JavaScript is disabled in your browser. Please enable JavaScript to view this website.
AB239377

Anti-GSDMD antibody [EPR20859] - BSA and Azide free

  • BOND RX™ Validated
  • RabMAb
  • Recombinant
  • KO Validated
  • What is this?

Be the first to review this product! Submit a review

|

(3 Publications)

Rabbit Recombinant Monoclonal GSDMD antibody. Carrier free. Suitable for IP, WB, Flow Cyt (Intra), IHC-P, ICC/IF and reacts with Mouse, Rat, Human samples. Cited in 3 publications.

View Alternative Names

Gsdmdc1, Gsdmd, Gasdermin-D, Gasdermin domain-containing protein 1

10 Images
Flow Cytometry (Intracellular) - Anti-GSDMD antibody [EPR20859] - BSA and Azide free (AB239377)
  • Flow Cyt (Intra)

Unknown

Flow Cytometry (Intracellular) - Anti-GSDMD antibody [EPR20859] - BSA and Azide free (AB239377)

Flow cytometry overlay histogram showing Raw264.7 cells stained with ab219800 (red line). The cells were fixed with 80% Methanol and then permeabilised with 0.1% PBS-Triton X-100 for 15 min. The cells were incubated in 1x PBS containing 10μg/ml anti CD16/CD32 and 10% normal goat serum to block FC receptors and non-specific protein-protein interaction followed by the antibody (ab219800) (1x 106 in 100μl at 0.2μg/ml (1/2)) for 30min at 22°C.

The secondary antibody Goat Anti-Rabbit IgG H&L (Alexa Fluor® 488) preadsorbed was incubated at 1/4000 for 30min at 22°C.

Isotype control antibody (black line) was Recombinant Rabbit IgG, monoclonal [EPR25A] - Isotype Control used at the same concentration and conditions as the primary antibody. Unlabelled sample (blue line) was also used as a control.

Acquisition of >5000 events were collected using a 50 mW Blue laser (488nm) and 525/40 bandpass filter.

Immunocytochemistry/ Immunofluorescence - Anti-GSDMD antibody [EPR20859] - BSA and Azide free (AB239377)
  • ICC/IF

Lab

Immunocytochemistry/ Immunofluorescence - Anti-GSDMD antibody [EPR20859] - BSA and Azide free (AB239377)

This data was developed using ab219800, the same antibody clone in a different buffer formulation.

Immunofluorescent analysis of 4% Paraformaldehyde-fixed, 0.1% TritonX-100 permeabilized RAW 264.7 (mouse Abelson murine leukemia virus-induced tumor macrophage) cells labelling GSDMD with ab219800 at 1/50 dilution, followed by Goat Anti-Rabbit IgG H&L (Alexa Fluor® 488) preadsorbed (ab150081] secondary antibody at 1/1000 dilution.

Confocal image showing cytoplasmic and nuclear staining in RAW 264.7 cell line (shown in green). The counterstain was observed in magenta. Nuclear DNA was labelled with DAPI (shown in blue). Image was taken with a confocal microscope (Leica-Microsystems, TCS SP8).

ab195889 Anti-alpha Tubulin mouse monoclonal antibody - Microtubule Marker (Alexa Fluor® 594) was used to counterstain tubulin at 1/200 (2.5 µg/ml) dilution (Magenta).

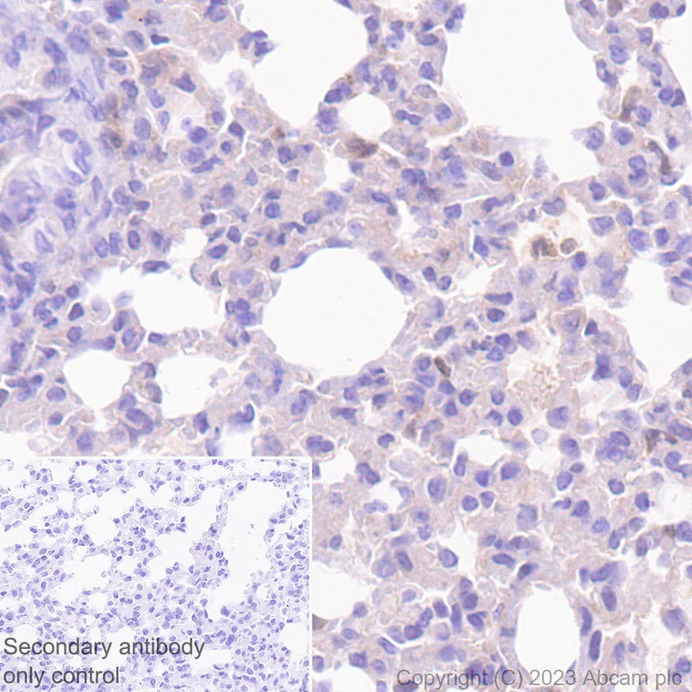
Immunohistochemistry (Formalin/PFA-fixed paraffin-embedded sections) - Anti-GSDMD antibody [EPR20859] - BSA and Azide free (AB239377)
  • IHC-P

Supplier Data

Immunohistochemistry (Formalin/PFA-fixed paraffin-embedded sections) - Anti-GSDMD antibody [EPR20859] - BSA and Azide free (AB239377)

Immunohistochemical analysis of paraffin-embedded mouse lung tissue labelling GSDMD with ab219800 at 1/1000 (0.542 μg/ml) followed by ab214880 at a ready to use dilution. Low expression tissue : weak staining on mouse lung. The section was incubated with ab219800 at 4°C overnight. Counterstained with hematoxylin. Secondary antibody only control : Secondary antibody is ab214880 at a ready to use dilution. Heat mediated antigen retrieval was performed using ab93684 (Tris/EDTA buffer, pH 9.0). This data was developed using the same antibody clone in a different buffer formulation containing PBS, BSA, glycerol, and sodium azide (ab219800).

Western blot - Anti-GSDMD antibody [EPR20859] - BSA and Azide free (AB239377)
  • WB

Lab

Western blot - Anti-GSDMD antibody [EPR20859] - BSA and Azide free (AB239377)

This data was developed using the same antibody clone in a different buffer formulation containing PBS, BSA, glycerol, and sodium azide (ab219800).

ab215203 mainly recognizes N-terminal GSDMD and ab219800 mainly recognizes full length GSDMD.

Exposure time : Lanes 1-4 : 100 seconds, Lanes 5-6 : 40 seconds.

Lanes 1 - 4:

Western blot - Anti-cleaved N-terminal GSDMD antibody [EPR20829-408] (<a href='/en-us/products/primary-antibodies/cleaved-n-terminal-gsdmd-antibody-epr20829-408-ab215203'>ab215203</a>) at 1/1000 dilution

Lanes 5 - 6:

Western blot - Anti-GSDMD antibody [EPR20859] (<a href='/en-us/products/primary-antibodies/gsdmd-antibody-epr20859-ab219800'>ab219800</a>) at 1/1000 dilution

Lanes 1, 3 and 5:

Untreated THP-1 (human epidermoid carcinoma cell line) whole cell lysate at 20 µg

Lanes 2, 4 and 6:

THP-1 (human epidermoid carcinoma cell line) treated with 50ng/ml TPA for 24 hours, then treated with 5ng/ml LPS for 3 hours and add 1&mu;g/ml BFA for another 3 h whole cell lysate at 20 µg

Secondary

Lanes 1, 2, 5 and 6:

Western blot - Goat Anti-Rabbit IgG H&L (HRP) (<a href='/en-us/products/secondary-antibodies/goat-rabbit-igg-h-l-hrp-ab97051'>ab97051</a>) at 1/20000 dilution

Lanes 3 - 4:

Western blot - Goat Anti-Rabbit IgG H&L (HRP) (<a href='/en-us/products/secondary-antibodies/goat-rabbit-igg-h-l-hrp-ab97051'>ab97051</a>) at 1/5000 dilution

Observed band size: 31 kDa

false

Western blot - Anti-GSDMD antibody [EPR20859] - BSA and Azide free (AB239377)
  • WB

Supplier Data

Western blot - Anti-GSDMD antibody [EPR20859] - BSA and Azide free (AB239377)

This data was developed using ab219800, the same antibody clone in a different buffer formulation.

In Western blot, Anti-GSDMD antibody [EPR20859] (ab219800) 1 : 1,000 dilution (0.582 ug/ml) and Anti-GAPDH antibody [EPR16891] - Loading Control (ab181602) 1 : 1,000,000 dilution.

Blocking and diluting buffer and concentration : 5% NFDM/TBST.

All lanes:

Western blot - Anti-GSDMD antibody [EPR20859] (<a href='/en-us/products/primary-antibodies/gsdmd-antibody-epr20859-ab219800'>ab219800</a>) at 1/1000 dilution

Lane 1:

HeLa (human cervix adenocarcinoma epithelial cell) whole cell lysate at 20 µg

Lanes 2 - 3:

PC-3 (human prostate adenocarcinoma epithelial cell) whole cell lysate at 20 µg

Secondary

All lanes:

Western blot - Goat Anti-Rabbit IgG H&L (HRP) (<a href='/en-us/products/secondary-antibodies/goat-rabbit-igg-h-l-hrp-ab97051'>ab97051</a>) at 1/20000 dilution

Predicted band size: 53 kDa

Observed band size: 37 kDa

false

Exposure time: 180s

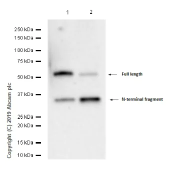
Western blot - Anti-GSDMD antibody [EPR20859] - BSA and Azide free (AB239377)
  • WB

Supplier Data

Western blot - Anti-GSDMD antibody [EPR20859] - BSA and Azide free (AB239377)

This data was developed using the same antibody clone in a different buffer formulation containing PBS, BSA, glycerol, and sodium azide (ab219800).

Blocking and diluting buffer : 5% NFDM /TBST

This antibody could detect full length, as well as a N-terminal fragment after stimulation.

The lysates were kindly provided by Dr Feng Shao's lab, NIBS.

All lanes:

Western blot - Anti-GSDMD antibody [EPR20859] (<a href='/en-us/products/primary-antibodies/gsdmd-antibody-epr20859-ab219800'>ab219800</a>) at 1/2000 dilution

Lane 1:

iBMM (mouse immortalized bone marrow derived macrophages) treated with 500ng/ml Bsak plus 500ng/ml anthrax protective antigen (PA) for 2h. Cell lysate

Lane 2:

iBMM (mouse immortalized bone marrow derived macrophages) treated with 500ng/ml Bsak plus 500ng/ml anthrax protective antigen (PA) for 2h. Concentrated cell supernatant

Secondary

All lanes:

Western blot - Goat Anti-Rabbit IgG H&L (HRP) (<a href='/en-us/products/secondary-antibodies/goat-rabbit-igg-h-l-hrp-ab97051'>ab97051</a>) at 1/20000 dilution

Predicted band size: 53 kDa,31 kDa

Observed band size: 31 kDa,53 kDa

false

Western blot - Anti-GSDMD antibody [EPR20859] - BSA and Azide free (AB239377)
  • WB

Supplier Data

Western blot - Anti-GSDMD antibody [EPR20859] - BSA and Azide free (AB239377)

Exposure time : Lanes 1 and 2 : 3 minutes; Lanes 3 and 4 : 48 seconds; Lanes 5 and 6 : 3 minutes.

Blocking/Dilution buffer : 5% NFDM/TBST.

Expression level of GSDMD in whole normal brain lysate is low or undetectable (PMID : 32671214, PMID : 34975487), we recommend loading higher amount of lysate or using lower antibody dilution.

This data was developed using ab219800, the same antibody clone in a different buffer formulation.

All lanes:

Western blot - Anti-GSDMD antibody [EPR20859] (<a href='/en-us/products/primary-antibodies/gsdmd-antibody-epr20859-ab219800'>ab219800</a>) at 1/1000 dilution

Lane 1:

C6 (rat glial tumor cell line) whole cell lysate at 10 µg

Lane 2:

PC-12 (rat adrenal gland pheochromocytoma cell line) whole cell lysate at 10 µg

Lane 3:

RAW 264.7 (mouse macrophage cell line transformed with Abelson murine leukemia virus) whole cell lysate at 10 µg

Lane 4:

NIH/3T3 (mouse embyro fibroblast cell line) whole cell lysate at 10 µg

Lane 5:

Rat liver lysate at 10 µg

Lane 6:

Rat brain lysate at 10 µg

Secondary

All lanes:

Western blot - Goat Anti-Rabbit IgG H&L (HRP) (<a href='/en-us/products/secondary-antibodies/goat-rabbit-igg-h-l-hrp-ab97051'>ab97051</a>) at 1/100000 dilution

Predicted band size: 53 kDa

Observed band size: 53 kDa

false

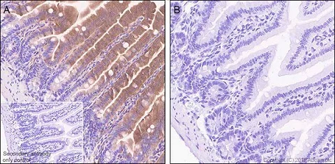
Immunohistochemistry (Formalin/PFA-fixed paraffin-embedded sections) - Anti-GSDMD antibody [EPR20859] - BSA and Azide free (AB239377)
  • IHC-P

Lab

Immunohistochemistry (Formalin/PFA-fixed paraffin-embedded sections) - Anti-GSDMD antibody [EPR20859] - BSA and Azide free (AB239377)

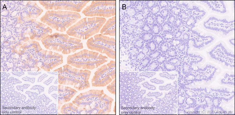
This data was developed using ab219800, the same antibody clone in a different buffer formulation. Immunohistochemical analysis of paraffin-embedded (A) Small intestine tissue from wild-type C57BL/6JGpt mice (B) Small intestine tissue from GSDMD knockout mice staining with ab219800 at 1/5000 dilution and ready-to-use Goat Anti-Rabbit IgG H&L (HRP) secondary. Counterstaining with hematoxylin. Heat mediated antigen retrieval was performed with Citrate buffer (pH 6.0, Epitope Retrieval Solution 1) for 20 mins. Positive staining on (A) Small intestine tissue from wild-type C57BL/6JGpt mice and no staining on (B) Small intestine tissue from GSDMD knockout mice. The section was incubated with ab219800 for 30 mins at room temperature. The immunostaining was performed on a Leica Biosystems BOND™ RX instrument. The tissue samples were kindly provided by GemPharmatech. C57BL/6JGpt wildtype mice and GSDMD-KO homozygous mice (Strain ID : T010437).

Immunohistochemistry (Formalin/PFA-fixed paraffin-embedded sections) - Anti-GSDMD antibody [EPR20859] - BSA and Azide free (AB239377)
  • IHC-P

Supplier Data

Immunohistochemistry (Formalin/PFA-fixed paraffin-embedded sections) - Anti-GSDMD antibody [EPR20859] - BSA and Azide free (AB239377)

Immunohistochemical analysis of paraffin-embedded Wild type mouse small intestine (A) and GSDMD KO mouse small intestine (B) tissue labeling GSDMD with ab219800 at 1/1000 dilution, followed by Goat Anti-Rabbit IgG H&L (HRP) Ready to use. Cytoplasmic staining on epithelium of wild type mouse small intestine (A), no staining on GSDMD KO mouse small intestine (B) (PMID : 17350798) is observed. Counter stained with hematoxylin.

Secondary antibody only control : Used PBS instead of primary antibody, secondary antibody is Goat Anti-Rabbit IgG H&L (HRP) Ready to use.

This data was developed using the same antibody clone in a different buffer formulation containing PBS, BSA, glycerol, and sodium azide (ab219800).

Heat mediated antigen retrieval was performed with Tris/EDTA buffer pH 9.0 before commencing with IHC staining protocol.

The tissue samples were kindly provided by Dr Feng Shao's lab, NIBS.

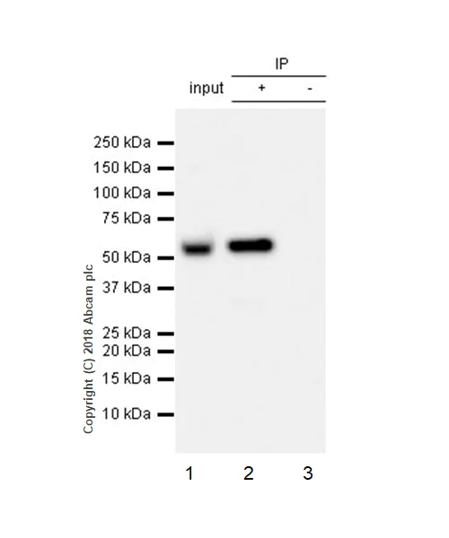
Immunoprecipitation - Anti-GSDMD antibody [EPR20859] - BSA and Azide free (AB239377)
  • IP

Supplier Data

Immunoprecipitation - Anti-GSDMD antibody [EPR20859] - BSA and Azide free (AB239377)

GSDMD was immunoprecipitated from 0.35 mg of RAW 264.7 (mouse macrophage cell line transformed with Abelson murine leukemia virus) whole cell lysate with ab219800 at 1/30 dilution. Western blot was performed from the immunoprecipitate using ab219800 at 1/500 dilution. VeriBlot for IP Detection Reagent (HRP) (ab131366), was used for detection at 1/1000 dilution.

Lane 1 : RAW 264.7 whole cell lysate 10 μg (Input).

Lane 2 : ab219800 IP in RAW 264.7 whole cell lysate.

Lane 3 : Rabbit monoclonal IgG (ab172730) instead of ab219800 in RAW 264.7 whole cell lysate.

Blocking and dilution buffer and concentration : 5% NFDM/TBST.

Exposure time : 10 seconds.

This data was developed using the same antibody clone in a different buffer formulation containing PBS, BSA, glycerol, and sodium azide (ab219800).

All lanes:

Immunoprecipitation - Anti-GSDMD antibody [EPR20859] (<a href='/en-us/products/primary-antibodies/gsdmd-antibody-epr20859-ab219800'>ab219800</a>)

Predicted band size: 53 kDa

false

Key facts

Host species

Rabbit

Clonality

Monoclonal

Clone number

EPR20859

Isotype

IgG

Carrier free

Yes

Reacts with

Mouse, Rat, Human

Applications

WB, ICC/IF, IHC-P, IP, Flow Cyt (Intra)

applications

Immunogen

The exact immunogen used to generate this antibody is proprietary information.

Specificity

This antibody can detect full length, as well as a N-terminal fragment after stimulation in WB.

Expression level of GSDMD in whole normal brain lysate is low or undetectable (PMID: 32671214, PMID: 34975487), we recommend loading higher amount of lysate or using lower antibody dilution.

Please see documentation for further information on positive controls (Chinese version)

Reactivity data

{ "title": "Reactivity Data", "filters": { "stats": ["", "Species", "Dilution Info", "Notes"], "tabs": { "all-applications": {"fullname" : "All Applications", "shortname": "All Applications"}, "IP" : {"fullname" : "Immunoprecipitation", "shortname":"IP"}, "WB" : {"fullname" : "Western blot", "shortname":"WB"}, "FlowCytIntra" : {"fullname" : "Flow Cytometry (Intracellular)", "shortname":"Flow Cyt (Intra)"}, "IHCP" : {"fullname" : "Immunohistochemistry (Formalin/PFA-fixed paraffin-embedded sections)", "shortname":"IHC-P"}, "ICCIF" : {"fullname" : "Immunocytochemistry/ Immunofluorescence", "shortname":"ICC/IF"} }, "product-promise": { "all": "all", "testedAndGuaranteed": "tested", "guaranteed": "expected", "predicted": "predicted", "notRecommended": "not-recommended" } }, "values": { "Human": { "IP-species-checked": "guaranteed", "IP-species-dilution-info": "", "IP-species-notes": "", "WB-species-checked": "testedAndGuaranteed", "WB-species-dilution-info": "", "WB-species-notes": "<p>This antibody is only suitable to detect GSDMD in human cell lines. Not suitable for testing human tissues in WB.</p>", "FlowCytIntra-species-checked": "guaranteed", "FlowCytIntra-species-dilution-info": "", "FlowCytIntra-species-notes": "", "IHCP-species-checked": "guaranteed", "IHCP-species-dilution-info": "", "IHCP-species-notes": "", "ICCIF-species-checked": "guaranteed", "ICCIF-species-dilution-info": "", "ICCIF-species-notes": "" }, "Mouse": { "IP-species-checked": "testedAndGuaranteed", "IP-species-dilution-info": "", "IP-species-notes": "<p></p>", "WB-species-checked": "testedAndGuaranteed", "WB-species-dilution-info": "", "WB-species-notes": "<p></p>", "FlowCytIntra-species-checked": "testedAndGuaranteed", "FlowCytIntra-species-dilution-info": "", "FlowCytIntra-species-notes": "<p></p>", "IHCP-species-checked": "testedAndGuaranteed", "IHCP-species-dilution-info": "", "IHCP-species-notes": "<p></p> Perform heat-mediated antigen retrieval with Tris/EDTA buffer pH 9.0 before commencing with IHC staining protocol.", "ICCIF-species-checked": "testedAndGuaranteed", "ICCIF-species-dilution-info": "", "ICCIF-species-notes": "<p></p>" }, "Rat": { "IP-species-checked": "guaranteed", "IP-species-dilution-info": "", "IP-species-notes": "", "WB-species-checked": "testedAndGuaranteed", "WB-species-dilution-info": "", "WB-species-notes": "<p></p>", "FlowCytIntra-species-checked": "guaranteed", "FlowCytIntra-species-dilution-info": "", "FlowCytIntra-species-notes": "", "IHCP-species-checked": "guaranteed", "IHCP-species-dilution-info": "", "IHCP-species-notes": "", "ICCIF-species-checked": "guaranteed", "ICCIF-species-dilution-info": "", "ICCIF-species-notes": "" } } }

You may be interested in:

AB39401

Caspase-3 Assay Kit (Colorimetric)

0

1 Reviews

View product

We recommend this product because it’s often used in the same experiment or related research.

We advise that you always check the datasheet to ensure it fits your experiments, or contact ourtechnical teamfor help.

Product details

ab239377 is the carrier-free version of ab219800.

Patented technology
Our RabMAb® technology is a patented hybridoma-based technology for making rabbit monoclonal antibodies. For details on our patents, please refer to RabMAb® patents.

What are the advantages of a recombinant monoclonal antibody?
This product is a recombinant monoclonal antibody, which offers several advantages including:

  • - High batch-to-batch consistency and reproducibility
  • - Improved sensitivity and specificity
  • - Long-term security of supply
  • - Animal-free batch production

For more information, read more on recombinant antibodies.

Conjugation ready
Our carrier-free antibodies are typically supplied in a PBS-only formulation, purified and free of BSA, sodium azide and glycerol. This conjugation-ready format is designed for use with fluorochromes, metal isotopes, oligonucleotides, and enzymes, which makes them ideal for antibody labelling, functional and cell-based assays, flow-based assays (e.g. mass cytometry) and Multiplex Imaging applications.

Use our conjugation kits for antibody conjugates that are ready-to-use in as little as 20 minutes with 1 minute hands-on-time and 100% antibody recovery: available for fluorescent dyes, HRP, biotin and gold.

Compatibility
This product is compatible with the Maxpar® Antibody Labeling Kit from Fluidigm, without the need for antibody preparation. Maxpar® is a trademark of Fluidigm Canada Inc.

Properties and storage information

Form
Liquid
Purification technique
Affinity purification Protein A
Storage buffer
pH: 7.2 - 7.4 Constituents: PBS
Shipped at conditions
Blue Ice
Appropriate short-term storage conditions
+4°C
Appropriate long-term storage conditions
+4°C
Storage information
Do Not Freeze

Supplementary information

This supplementary information is collated from multiple sources and compiled automatically.

GSDMD also known as gasdermin D is a protein known for its role in pyroptosis a form of programmed cell death. Its molecular weight is approximately 53 kDa. Mechanically GSDMD operates by forming pores in cell membranes. These pores disrupt cellular homeostasis and eventually lead to cell lysis. GSDMD is mainly expressed in immune cells including macrophages and neutrophils. Researchers frequently use GSDMD Western blot and GSDMD ELISA for its detection and quantification in various studies.
Biological function summary

Gasdermin D functions in the execution of immune responses against infections. It acts as an effector molecule that participates directly in pyroptosis by disrupting mitochondrial membranes. GSDMD operates as part of a larger inflammasome complex initiated by inflammatory signals. The inflammasome activates inflammatory caspases that cleave GSDMD enabling its active form to execute pyroptosis. This process releases cytokines like IL-1β enhancing the inflammatory response.

Pathways

GSDMD is important in the pyroptosis pathway initiated by the inflammasome. This process involves Caspase-1 a protease responsible for cleaving pro-inflammatory cytokines and initiating pyroptosis. Another significant pathway includes NLRP3 inflammasome which acts upstream to activate Caspase-1 and subsequently GSDMD establishing the overall inflammatory response in the innate immune system. Through these pathways GSDMD interacts closely with proteins like IL-18 an essential inflammatory mediator.

Gasdermin D has links to inflammatory diseases such as rheumatoid arthritis and sepsis. In rheumatoid arthritis the excessive activation of GSDMD leads to chronic joint inflammation mediated by activated immune cells. In sepsis over-activation of the pyroptosis pathway may cause severe systemic inflammation driven by GSDMD activity exacerbating cytokine release. Connections exist between GSDMD and other proteins such as Caspase-11 which can also initiate GSDMD cleavage independently and has roles in non-canonical inflammasome pathways influencing these conditions.

Product protocols

For this product, it's our understanding that no specific protocols are required. You can visit:

Target data

Gasdermin-D. Precursor of a pore-forming protein that plays a key role in host defense against pathogen infection and danger signals (PubMed : 26375003, PubMed : 26375259, PubMed : 26611636, PubMed : 27383986, PubMed : 27385778, PubMed : 27418190). This form constitutes the precursor of the pore-forming protein : upon cleavage, the released N-terminal moiety (Gasdermin-D, N-terminal) binds to membranes and forms pores, triggering pyroptosis (PubMed : 26375003, PubMed : 26375259, PubMed : 26611636, PubMed : 27383986, PubMed : 27385778, PubMed : 27418190).. Gasdermin-D, N-terminal. Promotes pyroptosis in response to microbial infection and danger signals (PubMed : 26375003, PubMed : 26375259, PubMed : 26611636, PubMed : 27383986, PubMed : 27385778, PubMed : 27418190, PubMed : 32820063, PubMed : 34289345, PubMed : 35705808, PubMed : 37988464, PubMed : 38530158, PubMed : 38538834, PubMed : 38632402). Produced by the cleavage of gasdermin-D by inflammatory caspases CASP1 or CASP4/CASP11 in response to canonical, as well as non-canonical (such as cytosolic LPS) inflammasome activators (PubMed : 26375003, PubMed : 26375259, PubMed : 26611636, PubMed : 27383986, PubMed : 27385778, PubMed : 27418190, PubMed : 35705808, PubMed : 38632402). After cleavage, moves to the plasma membrane where it strongly binds to inner leaflet lipids, including monophosphorylated phosphatidylinositols, such as phosphatidylinositol 4-phosphate, bisphosphorylated phosphatidylinositols, such as phosphatidylinositol (4,5)-bisphosphate, as well as phosphatidylinositol (3,4,5)-bisphosphate, and more weakly to phosphatidic acid and phosphatidylserine (PubMed : 27339137, PubMed : 27383986). Homooligomerizes within the membrane and forms pores of 10-15 nanometers (nm) of inner diameter, allowing the release of mature interleukin-1 (IL1B and IL18) and triggering pyroptosis (PubMed : 27383986, PubMed : 29195811, PubMed : 29274245, PubMed : 33883744, PubMed : 38530158, PubMed : 38538834). Gasdermin pores also allow the release of mature caspase-7 (CASP7) (PubMed : 35705808). In some, but not all, cells types, pyroptosis is followed by pyroptotic cell death, which is caused by downstream activation of ninjurin-1 (NINJ1), which mediates membrane rupture (cytolysis) (PubMed : 38632402). Also forms pores in the mitochondrial membrane, resulting in release of mitochondrial DNA (mtDNA) into the cytosol (PubMed : 37001519). Gasdermin-D, N-terminal released from pyroptotic cells into the extracellular milieu rapidly binds to and kills both Gram-negative and Gram-positive bacteria, without harming neighboring mammalian cells, as it does not disrupt the plasma membrane from the outside due to lipid-binding specificity (PubMed : 27383986). Under cell culture conditions, also active against intracellular bacteria, such as Listeria monocytogenes (PubMed : 27383986). Also active in response to MAP3K7/TAK1 inactivation by Yersinia toxin YopJ, which triggers cleavage by CASP8 and subsequent activation (PubMed : 30361383, PubMed : 30381458). Required for mucosal tissue defense against enteric pathogens (PubMed : 37988464). Activation of the non-canonical inflammasome in brain endothelial cells can lead to excessive pyroptosis, leading to blood-brain barrier breakdown (PubMed : 38632402). Strongly binds to bacterial and mitochondrial lipids, including cardiolipin. Does not bind to unphosphorylated phosphatidylinositol, phosphatidylethanolamine nor phosphatidylcholine (PubMed : 27383986).. Gasdermin-D, p13. Transcription coactivator produced by the cleavage by CASP3 or CASP7 in the upper small intestine in response to dietary antigens (PubMed : 37327784). Required to maintain food tolerance in small intestine : translocates to the nucleus and acts as a coactivator for STAT1 to induce the transcription of CIITA and MHC class II molecules, which in turn induce type 1 regulatory T (Tr1) cells in upper small intestine (PubMed : 37327784).. Gasdermin-D, p40. Produced by the cleavage by papain allergen (PubMed : 35794369). After cleavage, moves to the plasma membrane and homooligomerizes within the membrane and forms pores of 10-15 nanometers (nm) of inner diameter, allowing the specific release of mature interleukin-33 (IL33), promoting type 2 inflammatory immune response (PubMed : 35749514, PubMed : 35794369).
See full target information Gsdmd

Publications (3)

Recent publications for all applications. Explore the full list and refine your search

The Journal of international medical research 49:300060521992981 PubMed33641439

2021

GLP-1 alleviates NLRP3 inflammasome-dependent inflammation in perivascular adipose tissue by inhibiting the NF-κB signalling pathway.

Applications

Unspecified application

Species

Unspecified reactive species

Xiangheng Chen,Qiuling Huang,Juling Feng,Zhongsheng Xiao,Xiaoling Zhang,Lei Zhao

Scientific reports 10:16265 PubMed33004957

2020

SENP7 knockdown inhibited pyroptosis and NF-κB/NLRP3 inflammasome pathway activation in Raw 264.7 cells.

Applications

Unspecified application

Species

Unspecified reactive species

Xun Li,Fangzhou Jiao,Jia Hong,Fan Yang,Luwen Wang,Zuojiong Gong

Drug design, development and therapy 13:3559-3568 PubMed31686786

2019

Tanshinone I Inhibits IL-1β-Induced Apoptosis, Inflammation And Extracellular Matrix Degradation In Chondrocytes CHON-001 Cells And Attenuates Murine Osteoarthritis.

Applications

Unspecified application

Species

Unspecified reactive species

Xipeng Wang,Jianbo Fan,Xiaomin Ding,Yuyu Sun,Zhiming Cui,Wei Liu
View all publications

Product promise

We are committed to supporting your work with high-quality reagents, and we're here for you every step of the way. In the unlikely event that one of our products does not perform as expected, you're protected by our Product Promise.
For full details, please see our Terms & Conditions
websiteProtocolBooklet
zh

Associated Products

Select an associated product type
Alternative Product
Primary Antibodies

AB155233

Anti-GSDMD antibody

primary-antibodies

gsdmd-antibody-ab155233

0

(0 reviews)

Alternative Product
Primary Antibodies

AB209845

Anti-GSDMD antibody [EPR19828]

primary-antibodies

gsdmd-antibody-epr19828-ab209845

4

(3 reviews)

Alternative Product
Primary Antibodies

AB210070

Anti-GSDMD antibody [EPR19829]

primary-antibodies

gsdmd-antibody-epr19829-ab210070

4

(1 reviews)

Alternative Product
Primary Antibodies

AB255983

Anti-cleaved N-terminal GSDMD antibody [EPR20829-408] - BSA and Azide free

primary-antibodies

cleaved-n-terminal-gsdmd-antibody-epr20829-408-bsa-and-azide-free-ab255983

0

(0 reviews)

Alternative Product
Primary Antibodies

AB255984

Anti-cleaved C-terminal GSDMD antibody [EPR20885-203] - BSA and Azide free

primary-antibodies

cleaved-c-terminal-gsdmd-antibody-epr20885-203-bsa-and-azide-free-ab255984

0

(0 reviews)

Alternative Product
Primary Antibodies

AB255985

Anti-cleaved C-terminal GSDMD antibody [EPR20859-147] - BSA and Azide free

primary-antibodies

cleaved-c-terminal-gsdmd-antibody-epr20859-147-bsa-and-azide-free-ab255985

0

(0 reviews)

Alternative Product
Primary Antibodies

AB225867

Anti-GSDMD antibody [EPR19828] - BSA and Azide free

primary-antibodies

gsdmd-antibody-epr19828-bsa-and-azide-free-ab225867

0

(0 reviews)

Alternative Product
Primary Antibodies

AB232485

Anti-GSDMD antibody [EPR19829] - BSA and Azide free

primary-antibodies

gsdmd-antibody-epr19829-bsa-and-azide-free-ab232485

0

(0 reviews)

Alternative Product
Primary Antibodies

AB228824

Anti-GSDMD antibody - C-terminal

primary-antibodies

gsdmd-antibody-c-terminal-ab228824

0

(0 reviews)

Alternative Version
Primary Antibodies

AB246713

PE Anti-GSDMD antibody [EPR20859]

primary-antibodies

pe-gsdmd-antibody-epr20859-ab246713

0

(0 reviews)

Alternative Version
Primary Antibodies

AB246711

Alexa Fluor® 488 Anti-GSDMD antibody [EPR20859]

primary-antibodies

alexa-fluor-488-gsdmd-antibody-epr20859-ab246711

0

(0 reviews)

Please note: All products are 'FOR RESEARCH USE ONLY. NOT FOR USE IN DIAGNOSTIC OR THERAPEUTIC PROCEDURES'.

For licensing inquiries, please contact partnerships@abcam.com