JavaScript is disabled in your browser. Please enable JavaScript to view this website.
AB219800

Anti-GSDMD antibody [EPR20859]

  • BOND RX™ Validated
  • RabMAb
  • Recombinant
  • KO Validated
  • 20ul selling size
  • What is this?

5

(2 Reviews)

|

(308 Publications)

Anti-GSDMD antibody [EPR20859] (ab219800) is a rabbit monoclonal antibody detecting GSDMD in Western Blot, Flow Cytometry (Intra), IP, IHC-P, ICC/IF. Suitable for Mouse, Rat, Human.

- KO validated for confirmed specificity
- Biophysical QC for unrivalled batch-batch consistency
- Over 150 publications

View Alternative Names

Gsdmdc1, Gsdmd, Gasdermin-D, Gasdermin domain-containing protein 1

13 Images
Western blot - Anti-GSDMD antibody [EPR20859] (AB219800)
  • WB

Supplier Data

Western blot - Anti-GSDMD antibody [EPR20859] (AB219800)

Exposure time : Lanes 1 and 2 : 3 minutes; Lanes 3 and 4 : 48 seconds; Lanes 5 and 6 : 3 minutes.

Blocking/Dilution buffer : 5% NFDM/TBST.

Expression level of GSDMD in whole normal brain lysate is low or undetectable (PMID : 32671214, PMID : 34975487), we recommend loading higher amount of lysate or using lower antibody dilution.

All lanes:

Western blot - Anti-GSDMD antibody [EPR20859] (ab219800) at 1/1000 dilution

Lane 1:

C6 (rat glial tumor cell line) whole cell lysate at 10 µg

Lane 2:

PC-12 (rat adrenal gland pheochromocytoma cell line) whole cell lysate at 10 µg

Lane 3:

RAW 264.7 (mouse macrophage cell line transformed with Abelson murine leukemia virus) whole cell lysate at 10 µg

Lane 4:

NIH/3T3 (mouse embyro fibroblast cell line) whole cell lysate at 10 µg

Lane 5:

Rat liver lysate at 10 µg

Lane 6:

Rat brain lysate at 10 µg

Secondary

All lanes:

Western blot - Goat Anti-Rabbit IgG H&L (HRP) (<a href='/en-us/products/secondary-antibodies/goat-rabbit-igg-h-l-hrp-ab97051'>ab97051</a>) at 1/100000 dilution

Predicted band size: 53 kDa

Observed band size: 53 kDa

false

Flow Cytometry (Intracellular) - Anti-GSDMD antibody [EPR20859] (AB219800)
  • Flow Cyt (Intra)

Unknown

Flow Cytometry (Intracellular) - Anti-GSDMD antibody [EPR20859] (AB219800)

Flow cytometry overlay histogram showing Raw264.7 cells stained with ab219800 (red line). The cells were fixed with 80% Methanol and then permeabilised with 0.1% PBS-Triton X-100 for 15 min. The cells were incubated in 1x PBS containing 10μg/ml anti CD16/CD32 and 10% normal goat serum to block FC receptors and non-specific protein-protein interaction followed by the antibody (ab219800) (1x 106 in 100μl at 0.2μg/ml (1/2)) for 30min at 22°C.

The secondary antibody Goat Anti-Rabbit IgG H&L (Alexa Fluor® 488) preadsorbed was incubated at 1/4000 for 30min at 22°C.

Isotype control antibody (black line) was Recombinant Rabbit IgG, monoclonal [EPR25A] - Isotype Control used at the same concentration and conditions as the primary antibody. Unlabelled sample (blue line) was also used as a control.

Acquisition of >5000 events were collected using a 50 mW Blue laser (488nm) and 525/40 bandpass filter.

Immunocytochemistry/ Immunofluorescence - Anti-GSDMD antibody [EPR20859] (AB219800)
  • ICC/IF

Lab

Immunocytochemistry/ Immunofluorescence - Anti-GSDMD antibody [EPR20859] (AB219800)

Immunofluorescent analysis of 4% Paraformaldehyde-fixed, 0.1% TritonX-100 permeabilized RAW 264.7 (mouse Abelson murine leukemia virus-induced tumor macrophage) cells labelling GSDMD with ab219800 at 1/50 dilution, followed by Goat Anti-Rabbit IgG H&L (Alexa Fluor® 488) preadsorbed (ab150081] secondary antibody at 1/1000 dilution.

Confocal image showing cytoplasmic and nuclear staining in RAW 264.7 cell line (shown in green). The counterstain was observed in magenta. Nuclear DNA was labelled with DAPI (shown in blue). Image was taken with a confocal microscope (Leica-Microsystems, TCS SP8).

ab195889 Anti-alpha Tubulin mouse monoclonal antibody - Microtubule Marker (Alexa Fluor® 594) was used to counterstain tubulin at 1/200 (2.5 µg/ml) dilution (Magenta).

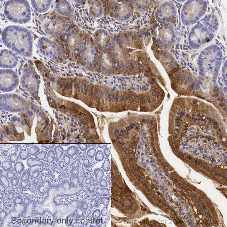
Immunohistochemistry (Formalin/PFA-fixed paraffin-embedded sections) - Anti-GSDMD antibody [EPR20859] (AB219800)
  • IHC-P

Lab

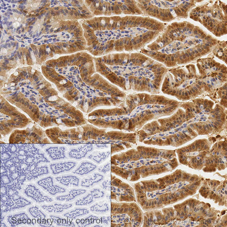
Immunohistochemistry (Formalin/PFA-fixed paraffin-embedded sections) - Anti-GSDMD antibody [EPR20859] (AB219800)

Immunohistochemical analysis of formalin fixed paraffin embedded mouse small intestine labelling GSDMD with ab219800 at a concentration of 0.1µ/ml. The immunostaining was performed on a Leica Biosystems BOND® RX instrument with a Bond™ Polymer Refine Detection kit. Heat mediated antigen retrieval was performed with Tris-EDTA buffer (pH 9.0, Epitope Retrieval Solution 2) for 20mins.

ab219800 anti-GSDMD antibody [EPR20859] was incubated for 15mins at room temperature. Sections were counterstained with Hematoxylin. Image inset shows absence of staining in secondary antibody only control.

Customers are encouraged to optimise antigen retrieval conditions, antibody concentration, incubation times and temperature for best results in their own IHC assay workflow (automated and manual)

Immunohistochemistry (Formalin/PFA-fixed paraffin-embedded sections) - Anti-GSDMD antibody [EPR20859] (AB219800)
  • IHC-P

Lab

Immunohistochemistry (Formalin/PFA-fixed paraffin-embedded sections) - Anti-GSDMD antibody [EPR20859] (AB219800)

Immunohistochemical analysis of formalin fixed paraffin embedded mouse small intestine labelling GSDMD with ab219800 at a concentration of 0.05µ/ml. The immunostaining was performed on a Ventana DISCOVERY ULTRA (Roche Tissue Diagnostics) instrument with a OptiView DAB IHC Detection Kit. Heat mediated antigen retrieval was performed with DISCOVERY cell conditioning solution (CC1) 100°C, pH8.5 for 32mins.

ab219800 anti-GSDMD antibody [EPR20859] was incubated for 16mins at 37°C. Sections were counterstained with Hematoxylin II. Image inset shows absence of staining in secondary antibody only control.

Customers are encouraged to optimise antigen retrieval conditions, antibody concentration, incubation times and temperature for best results in their own IHC assay workflow (automated and manual)

Immunohistochemistry (Formalin/PFA-fixed paraffin-embedded sections) - Anti-GSDMD antibody [EPR20859] (AB219800)
  • IHC-P

Lab

Immunohistochemistry (Formalin/PFA-fixed paraffin-embedded sections) - Anti-GSDMD antibody [EPR20859] (AB219800)

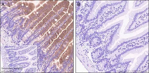
Immunohistochemical analysis of paraffin-embedded (A) Small intestine tissue from wild-type C57BL/6JGpt mice (B) Small intestine tissue from GSDMD knockout mice staining with ab219800 at 1/5000 dilution and ready-to-use Goat Anti-Rabbit IgG H&L (HRP) secondary. Counterstaining with hematoxylin. Heat mediated antigen retrieval was performed with Citrate buffer (pH 6.0, Epitope Retrieval Solution 1) for 20 mins. Positive staining on (A) Small intestine tissue from wild-type C57BL/6JGpt mice and no staining on (B) Small intestine tissue from GSDMD knockout mice. The section was incubated with ab219800 for 30 mins at room temperature. The immunostaining was performed on a Leica Biosystems BOND™ RX instrument. The tissue samples were kindly provided by GemPharmatech. C57BL/6JGpt wildtype mice and GSDMD-KO homozygous mice (Strain ID : T010437).

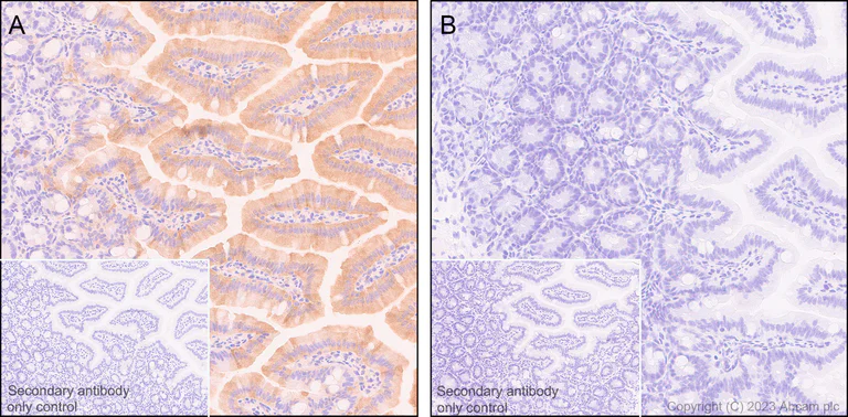
Immunohistochemistry (Formalin/PFA-fixed paraffin-embedded sections) - Anti-GSDMD antibody [EPR20859] (AB219800)
  • IHC-P

Supplier Data

Immunohistochemistry (Formalin/PFA-fixed paraffin-embedded sections) - Anti-GSDMD antibody [EPR20859] (AB219800)

Immunohistochemical analysis of paraffin-embedded Wild type mouse small intestine (A) and GSDMD KO mouse small intestine (B) tissue labeling GSDMD with ab219800 at 1/1000 dilution, followed by Goat Anti-Rabbit IgG H&L (HRP) Ready to use. Cytoplasmic staining on epithelium of wild type mouse small intestine (A), no staining on GSDMD KO mouse small intestine (B) (PMID : 17350798) is observed. Counter stained with hematoxylin.

Secondary antibody only control : Used PBS instead of primary antibody, secondary antibody is Goat Anti-Rabbit IgG H&L (HRP) Ready to use.

The tissue samples were kindly provided by our collaborator Dr. Feng Shao NIBS.

Heat mediated antigen retrieval with Tris/EDTA buffer pH 9.0 was performed before commencing with IHC staining protocol.

The tissue samples were kindly provided by Dr Feng Shao's lab, NIBS.

Immunohistochemistry (Formalin/PFA-fixed paraffin-embedded sections) - Anti-GSDMD antibody [EPR20859] (AB219800)
  • IHC-P

Supplier Data

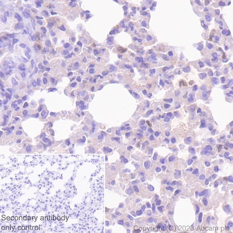
Immunohistochemistry (Formalin/PFA-fixed paraffin-embedded sections) - Anti-GSDMD antibody [EPR20859] (AB219800)

Immunohistochemical analysis of paraffin-embedded mouse lung tissue labelling GSDMD with ab219800 at 1/1000 (0.542 μg/ml) followed by ab214880 at a ready to use dilution. Low expression tissue : weak staining on mouse lung. The section was incubated with ab219800 at 4°C overnight. Counterstained with hematoxylin. Secondary antibody only control : Secondary antibody is ab214880 at a ready to use dilution. Heat mediated antigen retrieval was performed using ab93684 (Tris/EDTA buffer, pH 9.0).

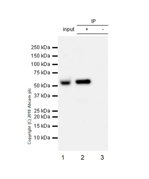
Immunoprecipitation - Anti-GSDMD antibody [EPR20859] (AB219800)
  • IP

Supplier Data

Immunoprecipitation - Anti-GSDMD antibody [EPR20859] (AB219800)

GSDMD was immunoprecipitated from 0.35 mg of RAW 264.7 (mouse macrophage cell line transformed with Abelson murine leukemia virus) whole cell lysate with ab219800 at 1/30 dilution. Western blot was performed from the immunoprecipitate using ab219800 at 1/500 dilution. VeriBlot for IP Detection Reagent (HRP) (ab131366), was used for detection at 1/1000 dilution.

Lane 1 : RAW 264.7 whole cell lysate 10 μg (Input).

Lane 2 : ab219800 IP in RAW 264.7 whole cell lysate.

Lane 3 : Rabbit monoclonal IgG (ab172730) instead of ab219800 in RAW 264.7 whole cell lysate.

Blocking and dilution buffer and concentration : 5% NFDM/TBST.

Exposure time : 10 seconds.

All lanes:

Immunoprecipitation - Anti-GSDMD antibody [EPR20859] (ab219800)

Predicted band size: 53 kDa

false

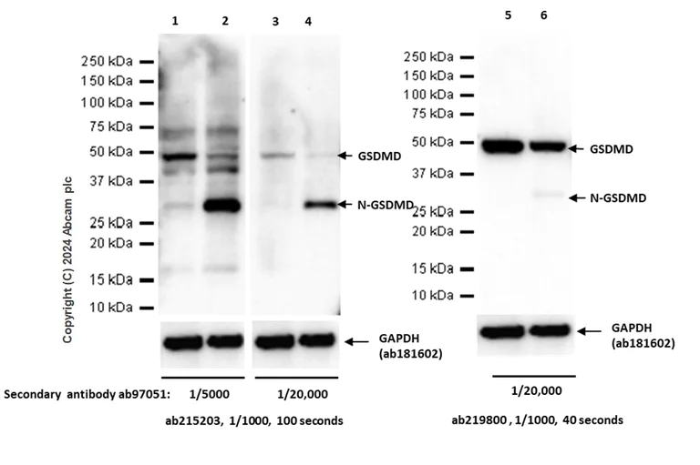
Western blot - Anti-GSDMD antibody [EPR20859] (AB219800)
  • WB

Lab

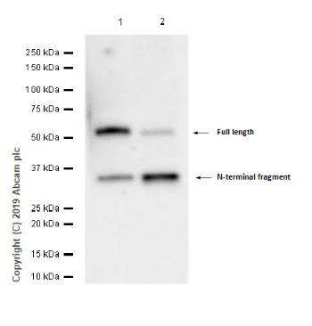
Western blot - Anti-GSDMD antibody [EPR20859] (AB219800)

ab215203 mainly recognizes N-terminal GSDMD and ab219800 mainly recognizes full length GSDMD.

Exposure time : Lanes 1-4 : 100 seconds, Lanes 5-6 : 40 seconds.

Lanes 1 - 4:

Western blot - Anti-cleaved N-terminal GSDMD antibody [EPR20829-408] (<a href='/en-us/products/primary-antibodies/cleaved-n-terminal-gsdmd-antibody-epr20829-408-ab215203'>ab215203</a>) at 1/1000 dilution

Lanes 5 - 6:

Western blot - Anti-GSDMD antibody [EPR20859] (ab219800) at 1/1000 dilution

Lanes 1, 3 and 5:

Untreated THP-1 (human epidermoid carcinoma cell line) whole cell lysate at 20 µg

Lanes 2, 4 and 6:

THP-1 (human epidermoid carcinoma cell line) treated with 50ng/ml TPA for 24 hours, then treated with 5ng/ml LPS for 3 hours and add 1&mu;g/ml BFA for another 3 h whole cell lysate at 20 µg

Secondary

Lanes 1, 2, 5 and 6:

Western blot - Goat Anti-Rabbit IgG H&L (HRP) (<a href='/en-us/products/secondary-antibodies/goat-rabbit-igg-h-l-hrp-ab97051'>ab97051</a>) at 1/20000 dilution

Lanes 3 - 4:

Western blot - Goat Anti-Rabbit IgG H&L (HRP) (<a href='/en-us/products/secondary-antibodies/goat-rabbit-igg-h-l-hrp-ab97051'>ab97051</a>) at 1/5000 dilution

Observed band size: 31 kDa

false

Western blot - Anti-GSDMD antibody [EPR20859] (AB219800)
  • WB

Supplier Data

Western blot - Anti-GSDMD antibody [EPR20859] (AB219800)

In Western blot, Anti-GSDMD antibody [EPR20859] (ab219800) 1 : 1,000 dilution (0.582 ug/ml) and Anti-GAPDH antibody [EPR16891] - Loading Control (ab181602) 1 : 1,000,000 dilution.

Blocking and diluting buffer and concentration : 5% NFDM/TBST.

All lanes:

Western blot - Anti-GSDMD antibody [EPR20859] (ab219800) at 1/1000 dilution

Lane 1:

HeLa (human cervix adenocarcinoma epithelial cell) whole cell lysate at 20 µg

Lane 2:

PC-3 (human prostate adenocarcinoma epithelial cell) whole cell lysate at 20 µg

Lane 3:

Jurkat (human T cell leukemia T lymphocyte) whole cell lysate at 20 µg

Secondary

All lanes:

Western blot - Goat Anti-Rabbit IgG H&L (HRP) (<a href='/en-us/products/secondary-antibodies/goat-rabbit-igg-h-l-hrp-ab97051'>ab97051</a>) at 1/20000 dilution

Predicted band size: 53 kDa

Observed band size: 53 kDa,37 kDa

false

Exposure time: 180s

Western blot - Anti-GSDMD antibody [EPR20859] (AB219800)
  • WB

Supplier Data

Western blot - Anti-GSDMD antibody [EPR20859] (AB219800)

Blocking and diluting buffer : 5% NFDM /TBST

This antibody could detect full length, as well as a N-terminal fragment after stimulation.

The lysates were kindly provided by Dr Feng Shao's lab, NIBS.

All lanes:

Western blot - Anti-GSDMD antibody [EPR20859] (ab219800) at 1/2000 dilution

Lane 1:

iBMM (mouse immortalized bone marrow derived macrophages) treated with 500ng/ml Bsak plus 500ng/ml anthrax protective antigen (PA) for 2h. Cell lysate

Lane 2:

iBMM (mouse immortalized bone marrow derived macrophages) treated with 500ng/ml Bsak plus 500ng/ml anthrax protective antigen (PA) for 2h. Concentrated cell supernatant

Secondary

All lanes:

Western blot - Goat Anti-Rabbit IgG H&L (HRP) (<a href='/en-us/products/secondary-antibodies/goat-rabbit-igg-h-l-hrp-ab97051'>ab97051</a>) at 1/20000 dilution

Predicted band size: 53 kDa,31 kDa

Observed band size: 31 kDa,53 kDa

false

Western blot - Anti-GSDMD antibody [EPR20859] (AB219800)
  • WB

Supplier Data

Western blot - Anti-GSDMD antibody [EPR20859] (AB219800)

Exposure time : Lanes 1 and 2 : 15 seconds; Lanes 3 and 4 : 37 seconds.

Blocking/Dilution buffer : 5% NFDM/TBST.

The antibody has strong reactivity with GSDMD with a few weak bands of undermined proteins.

The lysates were kindly provided by our collaborator Dr Feng Shao's lab, NIBS.

All lanes:

Western blot - Anti-GSDMD antibody [EPR20859] (ab219800) at 1/1000 dilution

Lane 1:

Wild-type mouse liver whole cell lysate at 20 µg

Lane 2:

GSDMD knockout mouse liver whole cell lysate at 20 µg

Lane 3:

Wild-type mouse lung whole cell lysate at 20 µg

Lane 4:

GSDMD knockout mouse lung whole cell lysate at 20 µg

Secondary

All lanes:

Western blot - Goat Anti-Rabbit IgG H&L (HRP) (<a href='/en-us/products/secondary-antibodies/goat-rabbit-igg-h-l-hrp-ab97051'>ab97051</a>) at 1/100000 dilution

Predicted band size: 53 kDa

Observed band size: 53 kDa

false

  • Carrier free

    Anti-GSDMD antibody [EPR20859] - BSA and Azide free

  • 578 PE

    PE Anti-GSDMD antibody [EPR20859]

  • 519 Alexa Fluor® 488

    Alexa Fluor® 488 Anti-GSDMD antibody [EPR20859]

  • 665 Alexa Fluor® 647

    Alexa Fluor® 647 Anti-GSDMD antibody [EPR20859]

  • 519 FITC

    FITC Anti-GSDMD antibody [EPR20859]

Key facts

Host species

Rabbit

Clonality

Monoclonal

Clone number

EPR20859

Isotype

IgG

Carrier free

No

Reacts with

Mouse, Rat, Human

Applications

IP, WB, IHC-P, Flow Cyt (Intra), ICC/IF

applications

Immunogen

The exact immunogen used to generate this antibody is proprietary information.

Specificity

This antibody can detect full length, as well as a N-terminal fragment after stimulation in WB.

Expression level of GSDMD in whole normal brain lysate is low or undetectable (PMID: 32671214, PMID: 34975487), we recommend loading higher amount of lysate or using lower antibody dilution.

Please see documentation for further information on positive controls (Chinese version)

Reactivity data

{ "title": "Reactivity Data", "filters": { "stats": ["", "Species", "Dilution Info", "Notes"], "tabs": { "all-applications": {"fullname" : "All Applications", "shortname": "All Applications"}, "IP" : {"fullname" : "Immunoprecipitation", "shortname":"IP"}, "WB" : {"fullname" : "Western blot", "shortname":"WB"}, "FlowCytIntra" : {"fullname" : "Flow Cytometry (Intracellular)", "shortname":"Flow Cyt (Intra)"}, "IHCP" : {"fullname" : "Immunohistochemistry (Formalin/PFA-fixed paraffin-embedded sections)", "shortname":"IHC-P"}, "ICCIF" : {"fullname" : "Immunocytochemistry/ Immunofluorescence", "shortname":"ICC/IF"} }, "product-promise": { "all": "all", "testedAndGuaranteed": "tested", "guaranteed": "expected", "predicted": "predicted", "notRecommended": "not-recommended" } }, "values": { "Human": { "IP-species-checked": "guaranteed", "IP-species-dilution-info": "", "IP-species-notes": "", "WB-species-checked": "testedAndGuaranteed", "WB-species-dilution-info": "1/1000", "WB-species-notes": "<p>This antibody is only suitable to detect GSDMD in human cell lines. Not suitable for testing human tissues in WB.</p>", "FlowCytIntra-species-checked": "guaranteed", "FlowCytIntra-species-dilution-info": "", "FlowCytIntra-species-notes": "", "IHCP-species-checked": "notRecommended", "IHCP-species-dilution-info": "", "IHCP-species-notes": "<p></p>", "ICCIF-species-checked": "guaranteed", "ICCIF-species-dilution-info": "", "ICCIF-species-notes": "" }, "Mouse": { "IP-species-checked": "testedAndGuaranteed", "IP-species-dilution-info": "1/30", "IP-species-notes": "<p></p>", "WB-species-checked": "testedAndGuaranteed", "WB-species-dilution-info": "1/1999", "WB-species-notes": "<p></p>", "FlowCytIntra-species-checked": "testedAndGuaranteed", "FlowCytIntra-species-dilution-info": "1/500", "FlowCytIntra-species-notes": "<p></p>", "IHCP-species-checked": "testedAndGuaranteed", "IHCP-species-dilution-info": "1/1000", "IHCP-species-notes": "<p></p> Perform heat-mediated antigen retrieval with Tris/EDTA buffer pH 9.0 before commencing with IHC staining protocol.", "ICCIF-species-checked": "testedAndGuaranteed", "ICCIF-species-dilution-info": "1/50", "ICCIF-species-notes": "<p></p>" }, "Rat": { "IP-species-checked": "guaranteed", "IP-species-dilution-info": "", "IP-species-notes": "", "WB-species-checked": "testedAndGuaranteed", "WB-species-dilution-info": "1/1000", "WB-species-notes": "<p></p>", "FlowCytIntra-species-checked": "guaranteed", "FlowCytIntra-species-dilution-info": "", "FlowCytIntra-species-notes": "", "IHCP-species-checked": "notRecommended", "IHCP-species-dilution-info": "", "IHCP-species-notes": "<p></p>", "ICCIF-species-checked": "guaranteed", "ICCIF-species-dilution-info": "", "ICCIF-species-notes": "" } } }

Product details

Anti-GSDMD antibody [EPR20859] (ab219800) was developed by Abcam using patented rabbit monoclonal antibody technology and is validated for use in Flow Cyt (Intra), IHC-P, IP and WB.

Anti-GSDMD antibody [EPR20859] (ab219800) was first used in a scientific publication in 2019 and has been cited over 152 times in peer reviewed journals. It's performance in Western Blot in mouse and rat samples is trusted by the scientific community.

Abcam's high quality manufacturing and validation processes ensure Anti-GSDMD antibody [EPR20859] (ab219800) has high sensitivity and specificity alongside high lot-to-lot consistency and reproducibility.

The specificity of Anti-GSDMD antibody [EPR20859] (ab219800) has been confirmed by Western Blot testing in GSDMD knockout Mouse liver and mouse lung whole cell lysates cells.

Anti-GSDMD antibody [EPR20859] (ab219800) specifically detects GSDMD (UniProt ID: Q9D8T2; Molecular weight: 54kDa) and is sold in 100 µL and 1 mL selling sizes.

Conjugation-ready, carrier free format available for antibody clone EPR20859 - ab239377.

Antibody clone EPR20859 is also available pre-conjugated to a variety of labels for your convenience - Alexa Fluor® 488, PE, Alexa Fluor® 647, FITC (ab246711, ab246713, ab319081, ab322296).

Gasdermin D (GSDMD) is crucial in inflammasomes for executing pyroptosis and releasing pro-inflammatory cytokines. GSDMD is implicated in autoimmune diseases like IBD.

Patented technology
Our RabMAb® technology is a patented hybridoma-based technology for making rabbit monoclonal antibodies. For details on our patents, please refer to RabMAb® patents.

What are the advantages of a recombinant monoclonal antibody?
This product is a recombinant monoclonal antibody, which offers several advantages including:

  • - High batch-to-batch consistency and reproducibility
  • - Improved sensitivity and specificity
  • - Long-term security of supply
  • - Animal-free batch production

For more information, read more on recombinant antibodies.

Properties and storage information

Form
Liquid
Purification technique
Affinity purification Protein A
Storage buffer
pH: 7.2 - 7.4 Preservative: 0.01% Sodium azide Constituents: PBS, 40% Glycerol (glycerin, glycerine), 0.05% BSA
Shipped at conditions
Blue Ice
Appropriate short-term storage duration
1-2 weeks
Appropriate short-term storage conditions
+4°C
Appropriate long-term storage conditions
-20°C
Aliquoting information
Upon delivery aliquot
Storage information
Avoid freeze / thaw cycle

Supplementary information

This supplementary information is collated from multiple sources and compiled automatically.

GSDMD also known as gasdermin D is a protein known for its role in pyroptosis a form of programmed cell death. Its molecular weight is approximately 53 kDa. Mechanically GSDMD operates by forming pores in cell membranes. These pores disrupt cellular homeostasis and eventually lead to cell lysis. GSDMD is mainly expressed in immune cells including macrophages and neutrophils. Researchers frequently use GSDMD Western blot and GSDMD ELISA for its detection and quantification in various studies.
Biological function summary

Gasdermin D functions in the execution of immune responses against infections. It acts as an effector molecule that participates directly in pyroptosis by disrupting mitochondrial membranes. GSDMD operates as part of a larger inflammasome complex initiated by inflammatory signals. The inflammasome activates inflammatory caspases that cleave GSDMD enabling its active form to execute pyroptosis. This process releases cytokines like IL-1β enhancing the inflammatory response.

Pathways

GSDMD is important in the pyroptosis pathway initiated by the inflammasome. This process involves Caspase-1 a protease responsible for cleaving pro-inflammatory cytokines and initiating pyroptosis. Another significant pathway includes NLRP3 inflammasome which acts upstream to activate Caspase-1 and subsequently GSDMD establishing the overall inflammatory response in the innate immune system. Through these pathways GSDMD interacts closely with proteins like IL-18 an essential inflammatory mediator.

Gasdermin D has links to inflammatory diseases such as rheumatoid arthritis and sepsis. In rheumatoid arthritis the excessive activation of GSDMD leads to chronic joint inflammation mediated by activated immune cells. In sepsis over-activation of the pyroptosis pathway may cause severe systemic inflammation driven by GSDMD activity exacerbating cytokine release. Connections exist between GSDMD and other proteins such as Caspase-11 which can also initiate GSDMD cleavage independently and has roles in non-canonical inflammasome pathways influencing these conditions.

Product protocols

For this product, it's our understanding that no specific protocols are required. You can visit:

Target data

Gasdermin-D. Precursor of a pore-forming protein that plays a key role in host defense against pathogen infection and danger signals (PubMed : 26375003, PubMed : 26375259, PubMed : 26611636, PubMed : 27383986, PubMed : 27385778, PubMed : 27418190). This form constitutes the precursor of the pore-forming protein : upon cleavage, the released N-terminal moiety (Gasdermin-D, N-terminal) binds to membranes and forms pores, triggering pyroptosis (PubMed : 26375003, PubMed : 26375259, PubMed : 26611636, PubMed : 27383986, PubMed : 27385778, PubMed : 27418190).. Gasdermin-D, N-terminal. Promotes pyroptosis in response to microbial infection and danger signals (PubMed : 26375003, PubMed : 26375259, PubMed : 26611636, PubMed : 27383986, PubMed : 27385778, PubMed : 27418190, PubMed : 32820063, PubMed : 34289345, PubMed : 35705808, PubMed : 37988464, PubMed : 38530158, PubMed : 38538834, PubMed : 38632402). Produced by the cleavage of gasdermin-D by inflammatory caspases CASP1 or CASP4/CASP11 in response to canonical, as well as non-canonical (such as cytosolic LPS) inflammasome activators (PubMed : 26375003, PubMed : 26375259, PubMed : 26611636, PubMed : 27383986, PubMed : 27385778, PubMed : 27418190, PubMed : 35705808, PubMed : 38632402). After cleavage, moves to the plasma membrane where it strongly binds to inner leaflet lipids, including monophosphorylated phosphatidylinositols, such as phosphatidylinositol 4-phosphate, bisphosphorylated phosphatidylinositols, such as phosphatidylinositol (4,5)-bisphosphate, as well as phosphatidylinositol (3,4,5)-bisphosphate, and more weakly to phosphatidic acid and phosphatidylserine (PubMed : 27339137, PubMed : 27383986). Homooligomerizes within the membrane and forms pores of 10-15 nanometers (nm) of inner diameter, allowing the release of mature interleukin-1 (IL1B and IL18) and triggering pyroptosis (PubMed : 27383986, PubMed : 29195811, PubMed : 29274245, PubMed : 33883744, PubMed : 38530158, PubMed : 38538834). Gasdermin pores also allow the release of mature caspase-7 (CASP7) (PubMed : 35705808). In some, but not all, cells types, pyroptosis is followed by pyroptotic cell death, which is caused by downstream activation of ninjurin-1 (NINJ1), which mediates membrane rupture (cytolysis) (PubMed : 38632402). Also forms pores in the mitochondrial membrane, resulting in release of mitochondrial DNA (mtDNA) into the cytosol (PubMed : 37001519). Gasdermin-D, N-terminal released from pyroptotic cells into the extracellular milieu rapidly binds to and kills both Gram-negative and Gram-positive bacteria, without harming neighboring mammalian cells, as it does not disrupt the plasma membrane from the outside due to lipid-binding specificity (PubMed : 27383986). Under cell culture conditions, also active against intracellular bacteria, such as Listeria monocytogenes (PubMed : 27383986). Also active in response to MAP3K7/TAK1 inactivation by Yersinia toxin YopJ, which triggers cleavage by CASP8 and subsequent activation (PubMed : 30361383, PubMed : 30381458). Required for mucosal tissue defense against enteric pathogens (PubMed : 37988464). Activation of the non-canonical inflammasome in brain endothelial cells can lead to excessive pyroptosis, leading to blood-brain barrier breakdown (PubMed : 38632402). Strongly binds to bacterial and mitochondrial lipids, including cardiolipin. Does not bind to unphosphorylated phosphatidylinositol, phosphatidylethanolamine nor phosphatidylcholine (PubMed : 27383986).. Gasdermin-D, p13. Transcription coactivator produced by the cleavage by CASP3 or CASP7 in the upper small intestine in response to dietary antigens (PubMed : 37327784). Required to maintain food tolerance in small intestine : translocates to the nucleus and acts as a coactivator for STAT1 to induce the transcription of CIITA and MHC class II molecules, which in turn induce type 1 regulatory T (Tr1) cells in upper small intestine (PubMed : 37327784).. Gasdermin-D, p40. Produced by the cleavage by papain allergen (PubMed : 35794369). After cleavage, moves to the plasma membrane and homooligomerizes within the membrane and forms pores of 10-15 nanometers (nm) of inner diameter, allowing the specific release of mature interleukin-33 (IL33), promoting type 2 inflammatory immune response (PubMed : 35749514, PubMed : 35794369).
See full target information Gsdmd

Publications (308)

Recent publications for all applications. Explore the full list and refine your search

Stem cell research & therapy 16:507 PubMed41013769

2025

E2 pretreatment alleviates aggregation of intravenously injected mesenchymal stem cells in TBI by regulating BRG1 to affect adhesion.

Applications

Unspecified application

Species

Unspecified reactive species

Wangan Li,Xiangyu Wang,Zhiming Feng,Shiting Hua,Xiaoxiong Zou,Zelin Lai,Yingqian Cai,Yuxi Zou,Yanping Tang,Cai Lin,Guobiao Luo,Xiaolin Cai,Xiaodan Jiang

Inflammopharmacology 33:6089-6098 PubMed40987978

2025

Dexketoprofen enhances NLRP3 activation via ATPase activity after canonical stimuli.

Applications

Unspecified application

Species

Unspecified reactive species

Daniel Boy-Ruiz,Juan Miguel Suarez-Rivero,Inés Muela-Zarzuela,Mario D Cordero

Journal of molecular histology 56:302 PubMed40921925

2025

Tongxinluo alleviates myocardial ischemia-reperfusion injury by inhibiting the pyroptosis of endothelial cells via the NLRP3/Caspase-1/GSDMD signaling pathway.

Applications

Unspecified application

Species

Unspecified reactive species

Xuan Wu,Yun-Long Hou,Tong-Xing Wang,Li-Ping Chang,Hong-Ru Zhou,Ming-Ye Wang,Yi-Ling Wu

Nature communications 16:8127 PubMed40885754

2025

Pyroptosis-responsive microspheres modulate the inflammatory microenvironment to retard osteoporosis in female mice.

Applications

Unspecified application

Species

Unspecified reactive species

Shunyi Lu,Jie Cao,Zhuorun Song,Fei Gong,Peng Yang,Jun Ge,Yunfei He,Zhihui Han,Guanghui Hou,Zimin Zhang,Yuqi Yang,Yun Teng,Zengli Zhang,Jun Zou,Liang Cheng,Huilin Yang

Frontiers in pharmacology 16:1575106 PubMed40860880

2025

Hydrogen gas (H) delivered by intraperitoneal injection alleviated methionine- and choline-deficient diet-induced metabolic dysfunction-associated steatotic liver disease in mice via inhibiting GSDMD- and GSDME-mediated pyroptosis.

Applications

Unspecified application

Species

Unspecified reactive species

Yun Chen,Kangrong Wang,Wenhai Guo,Chengqin Lu,Wenting Suo,Qiuling Li,Yao Deng,Xinling Chen,Min Dai,Xiaodong Zhang,Jiean Xu,Wen Su,Shuangling Yang,Hongzhi Yang,Fuman Yan,Haimei Liu,Yaxing Zhang

Journal of inflammation research 18:10425-10443 PubMed40787259

2025

Qingwen Hufei Granules Attenuate Lipopolysaccharide-Induced Acute Lung Injury by Suppressing NLRP3 Inflammasome-Dependent Pyroptosis.

Applications

Unspecified application

Species

Unspecified reactive species

Kaihua Long,Yun Yang,Yuan Wang,Bo Wang,Huiying Zhou,Yuxi Liu,Ye Li,Shuanzhu Yang,Liping Cao,Tingting Huang,Yang Liu,Hong Zhang

FASEB journal : official publication of the Federation of American Societies for Experimental Biology 39:e70881 PubMed40716081

2025

TREM2-Mediated Myeloid Cells Protect Against Pathological Choroidal Neovascularization.

Applications

Unspecified application

Species

Unspecified reactive species

Tianxi Wang,Manon Szczepan,Austin T Gregg,Xingyan Wang,Lois E H Smith,Ye Sun

Journal of inflammation research 18:9307-9320 PubMed40692545

2025

Subchronic Chlorpyrifos Exposure Induces Thyroid Follicular Cell Pyroptosis to Exacerbate Thyroid Toxicity by Modulating Nrf2/Keap1/NF-κB Pathway in Male Mice.

Applications

Unspecified application

Species

Unspecified reactive species

Bingyan Gu,Yuying Chen,Huifang Xu,Kunyu Zhan,Keying Zhu,Huan Luo,Yanqun Huang,Hanbing Zeng,Wenbiao Zheng,Kun Tian,Hongfeng Ruan

iScience 28:112395 PubMed40641560

2025

Pyroptosis of periodontal ligament stem cells aggravates periodontitis via Piezo1 channel.

Applications

Unspecified application

Species

Unspecified reactive species

Peng Chen,Duo Liu,Yi-Kun Zhou,Jiu-Hui Jiang,Rui-Li Yang

European journal of medical research 30:586 PubMed40624560

2025

Vagus nerve stimulation: a promising strategy to combat pyroptosis and inflammation in traumatic brain injury through the OX-A/NLRP3/caspase-1/GSDMD signaling pathway.

Applications

Unspecified application

Species

Unspecified reactive species

Junwei Kang,Binkai Ren,Jia Wang,Yunliang Tang,Xiaoyang Dong
View all publications
websiteProtocolBooklet
zh

Product promise

We are committed to supporting your work with high-quality reagents, and we're here for you every step of the way. In the unlikely event that one of our products does not perform as expected, you're protected by our Product Promise.
For full details, please see our Terms & Conditions

Please note: All products are 'FOR RESEARCH USE ONLY. NOT FOR USE IN DIAGNOSTIC OR THERAPEUTIC PROCEDURES'.

For licensing inquiries, please contact partnerships@abcam.com