JavaScript is disabled in your browser. Please enable JavaScript to view this website.
AB107166

Anti-GSK3 beta (phospho S9) antibody

4

(5 Reviews)

|

(32 Publications)

Rabbit Polyclonal GSK3 beta phospho S9 antibody. Suitable for IHC-P, WB, ICC/IF and reacts with Human samples. Cited in 32 publications.

View Alternative Names

Glycogen synthase kinase-3 beta, GSK-3 beta, Serine/threonine-protein kinase GSK3B, GSK3B

3 Images
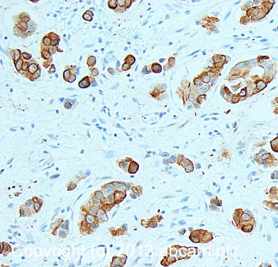
Immunohistochemistry (Formalin/PFA-fixed paraffin-embedded sections) - Anti-GSK3 beta (phospho S9) antibody (AB107166)
  • IHC-P

Unknown

Immunohistochemistry (Formalin/PFA-fixed paraffin-embedded sections) - Anti-GSK3 beta (phospho S9) antibody (AB107166)

IHC image of GSK3 beta (phospho S9) staining in Human breast adenocarcinoma formalin fixed paraffin embedded tissue section, performed on a Leica Bond™ system using the standard protocol F. The section was pre-treated using heat mediated antigen retrieval with sodium citrate buffer (pH6, epitope retrieval solution 1) for 20 mins. The section was then incubated with ab107166, 1μg/ml, for 15 mins at room temperature and detected using an HRP conjugated compact polymer system. DAB was used as the chromogen. The section was then counterstained with haematoxylin and mounted with DPX.

For other IHC staining systems (automated and non-automated) customers should optimize variable parameters such as antigen retrieval conditions, primary antibody concentration and antibody incubation times.

Immunocytochemistry/ Immunofluorescence - Anti-GSK3 beta (phospho S9) antibody (AB107166)
  • ICC/IF

Lab

Immunocytochemistry/ Immunofluorescence - Anti-GSK3 beta (phospho S9) antibody (AB107166)

ab107166 staining GSK3 beta (phospho S9) in MCF7 cells. The cells were fixed with 100% methanol (5 min), permeabilized with 0.1% PBS-Tween for 5 minutes and then blocked with 1% BSA/10% normal goat serum/0.3M glycine in 0.1%PBS-Tween for 1h. The cells were then incubated overnight at 4°C with ab107166 at 1µg/ml and ab7291, Mouse monoclonal [DM1A] to alpha Tubulin - Loading Control. Cells were then incubated with ab150081, Goat polyclonal Secondary Antibody to Rabbit IgG - H&L (Alexa Fluor® 488), pre-adsorbed at 1/1000 dilution (shown in green) and ab150120, Goat polyclonal Secondary Antibody to Mouse IgG - H&L (Alexa Fluor® 594), pre-adsorbed at 1/1000 dilution (shown in pseudocolour magenta). Nuclear DNA was labelled with DAPI (shown in blue).

Image was acquired with a high-content analyser (Operetta CLS, Perkin Elmer) and a maximum intensity projection of confocal sections is shown.

Western blot - Anti-GSK3 beta (phospho S9) antibody (AB107166)
  • WB

Unknown

Western blot - Anti-GSK3 beta (phospho S9) antibody (AB107166)

All lanes:

Western blot - Anti-GSK3 beta (phospho S9) antibody (ab107166) at 1 µg/mL

Lane 1:

HeLa (Human epithelial carcinoma cell line) Whole Cell Lysate at 10 µg

Lane 2:

Jurkat (Human T cell lymphoblast-like cell line) Whole Cell Lysate at 10 µg

Lane 3:

A549 (Human lung adenocarcinoma epithelial cell line) Whole Cell Lysate at 10 µg

Lane 4:

HeLa (Human epithelial carcinoma cell line) Whole Cell Lysate at 10 µg with Immunizing peptide

Lane 5:

Jurkat (Human T cell lymphoblast-like cell line) Whole Cell Lysate at 10 µg with Immunizing peptide

Lane 6:

A549 (Human lung adenocarcinoma epithelial cell line) Whole Cell Lysate at 10 µg with Immunizing peptide

Secondary

All lanes:

Western blot - Goat Anti-Rabbit IgG H&L (HRP) preadsorbed (<a href='/en-us/products/secondary-antibodies/goat-rabbit-igg-h-l-hrp-preadsorbed-ab97080'>ab97080</a>) at 1/5000 dilution

Predicted band size: 46 kDa

Observed band size: 125 kDa,28 kDa,47 kDa

true

Exposure time: 12min

Key facts

Host species

Rabbit

Clonality

Polyclonal

Isotype

IgG

Carrier free

No

Reacts with

Human

Applications

IHC-P, WB, ICC/IF

applications

Immunogen

The exact immunogen used to generate this antibody is proprietary information.

Reactivity data

{ "title": "Reactivity Data", "filters": { "stats": ["", "Species", "Dilution Info", "Notes"], "tabs": { "all-applications": {"fullname" : "All Applications", "shortname": "All Applications"}, "IHCP" : {"fullname" : "Immunohistochemistry (Formalin/PFA-fixed paraffin-embedded sections)", "shortname":"IHC-P"}, "WB" : {"fullname" : "Western blot", "shortname":"WB"}, "ICCIF" : {"fullname" : "Immunocytochemistry/ Immunofluorescence", "shortname":"ICC/IF"} }, "product-promise": { "all": "all", "testedAndGuaranteed": "tested", "guaranteed": "expected", "predicted": "predicted", "notRecommended": "not-recommended" } }, "values": { "Human": { "IHCP-species-checked": "testedAndGuaranteed", "IHCP-species-dilution-info": "1 µg/mL", "IHCP-species-notes": "<p></p>", "WB-species-checked": "testedAndGuaranteed", "WB-species-dilution-info": "1 µg/mL", "WB-species-notes": "<p></p>", "ICCIF-species-checked": "testedAndGuaranteed", "ICCIF-species-dilution-info": "1 µg/mL", "ICCIF-species-notes": "<p></p>" }, "Mouse": { "IHCP-species-checked": "predicted", "IHCP-species-dilution-info": "", "IHCP-species-notes": "", "WB-species-checked": "predicted", "WB-species-dilution-info": "", "WB-species-notes": "", "ICCIF-species-checked": "predicted", "ICCIF-species-dilution-info": "", "ICCIF-species-notes": "" }, "Rat": { "IHCP-species-checked": "predicted", "IHCP-species-dilution-info": "", "IHCP-species-notes": "", "WB-species-checked": "predicted", "WB-species-dilution-info": "", "WB-species-notes": "", "ICCIF-species-checked": "predicted", "ICCIF-species-dilution-info": "", "ICCIF-species-notes": "" }, "Chimpanzee": { "IHCP-species-checked": "predicted", "IHCP-species-dilution-info": "", "IHCP-species-notes": "", "WB-species-checked": "predicted", "WB-species-dilution-info": "", "WB-species-notes": "", "ICCIF-species-checked": "predicted", "ICCIF-species-dilution-info": "", "ICCIF-species-notes": "" }, "Cow": { "IHCP-species-checked": "predicted", "IHCP-species-dilution-info": "", "IHCP-species-notes": "", "WB-species-checked": "predicted", "WB-species-dilution-info": "", "WB-species-notes": "", "ICCIF-species-checked": "predicted", "ICCIF-species-dilution-info": "", "ICCIF-species-notes": "" }, "Dog": { "IHCP-species-checked": "predicted", "IHCP-species-dilution-info": "", "IHCP-species-notes": "", "WB-species-checked": "predicted", "WB-species-dilution-info": "", "WB-species-notes": "", "ICCIF-species-checked": "predicted", "ICCIF-species-dilution-info": "", "ICCIF-species-notes": "" }, "Gorilla": { "IHCP-species-checked": "predicted", "IHCP-species-dilution-info": "", "IHCP-species-notes": "", "WB-species-checked": "predicted", "WB-species-dilution-info": "", "WB-species-notes": "", "ICCIF-species-checked": "predicted", "ICCIF-species-dilution-info": "", "ICCIF-species-notes": "" }, "Macaque monkey": { "IHCP-species-checked": "predicted", "IHCP-species-dilution-info": "", "IHCP-species-notes": "", "WB-species-checked": "predicted", "WB-species-dilution-info": "", "WB-species-notes": "", "ICCIF-species-checked": "predicted", "ICCIF-species-dilution-info": "", "ICCIF-species-notes": "" }, "Pig": { "IHCP-species-checked": "predicted", "IHCP-species-dilution-info": "", "IHCP-species-notes": "", "WB-species-checked": "predicted", "WB-species-dilution-info": "", "WB-species-notes": "", "ICCIF-species-checked": "predicted", "ICCIF-species-dilution-info": "", "ICCIF-species-notes": "" }, "Rabbit": { "IHCP-species-checked": "predicted", "IHCP-species-dilution-info": "", "IHCP-species-notes": "", "WB-species-checked": "predicted", "WB-species-dilution-info": "", "WB-species-notes": "", "ICCIF-species-checked": "predicted", "ICCIF-species-dilution-info": "", "ICCIF-species-notes": "" }, "Sheep": { "IHCP-species-checked": "predicted", "IHCP-species-dilution-info": "", "IHCP-species-notes": "", "WB-species-checked": "predicted", "WB-species-dilution-info": "", "WB-species-notes": "", "ICCIF-species-checked": "predicted", "ICCIF-species-dilution-info": "", "ICCIF-species-notes": "" }, "Zebrafish": { "IHCP-species-checked": "predicted", "IHCP-species-dilution-info": "", "IHCP-species-notes": "", "WB-species-checked": "predicted", "WB-species-dilution-info": "", "WB-species-notes": "", "ICCIF-species-checked": "predicted", "ICCIF-species-dilution-info": "", "ICCIF-species-notes": "" } } }

Properties and storage information

Form
Liquid
Purification technique
Affinity purification Immunogen
Storage buffer
pH: 7.4 Preservative: 0.02% Sodium azide Constituents: PBS, 1% BSA
Shipped at conditions
Blue Ice
Appropriate short-term storage duration
1-2 weeks
Appropriate short-term storage conditions
+4°C
Appropriate long-term storage conditions
-20°C
Aliquoting information
Upon delivery aliquot
Storage information
Avoid freeze / thaw cycle

Supplementary information

This supplementary information is collated from multiple sources and compiled automatically.

Glycogen synthase kinase 3 beta or GSK3 beta is a serine/threonine protein kinase that regulates various cellular processes. It is also referred to as GSK3B and has a molecular weight of approximately 47 kilodaltons (kDa). This enzyme is widely expressed in many tissues with notably high expression levels in the brain. Mechanically GSK3 beta phosphorylates target proteins affecting their activity stability and interactions with other proteins.
Biological function summary

As an important regulatory protein GSK3 beta plays a role in multiple cellular functions including metabolism cell cycle and cell signaling. It often interacts with components in signaling complexes and modulates the activity of these complexes involving phosphorylation. It is involved in the regulation of transcription factors such as c-Myc and β-catenin influencing cell fate and survival. This ability to modulate diverse functions highlights GSK3 beta's importance in cellular regulation.

Pathways

GSK3 beta participates in significant signaling pathways such as the Wnt/β-catenin and insulin signaling pathways. In the Wnt pathway GSK3 beta phosphorylates β-catenin marking it for degradation which regulates gene transcription. In insulin signaling it interacts with proteins like AKT to mediate glycogen synthesis. These interactions highlight its role in maintaining cellular homeostasis and energy balance.

GSK3 beta has implications in Alzheimer's disease and type 2 diabetes. It is associated with tau protein hyperphosphorylation and neurofibrillary tangles in Alzheimer's disease. In diabetes its role in insulin signaling impacts glucose metabolism. Further GSK3 beta's dysfunction relates to disrupted signaling related to these conditions positioning it as a potential therapeutic target.

Product protocols

For this product, it's our understanding that no specific protocols are required. You can visit:

Target data

Constitutively active protein kinase that acts as a negative regulator in the hormonal control of glucose homeostasis, Wnt signaling and regulation of transcription factors and microtubules, by phosphorylating and inactivating glycogen synthase (GYS1 or GYS2), EIF2B, CTNNB1/beta-catenin, APC, AXIN1, DPYSL2/CRMP2, JUN, NFATC1/NFATC, MAPT/TAU and MACF1 (PubMed : 11430833, PubMed : 12554650, PubMed : 14690523, PubMed : 16484495, PubMed : 1846781, PubMed : 20937854, PubMed : 9072970). Requires primed phosphorylation of the majority of its substrates (PubMed : 11430833, PubMed : 16484495). In skeletal muscle, contributes to insulin regulation of glycogen synthesis by phosphorylating and inhibiting GYS1 activity and hence glycogen synthesis (PubMed : 8397507). May also mediate the development of insulin resistance by regulating activation of transcription factors (PubMed : 8397507). Regulates protein synthesis by controlling the activity of initiation factor 2B (EIF2BE/EIF2B5) in the same manner as glycogen synthase (PubMed : 8397507). In Wnt signaling, GSK3B forms a multimeric complex with APC, AXIN1 and CTNNB1/beta-catenin and phosphorylates the N-terminus of CTNNB1 leading to its degradation mediated by ubiquitin/proteasomes (PubMed : 12554650). Phosphorylates JUN at sites proximal to its DNA-binding domain, thereby reducing its affinity for DNA (PubMed : 1846781). Phosphorylates NFATC1/NFATC on conserved serine residues promoting NFATC1/NFATC nuclear export, shutting off NFATC1/NFATC gene regulation, and thereby opposing the action of calcineurin (PubMed : 9072970). Phosphorylates MAPT/TAU on 'Thr-548', decreasing significantly MAPT/TAU ability to bind and stabilize microtubules (PubMed : 14690523). MAPT/TAU is the principal component of neurofibrillary tangles in Alzheimer disease (PubMed : 14690523). Plays an important role in ERBB2-dependent stabilization of microtubules at the cell cortex (PubMed : 20937854). Phosphorylates MACF1, inhibiting its binding to microtubules which is critical for its role in bulge stem cell migration and skin wound repair (By similarity). Probably regulates NF-kappa-B (NFKB1) at the transcriptional level and is required for the NF-kappa-B-mediated anti-apoptotic response to TNF-alpha (TNF/TNFA) (By similarity). Negatively regulates replication in pancreatic beta-cells, resulting in apoptosis, loss of beta-cells and diabetes (By similarity). Through phosphorylation of the anti-apoptotic protein MCL1, may control cell apoptosis in response to growth factors deprivation (By similarity). Phosphorylates MUC1 in breast cancer cells, decreasing the interaction of MUC1 with CTNNB1/beta-catenin (PubMed : 9819408). Is necessary for the establishment of neuronal polarity and axon outgrowth (PubMed : 20067585). Phosphorylates MARK2, leading to inhibition of its activity (By similarity). Phosphorylates SIK1 at 'Thr-182', leading to sustainment of its activity (PubMed : 18348280). Phosphorylates ZC3HAV1 which enhances its antiviral activity (PubMed : 22514281). Phosphorylates SNAI1, leading to its ubiquitination and proteasomal degradation (PubMed : 15448698, PubMed : 15647282, PubMed : 25827072, PubMed : 29059170). Phosphorylates SFPQ at 'Thr-687' upon T-cell activation (PubMed : 20932480). Phosphorylates NR1D1 st 'Ser-55' and 'Ser-59' and stabilizes it by protecting it from proteasomal degradation. Regulates the circadian clock via phosphorylation of the major clock components including BMAL1, CLOCK and PER2 (PubMed : 19946213, PubMed : 28903391). Phosphorylates FBXL2 at 'Thr-404' and primes it for ubiquitination by the SCF(FBXO3) complex and proteasomal degradation (By similarity). Phosphorylates CLOCK AT 'Ser-427' and targets it for proteasomal degradation (PubMed : 19946213). Phosphorylates BMAL1 at 'Ser-17' and 'Ser-21' and primes it for ubiquitination and proteasomal degradation (PubMed : 28903391). Phosphorylates OGT at 'Ser-3' or 'Ser-4' which positively regulates its activity. Phosphorylates MYCN in neuroblastoma cells which may promote its degradation (PubMed : 24391509). Regulates the circadian rhythmicity of hippocampal long-term potentiation and BMAL1 and PER2 expression (By similarity). Acts as a regulator of autophagy by mediating phosphorylation of KAT5/TIP60 under starvation conditions, activating KAT5/TIP60 acetyltransferase activity and promoting acetylation of key autophagy regulators, such as ULK1 and RUBCNL/Pacer (PubMed : 30704899). Negatively regulates extrinsic apoptotic signaling pathway via death domain receptors. Promotes the formation of an anti-apoptotic complex, made of DDX3X, BRIC2 and GSK3B, at death receptors, including TNFRSF10B. The anti-apoptotic function is most effective with weak apoptotic signals and can be overcome by stronger stimulation (PubMed : 18846110). Phosphorylates E2F1, promoting the interaction between E2F1 and USP11, stabilizing E2F1 and promoting its activity (PubMed : 17050006, PubMed : 28992046). Phosphorylates mTORC2 complex component RICTOR at 'Thr-1695' which facilitates FBXW7-mediated ubiquitination and subsequent degradation of RICTOR (PubMed : 25897075). Phosphorylates FXR1, promoting FXR1 ubiquitination by the SCF(FBXO4) complex and FXR1 degradation by the proteasome (By similarity). Phosphorylates interleukin-22 receptor subunit IL22RA1, preventing its proteasomal degradation (By similarity).
See full target information GSK3B phospho S9

Publications (32)

Recent publications for all applications. Explore the full list and refine your search

Journal of biochemical and molecular toxicology 38:e70024 PubMed39434434

2024

Sinensetin inhibits the movement ability and tumor immune microenvironment of non-small cell lung cancer through the inactivation of AKT/β-catenin axis.

Applications

Unspecified application

Species

Unspecified reactive species

Zhenliang Shi,Yimeng Shen,Xin Liu,Sipei Zhang

Brain sciences 14: PubMed38539620

2024

Dendrobine Ameliorates Alzheimer's Disease-like Pathology and Cognitive Decline in 3 × Tg-AD Mice.

Applications

Unspecified application

Species

Unspecified reactive species

Wei Zhang,Juan Huang,Jingshan Shi

Central-European journal of immunology 49:425-435 PubMed39944258

2024

Swertiamarin ameliorates cognitive dysfunction by improving hyperglycemia and neuroinflammation in type 2 diabetic rats activation of the PI3K/AKT/GSK3β signaling pathway.

Applications

Unspecified application

Species

Unspecified reactive species

Bingyin Tan,Li Liu,Tao Wu,Fangjie Yuan,Cheng Wang

The international journal of neuropsychopharmacology 27: PubMed38038373

2023

MiR-182-5p: A Novel Biomarker in the Treatment of Depression in CSDS-Induced Mice.

Applications

Unspecified application

Species

Unspecified reactive species

Ya-Bin Zheng,Xiao-Ming Sheng,Xiang Jin,Wei Guan

Frontiers in cellular neuroscience 17:1272899 PubMed38026695

2023

Upregulation of LRRK2 following traumatic brain injury does not directly phosphorylate Thr tau.

Applications

Unspecified application

Species

Unspecified reactive species

Neil Donison,Matthew Hintermayer,Maegha Subramaniam,Erin Santandrea,Kathryn Volkening,Michael J Strong

Biological research 56:48 PubMed37608294

2023

Mucin1 induced trophoblast dysfunction in gestational diabetes mellitus via Wnt/β-catenin pathway.

Applications

Unspecified application

Species

Unspecified reactive species

Shuang-Shuang Cui,Ping Zhang,Lu Sun,Yu-Lin-Lan Yuan,Jingyun Wang,Feng-Xiang Zhang,Ruiman Li

Life sciences 327:121856 PubMed37307966

2023

Arjunolic acid modulate pancreatic dysfunction by ameliorating pattern recognition receptor and canonical Wnt pathway activation in type 2 diabetic rats.

Applications

Unspecified application

Species

Unspecified reactive species

Khurram Aamir,Gautam Sethi,Mst Rejina Afrin,Chowdhury Faiz Hossain,Patricia Regina Jusuf,Satyajit D Sarker,Aditya Arya

Frontiers in pharmacology 14:1200058 PubMed37292149

2023

Qi-Dong-Huo-Xue-Yin balances the immune microenvironment to protect against LPS induced acute lung injury.

Applications

Unspecified application

Species

Unspecified reactive species

Tian Zhao,Le Wang,Yongjun Zhang,Wu Ye,Juan Liu,Haiyan Wu,Fei Wang,Tingyu Tang,Zhijun Li

Experimental physiology 108:961-974 PubMed37139700

2023

High doses of rosuvastatin induce impaired branched-chain amino acid catabolism and lead to insulin resistance.

Applications

Unspecified application

Species

Unspecified reactive species

Xue Bai,Xingzhen Long,Fang Song,Baolin Chen,Changcheng Sheng,Cailin Tang,Li Li,Jiaxing Zhang,Rui Zhang,Jiquan Zhang,Jiali Li

Chinese medicine 18:31 PubMed36959603

2023

Suxiao Jiuxin Pill alleviates myocardial ischemia-reperfusion injury through the ALKBH5/GSK3β/mTOR pathway.

Applications

Unspecified application

Species

Unspecified reactive species

Yiping Li,Ruixia Lu,Zhenchao Niu,Dan Wang,Xiaolong Wang
View all publications

Product promise

We are committed to supporting your work with high-quality reagents, and we're here for you every step of the way. In the unlikely event that one of our products does not perform as expected, you're protected by our Product Promise.
For full details, please see our Terms & Conditions

Please note: All products are 'FOR RESEARCH USE ONLY. NOT FOR USE IN DIAGNOSTIC OR THERAPEUTIC PROCEDURES'.

For licensing inquiries, please contact partnerships@abcam.com