JavaScript is disabled in your browser. Please enable JavaScript to view this website.
AB256312

Anti-GRP94 antibody [EPR22847-50] - BSA and Azide free

  • BOND RX™ Validated
  • RabMAb
  • Recombinant
  • KO Validated
  • What is this?

Be the first to review this product! Submit a review

|

(1 Publication)

Rabbit Recombinant Monoclonal GRP94 antibody. Carrier free. Suitable for IP, WB, ICC/IF, Flow Cyt (Intra), IHC-P and reacts with Human, Mouse, Rat samples. Cited in 1 publication.

View Alternative Names

GRP94, HSPC4, TRA1, HSP90B1, Endoplasmin, 94 kDa glucose-regulated protein, Heat shock protein 90 kDa beta member 1, Heat shock protein family C member 4, Tumor rejection antigen 1, gp96 homolog, GRP-94

8 Images
Immunohistochemistry (Formalin/PFA-fixed paraffin-embedded sections) - Anti-GRP94 antibody [EPR22847-50] - BSA and Azide free (AB256312)
  • IHC-P

Unknown

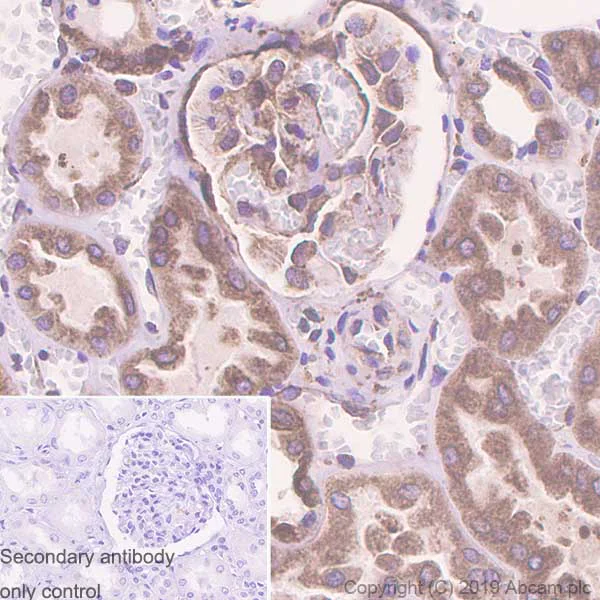
Immunohistochemistry (Formalin/PFA-fixed paraffin-embedded sections) - Anti-GRP94 antibody [EPR22847-50] - BSA and Azide free (AB256312)

Immunohistochemical analysis of paraffin-embedded human kidney tissue labeling GRP94 with ab238126 at 1/5000 dilution, followed by Rabbit specific IHC polymer detection kit HRP/DAB (ab209101). Cytoplasmic staining on human kidney (PMID : 20520781) is observed. Counter stained with hematoxylin.

Secondary antibody only control : Used PBS instead of primary antibody, secondary antibody is Rabbit specific IHC polymer detection kit HRP/DAB (ab209101).

Heat mediated antigen retrieval with Tris-EDTA buffer (pH 9.0, epitope retrieval solution 2) for 20 mins.

The section was incubated with ab238126 for 15 mins at RT.

The immunostaining was performed on a Leica Biosystems BOND® RX instrument.

This data was developed using the same antibody clone in a different buffer formulation containing PBS, BSA, glycerol, and sodium azide (ab238126).

Flow Cytometry (Intracellular) - Anti-GRP94 antibody [EPR22847-50] - BSA and Azide free (AB256312)
  • Flow Cyt (Intra)

Unknown

Flow Cytometry (Intracellular) - Anti-GRP94 antibody [EPR22847-50] - BSA and Azide free (AB256312)

Intracellular flow cytometric analysis of 4% paraformaldehyde-fixed, 90% methanol-permeabilized HeLa (human epithelial cell line from cervix adenocarcinoma) cells labeling GRP94 with ab238126 at 1/600 dilution (red) compared with a Rabbit IgG, monoclonal [EPR25A] - Isotype Control (ab172730) (black) and an unlabeled control (cells without incubation with primary antibody and secondary antibody) (blue).

Goat Anti-Rabbit IgG H&L (Alexa Fluor® 488) (ab150077), at 1/2000 dilution was used as the secondary antibody.

This data was developed using the same antibody clone in a different buffer formulation containing PBS, BSA, glycerol, and sodium azide (ab238126).

Immunocytochemistry/ Immunofluorescence - Anti-GRP94 antibody [EPR22847-50] - BSA and Azide free (AB256312)
  • ICC/IF

Unknown

Immunocytochemistry/ Immunofluorescence - Anti-GRP94 antibody [EPR22847-50] - BSA and Azide free (AB256312)

Immunofluorescent analysis of 4% paraformaldehyde-fixed, 0.1% Triton X-100 permeabilized HeLa (human epithelial cell line from cervix adenocarcinoma) cells labeling GRP94 with ab238126 at 1/1000 dilution, followed by Goat Anti-Rabbit IgG H&L (Alexa Fluor® 488) (ab150077) secondary antibody at 1/1000 dilution (green). Confocal image showing endoplasmic reticulum staining in HeLa cell line. The nuclear counterstain is DAPI (blue). The endoplasmic reticulum is stained with Anti-KDEL antibody [10C3] (ab12223), followed by Goat Anti-Mouse IgG H&L (Alexa Fluor® 594) preadsorbed (ab150120) secondary antibody (red).

Secondary antibody only control : Used PBS instead of primary antibody, followed by Goat Anti-Rabbit IgG H&L (Alexa Fluor® 488) (ab150077) secondary antibody at 1/1000 dilution.

This data was developed using the same antibody clone in a different buffer formulation containing PBS, BSA, glycerol, and sodium azide (ab238126).

Immunoprecipitation - Anti-GRP94 antibody [EPR22847-50] - BSA and Azide free (AB256312)
  • IP

Unknown

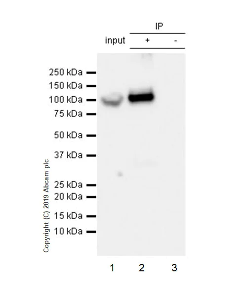
Immunoprecipitation - Anti-GRP94 antibody [EPR22847-50] - BSA and Azide free (AB256312)

GRP94 was immunoprecipitated from 0.35 mg of HeLa (human epithelial cell line from cervix adenocarcinoma) whole cell lysate with ab238126 at 1/30 dilution. Western blot was performed from the immunoprecipitate using ab238126 at 1/1000 dilution. VeriBlot for IP Detection Reagent (HRP) (ab131366), was used at 1/5000 dilution.

Lane 1 : HeLa whole cell lysate 10 μg (Input).
Lane 2 : ab238126 IP in HeLa whole cell lysate.
Lane 3 : Rabbit monoclonal IgG (ab172730) instead of ab238126 in HeLa whole cell lysate.

Blocking and dilution buffer and concentration : 5% NFDM/TBST.
Exposure time : 3 seconds.

This data was developed using the same antibody clone in a different buffer formulation containing PBS, BSA, glycerol, and sodium azide (ab238126).

All lanes:

Immunoprecipitation - Anti-GRP94 antibody [EPR22847-50] (<a href='/en-us/products/primary-antibodies/grp94-antibody-epr22847-50-ab238126'>ab238126</a>)

Predicted band size: 92 kDa

Observed band size: 94 kDa

false

Immunohistochemistry (Formalin/PFA-fixed paraffin-embedded sections) - Anti-GRP94 antibody [EPR22847-50] - BSA and Azide free (AB256312)
  • IHC-P

Unknown

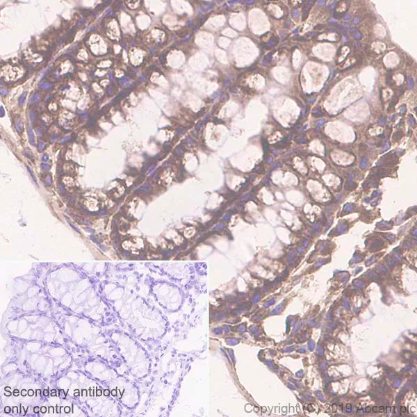
Immunohistochemistry (Formalin/PFA-fixed paraffin-embedded sections) - Anti-GRP94 antibody [EPR22847-50] - BSA and Azide free (AB256312)

Immunohistochemical analysis of paraffin-embedded mouse colon tissue labeling GRP94 with ab238126 at 1/5000 dilution, followed by Rabbit specific IHC polymer detection kit HRP/DAB (ab209101). Cytoplasmic staining on mouse colon (PMID : 23572575) is observed. Counterstained with hematoxylin.

Secondary antibody only control : Used PBS instead of primary antibody, secondary antibody is Rabbit specific IHC polymer detection kit HRP/DAB (ab209101).

Heat mediated antigen retrieval with Tris-EDTA buffer (pH 9.0, epitope retrieval solution 2) for 20 mins.

The section was incubated with ab238126 for 15 mins at RT.

The immunostaining was performed on a Leica Biosystems BOND® RX instrument.

This data was developed using the same antibody clone in a different buffer formulation containing PBS, BSA, glycerol, and sodium azide (ab238126).

Immunohistochemistry (Formalin/PFA-fixed paraffin-embedded sections) - Anti-GRP94 antibody [EPR22847-50] - BSA and Azide free (AB256312)
  • IHC-P

Unknown

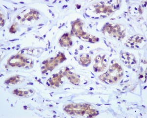
Immunohistochemistry (Formalin/PFA-fixed paraffin-embedded sections) - Anti-GRP94 antibody [EPR22847-50] - BSA and Azide free (AB256312)

Immunohistochemical analysis of paraffin-embedded rat colon tissue labeling GRP94 with ab238126 at 1/5000 dilution, followed by Rabbit specific IHC polymer detection kit HRP/DAB (ab209101). Cytoplasmic staining on rat colon (PMID : 23572575) is observed. Counterstained with hematoxylin.

Secondary antibody only control : Used PBS instead of primary antibody, secondary antibody is Rabbit specific IHC polymer detection kit HRP/DAB (ab209101).

Heat mediated antigen retrieval with Tris-EDTA buffer (pH 9.0, epitope retrieval solution 2) for 20 mins.

The section was incubated with ab238126 for 15 mins at RT.

The immunostaining was performed on a Leica Biosystems BOND® RX instrument.

This data was developed using the same antibody clone in a different buffer formulation containing PBS, BSA, glycerol, and sodium azide (ab238126).

Immunocytochemistry/ Immunofluorescence - Anti-GRP94 antibody [EPR22847-50] - BSA and Azide free (AB256312)
  • ICC/IF

Unknown

Immunocytochemistry/ Immunofluorescence - Anti-GRP94 antibody [EPR22847-50] - BSA and Azide free (AB256312)

Immunofluorescent analysis of 4% paraformaldehyde-fixed, 0.1% Triton X-100 permeabilized NIH/3T3 (mouse embryo fibroblast cell line) cells labeling GRP94 with ab238126 at 1/1000 dilution, followed by Goat Anti-Rabbit IgG H&L (Alexa Fluor® 488) (ab150077) secondary antibody at 1/1000 dilution (green). Confocal image showing endoplasmic reticulum staining in NIH/3T3 cell line. The nuclear counterstain is DAPI (blue). The endoplasmic reticulum is stained with Anti-KDEL antibody [10C3] (ab12223), followed by Goat Anti-Mouse IgG H&L (Alexa Fluor® 594) preadsorbed (ab150120) secondary antibody (red).

Secondary antibody only control : Used PBS instead of primary antibody, followed by Goat Anti-Rabbit IgG H&L (Alexa Fluor® 488) (ab150077) secondary antibody at 1/1000 dilution.

This data was developed using the same antibody clone in a different buffer formulation containing PBS, BSA, glycerol, and sodium azide (ab238126).

Western blot - Anti-GRP94 antibody [EPR22847-50] - BSA and Azide free (AB256312)
  • WB

Lab

Western blot - Anti-GRP94 antibody [EPR22847-50] - BSA and Azide free (AB256312)

This data was developed using the same antibody clone in a different buffer formulation (ab238126).

Lanes 1-3 : Merged signal (red and green). Green - ab238126 observed at 94 kDa. Red - loading control, ab8245 observed at 37 kDa.

ab238126 Anti-GRP94 antibody [EPR22847-50] was shown to specifically react with GRP94 in wild-type HEK293T cells. Loss of signal was observed when knockout cell line ab266313 (knockout cell lysate ab257254) was used. Wild-type and GRP94 knockout samples were subjected to SDS-PAGE. ab238126 and Anti-GAPDH antibody [6C5] - Loading Control (ab8245) were incubated overnight at 4°C at 1 in 1000 dilution and 1 in 20000 dilution respectively. Blots were developed with Goat anti-Rabbit IgG H&L (IRDye® 800CW) preadsorbed (ab216773) and Goat anti-Mouse IgG H&L (IRDye® 680RD) preadsorbed (ab216776) secondary antibodies at 1 in 10000 dilution for 1 hour at room temperature before imaging.

All lanes:

Western blot - Anti-GRP94 antibody [EPR22847-50] (<a href='/en-us/products/primary-antibodies/grp94-antibody-epr22847-50-ab238126'>ab238126</a>) at 1/1000 dilution

Lane 1:

Wild-type HEK293T cell lysate at 20 µg

Lane 2:

HSP90B1 knockout HEK293T cell lysate at 20 µg

Lane 2:

Western blot - Human HSP90B1 (GRP94) knockout HEK-293T cell line (<a href='/en-us/products/cell-lines/human-hsp90b1-grp94-knockout-hek-293t-cell-line-ab266313'>ab266313</a>)

Lane 3:

HeLa cell lysate at 20 µg

Predicted band size: 92 kDa

Observed band size: 94 kDa

false

  • Unconjugated

    Anti-GRP94 antibody [EPR22847-50]

  • 660 APC

    APC Anti-GRP94 antibody [EPR22847-50]

  • 578 PE

    PE Anti-GRP94 antibody [EPR22847-50]

  • 665 Alexa Fluor® 647

    Alexa Fluor® 647 Anti-GRP94 antibody [EPR22847-50]

  • 519 Alexa Fluor® 488

    Alexa Fluor® 488 Anti-GRP94 antibody [EPR22847-50]

Key facts

Host species

Rabbit

Clonality

Monoclonal

Clone number

EPR22847-50

Isotype

IgG

Carrier free

Yes

Reacts with

Mouse, Rat, Human

Applications

Flow Cyt (Intra), IHC-P, WB, ICC/IF, IP

applications

Immunogen

The exact immunogen used to generate this antibody is proprietary information.

Reactivity data

{ "title": "Reactivity Data", "filters": { "stats": ["", "Species", "Dilution Info", "Notes"], "tabs": { "all-applications": {"fullname" : "All Applications", "shortname": "All Applications"}, "IP" : {"fullname" : "Immunoprecipitation", "shortname":"IP"}, "WB" : {"fullname" : "Western blot", "shortname":"WB"}, "ICCIF" : {"fullname" : "Immunocytochemistry/ Immunofluorescence", "shortname":"ICC/IF"}, "FlowCytIntra" : {"fullname" : "Flow Cytometry (Intracellular)", "shortname":"Flow Cyt (Intra)"}, "IHCP" : {"fullname" : "Immunohistochemistry (Formalin/PFA-fixed paraffin-embedded sections)", "shortname":"IHC-P"} }, "product-promise": { "all": "all", "testedAndGuaranteed": "tested", "guaranteed": "expected", "predicted": "predicted", "notRecommended": "not-recommended" } }, "values": { "Human": { "IP-species-checked": "testedAndGuaranteed", "IP-species-dilution-info": "", "IP-species-notes": "<p></p>", "WB-species-checked": "testedAndGuaranteed", "WB-species-dilution-info": "", "WB-species-notes": "<p></p>", "ICCIF-species-checked": "testedAndGuaranteed", "ICCIF-species-dilution-info": "", "ICCIF-species-notes": "<p></p>", "FlowCytIntra-species-checked": "testedAndGuaranteed", "FlowCytIntra-species-dilution-info": "", "FlowCytIntra-species-notes": "<p></p>", "IHCP-species-checked": "testedAndGuaranteed", "IHCP-species-dilution-info": "", "IHCP-species-notes": "<p></p>" }, "Mouse": { "IP-species-checked": "guaranteed", "IP-species-dilution-info": "", "IP-species-notes": "", "WB-species-checked": "testedAndGuaranteed", "WB-species-dilution-info": "", "WB-species-notes": "<p></p>", "ICCIF-species-checked": "testedAndGuaranteed", "ICCIF-species-dilution-info": "", "ICCIF-species-notes": "<p></p>", "FlowCytIntra-species-checked": "guaranteed", "FlowCytIntra-species-dilution-info": "", "FlowCytIntra-species-notes": "", "IHCP-species-checked": "testedAndGuaranteed", "IHCP-species-dilution-info": "", "IHCP-species-notes": "<p></p>" }, "Rat": { "IP-species-checked": "guaranteed", "IP-species-dilution-info": "", "IP-species-notes": "", "WB-species-checked": "testedAndGuaranteed", "WB-species-dilution-info": "", "WB-species-notes": "<p></p>", "ICCIF-species-checked": "guaranteed", "ICCIF-species-dilution-info": "", "ICCIF-species-notes": "", "FlowCytIntra-species-checked": "guaranteed", "FlowCytIntra-species-dilution-info": "", "FlowCytIntra-species-notes": "", "IHCP-species-checked": "testedAndGuaranteed", "IHCP-species-dilution-info": "", "IHCP-species-notes": "<p></p>" } } }

Product details

ab256312 is the carrier-free version of ab238126.

Patented technology
Our RabMAb® technology is a patented hybridoma-based technology for making rabbit monoclonal antibodies. For details on our patents, please refer to RabMAb® patents.

What are the advantages of a recombinant monoclonal antibody?
This product is a recombinant monoclonal antibody, which offers several advantages including:

  • - High batch-to-batch consistency and reproducibility
  • - Improved sensitivity and specificity
  • - Long-term security of supply
  • - Animal-free batch production

For more information, read more on recombinant antibodies.

Conjugation ready
Our carrier-free antibodies are typically supplied in a PBS-only formulation, purified and free of BSA, sodium azide and glycerol. This conjugation-ready format is designed for use with fluorochromes, metal isotopes, oligonucleotides, and enzymes, which makes them ideal for antibody labelling, functional and cell-based assays, flow-based assays (e.g. mass cytometry) and Multiplex Imaging applications.

Use our conjugation kits for antibody conjugates that are ready-to-use in as little as 20 minutes with 1 minute hands-on-time and 100% antibody recovery: available for fluorescent dyes, HRP, biotin and gold.

Compatibility
This product is compatible with the Maxpar® Antibody Labeling Kit from Fluidigm, without the need for antibody preparation. Maxpar® is a trademark of Fluidigm Canada Inc.

Properties and storage information

Form
Liquid
Purification technique
Affinity purification Protein A
Storage buffer
pH: 7.2 - 7.4 Constituents: PBS
Shipped at conditions
Blue Ice
Appropriate short-term storage conditions
+4°C
Appropriate long-term storage conditions
+4°C
Storage information
Do Not Freeze

Supplementary information

This supplementary information is collated from multiple sources and compiled automatically.

GRP94 also known as HSP90b1 is a glycoprotein that belongs to the heat shock protein 90 family. It has a molecular mass of approximately 94 kDa. GRP94 is expressed mainly in the endoplasmic reticulum and appears in high levels in cells undergoing stress. This protein acts as a chaperone assisting in the proper folding and assembly of other proteins playing an essential role in protein homeostasis. GRP94 ensures the quality control of proteins by preventing misfolding and aggregation.
Biological function summary

GRP94 influences the stability of many secretory and cell-surface proteins. It forms part of a multi-protein complex that stabilizes client proteins and assists their proper folding. GRP94 is essential for the maturation of proteins involved in the immune response including immunoglobulins and integrins. Overexpression of GRP94 has been noted in various cancers where it supports the folding of proteins required for tumor growth and survival.

Pathways

GRP94 is an important element of the protein folding quality control mechanism within the endoplasmic reticulum. It functions in coordination with other chaperones like BiP and calnexin within the unfolded protein response (UPR) pathway. The UPR pathway is essential during stress conditions where increased protein synthesis occurs. GRP94 also contributes to calcium homeostasis and directly interacts with proteins like integrins affecting cell adhesion and motility.

GRP94 has been implicated in the progression of cancer and neurodegenerative diseases. Overexpression of GRP94 is often linked to cancer where it stabilizes oncogenic proteins necessary for cancer cell survival. In neurodegenerative disorders GRP94 shows altered expression levels which may influence the pathogenesis of diseases like Alzheimer's. The interaction between GRP94 and other proteins such as tau protein in Alzheimer's highlights its potential role in disease mechanisms.

Product protocols

For this product, it's our understanding that no specific protocols are required. You can visit:

Target data

Molecular chaperone that functions in the processing and transport of secreted proteins (By similarity). When associated with CNPY3, required for proper folding of Toll-like receptors (By similarity). Functions in endoplasmic reticulum associated degradation (ERAD) (PubMed : 18264092). Has ATPase activity (By similarity). May participate in the unfolding of cytosolic leaderless cargos (lacking the secretion signal sequence) such as the interleukin 1/IL-1 to facilitate their translocation into the ERGIC (endoplasmic reticulum-Golgi intermediate compartment) and secretion; the translocation process is mediated by the cargo receptor TMED10 (PubMed : 32272059).
See full target information HSP90B1

Publications (1)

Recent publications for all applications. Explore the full list and refine your search

Frontiers in cardiovascular medicine 9:1013262 PubMed36684586

2023

SARS-CoV-2 Spike protein activates TMEM16F-mediated platelet procoagulant activity.

Applications

Unspecified application

Species

Unspecified reactive species

Ambra Cappelletto,Harriet E Allan,Marilena Crescente,Edoardo Schneider,Rossana Bussani,Hashim Ali,Ilaria Secco,Simone Vodret,Roberto Simeone,Luca Mascaretti,Serena Zacchigna,Timothy D Warner,Mauro Giacca
View all publications

Product promise

We are committed to supporting your work with high-quality reagents, and we're here for you every step of the way. In the unlikely event that one of our products does not perform as expected, you're protected by our Product Promise.
For full details, please see our Terms & Conditions

Please note: All products are 'FOR RESEARCH USE ONLY. NOT FOR USE IN DIAGNOSTIC OR THERAPEUTIC PROCEDURES'.

For licensing inquiries, please contact partnerships@abcam.com