JavaScript is disabled in your browser. Please enable JavaScript to view this website.
AB32618

Anti-GRP78 BiP antibody

Be the first to review this product! Submit a review

|

(56 Publications)

Rabbit Polyclonal GRP78 BiP antibody. Suitable for IHC-P, WB, ICC/IF and reacts with Human, Chinese hamster, Mouse samples. Cited in 56 publications.

View Alternative Names

GRP78, HSPA5, Endoplasmic reticulum chaperone BiP, 78 kDa glucose-regulated protein, Binding-immunoglobulin protein, Heat shock protein 70 family protein 5, Heat shock protein family A member 5, Immunoglobulin heavy chain-binding protein, GRP-78, BiP, HSP70 family protein 5

3 Images
Immunocytochemistry/ Immunofluorescence - Anti-GRP78 BiP antibody (AB32618)
  • ICC/IF

Unknown

Immunocytochemistry/ Immunofluorescence - Anti-GRP78 BiP antibody (AB32618)

ICC/IF image of ab32618 stained HeLa cells. The cells were 100% methanol fixed (5 min) and then incubated in 1%BSA / 10% normal goat serum / 0.3M glycine in 0.1% PBS-Tween for 1h to permeabilise the cells and block non-specific protein-protein interactions. The cells were then incubated with the antibody (ab32618, 1µg/ml) overnight at +4°C. The secondary antibody (green) was Alexa Fluor® 488 goat anti-rabbit IgG (H+L) used at a 1/1000 dilution for 1h. Alexa Fluor® 594 WGA was used to label plasma membranes (red) at a 1/200 dilution for 1h. DAPI was used to stain the cell nuclei (blue) at a concentration of 1.43µM.

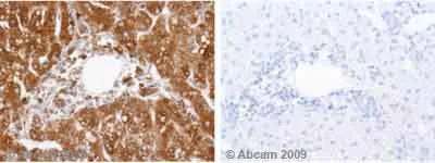
Immunohistochemistry (Formalin/PFA-fixed paraffin-embedded sections) - Anti-GRP78 BiP antibody (AB32618)
  • IHC-P

Unknown

Immunohistochemistry (Formalin/PFA-fixed paraffin-embedded sections) - Anti-GRP78 BiP antibody (AB32618)

ab32618 staining Human normal liver parenchyma. Staining is localised to endoplasmic reticulum compartment.
Left panel : with primary antibody at 2 ug/ml. Right panel : isotype control.
Sections were stained using an automated system DAKO Autostainer Plus , at room temperature : sections were rehydrated and antigen retrieved with the Dako 3 in 1 AR buffers citrate pH6.0 in a DAKO PT Link. Slides were peroxidase blocked in 3% H2O2 in methanol for 10 mins. They were then blocked with Dako Protein block for 10 minutes (containing casein 0.25% in PBS) then incubated with primary antibody for 20 min and detected with Dako envision flex amplification kit for 30 minutes. Colorimetric detection was completed with Diaminobenzidine for 5 minutes. Slides were counterstained with Haematoxylin and coverslipped under DePeX. Please note that for manual staining we recommend to optimize the primary antibody concentration and incubation time (overnight incubation), and amplification may be requi

Western blot - Anti-GRP78 BiP antibody (AB32618)
  • WB

Unknown

Western blot - Anti-GRP78 BiP antibody (AB32618)

The band observed at 75 kDa could potentially be a cleaved form of GRP78 BiP due to the presence of a 18 amino acid signal peptide.

All lanes:

Western blot - Anti-GRP78 BiP antibody (ab32618) at 1 µg/mL

Lane 1:

Liver (Mouse) Tissue Lysate at 10 µg

Lane 2:

CHO-K1 cell lysate Whole Cell Lysate at 10 µg

Lane 3:

HeLa (Human epithelial carcinoma cell line) Whole Cell Lysate at 10 µg

Secondary

All lanes:

Western blot - Goat Anti-Rabbit IgG H&L (HRP) preadsorbed (<a href='/en-us/products/secondary-antibodies/goat-rabbit-igg-h-l-hrp-preadsorbed-ab97080'>ab97080</a>) at 1/5000 dilution

Predicted band size: 72 kDa

Observed band size: 75 kDa

true

Exposure time: 30s

Key facts

Host species

Rabbit

Clonality

Polyclonal

Isotype

IgG

Carrier free

No

Reacts with

Mouse, Human, Chinese hamster

Applications

ICC/IF, IHC-P, WB

applications

Immunogen

The exact immunogen used to generate this antibody is proprietary information.

Reactivity data

{ "title": "Reactivity Data", "filters": { "stats": ["", "Species", "Dilution Info", "Notes"], "tabs": { "all-applications": {"fullname" : "All Applications", "shortname": "All Applications"}, "IHCP" : {"fullname" : "Immunohistochemistry (Formalin/PFA-fixed paraffin-embedded sections)", "shortname":"IHC-P"}, "WB" : {"fullname" : "Western blot", "shortname":"WB"}, "ICCIF" : {"fullname" : "Immunocytochemistry/ Immunofluorescence", "shortname":"ICC/IF"} }, "product-promise": { "all": "all", "testedAndGuaranteed": "tested", "guaranteed": "expected", "predicted": "predicted", "notRecommended": "not-recommended" } }, "values": { "Human": { "IHCP-species-checked": "testedAndGuaranteed", "IHCP-species-dilution-info": "1/100", "IHCP-species-notes": "<p></p> Perform heat-mediated antigen retrieval before commencing with IHC staining protocol.", "WB-species-checked": "testedAndGuaranteed", "WB-species-dilution-info": "", "WB-species-notes": "<p></p>", "ICCIF-species-checked": "testedAndGuaranteed", "ICCIF-species-dilution-info": "1/100", "ICCIF-species-notes": "<p></p>" }, "Mouse": { "IHCP-species-checked": "guaranteed", "IHCP-species-dilution-info": "", "IHCP-species-notes": "", "WB-species-checked": "testedAndGuaranteed", "WB-species-dilution-info": "", "WB-species-notes": "<p></p>", "ICCIF-species-checked": "guaranteed", "ICCIF-species-dilution-info": "", "ICCIF-species-notes": "" }, "Rat": { "IHCP-species-checked": "predicted", "IHCP-species-dilution-info": "", "IHCP-species-notes": "", "WB-species-checked": "predicted", "WB-species-dilution-info": "", "WB-species-notes": "", "ICCIF-species-checked": "predicted", "ICCIF-species-dilution-info": "", "ICCIF-species-notes": "" }, "Chicken": { "IHCP-species-checked": "predicted", "IHCP-species-dilution-info": "", "IHCP-species-notes": "", "WB-species-checked": "predicted", "WB-species-dilution-info": "", "WB-species-notes": "", "ICCIF-species-checked": "predicted", "ICCIF-species-dilution-info": "", "ICCIF-species-notes": "" }, "Chinese hamster": { "IHCP-species-checked": "guaranteed", "IHCP-species-dilution-info": "", "IHCP-species-notes": "", "WB-species-checked": "testedAndGuaranteed", "WB-species-dilution-info": "", "WB-species-notes": "<p></p>", "ICCIF-species-checked": "guaranteed", "ICCIF-species-dilution-info": "", "ICCIF-species-notes": "" }, "Hamster": { "IHCP-species-checked": "predicted", "IHCP-species-dilution-info": "", "IHCP-species-notes": "", "WB-species-checked": "predicted", "WB-species-dilution-info": "", "WB-species-notes": "", "ICCIF-species-checked": "predicted", "ICCIF-species-dilution-info": "", "ICCIF-species-notes": "" }, "Xenopus laevis": { "IHCP-species-checked": "predicted", "IHCP-species-dilution-info": "", "IHCP-species-notes": "", "WB-species-checked": "predicted", "WB-species-dilution-info": "", "WB-species-notes": "", "ICCIF-species-checked": "predicted", "ICCIF-species-dilution-info": "", "ICCIF-species-notes": "" } } }

Properties and storage information

Form
Liquid
Purification technique
Affinity purification Immunogen
Storage buffer
pH: 7.6 Preservative: 0.1% Sodium azide Constituents: PBS, 1% BSA
Shipped at conditions
Blue Ice
Appropriate short-term storage conditions
+4°C
Appropriate long-term storage conditions
-20°C
Aliquoting information
Upon delivery aliquot
Storage information
Avoid freeze / thaw cycle

Supplementary information

This supplementary information is collated from multiple sources and compiled automatically.

GRP78 also known as BiP or HSPA5 is a protein that plays an important role in protein folding and assembly within the endoplasmic reticulum (ER). It weighs approximately 78 kDa hence the name GRP78. This chaperone protein binds to hydrophobic regions of nascent polypeptides to prevent aggregation and misfolding. GRP78 is expressed in high levels in the ER of cells where it monitors cellular stress and aids in maintaining ER homeostasis.
Biological function summary

GRP78/BiP is important in the unfolded protein response (UPR) a cellular stress response related to the ER. It is part of a complex that manages protein load inside the ER by regulating the fold of nascent proteins and interacting with other ER stress sensors like IRE1 PERK and ATF6. This function is essential for maintaining proper protein conformation in the ER especially during physiological stress ensuring that only correctly folded proteins proceed to the Golgi apparatus.

Pathways

GRP78/BiP significantly affects the UPR and apoptosis pathways. By controlling protein folding and quality in the ER GRP78 helps prevent cell death under stress conditions. It works closely with other proteins like ATF6 which activates stress response genes. In normal conditions GRP78 keeps stress transducers inactivated but during stress it dissociates allowing UPR signaling to occur.

GRP78/BiP has been implicated in cancer and neurodegenerative diseases. Overexpression of GRP78 is associated with tumor proliferation and poor prognosis in various cancers as cancer cells heavily rely on its protein-folding capacity to survive. Additionally in neurodegenerative diseases misfolded proteins can accumulate leading GRP78 to attempt counteracting these toxic aggregations highlighting its connection with proteins like tau and amyloid-beta in diseases such as Alzheimer's.

Product protocols

For this product, it's our understanding that no specific protocols are required. You can visit:

Target data

Endoplasmic reticulum chaperone that plays a key role in protein folding and quality control in the endoplasmic reticulum lumen (PubMed : 2294010, PubMed : 23769672, PubMed : 23990668, PubMed : 28332555). Involved in the correct folding of proteins and degradation of misfolded proteins via its interaction with DNAJC10/ERdj5, probably to facilitate the release of DNAJC10/ERdj5 from its substrate (By similarity). Acts as a key repressor of the EIF2AK3/PERK and ERN1/IRE1-mediated unfolded protein response (UPR) (PubMed : 1550958, PubMed : 11907036, PubMed : 19538957). In the unstressed endoplasmic reticulum, recruited by DNAJB9/ERdj4 to the luminal region of ERN1/IRE1, leading to disrupt the dimerization of ERN1/IRE1, thereby inactivating ERN1/IRE1 (By similarity). Also binds and inactivates EIF2AK3/PERK in unstressed cells (PubMed : 11907036). Accumulation of misfolded protein in the endoplasmic reticulum causes release of HSPA5/BiP from ERN1/IRE1 and EIF2AK3/PERK, allowing their homodimerization and subsequent activation (PubMed : 11907036). Plays an auxiliary role in post-translational transport of small presecretory proteins across endoplasmic reticulum (ER). May function as an allosteric modulator for SEC61 channel-forming translocon complex, likely cooperating with SEC62 to enable the productive insertion of these precursors into SEC61 channel. Appears to specifically regulate translocation of precursors having inhibitory residues in their mature region that weaken channel gating. May also play a role in apoptosis and cell proliferation (PubMed : 26045166).. (Microbial infection) Plays an important role in viral binding to the host cell membrane and entry for several flaviruses such as Dengue virus, Zika virus and Japanese encephalitis virus (PubMed : 15098107, PubMed : 28053106, PubMed : 33432092). Acts as a component of the cellular receptor for Dengue virus serotype 2/DENV-2 on human liver cells (PubMed : 15098107).. (Microbial infection) Acts as a receptor for CotH proteins expressed by fungi of the order mucorales, the causative agent of mucormycosis, which plays an important role in epithelial cell invasion by the fungi (PubMed : 20484814, PubMed : 24355926, PubMed : 32487760). Acts as a receptor for R.delemar CotH3 in nasal epithelial cells, which may be an early step in rhinoorbital/cerebral mucormycosis (RCM) disease progression (PubMed : 32487760).
See full target information HSPA5

Publications (56)

Recent publications for all applications. Explore the full list and refine your search

Cells 14: PubMed40214472

2025

-Null Osteoblasts Have Increased Proliferation, Protein Secretion, and Skeletal Morphogenesis Gene Expression with Downregulation of Cellular Adhesion.

Applications

Unspecified application

Species

Unspecified reactive species

Aileen M Barnes,Apratim Mitra,Marianne M Knue,Alberta Derkyi,An Dang Do,Ryan K Dale,Joan C Marini

Parasitology 150:922-933 PubMed37553284

2023

LaLRR17 increases parasite entry in macrophage by a mechanism dependent on GRP78.

Applications

Unspecified application

Species

Unspecified reactive species

Mauricio S Peña,Fenny Hui Fen Tang,Fernando Alves de Lima Franco,Alessandro Taunay Rodrigues,Guilherme Moreira Paiva Carrara,Thaís Larissa Silva Araujo,Ricardo José Giordano,Giuseppe Palmisano,Maristela Martins de Camargo,Silvia Reni Bortolin Uliana,Beatriz Simonsen Stolf

Nucleic acids research 51:2397-2414 PubMed36744439

2023

PTBP1 controls intestinal epithelial regeneration through post-transcriptional regulation of gene expression.

Applications

Unspecified application

Species

Unspecified reactive species

Ullas Valiya Chembazhi,Wesley S Tung,Hyojeong Hwang,Yuexi Wang,Aryan Lalwani,Ka Lam Nguyen,Sushant Bangru,Danielle Yee,Kristy Chin,Jing Yang,Auinash Kalsotra,Wenyan Mei

International journal of molecular sciences 24: PubMed36769070

2023

The Activation of Reticulophagy by ER Stress through the ATF4-MAP1LC3A-CCPG1 Pathway in Ovarian Granulosa Cells Is Linked to Apoptosis and Necroptosis.

Applications

Unspecified application

Species

Unspecified reactive species

Huiduo Li,Yanan Jing,Xiaoya Qu,Jinyi Yang,Pengge Pan,Xinrui Liu,Hui Gao,Xiuying Pei,Cheng Zhang,Yanzhou Yang

Cell reports 41:111802 PubMed36516762

2022

Regulation of RNA localization during oocyte maturation by dynamic RNA-ER association and remodeling of the ER.

Applications

Unspecified application

Species

Unspecified reactive species

Hyojeong Hwang,Seongmin Yun,Rachel Braz Arcanjo, Divyanshi,Sijie Chen,Wenyan Mei,Romana A Nowak,Taejoon Kwon,Jing Yang

Cell death & disease 13:587 PubMed35798718

2022

sGRP78 enhances selective autophagy of monomeric TLR4 to regulate myeloid cell death.

Applications

Unspecified application

Species

Unspecified reactive species

Zhenghao Wu,Zhuoshuo Xu,Xiaoqi Zhou,Heli Li,Liang Zhao,Yibing Lv,Yanyan Guo,Guanxin Shen,Yong He,Ping Lei

International journal of molecular sciences 22: PubMed34769349

2021

High-Molecular-Weight Hyaluronic Acid Inhibits IL-1β-Induced Synovial Inflammation and Macrophage Polarization through the GRP78-NF-κB Signaling Pathway.

Applications

Unspecified application

Species

Unspecified reactive species

Chien-Hsing Lee,Chi-Fu Chiang,Feng-Chih Kuo,Sheng-Chiang Su,Chia-Luen Huang,Jhih-Syuan Liu,Chieh-Hua Lu,Chang-Hsun Hsieh,Chih-Chien Wang,Chian-Her Lee,Pei-Hung Shen

Scientific reports 11:15666 PubMed34341463

2021

Urocortin 3 overexpression reduces ER stress and heat shock response in 3T3-L1 adipocytes.

Applications

Unspecified application

Species

Unspecified reactive species

Sina Kavalakatt,Abdelkrim Khadir,Dhanya Madhu,Heikki A Koistinen,Fahd Al-Mulla,Jaakko Tuomilehto,Jehad Abubaker,Ali Tiss

The Journal of pharmacology and experimental therapeutics 377:146-156 PubMed33509902

2021

Apigenin Ameliorates Insulin Resistance and Lipid Accumulation by Endoplasmic Reticulum Stress and SREBP-1c/SREBP-2 Pathway in Palmitate-Induced HepG2 Cells and High-Fat Diet-Fed Mice.

Applications

Unspecified application

Species

Unspecified reactive species

Liling Wu,Tingdong Guo,Ranxi Deng,Lusheng Liu,Yongxiong Yu

Scientific reports 11:393 PubMed33432092

2021

A functional interaction between GRP78 and Zika virus E protein.

Applications

Unspecified application

Species

Unspecified reactive species

Sarawut Khongwichit,Wannapa Sornjai,Kunlakanya Jitobaom,Mingkwan Greenwood,Michael P Greenwood,Atitaya Hitakarun,Nitwara Wikan,David Murphy,Duncan R Smith
View all publications

Product promise

We are committed to supporting your work with high-quality reagents, and we're here for you every step of the way. In the unlikely event that one of our products does not perform as expected, you're protected by our Product Promise.
For full details, please see our Terms & Conditions

Please note: All products are 'FOR RESEARCH USE ONLY. NOT FOR USE IN DIAGNOSTIC OR THERAPEUTIC PROCEDURES'.

For licensing inquiries, please contact partnerships@abcam.com