JavaScript is disabled in your browser. Please enable JavaScript to view this website.
AB323316

Anti-GSDMD antibody [EPR23078-13R]

Be the first to review this product! Submit a review

|

(0 Publication)

Rabbit Recombinant Monoclonal GSDMD antibody. Suitable for WB, IP and reacts with Human samples.

View Alternative Names

DFNA5L, GSDMDC1, FKSG10, GSDMD, Gasdermin-D, Gasdermin domain-containing protein 1

4 Images
Immunoprecipitation - Anti-GSDMD antibody [EPR23078-13R] (AB323316)
  • IP

Supplier Data

Immunoprecipitation - Anti-GSDMD antibody [EPR23078-13R] (AB323316)

GSDMD was immunoprecipitated from 0.35 mg PC-3 (human prostate adenocarcinoma epithelial cell) whole cell lysate with ab323316 at 1/30 dilution (2ug in 0.35mg lysates). Western blot was performed on the immunoprecipitate using ab323316 at 1/1000 dilution.

Blocking and dilution buffer and concentration : 5% NFDM/TBST

All lanes:

Immunoprecipitation - Anti-GSDMD antibody [EPR23078-13R] (ab323316) at 1/1000 dilution

Lane 1:

(Input) PC-3 (human prostate adenocarcinoma epithelial cell) whole cell lysate at 10 µg

Lane 2:

ab323316 at 1/30 IP in PC-3 (human prostate adenocarcinoma epithelial cell) whole cell lysate at 10 µg

Lane 3:

Rabbit monoclonal IgG (<a href='/en-us/products/primary-antibodies/rabbit-igg-monoclonal-epr25a-isotype-control-ab172730'>ab172730</a>) instead of ab323316 in PC-3 whole cell lysate at 10 µg

Secondary

All lanes:

Immunoprecipitation - VeriBlot for IP Detection Reagent (HRP) (<a href='/en-us/products/reagents/veriblot-for-ip-detection-reagent-hrp-ab131366'>ab131366</a>) at 1/5000 dilution

Observed band size: 52 kDa

false

Exposure time: 10s

Immunoprecipitation - Anti-GSDMD antibody [EPR23078-13R] (AB323316)
  • IP

Supplier Data

Immunoprecipitation - Anti-GSDMD antibody [EPR23078-13R] (AB323316)

GSDMD was immunoprecipitated from 0.35 mg Jurkat (human t cell leukemia t lymphocyte from peripheral blood) whole cell lysate with ab323316 at 1/30 dilution (2ug in 0.35mg lysates). Western blot was performed on the immunoprecipitate using ab323316 at 1/1000 dilution.

Blocking and dilution buffer and concentration : 5% NFDM/TBST

All lanes:

Immunoprecipitation - Anti-GSDMD antibody [EPR23078-13R] (ab323316) at 1/1000 dilution

Lane 1:

(Input) Jurkat (human t cell leukemia t lymphocyte from peripheral blood) whole cell lysate at 10 µg

Lane 2:

ab323316 at 1/30 IP in Jurkat (human t cell leukemia t lymphocyte from peripheral blood) whole cell lysate at 10 µg

Lane 3:

Rabbit monoclonal IgG (<a href='/en-us/products/primary-antibodies/rabbit-igg-monoclonal-epr25a-isotype-control-ab172730'>ab172730</a>) instead of ab323316 in Jurkat whole cell lysate at 10 µg

Secondary

All lanes:

Immunoprecipitation - VeriBlot for IP Detection Reagent (HRP) (<a href='/en-us/products/reagents/veriblot-for-ip-detection-reagent-hrp-ab131366'>ab131366</a>) at 1/5000 dilution

Observed band size: 52 kDa

false

Exposure time: 10s

Western blot - Anti-GSDMD antibody [EPR23078-13R] (AB323316)
  • WB

Supplier Data

Western blot - Anti-GSDMD antibody [EPR23078-13R] (AB323316)

Blocking and diluting buffer and concentration : 5% NFDM/TBST.

Lanes 2-4 are incubated with Goat Anti-Rabbit IgG, (H+L), Peroxidase conjugated (ab97051) at 1/20000 and lane 1 is incubated with Goat Anti-Rabbit IgG (HRP) with minimal cross-reactivity with human IgG at 1/2000.

Exposure time : Lane 1 : 59 seconds; Lane 2 : 10 seconds; Lane 3 : 125 seconds; Lane 4 : 10 seconds.

All lanes:

Western blot - Anti-GSDMD antibody [EPR23078-13R] (ab323316) at 1/1000 dilution

Lane 1:

Human liver tissue lysate at 20 µg

Lane 2:

HCC1937 (human mammary gland epithelial cell) whole cell lysate at 20 µg

Lane 3:

HeLa (human cervical adenocarcinoma epithelial cell) whole cell lysate at 20 µg

Lane 4:

KG-1a (human bone marrow myeloblast) whole cell lysate at 20 µg

Secondary

Lane 1:

Goat Anti-Rabbit IgG (HRP) with minimal cross-reactivity with human IgG at 1/2000 dilution

Lanes 2 - 4:

Western blot - Goat Anti-Rabbit IgG H&L (HRP) (<a href='/en-us/products/secondary-antibodies/goat-rabbit-igg-h-l-hrp-ab97051'>ab97051</a>) at 1/20000 dilution

Observed band size: 52 kDa

false

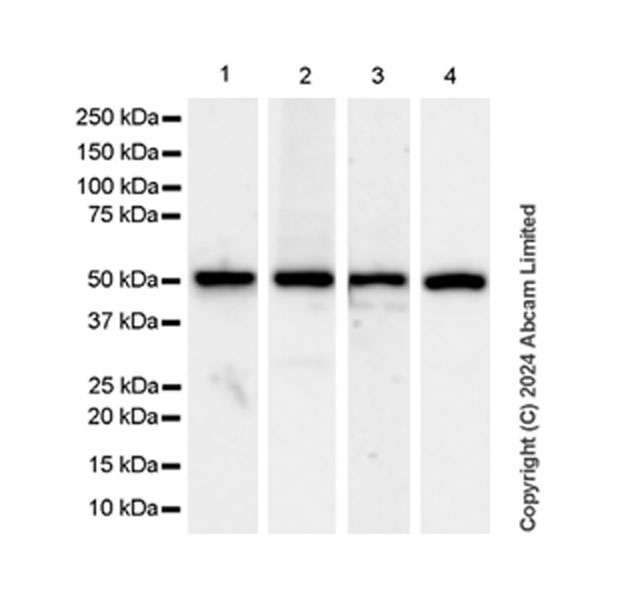
Western blot - Anti-GSDMD antibody [EPR23078-13R] (AB323316)
  • WB

Supplier Data

Western blot - Anti-GSDMD antibody [EPR23078-13R] (AB323316)

Blocking and diluting buffer and concentration : 5% NFDM/TBST.

Negative control : IMR-32, 293T ( PMID : 27383986).

In Western blot, Anti-GAPDH antibody [EPR16891] - Loading Control (ab181602) staining at 1/200000 dilution.

All lanes:

Western blot - Anti-GSDMD antibody [EPR23078-13R] (ab323316) at 1/1000 dilution

Lane 1:

PC-3 (human prostate adenocarcinoma epithelial cell) whole cell lysate at 20 µg

Lane 2:

Jurkat (human t cell leukemia t lymphocyte from peripheral blood) whole cell lysate at 20 µg

Lane 3:

IMR-32 (human neuroblastoma neuroblast) whole cell lysate at 20 µg

Lane 4:

293T (human embryonic kidney epithelial cell) whole cell lysate at 20 µg

Secondary

All lanes:

Western blot - Goat Anti-Rabbit IgG H&L (HRP) (<a href='/en-us/products/secondary-antibodies/goat-rabbit-igg-h-l-hrp-ab97051'>ab97051</a>) at 1/20000 dilution

Observed band size: 52 kDa,36 kDa

false

Exposure time: 180s

Key facts

Host species

Rabbit

Clonality

Monoclonal

Clone number

EPR23078-13R

Isotype

IgG

Carrier free

No

Reacts with

Human

Applications

IP, WB

applications

Immunogen

The exact immunogen used to generate this antibody is proprietary information.

Reactivity data

{ "title": "Reactivity Data", "filters": { "stats": ["", "Species", "Dilution Info", "Notes"], "tabs": { "all-applications": {"fullname" : "All Applications", "shortname": "All Applications"}, "WB" : {"fullname" : "Western blot", "shortname":"WB"}, "IP" : {"fullname" : "Immunoprecipitation", "shortname":"IP"} }, "product-promise": { "all": "all", "testedAndGuaranteed": "tested", "guaranteed": "expected", "predicted": "predicted", "notRecommended": "not-recommended" } }, "values": { "Human": { "WB-species-checked": "testedAndGuaranteed", "WB-species-dilution-info": "1/1000", "WB-species-notes": "<p></p>", "IP-species-checked": "testedAndGuaranteed", "IP-species-dilution-info": "1/30", "IP-species-notes": "<p></p>" } } }

Product details

Patented technology
Our RabMAb® technology is a patented hybridoma-based technology for making rabbit monoclonal antibodies. For details on our patents, please refer to RabMAb® patents.

What are the advantages of a recombinant monoclonal antibody?
This product is a recombinant monoclonal antibody, which offers several advantages including:

  • - High batch-to-batch consistency and reproducibility
  • - Improved sensitivity and specificity
  • - Long-term security of supply
  • - Animal-free batch production

For more information, read more on recombinant antibodies.

Properties and storage information

Form
Liquid
Purification technique
Affinity purification Protein A
Storage buffer
pH: 7.2 - 7.4 Preservative: 0.01% Sodium azide Constituents: PBS, 40% Glycerol (glycerin, glycerine), 0.05% BSA
Shipped at conditions
Blue Ice
Appropriate short-term storage duration
1-2 weeks
Appropriate short-term storage conditions
+4°C
Appropriate long-term storage conditions
-20°C
Aliquoting information
Upon delivery aliquot
Storage information
Avoid freeze / thaw cycle

Product protocols

For this product, it's our understanding that no specific protocols are required. You can visit:

Target data

Gasdermin-D. Precursor of a pore-forming protein that plays a key role in host defense against pathogen infection and danger signals (PubMed : 26375003, PubMed : 26375259, PubMed : 27281216). This form constitutes the precursor of the pore-forming protein : upon cleavage, the released N-terminal moiety (Gasdermin-D, N-terminal) binds to membranes and forms pores, triggering pyroptosis (PubMed : 26375003, PubMed : 26375259, PubMed : 27281216).. Gasdermin-D, N-terminal. Promotes pyroptosis in response to microbial infection and danger signals (PubMed : 26375003, PubMed : 26375259, PubMed : 27418190, PubMed : 28392147, PubMed : 32820063, PubMed : 34289345, PubMed : 38040708, PubMed : 38530158, PubMed : 38599239). Produced by the cleavage of gasdermin-D by inflammatory caspases CASP1, CASP4 or CASP5 in response to canonical, as well as non-canonical (such as cytosolic LPS) inflammasome activators (PubMed : 26375003, PubMed : 26375259, PubMed : 27418190). After cleavage, moves to the plasma membrane where it strongly binds to inner leaflet lipids, including monophosphorylated phosphatidylinositols, such as phosphatidylinositol 4-phosphate, bisphosphorylated phosphatidylinositols, such as phosphatidylinositol (4,5)-bisphosphate, as well as phosphatidylinositol (3,4,5)-bisphosphate, and more weakly to phosphatidic acid and phosphatidylserine (PubMed : 27281216, PubMed : 29898893, PubMed : 36227980). Homooligomerizes within the membrane and forms pores of 10-15 nanometers (nm) of inner diameter, allowing the release of mature interleukin-1 (IL1B and IL18) and triggering pyroptosis (PubMed : 27281216, PubMed : 27418190, PubMed : 29898893, PubMed : 33883744, PubMed : 38040708, PubMed : 38530158, PubMed : 38599239). Gasdermin pores also allow the release of mature caspase-7 (CASP7) (By similarity). In some, but not all, cells types, pyroptosis is followed by pyroptotic cell death, which is caused by downstream activation of ninjurin-1 (NINJ1), which mediates membrane rupture (cytolysis) (PubMed : 33472215, PubMed : 37198476). Also forms pores in the mitochondrial membrane, resulting in release of mitochondrial DNA (mtDNA) into the cytosol (By similarity). Gasdermin-D, N-terminal released from pyroptotic cells into the extracellular milieu rapidly binds to and kills both Gram-negative and Gram-positive bacteria, without harming neighboring mammalian cells, as it does not disrupt the plasma membrane from the outside due to lipid-binding specificity (PubMed : 27281216). Under cell culture conditions, also active against intracellular bacteria, such as Listeria monocytogenes (By similarity). Also active in response to MAP3K7/TAK1 inactivation by Yersinia toxin YopJ, which triggers cleavage by CASP8 and subsequent activation (By similarity). Required for mucosal tissue defense against enteric pathogens (By similarity). Activation of the non-canonical inflammasome in brain endothelial cells can lead to excessive pyroptosis, leading to blood-brain barrier breakdown (By similarity). Strongly binds to bacterial and mitochondrial lipids, including cardiolipin (PubMed : 27281216). Does not bind to unphosphorylated phosphatidylinositol, phosphatidylethanolamine nor phosphatidylcholine (PubMed : 27281216).. Gasdermin-D, p13. Transcription coactivator produced by the cleavage by CASP3 or CASP7 in the upper small intestine in response to dietary antigens (By similarity). Required to maintain food tolerance in small intestine : translocates to the nucleus and acts as a coactivator for STAT1 to induce the transcription of CIITA and MHC class II molecules, which in turn induce type 1 regulatory T (Tr1) cells in upper small intestine (By similarity).. Gasdermin-D, p40. Produced by the cleavage by papain allergen (PubMed : 35794369). After cleavage, moves to the plasma membrane and homooligomerizes within the membrane and forms pores of 10-15 nanometers (nm) of inner diameter, allowing the specific release of mature interleukin-33 (IL33), promoting type 2 inflammatory immune response (PubMed : 35794369).
See full target information GSDMD

Product promise

We are committed to supporting your work with high-quality reagents, and we're here for you every step of the way. In the unlikely event that one of our products does not perform as expected, you're protected by our Product Promise.
For full details, please see our Terms & Conditions

Please note: All products are 'FOR RESEARCH USE ONLY. NOT FOR USE IN DIAGNOSTIC OR THERAPEUTIC PROCEDURES'.

For licensing inquiries, please contact partnerships@abcam.com