JavaScript is disabled in your browser. Please enable JavaScript to view this website.
AB238126

Anti-GRP94 antibody [EPR22847-50]

  • BOND RX™ Validated
  • RabMAb
  • Recombinant
  • KO Validated
  • What is this?

Be the first to review this product! Submit a review

|

(27 Publications)

Anti-GRP94 antibody [EPR22847-50] (ab238126) is a rabbit monoclonal antibody detecting GRP94 in Western Blot, Flow Cytometry (Intra), IP, IHC-P, ICC/IF. Suitable for Human, Mouse, Rat.

- KO validated for confirmed specificity
- Biophysical QC for unrivalled batch-batch consistency
- Over 10 publications

View Alternative Names

GRP94, HSPC4, TRA1, HSP90B1, Endoplasmin, 94 kDa glucose-regulated protein, Heat shock protein 90 kDa beta member 1, Heat shock protein family C member 4, Tumor rejection antigen 1, gp96 homolog, GRP-94

11 Images
Immunocytochemistry/ Immunofluorescence - Anti-GRP94 antibody [EPR22847-50] (AB238126)
  • ICC/IF

Unknown

Immunocytochemistry/ Immunofluorescence - Anti-GRP94 antibody [EPR22847-50] (AB238126)

Immunofluorescent analysis of 4% paraformaldehyde-fixed, 0.1% Triton X-100 permeabilized HeLa (human epithelial cell line from cervix adenocarcinoma) cells labeling GRP94 with ab238126 at 1/1000 dilution, followed by Goat Anti-Rabbit IgG H&L (Alexa Fluor® 488) (ab150077) secondary antibody at 1/1000 dilution (green). Confocal image showing endoplasmic reticulum staining in HeLa cell line. The nuclear counter stain is DAPI (blue). The endoplasmic reticulum is stained with Anti-KDEL antibody [10C3] (ab12223), followed by Goat Anti-Mouse IgG H&L (Alexa Fluor® 594) preadsorbed (ab150120) secondary antibody (red).

Secondary antibody only control : Used PBS instead of primary antibody, followed by Goat Anti-Rabbit IgG H&L (Alexa Fluor® 488) (ab150077) secondary antibody at 1/1000 dilution.

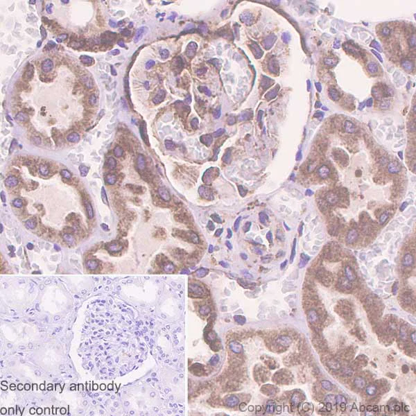
Immunohistochemistry (Formalin/PFA-fixed paraffin-embedded sections) - Anti-GRP94 antibody [EPR22847-50] (AB238126)
  • IHC-P

Unknown

Immunohistochemistry (Formalin/PFA-fixed paraffin-embedded sections) - Anti-GRP94 antibody [EPR22847-50] (AB238126)

Immunohistochemical analysis of paraffin-embedded human kidney tissue labeling GRP94 with ab238126 at 1/5000 dilution, followed by Rabbit specific IHC polymer detection kit HRP/DAB (ab209101). Cytoplasmic staining on human kidney (PMID : 20520781) is observed. Counterstained with hematoxylin.

Secondary antibody only control : Used PBS instead of primary antibody, secondary antibody is Rabbit specific IHC polymer detection kit HRP/DAB (ab209101).

Heat mediated antigen retrieval with Tris-EDTA buffer (pH 9.0, epitope retrieval solution 2) for 20 mins.

The section was incubated with ab238126 for 15 mins at RT.

The immunostaining was performed on a Leica Biosystems BOND® RX instrument.

Flow Cytometry (Intracellular) - Anti-GRP94 antibody [EPR22847-50] (AB238126)
  • Flow Cyt (Intra)

Unknown

Flow Cytometry (Intracellular) - Anti-GRP94 antibody [EPR22847-50] (AB238126)

Intracellular flow cytometric analysis of 4% paraformaldehyde-fixed, 90% methanol-permeabilized HeLa (human epithelial cell line from cervix adenocarcinoma) cells labeling GRP94 with ab238126 at 1/600 dilution (red) compared with a Rabbit IgG, monoclonal [EPR25A] - Isotype Control (ab172730) (black) and an unlabeled control (cells without incubation with primary antibody and secondary antibody) (blue).

Goat Anti-Rabbit IgG H&L (Alexa Fluor® 488) (ab150077), at 1/2000 dilution was used as the secondary antibody.

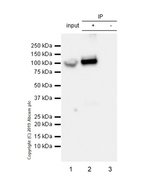
Immunoprecipitation - Anti-GRP94 antibody [EPR22847-50] (AB238126)
  • IP

Unknown

Immunoprecipitation - Anti-GRP94 antibody [EPR22847-50] (AB238126)

GRP94 was immunoprecipitated from 0.35 mg of HeLa (human epithelial cell line from cervix adenocarcinoma) whole cell lysate with ab238126 at 1/30 dilution. Western blot was performed from the immunoprecipitate using ab238126 at 1/1000 dilution. VeriBlot for IP Detection Reagent (HRP) (ab131366), was used at 1/5000 dilution.

Lane 1 : HeLa whole cell lysate 10 μg (Input).
Lane 2 : ab238126 IP in HeLa whole cell lysate.
Lane 3 : Rabbit monoclonal IgG (ab172730) instead of ab238126 in HeLa whole cell lysate.

Blocking and dilution buffer and concentration : 5% NFDM/TBST.
Exposure time : 3 seconds.

All lanes:

Immunoprecipitation - Anti-GRP94 antibody [EPR22847-50] (ab238126)

Predicted band size: 92 kDa

Observed band size: 94 kDa

false

Immunocytochemistry/ Immunofluorescence - Anti-GRP94 antibody [EPR22847-50] (AB238126)
  • ICC/IF

Unknown

Immunocytochemistry/ Immunofluorescence - Anti-GRP94 antibody [EPR22847-50] (AB238126)

Immunofluorescent analysis of 4% paraformaldehyde-fixed, 0.1% Triton X-100 permeabilized NIH/3T3 (mouse embryo fibroblast cell line) cells labeling GRP94 with ab238126 at 1/1000 dilution, followed by Goat Anti-Rabbit IgG H&L (Alexa Fluor® 488) (ab150077) secondary antibody at 1/1000 dilution (green). Confocal image showing endoplasmic reticulum staining in NIH/3T3 cell line. The nuclear counterstain is DAPI (blue). The endoplasmic reticulum is stained with Anti-KDEL antibody [10C3] (ab12223), followed by Goat Anti-Mouse IgG H&L (Alexa Fluor® 594) preadsorbed (ab150120) secondary antibody (red).

Secondary antibody only control : Used PBS instead of primary antibody, followed by Goat Anti-Rabbit IgG H&L (Alexa Fluor® 488) (ab150077) secondary antibody at 1/1000 dilution.

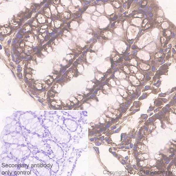
Immunohistochemistry (Formalin/PFA-fixed paraffin-embedded sections) - Anti-GRP94 antibody [EPR22847-50] (AB238126)
  • IHC-P

Unknown

Immunohistochemistry (Formalin/PFA-fixed paraffin-embedded sections) - Anti-GRP94 antibody [EPR22847-50] (AB238126)

Immunohistochemical analysis of paraffin-embedded rat colon tissue labeling GRP94 with ab238126 at 1/5000 dilution, followed by Rabbit specific IHC polymer detection kit HRP/DAB (ab209101). Cytoplasmic staining on rat colon (PMID : 23572575) is observed. Counterstained with hematoxylin.

Secondary antibody only control : Used PBS instead of primary antibody, secondary antibody is Rabbit specific IHC polymer detection kit HRP/DAB (ab209101).

Heat mediated antigen retrieval with Tris-EDTA buffer (pH 9.0, epitope retrieval solution 2) for 20 mins.

The section was incubated with ab238126 for 15 mins at RT.

The immunostaining was performed on a Leica Biosystems BOND® RX instrument.

Immunohistochemistry (Formalin/PFA-fixed paraffin-embedded sections) - Anti-GRP94 antibody [EPR22847-50] (AB238126)
  • IHC-P

Unknown

Immunohistochemistry (Formalin/PFA-fixed paraffin-embedded sections) - Anti-GRP94 antibody [EPR22847-50] (AB238126)

Immunohistochemical analysis of paraffin-embedded mouse colon tissue labeling GRP94 with ab238126 at 1/5000 dilution, followed by Rabbit specific IHC polymer detection kit HRP/DAB (ab209101). Cytoplasmic staining on mouse colon (PMID : 23572575) is observed. Counterstained with hematoxylin.

Secondary antibody only control : Used PBS instead of primary antibody, secondary antibody is Rabbit specific IHC polymer detection kit HRP/DAB (ab209101).

Heat mediated antigen retrieval with Tris-EDTA buffer (pH 9.0, epitope retrieval solution 2) for 20 mins.

The section was incubated with ab238126 for 15 mins at RT.

The immunostaining was performed on a Leica Biosystems BOND® RX instrument.

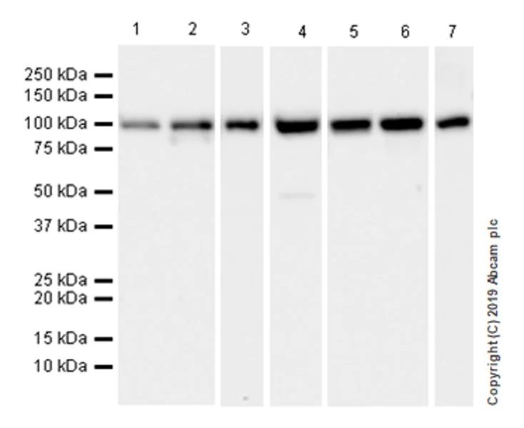
Western blot - Anti-GRP94 antibody [EPR22847-50] (AB238126)
  • WB

Unknown

Western blot - Anti-GRP94 antibody [EPR22847-50] (AB238126)

Blocking and dilution buffer : 5% NFDM/TBST.

Exposure times.

Lanes 1 & 2 : 10 seconds; Lane 3 : 37 seconds; Lanes 4-6 : 10 seconds; Lane 7 : 26 seconds.

The molecular weight observed is consistent with what has been described in the literature (PMID : 26858453, 29949743).

All lanes:

Western blot - Anti-GRP94 antibody [EPR22847-50] (ab238126) at 1/1000 dilution

Lane 1:

Human brain tissue lysate at 20 µg

Lane 2:

Human kidney tissue lysate at 20 µg

Lane 3:

Human stomach tissue lysate at 20 µg

Lane 4:

HeLa (human epithelial cell line from cervix adenocarcinoma) whole cell lysate at 20 µg

Lane 5:

MCF7 (human breast adenocarcinoma cell line) whole cell lysate at 20 µg

Lane 6:

MEF (Mouse embryonic fibroblast (immortalized) cell line) whole cell lysate at 20 µg

Lane 7:

PC-12 (rat adrenal gland pheochromocytoma cell line) whole cell lysate at 10 µg

Secondary

All lanes:

Western blot - Goat Anti-Rabbit IgG H&L (HRP) (<a href='/en-us/products/secondary-antibodies/goat-rabbit-igg-h-l-hrp-ab97051'>ab97051</a>) at 1/100000 dilution

Predicted band size: 92 kDa

Observed band size: 94 kDa

false

Western blot - Anti-GRP94 antibody [EPR22847-50] (AB238126)
  • WB

Lab

Western blot - Anti-GRP94 antibody [EPR22847-50] (AB238126)

Lanes 1-3 : Merged signal (red and green). Green - ab238126 observed at 94 kDa. Red - loading control, ab8245 observed at 37 kDa.

ab238126 Anti-GRP94 antibody [EPR22847-50] was shown to specifically react with GRP94 in wild-type HEK293T cells. Loss of signal was observed when knockout cell line ab266313 (knockout cell lysate ab257254) was used. Wild-type and GRP94 knockout samples were subjected to SDS-PAGE. ab238126 and Anti-GAPDH antibody [6C5] - Loading Control (ab8245) were incubated overnight at 4°C at 1 in 1000 dilution and 1 in 20000 dilution respectively. Blots were developed with Goat anti-Rabbit IgG H&L (IRDye® 800CW) preadsorbed (ab216773) and Goat anti-Mouse IgG H&L (IRDye® 680RD) preadsorbed (ab216776) secondary antibodies at 1 in 10000 dilution for 1 hour at room temperature before imaging.

All lanes:

Western blot - Anti-GRP94 antibody [EPR22847-50] (ab238126) at 1/1000 dilution

Lane 1:

Wild-type HEK293T cell lysate at 20 µg

Lane 2:

HSP90B1 knockout HEK293T cell lysate at 20 µg

Lane 3:

HeLa cell lysate at 20 µg

Predicted band size: 92 kDa

Observed band size: 94 kDa

false

Western blot - Anti-GRP94 antibody [EPR22847-50] (AB238126)
  • WB

Lab

Western blot - Anti-GRP94 antibody [EPR22847-50] (AB238126)

Lanes 1-3 : Merged signal (red and green). Green - ab238126 observed at 94 kDa. Red - loading control, ab8245 observed at 37 kDa.

ab238126 Anti-GRP94 antibody [EPR22847-50] was shown to specifically react with GRP94 in wild-type HEK293T cells. Loss of signal was observed when knockout cell line ab266313 (knockout cell lysate ab257254) was used. Wild-type and GRP94 knockout samples were subjected to SDS-PAGE. ab238126 and Anti-GAPDH antibody [6C5] - Loading Control (ab8245) were incubated overnight at 4°C at 1 in 1000 dilution and 1 in 20000 dilution respectively. Blots were developed with Goat anti-Rabbit IgG H&L (IRDye® 800CW) preadsorbed (ab216773) and Goat anti-Mouse IgG H&L (IRDye® 680RD) preadsorbed (ab216776) secondary antibodies at 1 in 10000 dilution for 1 hour at room temperature before imaging.

All lanes:

Western blot - Anti-GRP94 antibody [EPR22847-50] (ab238126) at 1/1000 dilution

Lane 1:

Wild-type HEK293T cell lysate at 20 µg

Lane 2:

HSP90B1 knockout HEK293T cell lysate at 20 µg

Lane 2:

Western blot - Human HSP90B1 (GRP94) knockout HEK-293T cell line (<a href='/en-us/products/cell-lines/human-hsp90b1-grp94-knockout-hek-293t-cell-line-ab266313'>ab266313</a>)

Lane 3:

HeLa cell lysate at 20 µg

Predicted band size: 92 kDa

Observed band size: 94 kDa

false

Western blot - Anti-GRP94 antibody [EPR22847-50] (AB238126)
  • WB

Unknown

Western blot - Anti-GRP94 antibody [EPR22847-50] (AB238126)

Blocking and dilution buffer : 5% NFDM/TBST.

Exposure times.

Lane 1 : 26 seconds; Lanes 2-5 : 10 seconds; Lane 6 : 92 seconds; Lanes 7-8 : 6 seconds.

The molecular weight observed is consistent with what has been described in the literature (PMID : 26858453, 29949743).

All lanes:

Western blot - Anti-GRP94 antibody [EPR22847-50] (ab238126) at 1/1000 dilution

Lane 1:

Mouse brain tissue lysate at 20 µg

Lane 2:

Mouse placenta tissue lysate at 20 µg

Lane 3:

Mouse stomach tissue lysate at 20 µg

Lane 4:

Rat brain tissue lysate at 20 µg

Lane 5:

Rat placenta tissue lysate at 20 µg

Lane 6:

Rat stomach tissue lysate at 20 µg

Lane 7:

C6 (rat glial tumor glial cell line) whole cell lysate at 20 µg

Lane 8:

NIH/3T3 (mouse embryo fibroblast cell line) whole cell lysate at 10 µg

Secondary

All lanes:

Western blot - Goat Anti-Rabbit IgG H&L (HRP) (<a href='/en-us/products/secondary-antibodies/goat-rabbit-igg-h-l-hrp-ab97051'>ab97051</a>) at 1/100000 dilution

Predicted band size: 92 kDa

Observed band size: 94 kDa

false

  • Carrier free

    Anti-GRP94 antibody [EPR22847-50] - BSA and Azide free

  • 665 Alexa Fluor® 647

    Alexa Fluor® 647 Anti-GRP94 antibody [EPR22847-50]

  • 519 Alexa Fluor® 488

    Alexa Fluor® 488 Anti-GRP94 antibody [EPR22847-50]

  • 660 APC

    APC Anti-GRP94 antibody [EPR22847-50]

  • 578 PE

    PE Anti-GRP94 antibody [EPR22847-50]

Key facts

Host species

Rabbit

Clonality

Monoclonal

Clone number

EPR22847-50

Isotype

IgG

Carrier free

No

Reacts with

Mouse, Rat, Human

Applications

IHC-P, Flow Cyt (Intra), ICC/IF, WB, IP

applications

Immunogen

The exact immunogen used to generate this antibody is proprietary information.

Reactivity data

{ "title": "Reactivity Data", "filters": { "stats": ["", "Species", "Dilution Info", "Notes"], "tabs": { "all-applications": {"fullname" : "All Applications", "shortname": "All Applications"}, "IP" : {"fullname" : "Immunoprecipitation", "shortname":"IP"}, "WB" : {"fullname" : "Western blot", "shortname":"WB"}, "ICCIF" : {"fullname" : "Immunocytochemistry/ Immunofluorescence", "shortname":"ICC/IF"}, "FlowCytIntra" : {"fullname" : "Flow Cytometry (Intracellular)", "shortname":"Flow Cyt (Intra)"}, "IHCP" : {"fullname" : "Immunohistochemistry (Formalin/PFA-fixed paraffin-embedded sections)", "shortname":"IHC-P"} }, "product-promise": { "all": "all", "testedAndGuaranteed": "tested", "guaranteed": "expected", "predicted": "predicted", "notRecommended": "not-recommended" } }, "values": { "Human": { "IP-species-checked": "testedAndGuaranteed", "IP-species-dilution-info": "1/30", "IP-species-notes": "<p></p>", "WB-species-checked": "testedAndGuaranteed", "WB-species-dilution-info": "1/1000", "WB-species-notes": "<p></p>", "ICCIF-species-checked": "testedAndGuaranteed", "ICCIF-species-dilution-info": "1/1000", "ICCIF-species-notes": "<p></p>", "FlowCytIntra-species-checked": "testedAndGuaranteed", "FlowCytIntra-species-dilution-info": "1/600", "FlowCytIntra-species-notes": "<p></p>", "IHCP-species-checked": "testedAndGuaranteed", "IHCP-species-dilution-info": "1/5000", "IHCP-species-notes": "<p></p>" }, "Mouse": { "IP-species-checked": "guaranteed", "IP-species-dilution-info": "", "IP-species-notes": "", "WB-species-checked": "testedAndGuaranteed", "WB-species-dilution-info": "1/1000", "WB-species-notes": "<p></p>", "ICCIF-species-checked": "testedAndGuaranteed", "ICCIF-species-dilution-info": "1/1000", "ICCIF-species-notes": "<p></p>", "FlowCytIntra-species-checked": "guaranteed", "FlowCytIntra-species-dilution-info": "", "FlowCytIntra-species-notes": "", "IHCP-species-checked": "testedAndGuaranteed", "IHCP-species-dilution-info": "1/5000", "IHCP-species-notes": "<p></p>" }, "Rat": { "IP-species-checked": "guaranteed", "IP-species-dilution-info": "", "IP-species-notes": "", "WB-species-checked": "testedAndGuaranteed", "WB-species-dilution-info": "1/1000", "WB-species-notes": "<p></p>", "ICCIF-species-checked": "guaranteed", "ICCIF-species-dilution-info": "", "ICCIF-species-notes": "", "FlowCytIntra-species-checked": "guaranteed", "FlowCytIntra-species-dilution-info": "", "FlowCytIntra-species-notes": "", "IHCP-species-checked": "testedAndGuaranteed", "IHCP-species-dilution-info": "1/5000", "IHCP-species-notes": "<p></p>" } } }

Product details

What is this antibody validated in?
Anti-GRP94 antibody [EPR22847-50] (ab238126) is a rabbit recombinant monoclonal antibody and is validated for use in Western Blot (WB), Flow Cytometry (Intra), Flow Cytometry (Flow Cyt), Immunoprecipitation (IP), Immunohistochemistry (IHC-P), Immunocytochemistry/immunofluorescence (ICC/IF) in Human, Mouse, Rat samples.

What is the molecular weight of GRP94?
Anti-GRP94 [EPR22847-50] (ab238126) specifically detects a band for GRP94 (UniProt: P14625) at a molecular weight of 94kDa.

Trusted by the scientific community
Anti-GRP94 [EPR22847-50] (ab238126) was first used in a scientific publication in 2019 and has been cited over 10 times in peer-reviewed journals.

Trial sizes available!
Test your antibody or perform pre-screening before committing to a larger quantity. Sold in 10µl. Discover our selection of trial-size antibodies.

Specificity confirmed
The specificity of Anti-GRP94 antibody [EPR22847-50] (ab238126) has been confirmed by Western blot testing in HSP90B1 Knockout HEK293T cell line, ab266313.

Other related products
We have a range of other formats of antibody clone [EPR22847-50] also available for your convenience: ab238126, Carrier free - ab256312, Alexa Fluor® 647 - ab313672, Alexa Fluor® 488 - ab314591, APC - ab317477, PE - ab322454

Patented technology
Our RabMAb® technology is a patented hybridoma-based technology for making rabbit monoclonal antibodies. For details on our patents, please refer to RabMAb® patents.

What are the advantages of a recombinant monoclonal antibody?
This product is a recombinant monoclonal antibody, which offers several advantages including:

  • - High batch-to-batch consistency and reproducibility
  • - Improved sensitivity and specificity
  • - Long-term security of supply
  • - Animal-free batch production

For more information, read more on recombinant antibodies.

Properties and storage information

Form
Liquid
Purification technique
Affinity purification Protein A
Storage buffer
pH: 7.2 - 7.4 Preservative: 0.01% Sodium azide Constituents: PBS, 40% Glycerol (glycerin, glycerine), 0.05% BSA
Shipped at conditions
Blue Ice
Appropriate short-term storage duration
1-2 weeks
Appropriate short-term storage conditions
+4°C
Appropriate long-term storage conditions
-20°C
Aliquoting information
Upon delivery aliquot
Storage information
Avoid freeze / thaw cycle

Supplementary information

This supplementary information is collated from multiple sources and compiled automatically.

GRP94 also known as HSP90b1 is a glycoprotein that belongs to the heat shock protein 90 family. It has a molecular mass of approximately 94 kDa. GRP94 is expressed mainly in the endoplasmic reticulum and appears in high levels in cells undergoing stress. This protein acts as a chaperone assisting in the proper folding and assembly of other proteins playing an essential role in protein homeostasis. GRP94 ensures the quality control of proteins by preventing misfolding and aggregation.
Biological function summary

GRP94 influences the stability of many secretory and cell-surface proteins. It forms part of a multi-protein complex that stabilizes client proteins and assists their proper folding. GRP94 is essential for the maturation of proteins involved in the immune response including immunoglobulins and integrins. Overexpression of GRP94 has been noted in various cancers where it supports the folding of proteins required for tumor growth and survival.

Pathways

GRP94 is an important element of the protein folding quality control mechanism within the endoplasmic reticulum. It functions in coordination with other chaperones like BiP and calnexin within the unfolded protein response (UPR) pathway. The UPR pathway is essential during stress conditions where increased protein synthesis occurs. GRP94 also contributes to calcium homeostasis and directly interacts with proteins like integrins affecting cell adhesion and motility.

GRP94 has been implicated in the progression of cancer and neurodegenerative diseases. Overexpression of GRP94 is often linked to cancer where it stabilizes oncogenic proteins necessary for cancer cell survival. In neurodegenerative disorders GRP94 shows altered expression levels which may influence the pathogenesis of diseases like Alzheimer's. The interaction between GRP94 and other proteins such as tau protein in Alzheimer's highlights its potential role in disease mechanisms.

Product protocols

For this product, it's our understanding that no specific protocols are required. You can visit:

Target data

Molecular chaperone that functions in the processing and transport of secreted proteins (By similarity). When associated with CNPY3, required for proper folding of Toll-like receptors (By similarity). Functions in endoplasmic reticulum associated degradation (ERAD) (PubMed : 18264092). Has ATPase activity (By similarity). May participate in the unfolding of cytosolic leaderless cargos (lacking the secretion signal sequence) such as the interleukin 1/IL-1 to facilitate their translocation into the ERGIC (endoplasmic reticulum-Golgi intermediate compartment) and secretion; the translocation process is mediated by the cargo receptor TMED10 (PubMed : 32272059).
See full target information HSP90B1

Publications (27)

Recent publications for all applications. Explore the full list and refine your search

Cell communication and signaling : CCS 23:246 PubMed40437612

2025

Identification of genetically engineered strategies to manipulate nano-platforms presenting immunotherapeutic ligands for alleviating primary ovarian insufficiency progression.

Applications

Unspecified application

Species

Unspecified reactive species

Guannan Zhou,Yuanyuan Gu,Menglei Zhang,Jingxin Ding,Guanming Lu,Keqin Hua,Fang Shen

MedComm 6:e70104 PubMed39968496

2025

Early-life antibiotic exposure aggravates hepatic steatosis through enhanced endotoxemia and lipotoxic effects driven by gut .

Applications

Unspecified application

Species

Unspecified reactive species

Xi Zhang,Darren Chak Lun Chan,Jie Zhu,Daniel Zhen Ye Sin,Ye Peng,Matthew Kwok Leong Wong,Wenyi Zhu,Yee Tsui,Andrea M Haqq,Joseph Y Ting,Anita Kozyrskyj,Francis Ka Leung Chan,Siew Chien Ng,Hein Min Tun

Cancer immunology, immunotherapy : CII 74:64 PubMed39751648

2025

STC1 encapsulated in small extracellular vesicles from laryngeal squamous cell carcinoma cells induces CD8 T cell dysfunction by reprogramming tumor-associated macrophages into M2-like macrophages.

Applications

Unspecified application

Species

Unspecified reactive species

Xiaoxue Chen,Zhigang Zhao,Rui Zhao,Wenjing Li,Xinyu Liu,Linli Tian,Ming Liu

iScience 27:110638 PubMed39252968

2024

GRP94 promotes anoikis resistance and peritoneal metastasis through YAP/TEAD1 pathway in gastric cancer.

Applications

Unspecified application

Species

Unspecified reactive species

Qimeng Shi,Yang Lu,Yutong Du,Ruixin Yang,Yingxin Guan,Ranlin Yan,Yingyan Yu,Zhenqiang Wang,Chen Li

Advanced science (Weinheim, Baden-Wurttemberg, Germany) 11:e2402550 PubMed39119875

2024

SEC16A Variants Predispose to Chronic Pancreatitis by Impairing ER-to-Golgi Transport and Inducing ER Stress.

Applications

Unspecified application

Species

Unspecified reactive species

Min-Jun Wang,Yuan-Chen Wang,Emmanuelle Masson,Ya-Hui Wang,Dong Yu,Yang-Yang Qian,Xin-Ying Tang,Shun-Jiang Deng,Liang-Hao Hu,Lei Wang,Li-Juan Wang,Vinciane Rebours,David N Cooper,Claude Férec,Zhao-Shen Li,Jian-Min Chen,Wen-Bin Zou,Zhuan Liao

Nature communications 15:3333 PubMed38637533

2024

Tracing genetic diversity captures the molecular basis of misfolding disease.

Applications

Unspecified application

Species

Unspecified reactive species

Pei Zhao,Chao Wang,Shuhong Sun,Xi Wang,William E Balch

Aging 15:7408-7423 PubMed37433010

2023

Senescence-related gene c-Myc affects bladder cancer cell senescence by interacting with HSP90B1 to regulate cisplatin sensitivity.

Applications

Unspecified application

Species

Unspecified reactive species

Yaxuan Wang,Haixia Zhu,Haifei Xu,Yifan Qiu,Yonghong Zhu,Xiaolin Wang

Cell chemical biology 30:22-42.e5 PubMed36630963

2023

Capturing the conversion of the pathogenic alpha-1-antitrypsin fold by ATF6 enhanced proteostasis.

Applications

Unspecified application

Species

Unspecified reactive species

Shuhong Sun,Chao Wang,Pei Zhao,Gabe M Kline,Julia M D Grandjean,Xin Jiang,Richard Labaudiniere,R Luke Wiseman,Jeffery W Kelly,William E Balch

Cells 11: PubMed36429124

2022

Preconditioned Mesenchymal Stromal Cell-Derived Extracellular Vesicles (EVs) Counteract Inflammaging.

Applications

Unspecified application

Species

Unspecified reactive species

Cansu Gorgun,Chiara Africano,Maria Chiara Ciferri,Nadia Bertola,Daniele Reverberi,Rodolfo Quarto,Silvia Ravera,Roberta Tasso

Biomolecules 12: PubMed36291587

2022

A Pan-Cancer Analysis of Heat-Shock Protein 90 Beta1(HSP90B1) in Human Tumours.

Applications

Unspecified application

Species

Unspecified reactive species

Yaxuan Wang,Xiaolin Wang
View all publications

Product promise

We are committed to supporting your work with high-quality reagents, and we're here for you every step of the way. In the unlikely event that one of our products does not perform as expected, you're protected by our Product Promise.
For full details, please see our Terms & Conditions

Please note: All products are 'FOR RESEARCH USE ONLY. NOT FOR USE IN DIAGNOSTIC OR THERAPEUTIC PROCEDURES'.

For licensing inquiries, please contact partnerships@abcam.com