JavaScript is disabled in your browser. Please enable JavaScript to view this website.
AB183177

Anti-GSK3 beta antibody [Y174] - BSA and Azide free

  • BOND RX™ Validated
  • RabMAb
  • Recombinant
  • KO Validated
  • What is this?

Be the first to review this product! Submit a review

|

(7 Publications)

Rabbit Recombinant Monoclonal GSK3 beta antibody. Carrier free. Suitable for IHC-P, ELISA, WB, ICC/IF, Flow Cyt (Intra) and reacts with Human, Recombinant full length protein - Human samples. Cited in 7 publications.

View Alternative Names

Glycogen synthase kinase-3 beta, GSK-3 beta, Serine/threonine-protein kinase GSK3B, GSK3B

9 Images
Immunohistochemistry (Formalin/PFA-fixed paraffin-embedded sections) - Anti-GSK3 beta antibody [Y174] - BSA and Azide free (AB183177)
  • IHC-P

Unknown

Immunohistochemistry (Formalin/PFA-fixed paraffin-embedded sections) - Anti-GSK3 beta antibody [Y174] - BSA and Azide free (AB183177)

IHC image of GSK3 staining in human breast adenocarcinoma formalin fixed paraffin embedded tissue section, performed on a Leica Bond system using the standard protocol F. The section was pre-treated using heat mediated antigen retrieval with sodium citrate buffer (pH 6, epitope retrieval solution 1) for 20 minutes. The section was then incubated with ab32391, 1/200 diution, for 15 minutes at room temperature and detected using an HRP conjugated compact polymer system. DAB was used as the chromogen. The section was then counterstained with haematoxylin and mounted with DPX.

For other IHC staining systems (automated and non-automated) customers should optimize variable parameters such as antigen retrieval conditions, primary antibody concentration and antibody incubation times.

This data was developed using the same antibody clone in a different buffer formulation containing PBS, BSA, glycerol, and sodium azide (ab32391).

Immunohistochemistry (Formalin/PFA-fixed paraffin-embedded sections) - Anti-GSK3 beta antibody [Y174] - BSA and Azide free (AB183177)
  • IHC-P

Unknown

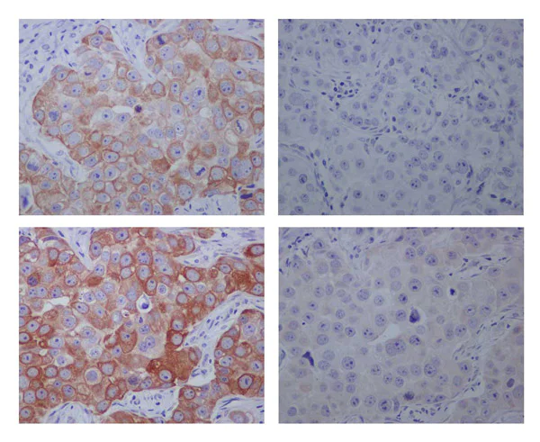
Immunohistochemistry (Formalin/PFA-fixed paraffin-embedded sections) - Anti-GSK3 beta antibody [Y174] - BSA and Azide free (AB183177)

Immunohistochemical analysis of paraffin-embedded human breast tissue labelled with untreated ab75814 (phospho) (top-left) at a dilution of 1/1000, alkaline phosphatase treated ab75814 (phospho) (top-right) at a dilution of 1/1000, untreated ab32391 (bottom-left) at a dilution of 1/1000 and alkaline phophatase treated ab32391 (bottom-right) at a dilution of 1/1000. ab97051 was used as secondary antibody at a dilution of 1/500 and counterstained with hematoxylin.

This data was developed using the same antibody clone in a different buffer formulation containing PBS, BSA, glycerol, and sodium azide (ab32391).

Flow Cytometry (Intracellular) - Anti-GSK3 beta antibody [Y174] - BSA and Azide free (AB183177)
  • Flow Cyt (Intra)

Unknown

Flow Cytometry (Intracellular) - Anti-GSK3 beta antibody [Y174] - BSA and Azide free (AB183177)

Overlay histogram showing HeLa cells stained with ab32391 (red line). The cells were fixed with 80% methanol (5 min) and then permeabilized with 0.1% PBS-Tween for 20 min. The cells were then incubated in 1x PBS / 10% normal goat serum / 0.3M glycine to block non-specific protein-protein interactions followed by the antibody (ab32391, 1/100 dilution) for 30 min at 22°C. The secondary antibody used was DyLight® 488 goat anti-rabbit IgG (H+L) (ab96899) at 1/500 dilution for 30 min at 22°C. Isotype control antibody (black line) was rabbit IgG (monoclonal) (1μg/1x106 cells) used under the same conditions. Acquisition of >5,000 events was performed. This data was developed using the same antibody clone in a different buffer formulation containing PBS, BSA, glycerol, and sodium azide (ab32391).

Immunohistochemistry (Formalin/PFA-fixed paraffin-embedded sections) - Anti-GSK3 beta antibody [Y174] - BSA and Azide free (AB183177)
  • IHC-P

Unknown

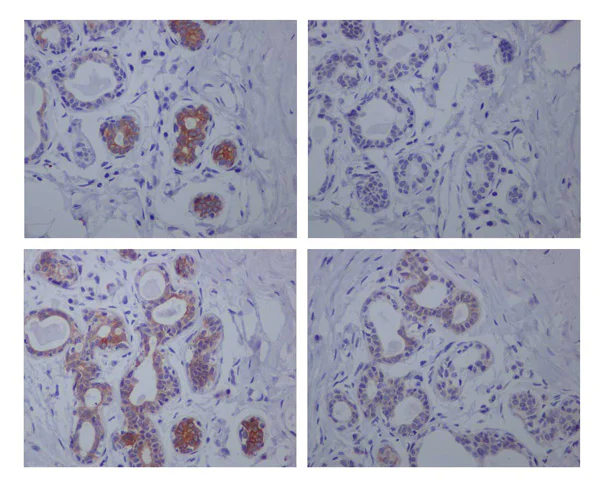
Immunohistochemistry (Formalin/PFA-fixed paraffin-embedded sections) - Anti-GSK3 beta antibody [Y174] - BSA and Azide free (AB183177)

Immunohistochemical analysis of paraffin-embedded human breast cancer tissue labelled with untreated ab75814 (phospho) (top-left) at a dilution of 1/1000, alkaline phosphatase treated ab75814 (phospho) (top-right) at a dilution of 1/1000, untreated ab32391 (bottom-left) at a dilution of 1/1000 and alkaline phophatase treated ab32391 (bottom-right) at a dilution of 1/1000. ab97051 was used as secondary antibody at a dilution of 1/500 and counterstained with hematoxylin.

This data was developed using the same antibody clone in a different buffer formulation containing PBS, BSA, glycerol, and sodium azide (ab32391).

Immunocytochemistry/ Immunofluorescence - Anti-GSK3 beta antibody [Y174] - BSA and Azide free (AB183177)
  • ICC/IF

Unknown

Immunocytochemistry/ Immunofluorescence - Anti-GSK3 beta antibody [Y174] - BSA and Azide free (AB183177)

Immunocytochemistry/Immunofluorescence analysis of HeLa cells labelling GSK3 beta with purified ab32391 at 1/500. Cells were fixed with 4% Paraformaldehyde and permeabilised with 0.1% tritonX-100. An Alexa Fluor® 488-conjugated goat anti-rabbit IgG (ab150077) at 1/1000 dilution was used as the secondary antibody. Cells were co-stained with ab7291, a mouse anti-tubulin antibody (1/1000) using ab150120, an Alexa Fluor® 594-conjugated goat anti-mouse IgG (1/1000) as the secondary antibody. Nuclei were counterstained with DAPI (blue).

For negative control 1, rabbit primary antibody was used followed by anti-mouse secondary antibody (ab150120).
For negative control 2, mouse primary antibody (ab7291) and anti-rabbit secondary antibody (ab150077) were used.

This data was developed using the same antibody clone in a different buffer formulation containing PBS, BSA, glycerol, and sodium azide (ab32391).

Immunocytochemistry/ Immunofluorescence - Anti-GSK3 beta antibody [Y174] - BSA and Azide free (AB183177)
  • ICC/IF

Unknown

Immunocytochemistry/ Immunofluorescence - Anti-GSK3 beta antibody [Y174] - BSA and Azide free (AB183177)

ICC/IF image of ab32391 stained DU145 cells. The cells were 4% formaldehyde fixed (10 minutes) and then incubated in 1 %BSA / 10 % normal goat serum / 0.3 M glycine in 0.1 % PBS-Tween for 1 hour to permeabilise the cells and block non-specific protein-protein interactions. The cells were then incubated with the antibody ab32391 at 1/200 dilution overnight at +4°C. The secondary antibody (green) was DyLight® 488 goat anti- rabbit (ab96899) IgG (H+L) used at a 1/250 dilution for 1 hour. Alexa Fluor® 594 WGA was used to label plasma membranes (red) at a 1/200 dilution for 1 hour. DAPI was used to stain the cell nuclei (blue) at a concentration of 1.43 µM.

This data was developed using the same antibody clone in a different buffer formulation containing PBS, BSA, glycerol, and sodium azide (ab32391).

Western blot - Anti-GSK3 beta antibody [Y174] - BSA and Azide free (AB183177)
  • WB

Lab

Western blot - Anti-GSK3 beta antibody [Y174] - BSA and Azide free (AB183177)

ab196911 was shown to recognize GSK3 beta in wild-type HAP1 cells as signal was lost at the expected MW in GSK3B knockout cells. Additional cross-reactive bands were observed in the wild-type and knockout cells. Wild-type and GSK3B knockout samples were subjected to SDS-PAGE. ab196911 and ab184095 (Mouse monoclonal [mAbcam 9484] to GAPDH - Loading Control (Alexa Fluor® 680) loading control) were incubated overnight at 4°C at 1/5000 dilution and 1/1000 dilution respectively. The loading control was imaged using the Licor Odyssey CLx prior to blots being developed with ECL technique.

This data was developed using the same antibody clone in a different buffer formulation containing PBS, BSA, glycerol, and sodium azide (ab196911).

All lanes:

Western blot - Anti-GSK3 beta antibody [Y174] - BSA and Azide free (ab183177) at 1/5000 dilution

Lane 1:

Wild-type HAP1 whole cell lysate at 20 µg

Lane 2:

GSK3B knockout HAP1 whole cell lysate at 20 µg

Predicted band size: 46 kDa

false

ELISA - Anti-GSK3 beta antibody [Y174] - BSA and Azide free (AB183177)
  • ELISA

Lab

ELISA - Anti-GSK3 beta antibody [Y174] - BSA and Azide free (AB183177)

ELISA of GSK3 beta (phospho S9) peptide and GSK3 beta non-phospho peptide at 10 ng/ml. Detected with ab32391 at 0~1000 ng/ml. Alkaline Phosphatase-conjugated AffiniPure Goat Anti-Rabbit IgG (H+L) at 1/2500 was used as a secondary antibody.

This data was developed using the same antibody clone in a different buffer formulation containing PBS, BSA, glycerol, and sodium azide (ab32391).

ELISA - Anti-GSK3 beta antibody [Y174] - BSA and Azide free (AB183177)
  • ELISA

Lab

ELISA - Anti-GSK3 beta antibody [Y174] - BSA and Azide free (AB183177)

ELISA of GSK3 beta (phospho S9) peptide and GSK3 beta non-phospho peptide at 1000 ng/ml. Detected with ab32391 at 0~1000 ng/ml. Alkaline Phosphatase-conjugated AffiniPure Goat Anti-Rabbit IgG (H+L) at 1/2500 was used as a secondary antibody.

This data was developed using the same antibody clone in a different buffer formulation containing PBS, BSA, glycerol, and sodium azide (ab32391).

Key facts

Host species

Rabbit

Clonality

Monoclonal

Clone number

Y174

Isotype

IgG

Carrier free

Yes

Reacts with

Human

Applications

ELISA, IHC-P, ICC/IF, Flow Cyt (Intra), WB

applications

Immunogen

The exact immunogen used to generate this antibody is proprietary information.

Specificity

This antibody is specific for human GSK3 beta. It may also detect the splice isoform 2 based on sequence homology.

The immunogen used for this antibody is GSK3 beta phospho S9. This antibody shows partially phospho specificity to phospho S9 under certain conditions, for example, under low peptide concentration in ELISA assay, it has dominant reactivity with phospho S9 peptide.

Reactivity data

{ "title": "Reactivity Data", "filters": { "stats": ["", "Species", "Dilution Info", "Notes"], "tabs": { "all-applications": {"fullname" : "All Applications", "shortname": "All Applications"}, "IHCP" : {"fullname" : "Immunohistochemistry (Formalin/PFA-fixed paraffin-embedded sections)", "shortname":"IHC-P"}, "ELISA" : {"fullname" : "ELISA", "shortname":"ELISA"}, "WB" : {"fullname" : "Western blot", "shortname":"WB"}, "ICCIF" : {"fullname" : "Immunocytochemistry/ Immunofluorescence", "shortname":"ICC/IF"}, "FlowCytIntra" : {"fullname" : "Flow Cytometry (Intracellular)", "shortname":"Flow Cyt (Intra)"} }, "product-promise": { "all": "all", "testedAndGuaranteed": "tested", "guaranteed": "expected", "predicted": "predicted", "notRecommended": "not-recommended" } }, "values": { "Human": { "IHCP-species-checked": "testedAndGuaranteed", "IHCP-species-dilution-info": "", "IHCP-species-notes": "<p></p>", "ELISA-species-checked": "guaranteed", "ELISA-species-dilution-info": "", "ELISA-species-notes": "", "WB-species-checked": "testedAndGuaranteed", "WB-species-dilution-info": "", "WB-species-notes": "<p></p>", "ICCIF-species-checked": "testedAndGuaranteed", "ICCIF-species-dilution-info": "", "ICCIF-species-notes": "<p></p>", "FlowCytIntra-species-checked": "testedAndGuaranteed", "FlowCytIntra-species-dilution-info": "", "FlowCytIntra-species-notes": "<p><a href='/en-us/products/primary-antibodies/rabbit-igg-monoclonal-epr25a-isotype-control-low-endotoxin-azide-free-ab199376'>ab199376</a> - Rabbit monoclonal IgG, is suitable for use as an isotype control with this antibody.</p>" }, "Mouse": { "IHCP-species-checked": "predicted", "IHCP-species-dilution-info": "", "IHCP-species-notes": "", "ELISA-species-checked": "predicted", "ELISA-species-dilution-info": "", "ELISA-species-notes": "", "WB-species-checked": "predicted", "WB-species-dilution-info": "", "WB-species-notes": "", "ICCIF-species-checked": "predicted", "ICCIF-species-dilution-info": "", "ICCIF-species-notes": "", "FlowCytIntra-species-checked": "predicted", "FlowCytIntra-species-dilution-info": "", "FlowCytIntra-species-notes": "" }, "Recombinant full length protein - Human": { "IHCP-species-checked": "notRecommended", "IHCP-species-dilution-info": "", "IHCP-species-notes": "", "ELISA-species-checked": "testedAndGuaranteed", "ELISA-species-dilution-info": "", "ELISA-species-notes": "<p></p>", "WB-species-checked": "notRecommended", "WB-species-dilution-info": "", "WB-species-notes": "", "ICCIF-species-checked": "notRecommended", "ICCIF-species-dilution-info": "", "ICCIF-species-notes": "", "FlowCytIntra-species-checked": "notRecommended", "FlowCytIntra-species-dilution-info": "", "FlowCytIntra-species-notes": "" } } }

Product details

ab183177 is the carrier-free version of ab32391.

Patented technology
Our RabMAb® technology is a patented hybridoma-based technology for making rabbit monoclonal antibodies. For details on our patents, please refer to RabMAb® patents.

What are the advantages of a recombinant monoclonal antibody?
This product is a recombinant monoclonal antibody, which offers several advantages including:

  • - High batch-to-batch consistency and reproducibility
  • - Improved sensitivity and specificity
  • - Long-term security of supply
  • - Animal-free batch production

For more information, read more on recombinant antibodies.

Conjugation ready
Our carrier-free antibodies are typically supplied in a PBS-only formulation, purified and free of BSA, sodium azide and glycerol. This conjugation-ready format is designed for use with fluorochromes, metal isotopes, oligonucleotides, and enzymes, which makes them ideal for antibody labelling, functional and cell-based assays, flow-based assays (e.g. mass cytometry) and Multiplex Imaging applications.

Use our conjugation kits for antibody conjugates that are ready-to-use in as little as 20 minutes with 1 minute hands-on-time and 100% antibody recovery: available for fluorescent dyes, HRP, biotin and gold.

Compatibility
This product is compatible with the Maxpar® Antibody Labeling Kit from Fluidigm, without the need for antibody preparation. Maxpar® is a trademark of Fluidigm Canada Inc.

Properties and storage information

Form
Liquid
Purification technique
Affinity purification Protein A
Storage buffer
pH: 7.2 Constituents: PBS
Shipped at conditions
Blue Ice
Appropriate short-term storage conditions
+4°C
Appropriate long-term storage conditions
+4°C
Storage information
Do Not Freeze

Supplementary information

This supplementary information is collated from multiple sources and compiled automatically.

Glycogen synthase kinase 3 beta or GSK3 beta is a serine/threonine protein kinase that regulates various cellular processes. It is also referred to as GSK3B and has a molecular weight of approximately 47 kilodaltons (kDa). This enzyme is widely expressed in many tissues with notably high expression levels in the brain. Mechanically GSK3 beta phosphorylates target proteins affecting their activity stability and interactions with other proteins.
Biological function summary

As an important regulatory protein GSK3 beta plays a role in multiple cellular functions including metabolism cell cycle and cell signaling. It often interacts with components in signaling complexes and modulates the activity of these complexes involving phosphorylation. It is involved in the regulation of transcription factors such as c-Myc and β-catenin influencing cell fate and survival. This ability to modulate diverse functions highlights GSK3 beta's importance in cellular regulation.

Pathways

GSK3 beta participates in significant signaling pathways such as the Wnt/β-catenin and insulin signaling pathways. In the Wnt pathway GSK3 beta phosphorylates β-catenin marking it for degradation which regulates gene transcription. In insulin signaling it interacts with proteins like AKT to mediate glycogen synthesis. These interactions highlight its role in maintaining cellular homeostasis and energy balance.

GSK3 beta has implications in Alzheimer's disease and type 2 diabetes. It is associated with tau protein hyperphosphorylation and neurofibrillary tangles in Alzheimer's disease. In diabetes its role in insulin signaling impacts glucose metabolism. Further GSK3 beta's dysfunction relates to disrupted signaling related to these conditions positioning it as a potential therapeutic target.

Product protocols

For this product, it's our understanding that no specific protocols are required. You can visit:

Target data

Constitutively active protein kinase that acts as a negative regulator in the hormonal control of glucose homeostasis, Wnt signaling and regulation of transcription factors and microtubules, by phosphorylating and inactivating glycogen synthase (GYS1 or GYS2), EIF2B, CTNNB1/beta-catenin, APC, AXIN1, DPYSL2/CRMP2, JUN, NFATC1/NFATC, MAPT/TAU and MACF1 (PubMed : 11430833, PubMed : 12554650, PubMed : 14690523, PubMed : 16484495, PubMed : 1846781, PubMed : 20937854, PubMed : 9072970). Requires primed phosphorylation of the majority of its substrates (PubMed : 11430833, PubMed : 16484495). In skeletal muscle, contributes to insulin regulation of glycogen synthesis by phosphorylating and inhibiting GYS1 activity and hence glycogen synthesis (PubMed : 8397507). May also mediate the development of insulin resistance by regulating activation of transcription factors (PubMed : 8397507). Regulates protein synthesis by controlling the activity of initiation factor 2B (EIF2BE/EIF2B5) in the same manner as glycogen synthase (PubMed : 8397507). In Wnt signaling, GSK3B forms a multimeric complex with APC, AXIN1 and CTNNB1/beta-catenin and phosphorylates the N-terminus of CTNNB1 leading to its degradation mediated by ubiquitin/proteasomes (PubMed : 12554650). Phosphorylates JUN at sites proximal to its DNA-binding domain, thereby reducing its affinity for DNA (PubMed : 1846781). Phosphorylates NFATC1/NFATC on conserved serine residues promoting NFATC1/NFATC nuclear export, shutting off NFATC1/NFATC gene regulation, and thereby opposing the action of calcineurin (PubMed : 9072970). Phosphorylates MAPT/TAU on 'Thr-548', decreasing significantly MAPT/TAU ability to bind and stabilize microtubules (PubMed : 14690523). MAPT/TAU is the principal component of neurofibrillary tangles in Alzheimer disease (PubMed : 14690523). Plays an important role in ERBB2-dependent stabilization of microtubules at the cell cortex (PubMed : 20937854). Phosphorylates MACF1, inhibiting its binding to microtubules which is critical for its role in bulge stem cell migration and skin wound repair (By similarity). Probably regulates NF-kappa-B (NFKB1) at the transcriptional level and is required for the NF-kappa-B-mediated anti-apoptotic response to TNF-alpha (TNF/TNFA) (By similarity). Negatively regulates replication in pancreatic beta-cells, resulting in apoptosis, loss of beta-cells and diabetes (By similarity). Through phosphorylation of the anti-apoptotic protein MCL1, may control cell apoptosis in response to growth factors deprivation (By similarity). Phosphorylates MUC1 in breast cancer cells, decreasing the interaction of MUC1 with CTNNB1/beta-catenin (PubMed : 9819408). Is necessary for the establishment of neuronal polarity and axon outgrowth (PubMed : 20067585). Phosphorylates MARK2, leading to inhibition of its activity (By similarity). Phosphorylates SIK1 at 'Thr-182', leading to sustainment of its activity (PubMed : 18348280). Phosphorylates ZC3HAV1 which enhances its antiviral activity (PubMed : 22514281). Phosphorylates SNAI1, leading to its ubiquitination and proteasomal degradation (PubMed : 15448698, PubMed : 15647282, PubMed : 25827072, PubMed : 29059170). Phosphorylates SFPQ at 'Thr-687' upon T-cell activation (PubMed : 20932480). Phosphorylates NR1D1 st 'Ser-55' and 'Ser-59' and stabilizes it by protecting it from proteasomal degradation. Regulates the circadian clock via phosphorylation of the major clock components including BMAL1, CLOCK and PER2 (PubMed : 19946213, PubMed : 28903391). Phosphorylates FBXL2 at 'Thr-404' and primes it for ubiquitination by the SCF(FBXO3) complex and proteasomal degradation (By similarity). Phosphorylates CLOCK AT 'Ser-427' and targets it for proteasomal degradation (PubMed : 19946213). Phosphorylates BMAL1 at 'Ser-17' and 'Ser-21' and primes it for ubiquitination and proteasomal degradation (PubMed : 28903391). Phosphorylates OGT at 'Ser-3' or 'Ser-4' which positively regulates its activity. Phosphorylates MYCN in neuroblastoma cells which may promote its degradation (PubMed : 24391509). Regulates the circadian rhythmicity of hippocampal long-term potentiation and BMAL1 and PER2 expression (By similarity). Acts as a regulator of autophagy by mediating phosphorylation of KAT5/TIP60 under starvation conditions, activating KAT5/TIP60 acetyltransferase activity and promoting acetylation of key autophagy regulators, such as ULK1 and RUBCNL/Pacer (PubMed : 30704899). Negatively regulates extrinsic apoptotic signaling pathway via death domain receptors. Promotes the formation of an anti-apoptotic complex, made of DDX3X, BRIC2 and GSK3B, at death receptors, including TNFRSF10B. The anti-apoptotic function is most effective with weak apoptotic signals and can be overcome by stronger stimulation (PubMed : 18846110). Phosphorylates E2F1, promoting the interaction between E2F1 and USP11, stabilizing E2F1 and promoting its activity (PubMed : 17050006, PubMed : 28992046). Phosphorylates mTORC2 complex component RICTOR at 'Thr-1695' which facilitates FBXW7-mediated ubiquitination and subsequent degradation of RICTOR (PubMed : 25897075). Phosphorylates FXR1, promoting FXR1 ubiquitination by the SCF(FBXO4) complex and FXR1 degradation by the proteasome (By similarity). Phosphorylates interleukin-22 receptor subunit IL22RA1, preventing its proteasomal degradation (By similarity).
See full target information GSK3B

Publications (7)

Recent publications for all applications. Explore the full list and refine your search

Antioxidants (Basel, Switzerland) 11: PubMed36421463

2022

Irregular Expression of Cellular Stress Response Markers in the Placenta of Women with Chronic Venous Disease.

Applications

Unspecified application

Species

Unspecified reactive species

Cielo García-Montero,Oscar Fraile-Martinez,Sonia Rodriguez-Martín,Rosa M Funes Moñux,Jose V Saz,Coral Bravo,Juan A De Leon-Luis,María Ruiz-Minaya,Leonel Pekarek,Miguel A Saez,Alberto García-Lledo,Melchor Alvarez-Mon,Julia Bujan,Natalio García-Honduvilla,Miguel A Ortega

Gastroenterology 145:1110-20 PubMed23896173

2013

A gene expression signature of epithelial tubulogenesis and a role for ASPM in pancreatic tumor progression.

Applications

WB

Species

Human

Wei-Yu Wang,Chung-Chi Hsu,Ting-Yun Wang,Chi-Rong Li,Ya-Chin Hou,Jui-Mei Chu,Chung-Ta Lee,Ming-Sheng Liu,Jimmy J-M Su,Kuan-Ying Jian,Shenq-Shyang Huang,Shih-Sheng Jiang,Yan-Shen Shan,Pin-Wen Lin,Yin-Ying Shen,Michael T-L Lee,Tze-Sian Chan,Chun-Chao Chang,Chung-Hsing Chen,I-Shou Chang,Yen-Ling Lee,Li-Tzong Chen,Kelvin K Tsai

Carcinogenesis 34:1361-9 PubMed23393221

2013

Regulation of APC and AXIN2 expression by intestinal tumor suppressor CDX2 in colon cancer cells.

Applications

Unspecified application

Species

Human

Anders Krüger Olsen,Mehmet Coskun,Michael Bzorek,Michael Holmsgaard Kristensen,Erik Thomas Danielsen,Steffen Jørgensen,Jørgen Olsen,Ulla Engel,Susanne Holck,Jesper Thorvald Troelsen

The Journal of investigative dermatology 132:2818-27 PubMed22810307

2012

GSK3β inhibition blocks melanoma cell/host interactions by downregulating N-cadherin expression and decreasing FAK phosphorylation.

Applications

Unspecified application

Species

Unspecified reactive species

Jobin K John,Kim H T Paraiso,Vito W Rebecca,Liliana P Cantini,Ethan V Abel,Nicholas Pagano,Eric Meggers,Rahel Mathew,Clemens Krepler,Victoria Izumi,Bin Fang,John M Koomen,Jane L Messina,Meenhard Herlyn,Keiran S M Smalley

Cell death and differentiation 19:321-32 PubMed21818122

2011

Tankyrase-1 function at telomeres and during mitosis is regulated by Polo-like kinase-1-mediated phosphorylation.

Applications

Unspecified application

Species

Unspecified reactive species

G-H Ha,H-S Kim,H Go,H Lee,H Seimiya,D H Chung,C-W Lee

Clinical cancer research : an official journal of the American Association for Cancer Research 15:887-97 PubMed19188159

2009

Potential therapeutic effect of glycogen synthase kinase 3beta inhibition against human glioblastoma.

Applications

IHC-P, WB

Species

Human, Human

Katsuyoshi Miyashita,Kazuyuki Kawakami,Mitsutoshi Nakada,Wei Mai,Abbas Shakoori,Hironori Fujisawa,Yutaka Hayashi,Jun-ichiro Hamada,Toshinari Minamoto

International journal of oncology 34:481-92 PubMed19148484

2009

Loss of expression for the Wnt pathway components adenomatous polyposis coli and glycogen synthase kinase 3-beta in parathyroid carcinomas.

Applications

IHC-P

Species

Human

C Christofer Juhlin,Felix Haglund,Andrea Villablanca,Lars Forsberg,Kerstin Sandelin,Robert Bränström,Catharina Larsson,Anders Höög
View all publications

Product promise

We are committed to supporting your work with high-quality reagents, and we're here for you every step of the way. In the unlikely event that one of our products does not perform as expected, you're protected by our Product Promise.
For full details, please see our Terms & Conditions

Please note: All products are 'FOR RESEARCH USE ONLY. NOT FOR USE IN DIAGNOSTIC OR THERAPEUTIC PROCEDURES'.

For licensing inquiries, please contact partnerships@abcam.com