JavaScript is disabled in your browser. Please enable JavaScript to view this website.
AB226169

Anti-GSK3 beta + GSK3 alpha antibody [EPR18814-102] - BSA and Azide free

Be the first to review this product! Submit a review

|

(2 Publications)

Rabbit Recombinant Monoclonal GSK3 alpha antibody. Carrier free. Suitable for IP, WB, ICC/IF, Flow Cyt (Intra), IHC-P and reacts with Mouse, Rat, Human samples. Cited in 2 publications.

View Alternative Names

Glycogen synthase kinase-3 alpha, GSK-3 alpha, Serine/threonine-protein kinase GSK3A, GSK3A

7 Images
Immunocytochemistry/ Immunofluorescence - Anti-GSK3 beta + GSK3 alpha antibody [EPR18814-102] - BSA and Azide free (AB226169)
  • ICC/IF

Supplier Data

Immunocytochemistry/ Immunofluorescence - Anti-GSK3 beta + GSK3 alpha antibody [EPR18814-102] - BSA and Azide free (AB226169)

Immunofluorescent analysis of 4% paraformaldehyde-fixed, 0.1% Triton X-100 permeabilized HeLa (human epithelial cell line from cervix adenocarcinoma) cells labeling GSK3 beta + GSK3 alpha with ab185141 at 1/150 dilution followed by Goat Anti-Rabbit IgG H&L (Alexa Fluor® 488) (ab150077) secondary antibody at 1/1000 dilution (green). Confocal image showing cytoplasmic staining on HeLa cells.

The nuclear counter stain is DAPI (blue). Tubulin is detected with Anti-alpha Tubulin antibody [DM1A] - Microtubule Marker (Alexa Fluor® 594) (ab195889) (red) at 1/200 dilution.

Secondary antibody only control : Used PBS instead of primary antibody, secondary antibody is Goat Anti-Rabbit IgG H&L (Alexa Fluor® 488) (ab150077) secondary antibody at 1/1000 dilution.

This data was developed using the same antibody clone in a different buffer formulation containing PBS, BSA, glycerol, and sodium azide (ab185141).

Immunocytochemistry/ Immunofluorescence - Anti-GSK3 beta + GSK3 alpha antibody [EPR18814-102] - BSA and Azide free (AB226169)
  • ICC/IF

Supplier Data

Immunocytochemistry/ Immunofluorescence - Anti-GSK3 beta + GSK3 alpha antibody [EPR18814-102] - BSA and Azide free (AB226169)

Immunofluorescent analysis of 4% paraformaldehyde-fixed, 0.1% Triton X-100 permeabilized NIH/3T3 (mouse embryo fibroblast cell line) cells labeling GSK3 beta + GSK3 alpha with ab185141 at 1/150 dilution followed by Goat Anti-Rabbit IgG H&L (Alexa Fluor® 488) (ab150077) secondary antibody at 1/1000 dilution (green). Confocal image showing cytoplasmic staining on NIH/3T3 cells.

The nuclear counter stain is DAPI (blue). Tubulin is detected with Anti-alpha Tubulin antibody [DM1A] - Microtubule Marker (Alexa Fluor® 594) (ab195889) (red) at 1/200 dilution.

Secondary antibody only control : Used PBS instead of primary antibody, secondary antibody is Goat Anti-Rabbit IgG H&L (Alexa Fluor® 488) (ab150077) secondary antibody at 1/1000 dilution.

This data was developed using the same antibody clone in a different buffer formulation containing PBS, BSA, glycerol, and sodium azide (ab185141).

Flow Cytometry (Intracellular) - Anti-GSK3 beta + GSK3 alpha antibody [EPR18814-102] - BSA and Azide free (AB226169)
  • Flow Cyt (Intra)

Supplier Data

Flow Cytometry (Intracellular) - Anti-GSK3 beta + GSK3 alpha antibody [EPR18814-102] - BSA and Azide free (AB226169)

Intracellular flow cytometric analysis of 4% paraformaldehyde-fixed, 90% methanol-permeabilized NIH/3T3 (mouse embryo fibroblast cell line) cell line labeling GSK3 beta + GSK3 alpha with ab185141 at 1/60 dilution (red) compared with a Rabbit IgG, monoclonal [EPR25A] - Isotype Control (ab172730) (black) and an unlabeled control (cells without incubation with primary antibody and secondary antibody) (blue). Goat Anti-Rabbit IgG H&L (Alexa Fluor® 488) (ab150077) at 1/2000 dilution was used as the secondary antibody.

This data was developed using the same antibody clone in a different buffer formulation containing PBS, BSA, glycerol, and sodium azide (ab185141).

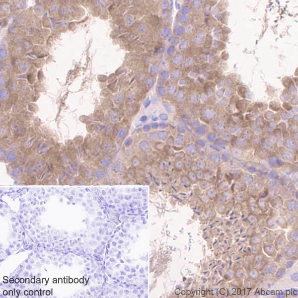
Immunohistochemistry (Formalin/PFA-fixed paraffin-embedded sections) - Anti-GSK3 beta + GSK3 alpha antibody [EPR18814-102] - BSA and Azide free (AB226169)
  • IHC-P

Supplier Data

Immunohistochemistry (Formalin/PFA-fixed paraffin-embedded sections) - Anti-GSK3 beta + GSK3 alpha antibody [EPR18814-102] - BSA and Azide free (AB226169)

Immunohistochemical analysis of paraffin-embedded mouse testis tissue labeling GSK3 beta + GSK3 alpha with ab185141 at 1/4000 dilution, followed by Goat Anti-Rabbit IgG H&L (HRP) Ready to use. Cytoplasmic staining on mouse testis (PMID : 22792253). Counter stained with hematoxylin.

Secondary antibody only control : Used PBS instead of primary antibody, secondary antibody is Goat Anti-Rabbit IgG H&L (HRP) Ready to use.

This data was developed using the same antibody clone in a different buffer formulation containing PBS, BSA, glycerol, and sodium azide (ab185141).

Perform heat mediated antigen retrieval with Tris/EDTA buffer pH 9.0 before commencing with IHC staining protocol.

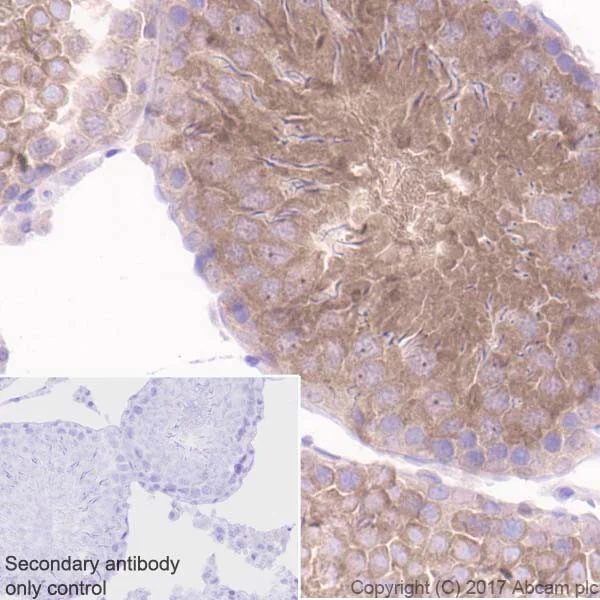
Immunohistochemistry (Formalin/PFA-fixed paraffin-embedded sections) - Anti-GSK3 beta + GSK3 alpha antibody [EPR18814-102] - BSA and Azide free (AB226169)
  • IHC-P

Supplier Data

Immunohistochemistry (Formalin/PFA-fixed paraffin-embedded sections) - Anti-GSK3 beta + GSK3 alpha antibody [EPR18814-102] - BSA and Azide free (AB226169)

Immunohistochemical analysis of paraffin-embedded rat testis tissue labeling GSK3 beta + GSK3 alpha with ab185141 at 1/4000 dilution, followed by Goat Anti-Rabbit IgG H&L (HRP) Ready to use. Cytoplasmic staining on rat testis (PMID : 22792253). Counter stained with hematoxylin.

Secondary antibody only control : Used PBS instead of primary antibody, secondary antibody is Goat Anti-Rabbit IgG H&L (HRP) Ready to use.

This data was developed using the same antibody clone in a different buffer formulation containing PBS, BSA, glycerol, and sodium azide (ab185141).

Perform heat mediated antigen retrieval with Tris/EDTA buffer pH 9.0 before commencing with IHC staining protocol.

Immunoprecipitation - Anti-GSK3 beta + GSK3 alpha antibody [EPR18814-102] - BSA and Azide free (AB226169)
  • IP

Supplier Data

Immunoprecipitation - Anti-GSK3 beta + GSK3 alpha antibody [EPR18814-102] - BSA and Azide free (AB226169)

GSK3 beta + GSK3 alpha was immunoprecipitated from 0.35 mg of NIH/3T3 (mouse embryo fibroblast cell line) whole cell lysate with ab185141 at 1/30 dilution. Western blot was performed from the immunoprecipitate using ab185141 at 1/1000 dilution. VeriBlot for IP Detection Reagent (HRP) (ab131366), was used for detection at 1/10000 dilution.

Lane 1 : NIH/3T3 whole cell lysate 10 μg (Input).

Lane 2 : ab185141 IP in NIH/3T3 whole cell lysate.

Lane 3 : Rabbit monoclonal IgG (ab172730) instead of ab185141 in NIH/3T3 whole cell lysate.

Blocking and dilution buffer and concentration : 5% NFDM/TBST.

Exposure time : 3 seconds.

This data was developed using the same antibody clone in a different buffer formulation containing PBS, BSA, glycerol, and sodium azide (ab185141).

All lanes:

Immunoprecipitation - Anti-GSK3 beta + GSK3 alpha antibody [EPR18814-102] (<a href='/en-us/products/primary-antibodies/gsk3-beta-gsk3-alpha-antibody-epr18814-102-ab185141'>ab185141</a>)

false

Western blot - Anti-GSK3 beta + GSK3 alpha antibody [EPR18814-102] - BSA and Azide free (AB226169)
  • WB

Lab

Western blot - Anti-GSK3 beta + GSK3 alpha antibody [EPR18814-102] - BSA and Azide free (AB226169)

**Lanes 1 - 5 : ** Merged signal (red and green). Green - ab185141 observed at 47/52 kDa. Red - loading control, ab18058, observed at 130 kDa. ab185141 was shown to specifically react with GSK3 alpha and GSK3 beta in wild-type HAP1 cells as signal was lost in GSK3 alpha and GSK3 beta knockout cells. Wild-type and GSK3 alpha and GSK3 beta knockout samples were subjected to SDS-PAGE. ab185141 and ab18058 (Mouse anti-Vinculin loading control) were incubated overnight at 4°C at 1/5000 dilution and 1/20000 dilution respectively. Blots were developed with Goat anti-Rabbit IgG H&L (IRDye® 800CW) preabsorbed ab216773 and Goat anti-Mouse IgG H&L (IRDye® 680RD) preabsorbed ab216776 secondary antibodies at 1/10000 dilution for 1 hour at room temperature before imaging. This data was developed using the same antibody clone in a different buffer formulation containing PBS, BSA, glycerol, and sodium azide (ab185141).

Lane 1:

Western blot - Anti-GSK3 beta + GSK3 alpha antibody [EPR18814-102] (<a href='/en-us/products/primary-antibodies/gsk3-beta-gsk3-alpha-antibody-epr18814-102-ab185141'>ab185141</a>)

Lanes 2 - 5:

Western blot - Anti-GSK3 beta + GSK3 alpha antibody [EPR18814-102] - BSA and Azide free (ab226169) at 1/5000 dilution

Lane 1:

Wild-type HAP1 whole cell lysate at 20 µg

Lane 2:

GSK3 alpha knockout HAP1 whole cell lysate at 20 µg

Lane 3:

GSK3 beta whole cell lysate at 20 µg

Lane 4:

HeLa whole cell lysate at 20 µg

Lane 5:

Hek293 whole cell lysate at 20 µg

false

Key facts

Host species

Rabbit

Clonality

Monoclonal

Clone number

EPR18814-102

Isotype

IgG

Carrier free

Yes

Reacts with

Mouse, Rat, Human

Applications

IHC-P, ICC/IF, Flow Cyt (Intra), IP, WB

applications

Immunogen

The exact immunogen used to generate this antibody is proprietary information.

Specificity

Unsuitable for human IHC-P.

Reactivity data

{ "title": "Reactivity Data", "filters": { "stats": ["", "Species", "Dilution Info", "Notes"], "tabs": { "all-applications": {"fullname" : "All Applications", "shortname": "All Applications"}, "IP" : {"fullname" : "Immunoprecipitation", "shortname":"IP"}, "WB" : {"fullname" : "Western blot", "shortname":"WB"}, "ICCIF" : {"fullname" : "Immunocytochemistry/ Immunofluorescence", "shortname":"ICC/IF"}, "FlowCytIntra" : {"fullname" : "Flow Cytometry (Intracellular)", "shortname":"Flow Cyt (Intra)"}, "IHCP" : {"fullname" : "Immunohistochemistry (Formalin/PFA-fixed paraffin-embedded sections)", "shortname":"IHC-P"} }, "product-promise": { "all": "all", "testedAndGuaranteed": "tested", "guaranteed": "expected", "predicted": "predicted", "notRecommended": "not-recommended" } }, "values": { "Human": { "IP-species-checked": "guaranteed", "IP-species-dilution-info": "", "IP-species-notes": "", "WB-species-checked": "testedAndGuaranteed", "WB-species-dilution-info": "", "WB-species-notes": "<p></p>", "ICCIF-species-checked": "testedAndGuaranteed", "ICCIF-species-dilution-info": "", "ICCIF-species-notes": "<p></p>", "FlowCytIntra-species-checked": "guaranteed", "FlowCytIntra-species-dilution-info": "", "FlowCytIntra-species-notes": "", "IHCP-species-checked": "notRecommended", "IHCP-species-dilution-info": "", "IHCP-species-notes": "<p>This antibody is not recommended for IHC in human.</p>" }, "Mouse": { "IP-species-checked": "testedAndGuaranteed", "IP-species-dilution-info": "", "IP-species-notes": "<p></p>", "WB-species-checked": "testedAndGuaranteed", "WB-species-dilution-info": "", "WB-species-notes": "<p></p>", "ICCIF-species-checked": "testedAndGuaranteed", "ICCIF-species-dilution-info": "", "ICCIF-species-notes": "<p></p>", "FlowCytIntra-species-checked": "testedAndGuaranteed", "FlowCytIntra-species-dilution-info": "", "FlowCytIntra-species-notes": "<p></p>", "IHCP-species-checked": "testedAndGuaranteed", "IHCP-species-dilution-info": "", "IHCP-species-notes": "<p>This antibody is not recommended for IHC in human.</p>" }, "Rat": { "IP-species-checked": "guaranteed", "IP-species-dilution-info": "", "IP-species-notes": "", "WB-species-checked": "testedAndGuaranteed", "WB-species-dilution-info": "", "WB-species-notes": "<p></p>", "ICCIF-species-checked": "guaranteed", "ICCIF-species-dilution-info": "", "ICCIF-species-notes": "", "FlowCytIntra-species-checked": "guaranteed", "FlowCytIntra-species-dilution-info": "", "FlowCytIntra-species-notes": "", "IHCP-species-checked": "testedAndGuaranteed", "IHCP-species-dilution-info": "", "IHCP-species-notes": "<p>This antibody is not recommended for IHC in human.</p>" } } }

Product details

ab226169 is the carrier-free version of ab185141.

Patented technology
Our RabMAb® technology is a patented hybridoma-based technology for making rabbit monoclonal antibodies. For details on our patents, please refer to RabMAb® patents.

What are the advantages of a recombinant monoclonal antibody?
This product is a recombinant monoclonal antibody, which offers several advantages including:

  • - High batch-to-batch consistency and reproducibility
  • - Improved sensitivity and specificity
  • - Long-term security of supply
  • - Animal-free batch production

For more information, read more on recombinant antibodies.

Conjugation ready
Our carrier-free antibodies are typically supplied in a PBS-only formulation, purified and free of BSA, sodium azide and glycerol. This conjugation-ready format is designed for use with fluorochromes, metal isotopes, oligonucleotides, and enzymes, which makes them ideal for antibody labelling, functional and cell-based assays, flow-based assays (e.g. mass cytometry) and Multiplex Imaging applications.

Use our conjugation kits for antibody conjugates that are ready-to-use in as little as 20 minutes with 1 minute hands-on-time and 100% antibody recovery: available for fluorescent dyes, HRP, biotin and gold.

Compatibility
This product is compatible with the Maxpar® Antibody Labeling Kit from Fluidigm, without the need for antibody preparation. Maxpar® is a trademark of Fluidigm Canada Inc.

Properties and storage information

Form
Liquid
Purification technique
Affinity purification Protein A
Storage buffer
pH: 7.2 - 7.4 Constituents: PBS
Shipped at conditions
Blue Ice
Appropriate short-term storage conditions
+4°C
Appropriate long-term storage conditions
+4°C
Storage information
Do Not Freeze

Supplementary information

This supplementary information is collated from multiple sources and compiled automatically.

Glycogen synthase kinase 3 beta (GSK3β) and glycogen synthase kinase 3 alpha (GSK3α) are serine/threonine protein kinases involved in various cellular processes. GSK3β weighs approximately 47 kDa while GSK3α is around 51 kDa. These proteins are expressed in various tissues including brain heart and liver. GSK3 isoforms act as key regulators in signaling pathways by phosphorylating target proteins affecting their function and stability. Alternative names for GSK3 include GSK-3β and GSK-3α respectively.
Biological function summary

The kinases play essential roles in cellular functions like glycogen metabolism cell cycle regulation and apoptosis. GSK3 proteins often function as part of larger enzyme complexes influencing cellular responses to external signals. They bind to numerous substrates impacting processes such as glucose homeostasis and neuron function. Dramatic changes in GSK3 activity can disrupt these biological processes highlighting their importance.

Pathways

These kinases are integral components of the Wnt/β-catenin and insulin signaling pathways. In the Wnt pathway GSK3 is involved in β-catenin phosphorylation affecting its degradation and transcriptional activity. In the insulin pathway GSK3 influences glycogen synthesis by phosphorylating and regulating glycogen synthase. Both pathways highlight how GSK3 interacts with other proteins such as adenomatous polyposis coli (APC) and axin to coordinate cellular activities.

GSK3 has links to conditions like Alzheimer's disease and diabetes mellitus. Dysregulation of GSK3 activity is observed in Alzheimer's disease where abnormal GSK3 signaling contributes to tau hyperphosphorylation and neurofibrillary tangle formation. In diabetes altered GSK3 function affects insulin signaling pathways influencing glucose metabolism. GSK3's involvement in these diseases often connects it to proteins like tau in Alzheimer's and insulin receptor substrate 1 (IRS1) in diabetes.

Product protocols

For this product, it's our understanding that no specific protocols are required. You can visit:

Target data

Constitutively active protein kinase that acts as a negative regulator in the hormonal control of glucose homeostasis, Wnt signaling and regulation of transcription factors and microtubules, by phosphorylating and inactivating glycogen synthase (GYS1 or GYS2), CTNNB1/beta-catenin, APC and AXIN1 (PubMed : 11749387, PubMed : 17478001, PubMed : 19366350). Requires primed phosphorylation of the majority of its substrates (PubMed : 11749387, PubMed : 17478001, PubMed : 19366350). Contributes to insulin regulation of glycogen synthesis by phosphorylating and inhibiting GYS1 activity and hence glycogen synthesis (PubMed : 11749387, PubMed : 17478001, PubMed : 19366350). Regulates glycogen metabolism in liver, but not in muscle (By similarity). May also mediate the development of insulin resistance by regulating activation of transcription factors (PubMed : 10868943, PubMed : 17478001). In Wnt signaling, regulates the level and transcriptional activity of nuclear CTNNB1/beta-catenin (PubMed : 17229088). Facilitates amyloid precursor protein (APP) processing and the generation of APP-derived amyloid plaques found in Alzheimer disease (PubMed : 12761548). May be involved in the regulation of replication in pancreatic beta-cells (By similarity). Is necessary for the establishment of neuronal polarity and axon outgrowth (By similarity). Through phosphorylation of the anti-apoptotic protein MCL1, may control cell apoptosis in response to growth factors deprivation (By similarity). Acts as a regulator of autophagy by mediating phosphorylation of KAT5/TIP60 under starvation conditions which activates KAT5/TIP60 acetyltransferase activity and promotes acetylation of key autophagy regulators, such as ULK1 and RUBCNL/Pacer (PubMed : 30704899). Negatively regulates extrinsic apoptotic signaling pathway via death domain receptors. Promotes the formation of an anti-apoptotic complex, made of DDX3X, BRIC2 and GSK3B, at death receptors, including TNFRSF10B. The anti-apoptotic function is most effective with weak apoptotic signals and can be overcome by stronger stimulation (By similarity). Phosphorylates mTORC2 complex component RICTOR at 'Thr-1695' which facilitates FBXW7-mediated ubiquitination and subsequent degradation of RICTOR (PubMed : 25897075).
See full target information Glycogen synthase kinase-3 alpha

Additional targets

GSK3B

Publications (2)

Recent publications for all applications. Explore the full list and refine your search

Cellular & molecular immunology 21:770-786 PubMed38839914

2024

HIF-1α and MIF enhance neutrophil-driven type 3 immunity and chondrogenesis in a murine spondyloarthritis model.

Applications

Unspecified application

Species

Unspecified reactive species

Akihiro Nakamura,Sungsin Jo,Sayaka Nakamura,Mansi K Aparnathi,Shaghayegh Foroozan Boroojeni,Mariia Korshko,Ye-Soo Park,Himanshi Gupta,Sandra Vijayan,Jason S Rockel,Mohit Kapoor,Igor Jurisica,Tae-Hwan Kim,Nigil Haroon

BioMed research international 2020:3120458 PubMed33029500

2020

Combined Pharmacotherapy with Alendronate and Desferoxamine Regulate the Bone Resorption and Bone Regeneration for Preventing Glucocorticoids-Induced Osteonecrosis of the Femoral Head.

Applications

Unspecified application

Species

Unspecified reactive species

Hongfeng Sheng,Yangjun Lao,Shuliang Zhang,Weiguo Ding,Di Lu,Bin Xu
View all publications

Product promise

We are committed to supporting your work with high-quality reagents, and we're here for you every step of the way. In the unlikely event that one of our products does not perform as expected, you're protected by our Product Promise.
For full details, please see our Terms & Conditions

Please note: All products are 'FOR RESEARCH USE ONLY. NOT FOR USE IN DIAGNOSTIC OR THERAPEUTIC PROCEDURES'.

For licensing inquiries, please contact partnerships@abcam.com