JavaScript is disabled in your browser. Please enable JavaScript to view this website.
AB28808

Anti-GSK3 alpha (phospho S21) antibody

Be the first to review this product! Submit a review

|

(6 Publications)

Rabbit Polyclonal GSK3 alpha phospho S21 antibody. Suitable for WB, IHC-P, ICC/IF and reacts with Human samples. Cited in 6 publications. Immunogen corresponding to Synthetic Peptide within Human Glycogen synthase kinase-3 alpha phospho S21.

View Alternative Names

Glycogen synthase kinase-3 alpha, GSK-3 alpha, Serine/threonine-protein kinase GSK3A, GSK3A

3 Images
Immunocytochemistry/ Immunofluorescence - Anti-GSK3 alpha (phospho S21) antibody (AB28808)
  • ICC/IF

Unknown

Immunocytochemistry/ Immunofluorescence - Anti-GSK3 alpha (phospho S21) antibody (AB28808)

ICC/IF image of ab28808 stained HeLa cells. The cells were 4% PFA fixed (10 min) and then incubated in 1%BSA / 10% normal goat serum / 0.3M glycine in 0.1% PBS-Tween for 1h to permeabilise the cells and block non-specific protein-protein interactions. The cells were then incubated with the antibody (ab28808, 1µg/ml) overnight at +4°C. The secondary antibody (green) was Alexa Fluor® 488 goat anti-rabbit IgG (H+L) used at a 1/1000 dilution for 1h. Alexa Fluor® 594 WGA was used to label plasma membranes (red) at a 1/200 dilution for 1h. DAPI was used to stain the cell nuclei (blue) at a concentration of 1.43µM.

Western blot - Anti-GSK3 alpha (phospho S21) antibody (AB28808)
  • WB

Unknown

Western blot - Anti-GSK3 alpha (phospho S21) antibody (AB28808)

All lanes:

Western blot - Anti-GSK3 alpha (phospho S21) antibody (ab28808) at 1/1000 dilution

Lane 1:

Extracts from ovary cancercells at 30 µg

Lane 2:

Extracts from ovary cancercells at 30 µg with synthesised non phosphopeptide

Lane 3:

Extracts from ovary cancercells at 30 µg with synthesised phosphopeptide

Predicted band size: 51 kDa

Observed band size: 50 kDa

false

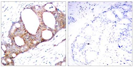
Immunohistochemistry (Formalin/PFA-fixed paraffin-embedded sections) - Anti-GSK3 alpha (phospho S21) antibody (AB28808)
  • IHC-P

Unknown

Immunohistochemistry (Formalin/PFA-fixed paraffin-embedded sections) - Anti-GSK3 alpha (phospho S21) antibody (AB28808)

Immunohistochemical analysis of paraffin embedded breast carcinoma, using primary CDK2 (Phospho-Thr160) ab28808 at 1 : 100 dilution and Alkaline Phosphatase AffiniPure Goat Anti-Rabbit IgG (H+L) secondary antibody. Left : Untreated; Right : Treated with synthesized phosphopeptide.

Key facts

Host species

Rabbit

Clonality

Polyclonal

Isotype

IgG

Carrier free

No

Reacts with

Human

Applications

ICC/IF, IHC-P, WB

applications

Immunogen

Synthetic Peptide within Human Glycogen synthase kinase-3 alpha phospho S21. The exact immunogen used to generate this antibody is proprietary information.

P49840

Reactivity data

{ "title": "Reactivity Data", "filters": { "stats": ["", "Species", "Dilution Info", "Notes"], "tabs": { "all-applications": {"fullname" : "All Applications", "shortname": "All Applications"}, "WB" : {"fullname" : "Western blot", "shortname":"WB"}, "IHCP" : {"fullname" : "Immunohistochemistry (Formalin/PFA-fixed paraffin-embedded sections)", "shortname":"IHC-P"}, "ICCIF" : {"fullname" : "Immunocytochemistry/ Immunofluorescence", "shortname":"ICC/IF"} }, "product-promise": { "all": "all", "testedAndGuaranteed": "tested", "guaranteed": "expected", "predicted": "predicted", "notRecommended": "not-recommended" } }, "values": { "Human": { "WB-species-checked": "testedAndGuaranteed", "WB-species-dilution-info": "", "WB-species-notes": "<p></p>", "IHCP-species-checked": "testedAndGuaranteed", "IHCP-species-dilution-info": "", "IHCP-species-notes": "<p></p>", "ICCIF-species-checked": "testedAndGuaranteed", "ICCIF-species-dilution-info": "1-5 µg/mL", "ICCIF-species-notes": "<p></p>" }, "Rat": { "WB-species-checked": "predicted", "WB-species-dilution-info": "", "WB-species-notes": "", "IHCP-species-checked": "predicted", "IHCP-species-dilution-info": "", "IHCP-species-notes": "", "ICCIF-species-checked": "predicted", "ICCIF-species-dilution-info": "", "ICCIF-species-notes": "" } } }

Properties and storage information

Form
Liquid
Purification technique
Affinity purification Immunogen
Storage buffer
pH: 7.4 Preservative: 0.02% Sodium azide Constituents: PBS, 50% Glycerol (glycerin, glycerine), 0.87% Sodium chloride
Shipped at conditions
Blue Ice
Appropriate short-term storage conditions
+4°C
Appropriate long-term storage conditions
-20°C
Aliquoting information
Upon delivery aliquot
Storage information
Avoid freeze / thaw cycle

Supplementary information

This supplementary information is collated from multiple sources and compiled automatically.

Glycogen synthase kinase 3 alpha (GSK3 alpha) is a serine/threonine protein kinase also known as GSK3A with a molecular mass of approximately 51 kDa. It plays an important role in the regulation of various cellular processes. GSK3 alpha is expressed in many tissues but has high levels in the brain heart and skeletal muscle. It participates in the phosphorylation of numerous substrates impacting their activity and stability.
Biological function summary

GSK3 alpha influences several cellular functions including cell division differentiation and apoptosis. It functions independently or as part of a protein complex often forming dimeric complexes with GSK3 beta. GSK3 alpha alters the activity of numerous transcription factors and regulates insulin and Wnt signaling pathways affecting glucose metabolism and cellular growth.

Pathways

GSK3 alpha is involved in the Wnt and insulin signaling pathways. In the Wnt pathway GSK3 alpha phosphorylates beta-catenin marking it for degradation and controlling gene expression. In the insulin pathway it modulates glycogen synthesis and affects glucose homeostasis. GSK3 alpha interacts closely with proteins like APC and glycogen synthase making it integral to these pathways.

GSK3 alpha links to neurodegenerative disorders and diabetes. Its dysfunction contributes to Alzheimer’s disease where abnormal phosphorylation of tau protein occurs. In the context of diabetes GSK3 alpha influences glucose regulation impacting insulin sensitivity and action. The interplay between GSK3 alpha and tau in Alzheimer's as well as insulin signaling proteins illustrates its important role in these disease pathways.

Product protocols

For this product, it's our understanding that no specific protocols are required. You can visit:

Target data

Constitutively active protein kinase that acts as a negative regulator in the hormonal control of glucose homeostasis, Wnt signaling and regulation of transcription factors and microtubules, by phosphorylating and inactivating glycogen synthase (GYS1 or GYS2), CTNNB1/beta-catenin, APC and AXIN1 (PubMed : 11749387, PubMed : 17478001, PubMed : 19366350). Requires primed phosphorylation of the majority of its substrates (PubMed : 11749387, PubMed : 17478001, PubMed : 19366350). Contributes to insulin regulation of glycogen synthesis by phosphorylating and inhibiting GYS1 activity and hence glycogen synthesis (PubMed : 11749387, PubMed : 17478001, PubMed : 19366350). Regulates glycogen metabolism in liver, but not in muscle (By similarity). May also mediate the development of insulin resistance by regulating activation of transcription factors (PubMed : 10868943, PubMed : 17478001). In Wnt signaling, regulates the level and transcriptional activity of nuclear CTNNB1/beta-catenin (PubMed : 17229088). Facilitates amyloid precursor protein (APP) processing and the generation of APP-derived amyloid plaques found in Alzheimer disease (PubMed : 12761548). May be involved in the regulation of replication in pancreatic beta-cells (By similarity). Is necessary for the establishment of neuronal polarity and axon outgrowth (By similarity). Through phosphorylation of the anti-apoptotic protein MCL1, may control cell apoptosis in response to growth factors deprivation (By similarity). Acts as a regulator of autophagy by mediating phosphorylation of KAT5/TIP60 under starvation conditions which activates KAT5/TIP60 acetyltransferase activity and promotes acetylation of key autophagy regulators, such as ULK1 and RUBCNL/Pacer (PubMed : 30704899). Negatively regulates extrinsic apoptotic signaling pathway via death domain receptors. Promotes the formation of an anti-apoptotic complex, made of DDX3X, BRIC2 and GSK3B, at death receptors, including TNFRSF10B. The anti-apoptotic function is most effective with weak apoptotic signals and can be overcome by stronger stimulation (By similarity). Phosphorylates mTORC2 complex component RICTOR at 'Thr-1695' which facilitates FBXW7-mediated ubiquitination and subsequent degradation of RICTOR (PubMed : 25897075).
See full target information Glycogen synthase kinase-3 alpha phospho S21

Publications (6)

Recent publications for all applications. Explore the full list and refine your search

Aging 13:22528-22543 PubMed34555811

2021

Inhibition of FSTL3 abates the proliferation and metastasis of renal cell carcinoma via the GSK-3β/β-catenin signaling pathway.

Applications

Unspecified application

Species

Unspecified reactive species

Fengfeng Sun,Peng Sun,Xiaofeng Yang,Liangliang Hu,Jianguo Gao,Tao Tian

Cellular physiology and biochemistry : internation 42:1177-1191 PubMed28662516

2017

Integrated High Throughput Analysis Identifies GSK3 as a Crucial Determinant of p53-Mediated Apoptosis in Lung Cancer Cells.

Applications

Unspecified application

Species

Unspecified reactive species

Yu Zhang,Chenyang Zhu,Bangyao Sun,Jiawei Lv,Zhonghua Liu,Shengwang Liu,Hai Li

Oncology letters 12:3499-3505 PubMed27900027

2016

Notch4 inhibition reduces migration and invasion and enhances sensitivity to docetaxel by inhibiting Akt/fascin in pancreatic cancer cells.

Applications

WB

Species

Human

Cui-Juan Qian,Yi-Yi Chen,Xin Zhang,Fu-Qiang Liu,Ting-Ting Yue,Bei Ye,Jun Yao

PloS one 8:e84442 PubMed24376810

2013

Increasing brain protein O-GlcNAc-ylation mitigates breathing defects and mortality of Tau.P301L mice.

Applications

WB

Species

Mouse

Peter Borghgraef,Clément Menuet,Clara Theunis,Justin V Louis,Herman Devijver,Hervé Maurin,Caroline Smet-Nocca,Guy Lippens,Gerard Hilaire,Harrie Gijsen,Dieder Moechars,Fred Van Leuven

American journal of physiology. Heart and circulat 300:H2187-95 PubMed21421818

2011

Dysfunctional ryanodine receptor and cardiac hypertrophy: role of signaling molecules.

Applications

WB

Species

Mouse

Naohiro Yamaguchi,Asima Chakraborty,Daniel A Pasek,Jeffery D Molkentin,Gerhard Meissner

The Journal of neuroscience : the official journal of the Society for Neuroscience 30:8830-40 PubMed20592205

2010

Protein Phosphatase 2a and glycogen synthase kinase 3 signaling modulate prepulse inhibition of the acoustic startle response by altering cortical M-Type potassium channel activity.

Applications

WB

Species

Mouse

David Kapfhamer,Karen H Berger,F Woodward Hopf,Taban Seif,Viktor Kharazia,Antonello Bonci,Ulrike Heberlein
View all publications

Product promise

We are committed to supporting your work with high-quality reagents, and we're here for you every step of the way. In the unlikely event that one of our products does not perform as expected, you're protected by our Product Promise.
For full details, please see our Terms & Conditions

Please note: All products are 'FOR RESEARCH USE ONLY. NOT FOR USE IN DIAGNOSTIC OR THERAPEUTIC PROCEDURES'.

For licensing inquiries, please contact partnerships@abcam.com