JavaScript is disabled in your browser. Please enable JavaScript to view this website.
AB68476

Anti-GSK3 beta (phospho Y216) + GSK3 alpha (phospho Y279) antibody [EPR933Y]

  • BOND RX™ Validated
  • 20ul selling size
  • RabMAb
  • Recombinant
  • What is this?

4

(3 Reviews)

|

(64 Publications)

Rabbit Recombinant Monoclonal GSK3 alpha phospho Y216 antibody. Suitable for IHC-P, IP, Dot, WB and reacts with Human, Mouse, Rat, Zebrafish samples. Cited in 64 publications.

View Alternative Names

Glycogen synthase kinase-3 alpha, GSK-3 alpha, Serine/threonine-protein kinase GSK3A, GSK3A

12 Images
Immunohistochemistry (Formalin/PFA-fixed paraffin-embedded sections) - Anti-GSK3 beta (phospho Y216) + GSK3 alpha (phospho Y279) antibody [EPR933Y] (AB68476)
  • IHC-P

Lab

Immunohistochemistry (Formalin/PFA-fixed paraffin-embedded sections) - Anti-GSK3 beta (phospho Y216) + GSK3 alpha (phospho Y279) antibody [EPR933Y] (AB68476)

Immunohistochemistry (Formalin/PFA-fixed paraffin-embedded sections) analysis of human thyroid carcinoma tissue labelling GSK3 (alpha + beta) with purified ab68476 at 1/2000. Heat mediated antigen retrieval was performed using Bond™ Epitope Retrieval Solution 2 (pH 9.0) for 20 minutes. ab209101, a Rabbit specific IHC polymer detection kit HRP/DAB was used. Negative control using PBS instead of primary antibody. Counterstained with hematoxylin.

Positive staining on human thyroid carcinoma without alkaline phosphatase treatment (image A). No signal was detected when tissues were treated with alkaline phosphatase (image B).

The section was incubated with ab68476 for 30 minutes at room temperature. The immunostaining staining was performed on a Leica Biosystems BOND® RX instrument.

Immunohistochemistry (Formalin/PFA-fixed paraffin-embedded sections) - Anti-GSK3 beta (phospho Y216) + GSK3 alpha (phospho Y279) antibody [EPR933Y] (AB68476)
  • IHC-P

Unknown

Immunohistochemistry (Formalin/PFA-fixed paraffin-embedded sections) - Anti-GSK3 beta (phospho Y216) + GSK3 alpha (phospho Y279) antibody [EPR933Y] (AB68476)

Human brain tissue stained with unpurified ab68476 at 1/100 dilution.

Heat mediated antigen retrieval was performed before commencing with IHC staining protocol.

Immunohistochemistry (Formalin/PFA-fixed paraffin-embedded sections) - Anti-GSK3 beta (phospho Y216) + GSK3 alpha (phospho Y279) antibody [EPR933Y] (AB68476)
  • IHC-P

Lab

Immunohistochemistry (Formalin/PFA-fixed paraffin-embedded sections) - Anti-GSK3 beta (phospho Y216) + GSK3 alpha (phospho Y279) antibody [EPR933Y] (AB68476)

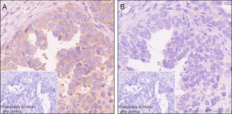
Immunohistochemistry (Formalin/PFA-fixed paraffin-embedded sections) analysis of human ovarian carcinoma tissue labelling GSK3 (alpha + beta) with purified ab68476 at 1/2000. Heat mediated antigen retrieval was performed using Bond™ Epitope Retrieval Solution 2 (pH 9.0) for 20 minutes. ab209101, a Rabbit specific IHC polymer detection kit HRP/DAB was used. Negative control using PBS instead of primary antibody. Counterstained with hematoxylin.

Positive staining on human ovarian carcinoma without alkaline phosphatase treatment (image A). No signal was detected when tissues were treated with alkaline phosphatase (image B).

The section was incubated with ab68476 for 30 minutes at room temperature. The immunostaining staining was performed on a Leica Biosystems BOND® RX instrument.

Immunohistochemistry (Formalin/PFA-fixed paraffin-embedded sections) - Anti-GSK3 beta (phospho Y216) + GSK3 alpha (phospho Y279) antibody [EPR933Y] (AB68476)
  • IHC-P

Unknown

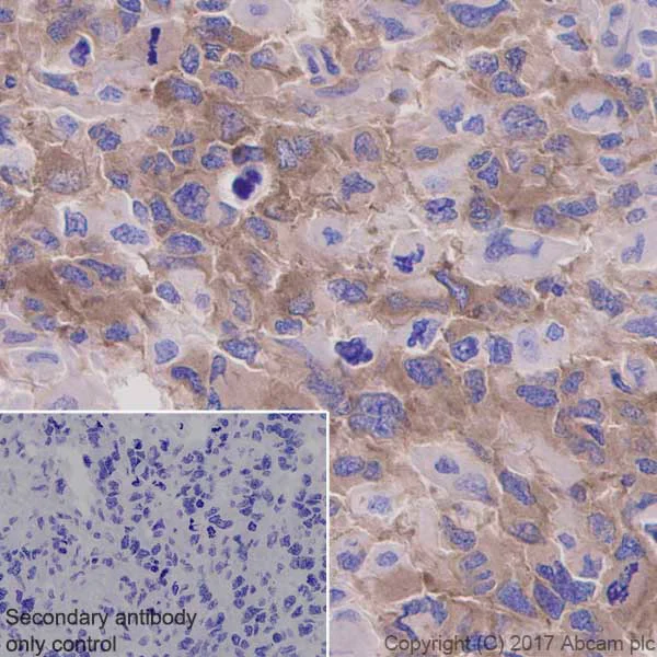
Immunohistochemistry (Formalin/PFA-fixed paraffin-embedded sections) - Anti-GSK3 beta (phospho Y216) + GSK3 alpha (phospho Y279) antibody [EPR933Y] (AB68476)

Immunohistochemistry (Formalin/PFA-fixed paraffin-embedded sections) analysis of human glioma tissue sections labeling GSK3 (alpha + beta) with Purified ab68476 at 1 : 50 dilution (5.3 μg/ml). Heat mediated antigen retrieval was performed using ab93684 (Tris/EDTA buffer, pH 9.0). Tissue was counterstained with Hematoxylin. ImmunoHistoProbe one step HRP Polymer (ready to use) secondary antibody was used at 1 : 0 dilution. PBS instead of the primary antibody was used as the negative control.

Immunoprecipitation - Anti-GSK3 beta (phospho Y216) + GSK3 alpha (phospho Y279) antibody [EPR933Y] (AB68476)
  • IP

Unknown

Immunoprecipitation - Anti-GSK3 beta (phospho Y216) + GSK3 alpha (phospho Y279) antibody [EPR933Y] (AB68476)

GSK3 (alpha + beta) (phospho Y216 + Y279) was immunoprecipitated from 10μg HeLa (human cervix adenocarcinoma) whole cell lysate with ab68476 at 1/50 dilution (2μg in 0.35mg lysates). Western blot was performed from the immunoprecipitate using ab68476 at 1/200 dilution (9 μg/ml). VeriBlot for IP Detection Reagent (HRP) (ab131366), was used for detection at 1/1000 dilution.

Lane 1 (Input) : HeLa (human cervix adenocarcinoma) treated with 1uM staurosporine for 4h whole cell lysate 10μg
Lane 2 (+) : HeLa (human cervix adenocarcinoma) treated with 1uM staurosporine for 4h whole cell lysate
Lane 3 : Rabbit monoclonal IgG (ab172730) instead of ab68476 in HeLa (human cervix adenocarcinoma) treated with 1uM staurosporine for 4h whole cell lysate

Exposure Time : 30 seconds
Blocking and diluting buffer and concentration : 5% NFDM/TBST.

All lanes:

Immunoprecipitation - Anti-GSK3 beta (phospho Y216) + GSK3 alpha (phospho Y279) antibody [EPR933Y] (ab68476)

Observed band size: 47 kDa,51 kDa

false

Exposure time: 30s

Western blot - Anti-GSK3 beta (phospho Y216) + GSK3 alpha (phospho Y279) antibody [EPR933Y] (AB68476)
  • WB

Unknown

Western blot - Anti-GSK3 beta (phospho Y216) + GSK3 alpha (phospho Y279) antibody [EPR933Y] (AB68476)

All lanes:

Western blot - Anti-GSK3 beta (phospho Y216) + GSK3 alpha (phospho Y279) antibody [EPR933Y] (ab68476) at 1/2000 dilution

Lane 1:

HEK-293 (Human epithelial cell line from embryonic kidney) cell lysate, cells untreated at 10 µg

Lane 2:

HEK-293 cell lysate, cells treated with AP at 10 µg

Secondary

All lanes:

HRP conjugated Goat anti-rabbit at 1/2000 dilution

Observed band size: 47-52 kDa

false

Western blot - Anti-GSK3 beta (phospho Y216) + GSK3 alpha (phospho Y279) antibody [EPR933Y] (AB68476)
  • WB

Lab

Western blot - Anti-GSK3 beta (phospho Y216) + GSK3 alpha (phospho Y279) antibody [EPR933Y] (AB68476)

Blocking and diluting buffer and concentration : 5% NFDM/TBST.

All lanes:

Western blot - Anti-GSK3 beta (phospho Y216) + GSK3 alpha (phospho Y279) antibody [EPR933Y] (ab68476) at 1/500 dilution

Lane 1:

SH-SY5Y (Human neuroblastoma epithelial cell) whole cell lysates at 15 µg

Lane 2:

SH-SY5Y (Human neuroblastoma epithelial cell) treated with nerve growth factor at 100ng/ml for 5 minutes. Whole cell lysates. at 15 µg

Lane 3:

SH-SY5Y (Human neuroblastoma epithelial cell) treated with nerve growth factor at 100ng/ml for 5 minutes. Whole cell lysates. Then the membrane was incubated with phosphatase. at 15 µg

Secondary

All lanes:

Western blot - Goat Anti-Rabbit IgG H&L (HRP) (<a href='/en-us/products/secondary-antibodies/goat-rabbit-igg-h-l-hrp-ab97051'>ab97051</a>) at 1/20000 dilution

Observed band size: 47-52 kDa

false

Exposure time: 10s

Dot Blot - Anti-GSK3 beta (phospho Y216) + GSK3 alpha (phospho Y279) antibody [EPR933Y] (AB68476)
  • Dot

Unknown

Dot Blot - Anti-GSK3 beta (phospho Y216) + GSK3 alpha (phospho Y279) antibody [EPR933Y] (AB68476)

Dot Blot analysis of Lane 1 : Human GSK3 (alpha + beta) (pY216 + pY279) phospho peptide and Lane 2 : Human GSK3 (alpha + beta) non-phospho peptide labeling GSK3 (alpha + beta) (phospho Y216 + Y279) with ab68476 at 1/1000 dilution. 5% NFDM/TBST was used as the diluting and blocking buffer. ab97051 Goat Anti-Rabbit IgG, (H+L), Peroxidase conjugated was used as the secondary antibody at 1/100000 dilution. Exposure time : 3 minutes.

Western blot - Anti-GSK3 beta (phospho Y216) + GSK3 alpha (phospho Y279) antibody [EPR933Y] (AB68476)
  • WB

Lab

Western blot - Anti-GSK3 beta (phospho Y216) + GSK3 alpha (phospho Y279) antibody [EPR933Y] (AB68476)

Blocking and diluting buffer : 5% NFDM/TBST

All lanes:

Western blot - Anti-GSK3 beta (phospho Y216) + GSK3 alpha (phospho Y279) antibody [EPR933Y] (ab68476) at 1/1000 dilution

Lane 1:

Mouse brain lysates. Then the membrane was incubated with phosphatase at 15 µg

Lane 2:

Untreated Mouse brain lysates at 15 µg

Secondary

All lanes:

Western blot - Goat Anti-Rabbit IgG H&L (HRP) (<a href='/en-us/products/secondary-antibodies/goat-rabbit-igg-h-l-hrp-ab97051'>ab97051</a>) at 1/20000 dilution

false

Western blot - Anti-GSK3 beta (phospho Y216) + GSK3 alpha (phospho Y279) antibody [EPR933Y] (AB68476)
  • WB

Supplier Data

Western blot - Anti-GSK3 beta (phospho Y216) + GSK3 alpha (phospho Y279) antibody [EPR933Y] (AB68476)

Blocking and dilution buffer : 5% NFDM/TBST

All lanes:

Western blot - Anti-GSK3 beta (phospho Y216) + GSK3 alpha (phospho Y279) antibody [EPR933Y] (ab68476)

Lane 1:

PC12 (Rat adrenal gland pheochromocytoma cell line) whole cell lysate at 15 µg

Lane 2:

Whole cell lysate from PC12 (Rat adrenal gland pheochromocytoma cell line) cells treated with nerve growth factor-β at 100ng/ml for 5 minutes. at 15 µg

Lane 3:

Whole cell lysate from PC12 (Rat adrenal gland pheochromocytoma cell line) cells ) treated with nerve growth factor-β at 100ng/ml for 5 minutes. Membrane incubated with phosphatase at 15 µg

Secondary

All lanes:

Western blot - Goat Anti-Rabbit IgG H&L (HRP) (<a href='/en-us/products/secondary-antibodies/goat-rabbit-igg-h-l-hrp-ab97051'>ab97051</a>) at 1/20000 dilution

true

Exposure time: 3s

Western blot - Anti-GSK3 beta (phospho Y216) + GSK3 alpha (phospho Y279) antibody [EPR933Y] (AB68476)
  • WB

Lab

Western blot - Anti-GSK3 beta (phospho Y216) + GSK3 alpha (phospho Y279) antibody [EPR933Y] (AB68476)

Blocking and diluting buffer : 5% NFDM/TBST

All lanes:

Western blot - Anti-GSK3 beta (phospho Y216) + GSK3 alpha (phospho Y279) antibody [EPR933Y] (ab68476) at 1/1000 dilution

Lane 1:

Zebrafish lysates Then the membrane was incubated with phosphatase at 15 µg

Lane 2:

Untreated Zebrafish lysates at 15 µg

Secondary

All lanes:

Western blot - Goat Anti-Rabbit IgG H&L (HRP) (<a href='/en-us/products/secondary-antibodies/goat-rabbit-igg-h-l-hrp-ab97051'>ab97051</a>) at 1/20000 dilution

Observed band size: 47-52 kDa

false

Western blot - Anti-GSK3 beta (phospho Y216) + GSK3 alpha (phospho Y279) antibody [EPR933Y] (AB68476)
  • WB

CiteAb

Western blot - Anti-GSK3 beta (phospho Y216) + GSK3 alpha (phospho Y279) antibody [EPR933Y] (AB68476)

GSK3 beta (phospho Y216) + GSK3 alpha (phospho Y279) western blot using anti-GSK3 beta (phospho Y216) + GSK3 alpha (phospho Y279) antibody [EPR933Y] ab68476. Publication image and figure legend from Zhao, C., Yu, H., et al., 2022, Oncogenesis, PubMed 35606353.

ab68476 was used in this publication in western blot. This may not be the same as the application(s) guaranteed by Abcam. For a full list of applications guaranteed by Abcam for ab68476 please see the product overview.

GBM with ZDHHC4 knockdown in vivo was more sensitive to TMZ treatment.A U118R cells (shNC, shZDHHC4-1, and shZDHHC4-2, n = 5/group) (5 × 105 cells/mouse) were injected into nude mice. Mice were sacrificed 45 days later. H&E staining demonstrated typical tumor xenografts. B Intracranial tumor volumes in panel A were calculated (mean ± SD, n = 5 for each group, two-tailed Student’s t-test). C GSK3β palmitoylation and GSK3β-STAT3 pathway activity in tumors were detected by western blot. D The mRNA levels of GSC markers (OCT4, NANOG, CD133, and SOX2) in tumor tissues at the end of the experiment were analyzed by RT-PCR. The folding changes were normalized to shNC (mean ± SD, n = 5 for each group, two-tailed Student’s t-test). E U118R cells (shNC and shZDHHC4-2 each in two groups, n = 5/group) were injected into nude mice. Three days after cell injection, mice were intraperitoneally injected with TMZ (25 mg kg−1 d−1) every other day for 30 days. Mice were sacrificed humanely 45 days later. H&E staining demonstrated typical tumor xenografts. F Intracranial tumor volumes in (E) were calculated (mean ± SD, n = 5 for each group, two-tailed Student’s t-test). G The mice were weighed every 4 days (mean ± SD, n = 5 for each group, two-tailed Student’s t-test). H Kaplan–Meier survival curves were used to define the overall survival of intracranial tumor-bearing mice.

false

  • Carrier free

    Anti-GSK3 beta (phospho Y216) + GSK3 alpha (phospho Y279) antibody [EPR933Y] - BSA and Azide free

  • 775 Alexa Fluor® 750

    Alexa Fluor® 750 Anti-GSK3 beta (phospho Y216) + GSK3 alpha (phospho Y279) antibody [EPR933Y]

  • 578 PE

    PE Anti-GSK3 beta (phospho Y216) + GSK3 alpha (phospho Y279) antibody [EPR933Y]

  • 660 APC

    APC Anti-GSK3 beta (phospho Y216) + GSK3 alpha (phospho Y279) antibody [EPR933Y]

  • 519 Alexa Fluor® 488

    Alexa Fluor® 488 Anti-GSK3 beta (phospho Y216) + GSK3 alpha (phospho Y279) antibody [EPR933Y]

  • 665 Alexa Fluor® 647

    Alexa Fluor® 647 Anti-GSK3 beta (phospho Y216) + GSK3 alpha (phospho Y279) antibody [EPR933Y]

  • 617 Alexa Fluor® 594

    Alexa Fluor® 594 Anti-GSK3 beta (phospho Y216) + GSK3 alpha (phospho Y279) antibody [EPR933Y]

  • 565 Alexa Fluor® 555

    Alexa Fluor® 555 Anti-GSK3 beta (phospho Y216) + GSK3 alpha (phospho Y279) antibody [EPR933Y]

Key facts

Host species

Rabbit

Clonality

Monoclonal

Clone number

EPR933Y

Isotype

IgG

Carrier free

No

Reacts with

Rat, Human, Zebrafish, Mouse

Applications

IHC-P, WB, Dot, IP

applications

Immunogen

The exact immunogen used to generate this antibody is proprietary information.

Specificity

This antibody detects both GSK alpha phosphorylated on tyrosine 279 and GSK3 beta phosphorylated on tyrosine 216.

Reactivity data

{ "title": "Reactivity Data", "filters": { "stats": ["", "Species", "Dilution Info", "Notes"], "tabs": { "all-applications": {"fullname" : "All Applications", "shortname": "All Applications"}, "IHCP" : {"fullname" : "Immunohistochemistry (Formalin/PFA-fixed paraffin-embedded sections)", "shortname":"IHC-P"}, "IP" : {"fullname" : "Immunoprecipitation", "shortname":"IP"}, "Dot" : {"fullname" : "Dot Blot", "shortname":"Dot"}, "WB" : {"fullname" : "Western blot", "shortname":"WB"}, "ICCIF" : {"fullname" : "Immunocytochemistry/ Immunofluorescence", "shortname":"ICC/IF"}, "FlowCyt" : {"fullname" : "Flow Cytometry", "shortname":"Flow Cyt"} }, "product-promise": { "all": "all", "testedAndGuaranteed": "tested", "guaranteed": "expected", "predicted": "predicted", "notRecommended": "not-recommended" } }, "values": { "Human": { "IHCP-species-checked": "testedAndGuaranteed", "IHCP-species-dilution-info": "1/50", "IHCP-species-notes": "<p>This antibody may not be suitable for IHC with mouse, rat or zebrafish samples.</p><p><strong>For unpurified use at 1/100 - 1/250.</strong></p>", "IP-species-checked": "testedAndGuaranteed", "IP-species-dilution-info": "1/40", "IP-species-notes": "<p></p>", "Dot-species-checked": "testedAndGuaranteed", "Dot-species-dilution-info": "", "Dot-species-notes": "<p></p>", "WB-species-checked": "testedAndGuaranteed", "WB-species-dilution-info": "1/500 - 1/2000", "WB-species-notes": "<p></p>", "ICCIF-species-checked": "notRecommended", "ICCIF-species-dilution-info": "1/250 - 1/500", "ICCIF-species-notes": "<p></p>", "FlowCyt-species-checked": "notRecommended", "FlowCyt-species-dilution-info": "", "FlowCyt-species-notes": "<p></p>" }, "Mouse": { "IHCP-species-checked": "guaranteed", "IHCP-species-dilution-info": "", "IHCP-species-notes": "", "IP-species-checked": "guaranteed", "IP-species-dilution-info": "", "IP-species-notes": "", "Dot-species-checked": "guaranteed", "Dot-species-dilution-info": "", "Dot-species-notes": "", "WB-species-checked": "testedAndGuaranteed", "WB-species-dilution-info": "1/500 - 1/2000", "WB-species-notes": "<p></p>", "ICCIF-species-checked": "notRecommended", "ICCIF-species-dilution-info": "1/250 - 1/500", "ICCIF-species-notes": "<p></p>", "FlowCyt-species-checked": "notRecommended", "FlowCyt-species-dilution-info": "", "FlowCyt-species-notes": "<p></p>" }, "Rat": { "IHCP-species-checked": "guaranteed", "IHCP-species-dilution-info": "", "IHCP-species-notes": "", "IP-species-checked": "guaranteed", "IP-species-dilution-info": "", "IP-species-notes": "", "Dot-species-checked": "guaranteed", "Dot-species-dilution-info": "", "Dot-species-notes": "", "WB-species-checked": "testedAndGuaranteed", "WB-species-dilution-info": "1/500 - 1/2000", "WB-species-notes": "<p></p>", "ICCIF-species-checked": "notRecommended", "ICCIF-species-dilution-info": "1/250 - 1/500", "ICCIF-species-notes": "<p></p>", "FlowCyt-species-checked": "notRecommended", "FlowCyt-species-dilution-info": "", "FlowCyt-species-notes": "<p></p>" }, "Zebrafish": { "IHCP-species-checked": "guaranteed", "IHCP-species-dilution-info": "", "IHCP-species-notes": "", "IP-species-checked": "guaranteed", "IP-species-dilution-info": "", "IP-species-notes": "", "Dot-species-checked": "guaranteed", "Dot-species-dilution-info": "", "Dot-species-notes": "", "WB-species-checked": "testedAndGuaranteed", "WB-species-dilution-info": "1/500 - 1/2000", "WB-species-notes": "<p></p>", "ICCIF-species-checked": "notRecommended", "ICCIF-species-dilution-info": "1/250 - 1/500", "ICCIF-species-notes": "<p></p>", "FlowCyt-species-checked": "notRecommended", "FlowCyt-species-dilution-info": "", "FlowCyt-species-notes": "<p></p>" } } }

Product details

Patented technology
Our RabMAb® technology is a patented hybridoma-based technology for making rabbit monoclonal antibodies. For details on our patents, please refer to RabMAb® patents.

What are the advantages of a recombinant monoclonal antibody?
This product is a recombinant monoclonal antibody, which offers several advantages including:

  • - High batch-to-batch consistency and reproducibility
  • - Improved sensitivity and specificity
  • - Long-term security of supply
  • - Animal-free batch production

For more information, read more on recombinant antibodies.

Properties and storage information

Form
Liquid
Purification technique
Affinity purification Protein A
Storage buffer
pH: 7.2 - 7.4 Preservative: 0.01% Sodium azide Constituents: PBS, 40% Glycerol (glycerin, glycerine), 0.05% BSA
Shipped at conditions
Blue Ice
Appropriate short-term storage duration
1-2 weeks
Appropriate short-term storage conditions
+4°C
Appropriate long-term storage conditions
-20°C
Aliquoting information
Upon delivery aliquot
Storage information
Avoid freeze / thaw cycle

Supplementary information

This supplementary information is collated from multiple sources and compiled automatically.

Glycogen synthase kinase 3 beta (GSK3β) and glycogen synthase kinase 3 alpha (GSK3α) are serine/threonine protein kinases involved in various cellular processes. GSK3β weighs approximately 47 kDa while GSK3α is around 51 kDa. These proteins are expressed in various tissues including brain heart and liver. GSK3 isoforms act as key regulators in signaling pathways by phosphorylating target proteins affecting their function and stability. Alternative names for GSK3 include GSK-3β and GSK-3α respectively.
Biological function summary

The kinases play essential roles in cellular functions like glycogen metabolism cell cycle regulation and apoptosis. GSK3 proteins often function as part of larger enzyme complexes influencing cellular responses to external signals. They bind to numerous substrates impacting processes such as glucose homeostasis and neuron function. Dramatic changes in GSK3 activity can disrupt these biological processes highlighting their importance.

Pathways

These kinases are integral components of the Wnt/β-catenin and insulin signaling pathways. In the Wnt pathway GSK3 is involved in β-catenin phosphorylation affecting its degradation and transcriptional activity. In the insulin pathway GSK3 influences glycogen synthesis by phosphorylating and regulating glycogen synthase. Both pathways highlight how GSK3 interacts with other proteins such as adenomatous polyposis coli (APC) and axin to coordinate cellular activities.

GSK3 has links to conditions like Alzheimer's disease and diabetes mellitus. Dysregulation of GSK3 activity is observed in Alzheimer's disease where abnormal GSK3 signaling contributes to tau hyperphosphorylation and neurofibrillary tangle formation. In diabetes altered GSK3 function affects insulin signaling pathways influencing glucose metabolism. GSK3's involvement in these diseases often connects it to proteins like tau in Alzheimer's and insulin receptor substrate 1 (IRS1) in diabetes.

Product protocols

For this product, it's our understanding that no specific protocols are required. You can visit:

Target data

Constitutively active protein kinase that acts as a negative regulator in the hormonal control of glucose homeostasis, Wnt signaling and regulation of transcription factors and microtubules, by phosphorylating and inactivating glycogen synthase (GYS1 or GYS2), CTNNB1/beta-catenin, APC and AXIN1 (PubMed : 11749387, PubMed : 17478001, PubMed : 19366350). Requires primed phosphorylation of the majority of its substrates (PubMed : 11749387, PubMed : 17478001, PubMed : 19366350). Contributes to insulin regulation of glycogen synthesis by phosphorylating and inhibiting GYS1 activity and hence glycogen synthesis (PubMed : 11749387, PubMed : 17478001, PubMed : 19366350). Regulates glycogen metabolism in liver, but not in muscle (By similarity). May also mediate the development of insulin resistance by regulating activation of transcription factors (PubMed : 10868943, PubMed : 17478001). In Wnt signaling, regulates the level and transcriptional activity of nuclear CTNNB1/beta-catenin (PubMed : 17229088). Facilitates amyloid precursor protein (APP) processing and the generation of APP-derived amyloid plaques found in Alzheimer disease (PubMed : 12761548). May be involved in the regulation of replication in pancreatic beta-cells (By similarity). Is necessary for the establishment of neuronal polarity and axon outgrowth (By similarity). Through phosphorylation of the anti-apoptotic protein MCL1, may control cell apoptosis in response to growth factors deprivation (By similarity). Acts as a regulator of autophagy by mediating phosphorylation of KAT5/TIP60 under starvation conditions which activates KAT5/TIP60 acetyltransferase activity and promotes acetylation of key autophagy regulators, such as ULK1 and RUBCNL/Pacer (PubMed : 30704899). Negatively regulates extrinsic apoptotic signaling pathway via death domain receptors. Promotes the formation of an anti-apoptotic complex, made of DDX3X, BRIC2 and GSK3B, at death receptors, including TNFRSF10B. The anti-apoptotic function is most effective with weak apoptotic signals and can be overcome by stronger stimulation (By similarity). Phosphorylates mTORC2 complex component RICTOR at 'Thr-1695' which facilitates FBXW7-mediated ubiquitination and subsequent degradation of RICTOR (PubMed : 25897075).
See full target information Glycogen synthase kinase-3 alpha phospho Y216

Additional targets

Glycogen synthase kinase-3 beta phospho Y279

Publications (64)

Recent publications for all applications. Explore the full list and refine your search

Signal transduction and targeted therapy 10:205 PubMed40588478

2025

Serine/threonine/tyrosine kinase 1 drives pancreatic carcinogenesis via GSK3β sequestration-mediated Wnt/β-catenin pathway hyperactivation.

Applications

Unspecified application

Species

Unspecified reactive species

Cefan Zhou,Xueying Dong,Shi Li,Yue Xi,Yuan Liu,Xuehong Qian,Ziyan Song,Li Zhou,Rui Zhang,Hao Lyu,Shuai Xiao,Dong Guo,Qi Zhang,Weiyong Liu,Yan Xiong,Zhentian Wang,Chaojun Yan,Zijian Zhang,Haichuan Zhu,Xing-Zhen Chen,Zhiyin Song,Jingfeng Tang

Cell death & disease 16:328 PubMed40263294

2025

Opposing roles for GSK3β and ERK1-dependent phosphorylation of huntingtin during neuronal dysfunction and cell death in Huntington's disease.

Applications

Unspecified application

Species

Unspecified reactive species

Thomas J Krzystek,Rasika Rathnayake,Jia Zeng,Jing Huang,Gary Iacobucci,Michael C Yu,Shermali Gunawardena

Cell communication and signaling : CCS 23:108 PubMed40001144

2025

CXXC5 function blockade promotes diabetic wound healing through stimulating fibroblast and vascular endothelial cell activation.

Applications

Unspecified application

Species

Unspecified reactive species

Yutong Chen,Xiaofeng Ding,Zhouji Ma,Shuai Shao,Heyan Huang,Yumeng Huang,Beizhi Wang,Hao Zhang,Qian Tan

Biomolecules & biomedicine 25:2035-2049 PubMed39976471

2025

Study on the mechanism of Wnt/β-catenin pathway mediated by pterostilbene to reduce cerebral ischemia-reperfusion injury.

Applications

Unspecified application

Species

Unspecified reactive species

Yang Jin,Chunwang Fu,Ming Guo,Qiang Yang

Stem cells translational medicine 14: PubMed39560969

2024

Tailoring cell therapies for diabetic metabolic phenotypes: a comparative study on the efficacy of various umbilical cord-derived cell regimens.

Applications

Unspecified application

Species

Unspecified reactive species

Lingshu Wang,Liming Wang,Falian He,Jia Song,Jingting Qiao,Jun Qin,Li Chen,Xinguo Hou

Stem cell research & therapy 15:350 PubMed39380045

2024

SMYD1 modulates the proliferation of multipotent cardiac progenitor cells derived from human pluripotent stem cells during myocardial differentiation through GSK3β/β-catenin&ERK signaling.

Applications

Unspecified application

Species

Unspecified reactive species

Yun Chang,Rui Bai,Yongshuai Zhang,Wen-Jing Lu,Shuhong Ma,Min Zhu,Feng Lan,Youxu Jiang

Cellular & molecular biology letters 29:100 PubMed38977961

2024

New mechanistic understanding of osteoclast differentiation and bone resorption mediated by P2X7 receptors and PI3K-Akt-GSK3β signaling.

Applications

Unspecified application

Species

Unspecified reactive species

Jiajia Lu,Xiaojian Shi,Qiang Fu,Yaguang Han,Lei Zhu,Zhibin Zhou,Yongchuan Li,Nan Lu

International journal of molecular sciences 25: PubMed38928134

2024

Evaluation of the Canonical Wnt Signaling Pathway in the Hearts of Hypertensive Rats of Various Etiologies.

Applications

Unspecified application

Species

Unspecified reactive species

Maryla Anna Młynarczyk,Natalia Domian,Irena Kasacka

Translational cancer research 13:2437-2450 PubMed38881929

2024

Up-regulation of NCAPG mediated by E2F1 facilitates the progression of osteosarcoma through the Wnt/β-catenin signaling pathway.

Applications

Unspecified application

Species

Unspecified reactive species

Gan Luo,Haiyang Cheng,Jigeng Fan,Tianwei Sun

Cell death & disease 15:229 PubMed38509077

2024

METTL3-dependent mA modification of PSEN1 mRNA regulates craniofacial development through the Wnt/β-catenin signaling pathway.

Applications

Unspecified application

Species

Unspecified reactive species

Lan Ma,Xi Zhou,Siyue Yao,Xinyu Zhang,Ji Mao,Barbara Vona,Liwen Fan,Shu Lou,Dandan Li,Lin Wang,Yongchu Pan
View all publications

Product promise

We are committed to supporting your work with high-quality reagents, and we're here for you every step of the way. In the unlikely event that one of our products does not perform as expected, you're protected by our Product Promise.
For full details, please see our Terms & Conditions

Please note: All products are 'FOR RESEARCH USE ONLY. NOT FOR USE IN DIAGNOSTIC OR THERAPEUTIC PROCEDURES'.

For licensing inquiries, please contact partnerships@abcam.com