JavaScript is disabled in your browser. Please enable JavaScript to view this website.
AB185141

Anti-GSK3 beta + GSK3 alpha antibody [EPR18814-102]

  • 20ul selling size
  • RabMAb
  • Recombinant
  • KO Validated
  • What is this?

Be the first to review this product! Submit a review

|

(9 Publications)

Rabbit Recombinant Monoclonal GSK3 alpha antibody. Suitable for IP, WB, ICC/IF, Flow Cyt (Intra), IHC-P and reacts with Mouse, Rat, Human samples. Cited in 9 publications.

View Alternative Names

Glycogen synthase kinase-3 alpha, GSK-3 alpha, Serine/threonine-protein kinase GSK3A, GSK3A

10 Images
Immunocytochemistry/ Immunofluorescence - Anti-GSK3 beta + GSK3 alpha antibody [EPR18814-102] (AB185141)
  • ICC/IF

Supplier Data

Immunocytochemistry/ Immunofluorescence - Anti-GSK3 beta + GSK3 alpha antibody [EPR18814-102] (AB185141)

Immunofluorescent analysis of 4% paraformaldehyde-fixed, 0.1% Triton X-100 permeabilized HeLa (human epithelial cell line from cervix adenocarcinoma) cells labeling GSK3 beta + GSK3 alpha with ab185141 at 1/150 dilution followed by Goat Anti-Rabbit IgG H&L (Alexa Fluor® 488) (ab150077) secondary antibody at 1/1000 dilution (green). Confocal image showing cytoplasmic staining on HeLa cells.

The nuclear counter stain is DAPI (blue). Tubulin is detected with Anti-alpha Tubulin antibody [DM1A] - Microtubule Marker (Alexa Fluor® 594) (ab195889) (red) at 1/200 dilution.

Secondary antibody only control : Used PBS instead of primary antibody, secondary antibody is Goat Anti-Rabbit IgG H&L (Alexa Fluor® 488) (ab150077) secondary antibody at 1/1000 dilution.

Immunocytochemistry/ Immunofluorescence - Anti-GSK3 beta + GSK3 alpha antibody [EPR18814-102] (AB185141)
  • ICC/IF

Supplier Data

Immunocytochemistry/ Immunofluorescence - Anti-GSK3 beta + GSK3 alpha antibody [EPR18814-102] (AB185141)

Immunofluorescent analysis of 4% paraformaldehyde-fixed, 0.1% Triton X-100 permeabilized NIH/3T3 (mouse embryo fibroblast cell line) cells labeling GSK3 beta + GSK3 alpha with ab185141 at 1/150 dilution followed by Goat Anti-Rabbit IgG H&L (Alexa Fluor® 488) (ab150077) secondary antibody at 1/1000 dilution (green). Confocal image showing cytoplasmic staining on NIH/3T3 cells.

The nuclear counter stain is DAPI (blue). Tubulin is detected with Anti-alpha Tubulin antibody [DM1A] - Microtubule Marker (Alexa Fluor® 594) (ab195889) (red) at 1/200 dilution.

Secondary antibody only control : Used PBS instead of primary antibody, secondary antibody is Goat Anti-Rabbit IgG H&L (Alexa Fluor® 488) (ab150077) secondary antibody at 1/1000 dilution.

Flow Cytometry (Intracellular) - Anti-GSK3 beta + GSK3 alpha antibody [EPR18814-102] (AB185141)
  • Flow Cyt (Intra)

Supplier Data

Flow Cytometry (Intracellular) - Anti-GSK3 beta + GSK3 alpha antibody [EPR18814-102] (AB185141)

Intracellular flow cytometric analysis of 4% paraformaldehyde-fixed,90% methanol-permeabilized NIH/3T3 (mouse embryo fibroblast cell line) cell line labeling GSK3 beta + GSK3 alpha with ab185141 at 1/60 dilution (red) compared with a Rabbit IgG, monoclonal [EPR25A] - Isotype Control (ab172730) (black) and an unlabeled control (cells without incubation with primary antibody and secondary antibody) (blue). Goat Anti-Rabbit IgG H&L (Alexa Fluor® 488) (ab150077) at 1/2000 dilution was used as the secondary antibody.

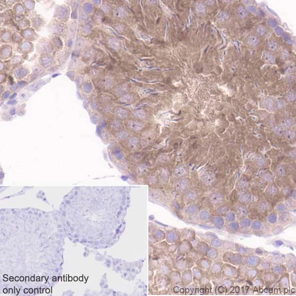
Immunohistochemistry (Formalin/PFA-fixed paraffin-embedded sections) - Anti-GSK3 beta + GSK3 alpha antibody [EPR18814-102] (AB185141)
  • IHC-P

Supplier Data

Immunohistochemistry (Formalin/PFA-fixed paraffin-embedded sections) - Anti-GSK3 beta + GSK3 alpha antibody [EPR18814-102] (AB185141)

Immunohistochemical analysis of paraffin-embedded mouse testis tissue labeling GSK3 beta + GSK3 alpha with ab185141 at 1/4000 dilution, followed by Goat Anti-Rabbit IgG H&L (HRP) Ready to use. Cytoplasmic staining on mouse testis (PMID : 22792253). Counter stained with hematoxylin.

Secondary antibody only control : Used PBS instead of primary antibody, secondary antibody is Goat Anti-Rabbit IgG H&L (HRP) Ready to use.

Perform heat mediated antigen retrieval with Tris/EDTA buffer pH 9.0 before commencing with IHC staining protocol.

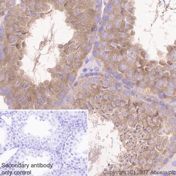
Immunohistochemistry (Formalin/PFA-fixed paraffin-embedded sections) - Anti-GSK3 beta + GSK3 alpha antibody [EPR18814-102] (AB185141)
  • IHC-P

Supplier Data

Immunohistochemistry (Formalin/PFA-fixed paraffin-embedded sections) - Anti-GSK3 beta + GSK3 alpha antibody [EPR18814-102] (AB185141)

Immunohistochemical analysis of paraffin-embedded rat testis tissue labeling GSK3 beta + GSK3 alpha with ab185141 at 1/4000 dilution, followed by Goat Anti-Rabbit IgG H&L (HRP) Ready to use. Cytoplasmic staining on rat testis (PMID : 22792253). Counter stained with hematoxylin.

Secondary antibody only control : Used PBS instead of primary antibody, secondary antibody is Goat Anti-Rabbit IgG H&L (HRP) Ready to use.

Perform heat mediated antigen retrieval with Tris/EDTA buffer pH 9.0 before commencing with IHC staining protocol.

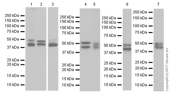
Western blot - Anti-GSK3 beta + GSK3 alpha antibody [EPR18814-102] (AB185141)
  • WB

Supplier Data

Western blot - Anti-GSK3 beta + GSK3 alpha antibody [EPR18814-102] (AB185141)

Exposure time : Lanes 1 and 2 : 10 seconds; Lane 3 : 1 minute; Lanes 4 and 5 : 5 seconds; Lane 6 : 3 seconds; Lane 7 : 10 seconds.

Blocking/Dilution buffer : 5% NFDM/TBST.

All lanes:

Western blot - Anti-GSK3 beta + GSK3 alpha antibody [EPR18814-102] (ab185141) at 1/5000 dilution

Lane 1:

NIH/3T3 (mouse embryo fibroblast cell line) whole cell lysate at 20 µg

Lane 2:

HeLa (human epithelial cell line from cervix adenocarcinoma) whole cell lysate at 20 µg

Lane 3:

A549 (human lung carcinoma cell line) whole cell lysate at 20 µg

Lane 4:

RAW 264.7 (mouse macrophage cell line transformed with Abelson murine leukemia virus) whole cell lysate at 20 µg

Lane 5:

PC-12 (rat adrenal gland pheochromocytoma cell line) whole cell lysate at 20 µg

Lane 6:

Mouse heart lysate at 20 µg

Lane 7:

Rat heart lysate at 20 µg

Secondary

All lanes:

Western blot - Goat Anti-Rabbit IgG H&L (HRP) (<a href='/en-us/products/secondary-antibodies/goat-rabbit-igg-h-l-hrp-ab97051'>ab97051</a>) at 1/100000 dilution

Observed band size: 47 kDa,52 kDa

false

Western blot - Anti-GSK3 beta + GSK3 alpha antibody [EPR18814-102] (AB185141)
  • WB

Supplier Data

Western blot - Anti-GSK3 beta + GSK3 alpha antibody [EPR18814-102] (AB185141)

Exposure time : Lane 1 : 30 seconds; Lanes 2 and 3 : 3 minutes.

Blocking/Dilution buffer : 5% NFDM/TBST.

All lanes:

Western blot - Anti-GSK3 beta + GSK3 alpha antibody [EPR18814-102] (ab185141) at 1/5000 dilution

Lane 1:

Human fetal brain lysate at 10 µg

Lane 2:

Human fetal heart lysate at 10 µg

Lane 3:

Human fetal kidney lysate at 10 µg

Secondary

All lanes:

Western blot - VeriBlot for IP Detection Reagent (HRP) (<a href='/en-us/products/reagents/veriblot-for-ip-detection-reagent-hrp-ab131366'>ab131366</a>) at 1/4000 dilution

Observed band size: 47 kDa,52 kDa

true

Immunoprecipitation - Anti-GSK3 beta + GSK3 alpha antibody [EPR18814-102] (AB185141)
  • IP

Supplier Data

Immunoprecipitation - Anti-GSK3 beta + GSK3 alpha antibody [EPR18814-102] (AB185141)

GSK3 beta + GSK3 alpha was immunoprecipitated from 0.35 mg of NIH/3T3 (mouse embryo fibroblast cell line) whole cell lysate with ab185141 at 1/30 dilution. Western blot was performed from the immunoprecipitate using ab185141 at 1/1000 dilution. VeriBlot for IP Detection Reagent (HRP) (ab131366), was used for detection at 1/10000 dilution.

Lane 1 : NIH/3T3 whole cell lysate 10 μg (Input).

Lane 2 : ab185141 IP in NIH/3T3 whole cell lysate.

Lane 3 : Rabbit monoclonal IgG (ab172730) instead of ab185141 in NIH/3T3 whole cell lysate.

Blocking and dilution buffer and concentration : 5% NFDM/TBST.

Exposure time : 3 seconds.

All lanes:

Immunoprecipitation - Anti-GSK3 beta + GSK3 alpha antibody [EPR18814-102] (ab185141)

false

Western blot - Anti-GSK3 beta + GSK3 alpha antibody [EPR18814-102] (AB185141)
  • WB

Lab

Western blot - Anti-GSK3 beta + GSK3 alpha antibody [EPR18814-102] (AB185141)

Lane 1 : Wild-type HAP1 whole cell lysate (20 μg)
Lane 2 : GSK3 alpha knockout HAP1 whole cell lysate (20 μg)
Lane 3 : GSK3 beta whole cell lysate (20 μg)
Lane 4 : HeLa whole cell lysate (20 μg)
Lane 5 : Hek293 whole cell lysate (20 μg)

Lanes 1 - 5 : Merged signal (red and green). Green - ab185141 observed at 47/52 kDa. Red - loading control, ab18058, observed at 130 kDa.

ab185141 was shown to specifically react with GSK3 alpha and GSK3 beta in wild-type HAP1 cells as signal was lost in GSK3 alpha and GSK3 beta knockout cells. Wild-type and GSK3 alpha and GSK3 beta knockout samples were subjected to SDS-PAGE. ab185141 and ab18058 (Mouse anti-Vinculin loading control) were incubated overnight at 4°C at 1/5000 dilution and 1/20000 dilution respectively. Blots were developed with Goat anti-Rabbit IgG H&L (IRDye® 800CW) preabsorbed ab216773 and Goat anti-Mouse IgG H&L (IRDye® 680RD) preabsorbed ab216776 secondary antibodies at 1/10000 dilution for 1 hour at room temperature before imaging.

Lane 1:

Western blot - Anti-GSK3 beta + GSK3 alpha antibody [EPR18814-102] (ab185141)

Lanes 2 - 5:

Western blot - Anti-GSK3 beta + GSK3 alpha antibody [EPR18814-102] - BSA and Azide free (<a href='/en-us/products/primary-antibodies/gsk3-beta-gsk3-alpha-antibody-epr18814-102-bsa-and-azide-free-ab226169'>ab226169</a>) at 1/5000 dilution

Lane 1:

Wild-type HAP1 whole cell lysate at 20 µg

Lane 2:

GSK3 alpha knockout HAP1 whole cell lysate at 20 µg

Lane 3:

GSK3 beta whole cell lysate at 20 µg

Lane 4:

HeLa whole cell lysate at 20 µg

Lane 5:

Hek293 whole cell lysate at 20 µg

false

Western blot - Anti-GSK3 beta + GSK3 alpha antibody [EPR18814-102] (AB185141)
  • WB

Supplier Data

Western blot - Anti-GSK3 beta + GSK3 alpha antibody [EPR18814-102] (AB185141)

Blocking/Dilution buffer : 5% NFDM/TBST.

All lanes:

Western blot - Anti-GSK3 beta + GSK3 alpha antibody [EPR18814-102] (ab185141) at 1/1000 dilution

Lane 1:

His-tagged mouse GSK3 beta (aa218-420) recombinant protein at 0.01 µg

Lane 2:

His-tagged mouse GSK3 alpha (aa330-490) recombinant protein at 0.01 µg

Secondary

All lanes:

Western blot - Goat Anti-Rabbit IgG H&L (HRP) (<a href='/en-us/products/secondary-antibodies/goat-rabbit-igg-h-l-hrp-ab97051'>ab97051</a>) at 1/100000 dilution

true

Exposure time: 1s

Key facts

Host species

Rabbit

Clonality

Monoclonal

Clone number

EPR18814-102

Isotype

IgG

Carrier free

No

Reacts with

Mouse, Rat, Human

Applications

IHC-P, Flow Cyt (Intra), ICC/IF, IP, WB

applications

Immunogen

The exact immunogen used to generate this antibody is proprietary information.

Specificity

Unsuitable for human IHC-P.

Reactivity data

{ "title": "Reactivity Data", "filters": { "stats": ["", "Species", "Dilution Info", "Notes"], "tabs": { "all-applications": {"fullname" : "All Applications", "shortname": "All Applications"}, "IP" : {"fullname" : "Immunoprecipitation", "shortname":"IP"}, "WB" : {"fullname" : "Western blot", "shortname":"WB"}, "ICCIF" : {"fullname" : "Immunocytochemistry/ Immunofluorescence", "shortname":"ICC/IF"}, "FlowCytIntra" : {"fullname" : "Flow Cytometry (Intracellular)", "shortname":"Flow Cyt (Intra)"}, "IHCP" : {"fullname" : "Immunohistochemistry (Formalin/PFA-fixed paraffin-embedded sections)", "shortname":"IHC-P"} }, "product-promise": { "all": "all", "testedAndGuaranteed": "tested", "guaranteed": "expected", "predicted": "predicted", "notRecommended": "not-recommended" } }, "values": { "Human": { "IP-species-checked": "guaranteed", "IP-species-dilution-info": "", "IP-species-notes": "", "WB-species-checked": "testedAndGuaranteed", "WB-species-dilution-info": "1/5000", "WB-species-notes": "<p></p>", "ICCIF-species-checked": "testedAndGuaranteed", "ICCIF-species-dilution-info": "1/150", "ICCIF-species-notes": "<p></p>", "FlowCytIntra-species-checked": "guaranteed", "FlowCytIntra-species-dilution-info": "", "FlowCytIntra-species-notes": "", "IHCP-species-checked": "notRecommended", "IHCP-species-dilution-info": "1/4000", "IHCP-species-notes": "<p>This antibody is not recommended for IHC in human.</p>" }, "Mouse": { "IP-species-checked": "testedAndGuaranteed", "IP-species-dilution-info": "1/30", "IP-species-notes": "<p></p>", "WB-species-checked": "testedAndGuaranteed", "WB-species-dilution-info": "1/5000", "WB-species-notes": "<p></p>", "ICCIF-species-checked": "testedAndGuaranteed", "ICCIF-species-dilution-info": "1/150", "ICCIF-species-notes": "<p></p>", "FlowCytIntra-species-checked": "testedAndGuaranteed", "FlowCytIntra-species-dilution-info": "1/60", "FlowCytIntra-species-notes": "<p></p>", "IHCP-species-checked": "testedAndGuaranteed", "IHCP-species-dilution-info": "1/4000", "IHCP-species-notes": "<p>This antibody is not recommended for IHC in human.</p>" }, "Rat": { "IP-species-checked": "guaranteed", "IP-species-dilution-info": "", "IP-species-notes": "", "WB-species-checked": "testedAndGuaranteed", "WB-species-dilution-info": "1/5000", "WB-species-notes": "<p></p>", "ICCIF-species-checked": "guaranteed", "ICCIF-species-dilution-info": "", "ICCIF-species-notes": "", "FlowCytIntra-species-checked": "guaranteed", "FlowCytIntra-species-dilution-info": "", "FlowCytIntra-species-notes": "", "IHCP-species-checked": "testedAndGuaranteed", "IHCP-species-dilution-info": "1/4000", "IHCP-species-notes": "<p>This antibody is not recommended for IHC in human.</p>" } } }

Product details

Patented technology
Our RabMAb® technology is a patented hybridoma-based technology for making rabbit monoclonal antibodies. For details on our patents, please refer to RabMAb® patents.

What are the advantages of a recombinant monoclonal antibody?
This product is a recombinant monoclonal antibody, which offers several advantages including:

  • - High batch-to-batch consistency and reproducibility
  • - Improved sensitivity and specificity
  • - Long-term security of supply
  • - Animal-free batch production

For more information, read more on recombinant antibodies.

Properties and storage information

Form
Liquid
Purification technique
Affinity purification Protein A
Storage buffer
pH: 7.2 - 7.4 Preservative: 0.01% Sodium azide Constituents: PBS, 40% Glycerol (glycerin, glycerine), 0.05% BSA
Shipped at conditions
Blue Ice
Appropriate short-term storage duration
1-2 weeks
Appropriate short-term storage conditions
+4°C
Appropriate long-term storage conditions
-20°C
Aliquoting information
Upon delivery aliquot
Storage information
Avoid freeze / thaw cycle

Supplementary information

This supplementary information is collated from multiple sources and compiled automatically.

Glycogen synthase kinase 3 beta (GSK3β) and glycogen synthase kinase 3 alpha (GSK3α) are serine/threonine protein kinases involved in various cellular processes. GSK3β weighs approximately 47 kDa while GSK3α is around 51 kDa. These proteins are expressed in various tissues including brain heart and liver. GSK3 isoforms act as key regulators in signaling pathways by phosphorylating target proteins affecting their function and stability. Alternative names for GSK3 include GSK-3β and GSK-3α respectively.
Biological function summary

The kinases play essential roles in cellular functions like glycogen metabolism cell cycle regulation and apoptosis. GSK3 proteins often function as part of larger enzyme complexes influencing cellular responses to external signals. They bind to numerous substrates impacting processes such as glucose homeostasis and neuron function. Dramatic changes in GSK3 activity can disrupt these biological processes highlighting their importance.

Pathways

These kinases are integral components of the Wnt/β-catenin and insulin signaling pathways. In the Wnt pathway GSK3 is involved in β-catenin phosphorylation affecting its degradation and transcriptional activity. In the insulin pathway GSK3 influences glycogen synthesis by phosphorylating and regulating glycogen synthase. Both pathways highlight how GSK3 interacts with other proteins such as adenomatous polyposis coli (APC) and axin to coordinate cellular activities.

GSK3 has links to conditions like Alzheimer's disease and diabetes mellitus. Dysregulation of GSK3 activity is observed in Alzheimer's disease where abnormal GSK3 signaling contributes to tau hyperphosphorylation and neurofibrillary tangle formation. In diabetes altered GSK3 function affects insulin signaling pathways influencing glucose metabolism. GSK3's involvement in these diseases often connects it to proteins like tau in Alzheimer's and insulin receptor substrate 1 (IRS1) in diabetes.

Product protocols

For this product, it's our understanding that no specific protocols are required. You can visit:

Target data

Constitutively active protein kinase that acts as a negative regulator in the hormonal control of glucose homeostasis, Wnt signaling and regulation of transcription factors and microtubules, by phosphorylating and inactivating glycogen synthase (GYS1 or GYS2), CTNNB1/beta-catenin, APC and AXIN1 (PubMed : 11749387, PubMed : 17478001, PubMed : 19366350). Requires primed phosphorylation of the majority of its substrates (PubMed : 11749387, PubMed : 17478001, PubMed : 19366350). Contributes to insulin regulation of glycogen synthesis by phosphorylating and inhibiting GYS1 activity and hence glycogen synthesis (PubMed : 11749387, PubMed : 17478001, PubMed : 19366350). Regulates glycogen metabolism in liver, but not in muscle (By similarity). May also mediate the development of insulin resistance by regulating activation of transcription factors (PubMed : 10868943, PubMed : 17478001). In Wnt signaling, regulates the level and transcriptional activity of nuclear CTNNB1/beta-catenin (PubMed : 17229088). Facilitates amyloid precursor protein (APP) processing and the generation of APP-derived amyloid plaques found in Alzheimer disease (PubMed : 12761548). May be involved in the regulation of replication in pancreatic beta-cells (By similarity). Is necessary for the establishment of neuronal polarity and axon outgrowth (By similarity). Through phosphorylation of the anti-apoptotic protein MCL1, may control cell apoptosis in response to growth factors deprivation (By similarity). Acts as a regulator of autophagy by mediating phosphorylation of KAT5/TIP60 under starvation conditions which activates KAT5/TIP60 acetyltransferase activity and promotes acetylation of key autophagy regulators, such as ULK1 and RUBCNL/Pacer (PubMed : 30704899). Negatively regulates extrinsic apoptotic signaling pathway via death domain receptors. Promotes the formation of an anti-apoptotic complex, made of DDX3X, BRIC2 and GSK3B, at death receptors, including TNFRSF10B. The anti-apoptotic function is most effective with weak apoptotic signals and can be overcome by stronger stimulation (By similarity). Phosphorylates mTORC2 complex component RICTOR at 'Thr-1695' which facilitates FBXW7-mediated ubiquitination and subsequent degradation of RICTOR (PubMed : 25897075).
See full target information Glycogen synthase kinase-3 alpha

Additional targets

GSK3B

Publications (9)

Recent publications for all applications. Explore the full list and refine your search

Nature communications 16:8857 PubMed41053170

2025

Discovery of a CNS active GSK3 degrader using orthogonally reactive linker screening.

Applications

Unspecified application

Species

Unspecified reactive species

Andreas Holmqvist,Nur Mehpare Kocaturk,Christina Duncan,Jennifer Riley,Steven Baginski,Graham Marsh,Joel Cresser-Brown,Hannah Maple,Kristiina Juvonen,Gajanan Sathe,Nicola Morrice,Calum Sutherland,Kevin D Read,William Farnaby

Scientific reports 15:25854 PubMed40670556

2025

Poneratoxin as a key tool for investigating the relationship between sodium channel hypersensitivity and impaired nerve cell function.

Applications

Unspecified application

Species

Unspecified reactive species

Zirui Lü,Xiandong Dai,Jianjie Xu,Mu Zhu,Bo Chen,Yongbiao Guo,Zhenhua Gao,Fanhua Meng

International journal of molecular sciences 26: PubMed40331934

2025

Distinct Hepatic Metabolic Reprogramming in Acute and Chronic Sleep Deprivation and the Protective Effects of the Chalcone Analogue TAK.

Applications

Unspecified application

Species

Unspecified reactive species

Yifang Wang,Yachong Hu,Pengxiao Wang,Ranrui Hu,Zhongqi Chen,Tiantian Zhang,Jiankang Liu,Mami Noda,Jiangang Long,Yunhua Peng

BMC cancer 25:185 PubMed39891115

2025

HTR1D regulates the PI3K/Akt signaling pathway to impact hepatocellular carcinoma development and resistance to sorafenib.

Applications

Unspecified application

Species

Unspecified reactive species

Yingai Zhang,Yuting Zhang,Shuai Zhou,Mujeeb Ur Rehman,Fankai Lin,Jianquan Zhang,Hailong Zhou

Toxics 12: PubMed38250973

2024

Biochemical Toxicological Study of Insulin Overdose in Rats: A Forensic Perspective.

Applications

Unspecified application

Species

Unspecified reactive species

Cunhao Bian,Xin He,Qi Wang,Zhe Zheng,Yongtai Zhang,Hongli Xiong,Yongguo Li,Mingzhu Zhao,Jianbo Li

Respiratory research 24:227 PubMed37741976

2023

CTGF promotes the repair and regeneration of alveoli after acute lung injury by promoting the proliferation of subpopulation of AEC2s.

Applications

Unspecified application

Species

Unspecified reactive species

Jianhui Sun,Huacai Zhang,Di Liu,Wenyi Liu,Juan Du,Dalin Wen,Luoxi Li,Anqiang Zhang,Jianxin Jiang,Ling Zeng

Disease markers 2022:5045873 PubMed35845134

2022

Human Umbilical Cord Mesenchymal Stem Cell-Derived Extracellular Vesicles Carrying MicroRNA-29a Improves Ovarian Function of Mice with Primary Ovarian Insufficiency by Targeting HMG-Box Transcription Factor/Wnt/-Catenin Signaling.

Applications

Unspecified application

Species

Unspecified reactive species

Tian Gao,Yi Cao,Min Hu,Ying Du

JCI insight 5: PubMed32453715

2020

Myocardial protection by nanomaterials formulated with CHIR99021 and FGF1.

Applications

Unspecified application

Species

Unspecified reactive species

Chengming Fan,Yasin Oduk,Meng Zhao,Xi Lou,Yawen Tang,Danielle Pretorius,Mani T Valarmathi,Gregory P Walcott,Jinfu Yang,Philippe Menasche,Prasanna Krishnamurthy,Wuqiang Zhu,Jianyi Zhang

Journal of pain and symptom management 47:748-756.e4 PubMed23916682

2013

Proteomic serum profile of fatigued men receiving localized external beam radiation therapy for non-metastatic prostate cancer.

Applications

Unspecified application

Species

Unspecified reactive species

Nada Lukkahatai,Sajni Patel,Marjan Gucek,Chao-Pin Hsiao,Leorey N Saligan
View all publications

Product promise

We are committed to supporting your work with high-quality reagents, and we're here for you every step of the way. In the unlikely event that one of our products does not perform as expected, you're protected by our Product Promise.
For full details, please see our Terms & Conditions

Please note: All products are 'FOR RESEARCH USE ONLY. NOT FOR USE IN DIAGNOSTIC OR THERAPEUTIC PROCEDURES'.

For licensing inquiries, please contact partnerships@abcam.com