JavaScript is disabled in your browser. Please enable JavaScript to view this website.
AB236050

Anti-GRP78 BiP antibody [EPR4041(2)] - BSA and Azide free

Be the first to review this product! Submit a review

|

(3 Publications)

Rabbit Recombinant Monoclonal GRP78 BiP antibody. Carrier free. Suitable for IHC-P, WB, Flow Cyt (Intra) and reacts with Human, Mouse, Rat samples. Cited in 3 publications.

View Alternative Names

GRP78, HSPA5, Endoplasmic reticulum chaperone BiP, 78 kDa glucose-regulated protein, Binding-immunoglobulin protein, Heat shock protein 70 family protein 5, Heat shock protein family A member 5, Immunoglobulin heavy chain-binding protein, GRP-78, BiP, HSP70 family protein 5

4 Images
Flow Cytometry (Intracellular) - Anti-GRP78 BiP antibody [EPR4041(2)] - BSA and Azide free (AB236050)
  • Flow Cyt (Intra)

Unknown

Flow Cytometry (Intracellular) - Anti-GRP78 BiP antibody [EPR4041(2)] - BSA and Azide free (AB236050)

Intracellular Flow Cytometry analysis of HeLa (human cervix adenocarcinoma) cells labeling GRP78 BiP with purified ab108615 at 1/200 dilution (10ug/mL) (red). Cells were fixed with 4% paraformaldehyde and permeabilised with 90% methanol. A Goat anti rabbit IgG (Alexa Fluor®488) (1/2000 dilution) was used as the secondary antibody. Rabbit monoclonal IgG (Black) was used as the isotype control, cells without incubation with primary antibody and secondary antibody (Blue) were used as the unlabeled control.

This data was developed using the same antibody clone in a different buffer formulation containing PBS, BSA, glycerol, and sodium azide (ab108615).

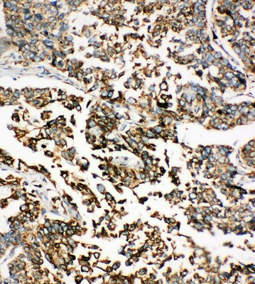
Immunohistochemistry (Formalin/PFA-fixed paraffin-embedded sections) - Anti-GRP78 BiP antibody [EPR4041(2)] - BSA and Azide free (AB236050)
  • IHC-P

Unknown

Immunohistochemistry (Formalin/PFA-fixed paraffin-embedded sections) - Anti-GRP78 BiP antibody [EPR4041(2)] - BSA and Azide free (AB236050)

Unpurified ab108615 at 1/50 dilution staining GRP78 BiP in Human breast carcinoma tissue by Immunohistochemistry Formalin-fixed, Paraffin-embedded tissue.

This data was developed using the same antibody clone in a different buffer formulation containing PBS, BSA, glycerol, and sodium azide (ab108615).

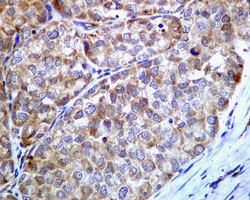
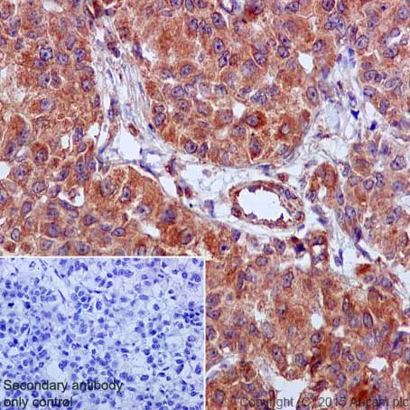
Immunohistochemistry (Formalin/PFA-fixed paraffin-embedded sections) - Anti-GRP78 BiP antibody [EPR4041(2)] - BSA and Azide free (AB236050)
  • IHC-P

Unknown

Immunohistochemistry (Formalin/PFA-fixed paraffin-embedded sections) - Anti-GRP78 BiP antibody [EPR4041(2)] - BSA and Azide free (AB236050)

Immunohistochemical staining of paraffin embedded human hepatocellular carcinoma with purified ab108615 at a working dilution of 1/500. The secondary antibody used is HRP goat anti-rabbit IgG H&L (ab97051) at 1/500. The sample is counter-stained with hematoxylin. Antigen retrieval was perfomed using Tris-EDTA buffer, pH 9.0. PBS was used instead of the primary antibody as the negative control, and is shown in the inset.

This data was developed using the same antibody clone in a different buffer formulation containing PBS, BSA, glycerol, and sodium azide (ab108615).

Western blot - Anti-GRP78 BiP antibody [EPR4041(2)] - BSA and Azide free (AB236050)
  • WB

Supplier Data

Western blot - Anti-GRP78 BiP antibody [EPR4041(2)] - BSA and Azide free (AB236050)

Blocking and diluting buffer and concentration : 5% NFDM/TBST

This data was developed using the same antibody clone in a different buffer formulation containing PBS, BSA, glycerol, and sodium azide (ab108615).

All lanes:

Western blot - Anti-GRP78 BiP antibody [EPR4041(2)] (<a href='/en-us/products/primary-antibodies/grp78-bip-antibody-epr40412-ab108615'>ab108615</a>) at 1/1000 dilution

Lane 1:

HeLa (Human cervix adenocarcinoma epithelial cell) whole cell lysates at 20 µg

Lane 2:

HeLa treated with 2.5 µg/ml tunicamycin for 24h whole cell lysates at 20 µg

Lane 3:

HUVEC (Human umbilical vein endothelial cell) whole cell lysates at 20 µg

Lane 4:

HUVEC treated with 10 µg/ml tunicamycin for 48h whole cell lysates at 20 µg

Lane 5:

Raw 264.7 (Mouse Abelson murine leukemia virus-induced tumor macrophage) whole cell lysates at 20 µg

Lane 6:

Raw 264.7 treated with 5 µg/ml tunicamycin for 18h whole cell lysates at 20 µg

Secondary

All lanes:

Western blot - Goat Anti-Rabbit IgG H&L (HRP) (<a href='/en-us/products/secondary-antibodies/goat-rabbit-igg-h-l-hrp-ab97051'>ab97051</a>) at 1/20000 dilution

Predicted band size: 72 kDa

Observed band size: 78 kDa

false

Exposure time: 3s

  • Unconjugated

    Anti-GRP78 BiP antibody [EPR4041(2)]

  • 603 Alexa Fluor® 568

    Alexa Fluor® 568 Anti-GRP78 BiP antibody [EPR4041(2)]

  • 519 Alexa Fluor® 488

    Alexa Fluor® 488 Anti-GRP78 BiP antibody [EPR4041(2)]

  • 665 Alexa Fluor® 647

    Alexa Fluor® 647 Anti-GRP78 BiP antibody [EPR4041(2)]

  • 775 Alexa Fluor® 750

    Alexa Fluor® 750 Anti-GRP78 BiP antibody [EPR4041(2)]

  • 565 Alexa Fluor® 555

    Alexa Fluor® 555 Anti-GRP78 BiP antibody [EPR4041(2)]

  • 617 Alexa Fluor® 594

    Alexa Fluor® 594 Anti-GRP78 BiP antibody [EPR4041(2)]

  • 578 PE

    PE Anti-GRP78 BiP antibody [EPR4041(2)]

  • 660 APC

    APC Anti-GRP78 BiP antibody [EPR4041(2)]

Key facts

Host species

Rabbit

Clonality

Monoclonal

Clone number

EPR4041(2)

Isotype

IgG

Carrier free

Yes

Reacts with

Mouse, Rat, Human

Applications

Flow Cyt (Intra), IHC-P, WB

applications

Immunogen

The exact immunogen used to generate this antibody is proprietary information.

Specificity

Stimulation may be required to allow detection of the target protein due to low levels of endogenous expression in some samples. Please see images below for recommended treatment conditions and positive controls.The mouse and rat recommendation is based on the WB results. We do not guarantee IHC-P for mouse and rat.

Reactivity data

{ "title": "Reactivity Data", "filters": { "stats": ["", "Species", "Dilution Info", "Notes"], "tabs": { "all-applications": {"fullname" : "All Applications", "shortname": "All Applications"}, "IHCP" : {"fullname" : "Immunohistochemistry (Formalin/PFA-fixed paraffin-embedded sections)", "shortname":"IHC-P"}, "WB" : {"fullname" : "Western blot", "shortname":"WB"}, "ICCIF" : {"fullname" : "Immunocytochemistry/ Immunofluorescence", "shortname":"ICC/IF"}, "FlowCytIntra" : {"fullname" : "Flow Cytometry (Intracellular)", "shortname":"Flow Cyt (Intra)"} }, "product-promise": { "all": "all", "testedAndGuaranteed": "tested", "guaranteed": "expected", "predicted": "predicted", "notRecommended": "not-recommended" } }, "values": { "Human": { "IHCP-species-checked": "testedAndGuaranteed", "IHCP-species-dilution-info": "", "IHCP-species-notes": "<p></p>", "WB-species-checked": "testedAndGuaranteed", "WB-species-dilution-info": "", "WB-species-notes": "<p></p>", "ICCIF-species-checked": "notRecommended", "ICCIF-species-dilution-info": "", "ICCIF-species-notes": "<p></p>", "FlowCytIntra-species-checked": "testedAndGuaranteed", "FlowCytIntra-species-dilution-info": "", "FlowCytIntra-species-notes": "<p></p>" }, "Mouse": { "IHCP-species-checked": "notRecommended", "IHCP-species-dilution-info": "", "IHCP-species-notes": "<p></p>", "WB-species-checked": "testedAndGuaranteed", "WB-species-dilution-info": "", "WB-species-notes": "<p></p>", "ICCIF-species-checked": "notRecommended", "ICCIF-species-dilution-info": "", "ICCIF-species-notes": "<p></p>", "FlowCytIntra-species-checked": "notRecommended", "FlowCytIntra-species-dilution-info": "", "FlowCytIntra-species-notes": "<p></p>" }, "Rat": { "IHCP-species-checked": "notRecommended", "IHCP-species-dilution-info": "", "IHCP-species-notes": "<p></p>", "WB-species-checked": "testedAndGuaranteed", "WB-species-dilution-info": "", "WB-species-notes": "<p></p>", "ICCIF-species-checked": "notRecommended", "ICCIF-species-dilution-info": "", "ICCIF-species-notes": "<p></p>", "FlowCytIntra-species-checked": "testedAndGuaranteed", "FlowCytIntra-species-dilution-info": "", "FlowCytIntra-species-notes": "<p></p>" } } }

Product details

ab236050 is the carrier-free version of ab108615.

Patented technology
Our RabMAb® technology is a patented hybridoma-based technology for making rabbit monoclonal antibodies. For details on our patents, please refer to RabMAb® patents.

What are the advantages of a recombinant monoclonal antibody?
This product is a recombinant monoclonal antibody, which offers several advantages including:

  • - High batch-to-batch consistency and reproducibility
  • - Improved sensitivity and specificity
  • - Long-term security of supply
  • - Animal-free batch production

For more information, read more on recombinant antibodies.

Conjugation ready
Our carrier-free antibodies are typically supplied in a PBS-only formulation, purified and free of BSA, sodium azide and glycerol. This conjugation-ready format is designed for use with fluorochromes, metal isotopes, oligonucleotides, and enzymes, which makes them ideal for antibody labelling, functional and cell-based assays, flow-based assays (e.g. mass cytometry) and Multiplex Imaging applications.

Use our conjugation kits for antibody conjugates that are ready-to-use in as little as 20 minutes with 1 minute hands-on-time and 100% antibody recovery: available for fluorescent dyes, HRP, biotin and gold.

Compatibility
This product is compatible with the Maxpar® Antibody Labeling Kit from Fluidigm, without the need for antibody preparation. Maxpar® is a trademark of Fluidigm Canada Inc.

Properties and storage information

Form
Liquid
Purification technique
Affinity purification Protein A
Storage buffer
pH: 7.2 - 7.4 Constituents: PBS
Shipped at conditions
Blue Ice
Appropriate short-term storage conditions
+4°C
Appropriate long-term storage conditions
+4°C
Storage information
Do Not Freeze

Supplementary information

This supplementary information is collated from multiple sources and compiled automatically.

GRP78 also known as BiP or HSPA5 is a protein that plays an important role in protein folding and assembly within the endoplasmic reticulum (ER). It weighs approximately 78 kDa hence the name GRP78. This chaperone protein binds to hydrophobic regions of nascent polypeptides to prevent aggregation and misfolding. GRP78 is expressed in high levels in the ER of cells where it monitors cellular stress and aids in maintaining ER homeostasis.
Biological function summary

GRP78/BiP is important in the unfolded protein response (UPR) a cellular stress response related to the ER. It is part of a complex that manages protein load inside the ER by regulating the fold of nascent proteins and interacting with other ER stress sensors like IRE1 PERK and ATF6. This function is essential for maintaining proper protein conformation in the ER especially during physiological stress ensuring that only correctly folded proteins proceed to the Golgi apparatus.

Pathways

GRP78/BiP significantly affects the UPR and apoptosis pathways. By controlling protein folding and quality in the ER GRP78 helps prevent cell death under stress conditions. It works closely with other proteins like ATF6 which activates stress response genes. In normal conditions GRP78 keeps stress transducers inactivated but during stress it dissociates allowing UPR signaling to occur.

GRP78/BiP has been implicated in cancer and neurodegenerative diseases. Overexpression of GRP78 is associated with tumor proliferation and poor prognosis in various cancers as cancer cells heavily rely on its protein-folding capacity to survive. Additionally in neurodegenerative diseases misfolded proteins can accumulate leading GRP78 to attempt counteracting these toxic aggregations highlighting its connection with proteins like tau and amyloid-beta in diseases such as Alzheimer's.

Product protocols

For this product, it's our understanding that no specific protocols are required. You can visit:

Target data

Endoplasmic reticulum chaperone that plays a key role in protein folding and quality control in the endoplasmic reticulum lumen (PubMed : 2294010, PubMed : 23769672, PubMed : 23990668, PubMed : 28332555). Involved in the correct folding of proteins and degradation of misfolded proteins via its interaction with DNAJC10/ERdj5, probably to facilitate the release of DNAJC10/ERdj5 from its substrate (By similarity). Acts as a key repressor of the EIF2AK3/PERK and ERN1/IRE1-mediated unfolded protein response (UPR) (PubMed : 1550958, PubMed : 11907036, PubMed : 19538957). In the unstressed endoplasmic reticulum, recruited by DNAJB9/ERdj4 to the luminal region of ERN1/IRE1, leading to disrupt the dimerization of ERN1/IRE1, thereby inactivating ERN1/IRE1 (By similarity). Also binds and inactivates EIF2AK3/PERK in unstressed cells (PubMed : 11907036). Accumulation of misfolded protein in the endoplasmic reticulum causes release of HSPA5/BiP from ERN1/IRE1 and EIF2AK3/PERK, allowing their homodimerization and subsequent activation (PubMed : 11907036). Plays an auxiliary role in post-translational transport of small presecretory proteins across endoplasmic reticulum (ER). May function as an allosteric modulator for SEC61 channel-forming translocon complex, likely cooperating with SEC62 to enable the productive insertion of these precursors into SEC61 channel. Appears to specifically regulate translocation of precursors having inhibitory residues in their mature region that weaken channel gating. May also play a role in apoptosis and cell proliferation (PubMed : 26045166).. (Microbial infection) Plays an important role in viral binding to the host cell membrane and entry for several flaviruses such as Dengue virus, Zika virus and Japanese encephalitis virus (PubMed : 15098107, PubMed : 28053106, PubMed : 33432092). Acts as a component of the cellular receptor for Dengue virus serotype 2/DENV-2 on human liver cells (PubMed : 15098107).. (Microbial infection) Acts as a receptor for CotH proteins expressed by fungi of the order mucorales, the causative agent of mucormycosis, which plays an important role in epithelial cell invasion by the fungi (PubMed : 20484814, PubMed : 24355926, PubMed : 32487760). Acts as a receptor for R.delemar CotH3 in nasal epithelial cells, which may be an early step in rhinoorbital/cerebral mucormycosis (RCM) disease progression (PubMed : 32487760).
See full target information HSPA5

Publications (3)

Recent publications for all applications. Explore the full list and refine your search

Burns & trauma 13:tkae065 PubMed40040959

2025

Single-cell RNA sequencing reveals the impaired epidermal differentiation and pathological microenvironment in diabetic foot ulcer.

Applications

Unspecified application

Species

Unspecified reactive species

Yiling Liu,Peng Wang,Jingting Li,Lei Chen,Bin Shu,Hanwen Wang,Hengdeng Liu,Shixin Zhao,Junli Zhou,Xiaodong Chen,Julin Xie

Analytical cellular pathology (Amsterdam) 2021:7852710 PubMed34540569

2021

Endoplasmic Reticulum Stress Is Associated with the Mesencephalic Dopaminergic Neuron Injury in Stressed Rats.

Applications

Unspecified application

Species

Unspecified reactive species

Shiba Niu,Weibo Shi,Yingmin Li,Shanyong Yi,Yang Li,Xia Liu,Bin Cong,Guanglong He

Aging 13:16749-16762 PubMed34170851

2021

Bone mesenchymal stem cell derived exosomes alleviate high phosphorus-induced calcification of vascular smooth muscle cells through the NONHSAT 084969.2/NF-κB axis.

Applications

Unspecified application

Species

Unspecified reactive species

Yingjie Liu,Shumin Bao,Weikang Guo,Wenhu Liu
View all publications

Product promise

We are committed to supporting your work with high-quality reagents, and we're here for you every step of the way. In the unlikely event that one of our products does not perform as expected, you're protected by our Product Promise.
For full details, please see our Terms & Conditions

Please note: All products are 'FOR RESEARCH USE ONLY. NOT FOR USE IN DIAGNOSTIC OR THERAPEUTIC PROCEDURES'.

For licensing inquiries, please contact partnerships@abcam.com