JavaScript is disabled in your browser. Please enable JavaScript to view this website.
AB241331

Anti-GST3 / GST pi antibody [EPR20554]

Be the first to review this product! Submit a review

|

(2 Publications)

Rabbit Recombinant Monoclonal GST3 / GST pi antibody. Suitable for WB, ICC/IF, Flow Cyt (Intra), IHC-P and reacts with Human samples. Cited in 2 publications.

View Alternative Names

FAEES3, GST3, GSTP1, Glutathione S-transferase P, GST class-pi, GSTP1-1

8 Images
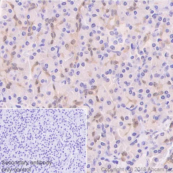
Immunohistochemistry (Formalin/PFA-fixed paraffin-embedded sections) - Anti-GST3 / GST pi antibody [EPR20554] (AB241331)
  • IHC-P

Supplier Data

Immunohistochemistry (Formalin/PFA-fixed paraffin-embedded sections) - Anti-GST3 / GST pi antibody [EPR20554] (AB241331)

Immunohistochemical analysis of paraffin-embedded human tonsil tissue labeling GST3 / GST pi with ab241331 at 1/4000 dilution, followed by Goat Anti-Rabbit IgG H&L (HRP) Ready to use. Cytoplasmic and nuclear staining on subset immune cells of human tonsil. (PMID : 18604726). Counterstained with Hematoxylin.

Secondary antibody only control : Used PBS instead of primary antibody, secondary antibody is Goat Anti-Rabbit IgG H&L (HRP) Ready to use.

Heat mediated antigen retrieval was performed with Tris/EDTA buffer pH 9.0 before commencing with IHC staining protocol.

Immunocytochemistry/ Immunofluorescence - Anti-GST3 / GST pi antibody [EPR20554] (AB241331)
  • ICC/IF

Supplier Data

Immunocytochemistry/ Immunofluorescence - Anti-GST3 / GST pi antibody [EPR20554] (AB241331)

Immunofluorescent analysis of 4% paraformaldehyde-fixed, 0.1% Triton X-100 permeabilized wild type and GST pi KO HAP1 (GST pi knockout human chronic myelogenous leukemia near-haploid cell line) cells labeling GST3 / GST pi (Green) with ab241331 at 1/250 dilution, followed by Goat Anti-Rabbit IgG H&L (Alexa Fluor® 488) (ab150077) secondary antibody at 1/1000 dilution. Confocal image showing cytoplasmic staining in parental HAP1 cell line and no staining in GST pi KO HAP1 cell line.

The nuclear counter stain is DAPI (blue). Tubulin is detected with Anti-alpha Tubulin antibody [DM1A] - Microtubule Marker (Alexa Fluor® 594) (ab195889) (red) at 1/200 dilution.

Secondary antibody only control : Used PBS instead of primary antibody, secondary antibody is Goat Anti-Rabbit IgG H&L (Alexa Fluor® 488) (ab150077) secondary antibody at 1/1000 dilution.

Flow Cytometry (Intracellular) - Anti-GST3 / GST pi antibody [EPR20554] (AB241331)
  • Flow Cyt (Intra)

Supplier Data

Flow Cytometry (Intracellular) - Anti-GST3 / GST pi antibody [EPR20554] (AB241331)

Intracellular flow cytometric analysis of 4% paraformaldehyde-fixed, 90% methanol-permeabilized GST pi KO HAP1 (human chronic myelogenous leukemia near-haploid cell line, Left) / Wild-type HAP1 (Right) cell line labeling GST3 / GST pi with ab241331 at 1/300 dilution (red) compared with a Rabbit IgG, monoclonal [EPR25A] - Isotype Control (ab172730) (black) and an unlabeled control (cells without incubation with primary antibody and secondary antibody) (blue). Goat Anti-Rabbit IgG H&L (Alexa Fluor® 488) (ab150077) at 1/2000 dilution was used as the secondary antibody.

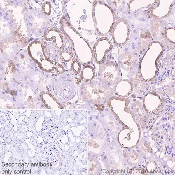
Immunohistochemistry (Formalin/PFA-fixed paraffin-embedded sections) - Anti-GST3 / GST pi antibody [EPR20554] (AB241331)
  • IHC-P

Supplier Data

Immunohistochemistry (Formalin/PFA-fixed paraffin-embedded sections) - Anti-GST3 / GST pi antibody [EPR20554] (AB241331)

Immunohistochemical analysis of paraffin-embedded human kidney tissue labeling GST3 / GST pi with ab241331 at 1/4000 dilution, followed by Goat Anti-Rabbit IgG H&L (HRP) Ready to use. Cytoplasmic and nuclear staining on tubules of human kidney (PMID : 1977319). Counterstained with Hematoxylin.

Secondary antibody only control : Used PBS instead of primary antibody, secondary antibody is Goat Anti-Rabbit IgG H&L (HRP) Ready to use.

Heat mediated antigen retrieval was performed with Tris/EDTA buffer pH 9.0 before commencing with IHC staining protocol.

Immunocytochemistry/ Immunofluorescence - Anti-GST3 / GST pi antibody [EPR20554] (AB241331)
  • ICC/IF

Supplier Data

Immunocytochemistry/ Immunofluorescence - Anti-GST3 / GST pi antibody [EPR20554] (AB241331)

Immunofluorescent analysis of 4% paraformaldehyde-fixed, 0.1% Triton X-100 permeabilized Jurkat (human T cell leukemia T lymphocyte) cells labeling GST3 GST pi (Green) with ab241331 at 1/250 dilution, followed by Goat Anti-Rabbit IgG H&L (Alexa Fluor® 488) (ab150077) secondary antibody at 1/1000 dilution. Confocal image showing cytoplasmic staining in Jurkat cell line.

The nuclear counter stain is DAPI (blue). Tubulin is detected with Anti-alpha Tubulin antibody [DM1A] - Microtubule Marker (Alexa Fluor® 594) (ab195889) (red) at 1/200 dilution.

Secondary antibody only control : Used PBS instead of primary antibody, secondary antibody is Goat Anti-Rabbit IgG H&L (Alexa Fluor® 488) (ab150077) secondary antibody at 1/1000 dilution.

Immunohistochemistry (Formalin/PFA-fixed paraffin-embedded sections) - Anti-GST3 / GST pi antibody [EPR20554] (AB241331)
  • IHC-P

Supplier Data

Immunohistochemistry (Formalin/PFA-fixed paraffin-embedded sections) - Anti-GST3 / GST pi antibody [EPR20554] (AB241331)

Immunohistochemical analysis of paraffin-embedded human pancreas tissue labeling GST3 / GST pi with ab241331 at 1/4000 dilution, followed by Goat Anti-Rabbit IgG H&L (HRP) Ready to use. Cytoplasmic and nuclear staining on duct epithelium of human pancreas. (PMID : 1977319). Counterstained with Hematoxylin.

Secondary antibody only control : Used PBS instead of primary antibody, secondary antibody is Goat Anti-Rabbit IgG H&L (HRP) Ready to use.

Heat mediated antigen retrieval was performed with Tris/EDTA buffer pH 9.0 before commencing with IHC staining protocol.

Western blot - Anti-GST3 / GST pi antibody [EPR20554] (AB241331)
  • WB

Supplier Data

Western blot - Anti-GST3 / GST pi antibody [EPR20554] (AB241331)

Blocking/Diluting buffer and concentration : 5% NFDM/TBST

ab241331 was shown to specifically react with GST3 / GST pi in wild-type HAP1 cells as signal was lost in GST3 / GST pi knockout cells. Wild-type and GST3 / GST pi knockout samples were subjected to SDS-PAGE. ab241331 and ab181602 (Rabbit anti-GAPDH loading control) were incubated 1 hour at room temperature at 1/1000 dilution and 1/200,000 dilution respectively. Blots were developed with Goat Anti-Rabbit IgG, (H+L), Peroxidase conjugated (ab97051) secondary antibody at 1/100,000 dilution for 1 hour at room temperature before imaging. The blot was developed on a BIO-RAD® ChemiDoc™ MP instrument using the ECL technique.

All lanes:

Western blot - Anti-GST3 / GST pi antibody [EPR20554] (ab241331) at 1/1000 dilution

Lane 1:

Wild-type HAP1 cell lysate at 20 µg

Lane 2:

GST3 / GST pi knockout HAP1 cell lysate at 20 µg

Lane 3:

PC-3 (human prostate adenocarcinoma epithelial cell), whole cell lysate at 20 µg

Lane 4:

Jurkat (human T cell leukemia T lymphocyte), whole cell lysate at 20 µg

Lane 5:

HEK-293 (human embryonic kidney epithelial cell), whole cell lysate at 20 µg

Secondary

All lanes:

Western blot - Goat Anti-Rabbit IgG H&L (HRP) (<a href='/en-us/products/secondary-antibodies/goat-rabbit-igg-h-l-hrp-ab97051'>ab97051</a>) at 1/100000 dilution

Predicted band size: 23 kDa

Observed band size: 23 kDa

true

Exposure time: 15s

Western blot - Anti-GST3 / GST pi antibody [EPR20554] (AB241331)
  • WB

Supplier Data

Western blot - Anti-GST3 / GST pi antibody [EPR20554] (AB241331)

Blocking/Diluting buffer and concentration : 5% NFDM/TBST

All lanes:

Western blot - Anti-GST3 / GST pi antibody [EPR20554] (ab241331) at 1/1000 dilution

Lane 1:

Human brain tissue lysate at 20 µg

Lane 2:

Human heart tissue lysate at 20 µg

Secondary

All lanes:

Western blot - VeriBlot for IP Detection Reagent (HRP) (<a href='/en-us/products/reagents/veriblot-for-ip-detection-reagent-hrp-ab131366'>ab131366</a>) at 1/100000 dilution

Predicted band size: 23 kDa

Observed band size: 23 kDa

false

Exposure time: 52s

  • Carrier free

    Anti-GST3 / GST pi antibody [EPR20554] - BSA and Azide free

Key facts

Host species

Rabbit

Clonality

Monoclonal

Clone number

EPR20554

Isotype

IgG

Carrier free

No

Reacts with

Human

Applications

IHC-P, ICC/IF, WB, Flow Cyt (Intra)

applications

Immunogen

The exact immunogen used to generate this antibody is proprietary information.

Reactivity data

{ "title": "Reactivity Data", "filters": { "stats": ["", "Species", "Dilution Info", "Notes"], "tabs": { "all-applications": {"fullname" : "All Applications", "shortname": "All Applications"}, "IP" : {"fullname" : "Immunoprecipitation", "shortname":"IP"}, "WB" : {"fullname" : "Western blot", "shortname":"WB"}, "ICCIF" : {"fullname" : "Immunocytochemistry/ Immunofluorescence", "shortname":"ICC/IF"}, "FlowCytIntra" : {"fullname" : "Flow Cytometry (Intracellular)", "shortname":"Flow Cyt (Intra)"}, "IHCP" : {"fullname" : "Immunohistochemistry (Formalin/PFA-fixed paraffin-embedded sections)", "shortname":"IHC-P"} }, "product-promise": { "all": "all", "testedAndGuaranteed": "tested", "guaranteed": "expected", "predicted": "predicted", "notRecommended": "not-recommended" } }, "values": { "Human": { "IP-species-checked": "notRecommended", "IP-species-dilution-info": "", "IP-species-notes": "<p></p>", "WB-species-checked": "testedAndGuaranteed", "WB-species-dilution-info": "1/1000", "WB-species-notes": "<p></p>", "ICCIF-species-checked": "testedAndGuaranteed", "ICCIF-species-dilution-info": "1/250", "ICCIF-species-notes": "<p></p>", "FlowCytIntra-species-checked": "testedAndGuaranteed", "FlowCytIntra-species-dilution-info": "1/300", "FlowCytIntra-species-notes": "<p></p>", "IHCP-species-checked": "testedAndGuaranteed", "IHCP-species-dilution-info": "1/4000", "IHCP-species-notes": "<p></p> Perform heat-mediated antigen retrieval with Tris/EDTA buffer pH 9.0 before commencing with IHC staining protocol." } } }

Product details

Patented technology
Our RabMAb® technology is a patented hybridoma-based technology for making rabbit monoclonal antibodies. For details on our patents, please refer to RabMAb® patents.

What are the advantages of a recombinant monoclonal antibody?
This product is a recombinant monoclonal antibody, which offers several advantages including:

  • - High batch-to-batch consistency and reproducibility
  • - Improved sensitivity and specificity
  • - Long-term security of supply
  • - Animal-free batch production

For more information, read more on recombinant antibodies.

Properties and storage information

Form
Liquid
Purification technique
Affinity purification Protein A
Storage buffer
pH: 7.2 - 7.4 Preservative: 0.01% Sodium azide Constituents: PBS, 40% Glycerol (glycerin, glycerine), 0.05% BSA
Shipped at conditions
Blue Ice
Appropriate short-term storage duration
1-2 weeks
Appropriate short-term storage conditions
+4°C
Appropriate long-term storage conditions
-20°C
Aliquoting information
Upon delivery aliquot
Storage information
Avoid freeze / thaw cycle

Supplementary information

This supplementary information is collated from multiple sources and compiled automatically.

GST3 also known as GST pi or GSTP is a protein part of the glutathione S-transferase family. These enzymes are involved in detoxifying processes by catalyzing the conjugation of glutathione to harmful substances. GSTP is approximately 23 kDa in size and is predominantly expressed in mammalian tissues including the liver and lung. These tissues play active roles in detoxifying external chemicals and managing oxidative stress in the body.
Biological function summary

GST3 contributes to the detoxification of xenobiotics and electrophilic compounds playing a protective role against cellular damage. It can exist as homo-dimers or form hetero-dimers with other GST family members participating in larger enzyme complexes. Through conjugation reactions GSTP helps in the detoxification processes thereby aiding cellular defenses and maintaining cellular redox balance.

Pathways

GST3 is an integral part of the phase II detoxification pathway and oxidative stress response. It interacts closely with other proteins such as Nrf2 (Nuclear factor erythroid 2-related factor 2) and helps regulate the transcription of antioxidant proteins that protect against oxidative damage. This enzyme plays a role in modulating the MAPK signaling pathway which influences cell proliferation and apoptosis.

GSTP has links to several cancer types including liver and lung cancer. Its overexpression in tumors suggests its role in cancer cell survival and resistance to chemotherapy. GSTP interacts with cancer-associated proteins like c-Jun N-terminal kinase (JNK) influencing pathways that lead to aberrant cellular growth and transformation. It also has associations with neurodegenerative diseases given its role in counteracting oxidative stress which commonly underpins neurodegeneration.

Product protocols

For this product, it's our understanding that no specific protocols are required. You can visit:

Target data

Conjugation of reduced glutathione to a wide number of exogenous and endogenous hydrophobic electrophiles. Involved in the formation of glutathione conjugates of both prostaglandin A2 (PGA2) and prostaglandin J2 (PGJ2) (PubMed : 9084911). Participates in the formation of novel hepoxilin regioisomers (PubMed : 21046276). Negatively regulates CDK5 activity via p25/p35 translocation to prevent neurodegeneration.
See full target information GSTP1

Publications (2)

Recent publications for all applications. Explore the full list and refine your search

Stem cells translational medicine 14: PubMed40448964

2025

DLK1-expressing neural progenitor cells promote tissue repair and functional recovery after cervical spinal cord injury.

Applications

Unspecified application

Species

Unspecified reactive species

Nader Hejrati,Zijian Lou,Sogolie Kouhzaei,Oliver Zhang,Jian Wang,Mohamad Khazaei,Michael G Fehlings

Cell 184:6119-6137.e26 PubMed34890551

2021

Microenvironment drives cell state, plasticity, and drug response in pancreatic cancer.

Applications

Unspecified application

Species

Unspecified reactive species

Srivatsan Raghavan,Peter S Winter,Andrew W Navia,Hannah L Williams,Alan DenAdel,Kristen E Lowder,Jennyfer Galvez-Reyes,Radha L Kalekar,Nolawit Mulugeta,Kevin S Kapner,Manisha S Raghavan,Ashir A Borah,Nuo Liu,Sara A Väyrynen,Andressa Dias Costa,Raymond W S Ng,Junning Wang,Emma K Hill,Dorisanne Y Ragon,Lauren K Brais,Alex M Jaeger,Liam F Spurr,Yvonne Y Li,Andrew D Cherniack,Matthew A Booker,Elizabeth F Cohen,Michael Y Tolstorukov,Isaac Wakiro,Asaf Rotem,Bruce E Johnson,James M McFarland,Ewa T Sicinska,Tyler E Jacks,Ryan J Sullivan,Geoffrey I Shapiro,Thomas E Clancy,Kimberly Perez,Douglas A Rubinson,Kimmie Ng,James M Cleary,Lorin Crawford,Scott R Manalis,Jonathan A Nowak,Brian M Wolpin,William C Hahn,Andrew J Aguirre,Alex K Shalek
View all publications

Product promise

We are committed to supporting your work with high-quality reagents, and we're here for you every step of the way. In the unlikely event that one of our products does not perform as expected, you're protected by our Product Promise.
For full details, please see our Terms & Conditions

Please note: All products are 'FOR RESEARCH USE ONLY. NOT FOR USE IN DIAGNOSTIC OR THERAPEUTIC PROCEDURES'.

For licensing inquiries, please contact partnerships@abcam.com