JavaScript is disabled in your browser. Please enable JavaScript to view this website.
AB325491

Anti-GSDMB (C-term) antibody [EPR24636-120]

Be the first to review this product! Submit a review

|

(0 Publication)

Rabbit Recombinant Monoclonal GSDMB antibody. Suitable for WB and reacts with Transfected cell lysate - Human, Human samples.

View Alternative Names

GSDML, PP4052, PRO2521, GSDMB, Gasdermin-B, Gasdermin-like protein

3 Images
Western blot - Anti-GSDMB (C-term) antibody [EPR24636-120] (AB325491)
  • WB

Lab

Western blot - Anti-GSDMB (C-term) antibody [EPR24636-120] (AB325491)

Blocking and diluting buffer and concentration : 5% NFDM/TBST.

Low expression : 293T (PMID : 32299851).

The expression of GSDMB is upregulated in response to IFN gamma treatment (PMID : 32299851).

In Western blot, Anti-GAPDH antibody [EPR16891] - Loading Control (ab181602) (1 : 200000) (36KDa).

All lanes:

Western blot - Anti-GSDMB (C-term) antibody [EPR24636-120] (ab325491) at 1/1000 dilution

Lane 1:

A431 (human epidermoid carcinoma epithelial cell) whole cell lysate at 20 µg

Lane 2:

293T (human embryonic kidney epithelial cell) whole cell lysate at 20 µg

Lane 3:

Untreated HT-29 (human colorectal adenocarcinoma epithelial cell) whole cell lysate at 20 µg

Lane 4:

HT-29 treated with 10ng/ml IFN gamma for 48 hours, whole cell lysate at 20 µg

Secondary

All lanes:

Western blot - Goat Anti-Rabbit IgG H&L (HRP) (<a href='/en-us/products/secondary-antibodies/goat-rabbit-igg-h-l-hrp-ab97051'>ab97051</a>) at 1/100000 dilution

Observed band size: 45 kDa,36 kDa

false

Exposure time: 180s

Western blot - Anti-GSDMB (C-term) antibody [EPR24636-120] (AB325491)
  • WB

Lab

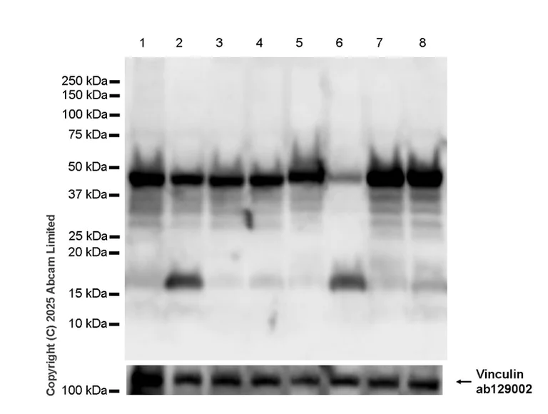
Western blot - Anti-GSDMB (C-term) antibody [EPR24636-120] (AB325491)

Blocking and diluting buffer and concentration : 5% NFDM/TBST.

The lysates were kindly provided by a collaborator.

In Western blot, Anti-Vinculin antibody [EPR8185] (ab129002) (1 : 10000) (124KDa).

All lanes:

Western blot - Anti-GSDMB (C-term) antibody [EPR24636-120] (ab325491) at 1/1000 dilution

Lane 1:

293T cells transfected with a human GSDMB full-length isoform1 expression vector, whole cell lysate at 20 µg

Lane 2:

293T cells transfected with a human GSDMB N+C isoform1 expression vector, whole cell lysate at 20 µg

Lane 3:

293T cells transfected with a human GSDMB full-length isoform2 expression vector, whole cell lysate at 20 µg

Lane 4:

293T cells transfected with a human GSDMB N+C isoform2 expression vector, whole cell lysate at 20 µg

Lane 5:

293T cells transfected with a human GSDMB full-length isoform3 expression vector, whole cell lysate at 20 µg

Lane 6:

293T cells transfected with a human GSDMB N+C isoform3 expression vector, whole cell lysate at 20 µg

Lane 7:

293T cells transfected with a human GSDMB full-length isoform4 expression vector, whole cell lysate at 20 µg

Lane 8:

293T cells transfected with a human GSDMB N+C isoform4 expression vector, whole cell lysate at 20 µg

Secondary

All lanes:

Western blot - Goat Anti-Rabbit IgG H&L (HRP) (<a href='/en-us/products/secondary-antibodies/goat-rabbit-igg-h-l-hrp-ab97051'>ab97051</a>) at 1/100000 dilution

Observed band size: 18 kDa,45 kDa,124 kDa

false

Exposure time: 6s

Western blot - Anti-GSDMB (C-term) antibody [EPR24636-120] (AB325491)
  • WB

Lab

Western blot - Anti-GSDMB (C-term) antibody [EPR24636-120] (AB325491)

Blocking and diluting buffer and concentration : 5% NFDM/TBST.

GZMA treatment can cleave human GSDMB into C-terminal fragment (PMID : 16517607).

The lysates were kindly provided by a collaborator.

In Western blot, Anti-GAPDH antibody [EPR16891] - Loading Control (ab181602) (1 : 200000) (36KDa).

All lanes:

Western blot - Anti-GSDMB (C-term) antibody [EPR24636-120] (ab325491) at 1/1000 dilution

Lane 1:

293T cells transfected with a human GSDMB iso-3 expression vector, whole cell lysate at 20 µg

Lane 2:

293T cells transfected with a human GSDMB iso-3 expression vector were treated with GZMA, whole cell lysate at 20 µg

Secondary

All lanes:

Western blot - Goat Anti-Rabbit IgG H&L (HRP) (<a href='/en-us/products/secondary-antibodies/goat-rabbit-igg-h-l-hrp-ab97051'>ab97051</a>) at 1/100000 dilution

Observed band size: 45 kDa,18 kDa,36 kDa

false

Exposure time: 180s

Key facts

Host species

Rabbit

Clonality

Monoclonal

Clone number

EPR24636-120

Isotype

IgG

Carrier free

No

Reacts with

Human

Applications

WB

applications

Immunogen

The exact immunogen used to generate this antibody is proprietary information.

Reactivity data

{ "title": "Reactivity Data", "filters": { "stats": ["", "Species", "Dilution Info", "Notes"], "tabs": { "all-applications": {"fullname" : "All Applications", "shortname": "All Applications"}, "WB" : {"fullname" : "Western blot", "shortname":"WB"} }, "product-promise": { "all": "all", "testedAndGuaranteed": "tested", "guaranteed": "expected", "predicted": "predicted", "notRecommended": "not-recommended" } }, "values": { "Human": { "WB-species-checked": "testedAndGuaranteed", "WB-species-dilution-info": "1/1000", "WB-species-notes": "<p></p>" }, "Transfected cell lysate - Human": { "WB-species-checked": "testedAndGuaranteed", "WB-species-dilution-info": "1/1000", "WB-species-notes": "<p></p>" } } }

Product details

Patented technology
Our RabMAb® technology is a patented hybridoma-based technology for making rabbit monoclonal antibodies. For details on our patents, please refer to RabMAb® patents.

What are the advantages of a recombinant monoclonal antibody?
This product is a recombinant monoclonal antibody, which offers several advantages including:

  • - High batch-to-batch consistency and reproducibility
  • - Improved sensitivity and specificity
  • - Long-term security of supply
  • - Animal-free batch production

For more information, read more on recombinant antibodies.

Properties and storage information

Form
Liquid
Purification technique
Affinity purification Protein A
Storage buffer
pH: 7.2 - 7.4 Preservative: 0.01% Sodium azide Constituents: PBS, 40% Glycerol (glycerin, glycerine), 0.05% BSA
Shipped at conditions
Blue Ice
Appropriate short-term storage duration
1-2 weeks
Appropriate short-term storage conditions
+4°C
Appropriate long-term storage conditions
-20°C
Aliquoting information
Upon delivery aliquot
Storage information
Avoid freeze / thaw cycle

Product protocols

For this product, it's our understanding that no specific protocols are required. You can visit:

Target data

Gasdermin-B. Precursor of a pore-forming protein that acts as a downstream mediator of granzyme-mediated cell death (PubMed : 32299851). This form constitutes the precursor of the pore-forming protein : upon cleavage, the released N-terminal moiety (Gasdermin-B, N-terminal) binds to membranes and forms pores, triggering pyroptosis (PubMed : 32299851). Also acts as a regulator of epithelial cell repair independently of programmed cell death : translocates to the plasma membrane and promotes epithelial maintenance and repair by regulating PTK2/FAK-mediated phosphorylation of PDGFA (PubMed : 35021065).. Gasdermin-B, N-terminal. Pore-forming protein produced by cleavage by granzyme A (GZMA), which causes membrane permeabilization and pyroptosis in target cells of cytotoxic T and natural killer (NK) cells (PubMed : 27281216, PubMed : 32299851). Key downstream mediator of granzyme-mediated cell death : (1) granzyme A (GZMA), delivered to target cells from cytotoxic T- and NK-cells, (2) specifically cleaves Gasdermin-B to generate this form (PubMed : 32299851). After cleavage, moves to the plasma membrane, homooligomerizes within the membrane and forms pores of 10-15 nanometers (nm) of inner diameter, triggering pyroptosis (PubMed : 32299851, PubMed : 36599845, PubMed : 36991122, PubMed : 36991125). The different isoforms recognize and bind different phospholipids on membranes, promoting cell death of different target cells (PubMed : 34022140, PubMed : 36157507, PubMed : 36991122, PubMed : 36991125).. Isoform 4. Precursor of a pore-forming protein that acts as a downstream mediator of granzyme-mediated cell death and mediates pyroptosis (PubMed : 28154144, PubMed : 36157507, PubMed : 36899106, PubMed : 36991122, PubMed : 36991125). Following cleavage and activation by granzyme A (GZMA), the N-terminal part binds to membrane inner leaflet lipids, homooligomerizes within the human plasma membrane and forms pores of 10-15 nanometers (nm) of inner diameter, triggering pyroptosis (PubMed : 28154144, PubMed : 36157507, PubMed : 36899106, PubMed : 36991122, PubMed : 36991125). Recognizes and binds membrane inner leaflet lipids of human cells, such as phosphatidylinositol 4-phosphate, phosphatidylinositol 5-phosphate, bisphosphorylated phosphatidylinositols, such as phosphatidylinositol (4,5)-bisphosphate, and more weakly to phosphatidic acid (PubMed : 28154144, PubMed : 36157507). Also binds sufatide, a component of the apical membrane of epithelial cells (PubMed : 28154144).. Isoform 6. Precursor of a pore-forming protein that acts as a downstream mediator of granzyme-mediated cell death and mediates pyroptosis of human cells (PubMed : 36899106, PubMed : 36991122, PubMed : 36991125). Following cleavage and activation by granzyme A (GZMA), the N-terminal part binds to membrane inner leaflet lipids, homooligomerizes within the human plasma membrane and forms pores of 10-15 nanometers (nm) of inner diameter, triggering pyroptosis (PubMed : 36899106, PubMed : 36991122, PubMed : 36991125).. Isoform 1. Precursor of a pore-forming protein that acts as a downstream mediator of granzyme-mediated cell death and specifically mediates cell death of Gram-negative bacteria in response to infection (PubMed : 34022140). Following cleavage and activation by granzyme A (GZMA), the N-terminal part recognizes and binds phospholipids found on Gram-negative bacterial membranes, such as lipid A and cariolipin, homooligomerizes within the bacterial membranes and forms pores, triggering pyroptosis followed by cell death (PubMed : 34022140). In contrast to isoform 4, does not bind to membrane inner leaflet lipids of host human cell, such as phosphatidylinositol 4-phosphate, phosphatidylinositol 5-phosphate, bisphosphorylated phosphatidylinositols, such as phosphatidylinositol (4,5)-bisphosphate (PubMed : 34022140).. Isoform 2. Not able to trigger pyroptosis.. Isoform 3. Not able to trigger pyroptosis.
See full target information GSDMB

Product promise

We are committed to supporting your work with high-quality reagents, and we're here for you every step of the way. In the unlikely event that one of our products does not perform as expected, you're protected by our Product Promise.
For full details, please see our Terms & Conditions

Please note: All products are 'FOR RESEARCH USE ONLY. NOT FOR USE IN DIAGNOSTIC OR THERAPEUTIC PROCEDURES'.

For licensing inquiries, please contact partnerships@abcam.com