JavaScript is disabled in your browser. Please enable JavaScript to view this website.
AB321995

Anti-GSH2 antibody [EPR29122-65] - BSA and Azide free

Be the first to review this product! Submit a review

|

(0 Publication)

Rabbit Recombinant Monoclonal GSX2 antibody. Carrier free. Suitable for Dot, IHC-Fr, IHC-P, WB and reacts with Transfected cell lysate - Mouse, Mouse samples.

View Alternative Names

Gsh-2, Gsh2, GS homeobox 2, Genetic-screened homeobox 2, Homeobox protein GSH-2

7 Images
Immunohistochemistry (Formalin/PFA-fixed paraffin-embedded sections) - Anti-GSH2 antibody [EPR29122-65] - BSA and Azide free (AB321995)
  • IHC-P

Supplier Data

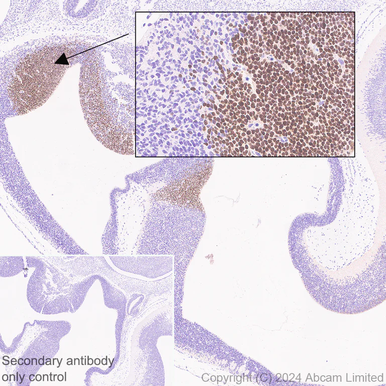
Immunohistochemistry (Formalin/PFA-fixed paraffin-embedded sections) - Anti-GSH2 antibody [EPR29122-65] - BSA and Azide free (AB321995)

This data was developed using ab321994, the same antibody clone in a different buffer formulation.

Immunohistochemical analysis of paraffin-embedded Mouse E12.5 brain tissue labeling GSH2 with ab321994 at 1/100 (5.19 ug/ml) dilution, followed by a ready to use LeicaDS9800 (Bond™ Polymer Refine Detection).

Positive staining on mouse E12.5 brain. The section was incubated with ab321994 for 30 mins at room temperature.
The immunostaining was performed on a Leica Biosystems BOND® RX instrument

Counterstained with Hematoxylin.

Secondary antibody only control : Secondary antibody is a ready to use LeicaDS9800 (Bond™ Polymer Refine Detection).

Heat mediated antigen retrieval was performed with Tris-EDTA buffer (pH 9.0, Epitope Retrieval Solution2) for 20 mins

Immunohistochemistry (Frozen sections) - Anti-GSH2 antibody [EPR29122-65] - BSA and Azide free (AB321995)
  • IHC-Fr

Supplier Data

Immunohistochemistry (Frozen sections) - Anti-GSH2 antibody [EPR29122-65] - BSA and Azide free (AB321995)

This data was developed using ab321994, the same antibody clone in a different buffer formulation.

Immunohistochemical analysis of 4% PFA-fixed, 0.2% Triton X-100 permeabilized frozen Mouse kidney (fresh frozen) tissue labeling GSH2 with ab321994 at 1/50 (10.38 ug/ml) dilution followed by ab150081 Goat Anti-Rabbit IgG H&L (Alexa Fluor® 488) preadsorbed at 1/1000 2 ug/mL dilution (Green).

Negative control : confocal image showing no staining on mouse kidney. The nuclear counterstain was DAPI (Blue). The section was incubated with ab321994 for 60 mins at room temperature. The section was then mounted using Fluoromount®.The immunostaining was performed on a Leica Biosystems BOND® RX instrument. Image was taken with a confocal microscope (Leica-Microsystems, TCS SP8).

Secondary antibody control : Secondary antibody is ab150081 Goat Anti-Rabbit IgG H&L (Alexa Fluor® 488) preadsorbedat 1/1000 2 ug/mL dilution.

Immunohistochemistry (Formalin/PFA-fixed paraffin-embedded sections) - Anti-GSH2 antibody [EPR29122-65] - BSA and Azide free (AB321995)
  • IHC-P

Supplier Data

Immunohistochemistry (Formalin/PFA-fixed paraffin-embedded sections) - Anti-GSH2 antibody [EPR29122-65] - BSA and Azide free (AB321995)

This data was developed using ab321994, the same antibody clone in a different buffer formulation.

Immunohistochemical analysis of paraffin-embedded Mouse cardiac muscle tissue labeling GSH2 with ab321994 at 1/100 (5.19 ug/ml) dilution, followed by a ready to use LeicaDS9800 (Bond™ Polymer Refine Detection).

Negative control : no staining on mouse cardiac muscle. The section was incubated with ab321994 for 30 mins at room temperature.
The immunostaining was performed on a Leica Biosystems BOND® RX instrument

Counterstained with Hematoxylin.

Secondary antibody only control : Secondary antibody is a ready to use LeicaDS9800 (Bond™ Polymer Refine Detection).

Heat mediated antigen retrieval was performed with Tris-EDTA buffer (pH 9.0, Epitope Retrieval Solution2) for 20 mins

Immunohistochemistry (Formalin/PFA-fixed paraffin-embedded sections) - Anti-GSH2 antibody [EPR29122-65] - BSA and Azide free (AB321995)
  • IHC-P

Supplier Data

Immunohistochemistry (Formalin/PFA-fixed paraffin-embedded sections) - Anti-GSH2 antibody [EPR29122-65] - BSA and Azide free (AB321995)

This data was developed using ab321994, the same antibody clone in a different buffer formulation.

Immunohistochemical analysis of paraffin-embedded Mouse kidney tissue labeling GSH2 with ab321994 at 1/100 (5.19 ug/ml) dilution, followed by a ready to use LeicaDS9800 (Bond™ Polymer Refine Detection).

Negative control : no staining on mouse kidney. The section was incubated with ab321994 for 30 mins at room temperature.
The immunostaining was performed on a Leica Biosystems BOND® RX instrument

Counterstained with Hematoxylin.

Secondary antibody only control : Secondary antibody is a ready to use LeicaDS9800 (Bond™ Polymer Refine Detection).

Heat mediated antigen retrieval was performed with Tris-EDTA buffer (pH 9.0, Epitope Retrieval Solution2) for 20 mins

Immunohistochemistry (Frozen sections) - Anti-GSH2 antibody [EPR29122-65] - BSA and Azide free (AB321995)
  • IHC-Fr

Supplier Data

Immunohistochemistry (Frozen sections) - Anti-GSH2 antibody [EPR29122-65] - BSA and Azide free (AB321995)

This data was developed using ab321994, the same antibody clone in a different buffer formulation.

Immunohistochemical analysis of 4% PFA-fixed, 0.2% Triton X-100 permeabilized frozen Mouse E14.5 cerebrum (fresh frozen) tissue labeling GSH2 with ab321994 at 1/50 (10.38 ug/ml) dilution followed by ab150081 Goat Anti-Rabbit IgG H&L (Alexa Fluor® 488) preadsorbed at 1/1000 2 ug/mL dilution (Green).

Panel A : merged staining of anti-GSX2 (ab321994, green) and anti-Ki67 (ab279653, magenta) on mouse E14.5 cerebrum. GSH2 co-localize with Ki67 (PMID : 32234482).
Panel B : anti-GSX2 stained on mouse E14.5 cerebrum.
Panel C : anti-Ki67 stained in dividing cells on mouse E14.5 cerebrum.
The section was incubated with ab321994 and ab279653 for 1 hr at room temperature. The nuclear counterstain was DAPI (Blue). The section was then mounted using Fluoromount®.The immunostaining was performed on a Leica Biosystems BOND® RX instrument. Image was taken with a confocal microscope (Leica-Microsystems, TCS SP8).

Secondary antibody control : Secondary antibody is ab150081 Goat Anti-Rabbit IgG H&L (Alexa Fluor® 488) preadsorbedat 1/1000 2 ug/mL dilution.

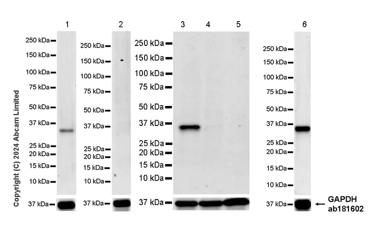
Western blot - Anti-GSH2 antibody [EPR29122-65] - BSA and Azide free (AB321995)
  • WB

Supplier Data

Western blot - Anti-GSH2 antibody [EPR29122-65] - BSA and Azide free (AB321995)

This data was developed using ab321994, the same antibody clone in a different buffer formulation.

Blocking and diluting buffer and concentration : 5% NFDM/TBST.

Negative control : lung, heart, kidney.

GSX2 is specifically expressed in the LGE of the embryo brain( PMID : 7619729; PMID : 19709628; PMID : 32122989; PMID : 21205889)

In Western blot, Anti-GAPDH antibody [EPR16891] - Loading Control (ab181602) staining at 1/200000 dilution.

All lanes:

Western blot - Anti-GSH2 antibody [EPR29122-65] (<a href='/en-us/products/primary-antibodies/gsh2-antibody-epr29122-65-ab321994'>ab321994</a>) at 1/1000 dilution

Lane 1:

Mouse E17 midbrain tissue lysate at 20 µg

Lane 2:

Mouse E17 kidney tissue lysate at 20 µg

Lane 3:

Mouse E17 brain tissue lysate at 20 µg

Lane 4:

Mouse E17 lung tissue lysate at 20 µg

Lane 5:

Mouse E14.5 heart tissue lysate at 20 µg

Lane 6:

Mouse E11.5 brain tissue lysate at 40 µg

Secondary

All lanes:

Western blot - Goat Anti-Rabbit IgG H&L (HRP) (<a href='/en-us/products/secondary-antibodies/goat-rabbit-igg-h-l-hrp-ab97051'>ab97051</a>) at 1/20000 dilution

Observed band size: 35 kDa,36 kDa

false

Exposure time: 180s

Dot Blot - Anti-GSH2 antibody [EPR29122-65] - BSA and Azide free (AB321995)
  • Dot

Supplier Data

Dot Blot - Anti-GSH2 antibody [EPR29122-65] - BSA and Azide free (AB321995)

This data was developed using ab321994, the same antibody clone in a different buffer formulation.

Dot blot analysis of GSH2 using ab321994 at 1 : 1000 (0.519 ug/ml) followed by a Goat Anti-Rabbit IgG, (H+L), Peroxidase conjugated (ab97051) at 1 : 100,000 dilution.

Lane1 : 293T cells transfected with a mouse GSH2 expression vector containing a myc-His-tag® whole cell lysate
Lane2 : 293T cells transfected with a mouse GSH1 expression vector containing a myc-His-tag® whole cell lysate

Exposure time : 180 seconds.

Blocking and diluting buffer and concentration : 5% NFDM/TBST.

This antibody does not cross-react with mouse GSH1.

#In Dot Blot, Anti-6X His tag® antibody [EPR20547] - ChIP Grade (ab213204) staining at 1/5000 dilution.

All lanes:

Dot Blot - Anti-GSH2 antibody [EPR29122-65] (<a href='/en-us/products/primary-antibodies/gsh2-antibody-epr29122-65-ab321994'>ab321994</a>) at 1/1000 dilution

Lane 1:

293T cells transfected with a mouse GSH2 expression vector containing a myc-His-tag&reg; whole cell lysate

Lane 2:

293T cells transfected with a mouse GSH1 expression vector containing a myc-His-tag&reg; whole cell lysate

Secondary

All lanes:

Dot Blot - Goat Anti-Rabbit IgG H&L (HRP) (<a href='/en-us/products/secondary-antibodies/goat-rabbit-igg-h-l-hrp-ab97051'>ab97051</a>) at 1/100000 dilution

false

Exposure time: 180s

Key facts

Host species

Rabbit

Clonality

Monoclonal

Clone number

EPR29122-65

Isotype

IgG

Carrier free

Yes

Reacts with

Mouse

Applications

Dot, WB, IHC-Fr, IHC-P

applications

Immunogen

The exact immunogen used to generate this antibody is proprietary information.

Specificity

Not working in mouse cell lines

Reactivity data

{ "title": "Reactivity Data", "filters": { "stats": ["", "Species", "Dilution Info", "Notes"], "tabs": { "all-applications": {"fullname" : "All Applications", "shortname": "All Applications"}, "Dot" : {"fullname" : "Dot Blot", "shortname":"Dot"}, "IHCFr" : {"fullname" : "Immunohistochemistry (Frozen sections)", "shortname":"IHC-Fr"}, "IHCP" : {"fullname" : "Immunohistochemistry (Formalin/PFA-fixed paraffin-embedded sections)", "shortname":"IHC-P"}, "WB" : {"fullname" : "Western blot", "shortname":"WB"} }, "product-promise": { "all": "all", "testedAndGuaranteed": "tested", "guaranteed": "expected", "predicted": "predicted", "notRecommended": "not-recommended" } }, "values": { "Human": { "Dot-species-checked": "notRecommended", "Dot-species-dilution-info": "", "Dot-species-notes": "", "IHCFr-species-checked": "notRecommended", "IHCFr-species-dilution-info": "", "IHCFr-species-notes": "", "IHCP-species-checked": "notRecommended", "IHCP-species-dilution-info": "", "IHCP-species-notes": "<p></p>", "WB-species-checked": "notRecommended", "WB-species-dilution-info": "", "WB-species-notes": "<p></p>" }, "Mouse": { "Dot-species-checked": "guaranteed", "Dot-species-dilution-info": "", "Dot-species-notes": "", "IHCFr-species-checked": "testedAndGuaranteed", "IHCFr-species-dilution-info": "", "IHCFr-species-notes": "<p></p>", "IHCP-species-checked": "testedAndGuaranteed", "IHCP-species-dilution-info": "", "IHCP-species-notes": "<p></p> Perform heat-mediated antigen retrieval with Tris/EDTA buffer pH 9.0 before commencing with IHC staining protocol.", "WB-species-checked": "testedAndGuaranteed", "WB-species-dilution-info": "", "WB-species-notes": "<p></p>" }, "Transfected cell lysate - Mouse": { "Dot-species-checked": "testedAndGuaranteed", "Dot-species-dilution-info": "", "Dot-species-notes": "<p></p>", "IHCFr-species-checked": "notRecommended", "IHCFr-species-dilution-info": "", "IHCFr-species-notes": "", "IHCP-species-checked": "notRecommended", "IHCP-species-dilution-info": "", "IHCP-species-notes": "", "WB-species-checked": "notRecommended", "WB-species-dilution-info": "", "WB-species-notes": "" } } }

Product details

ab321995 is the carrier-free version of ab321994.

Patented technology
Our RabMAb® technology is a patented hybridoma-based technology for making rabbit monoclonal antibodies. For details on our patents, please refer to RabMAb® patents.

What are the advantages of a recombinant monoclonal antibody?
This product is a recombinant monoclonal antibody, which offers several advantages including:

  • - High batch-to-batch consistency and reproducibility
  • - Improved sensitivity and specificity
  • - Long-term security of supply
  • - Animal-free batch production

For more information, read more on recombinant antibodies.

Conjugation ready
Our carrier-free antibodies are typically supplied in a PBS-only formulation, purified and free of BSA, sodium azide and glycerol. This conjugation-ready format is designed for use with fluorochromes, metal isotopes, oligonucleotides, and enzymes, which makes them ideal for antibody labelling, functional and cell-based assays, flow-based assays (e.g. mass cytometry) and Multiplex Imaging applications.

Use our conjugation kits for antibody conjugates that are ready-to-use in as little as 20 minutes with 1 minute hands-on-time and 100% antibody recovery: available for fluorescent dyes, HRP, biotin and gold.

Compatibility
This product is compatible with the Maxpar® Antibody Labeling Kit from Fluidigm, without the need for antibody preparation. Maxpar® is a trademark of Fluidigm Canada Inc.

Properties and storage information

Form
Liquid
Purification technique
Affinity purification Protein A
Storage buffer
pH: 7.2 - 7.4 Constituents: PBS
Shipped at conditions
Blue Ice
Appropriate short-term storage conditions
+4°C
Appropriate long-term storage conditions
+4°C

Supplementary information

This supplementary information is collated from multiple sources and compiled automatically.

GSH2 also known as glutathione synthetase 2 adds up to gamma-glutamylcysteine to create glutathione a tripeptide important in cellular defense against oxidative stress. It has a molecular mass of approximately 52 kDa. GSH2 shows expression in various tissues with higher levels in the liver and kidneys due to their roles in detoxification processes.
Biological function summary

The role of GSH2 involves maintaining intracellular redox balance and detoxifying harmful substances. GSH2 works closely with glutamate-cysteine ligase in the synthesis of glutathione. As part of the larger antioxidant system GSH2 ensures cells are protected from damage caused by reactive oxygen species.

Pathways

The glutathione synthesis pathway relies heavily on GSH2's activity influencing the glutathione metabolism pathway. This pathway is critical for antioxidant defense and various metabolic processes. GSH2 closely interacts with enzymes like glutathione reductase and glutathione peroxidase emphasizing its importance in maintaining cellular homeostasis.

GSH2 mutations or dysregulation can lead to conditions such as glutathione synthetase deficiency and oxidative stress-related disorders. These conditions often involve impaired glutathione metabolism linking GSH2 to neurological and metabolic dysfunctions. GSH2 mutations affect proteins like catalase and superoxide dismutase resulting in reduced efficiency in combating oxidative stress.

Product protocols

For this product, it's our understanding that no specific protocols are required. You can visit:

Target data

Transcription factor that binds 5'-CNAATTAG-3' DNA sequence and regulates the expression of numerous genes including genes important for brain development (PubMed : 7619729). During telencephalic development, causes ventralization of pallial progenitors and, depending on the developmental stage, specifies different neuronal fates. At early stages, necessary and sufficient to correctly specify the ventral lateral ganglionic eminence (LGE) and its major derivatives, the striatal projection neurons. At later stages, may specify LGE progenitors toward dorsal LGE fates, including olfactory bulb interneurons (PubMed : 19709628).
See full target information Gsx2

Product promise

We are committed to supporting your work with high-quality reagents, and we're here for you every step of the way. In the unlikely event that one of our products does not perform as expected, you're protected by our Product Promise.
For full details, please see our Terms & Conditions

Please note: All products are 'FOR RESEARCH USE ONLY. NOT FOR USE IN DIAGNOSTIC OR THERAPEUTIC PROCEDURES'.

For licensing inquiries, please contact partnerships@abcam.com