JavaScript is disabled in your browser. Please enable JavaScript to view this website.
AB325524

Anti-GSDMC antibody [EPR24215-8]

Be the first to review this product! Submit a review

|

(0 Publication)

Rabbit Recombinant Monoclonal GSDMC antibody. Suitable for WB and reacts with Human samples.

View Alternative Names

MLZE, GSDMC, Gasdermin-C, Melanoma-derived leucine zipper-containing extranuclear factor

2 Images
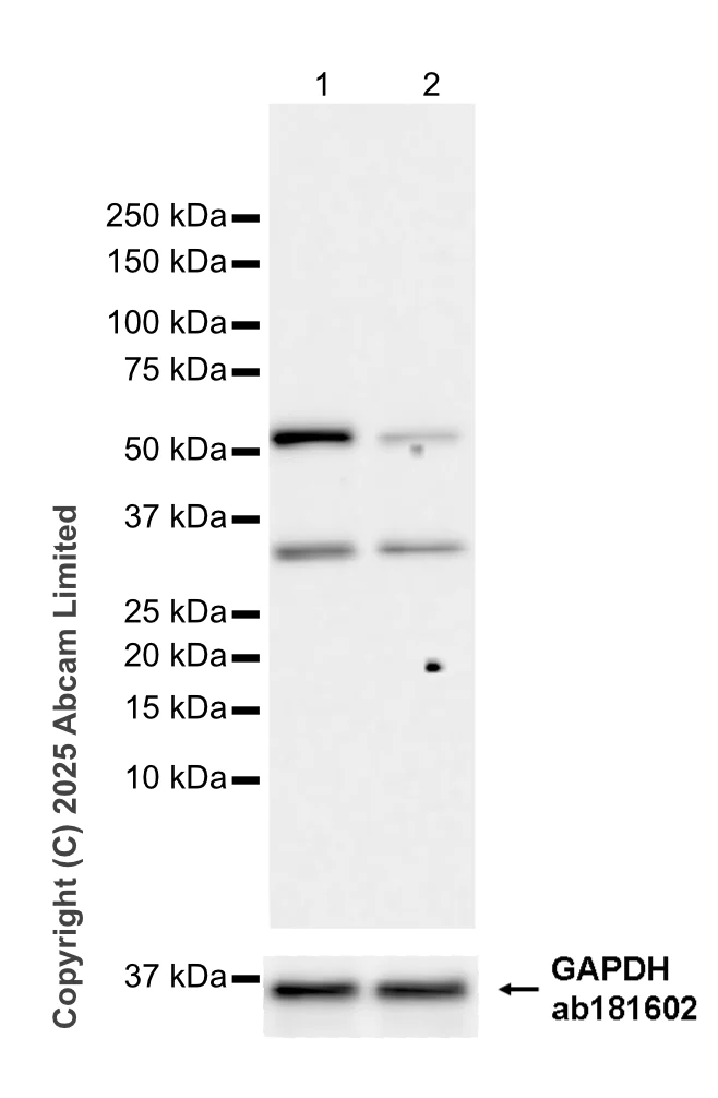
Western blot - Anti-GSDMC antibody [EPR24215-8] (AB325524)
  • WB

Lab

Western blot - Anti-GSDMC antibody [EPR24215-8] (AB325524)

Blocking and diluting buffer and concentration : 5% NFDM/TBST.

In Western blot, Anti-GAPDH antibody [EPR16891] - Loading Control (ab181602) (1 : 200000) (36KDa).

All lanes:

Western blot - Anti-GSDMC antibody [EPR24215-8] (ab325524) at 1/1000 dilution

Lane 1:

HCC1937 (human mammary gland epithelial cell) transfected with scrambled siRNA control whole cell lysate at 20 µg

Lane 2:

HCC1937 transfected with siRNA specifically targeting GSDMC whole cell lysate at 20 µg

Secondary

All lanes:

Western blot - Goat Anti-Rabbit IgG H&L (HRP) (<a href='/en-us/products/secondary-antibodies/goat-rabbit-igg-h-l-hrp-ab97051'>ab97051</a>) at 1/100000 dilution

Observed band size: 55 kDa,36 kDa

false

Exposure time: 81s

Western blot - Anti-GSDMC antibody [EPR24215-8] (AB325524)
  • WB

Lab

Western blot - Anti-GSDMC antibody [EPR24215-8] (AB325524)

Blocking and diluting buffer and concentration : 5% NFDM/TBST.

Low expression : A431, HaCaT

In Western blot, Anti-GAPDH antibody [EPR16891] - Loading Control (ab181602) (1 : 200000) (36KDa).

All lanes:

Western blot - Anti-GSDMC antibody [EPR24215-8] (ab325524) at 1/1000 dilution

Lane 1:

HCC1937 (human mammary gland epithelial cell) whole cell lysate at 20 µg

Lane 2:

BxPC-3 (human pancreas adenocarcinoma epithelial cell) whole cell lysate at 20 µg

Lane 3:

A431 (human epidermoid carcinoma epithelial cell) whole cell lysate at 20 µg

Lane 4:

HaCaT (human skin keratinocyte) whole cell lysate at 20 µg

Secondary

All lanes:

Western blot - Goat Anti-Rabbit IgG H&L (HRP) (<a href='/en-us/products/secondary-antibodies/goat-rabbit-igg-h-l-hrp-ab97051'>ab97051</a>) at 1/100000 dilution

Observed band size: 55 kDa,36 kDa

false

Exposure time: 180s

Key facts

Host species

Rabbit

Clonality

Monoclonal

Clone number

EPR24215-8

Isotype

IgG

Carrier free

No

Reacts with

Human

Applications

WB

applications

Immunogen

The exact immunogen used to generate this antibody is proprietary information.

Reactivity data

{ "title": "Reactivity Data", "filters": { "stats": ["", "Species", "Dilution Info", "Notes"], "tabs": { "all-applications": {"fullname" : "All Applications", "shortname": "All Applications"}, "WB" : {"fullname" : "Western blot", "shortname":"WB"}, "ICCIF" : {"fullname" : "Immunocytochemistry/ Immunofluorescence", "shortname":"ICC/IF"}, "IHCP" : {"fullname" : "Immunohistochemistry (Formalin/PFA-fixed paraffin-embedded sections)", "shortname":"IHC-P"} }, "product-promise": { "all": "all", "testedAndGuaranteed": "tested", "guaranteed": "expected", "predicted": "predicted", "notRecommended": "not-recommended" } }, "values": { "Human": { "WB-species-checked": "testedAndGuaranteed", "WB-species-dilution-info": "1/1000", "WB-species-notes": "<p></p>", "ICCIF-species-checked": "notRecommended", "ICCIF-species-dilution-info": "", "ICCIF-species-notes": "<p></p>", "IHCP-species-checked": "notRecommended", "IHCP-species-dilution-info": "", "IHCP-species-notes": "<p></p>" } } }

Product details

Patented technology
Our RabMAb® technology is a patented hybridoma-based technology for making rabbit monoclonal antibodies. For details on our patents, please refer to RabMAb® patents.

What are the advantages of a recombinant monoclonal antibody?
This product is a recombinant monoclonal antibody, which offers several advantages including:

  • - High batch-to-batch consistency and reproducibility
  • - Improved sensitivity and specificity
  • - Long-term security of supply
  • - Animal-free batch production

For more information, read more on recombinant antibodies.

Properties and storage information

Form
Liquid
Purification technique
Affinity purification Protein A
Storage buffer
pH: 7.2 - 7.4 Preservative: 0.01% Sodium azide Constituents: PBS, 40% Glycerol (glycerin, glycerine), 0.05% BSA
Shipped at conditions
Blue Ice
Appropriate short-term storage duration
1-2 weeks
Appropriate short-term storage conditions
+4°C
Appropriate long-term storage conditions
-20°C
Aliquoting information
Upon delivery aliquot
Storage information
Avoid freeze / thaw cycle

Product protocols

For this product, it's our understanding that no specific protocols are required. You can visit:

Target data

Gasdermin-C. This form constitutes the precursor of the pore-forming protein : upon cleavage, the released N-terminal moiety (Gasdermin-C, N-terminal) binds to membranes and forms pores, triggering pyroptosis.. Gasdermin-C, N-terminal. Pore-forming protein that causes membrane permeabilization and pyroptosis (PubMed : 27281216, PubMed : 32929201, PubMed : 34012073). Produced by the cleavage of gasdermin-C by caspase CASP8 in response to death signals (PubMed : 32929201, PubMed : 34012073). After cleavage, moves to the plasma membrane where it strongly binds to membrane inner leaflet lipids (PubMed : 32929201, PubMed : 34012073). Homooligomerizes within the membrane and forms pores of 10-15 nanometers (nm) of inner diameter, triggering pyroptosis (PubMed : 32929201, PubMed : 34012073).
See full target information GSDMC

Product promise

We are committed to supporting your work with high-quality reagents, and we're here for you every step of the way. In the unlikely event that one of our products does not perform as expected, you're protected by our Product Promise.
For full details, please see our Terms & Conditions

Please note: All products are 'FOR RESEARCH USE ONLY. NOT FOR USE IN DIAGNOSTIC OR THERAPEUTIC PROCEDURES'.

For licensing inquiries, please contact partnerships@abcam.com