JavaScript is disabled in your browser. Please enable JavaScript to view this website.
AB219359

Anti-GSK3 beta (phospho S9) antibody [EPR2286Y] - BSA and Azide free

Be the first to review this product! Submit a review

|

(11 Publications)

Rabbit Recombinant Monoclonal GSK3 beta phospho S9 antibody. Carrier free. Suitable for IHC-P, Dot, WB, ICC/IF and reacts with Human, Synthetic peptide samples. Cited in 11 publications.

View Alternative Names

Glycogen synthase kinase-3 beta, GSK-3 beta, Serine/threonine-protein kinase GSK3B, GSK3B

4 Images
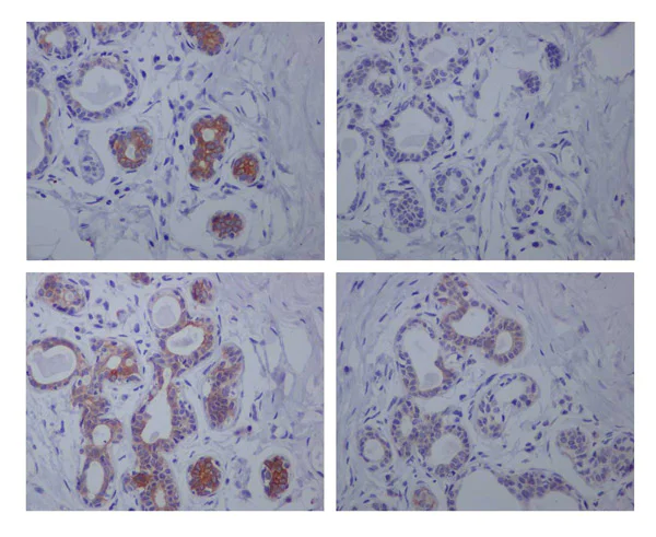
Immunohistochemistry (Formalin/PFA-fixed paraffin-embedded sections) - Anti-GSK3 beta (phospho S9) antibody [EPR2286Y] - BSA and Azide free (AB219359)
  • IHC-P

Unknown

Immunohistochemistry (Formalin/PFA-fixed paraffin-embedded sections) - Anti-GSK3 beta (phospho S9) antibody [EPR2286Y] - BSA and Azide free (AB219359)

Immunohistochemical analysis of paraffin-embedded human breast tissue labelled with untreated ab75814 (phospho) (top-left) at a dilution of 1/1000, alkaline phosphatase treated ab75814 (phospho) (top-right) at a dilution of 1/1000, untreated ab32391 (bottom-left) at a dilution of 1/1000 and alkaline phophatase treated ab32391 (bottom-right) at a dilution of 1/1000. ab97051 was used as secondary antibody at a dilution of 1/500 and counterstained with hematoxylin.

This data was developed using the same antibody clone in a different buffer formulation containing PBS, BSA, glycerol, and sodium azide (ab75814).

Perform heat mediated antigen retrieval before commencing with IHC staining protocol.

Immunocytochemistry/ Immunofluorescence - Anti-GSK3 beta (phospho S9) antibody [EPR2286Y] - BSA and Azide free (AB219359)
  • ICC/IF

Unknown

Immunocytochemistry/ Immunofluorescence - Anti-GSK3 beta (phospho S9) antibody [EPR2286Y] - BSA and Azide free (AB219359)

Cell line : HeLa (human cervix adenocarcinoma)

Target : ab75814 anti-GSK3 beta (phospho S9)

Secondary : ab150077 AlexaFluor®488 Goat anti-Rabbit

Fixative : 4% PFA

Permeabilization : 0.1% Triton-X

Nuclear counter stain : DAPI

Confocal image showed increased cytoplasmic staining after Calyculin A (CA) (ab141784 100ng/ml, 10min) treatment on Hela cells. The LP treatment decreased the increased cytoplasmic staining caused by CA.

ab32391 was used as a control for ab75814. The results showed cytoplasmic staining on untreated, CA and CA+LP treated Hela cells.

This data was developed using the same antibody clone in a different buffer formulation containing PBS, BSA, glycerol, and sodium azide (ab75814).

Immunohistochemistry (Formalin/PFA-fixed paraffin-embedded sections) - Anti-GSK3 beta (phospho S9) antibody [EPR2286Y] - BSA and Azide free (AB219359)
  • IHC-P

Unknown

Immunohistochemistry (Formalin/PFA-fixed paraffin-embedded sections) - Anti-GSK3 beta (phospho S9) antibody [EPR2286Y] - BSA and Azide free (AB219359)

Immunohistochemical analysis of paraffin-embedded human breast cancer tissue labelled with untreated ab75814 (top-left) at a dilution of 1/1000, alkaline phosphatase treated ab75814 (top-right) at a dilution of 1/1000, untreated ab32391 (bottom-left) at a dilution of 1/1000 and alkaline phophatase treated ab32391 (bottom-right) at a dilution of 1/1000. ab97051 was used as secondary antibody at a dilution of 1/500 and counterstained with hematoxylin.

This data was developed using the same antibody clone in a different buffer formulation containing PBS, BSA, glycerol, and sodium azide (ab75814).

Perform heat mediated antigen retrieval before commencing with IHC staining protocol.

Dot Blot - Anti-GSK3 beta (phospho S9) antibody [EPR2286Y] - BSA and Azide free (AB219359)
  • Dot

Lab

Dot Blot - Anti-GSK3 beta (phospho S9) antibody [EPR2286Y] - BSA and Azide free (AB219359)

Dot blot analysis of GSK3 beta (pS9) peptide (Lane 1) and GSK3 beta non-phospho peptide (Lane 2) labelling GSK3 (pS9) with purified ab75814 at a dilution of 1/1000. ab97051 (Peroxidase conjugated goat anti-rabbit IgG (H+L)) was used as the secondary antibody at a dilution of 1/100000.

Blocking and dilution buffer : 5% NFDM/TBST.

Exposure time : 3 minutes.

This data was developed using the same antibody clone in a different buffer formulation containing PBS, BSA, glycerol, and sodium azide (ab75814).

  • Unconjugated

    Anti-GSK3 beta (phospho S9) antibody [EPR2286Y]

Key facts

Host species

Rabbit

Clonality

Monoclonal

Clone number

EPR2286Y

Isotype

IgG

Carrier free

Yes

Reacts with

Human

Applications

ICC/IF, IHC-P, WB, Dot

applications

Immunogen

The exact immunogen used to generate this antibody is proprietary information.

Reactivity data

{ "title": "Reactivity Data", "filters": { "stats": ["", "Species", "Dilution Info", "Notes"], "tabs": { "all-applications": {"fullname" : "All Applications", "shortname": "All Applications"}, "IHCP" : {"fullname" : "Immunohistochemistry (Formalin/PFA-fixed paraffin-embedded sections)", "shortname":"IHC-P"}, "IP" : {"fullname" : "Immunoprecipitation", "shortname":"IP"}, "FlowCyt" : {"fullname" : "Flow Cytometry", "shortname":"Flow Cyt"}, "Dot" : {"fullname" : "Dot Blot", "shortname":"Dot"}, "WB" : {"fullname" : "Western blot", "shortname":"WB"}, "ICCIF" : {"fullname" : "Immunocytochemistry/ Immunofluorescence", "shortname":"ICC/IF"} }, "product-promise": { "all": "all", "testedAndGuaranteed": "tested", "guaranteed": "expected", "predicted": "predicted", "notRecommended": "not-recommended" } }, "values": { "Human": { "IHCP-species-checked": "testedAndGuaranteed", "IHCP-species-dilution-info": "", "IHCP-species-notes": "<p></p>", "IP-species-checked": "notRecommended", "IP-species-dilution-info": "", "IP-species-notes": "<p></p>", "FlowCyt-species-checked": "notRecommended", "FlowCyt-species-dilution-info": "", "FlowCyt-species-notes": "<p><a href='/en-us/products/primary-antibodies/rabbit-igg-monoclonal-epr25a-isotype-control-low-endotoxin-azide-free-ab199376'>ab199376</a> - Rabbit monoclonal IgG, is suitable for use as an isotype control with this antibody.</p>", "Dot-species-checked": "guaranteed", "Dot-species-dilution-info": "", "Dot-species-notes": "", "WB-species-checked": "guaranteed", "WB-species-dilution-info": "", "WB-species-notes": "<p></p>", "ICCIF-species-checked": "testedAndGuaranteed", "ICCIF-species-dilution-info": "", "ICCIF-species-notes": "<p></p>" }, "Synthetic peptide": { "IHCP-species-checked": "notRecommended", "IHCP-species-dilution-info": "", "IHCP-species-notes": "", "IP-species-checked": "notRecommended", "IP-species-dilution-info": "", "IP-species-notes": "", "FlowCyt-species-checked": "notRecommended", "FlowCyt-species-dilution-info": "", "FlowCyt-species-notes": "", "Dot-species-checked": "testedAndGuaranteed", "Dot-species-dilution-info": "", "Dot-species-notes": "<p></p>", "WB-species-checked": "notRecommended", "WB-species-dilution-info": "", "WB-species-notes": "", "ICCIF-species-checked": "notRecommended", "ICCIF-species-dilution-info": "", "ICCIF-species-notes": "" } } }

Product details

ab219359 is the carrier-free version of ab75814.

Species reactivity
Mouse, Rat: We have preliminary internal testing data to indicate this antibody may not react with these species.
Please contact us for more information.

Patented technology
Our RabMAb® technology is a patented hybridoma-based technology for making rabbit monoclonal antibodies. For details on our patents, please refer to RabMAb® patents.

What are the advantages of a recombinant monoclonal antibody?
This product is a recombinant monoclonal antibody, which offers several advantages including:

  • - High batch-to-batch consistency and reproducibility
  • - Improved sensitivity and specificity
  • - Long-term security of supply
  • - Animal-free batch production

For more information, read more on recombinant antibodies.

Conjugation ready
Our carrier-free antibodies are typically supplied in a PBS-only formulation, purified and free of BSA, sodium azide and glycerol. This conjugation-ready format is designed for use with fluorochromes, metal isotopes, oligonucleotides, and enzymes, which makes them ideal for antibody labelling, functional and cell-based assays, flow-based assays (e.g. mass cytometry) and Multiplex Imaging applications.

Use our conjugation kits for antibody conjugates that are ready-to-use in as little as 20 minutes with 1 minute hands-on-time and 100% antibody recovery: available for fluorescent dyes, HRP, biotin and gold.

Compatibility
This product is compatible with the Maxpar® Antibody Labeling Kit from Fluidigm, without the need for antibody preparation. Maxpar® is a trademark of Fluidigm Canada Inc.

Properties and storage information

Form
Liquid
Purification technique
Affinity purification Protein A
Storage buffer
pH: 7.2 - 7.4 Constituents: PBS
Shipped at conditions
Blue Ice
Appropriate short-term storage conditions
+4°C
Appropriate long-term storage conditions
+4°C
Storage information
Do Not Freeze

Supplementary information

This supplementary information is collated from multiple sources and compiled automatically.

Glycogen synthase kinase 3 beta or GSK3 beta is a serine/threonine protein kinase that regulates various cellular processes. It is also referred to as GSK3B and has a molecular weight of approximately 47 kilodaltons (kDa). This enzyme is widely expressed in many tissues with notably high expression levels in the brain. Mechanically GSK3 beta phosphorylates target proteins affecting their activity stability and interactions with other proteins.
Biological function summary

As an important regulatory protein GSK3 beta plays a role in multiple cellular functions including metabolism cell cycle and cell signaling. It often interacts with components in signaling complexes and modulates the activity of these complexes involving phosphorylation. It is involved in the regulation of transcription factors such as c-Myc and β-catenin influencing cell fate and survival. This ability to modulate diverse functions highlights GSK3 beta's importance in cellular regulation.

Pathways

GSK3 beta participates in significant signaling pathways such as the Wnt/β-catenin and insulin signaling pathways. In the Wnt pathway GSK3 beta phosphorylates β-catenin marking it for degradation which regulates gene transcription. In insulin signaling it interacts with proteins like AKT to mediate glycogen synthesis. These interactions highlight its role in maintaining cellular homeostasis and energy balance.

GSK3 beta has implications in Alzheimer's disease and type 2 diabetes. It is associated with tau protein hyperphosphorylation and neurofibrillary tangles in Alzheimer's disease. In diabetes its role in insulin signaling impacts glucose metabolism. Further GSK3 beta's dysfunction relates to disrupted signaling related to these conditions positioning it as a potential therapeutic target.

Product protocols

For this product, it's our understanding that no specific protocols are required. You can visit:

Target data

Constitutively active protein kinase that acts as a negative regulator in the hormonal control of glucose homeostasis, Wnt signaling and regulation of transcription factors and microtubules, by phosphorylating and inactivating glycogen synthase (GYS1 or GYS2), EIF2B, CTNNB1/beta-catenin, APC, AXIN1, DPYSL2/CRMP2, JUN, NFATC1/NFATC, MAPT/TAU and MACF1 (PubMed : 11430833, PubMed : 12554650, PubMed : 14690523, PubMed : 16484495, PubMed : 1846781, PubMed : 20937854, PubMed : 9072970). Requires primed phosphorylation of the majority of its substrates (PubMed : 11430833, PubMed : 16484495). In skeletal muscle, contributes to insulin regulation of glycogen synthesis by phosphorylating and inhibiting GYS1 activity and hence glycogen synthesis (PubMed : 8397507). May also mediate the development of insulin resistance by regulating activation of transcription factors (PubMed : 8397507). Regulates protein synthesis by controlling the activity of initiation factor 2B (EIF2BE/EIF2B5) in the same manner as glycogen synthase (PubMed : 8397507). In Wnt signaling, GSK3B forms a multimeric complex with APC, AXIN1 and CTNNB1/beta-catenin and phosphorylates the N-terminus of CTNNB1 leading to its degradation mediated by ubiquitin/proteasomes (PubMed : 12554650). Phosphorylates JUN at sites proximal to its DNA-binding domain, thereby reducing its affinity for DNA (PubMed : 1846781). Phosphorylates NFATC1/NFATC on conserved serine residues promoting NFATC1/NFATC nuclear export, shutting off NFATC1/NFATC gene regulation, and thereby opposing the action of calcineurin (PubMed : 9072970). Phosphorylates MAPT/TAU on 'Thr-548', decreasing significantly MAPT/TAU ability to bind and stabilize microtubules (PubMed : 14690523). MAPT/TAU is the principal component of neurofibrillary tangles in Alzheimer disease (PubMed : 14690523). Plays an important role in ERBB2-dependent stabilization of microtubules at the cell cortex (PubMed : 20937854). Phosphorylates MACF1, inhibiting its binding to microtubules which is critical for its role in bulge stem cell migration and skin wound repair (By similarity). Probably regulates NF-kappa-B (NFKB1) at the transcriptional level and is required for the NF-kappa-B-mediated anti-apoptotic response to TNF-alpha (TNF/TNFA) (By similarity). Negatively regulates replication in pancreatic beta-cells, resulting in apoptosis, loss of beta-cells and diabetes (By similarity). Through phosphorylation of the anti-apoptotic protein MCL1, may control cell apoptosis in response to growth factors deprivation (By similarity). Phosphorylates MUC1 in breast cancer cells, decreasing the interaction of MUC1 with CTNNB1/beta-catenin (PubMed : 9819408). Is necessary for the establishment of neuronal polarity and axon outgrowth (PubMed : 20067585). Phosphorylates MARK2, leading to inhibition of its activity (By similarity). Phosphorylates SIK1 at 'Thr-182', leading to sustainment of its activity (PubMed : 18348280). Phosphorylates ZC3HAV1 which enhances its antiviral activity (PubMed : 22514281). Phosphorylates SNAI1, leading to its ubiquitination and proteasomal degradation (PubMed : 15448698, PubMed : 15647282, PubMed : 25827072, PubMed : 29059170). Phosphorylates SFPQ at 'Thr-687' upon T-cell activation (PubMed : 20932480). Phosphorylates NR1D1 st 'Ser-55' and 'Ser-59' and stabilizes it by protecting it from proteasomal degradation. Regulates the circadian clock via phosphorylation of the major clock components including BMAL1, CLOCK and PER2 (PubMed : 19946213, PubMed : 28903391). Phosphorylates FBXL2 at 'Thr-404' and primes it for ubiquitination by the SCF(FBXO3) complex and proteasomal degradation (By similarity). Phosphorylates CLOCK AT 'Ser-427' and targets it for proteasomal degradation (PubMed : 19946213). Phosphorylates BMAL1 at 'Ser-17' and 'Ser-21' and primes it for ubiquitination and proteasomal degradation (PubMed : 28903391). Phosphorylates OGT at 'Ser-3' or 'Ser-4' which positively regulates its activity. Phosphorylates MYCN in neuroblastoma cells which may promote its degradation (PubMed : 24391509). Regulates the circadian rhythmicity of hippocampal long-term potentiation and BMAL1 and PER2 expression (By similarity). Acts as a regulator of autophagy by mediating phosphorylation of KAT5/TIP60 under starvation conditions, activating KAT5/TIP60 acetyltransferase activity and promoting acetylation of key autophagy regulators, such as ULK1 and RUBCNL/Pacer (PubMed : 30704899). Negatively regulates extrinsic apoptotic signaling pathway via death domain receptors. Promotes the formation of an anti-apoptotic complex, made of DDX3X, BRIC2 and GSK3B, at death receptors, including TNFRSF10B. The anti-apoptotic function is most effective with weak apoptotic signals and can be overcome by stronger stimulation (PubMed : 18846110). Phosphorylates E2F1, promoting the interaction between E2F1 and USP11, stabilizing E2F1 and promoting its activity (PubMed : 17050006, PubMed : 28992046). Phosphorylates mTORC2 complex component RICTOR at 'Thr-1695' which facilitates FBXW7-mediated ubiquitination and subsequent degradation of RICTOR (PubMed : 25897075). Phosphorylates FXR1, promoting FXR1 ubiquitination by the SCF(FBXO4) complex and FXR1 degradation by the proteasome (By similarity). Phosphorylates interleukin-22 receptor subunit IL22RA1, preventing its proteasomal degradation (By similarity).
See full target information GSK3B phospho S9

Publications (11)

Recent publications for all applications. Explore the full list and refine your search

Experimental and therapeutic medicine 12:1829-1835 PubMed27588101

2016

Astragaloside IV protects new born rats from anesthesia-induced apoptosis in the developing brain.

Applications

Unspecified application

Species

Unspecified reactive species

Jian Sun,Xiao-Ling Chen,Jin-Yu Zheng,Jian-Wei Zhou,Zheng-Liang Ma

Scientific reports 6:18815 PubMed26739898

2016

High mobility group box 1-induced epithelial mesenchymal transition in human airway epithelial cells.

Applications

WB

Species

Human

Yu-Ching Chen,Sarah Statt,Reen Wu,Hao-Teng Chang,Jiunn-Wang Liao,Chien-Neng Wang,Woei-Cherng Shyu,Chen-Chen Lee

PloS one 8:e81945 PubMed24312384

2013

Concerted suppression of STAT3 and GSK3β is involved in growth inhibition of non-small cell lung cancer by Xanthatin.

Applications

WB

Species

Human

Li Tao,Fangtian Fan,Yuping Liu,Weidong Li,Lei Zhang,Junshan Ruan,Cunsi Shen,Xiaobo Sheng,Zhijie Zhu,Aiyun Wang,Wenxing Chen,Shile Huang,Yin Lu

Cancer letters 344:119-128 PubMed24189456

2013

RETRACTED: Ca(2+)/calmodulin-dependent protein kinase IIγ, a critical mediator of the NF-κB network, is a novel therapeutic target in non-small cell lung cancer.

Applications

Unspecified application

Species

Human

Shoujie Chai,Yingying Qian,Jingfen Tang,Zhuyu Liang,Min Zhang,Jingxing Si,Xiuzhen Li,Wengdong Huang,Rongzhen Xu,Kai Wang

Cancer research 73:5742-53 PubMed23884910

2013

Akt SUMOylation regulates cell proliferation and tumorigenesis.

Applications

WB

Species

Human

Rong Li,Jie Wei,Cong Jiang,Dongmei Liu,Lu Deng,Kai Zhang,Ping Wang

BMC complementary and alternative medicine 13:185 PubMed23870199

2013

Bufalin, a component in Chansu, inhibits proliferation and invasion of hepatocellular carcinoma cells.

Applications

WB

Species

Human

Dong-Ze Qiu,Zhou-Ji Zhang,Wei-Zhong Wu,Yun-Ke Yang

Proceedings of the National Academy of Sciences of 110:11982-7 PubMed23818604

2013

Highly multiplexed single-cell analysis of formalin-fixed, paraffin-embedded cancer tissue.

Applications

ICC/IF

Species

Human

Michael J Gerdes,Christopher J Sevinsky,Anup Sood,Sudeshna Adak,Musodiq O Bello,Alexander Bordwell,Ali Can,Alex Corwin,Sean Dinn,Robert J Filkins,Denise Hollman,Vidya Kamath,Sireesha Kaanumalle,Kevin Kenny,Melinda Larsen,Michael Lazare,Qing Li,Christina Lowes,Colin C McCulloch,Elizabeth McDonough,Michael C Montalto,Zhengyu Pang,Jens Rittscher,Alberto Santamaria-Pang,Brion D Sarachan,Maximilian L Seel,Antti Seppo,Kashan Shaikh,Yunxia Sui,Jingyu Zhang,Fiona Ginty

PloS one 8:e63295 PubMed23704899

2013

Areca nut extract induces pyknotic necrosis in serum-starved oral cells via increasing reactive oxygen species and inhibiting GSK3β: an implication for cytopathic effects in betel quid chewers.

Applications

Unspecified application

Species

Unspecified reactive species

Wen-Tsai Ji,Cheng-I Lee,Jeff Yi-Fu Chen,Ya-Ping Cheng,Sheng-Ru Yang,Jung-Hua Chen,Hau-Ren Chen

PloS one 8:e63731 PubMed23667667

2013

Huaier aqueous extract inhibits ovarian cancer cell motility via the AKT/GSK3β/β-catenin pathway.

Applications

WB

Species

Unspecified reactive species

Xiaohui Yan,Tianjiao Lyu,Nan Jia,Yinhua Yu,Keqin Hua,Weiwei Feng

Molecular cancer 9:199 PubMed20663232

2010

TRAIL sensitize MDR cells to MDR-related drugs by down-regulation of P-glycoprotein through inhibition of DNA-PKcs/Akt/GSK-3beta pathway and activation of caspases.

Applications

WB

Species

Unspecified reactive species

Suk-Bin Seo,Jung-Gu Hur,Mi-Ju Kim,Jae-Won Lee,Hak-Bong Kim,Jae-Ho Bae,Dong-Wan Kim,Chi-Dug Kang,Sun-Hee Kim
View all publications

Product promise

We are committed to supporting your work with high-quality reagents, and we're here for you every step of the way. In the unlikely event that one of our products does not perform as expected, you're protected by our Product Promise.
For full details, please see our Terms & Conditions

Please note: All products are 'FOR RESEARCH USE ONLY. NOT FOR USE IN DIAGNOSTIC OR THERAPEUTIC PROCEDURES'.

For licensing inquiries, please contact partnerships@abcam.com