissue Lysate at 20 µg with Mouse GRP78 BiP peptide (<a href='/en-us/products/unavailable/mouse-grp78-bip-peptide-ab22410'>ab22410</a>)

Lane 7:

Rat liver whole cell lysate at 20 µg with Mouse GRP78 BiP peptide (<a href='/en-us/products/unavailable/mouse-grp78-bip-peptide-ab22410'>ab22410</a>)

Lane 8:

HeLa whole cell lysate at 20 µg with Mouse GRP78 BiP peptide (<a href='/en-us/products/unavailable/mouse-grp78-bip-peptide-ab22410'>ab22410</a>)

Secondary

All lanes:

Goat anti Rabbit IgG at 1/10000 dilution

Predicted band size: 72 kDa

Observed band size: 100 kDa,75 kDa

false

Western blot - Anti-GRP78 BiP antibody (AB21685)
  • WB

Lab

Western blot - Anti-GRP78 BiP antibody (AB21685)

Blocking/Diluting buffer and concentration : 5% NFDM/TBST

All lanes:

Western blot - Anti-GRP78 BiP antibody (ab21685) at 1/1000 dilution

Lane 1:

HeLa (Human cervix adenocarcinoma epithelial cell) whole cell lysates at 20 µg

Lane 2:

HeLa treated with 2.5 μg/ml tunicamycin for 24h whole cell lysates at 20 µg

Lane 3:

HUVEC (Human umbilical vein endothelial cell) whole cell lysates at 20 µg

Lane 4:

HUEVC (Human umbilical vein endothelial cell) treated with 10 μg/ml tunicamycin for 48h whole cell lysates at 20 µg

Lane 5:

Raw 264.7 (Mouse Abelson murine leukemia virus-induced tumor macrophage) whole cell lysates at 20 µg

Lane 6:

Raw 264.7 treated with 5 μg/ml tunicamycin for 18h whole cell lysates at 20 µg

Secondary

All lanes:

Western blot - Goat Anti-Rabbit IgG H&L (HRP) (<a href='/en-us/products/secondary-antibodies/goat-rabbit-igg-h-l-hrp-ab97051'>ab97051</a>) at 1/100000 dilution

Predicted band size: 72 kDa

Observed band size: 78 kDa

false

Exposure time: 3s

Immunocytochemistry/ Immunofluorescence - Anti-GRP78 BiP antibody (AB21685)
  • ICC/IF

PubMed

Immunocytochemistry/ Immunofluorescence - Anti-GRP78 BiP antibody (AB21685)

HEK-293 cells were cultured on coverslips and transiently transfected with wild-type murine IGSF1-2-Myc/His, premeabilized, and processed for double-label immunofluorescence with the Myc antibody (green) and an antibody against GRP78 BiP (red). The overlay is shown in yellow. Nuclei were stained with DAPI. Images were captured by confocal microscopy. Scale bar, 10 μm.

Image from Wang Y et al., PLoS One. 2017;12(7):e0180731. Fig 3.; doi: 10.1371/journal.pone.0180731. Reproduced under the Creative Commons license http://creativecommons.org/licenses/by/4.0/

Western blot - Anti-GRP78 BiP antibody (AB21685)
  • WB

Ap

Western blot - Anti-GRP78 BiP antibody (AB21685)

All lanes:

Western blot - Anti-GRP78 BiP antibody (ab21685) at 1 µg/mL

Lane 1:

CHO-K1 (chinese hamster ovary cell line) Whole Cell Lysate

Lane 2:

Liver (Mouse) Tissue Lysate at 10 µg

Lane 3:

Liver (Rat) Tissue Lysate at 10 µg

Lane 4:

HeLa (human epithelial carcinoma cell line) Whole Cell Lysate at 10 µg

Secondary

All lanes:

Goat polyclonal to Rabbit IgG - H&L - Pre-Adsorbed (HRP) at 1/3000 dilution

Predicted band size: 72 kDa

Observed band size: 100 kDa,78 kDa

true

Exposure time: 1min

Western blot - Anti-GRP78 BiP antibody (AB21685)
  • WB

Unknown

Western blot - Anti-GRP78 BiP antibody (AB21685)

All lanes:

Western blot - Anti-GRP78 BiP antibody (ab21685) at 1 µg/mL

Lane 1:

Western blot - Recombinant human GRP78 BiP protein (Active) (<a href='/en-us/products/proteins-peptides/recombinant-human-grp78-bip-protein-active-ab78432'>ab78432</a>) at 0.1 µg

Lane 2:

Western blot - Recombinant human GRP78 BiP protein (Active) (<a href='/en-us/products/proteins-peptides/recombinant-human-grp78-bip-protein-active-ab78432'>ab78432</a>) at 0.01 µg

Secondary

All lanes:

Western blot - Goat Anti-Rabbit IgG H&L (HRP) preadsorbed (<a href='/en-us/products/secondary-antibodies/goat-rabbit-igg-h-l-hrp-preadsorbed-ab97080'>ab97080</a>) at 1/5000 dilution

Predicted band size: 72 kDa

true

Exposure time: 10s

Key facts

Host species

Rabbit

Clonality

Polyclonal

Isotype

IgG

Carrier free

No

Reacts with

Mouse, Rat, Human, Chinese hamster

Applications

ICC/IF, WB, IHC-P

applications

Immunogen

The exact immunogen used to generate this antibody is proprietary information.

Specificity

Replenishment batches of our polyclonal antibody, ab21685 are tested in WB. Previous batches were additionally validated in ICC/IF and IHC-P. These applications are still expected to work and are covered by our Abpromise guarantee. You may also be interested in our alternative recombinant antibody, ab108613.

Reactivity data

{ "title": "Reactivity Data", "filters": { "stats": ["", "Species", "Dilution Info", "Notes"], "tabs": { "all-applications": {"fullname" : "All Applications", "shortname": "All Applications"}, "IHCP" : {"fullname" : "Immunohistochemistry (Formalin/PFA-fixed paraffin-embedded sections)", "shortname":"IHC-P"}, "ICCIF" : {"fullname" : "Immunocytochemistry/ Immunofluorescence", "shortname":"ICC/IF"}, "WB" : {"fullname" : "Western blot", "shortname":"WB"} }, "product-promise": { "all": "all", "testedAndGuaranteed": "tested", "guaranteed": "expected", "predicted": "predicted", "notRecommended": "not-recommended" } }, "values": { "Human": { "IHCP-species-checked": "testedAndGuaranteed", "IHCP-species-dilution-info": "1 µg/mL", "IHCP-species-notes": "<p></p> Perform heat-mediated antigen retrieval before commencing with IHC staining protocol.", "ICCIF-species-checked": "testedAndGuaranteed", "ICCIF-species-dilution-info": "1-5 µg/mL", "ICCIF-species-notes": "<p>We recommend using Goat Anti-Rabbit IgG H&L (Alexa Fluor<sup>®</sup> 488) preadsorbed (<a href='/en-us/products/secondary-antibodies/goat-rabbit-igg-h-l-alexa-fluor-488-preadsorbed-ab150081'>ab150081</a>) secondary antibody.</p>", "WB-species-checked": "testedAndGuaranteed", "WB-species-dilution-info": "1 µg/mL", "WB-species-notes": "<p></p>" }, "Mouse": { "IHCP-species-checked": "guaranteed", "IHCP-species-dilution-info": "1 µg/mL", "IHCP-species-notes": "<p></p> Perform heat-mediated antigen retrieval before commencing with IHC staining protocol.", "ICCIF-species-checked": "guaranteed", "ICCIF-species-dilution-info": "1-5 µg/mL", "ICCIF-species-notes": "<p>We recommend using Goat Anti-Rabbit IgG H&L (Alexa Fluor<sup>®</sup> 488) preadsorbed (<a href='/en-us/products/secondary-antibodies/goat-rabbit-igg-h-l-alexa-fluor-488-preadsorbed-ab150081'>ab150081</a>) secondary antibody.</p>", "WB-species-checked": "testedAndGuaranteed", "WB-species-dilution-info": "1 µg/mL", "WB-species-notes": "<p></p>" }, "Rat": { "IHCP-species-checked": "guaranteed", "IHCP-species-dilution-info": "1 µg/mL", "IHCP-species-notes": "<p></p> Perform heat-mediated antigen retrieval before commencing with IHC staining protocol.", "ICCIF-species-checked": "guaranteed", "ICCIF-species-dilution-info": "1-5 µg/mL", "ICCIF-species-notes": "<p>We recommend using Goat Anti-Rabbit IgG H&L (Alexa Fluor<sup>®</sup> 488) preadsorbed (<a href='/en-us/products/secondary-antibodies/goat-rabbit-igg-h-l-alexa-fluor-488-preadsorbed-ab150081'>ab150081</a>) secondary antibody.</p>", "WB-species-checked": "testedAndGuaranteed", "WB-species-dilution-info": "1 µg/mL", "WB-species-notes": "<p></p>" }, "African green monkey": { "IHCP-species-checked": "predicted", "IHCP-species-dilution-info": "", "IHCP-species-notes": "", "ICCIF-species-checked": "predicted", "ICCIF-species-dilution-info": "", "ICCIF-species-notes": "", "WB-species-checked": "predicted", "WB-species-dilution-info": "", "WB-species-notes": "" }, "Chinese hamster": { "IHCP-species-checked": "guaranteed", "IHCP-species-dilution-info": "1 µg/mL", "IHCP-species-notes": "<p></p> Perform heat-mediated antigen retrieval before commencing with IHC staining protocol.", "ICCIF-species-checked": "guaranteed", "ICCIF-species-dilution-info": "1-5 µg/mL", "ICCIF-species-notes": "<p>We recommend using Goat Anti-Rabbit IgG H&L (Alexa Fluor<sup>®</sup> 488) preadsorbed (<a href='/en-us/products/secondary-antibodies/goat-rabbit-igg-h-l-alexa-fluor-488-preadsorbed-ab150081'>ab150081</a>) secondary antibody.</p>", "WB-species-checked": "testedAndGuaranteed", "WB-species-dilution-info": "1 µg/mL", "WB-species-notes": "<p></p>" }, "Dog": { "IHCP-species-checked": "predicted", "IHCP-species-dilution-info": "", "IHCP-species-notes": "", "ICCIF-species-checked": "predicted", "ICCIF-species-dilution-info": "", "ICCIF-species-notes": "", "WB-species-checked": "predicted", "WB-species-dilution-info": "", "WB-species-notes": "" }, "Pig": { "IHCP-species-checked": "predicted", "IHCP-species-dilution-info": "", "IHCP-species-notes": "", "ICCIF-species-checked": "predicted", "ICCIF-species-dilution-info": "", "ICCIF-species-notes": "", "WB-species-checked": "predicted", "WB-species-dilution-info": "", "WB-species-notes": "" } } }

Product details

Anti-GRP78 BiP antibody (ab21685) is a rabbit polyclonal antibody and is validated for use in ICC/IF, IHC-P, WB in human, mouse, recombinant fragment samples.

Anti-GRP78 BiP antibody (ab21685) has been cited over 646 times in peer reviewed journals and is trusted by the scientific community.

Abcam's high quality validation processes ensure Anti-GRP78 BiP antibody (ab21685) has high sensitivity and specificity.

Anti-GRP78 BiP antibody (ab21685) has 71 independent reviews from customers.

Anti-GRP78 BiP antibody (HSPA5 antibody) (ab21685) specifically detects GRP78 BiP (UniProt ID: P20029; Molecular weight: 70kDa) and is sold in 100 µg selling sizes.

GRP78 (Glucose-Regulated Protein 78), also known as BiP(Binding Immunoglobulin Protein) or heat shock 70 kDa protein 5 (HSPA5), is a crucial endoplasmic reticulum (ER) chaperone protein that is often overexpressed in cancer cells. It helps cancer cells survive under stressful conditions by regulating the ER stress response and preventing apoptosis. Additionally, GRP78 helps maintain the tumor microenviroment and support cancer stem cells properties, promoting tumor growth and metastasis.

Stimulation may be required to allow detection of the target protein due to low levels of endogenous expression in some samples. Please see images below for recommended treatment conditions and positive controls.

Properties and storage information

Form
Liquid
Purification technique
Affinity purification Immunogen
Storage buffer
pH: 7.4 Preservative: 0.02% Sodium azide Constituents: PBS, 1% BSA
Shipped at conditions
Blue Ice
Appropriate short-term storage duration
1-2 weeks
Appropriate short-term storage conditions
+4°C
Appropriate long-term storage conditions
-20°C
Aliquoting information
Upon delivery aliquot
Storage information
Avoid freeze / thaw cycle

Supplementary information

This supplementary information is collated from multiple sources and compiled automatically.

GRP78 also known as BiP or HSPA5 is a protein that plays an important role in protein folding and assembly within the endoplasmic reticulum (ER). It weighs approximately 78 kDa hence the name GRP78. This chaperone protein binds to hydrophobic regions of nascent polypeptides to prevent aggregation and misfolding. GRP78 is expressed in high levels in the ER of cells where it monitors cellular stress and aids in maintaining ER homeostasis.
Biological function summary

GRP78/BiP is important in the unfolded protein response (UPR) a cellular stress response related to the ER. It is part of a complex that manages protein load inside the ER by regulating the fold of nascent proteins and interacting with other ER stress sensors like IRE1 PERK and ATF6. This function is essential for maintaining proper protein conformation in the ER especially during physiological stress ensuring that only correctly folded proteins proceed to the Golgi apparatus.

Pathways

GRP78/BiP significantly affects the UPR and apoptosis pathways. By controlling protein folding and quality in the ER GRP78 helps prevent cell death under stress conditions. It works closely with other proteins like ATF6 which activates stress response genes. In normal conditions GRP78 keeps stress transducers inactivated but during stress it dissociates allowing UPR signaling to occur.

GRP78/BiP has been implicated in cancer and neurodegenerative diseases. Overexpression of GRP78 is associated with tumor proliferation and poor prognosis in various cancers as cancer cells heavily rely on its protein-folding capacity to survive. Additionally in neurodegenerative diseases misfolded proteins can accumulate leading GRP78 to attempt counteracting these toxic aggregations highlighting its connection with proteins like tau and amyloid-beta in diseases such as Alzheimer's.

Product protocols

For this product, it's our understanding that no specific protocols are required. You can visit:

Target data

Endoplasmic reticulum chaperone that plays a key role in protein folding and quality control in the endoplasmic reticulum lumen (PubMed : 2294010, PubMed : 23769672, PubMed : 23990668, PubMed : 28332555). Involved in the correct folding of proteins and degradation of misfolded proteins via its interaction with DNAJC10/ERdj5, probably to facilitate the release of DNAJC10/ERdj5 from its substrate (By similarity). Acts as a key repressor of the EIF2AK3/PERK and ERN1/IRE1-mediated unfolded protein response (UPR) (PubMed : 1550958, PubMed : 11907036, PubMed : 19538957). In the unstressed endoplasmic reticulum, recruited by DNAJB9/ERdj4 to the luminal region of ERN1/IRE1, leading to disrupt the dimerization of ERN1/IRE1, thereby inactivating ERN1/IRE1 (By similarity). Also binds and inactivates EIF2AK3/PERK in unstressed cells (PubMed : 11907036). Accumulation of misfolded protein in the endoplasmic reticulum causes release of HSPA5/BiP from ERN1/IRE1 and EIF2AK3/PERK, allowing their homodimerization and subsequent activation (PubMed : 11907036). Plays an auxiliary role in post-translational transport of small presecretory proteins across endoplasmic reticulum (ER). May function as an allosteric modulator for SEC61 channel-forming translocon complex, likely cooperating with SEC62 to enable the productive insertion of these precursors into SEC61 channel. Appears to specifically regulate translocation of precursors having inhibitory residues in their mature region that weaken channel gating. May also play a role in apoptosis and cell proliferation (PubMed : 26045166).. (Microbial infection) Plays an important role in viral binding to the host cell membrane and entry for several flaviruses such as Dengue virus, Zika virus and Japanese encephalitis virus (PubMed : 15098107, PubMed : 28053106, PubMed : 33432092). Acts as a component of the cellular receptor for Dengue virus serotype 2/DENV-2 on human liver cells (PubMed : 15098107).. (Microbial infection) Acts as a receptor for CotH proteins expressed by fungi of the order mucorales, the causative agent of mucormycosis, which plays an important role in epithelial cell invasion by the fungi (PubMed : 20484814, PubMed : 24355926, PubMed : 32487760). Acts as a receptor for R.delemar CotH3 in nasal epithelial cells, which may be an early step in rhinoorbital/cerebral mucormycosis (RCM) disease progression (PubMed : 32487760).
See full target information HSPA5

Publications (822)

Recent publications for all applications. Explore the full list and refine your search

Cell death & disease 16:704 PubMed41053022

2025

Human immunodeficiency virus 1 glycoprotein 120 induces endoplasmic reticulum stress in neurons.

Applications

Unspecified application

Species

Unspecified reactive species

Christy Agbey,Lee A Campbell,Thieu Phan,Gerard Ahern,Italo Mocchetti

BMC oral health 25:1514 PubMed41039419

2025

Melatonin may be an alternative to amifostine in salivary gland protection in irradiated rats.

Applications

Unspecified application

Species

Unspecified reactive species

Nur Yorgancilar,Oguz Kose,Sema Yilmaz Rakici,Mithat Terzi,Meltem Zihni Korkmaz,Tolga Mercantepe,Adnan Yilmaz

Antioxidants (Basel, Switzerland) 14: PubMed41008998

2025

Epigallocatechin Gallate Ameliorates Granulosa Cell Developmental via the Eukaryotic Initiation Factor 2 Alpha/Activating Transcription Factor 4 Pathway in Hyperthyroid Female Rats.

Applications

Unspecified application

Species

Unspecified reactive species

Ying Sun,Mingqi Wu,Haoyuan Feng,Yilin Yao,Rui Chen,Yanzhou Yang,Cheng Zhang

Physiological reports 13:e70580 PubMed40999314

2025

High-intensity interval training attenuates cardiac injury by targeting ferroptosis and endoplasmic reticulum-stress in male rats with heart failure.

Applications

Unspecified application

Species

Unspecified reactive species

Aida Sabouri,Abbasali Gaeini,Soheila Adeli,Alireza Ghardashi Afousi

PLoS pathogens 21:e1013457 PubMed40920828

2025

Activation of PD-1/PD-L1 immune checkpoint by Zika virus.

Applications

Unspecified application

Species

Unspecified reactive species

Chenxi Wang,Yubin Xie,Weixin Li,Chon Phin Ong,Hao Ding,Shuofeng Yuan,Gong Cheng,Dong-Yan Jin,Zi-Wei Ye

World journal of diabetes 16:105228 PubMed40837333

2025

Activation of farnesoid X receptor upregulates binding immunoglobulin protein expression and alleviates diabetic nephropathy.

Applications

Unspecified application

Species

Unspecified reactive species

Jian-Ying Tang,Yuan-Jia Chong,Lu Yang,Xue Li,Ying Yang,Jun-Chen Li,Jiao Mu

Scientific reports 15:30188 PubMed40825962

2025

The effect of NF-kB and MAPK mediated Proinflammatory microenvironment on renal aging and amyloid deposition in elder rats.

Applications

Unspecified application

Species

Unspecified reactive species

Mete Keçeci,Cenk Murat Özer,Esra Babaoğlu,Furkan Bodur,Ali Can Önal,Ayşe Zeynep Yılmazer Kayatekin,Osman Cengil,Ali Serdar Karataş

Scientific reports 15:28446 PubMed40760135

2025

Aggregation potency and proinflammatory effects of SARS-CoV-2 proteins.

Applications

Unspecified application

Species

Unspecified reactive species

Monica Costa,Da-Wei Wang,Kai-Dong Zhao,Lin Yuan,Anita Krisko,Jia-Yi Li,Tiago Outeiro,Wen Li

Scientific reports 15:27496 PubMed40721481

2025

The unfolded protein response influences therapy outcome and disease progression in chronic lymphocytic leukaemia.

Applications

Unspecified application

Species

Unspecified reactive species

Umair Tahir Khan,Kim Clarke,Gina Eagle,Melanie Oates,Peter Hillmen,Sandrine Jayne,Martin J S Dyer,Alex Phipps,Francesco Falciani,Rosalind E Jenkins,Andrew R Pettitt

iScience 28:112972 PubMed40686605

2025

Artemisinin synergizes with CCCP in autophagic cell death induction via ER stress in uveal melanoma.

Applications

Unspecified application

Species

Unspecified reactive species

Minyue Xie,Xiang Gu,Zheng Zhao,Yu Hua,Qianru Wu,Yizhen Tang,Ai Zhuang,Shengfang Ge,Renbing Jia,Jie Yu,Jing Ruan,Xianqun Fan
View all publications

Product promise

We are committed to supporting your work with high-quality reagents, and we're here for you every step of the way. In the unlikely event that one of our products does not perform as expected, you're protected by our Product Promise.
For full details, please see our Terms & Conditions

Please note: All products are 'FOR RESEARCH USE ONLY. NOT FOR USE IN DIAGNOSTIC OR THERAPEUTIC PROCEDURES'.

For licensing inquiries, please contact partnerships@abcam.com