JavaScript is disabled in your browser. Please enable JavaScript to view this website.
AB131356

Anti-GSK3 beta antibody

Be the first to review this product! Submit a review

|

(29 Publications)

Rabbit Polyclonal GSK3 beta antibody. Suitable for WB, ICC/IF, IHC-P and reacts with Human, Rat, Mouse samples. Cited in 29 publications. Immunogen corresponding to Synthetic Peptide within Human GSK3B aa 1-50 conjugated to Keyhole Limpet Haemocyanin.

View Alternative Names

Glycogen synthase kinase-3 beta, GSK-3 beta, Serine/threonine-protein kinase GSK3B, GSK3B

3 Images
Western blot - Anti-GSK3 beta antibody (AB131356)
  • WB

Unknown

Western blot - Anti-GSK3 beta antibody (AB131356)

All lanes:

Western blot - Anti-GSK3 beta antibody (ab131356) at 1/500 dilution

Lane 1:

A2780 cell extract

Lane 2:

HT29 cell extract

Predicted band size: 46 kDa

false

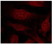
Immunocytochemistry/ Immunofluorescence - Anti-GSK3 beta antibody (AB131356)
  • ICC/IF

Unknown

Immunocytochemistry/ Immunofluorescence - Anti-GSK3 beta antibody (AB131356)

Immunofluorescence of methanol-fixed HeLa cells staining GSK3 beta with ab131356 at a dilution of 1/100.

Immunohistochemistry (Formalin/PFA-fixed paraffin-embedded sections) - Anti-GSK3 beta antibody (AB131356)
  • IHC-P

Unknown

Immunohistochemistry (Formalin/PFA-fixed paraffin-embedded sections) - Anti-GSK3 beta antibody (AB131356)

Immunohistochemical analysis of paraffin embedded Human breast carcinoma tissue labelling GSK3 beta with ab131356 at a dilution of 1/50. Picture on the right was preincubated with blocking peptide.

Key facts

Host species

Rabbit

Clonality

Polyclonal

Isotype

IgG

Carrier free

No

Reacts with

Human, Rat, Mouse

Applications

WB, IHC-P, ICC/IF

applications

Immunogen

Synthetic Peptide within Human GSK3B aa 1-50 conjugated to Keyhole Limpet Haemocyanin. The exact immunogen used to generate this antibody is proprietary information.

P49841

Specificity

ab131356 detects endogenous level of GSK3 beta, may cross react with GSK3 alpha due to sequence homology.

Reactivity data

{ "title": "Reactivity Data", "filters": { "stats": ["", "Species", "Dilution Info", "Notes"], "tabs": { "all-applications": {"fullname" : "All Applications", "shortname": "All Applications"}, "WB" : {"fullname" : "Western blot", "shortname":"WB"}, "ICCIF" : {"fullname" : "Immunocytochemistry/ Immunofluorescence", "shortname":"ICC/IF"}, "IHCP" : {"fullname" : "Immunohistochemistry (Formalin/PFA-fixed paraffin-embedded sections)", "shortname":"IHC-P"} }, "product-promise": { "all": "all", "testedAndGuaranteed": "tested", "guaranteed": "expected", "predicted": "predicted", "notRecommended": "not-recommended" } }, "values": { "Human": { "WB-species-checked": "testedAndGuaranteed", "WB-species-dilution-info": "1/500 - 1/1000", "WB-species-notes": "<p></p>", "ICCIF-species-checked": "testedAndGuaranteed", "ICCIF-species-dilution-info": "1/100 - 1/200", "ICCIF-species-notes": "<p></p>", "IHCP-species-checked": "testedAndGuaranteed", "IHCP-species-dilution-info": "1/50 - 1/100", "IHCP-species-notes": "<p></p>" }, "Mouse": { "WB-species-checked": "guaranteed", "WB-species-dilution-info": "1/500 - 1/1000", "WB-species-notes": "<p></p>", "ICCIF-species-checked": "guaranteed", "ICCIF-species-dilution-info": "1/100 - 1/200", "ICCIF-species-notes": "<p></p>", "IHCP-species-checked": "guaranteed", "IHCP-species-dilution-info": "1/50 - 1/100", "IHCP-species-notes": "<p></p>" }, "Rat": { "WB-species-checked": "guaranteed", "WB-species-dilution-info": "1/500 - 1/1000", "WB-species-notes": "<p></p>", "ICCIF-species-checked": "guaranteed", "ICCIF-species-dilution-info": "1/100 - 1/199", "ICCIF-species-notes": "<p></p>", "IHCP-species-checked": "guaranteed", "IHCP-species-dilution-info": "1/50 - 1/100", "IHCP-species-notes": "<p></p>" } } }

Have you thought about this alternative?

AB185141

Anti-GSK3 beta + GSK3 alpha antibody [EPR18814-102]

0
0 Reviews
View product

We’re constantly upgrading our range to offer the highest quality products. We have selected this alternative product for your review because it gives improved performance, is easier and more convenient to use, or is available faster.

Properties and storage information

Form
Liquid
Purification technique
Affinity purification Immunogen
Purification notes
ab131356 is purified by affinity chromatography using epitope specific peptide.
Storage buffer
pH: 7.4 Preservative: 0.02% Sodium azide Constituents: 50% Glycerol (glycerin, glycerine), 49% PBS, 0.88% Sodium chloride
Shipped at conditions
Blue Ice
Appropriate short-term storage conditions
+4°C
Appropriate long-term storage conditions
-20°C
Storage information
Stable for 12 months at -20°C

Supplementary information

This supplementary information is collated from multiple sources and compiled automatically.

Glycogen synthase kinase 3 beta or GSK3 beta is a serine/threonine protein kinase that regulates various cellular processes. It is also referred to as GSK3B and has a molecular weight of approximately 47 kilodaltons (kDa). This enzyme is widely expressed in many tissues with notably high expression levels in the brain. Mechanically GSK3 beta phosphorylates target proteins affecting their activity stability and interactions with other proteins.
Biological function summary

As an important regulatory protein GSK3 beta plays a role in multiple cellular functions including metabolism cell cycle and cell signaling. It often interacts with components in signaling complexes and modulates the activity of these complexes involving phosphorylation. It is involved in the regulation of transcription factors such as c-Myc and β-catenin influencing cell fate and survival. This ability to modulate diverse functions highlights GSK3 beta's importance in cellular regulation.

Pathways

GSK3 beta participates in significant signaling pathways such as the Wnt/β-catenin and insulin signaling pathways. In the Wnt pathway GSK3 beta phosphorylates β-catenin marking it for degradation which regulates gene transcription. In insulin signaling it interacts with proteins like AKT to mediate glycogen synthesis. These interactions highlight its role in maintaining cellular homeostasis and energy balance.

GSK3 beta has implications in Alzheimer's disease and type 2 diabetes. It is associated with tau protein hyperphosphorylation and neurofibrillary tangles in Alzheimer's disease. In diabetes its role in insulin signaling impacts glucose metabolism. Further GSK3 beta's dysfunction relates to disrupted signaling related to these conditions positioning it as a potential therapeutic target.

Product protocols

For this product, it's our understanding that no specific protocols are required. You can visit:

Target data

Constitutively active protein kinase that acts as a negative regulator in the hormonal control of glucose homeostasis, Wnt signaling and regulation of transcription factors and microtubules, by phosphorylating and inactivating glycogen synthase (GYS1 or GYS2), EIF2B, CTNNB1/beta-catenin, APC, AXIN1, DPYSL2/CRMP2, JUN, NFATC1/NFATC, MAPT/TAU and MACF1 (PubMed : 11430833, PubMed : 12554650, PubMed : 14690523, PubMed : 16484495, PubMed : 1846781, PubMed : 20937854, PubMed : 9072970). Requires primed phosphorylation of the majority of its substrates (PubMed : 11430833, PubMed : 16484495). In skeletal muscle, contributes to insulin regulation of glycogen synthesis by phosphorylating and inhibiting GYS1 activity and hence glycogen synthesis (PubMed : 8397507). May also mediate the development of insulin resistance by regulating activation of transcription factors (PubMed : 8397507). Regulates protein synthesis by controlling the activity of initiation factor 2B (EIF2BE/EIF2B5) in the same manner as glycogen synthase (PubMed : 8397507). In Wnt signaling, GSK3B forms a multimeric complex with APC, AXIN1 and CTNNB1/beta-catenin and phosphorylates the N-terminus of CTNNB1 leading to its degradation mediated by ubiquitin/proteasomes (PubMed : 12554650). Phosphorylates JUN at sites proximal to its DNA-binding domain, thereby reducing its affinity for DNA (PubMed : 1846781). Phosphorylates NFATC1/NFATC on conserved serine residues promoting NFATC1/NFATC nuclear export, shutting off NFATC1/NFATC gene regulation, and thereby opposing the action of calcineurin (PubMed : 9072970). Phosphorylates MAPT/TAU on 'Thr-548', decreasing significantly MAPT/TAU ability to bind and stabilize microtubules (PubMed : 14690523). MAPT/TAU is the principal component of neurofibrillary tangles in Alzheimer disease (PubMed : 14690523). Plays an important role in ERBB2-dependent stabilization of microtubules at the cell cortex (PubMed : 20937854). Phosphorylates MACF1, inhibiting its binding to microtubules which is critical for its role in bulge stem cell migration and skin wound repair (By similarity). Probably regulates NF-kappa-B (NFKB1) at the transcriptional level and is required for the NF-kappa-B-mediated anti-apoptotic response to TNF-alpha (TNF/TNFA) (By similarity). Negatively regulates replication in pancreatic beta-cells, resulting in apoptosis, loss of beta-cells and diabetes (By similarity). Through phosphorylation of the anti-apoptotic protein MCL1, may control cell apoptosis in response to growth factors deprivation (By similarity). Phosphorylates MUC1 in breast cancer cells, decreasing the interaction of MUC1 with CTNNB1/beta-catenin (PubMed : 9819408). Is necessary for the establishment of neuronal polarity and axon outgrowth (PubMed : 20067585). Phosphorylates MARK2, leading to inhibition of its activity (By similarity). Phosphorylates SIK1 at 'Thr-182', leading to sustainment of its activity (PubMed : 18348280). Phosphorylates ZC3HAV1 which enhances its antiviral activity (PubMed : 22514281). Phosphorylates SNAI1, leading to its ubiquitination and proteasomal degradation (PubMed : 15448698, PubMed : 15647282, PubMed : 25827072, PubMed : 29059170). Phosphorylates SFPQ at 'Thr-687' upon T-cell activation (PubMed : 20932480). Phosphorylates NR1D1 st 'Ser-55' and 'Ser-59' and stabilizes it by protecting it from proteasomal degradation. Regulates the circadian clock via phosphorylation of the major clock components including BMAL1, CLOCK and PER2 (PubMed : 19946213, PubMed : 28903391). Phosphorylates FBXL2 at 'Thr-404' and primes it for ubiquitination by the SCF(FBXO3) complex and proteasomal degradation (By similarity). Phosphorylates CLOCK AT 'Ser-427' and targets it for proteasomal degradation (PubMed : 19946213). Phosphorylates BMAL1 at 'Ser-17' and 'Ser-21' and primes it for ubiquitination and proteasomal degradation (PubMed : 28903391). Phosphorylates OGT at 'Ser-3' or 'Ser-4' which positively regulates its activity. Phosphorylates MYCN in neuroblastoma cells which may promote its degradation (PubMed : 24391509). Regulates the circadian rhythmicity of hippocampal long-term potentiation and BMAL1 and PER2 expression (By similarity). Acts as a regulator of autophagy by mediating phosphorylation of KAT5/TIP60 under starvation conditions, activating KAT5/TIP60 acetyltransferase activity and promoting acetylation of key autophagy regulators, such as ULK1 and RUBCNL/Pacer (PubMed : 30704899). Negatively regulates extrinsic apoptotic signaling pathway via death domain receptors. Promotes the formation of an anti-apoptotic complex, made of DDX3X, BRIC2 and GSK3B, at death receptors, including TNFRSF10B. The anti-apoptotic function is most effective with weak apoptotic signals and can be overcome by stronger stimulation (PubMed : 18846110). Phosphorylates E2F1, promoting the interaction between E2F1 and USP11, stabilizing E2F1 and promoting its activity (PubMed : 17050006, PubMed : 28992046). Phosphorylates mTORC2 complex component RICTOR at 'Thr-1695' which facilitates FBXW7-mediated ubiquitination and subsequent degradation of RICTOR (PubMed : 25897075). Phosphorylates FXR1, promoting FXR1 ubiquitination by the SCF(FBXO4) complex and FXR1 degradation by the proteasome (By similarity). Phosphorylates interleukin-22 receptor subunit IL22RA1, preventing its proteasomal degradation (By similarity).
See full target information GSK3B

Publications (29)

Recent publications for all applications. Explore the full list and refine your search

Frontiers in pharmacology 12:731483 PubMed35002691

2021

Liraglutide Improves Cognitive and Neuronal Function in 3-NP Rat Model of Huntington's Disease.

Applications

Unspecified application

Species

Unspecified reactive species

Samar M Shawki,Mohammed A Saad,Rania M Rahmo,Walaa Wadie,Hanan S El-Abhar

Frontiers in cell and developmental biology 9:659731 PubMed34631691

2021

FOXO4 Inhibits the Migration and Metastasis of Colorectal Cancer by Regulating the /β-Catenin Axis.

Applications

Unspecified application

Species

Unspecified reactive species

Yan Sun,Lin Wang,Xuehu Xu,Puqing Han,Jinghao Wu,Xuan Tian,Mingsong Li

International journal of biological sciences 17:3508-3521 PubMed34512162

2021

miR-139/PDE2A-Notch1 feedback circuit represses stemness of gliomas by inhibiting Wnt/β-catenin signaling.

Applications

Unspecified application

Species

Unspecified reactive species

San-Zhong Li,Kai-Xi Ren,Jing Zhao,Shuang Wu,Juan Li,Jian Zang,Zhou Fei,Jun-Long Zhao

Neurotherapeutics : the journal of the American Society for Experimental NeuroTherapeutics 18:1905-1921 PubMed34086200

2021

Activation of Galanin Receptor 1 with M617 Attenuates Neuronal Apoptosis via ERK/GSK-3β/TIP60 Pathway After Subarachnoid Hemorrhage in Rats.

Applications

Unspecified application

Species

Unspecified reactive species

Hui Shi,Yuanjian Fang,Lei Huang,Ling Gao,Cameron Lenahan,Takeshi Okada,Zachary D Travis,Shucai Xie,Hong Tang,Qin Lu,Rui Liu,Jiping Tang,Yuan Cheng,John H Zhang

Molecular medicine reports 23: PubMed33760186

2021

Tumor suppressor role of sFRP‑4 in hepatocellular carcinoma via the Wnt/β‑catenin signaling pathway.

Applications

Unspecified application

Species

Unspecified reactive species

Quanxin Wu,Cheng Xu,Xianghua Zeng,Zhimin Zhang,Bo Yang,Zhiguo Rao

Neural plasticity 2021:8825698 PubMed33603781

2021

Neuroprotective Effects of ZiBuPiYin Recipe on db/db Mice via PI3K-Akt Signaling Pathway by Activating Grb2.

Applications

Unspecified application

Species

Unspecified reactive species

Wei-Ming Ren,Ze-Bin Weng,Xin Li,Li-Bin Zhan

BioMed research international 2021:3642463 PubMed33542919

2021

Protective Effects of Iridoid Glycoside from Corni Fructus on Type 2 Diabetes with Nonalcoholic Fatty Liver in Mice.

Applications

Unspecified application

Species

Unspecified reactive species

Dou Niu,Xue Chen,Ting Wang,Fuxing Wang,Qiusheng Zhang,Xiaochang Xue,Jiefang Kang

ACS omega 5:24477-24486 PubMed33015464

2020

Sustained Release of Magnesium Ions Mediated by a Dynamic Mechanical Hydrogel to Enhance BMSC Proliferation and Differentiation.

Applications

Unspecified application

Species

Unspecified reactive species

Jiayu Liu,Hongli Zeng,Peng Xiao,Anqun Yang,Xingxian Situ,Yao Wang,Xiang Zhang,Wenqiang Li,Weiyi Pan,Yulong Wang

Journal of investigative surgery : the official jo :1-8 PubMed32781864

2020

The Occurrence of Valvular Atrial Fibrillation: Involvement of NGF/TrKA Signaling Pathway.

Applications

Unspecified application

Species

Unspecified reactive species

Qianli Wang,Yong Zhao,Xin Dong,Cong Li,Lin Zhou,Chengwei Zou,Xiaodong Li,Nannan Zhou,Junni Liu,Yuanyuan Sun,Jianchun Wang

Molecular medicine reports 22:1839-1846 PubMed32582982

2020

Tanshinone IIA promotes cardiac differentiation and improves cell motility by modulating the Wnt/β‑catenin signaling pathway.

Applications

Unspecified application

Species

Unspecified reactive species

Kun Li,Xiuyan Wang,Chenxing Fan,Chunxia Wu,Shizheng Li,Hua Liu
View all publications

Product promise

We are committed to supporting your work with high-quality reagents, and we're here for you every step of the way. In the unlikely event that one of our products does not perform as expected, you're protected by our Product Promise.
For full details, please see our Terms & Conditions

Associated Products

Select an associated product type
Alternative Product
Primary Antibodies

AB196910

Alexa Fluor® 647 Anti-GSK3 beta antibody [Y174]

primary-antibodies

alexa-fluor-647-gsk3-beta-antibody-y174-ab196910

0

(0 reviews)

Alternative Product
Primary Antibodies

AB75814

Anti-GSK3 beta (phospho S9) antibody [EPR2286Y]

primary-antibodies

gsk3-beta-phospho-s9-antibody-epr2286y-ab75814

4

(10 reviews)

Alternative Product
Primary Antibodies

AB32391

Anti-GSK3 beta antibody [Y174]

primary-antibodies

gsk3-beta-antibody-y174-ab32391

5

(2 reviews)

Alternative Product
Primary Antibodies

AB219359

Anti-GSK3 beta (phospho S9) antibody [EPR2286Y] - BSA and Azide free

primary-antibodies

gsk3-beta-phospho-s9-antibody-epr2286y-bsa-and-azide-free-ab219359

0

(0 reviews)

Alternative Product
Primary Antibodies

AB183177

Anti-GSK3 beta antibody [Y174] - BSA and Azide free

primary-antibodies

gsk3-beta-antibody-y174-bsa-and-azide-free-ab183177

0

(0 reviews)

Alternative Product
Primary Antibodies

AB210619

PE Anti-GSK3 beta antibody [Y174]

primary-antibodies

pe-gsk3-beta-antibody-y174-ab210619

0

(0 reviews)

Please note: All products are 'FOR RESEARCH USE ONLY. NOT FOR USE IN DIAGNOSTIC OR THERAPEUTIC PROCEDURES'.

For licensing inquiries, please contact partnerships@abcam.com