JavaScript is disabled in your browser. Please enable JavaScript to view this website.
AB307498

Anti-GSPT1 antibody [HL1346]

Be the first to review this product! Submit a review

|

(0 Publication)

Rabbit Recombinant Monoclonal eRF3/GSPT1 antibody. Carrier free. Suitable for WB, ICC/IF, IHC-P and reacts with Human, Dog, Cat, Rat samples. Immunogen corresponding to Recombinant Fragment Protein within Human GSPT1.

View Alternative Names

ERF3A, GSPT1, Eukaryotic peptide chain release factor GTP-binding subunit ERF3A, Eukaryotic peptide chain release factor subunit 3a, eRF3a, G1 to S phase transition protein 1 homolog

6 Images
Immunocytochemistry/ Immunofluorescence - Anti-GSPT1 antibody [HL1346] (AB307498)
  • ICC/IF

Supplier Data

Immunocytochemistry/ Immunofluorescence - Anti-GSPT1 antibody [HL1346] (AB307498)

Immunofluorescence analysis of 4% paraformaldehyde fixed HeLa cells labelling GSPT1 protein at cytoplasm using ab307498 at a 1/500 dilution at RT for 15 min (Green). The nuclear counter stain is DAPI (Blue).

Immunohistochemistry (Formalin/PFA-fixed paraffin-embedded sections) - Anti-GSPT1 antibody [HL1346] (AB307498)
  • IHC-P

Supplier Data

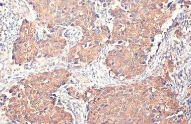
Immunohistochemistry (Formalin/PFA-fixed paraffin-embedded sections) - Anti-GSPT1 antibody [HL1346] (AB307498)

Paraffin-embedded human breast carcinoma tissue stained for GSPT1 protein at cytoplasm with ab307498 at a 1/100 dilution in immunohistochemical analysis.

Antigen Retrieval : Citrate buffer, pH 6.0, 15 min.

Immunohistochemistry (Formalin/PFA-fixed paraffin-embedded sections) - Anti-GSPT1 antibody [HL1346] (AB307498)
  • IHC-P

Supplier Data

Immunohistochemistry (Formalin/PFA-fixed paraffin-embedded sections) - Anti-GSPT1 antibody [HL1346] (AB307498)

Paraffin-embedded rat tissue stained for GSPT1 protein with ab307498 at a 1/100 dilution in immunohistochemical analysis.

Antigen Retrieval : Citrate buffer, pH 6.0, 15 min.

Western blot - Anti-GSPT1 antibody [HL1346] (AB307498)
  • WB

Supplier Data

Western blot - Anti-GSPT1 antibody [HL1346] (AB307498)

Various whole cell extracts (30 μg) were separated by 7.5% SDS-PAGE, and the membrane was blotted with GSPT1 antibody [HL1346] (ab307498) diluted at 1/20000. A HRP-conjugated anti-rabbit IgG antibody was used to detect the primary antibody.

All lanes:

Western blot - Anti-GSPT1 antibody [HL1346] (ab307498) at 1/20000 dilution

Lane 1:

293T whole cell extracts at 30 µg

Lane 2:

A431 whole cell extracts at 30 µg

Lane 3:

HeLa whole cell extracts at 30 µg

Lane 4:

HepG2 whole cell extracts at 30 µg

Secondary

All lanes:

HRP-conjugated anti-rabbit IgG secondary antibody

Predicted band size: 56 kDa

false

Western blot - Anti-GSPT1 antibody [HL1346] (AB307498)
  • WB

Supplier Data

Western blot - Anti-GSPT1 antibody [HL1346] (AB307498)

Samples were separated by 7.5% SDS-PAGE.

All lanes:

Western blot - Anti-GSPT1 antibody [HL1346] (ab307498) at 1/20000 dilution

Lane 1:

293T whole cell extracts at 30 µg

Lane 2:

A431 whole cell extracts at 30 µg

Lane 3:

HeLa whole cell extracts at 30 µg

Lane 4:

HepG2 whole cell extracts at 30 µg

Secondary

All lanes:

HRP-conjugated anti-rabbit IgG antibody

Predicted band size: 55 kDa

false

Western blot - Anti-GSPT1 antibody [HL1346] (AB307498)
  • WB

Supplier Data

Western blot - Anti-GSPT1 antibody [HL1346] (AB307498)

Samples were separated by 7.5% SDS-PAGE.

All lanes:

Western blot - Anti-GSPT1 antibody [HL1346] (ab307498) at 1/3000 dilution

Lane 1:

MDCK Whole cell extracts at 30 µg

Lane 2:

PG-4 whole cell extracts at 30 µg

Secondary

All lanes:

HRP-conjugated anti-rabbit IgG antibody

Predicted band size: 55 kDa

false

Key facts

Host species

Rabbit

Clonality

Monoclonal

Clone number

HL1346

Isotype

IgG

Carrier free

Yes

Reacts with

Human, Rat, Dog, Cat

Applications

WB, IHC-P, ICC/IF

applications

Immunogen

Recombinant Fragment Protein within Human GSPT1. The exact immunogen used to generate this antibody is proprietary information.

P15170

Reactivity data

{ "title": "Reactivity Data", "filters": { "stats": ["", "Species", "Dilution Info", "Notes"], "tabs": { "all-applications": {"fullname" : "All Applications", "shortname": "All Applications"}, "WB" : {"fullname" : "Western blot", "shortname":"WB"}, "ICCIF" : {"fullname" : "Immunocytochemistry/ Immunofluorescence", "shortname":"ICC/IF"}, "IHCP" : {"fullname" : "Immunohistochemistry (Formalin/PFA-fixed paraffin-embedded sections)", "shortname":"IHC-P"} }, "product-promise": { "all": "all", "testedAndGuaranteed": "tested", "guaranteed": "expected", "predicted": "predicted", "notRecommended": "not-recommended" } }, "values": { "Human": { "WB-species-checked": "testedAndGuaranteed", "WB-species-dilution-info": "1/5000 - 1/20000", "WB-species-notes": "<p></p>", "ICCIF-species-checked": "testedAndGuaranteed", "ICCIF-species-dilution-info": "", "ICCIF-species-notes": "<p></p>", "IHCP-species-checked": "testedAndGuaranteed", "IHCP-species-dilution-info": "", "IHCP-species-notes": "<p></p>" }, "Rat": { "WB-species-checked": "guaranteed", "WB-species-dilution-info": "", "WB-species-notes": "", "ICCIF-species-checked": "guaranteed", "ICCIF-species-dilution-info": "", "ICCIF-species-notes": "", "IHCP-species-checked": "testedAndGuaranteed", "IHCP-species-dilution-info": "", "IHCP-species-notes": "<p></p>" }, "Cat": { "WB-species-checked": "testedAndGuaranteed", "WB-species-dilution-info": "1/5000 - 1/20000", "WB-species-notes": "<p></p>", "ICCIF-species-checked": "guaranteed", "ICCIF-species-dilution-info": "", "ICCIF-species-notes": "", "IHCP-species-checked": "guaranteed", "IHCP-species-dilution-info": "", "IHCP-species-notes": "" }, "Dog": { "WB-species-checked": "testedAndGuaranteed", "WB-species-dilution-info": "1/5000 - 1/20000", "WB-species-notes": "<p></p>", "ICCIF-species-checked": "guaranteed", "ICCIF-species-dilution-info": "", "ICCIF-species-notes": "", "IHCP-species-checked": "guaranteed", "IHCP-species-dilution-info": "", "IHCP-species-notes": "" } } }

Product details

What are the advantages of a recombinant monoclonal antibody?
This product is a recombinant monoclonal antibody, which offers several advantages including:

  • - High batch-to-batch consistency and reproducibility
  • - Improved sensitivity and specificity
  • - Long-term security of supply
  • - Animal-free batch production

For more information, read more on recombinant antibodies.

Conjugation ready
Our carrier-free antibodies are typically supplied in a PBS-only formulation, purified and free of BSA, sodium azide and glycerol. This conjugation-ready format is designed for use with fluorochromes, metal isotopes, oligonucleotides, and enzymes, which makes them ideal for antibody labelling, functional and cell-based assays, flow-based assays (e.g. mass cytometry) and Multiplex Imaging applications.

Use our conjugation kits for antibody conjugates that are ready-to-use in as little as 20 minutes with 1 minute hands-on-time and 100% antibody recovery: available for fluorescent dyes, HRP, biotin and gold.

Properties and storage information

Form
Liquid
Purification technique
Affinity purification Protein A
Storage buffer
pH: 7.4 Constituents: PBS
Shipped at conditions
Blue Ice
Appropriate short-term storage duration
1-2 weeks
Appropriate short-term storage conditions
+4°C
Appropriate long-term storage conditions
+4°C
Aliquoting information
Upon delivery aliquot
Storage information
Avoid freeze / thaw cycle

Supplementary information

This supplementary information is collated from multiple sources and compiled automatically.

The eRF3/GSPT1 protein also known as GSPT1 plays an important role in translation termination. It works with eRF1 to release the newly synthesized polypeptide chain from the ribosome. GSPT1 is a GTPase of approximately 69 kDa commonly expressed in human tissues with higher concentrations found in proliferating cells such as those in the bone marrow and lymphoid tissues. It implements essential tasks in protein synthesis regulation by facilitating proper translation termination.
Biological function summary

GSPT1 is involved in processes beyond translation termination. It associates with complexes that regulate mRNA translation and stability. As part of the eRF3 pathway GSPT1 interacts with various translation and post-translation machinery. Its molecular function extends to include potential interactions with lncRNAs such as lnc-SNHG16 indicating a role in cellular processes like cell growth and division. GSPT1's interaction network suggests that it performs multifunction in cell regulation.

Pathways

GSPT1 integrates into the translation termination pathway tightly linking with the mRNA surveillance pathway. This protein is essential for efficient recognition and release of stop codons. In these pathways it collaborates with proteins such as eRF1 to regulate mRNA stability and translation accuracy. These interactions ensure the fidelity of protein biosynthesis and proper cellular function.

The role of GSPT1 extends to cancer and neurodegenerative diseases. Overexpression or mutations of GSPT1 links to various cancers including gastric and colorectal cancers where it affects cell proliferation pathways. The GSPT1-Myc axis appears to contribute significantly to oncogenesis acting with proteins like c-Myc to promote tumorigenesis. Additionally disruptions in GSPT1 function could associate with neurological disorders where translation termination processes malfunction although these aspects require further study.

Product protocols

For this product, it's our understanding that no specific protocols are required. You can visit:

Target data

GTPase component of the eRF1-eRF3-GTP ternary complex, a ternary complex that mediates translation termination in response to the termination codons UAA, UAG and UGA (PubMed : 15987998, PubMed : 19417105, PubMed : 2511002, PubMed : 27863242). GSPT1/ERF3A mediates ETF1/ERF1 delivery to stop codons : The eRF1-eRF3-GTP complex binds to a stop codon in the ribosomal A-site (PubMed : 27863242). GTP hydrolysis by GSPT1/ERF3A induces a conformational change that leads to its dissociation, permitting ETF1/ERF1 to accommodate fully in the A-site (PubMed : 16777602, PubMed : 27863242). Component of the transient SURF complex which recruits UPF1 to stalled ribosomes in the context of nonsense-mediated decay (NMD) of mRNAs containing premature stop codons (PubMed : 24486019). Required for SHFL-mediated translation termination which inhibits programmed ribosomal frameshifting (-1PRF) of mRNA from viruses and cellular genes (PubMed : 30682371).
See full target information GSPT1

Product promise

We are committed to supporting your work with high-quality reagents, and we're here for you every step of the way. In the unlikely event that one of our products does not perform as expected, you're protected by our Product Promise.
For full details, please see our Terms & Conditions

Please note: All products are 'FOR RESEARCH USE ONLY. NOT FOR USE IN DIAGNOSTIC OR THERAPEUTIC PROCEDURES'.

For licensing inquiries, please contact partnerships@abcam.com