JavaScript is disabled in your browser. Please enable JavaScript to view this website.
AB239862

Anti-GSK3 beta (phospho Y216) + GSK3 alpha (phospho Y279) antibody [EPR933Y] - BSA and Azide free

Be the first to review this product! Submit a review

|

(1 Publication)

Rabbit Recombinant Monoclonal GSK3 alpha phospho Y279 antibody. Carrier free. Suitable for IHC-P, IP, Dot, WB and reacts with Human, Mouse, Rat, Zebrafish samples. Cited in 1 publication.

View Alternative Names

Glycogen synthase kinase-3 alpha, GSK-3 alpha, Serine/threonine-protein kinase GSK3A, GSK3A

6 Images
Immunohistochemistry (Formalin/PFA-fixed paraffin-embedded sections) - Anti-GSK3 beta (phospho Y216) + GSK3 alpha (phospho Y279) antibody [EPR933Y] - BSA and Azide free (AB239862)
  • IHC-P

Unknown

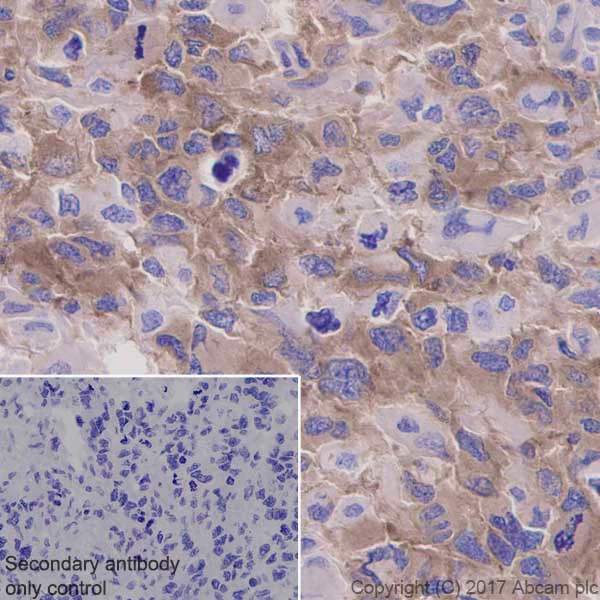
Immunohistochemistry (Formalin/PFA-fixed paraffin-embedded sections) - Anti-GSK3 beta (phospho Y216) + GSK3 alpha (phospho Y279) antibody [EPR933Y] - BSA and Azide free (AB239862)

Immunohistochemistry (Formalin/PFA-fixed paraffin-embedded sections) analysis of human glioma tissue sections labeling GSK3 (alpha + beta) with Purified ab68476 at 1 : 50 dilution (5.3 μg/ml). Heat mediated antigen retrieval was performed using ab93684 (Tris/EDTA buffer, pH 9.0). Tissue was counterstained with Hematoxylin. ImmunoHistoProbe one step HRP Polymer (ready to use) secondary antibody was used at 1 : 0 dilution. PBS instead of the primary antibody was used as the negative control.

This data was developed using the same antibody clone in a different buffer formulation containing PBS, BSA, glycerol, and sodium azide (ab68476).

Immunohistochemistry (Formalin/PFA-fixed paraffin-embedded sections) - Anti-GSK3 beta (phospho Y216) + GSK3 alpha (phospho Y279) antibody [EPR933Y] - BSA and Azide free (AB239862)
  • IHC-P

Lab

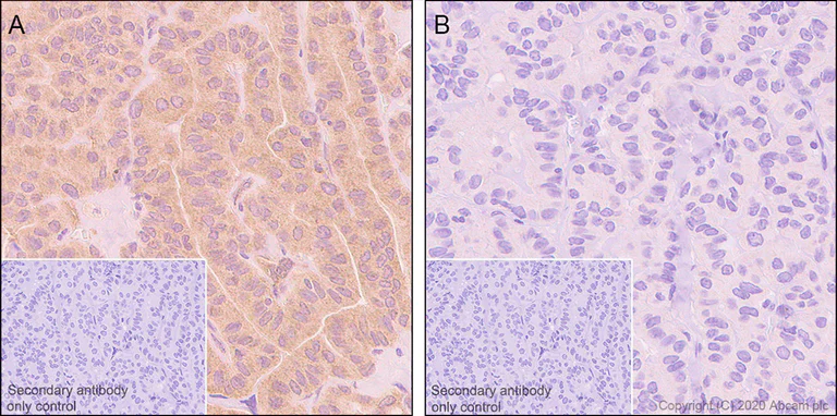
Immunohistochemistry (Formalin/PFA-fixed paraffin-embedded sections) - Anti-GSK3 beta (phospho Y216) + GSK3 alpha (phospho Y279) antibody [EPR933Y] - BSA and Azide free (AB239862)

Immunohistochemistry (Formalin/PFA-fixed paraffin-embedded sections) analysis of human thyroid carcinoma tissue labelling GSK3 (alpha + beta) with purified ab68476 at 1/2000. Heat mediated antigen retrieval was performed using Bond™ Epitope Retrieval Solution 2 (pH 9.0) for 20 minutes. ab209101, a Rabbit specific IHC polymer detection kit HRP/DAB was used. Negative control using PBS instead of primary antibody. Counterstained with hematoxylin.

Positive staining on human thyroid carcinoma without alkaline phosphatase treatment (image A). No signal was detected when tissues were treated with alkaline phosphatase (image B).

The section was incubated with ab68476 for 30 minutes at room temperature. The immunostaining staining was performed on a Leica Biosystems BOND® RX instrument.

This data was developed using the same antibody clone in a different buffer formulation containing PBS, BSA, glycerol, and sodium azide (ab68476).

Immunohistochemistry (Formalin/PFA-fixed paraffin-embedded sections) - Anti-GSK3 beta (phospho Y216) + GSK3 alpha (phospho Y279) antibody [EPR933Y] - BSA and Azide free (AB239862)
  • IHC-P

Lab

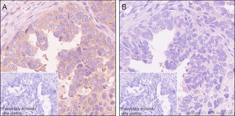
Immunohistochemistry (Formalin/PFA-fixed paraffin-embedded sections) - Anti-GSK3 beta (phospho Y216) + GSK3 alpha (phospho Y279) antibody [EPR933Y] - BSA and Azide free (AB239862)

Immunohistochemistry (Formalin/PFA-fixed paraffin-embedded sections) analysis of human ovarian carcinoma tissue labelling GSK3 (alpha + beta) with purified ab68476 at 1/2000. Heat mediated antigen retrieval was performed using Bond™ Epitope Retrieval Solution 2 (pH 9.0) for 20 minutes. ab209101, a Rabbit specific IHC polymer detection kit HRP/DAB was used. Negative control using PBS instead of primary antibody. Counterstained with hematoxylin.

Positive staining on human ovarian carcinoma without alkaline phosphatase treatment (image A). No signal was detected when tissues were treated with alkaline phosphatase (image B).

The section was incubated with ab68476 for 30 minutes at room temperature. The immunostaining staining was performed on a Leica Biosystems BOND® RX instrument.

This data was developed using the same antibody clone in a different buffer formulation containing PBS, BSA, glycerol, and sodium azide (ab68476).

Immunohistochemistry (Formalin/PFA-fixed paraffin-embedded sections) - Anti-GSK3 beta (phospho Y216) + GSK3 alpha (phospho Y279) antibody [EPR933Y] - BSA and Azide free (AB239862)
  • IHC-P

Unknown

Immunohistochemistry (Formalin/PFA-fixed paraffin-embedded sections) - Anti-GSK3 beta (phospho Y216) + GSK3 alpha (phospho Y279) antibody [EPR933Y] - BSA and Azide free (AB239862)

Human brain tissue stained with unpurified ab68476 at 1/100 dilution.

This data was developed using the same antibody clone in a different buffer formulation containing PBS, BSA, glycerol, and sodium azide (ab68476).

Perform heat mediated antigen retrieval before commencing with IHC staining protocol.

Immunoprecipitation - Anti-GSK3 beta (phospho Y216) + GSK3 alpha (phospho Y279) antibody [EPR933Y] - BSA and Azide free (AB239862)
  • IP

Unknown

Immunoprecipitation - Anti-GSK3 beta (phospho Y216) + GSK3 alpha (phospho Y279) antibody [EPR933Y] - BSA and Azide free (AB239862)

GSK3 (alpha + beta) (phospho Y216 + Y279) was immunoprecipitated from 10μg HeLa (human cervix adenocarcinoma) whole cell lysate with ab68476 at 1/50 dilution (2μg in 0.35mg lysates). Western blot was performed from the immunoprecipitate using ab68476 at 1/200 dilution (9 μg/ml). VeriBlot for IP Detection Reagent (HRP) (ab131366), was used for detection at 1/1000 dilution.

Lane 1 (Input) : HeLa (human cervix adenocarcinoma) treated with 1uM staurosporine for 4h whole cell lysate 10μg
Lane 2 (+) : HeLa (human cervix adenocarcinoma) treated with 1uM staurosporine for 4h whole cell lysate
Lane 3 : Rabbit monoclonal IgG (ab172730) instead of ab68476 in HeLa (human cervix adenocarcinoma) treated with 1uM staurosporine for 4h whole cell lysate

Exposure Time : 30 seconds
Blocking and diluting buffer and concentration : 5% NFDM/TBST.

This data was developed using the same antibody clone in a different buffer formulation containing PBS, BSA, glycerol, and sodium azide (ab68476).

All lanes:

Immunoprecipitation - Anti-GSK3 beta (phospho Y216) + GSK3 alpha (phospho Y279) antibody [EPR933Y] (<a href='/en-us/products/primary-antibodies/gsk3-beta-phospho-y216-gsk3-alpha-phospho-y279-antibody-epr933y-ab68476'>ab68476</a>)

Observed band size: 47 kDa,51 kDa

false

Exposure time: 30s

Dot Blot - Anti-GSK3 beta (phospho Y216) + GSK3 alpha (phospho Y279) antibody [EPR933Y] - BSA and Azide free (AB239862)
  • Dot

Unknown

Dot Blot - Anti-GSK3 beta (phospho Y216) + GSK3 alpha (phospho Y279) antibody [EPR933Y] - BSA and Azide free (AB239862)

Dot Blot analysis of Lane 1 : Human GSK3 (alpha + beta) (pY216 + pY279) phospho peptide and Lane 2 : Human GSK3 (alpha + beta) non-phospho peptide labeling GSK3 (alpha + beta) (phospho Y216 + Y279) with ab68476 at 1/1000 dilution. 5% NFDM/TBST was used as the diluting and blocking buffer. ab97051 Goat Anti-Rabbit IgG, (H+L), Peroxidase conjugated was used as the secondary antibody at 1/100000 dilution. Exposure time : 3 minutes.

This data was developed using the same antibody clone in a different buffer formulation containing PBS, BSA, glycerol, and sodium azide (ab68476).

Key facts

Host species

Rabbit

Clonality

Monoclonal

Clone number

EPR933Y

Isotype

IgG

Carrier free

Yes

Reacts with

Mouse, Rat, Human, Zebrafish

Applications

Dot, IHC-P, IP, WB

applications

Immunogen

The exact immunogen used to generate this antibody is proprietary information.

Specificity

This antibody detects both GSK alpha phosphorylated on tyrosine279 and GSK3 beta phosphorylated on tyrosine 216.

Reactivity data

{ "title": "Reactivity Data", "filters": { "stats": ["", "Species", "Dilution Info", "Notes"], "tabs": { "all-applications": {"fullname" : "All Applications", "shortname": "All Applications"}, "IHCP" : {"fullname" : "Immunohistochemistry (Formalin/PFA-fixed paraffin-embedded sections)", "shortname":"IHC-P"}, "IP" : {"fullname" : "Immunoprecipitation", "shortname":"IP"}, "Dot" : {"fullname" : "Dot Blot", "shortname":"Dot"}, "WB" : {"fullname" : "Western blot", "shortname":"WB"}, "FlowCyt" : {"fullname" : "Flow Cytometry", "shortname":"Flow Cyt"}, "ICCIF" : {"fullname" : "Immunocytochemistry/ Immunofluorescence", "shortname":"ICC/IF"} }, "product-promise": { "all": "all", "testedAndGuaranteed": "tested", "guaranteed": "expected", "predicted": "predicted", "notRecommended": "not-recommended" } }, "values": { "Human": { "IHCP-species-checked": "testedAndGuaranteed", "IHCP-species-dilution-info": "1/50", "IHCP-species-notes": "<p>This antibody may not be suitable for IHC with mouse, rat or zebrafish samples.</p>", "IP-species-checked": "testedAndGuaranteed", "IP-species-dilution-info": "", "IP-species-notes": "<p></p>", "Dot-species-checked": "testedAndGuaranteed", "Dot-species-dilution-info": "", "Dot-species-notes": "<p></p>", "WB-species-checked": "testedAndGuaranteed", "WB-species-dilution-info": "", "WB-species-notes": "<p></p>", "FlowCyt-species-checked": "notRecommended", "FlowCyt-species-dilution-info": "", "FlowCyt-species-notes": "<p></p>", "ICCIF-species-checked": "notRecommended", "ICCIF-species-dilution-info": "", "ICCIF-species-notes": "<p></p>" }, "Mouse": { "IHCP-species-checked": "guaranteed", "IHCP-species-dilution-info": "", "IHCP-species-notes": "", "IP-species-checked": "guaranteed", "IP-species-dilution-info": "", "IP-species-notes": "", "Dot-species-checked": "guaranteed", "Dot-species-dilution-info": "", "Dot-species-notes": "", "WB-species-checked": "testedAndGuaranteed", "WB-species-dilution-info": "", "WB-species-notes": "<p></p>", "FlowCyt-species-checked": "notRecommended", "FlowCyt-species-dilution-info": "", "FlowCyt-species-notes": "<p></p>", "ICCIF-species-checked": "notRecommended", "ICCIF-species-dilution-info": "", "ICCIF-species-notes": "<p></p>" }, "Rat": { "IHCP-species-checked": "guaranteed", "IHCP-species-dilution-info": "", "IHCP-species-notes": "", "IP-species-checked": "guaranteed", "IP-species-dilution-info": "", "IP-species-notes": "", "Dot-species-checked": "guaranteed", "Dot-species-dilution-info": "", "Dot-species-notes": "", "WB-species-checked": "testedAndGuaranteed", "WB-species-dilution-info": "", "WB-species-notes": "<p></p>", "FlowCyt-species-checked": "notRecommended", "FlowCyt-species-dilution-info": "", "FlowCyt-species-notes": "<p></p>", "ICCIF-species-checked": "notRecommended", "ICCIF-species-dilution-info": "", "ICCIF-species-notes": "<p></p>" }, "Zebrafish": { "IHCP-species-checked": "guaranteed", "IHCP-species-dilution-info": "", "IHCP-species-notes": "", "IP-species-checked": "guaranteed", "IP-species-dilution-info": "", "IP-species-notes": "", "Dot-species-checked": "guaranteed", "Dot-species-dilution-info": "", "Dot-species-notes": "", "WB-species-checked": "testedAndGuaranteed", "WB-species-dilution-info": "", "WB-species-notes": "<p></p>", "FlowCyt-species-checked": "notRecommended", "FlowCyt-species-dilution-info": "", "FlowCyt-species-notes": "<p></p>", "ICCIF-species-checked": "notRecommended", "ICCIF-species-dilution-info": "", "ICCIF-species-notes": "<p></p>" } } }

Product details

ab239862 is the carrier-free version of ab68476.

Patented technology
Our RabMAb® technology is a patented hybridoma-based technology for making rabbit monoclonal antibodies. For details on our patents, please refer to RabMAb® patents.

What are the advantages of a recombinant monoclonal antibody?
This product is a recombinant monoclonal antibody, which offers several advantages including:

  • - High batch-to-batch consistency and reproducibility
  • - Improved sensitivity and specificity
  • - Long-term security of supply
  • - Animal-free batch production

For more information, read more on recombinant antibodies.

Conjugation ready
Our carrier-free antibodies are typically supplied in a PBS-only formulation, purified and free of BSA, sodium azide and glycerol. This conjugation-ready format is designed for use with fluorochromes, metal isotopes, oligonucleotides, and enzymes, which makes them ideal for antibody labelling, functional and cell-based assays, flow-based assays (e.g. mass cytometry) and Multiplex Imaging applications.

Use our conjugation kits for antibody conjugates that are ready-to-use in as little as 20 minutes with 1 minute hands-on-time and 100% antibody recovery: available for fluorescent dyes, HRP, biotin and gold.

Compatibility
This product is compatible with the Maxpar® Antibody Labeling Kit from Fluidigm, without the need for antibody preparation. Maxpar® is a trademark of Fluidigm Canada Inc.

Properties and storage information

Form
Liquid
Purification technique
Affinity purification Protein A
Storage buffer
pH: 7.2 - 7.4 Constituents: PBS
Shipped at conditions
Blue Ice
Appropriate short-term storage conditions
+4°C
Appropriate long-term storage conditions
+4°C
Storage information
Do Not Freeze

Supplementary information

This supplementary information is collated from multiple sources and compiled automatically.

Glycogen synthase kinase 3 beta (GSK3β) and glycogen synthase kinase 3 alpha (GSK3α) are serine/threonine protein kinases involved in various cellular processes. GSK3β weighs approximately 47 kDa while GSK3α is around 51 kDa. These proteins are expressed in various tissues including brain heart and liver. GSK3 isoforms act as key regulators in signaling pathways by phosphorylating target proteins affecting their function and stability. Alternative names for GSK3 include GSK-3β and GSK-3α respectively.
Biological function summary

The kinases play essential roles in cellular functions like glycogen metabolism cell cycle regulation and apoptosis. GSK3 proteins often function as part of larger enzyme complexes influencing cellular responses to external signals. They bind to numerous substrates impacting processes such as glucose homeostasis and neuron function. Dramatic changes in GSK3 activity can disrupt these biological processes highlighting their importance.

Pathways

These kinases are integral components of the Wnt/β-catenin and insulin signaling pathways. In the Wnt pathway GSK3 is involved in β-catenin phosphorylation affecting its degradation and transcriptional activity. In the insulin pathway GSK3 influences glycogen synthesis by phosphorylating and regulating glycogen synthase. Both pathways highlight how GSK3 interacts with other proteins such as adenomatous polyposis coli (APC) and axin to coordinate cellular activities.

GSK3 has links to conditions like Alzheimer's disease and diabetes mellitus. Dysregulation of GSK3 activity is observed in Alzheimer's disease where abnormal GSK3 signaling contributes to tau hyperphosphorylation and neurofibrillary tangle formation. In diabetes altered GSK3 function affects insulin signaling pathways influencing glucose metabolism. GSK3's involvement in these diseases often connects it to proteins like tau in Alzheimer's and insulin receptor substrate 1 (IRS1) in diabetes.

Product protocols

For this product, it's our understanding that no specific protocols are required. You can visit:

Target data

Constitutively active protein kinase that acts as a negative regulator in the hormonal control of glucose homeostasis, Wnt signaling and regulation of transcription factors and microtubules, by phosphorylating and inactivating glycogen synthase (GYS1 or GYS2), CTNNB1/beta-catenin, APC and AXIN1 (PubMed : 11749387, PubMed : 17478001, PubMed : 19366350). Requires primed phosphorylation of the majority of its substrates (PubMed : 11749387, PubMed : 17478001, PubMed : 19366350). Contributes to insulin regulation of glycogen synthesis by phosphorylating and inhibiting GYS1 activity and hence glycogen synthesis (PubMed : 11749387, PubMed : 17478001, PubMed : 19366350). Regulates glycogen metabolism in liver, but not in muscle (By similarity). May also mediate the development of insulin resistance by regulating activation of transcription factors (PubMed : 10868943, PubMed : 17478001). In Wnt signaling, regulates the level and transcriptional activity of nuclear CTNNB1/beta-catenin (PubMed : 17229088). Facilitates amyloid precursor protein (APP) processing and the generation of APP-derived amyloid plaques found in Alzheimer disease (PubMed : 12761548). May be involved in the regulation of replication in pancreatic beta-cells (By similarity). Is necessary for the establishment of neuronal polarity and axon outgrowth (By similarity). Through phosphorylation of the anti-apoptotic protein MCL1, may control cell apoptosis in response to growth factors deprivation (By similarity). Acts as a regulator of autophagy by mediating phosphorylation of KAT5/TIP60 under starvation conditions which activates KAT5/TIP60 acetyltransferase activity and promotes acetylation of key autophagy regulators, such as ULK1 and RUBCNL/Pacer (PubMed : 30704899). Negatively regulates extrinsic apoptotic signaling pathway via death domain receptors. Promotes the formation of an anti-apoptotic complex, made of DDX3X, BRIC2 and GSK3B, at death receptors, including TNFRSF10B. The anti-apoptotic function is most effective with weak apoptotic signals and can be overcome by stronger stimulation (By similarity). Phosphorylates mTORC2 complex component RICTOR at 'Thr-1695' which facilitates FBXW7-mediated ubiquitination and subsequent degradation of RICTOR (PubMed : 25897075).
See full target information Glycogen synthase kinase-3 alpha phospho Y279

Additional targets

GSK3B phospho Y216,

Publications (1)

Recent publications for all applications. Explore the full list and refine your search

International archives of allergy and immunology 182:1245-1254 PubMed34428765

2021

Celastrol Exerts Cardioprotective Effect in Rheumatoid Arthritis by Inhibiting TLR2/HMGB1 Signaling Pathway-Mediated Autophagy.

Applications

Unspecified application

Species

Unspecified reactive species

Xiaohong Lu,Sha Gong,Xiaojun Wang,Nan Hu,Dan Pu,Jing Zhang,Yanhua Wang,Jing Luo,Qi An,Bomiao Ju,Lan He
View all publications

Product promise

We are committed to supporting your work with high-quality reagents, and we're here for you every step of the way. In the unlikely event that one of our products does not perform as expected, you're protected by our Product Promise.
For full details, please see our Terms & Conditions

Please note: All products are 'FOR RESEARCH USE ONLY. NOT FOR USE IN DIAGNOSTIC OR THERAPEUTIC PROCEDURES'.

For licensing inquiries, please contact partnerships@abcam.com