JavaScript is disabled in your browser. Please enable JavaScript to view this website.
AB93926

Anti-GSK3 beta antibody [3D10]

4

(8 Reviews)

|

(195 Publications)

Anti-GSK3 beta antibody [3D10] (ab93926) is a mouse monoclonal antibody detecting GSK3 beta in Western Blot, Flow Cytometry, IHC-P, ICC/IF. Suitable for Human, Mouse, Rat.

- Over 150 publications
- Trusted since 2010

View Alternative Names

Glycogen synthase kinase-3 beta, GSK-3 beta, Serine/threonine-protein kinase GSK3B, GSK3B

4 Images
Western blot - Anti-GSK3 beta antibody [3D10] (AB93926)
  • WB

Unknown

Western blot - Anti-GSK3 beta antibody [3D10] (AB93926)

All lanes:

Western blot - Anti-GSK3 beta antibody [3D10] (ab93926) at 1/500 dilution

Lane 1:

A549 cell lysate

Lane 2:

K562 cell lysate

Lane 3:

PC-12 cell lysate

Lane 4:

NIH/3T3 cell lysate

Lane 5:

HEK293 cell lysate

Predicted band size: 46 kDa

false

Flow Cytometry - Anti-GSK3 beta antibody [3D10] (AB93926)
  • Flow Cyt

Unknown

Flow Cytometry - Anti-GSK3 beta antibody [3D10] (AB93926)

Overlay histogram showing HeLa cells stained with ab93926 (red line). The cells were fixed with 80% methanol (5 min) and then permeabilized with 0.1% PBS-Tween for 20 min. The cells were then incubated in 1x PBS / 10% normal goat serum / 0.3M glycine to block non-specific protein-protein interactions followed by the antibody (ab93926, 0.5μg/1x106 cells) for 30 min at 22°C. The secondary antibody used was DyLight® 488 goat anti-mouse IgG (H+L) (ab96879) at 1/500 dilution for 30 min at 22°C. Isotype control antibody (black line) was mouse IgG2a [ICIGG2A] (ab91361, 1μg/1x106 cells) used under the same conditions. Acquisition of >5,000 events was performed.

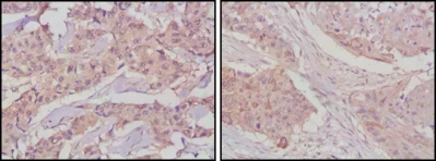
Immunohistochemistry (Formalin/PFA-fixed paraffin-embedded sections) - Anti-GSK3 beta antibody [3D10] (AB93926)
  • IHC-P

Unknown

Immunohistochemistry (Formalin/PFA-fixed paraffin-embedded sections) - Anti-GSK3 beta antibody [3D10] (AB93926)

ab93926, at a 1/4000 dilution, staining GSK3 beta in paraffin embedded Human lung cancer (left) and breast cancer (right) tissues by Immunohistochemistry. Detection : DAB staining.

Immunocytochemistry/ Immunofluorescence - Anti-GSK3 beta antibody [3D10] (AB93926)
  • ICC/IF

Unknown

Immunocytochemistry/ Immunofluorescence - Anti-GSK3 beta antibody [3D10] (AB93926)

ab93926, at a 1/4000 dilution, staining GSK3 beta in NIH/3T3 cells (left) and U251 cells (right) by Immunofluorescence (green). DRAQ5 fluorescent DNA dye is blue and Actin filaments have been labeled with Alexa Fluor-555 phalloidin (red).

Key facts

Host species

Mouse

Clonality

Monoclonal

Clone number

3D10

Isotype

IgG2a

Carrier free

No

Reacts with

Mouse, Rat, Human

Applications

WB, Flow Cyt, ICC/IF, IHC-P

applications

Immunogen

Recombinant Fragment Protein within Human GSK3B. The exact immunogen used to generate this antibody is proprietary information.

P49841

Reactivity data

{ "title": "Reactivity Data", "filters": { "stats": ["", "Species", "Dilution Info", "Notes"], "tabs": { "all-applications": {"fullname" : "All Applications", "shortname": "All Applications"}, "FlowCyt" : {"fullname" : "Flow Cytometry", "shortname":"Flow Cyt"}, "WB" : {"fullname" : "Western blot", "shortname":"WB"}, "IHCP" : {"fullname" : "Immunohistochemistry (Formalin/PFA-fixed paraffin-embedded sections)", "shortname":"IHC-P"}, "ICCIF" : {"fullname" : "Immunocytochemistry/ Immunofluorescence", "shortname":"ICC/IF"} }, "product-promise": { "all": "all", "testedAndGuaranteed": "tested", "guaranteed": "expected", "predicted": "predicted", "notRecommended": "not-recommended" } }, "values": { "Human": { "FlowCyt-species-checked": "testedAndGuaranteed", "FlowCyt-species-dilution-info": "0.5 µg for 10^6 Cells", "FlowCyt-species-notes": "<p><a href='/en-us/products/primary-antibodies/mouse-igg2c-kappa-monoclonal-18c8bc7ad10-isotype-control-ab170191'>ab170191</a> - Mouse monoclonal IgG2a, is suitable for use as an isotype control with this antibody.</p>", "WB-species-checked": "testedAndGuaranteed", "WB-species-dilution-info": "1/500 - 1/2000", "WB-species-notes": "<p></p>", "IHCP-species-checked": "testedAndGuaranteed", "IHCP-species-dilution-info": "1/4000 - 1/10000", "IHCP-species-notes": "<p></p>", "ICCIF-species-checked": "guaranteed", "ICCIF-species-dilution-info": "", "ICCIF-species-notes": "" }, "Mouse": { "FlowCyt-species-checked": "guaranteed", "FlowCyt-species-dilution-info": "", "FlowCyt-species-notes": "", "WB-species-checked": "testedAndGuaranteed", "WB-species-dilution-info": "1/500 - 1/2000", "WB-species-notes": "<p></p>", "IHCP-species-checked": "guaranteed", "IHCP-species-dilution-info": "", "IHCP-species-notes": "", "ICCIF-species-checked": "testedAndGuaranteed", "ICCIF-species-dilution-info": "1/200 - 1/1000", "ICCIF-species-notes": "<p></p>" }, "Rat": { "FlowCyt-species-checked": "guaranteed", "FlowCyt-species-dilution-info": "", "FlowCyt-species-notes": "", "WB-species-checked": "testedAndGuaranteed", "WB-species-dilution-info": "1/500 - 1/2000", "WB-species-notes": "<p></p>", "IHCP-species-checked": "guaranteed", "IHCP-species-dilution-info": "", "IHCP-species-notes": "", "ICCIF-species-checked": "guaranteed", "ICCIF-species-dilution-info": "", "ICCIF-species-notes": "" } } }

Product details

What is this antibody validated in?
Anti-GSK3 beta antibody [3D10] (ab93926) is a mouse monoclonal antibody and is validated for use in Western Blot (WB), Flow Cytometry (Flow Cyt), Immunohistochemistry (IHC-P), Immunocytochemistry/immunofluorescence (ICC/IF) in Human, Mouse, Rat samples.

What is the molecular weight of GSK3 beta?
Anti-GSK3 beta [3D10] (ab93926) specifically detects a band for GSK3 beta (UniProt: P49841) at a molecular weight of 47kDa.

Trusted by the scientific community
Anti-GSK3 beta [3D10] (ab93926) was first used in a scientific publication in 2010 and has been cited over 150 times in peer-reviewed journals.

Reviewed by scientists
Anti-GSK3 beta [3D10] (ab93926) has over 5 independent reviews from customers.

Properties and storage information

Form
Liquid
Purification technique
Affinity purification Protein G
Purification notes
Purified from tissue culture supernatant.
Storage buffer
Preservative: 0.05% Sodium azide Constituents: PBS
Shipped at conditions
Blue Ice
Appropriate short-term storage conditions
+4°C
Appropriate long-term storage conditions
-20°C

Supplementary information

This supplementary information is collated from multiple sources and compiled automatically.

Glycogen synthase kinase 3 beta or GSK3 beta is a serine/threonine protein kinase that regulates various cellular processes. It is also referred to as GSK3B and has a molecular weight of approximately 47 kilodaltons (kDa). This enzyme is widely expressed in many tissues with notably high expression levels in the brain. Mechanically GSK3 beta phosphorylates target proteins affecting their activity stability and interactions with other proteins.
Biological function summary

As an important regulatory protein GSK3 beta plays a role in multiple cellular functions including metabolism cell cycle and cell signaling. It often interacts with components in signaling complexes and modulates the activity of these complexes involving phosphorylation. It is involved in the regulation of transcription factors such as c-Myc and Β-catenin influencing cell fate and survival. This ability to modulate diverse functions highlights GSK3 beta's importance in cellular regulation.

Pathways

GSK3 beta participates in significant signaling pathways such as the Wnt/Β-catenin and insulin signaling pathways. In the Wnt pathway GSK3 beta phosphorylates Β-catenin marking it for degradation which regulates gene transcription. In insulin signaling it interacts with proteins like AKT to mediate glycogen synthesis. These interactions highlight its role in maintaining cellular homeostasis and energy balance.

GSK3 beta has implications in Alzheimer's disease and type 2 diabetes. It is associated with tau protein hyperphosphorylation and neurofibrillary tangles in Alzheimer's disease. In diabetes its role in insulin signaling impacts glucose metabolism. Further GSK3 beta's dysfunction relates to disrupted signaling related to these conditions positioning it as a potential therapeutic target.

Product protocols

For this product, it's our understanding that no specific protocols are required. You can visit:

Target data

Constitutively active protein kinase that acts as a negative regulator in the hormonal control of glucose homeostasis, Wnt signaling and regulation of transcription factors and microtubules, by phosphorylating and inactivating glycogen synthase (GYS1 or GYS2), EIF2B, CTNNB1/beta-catenin, APC, AXIN1, DPYSL2/CRMP2, JUN, NFATC1/NFATC, MAPT/TAU and MACF1 (PubMed : 11430833, PubMed : 12554650, PubMed : 14690523, PubMed : 16484495, PubMed : 1846781, PubMed : 20937854, PubMed : 9072970). Requires primed phosphorylation of the majority of its substrates (PubMed : 11430833, PubMed : 16484495). In skeletal muscle, contributes to insulin regulation of glycogen synthesis by phosphorylating and inhibiting GYS1 activity and hence glycogen synthesis (PubMed : 8397507). May also mediate the development of insulin resistance by regulating activation of transcription factors (PubMed : 8397507). Regulates protein synthesis by controlling the activity of initiation factor 2B (EIF2BE/EIF2B5) in the same manner as glycogen synthase (PubMed : 8397507). In Wnt signaling, GSK3B forms a multimeric complex with APC, AXIN1 and CTNNB1/beta-catenin and phosphorylates the N-terminus of CTNNB1 leading to its degradation mediated by ubiquitin/proteasomes (PubMed : 12554650). Phosphorylates JUN at sites proximal to its DNA-binding domain, thereby reducing its affinity for DNA (PubMed : 1846781). Phosphorylates NFATC1/NFATC on conserved serine residues promoting NFATC1/NFATC nuclear export, shutting off NFATC1/NFATC gene regulation, and thereby opposing the action of calcineurin (PubMed : 9072970). Phosphorylates MAPT/TAU on 'Thr-548', decreasing significantly MAPT/TAU ability to bind and stabilize microtubules (PubMed : 14690523). MAPT/TAU is the principal component of neurofibrillary tangles in Alzheimer disease (PubMed : 14690523). Plays an important role in ERBB2-dependent stabilization of microtubules at the cell cortex (PubMed : 20937854). Phosphorylates MACF1, inhibiting its binding to microtubules which is critical for its role in bulge stem cell migration and skin wound repair (By similarity). Probably regulates NF-kappa-B (NFKB1) at the transcriptional level and is required for the NF-kappa-B-mediated anti-apoptotic response to TNF-alpha (TNF/TNFA) (By similarity). Negatively regulates replication in pancreatic beta-cells, resulting in apoptosis, loss of beta-cells and diabetes (By similarity). Through phosphorylation of the anti-apoptotic protein MCL1, may control cell apoptosis in response to growth factors deprivation (By similarity). Phosphorylates MUC1 in breast cancer cells, decreasing the interaction of MUC1 with CTNNB1/beta-catenin (PubMed : 9819408). Is necessary for the establishment of neuronal polarity and axon outgrowth (PubMed : 20067585). Phosphorylates MARK2, leading to inhibition of its activity (By similarity). Phosphorylates SIK1 at 'Thr-182', leading to sustainment of its activity (PubMed : 18348280). Phosphorylates ZC3HAV1 which enhances its antiviral activity (PubMed : 22514281). Phosphorylates SNAI1, leading to its ubiquitination and proteasomal degradation (PubMed : 15448698, PubMed : 15647282, PubMed : 25827072, PubMed : 29059170). Phosphorylates SFPQ at 'Thr-687' upon T-cell activation (PubMed : 20932480). Phosphorylates NR1D1 st 'Ser-55' and 'Ser-59' and stabilizes it by protecting it from proteasomal degradation. Regulates the circadian clock via phosphorylation of the major clock components including BMAL1, CLOCK and PER2 (PubMed : 19946213, PubMed : 28903391). Phosphorylates FBXL2 at 'Thr-404' and primes it for ubiquitination by the SCF(FBXO3) complex and proteasomal degradation (By similarity). Phosphorylates CLOCK AT 'Ser-427' and targets it for proteasomal degradation (PubMed : 19946213). Phosphorylates BMAL1 at 'Ser-17' and 'Ser-21' and primes it for ubiquitination and proteasomal degradation (PubMed : 28903391). Phosphorylates OGT at 'Ser-3' or 'Ser-4' which positively regulates its activity. Phosphorylates MYCN in neuroblastoma cells which may promote its degradation (PubMed : 24391509). Regulates the circadian rhythmicity of hippocampal long-term potentiation and BMAL1 and PER2 expression (By similarity). Acts as a regulator of autophagy by mediating phosphorylation of KAT5/TIP60 under starvation conditions, activating KAT5/TIP60 acetyltransferase activity and promoting acetylation of key autophagy regulators, such as ULK1 and RUBCNL/Pacer (PubMed : 30704899). Negatively regulates extrinsic apoptotic signaling pathway via death domain receptors. Promotes the formation of an anti-apoptotic complex, made of DDX3X, BRIC2 and GSK3B, at death receptors, including TNFRSF10B. The anti-apoptotic function is most effective with weak apoptotic signals and can be overcome by stronger stimulation (PubMed : 18846110). Phosphorylates E2F1, promoting the interaction between E2F1 and USP11, stabilizing E2F1 and promoting its activity (PubMed : 17050006, PubMed : 28992046). Phosphorylates mTORC2 complex component RICTOR at 'Thr-1695' which facilitates FBXW7-mediated ubiquitination and subsequent degradation of RICTOR (PubMed : 25897075). Phosphorylates FXR1, promoting FXR1 ubiquitination by the SCF(FBXO4) complex and FXR1 degradation by the proteasome (By similarity). Phosphorylates interleukin-22 receptor subunit IL22RA1, preventing its proteasomal degradation (By similarity).
See full target information GSK3B

Publications (195)

Recent publications for all applications. Explore the full list and refine your search

Nature communications 16:8857 PubMed41053170

2025

Discovery of a CNS active GSK3 degrader using orthogonally reactive linker screening.

Applications

Unspecified application

Species

Unspecified reactive species

Andreas Holmqvist,Nur Mehpare Kocaturk,Christina Duncan,Jennifer Riley,Steven Baginski,Graham Marsh,Joel Cresser-Brown,Hannah Maple,Kristiina Juvonen,Gajanan Sathe,Nicola Morrice,Calum Sutherland,Kevin D Read,William Farnaby

The European journal of neuroscience 62:e70202 PubMed40676806

2025

GSK-3β and mTOR Phosphorylation Mediate the Reversible Regulation of Hypomagnetic Field on Adult Neural Stem Cell Proliferation.

Applications

Unspecified application

Species

Unspecified reactive species

Jie Ren,Fulai Li,Jianxun Shen,Lanxiang Tian,Yongxin Pan

Biomolecules & biomedicine 25:2035-2049 PubMed39976471

2025

Study on the mechanism of Wnt/β-catenin pathway mediated by pterostilbene to reduce cerebral ischemia-reperfusion injury.

Applications

Unspecified application

Species

Unspecified reactive species

Yang Jin,Chunwang Fu,Ming Guo,Qiang Yang

Medical gas research 15:339-347 PubMed39511756

2024

H 2 protects H9c2 cells from hypoxia/reoxygenation injury by inhibiting the Wnt/CX3CR1 signaling pathway.

Applications

Unspecified application

Species

Unspecified reactive species

Jingsheng Wang,Bin Ma,Xue Jiang,Chao Li,Zhaochen Lin,Yumei Wang,Jingfei Shi,Gang Wang,Chao Cui

Molecular medicine reports 30: PubMed39392030

2024

Exploring the protective effect and molecular mechanism of betulin in Alzheimer's disease based on network pharmacology, molecular docking and experimental validation.

Applications

Unspecified application

Species

Unspecified reactive species

Na Wang,Jiali Cui,Ziteng Sun,Fan Chen,Xiaping He

Neuroendocrinology 114:1090-1111 PubMed39348823

2024

Intranasal Application of Diluted Saline Alleviates Ischemic Brain Injury in Association with Suppression of Vasopressin Neurons.

Applications

Unspecified application

Species

Unspecified reactive species

Chunmei Hou,Guichuan Chen,Di Li,Xiaoran Wang,Xiaoyu Liu,Dan Cui,Yunhao Jiang,Yang Liu,Ping Wang,Yu-Feng Wang,Dexin Meng,Shuwei Jia

Translational cancer research 13:4205-4218 PubMed39262496

2024

The role of chromatin modulator DPY30 in glucose metabolism of colorectal cancer cells.

Applications

Unspecified application

Species

Unspecified reactive species

Xiaomei Mao,Shiqin Yang,Ye Zhang,Huajun Yang,Danhong Yan,Lingzhi Zhang

Frontiers in pharmacology 15:1339758 PubMed38948458

2024

Network analysis combined with experimental assessment to explore the therapeutic mechanisms of New Shenqi Pills formula targeting mitochondria on senile diabetes mellitus.

Applications

Unspecified application

Species

Unspecified reactive species

YueYing Zhang,Yang Zhou,ZhiGe Wen,HaoShuo Wang,Shan Zhang,Qing Ni

Redox biology 73:103221 PubMed38843768

2024

Biliverdin Reductase-A integrates insulin signaling with mitochondrial metabolism through phosphorylation of GSK3β.

Applications

Unspecified application

Species

Unspecified reactive species

Chiara Lanzillotta,Antonella Tramutola,Simona Lanzillotta,Viviana Greco,Sara Pagnotta,Caterina Sanchini,Silvia Di Angelantonio,Elena Forte,Serena Rinaldo,Alessio Paone,Francesca Cutruzzolà,Flavia Agata Cimini,Ilaria Barchetta,Maria Gisella Cavallo,Andrea Urbani,D Allan Butterfield,Fabio Di Domenico,Bindu D Paul,Marzia Perluigi,Joao M N Duarte,Eugenio Barone

Renal failure 46:2347462 PubMed38832497

2024

Oridonin ameliorates renal fibrosis in diabetic nephropathy by inhibiting the Wnt/β-catenin signaling pathway.

Applications

Unspecified application

Species

Unspecified reactive species

Jushuang Li,Lan Shu,Qianqian Jiang,Baohong Feng,Zhimin Bi,Geli Zhu,Yanxia Zhang,Xiangyou Li,Jun Wu
View all publications

Product promise

We are committed to supporting your work with high-quality reagents, and we're here for you every step of the way. In the unlikely event that one of our products does not perform as expected, you're protected by our Product Promise.
For full details, please see our Terms & Conditions

Please note: All products are 'FOR RESEARCH USE ONLY. NOT FOR USE IN DIAGNOSTIC OR THERAPEUTIC PROCEDURES'.

For licensing inquiries, please contact partnerships@abcam.com