JavaScript is disabled in your browser. Please enable JavaScript to view this website.
AB230768

Anti-GSDMA antibody [EPR19858-104]

5

(1 Review)

|

(6 Publications)

Rabbit Recombinant Monoclonal GSDMA antibody. Suitable for IP, WB, IHC-P and reacts with Human, Mouse, Rat samples. Cited in 6 publications.

View Alternative Names

GSDM, GSDM1, FKSG9, GSDMA, Gasdermin-A, Gasdermin-1

7 Images
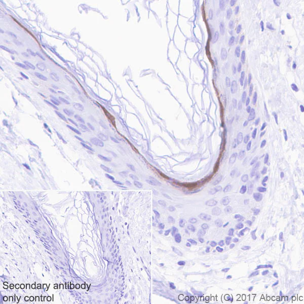
Immunohistochemistry (Formalin/PFA-fixed paraffin-embedded sections) - Anti-GSDMA antibody [EPR19858-104] (AB230768)
  • IHC-P

Supplier Data

Immunohistochemistry (Formalin/PFA-fixed paraffin-embedded sections) - Anti-GSDMA antibody [EPR19858-104] (AB230768)

Immunohistochemical analysis of paraffin-embedded human skin tissue labeling GSDMA with ab230768 at 1/4000 dilution, followed by Goat Anti-Rabbit IgG H&L (HRP) Ready to use. Positive staining on squamous epithelium of human skin (PMID : 23979942) is observed. Counter stained with Hematoxylin.

Secondary antibody only control : Used PBS instead of primary antibody, secondary antibody is Goat Anti-Rabbit IgG H&L (HRP) Ready to use.

Perform heat-mediated antigen retrieval using ab93684 (Tris/EDTA buffer, pH 9.0).

Immunoprecipitation - Anti-GSDMA antibody [EPR19858-104] (AB230768)
  • IP

Supplier Data

Immunoprecipitation - Anti-GSDMA antibody [EPR19858-104] (AB230768)

GSDMA was immunoprecipitated from 0.35 mg of HeLa (human epithelial cell line from cervix adenocarcinoma) cells stably transfected with human GSDMA expression vector, containing a DDDDK-tag, whole cell lysate with ab230768 at 1/30 dilution. Western blot was performed from the immunoprecipitate using ab230768 at 1/1000 dilution. VeriBlot for IP Detection Reagent (HRP) (ab131366), was used for detection at 1/10,000 dilution.

Lane 1 : Hela cells stably transfected with human GSDMA expression vector, containing a DDDDK-tag, whole cell lysate 10 μg (Input).
Lane 2 : ab230768 IP in Hela cells stably transfected with human GSDMA expression vector, containing a DDDDK-tag, whole cell lysate.
Lane 3 : Rabbit monoclonal IgG (ab172730) instead of ab230768 in Hela cells stably transfected with human GSDMA expression vector, containing a DDDDK-tag, whole cell lysate.

Blocking and dilution buffer and concentration : 5% NFDM/TBST.
Exposure time : less than 1 second.

The observed molecular mass is consistent with the literature (PMID : 17350798).

The observed molecular masses lower than 50 kDa are degraded expressed GSDMA protein. The cells were kindly provided by our collaborator Dr. Feng Shao, NIBS.

All lanes:

Immunoprecipitation - Anti-GSDMA antibody [EPR19858-104] (ab230768)

Predicted band size: 49 kDa

Observed band size: 50 kDa

true

Immunohistochemistry (Formalin/PFA-fixed paraffin-embedded sections) - Anti-GSDMA antibody [EPR19858-104] (AB230768)
  • IHC-P

Supplier Data

Immunohistochemistry (Formalin/PFA-fixed paraffin-embedded sections) - Anti-GSDMA antibody [EPR19858-104] (AB230768)

Immunohistochemical analysis of paraffin-embedded mouse stomach tissue labeling GSDMA with ab230768 at 1/4000 dilution, followed by Goat Anti-Rabbit IgG H&L (HRP) Ready to use. Positive staining on squamous epithelium of mouse stomach (PMID : 23979942) is observed. Counter stained with Hematoxylin.

Secondary antibody only control : Used PBS instead of primary antibody, secondary antibody is Goat Anti-Rabbit IgG H&L (HRP) Ready to use.

Perform heat-mediated antigen retrieval using ab93684 (Tris/EDTA buffer, pH 9.0).

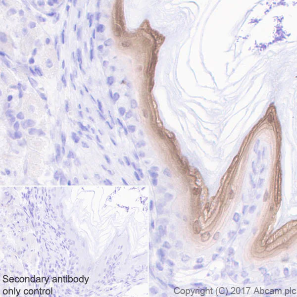
Immunohistochemistry (Formalin/PFA-fixed paraffin-embedded sections) - Anti-GSDMA antibody [EPR19858-104] (AB230768)
  • IHC-P

Supplier Data

Immunohistochemistry (Formalin/PFA-fixed paraffin-embedded sections) - Anti-GSDMA antibody [EPR19858-104] (AB230768)

Immunohistochemical analysis of paraffin-embedded rat stomach tissue labeling GSDMA with ab230768 at 1/4000 dilution, followed by Goat Anti-Rabbit IgG H&L (HRP) Ready to use. Positive staining on squamous epithelium of rat stomach (PMID : 23979942) is observed. Counter stained with Hematoxylin.

Secondary antibody only control : Used PBS instead of primary antibody, secondary antibody is Goat Anti-Rabbit IgG H&L (HRP) Ready to use.

Perform heat-mediated antigen retrieval using ab93684 (Tris/EDTA buffer, pH 9.0).

Western blot - Anti-GSDMA antibody [EPR19858-104] (AB230768)
  • WB

Supplier Data

Western blot - Anti-GSDMA antibody [EPR19858-104] (AB230768)

Blocking and dilution buffer : 5% NFDM/TBST.

The observed molecular mass is consistent with the literature (PMID : 17350798).
The observed molecular masses lower than 50 kDa are degraded expressed GSDMA protein. The cells were kindly provided by our collaborator Dr. Feng Shao, NIBS.

All lanes:

Western blot - Anti-GSDMA antibody [EPR19858-104] (ab230768) at 1/1000 dilution

Lane 1:

HeLa (human epithelial cell line from cervix adenocarcinoma) whole cell lysate at 20 µg

Lane 2:

Hela cells stably transfected with human GSDMA expression vector, containing a DDDDK-tag, whole cell lysate at 20 µg

Lane 3:

Hela cells stably transfected with mouse GSDMA expression vector, containing a DDDDK-tag, whole cell lysate at 20 µg

Secondary

All lanes:

Western blot - Goat Anti-Rabbit IgG H&L (HRP) (<a href='/en-us/products/secondary-antibodies/goat-rabbit-igg-h-l-hrp-ab97051'>ab97051</a>) at 1/100000 dilution

Predicted band size: 49 kDa

Observed band size: 50 kDa

true

Exposure time: 15s

Western blot - Anti-GSDMA antibody [EPR19858-104] (AB230768)
  • WB

Supplier Data

Western blot - Anti-GSDMA antibody [EPR19858-104] (AB230768)

Blocking and dilution buffer : 5% NFDM/TBST.

Exposure times.

Lane 1 : 32 seconds.

Lanes 2 & 3 : 3 minutes.

Lanes 4 & 5 : 102 seconds.

This image is produced using super sensitivity ECL substrate. We strongly suggest the customer to use higher sensitivity ECL substrate when developing the blot.

All lanes:

Western blot - Anti-GSDMA antibody [EPR19858-104] (ab230768) at 1/1000 dilution

Lane 1:

Mouse skin tissue lysate at 20 µg

Lane 2:

Mouse stomach tissue lysate at 20 µg

Lane 3:

Human skin tissue lysate at 20 µg

Lane 4:

Human stomach tissue lysate at 20 µg

Lane 5:

Rat skin tissue lysate at 20 µg

Secondary

All lanes:

Western blot - Goat Anti-Rabbit IgG H&L (HRP) (<a href='/en-us/products/secondary-antibodies/goat-rabbit-igg-h-l-hrp-ab97051'>ab97051</a>) at 1/20000 dilution

Predicted band size: 49 kDa

Observed band size: 50 kDa

true

Western blot - Anti-GSDMA antibody [EPR19858-104] (AB230768)
  • WB

Supplier Data

Western blot - Anti-GSDMA antibody [EPR19858-104] (AB230768)

Blocking and dilution buffer : 5% NFDM/TBST.

All lanes:

Western blot - Anti-GSDMA antibody [EPR19858-104] (ab230768) at 1/1000 dilution

Lane 1:

HeLa (human epithelial cell line from cervix adenocarcinoma) whole cell lysate at 20 µg

Lane 2:

Hela cells stably transfected with mouse GSDMA2 expression vector, containing a DDDDK-tag, whole cell lysate at 20 µg

Lane 3:

Hela cells stably transfected with mouse GSDMA3 expression vector, containing a DDDDK-tag, whole cell lysate at 20 µg

Secondary

All lanes:

Western blot - Goat Anti-Rabbit IgG H&L (HRP) (<a href='/en-us/products/secondary-antibodies/goat-rabbit-igg-h-l-hrp-ab97051'>ab97051</a>) at 1/50000 dilution

Predicted band size: 49 kDa

true

Exposure time: 3min

  • Carrier free

    Anti-GSDMA antibody [EPR19858-104] - BSA and Azide free

Key facts

Host species

Rabbit

Clonality

Monoclonal

Clone number

EPR19858-104

Isotype

IgG

Carrier free

No

Reacts with

Mouse, Rat, Human

Applications

WB, IHC-P, IP

applications

Immunogen

The exact immunogen used to generate this antibody is proprietary information.

Reactivity data

{ "title": "Reactivity Data", "filters": { "stats": ["", "Species", "Dilution Info", "Notes"], "tabs": { "all-applications": {"fullname" : "All Applications", "shortname": "All Applications"}, "IP" : {"fullname" : "Immunoprecipitation", "shortname":"IP"}, "WB" : {"fullname" : "Western blot", "shortname":"WB"}, "IHCP" : {"fullname" : "Immunohistochemistry (Formalin/PFA-fixed paraffin-embedded sections)", "shortname":"IHC-P"} }, "product-promise": { "all": "all", "testedAndGuaranteed": "tested", "guaranteed": "expected", "predicted": "predicted", "notRecommended": "not-recommended" } }, "values": { "Human": { "IP-species-checked": "testedAndGuaranteed", "IP-species-dilution-info": "1/30", "IP-species-notes": "<p></p>", "WB-species-checked": "testedAndGuaranteed", "WB-species-dilution-info": "1/1000", "WB-species-notes": "<p></p>", "IHCP-species-checked": "testedAndGuaranteed", "IHCP-species-dilution-info": "1/4000", "IHCP-species-notes": "<p></p> Perform heat-mediated antigen retrieval with Tris/EDTA buffer pH 9.0 before commencing with IHC staining protocol." }, "Mouse": { "IP-species-checked": "guaranteed", "IP-species-dilution-info": "", "IP-species-notes": "", "WB-species-checked": "testedAndGuaranteed", "WB-species-dilution-info": "1/1000", "WB-species-notes": "<p></p>", "IHCP-species-checked": "testedAndGuaranteed", "IHCP-species-dilution-info": "1/4000", "IHCP-species-notes": "<p></p> Perform heat-mediated antigen retrieval with Tris/EDTA buffer pH 9.0 before commencing with IHC staining protocol." }, "Rat": { "IP-species-checked": "guaranteed", "IP-species-dilution-info": "", "IP-species-notes": "", "WB-species-checked": "testedAndGuaranteed", "WB-species-dilution-info": "1/1000", "WB-species-notes": "<p></p>", "IHCP-species-checked": "testedAndGuaranteed", "IHCP-species-dilution-info": "1/4000", "IHCP-species-notes": "<p></p> Perform heat-mediated antigen retrieval with Tris/EDTA buffer pH 9.0 before commencing with IHC staining protocol." } } }

Product details

Patented technology
Our RabMAb® technology is a patented hybridoma-based technology for making rabbit monoclonal antibodies. For details on our patents, please refer to RabMAb® patents.

What are the advantages of a recombinant monoclonal antibody?
This product is a recombinant monoclonal antibody, which offers several advantages including:

  • - High batch-to-batch consistency and reproducibility
  • - Improved sensitivity and specificity
  • - Long-term security of supply
  • - Animal-free batch production

For more information, read more on recombinant antibodies.

Properties and storage information

Form
Liquid
Purification technique
Affinity purification Protein A
Storage buffer
pH: 7.2 - 7.4 Preservative: 0.01% Sodium azide Constituents: PBS, 40% Glycerol (glycerin, glycerine), 0.05% BSA
Shipped at conditions
Blue Ice
Appropriate short-term storage duration
1-2 weeks
Appropriate short-term storage conditions
+4°C
Appropriate long-term storage conditions
-20°C
Aliquoting information
Upon delivery aliquot
Storage information
Avoid freeze / thaw cycle

Supplementary information

This supplementary information is collated from multiple sources and compiled automatically.

The protein GSDMA also known as Gasdermin-A is a member of the gasdermin family. It has a molecular mass of approximately 47 kDa. GSDMA is expressed mainly in the epithelial tissues including the skin gastrointestinal tract and several internal organs. This expression pattern suggests its connection to protective barriers and cellular signaling processes. GSDMA shares functional characteristics with other gasdermin proteins such as the ability to form pores in membranes which can lead to cell death through pyroptosis.
Biological function summary

GSDMA influences processes related to cell death and inflammation. It acts as a pore-forming molecule in response to specific cellular stress signals. Although it is not typically part of larger protein complexes itself GSDMA works in concert with other cellular components to facilitate the regulated death of cells often in the context of immune responses. This protein plays an important role in controlling tissue homeostasis and preventing aberrant inflammatory reactions.

Pathways

GSDMA engages mainly in the pyroptosis and inflammatory pathways. It collaborates with proteins such as caspase-1 and components of the NLR (NOD-like receptor) family during these processes. The gasdermin-mediated cleavage events ensure that cells undergo programmed inflammatory cell death when necessary which highlights GSDMA's role in immune surveillance and pathogen clearance.

GSDMA is linked to certain inflammatory conditions and skin disorders. Variations in GSDMA expression or function have been associated with conditions like asthma and atopic dermatitis. Interactions with proteins involved in inflammation such as IL-18 may underline these connections. Understanding these linkages provides insight into potential therapeutic targets for treating such inflammatory disorders.

Product protocols

For this product, it's our understanding that no specific protocols are required. You can visit:

Target data

Gasdermin-A. This form constitutes the precursor of the pore-forming protein and acts as a sensor of infection : upon infection by S.pyogenes, specifically cleaved by S.pyogenes effector protein SpeB in epithelial cells, releasing the N-terminal moiety (Gasdermin-A, N-terminal) that binds to membranes and forms pores, triggering pyroptosis.. Gasdermin-A, N-terminal. Pore-forming protein that causes membrane permeabilization and pyroptosis (PubMed : 17471240, PubMed : 27281216, PubMed : 35110732, PubMed : 35545676). Released upon cleavage by S.pyogenes effector protein SpeB, and binds to membrane inner leaflet lipids (PubMed : 27281216, PubMed : 35110732, PubMed : 35545676). Homooligomerizes within the membrane and forms pores of 10-15 nanometers (nm) of inner diameter, triggering pyroptosis (PubMed : 27281216, PubMed : 35110732, PubMed : 35545676). Pyroptosis triggers the elimination of the infected skin cell, depriving the pathogen of its protective niche, while inducing an inflammatory response (PubMed : 35110732, PubMed : 35545676). This ultimately prevents bacterial penetration of the epithelial barrier and a subsequent systemic dissemination of the pathogen (PubMed : 35110732, PubMed : 35545676). Binds to cardiolipin and other acidic phospholipids, such as phosphatidylserine, which mediate its targeting to the inner leaflet membrane (PubMed : 27281216, PubMed : 35110732).
See full target information GSDMA

Publications (6)

Recent publications for all applications. Explore the full list and refine your search

Science progress 108:368504251343177 PubMed40390653

2025

αB-crystallin enhances radioresistance in basal-like breast cancer cells by suppressing caspase-3 activation.

Applications

Unspecified application

Species

Unspecified reactive species

Yan Yuan,Xubaihe Zhang,Ying Xu,Yangyang Ge,Anqing Wu

Cell death & disease 16:3 PubMed39762211

2025

Anti-PD-1 exacerbates bleomycin-induced lung injury in mice via Caspase-3/GSDME-mediated pyroptosis.

Applications

Unspecified application

Species

Unspecified reactive species

Fei Wang,Haiyi Deng,Maolin Zhou,Yilin Yang,Jiankui Zhou,Yansheng Wang,Xiaohong Xie,Xinqing Lin,Ming Liu,Gengyun Sun,Chengzhi Zhou

Journal for immunotherapy of cancer 12: PubMed39366751

2024

PARP inhibitors enhance antitumor immune responses by triggering pyroptosis via TNF-caspase 8-GSDMD/E axis in ovarian cancer.

Applications

Unspecified application

Species

Unspecified reactive species

Yu Xia,Pu Huang,Yi-Yu Qian,Zanhong Wang,Ning Jin,Xin Li,Wen Pan,Si-Yuan Wang,Ping Jin,Emmanuel Kwateng Drokow,Xiong Li,Qi Zhang,Zhengmao Zhang,Pingfei Li,Yong Fang,Xiang-Ping Yang,Zhiqiang Han,Qing-Lei Gao

Bioengineered 13:2398-2411 PubMed35034587

2022

CircularRNA circ_0071269 knockdown protects against from diabetic cardiomyopathy injury by microRNA-145/gasdermin A axis.

Applications

Unspecified application

Species

Unspecified reactive species

Lanfang Fu,Juyun Zhang,Zhu Lin,Yi Li,Guijun Qin

Frontiers in oncology 11:662444 PubMed34195074

2021

siRNAs Targeting Mouse-Specific lncRNA AA388235 Induce Human Tumor Cell Pyroptosis/Apoptosis.

Applications

Unspecified application

Species

Unspecified reactive species

Yan-Ru Chen,Wan-Ying Feng,Yuan-Xiong Cheng,Hao Zhu,Hong-Juan Liu,Yi Gao,Wei-Jie Zhou

eLife 9: PubMed32915138

2020

A single-cell atlas of the mouse and human prostate reveals heterogeneity and conservation of epithelial progenitors.

Applications

Unspecified application

Species

Unspecified reactive species

Laura Crowley,Francesco Cambuli,Luis Aparicio,Maho Shibata,Brian D Robinson,Shouhong Xuan,Weiping Li,Hanina Hibshoosh,Massimo Loda,Raul Rabadan,Michael M Shen
View all publications

Product promise

We are committed to supporting your work with high-quality reagents, and we're here for you every step of the way. In the unlikely event that one of our products does not perform as expected, you're protected by our Product Promise.
For full details, please see our Terms & Conditions

Please note: All products are 'FOR RESEARCH USE ONLY. NOT FOR USE IN DIAGNOSTIC OR THERAPEUTIC PROCEDURES'.

For licensing inquiries, please contact partnerships@abcam.com