JavaScript is disabled in your browser. Please enable JavaScript to view this website.
AB245762

Anti-GST3 / GST pi antibody [EPR8263] - BSA and Azide free

Be the first to review this product! Submit a review

|

(1 Publication)

Rabbit Recombinant Monoclonal GST3 / GST pi antibody. Carrier free. Suitable for IHC-P, WB, ICC/IF, Flow Cyt (Intra) and reacts with Human, Rat, Mouse samples. Cited in 1 publication.

View Alternative Names

FAEES3, GST3, GSTP1, Glutathione S-transferase P, GST class-pi, GSTP1-1

8 Images
Flow Cytometry (Intracellular) - Anti-GST3 / GST pi antibody [EPR8263] - BSA and Azide free (AB245762)
  • Flow Cyt (Intra)

Lab

Flow Cytometry (Intracellular) - Anti-GST3 / GST pi antibody [EPR8263] - BSA and Azide free (AB245762)

This data was developed using ab138491, the same antibody clone in a different buffer formulation. Intracellular Flow Cytometry analysis of Jurkat (Human T cell leukemia T lymphocyte) cells labeling GST3 / GST pi with Purified ab138491 at 1/20 dilution (10 μg/mL) (Red). Cells were fixed with 4% Paraformaldehyde and permeabilised with 90% Methanol. A Goat anti rabbit IgG (Alexa Fluor® 488, ab150077) secondary antibody was used at 1/2000. Isotype control - Rabbit monoclonal IgG (Black). Unlabeled control - Cell without incubation with primary antibody and secondary antibody (Blue).

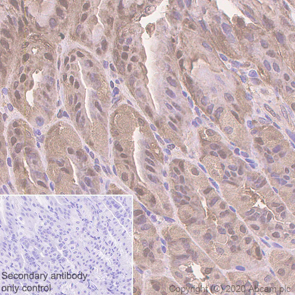
Immunohistochemistry (Formalin/PFA-fixed paraffin-embedded sections) - Anti-GST3 / GST pi antibody [EPR8263] - BSA and Azide free (AB245762)
  • IHC-P

Lab

Immunohistochemistry (Formalin/PFA-fixed paraffin-embedded sections) - Anti-GST3 / GST pi antibody [EPR8263] - BSA and Azide free (AB245762)

This data was developed using ab138491, the same antibody clone in a different buffer formulation.
Immunohistochemistry (Formalin/PFA-fixed paraffin-embedded sections) analysis of human tonsil tissue sections labeling GST3 / GST pi with Purified ab138491 at 1/100 dilution (0.99 µg/mL). Heat mediated antigen retrieval using Bond™ Epitope Retrieval Solution 1 (pH 6.0). Rabbit specific IHC polymer detection kit HRP/DAB (ab209101) was used as the secondary antibody. Negative control : PBS instead of the primary antibody. Hematoxylin was used as a counterstain.

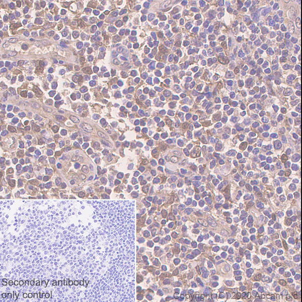
Immunocytochemistry/ Immunofluorescence - Anti-GST3 / GST pi antibody [EPR8263] - BSA and Azide free (AB245762)
  • ICC/IF

Lab

Immunocytochemistry/ Immunofluorescence - Anti-GST3 / GST pi antibody [EPR8263] - BSA and Azide free (AB245762)

This data was developed using ab138491, the same antibody clone in a different buffer formulation.
Immunocytochemistry analysis of K-562 (Human chronic myelogenous leukemia lymphoblast) cells labeling GST3 / GST pi with Purified ab138491 at 1/50 dilution (1.98 µg/mL). Cells were fixed in 4% Paraformaldehyde and permeabilized with 0.1% tritonX-100. Cells were counterstained with ab195889 Anti-alpha Tubulin antibody [DM1A] - Microtubule Marker (Alexa Fluor® 594) 1/200 dilution (2.5 µg/mL). Goat anti rabbit IgG (Alexa Fluor® 488, ab150077) was used as the secondary antibody at 1/1000 dilution (2 µg/mL). DAPI (blue) was used as nuclear counterstain. PBS instead of the primary antibody was used as the secondary antibody only control.

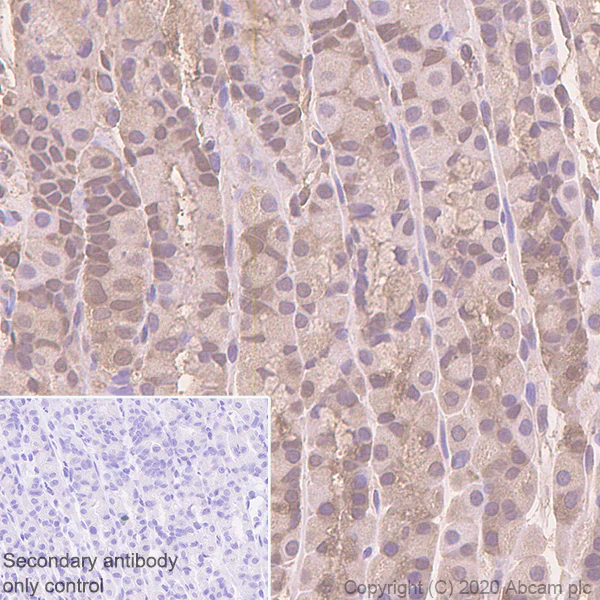
Immunohistochemistry (Formalin/PFA-fixed paraffin-embedded sections) - Anti-GST3 / GST pi antibody [EPR8263] - BSA and Azide free (AB245762)
  • IHC-P

Lab

Immunohistochemistry (Formalin/PFA-fixed paraffin-embedded sections) - Anti-GST3 / GST pi antibody [EPR8263] - BSA and Azide free (AB245762)

This data was developed using ab138491, the same antibody clone in a different buffer formulation.
Immunohistochemistry (Formalin/PFA-fixed paraffin-embedded sections) analysis of rat stomach tissue sections labeling GST3 / GST pi with Purified ab138491 at 1/100 dilution (0.99 µg/mL). Heat mediated antigen retrieval using Bond™ Epitope Retrieval Solution 1 (pH 6.0). Rabbit specific IHC polymer detection kit HRP/DAB (ab209101) was used as the secondary antibody. Negative control : PBS instead of the primary antibody. Hematoxylin was used as a counterstain.

Immunohistochemistry (Formalin/PFA-fixed paraffin-embedded sections) - Anti-GST3 / GST pi antibody [EPR8263] - BSA and Azide free (AB245762)
  • IHC-P

Lab

Immunohistochemistry (Formalin/PFA-fixed paraffin-embedded sections) - Anti-GST3 / GST pi antibody [EPR8263] - BSA and Azide free (AB245762)

This data was developed using ab138491, the same antibody clone in a different buffer formulation.
Immunohistochemistry (Formalin/PFA-fixed paraffin-embedded sections) analysis of mouse stomach tissue sections labeling GST3 / GST pi with Purified ab138491 at 1/100 dilution (0.99 µg/mL). Heat mediated antigen retrieval using Bond™ Epitope Retrieval Solution 1 (pH 6.0). Rabbit specific IHC polymer detection kit HRP/DAB (ab209101) was used as the secondary antibody. Negative control : PBS instead of the primary antibody. Hematoxylin was used as a counterstain.

Western blot - Anti-GST3 / GST pi antibody [EPR8263] - BSA and Azide free (AB245762)
  • WB

Unknown

Western blot - Anti-GST3 / GST pi antibody [EPR8263] - BSA and Azide free (AB245762)

This data was developed using ab138491, the same antibody clone in a different buffer formulation.

All lanes:

Western blot - Anti-GST3 / GST pi antibody [EPR8263] (<a href='/en-us/products/primary-antibodies/gst3-gst-pi-antibody-epr8263-ab138491'>ab138491</a>) at 1/1000 dilution

Lane 1:

K-562 (Human chronic myelogenous leukemia lymphoblast) whole cell lysate at 15 µg

Lane 2:

Mouse brain lysate at 15 µg

Lane 3:

Rat brain lysate at 15 µg

Secondary

All lanes:

Western blot - Goat Anti-Rabbit IgG H&L (HRP) (<a href='/en-us/products/secondary-antibodies/goat-rabbit-igg-h-l-hrp-ab97051'>ab97051</a>) at 1/20000 dilution

Predicted band size: 23 kDa

false

Western blot - Anti-GST3 / GST pi antibody [EPR8263] - BSA and Azide free (AB245762)
  • WB

Supplier Data

Western blot - Anti-GST3 / GST pi antibody [EPR8263] - BSA and Azide free (AB245762)

Lane 1 : Wild type HAP1 whole cell lysate (20 μg)
Lane 2 : GST3 knockout HAP1 whole cell lysate (20 μg)
Lane 3 : Jurkat whole cell lysate (20 μg)
Lane 4 : Hek293 whole cell lysate (20 μg)

Lanes 1 - 4 : Merged signal (red and green). Green - ab138491 observed at 23 kDa. Red - loading control, ab9484, observed at 37 kDa.

ab138491 was shown to specifically react with GST3 when GST3 knockout samples were used. Wild-type and GST3 knockout samples were subjected to SDS-PAGE. ab138491 and ab9484 (Mouse anti GAPDH loading control) were incubated overnight at 4°C at 1000 dilution and 1/10001 dilution respectively. Blots were developed with Goat anti-Rabbit IgG H&L (IRDye® 800CW) preabsorbed ab216773 and Goat anti-Mouse IgG H&L (IRDye® 680RD) preabsorbed ab216776 secondary antibodies at 1/10000 dilution for 1 hour at room temperature before imaging.

This data was developed using the same antibody clone in a different buffer formulation containing PBS, BSA glycerol and sodium azide (ab138491).

All lanes:

Western blot - Anti-GST3 / GST pi antibody [EPR8263] (<a href='/en-us/products/primary-antibodies/gst3-gst-pi-antibody-epr8263-ab138491'>ab138491</a>)

Predicted band size: 23 kDa

false

OI-RD Scanning - Anti-GST3 / GST pi antibody [EPR8263] - BSA and Azide free (AB245762)
  • OI-RD Scanning

Unknown

OI-RD Scanning - Anti-GST3 / GST pi antibody [EPR8263] - BSA and Azide free (AB245762)

We have systematically measured KD (the equilibrium dissociation constant between the antibody and its antigen), of more than 840 recombinant antibodies to assess not only their individual KD values but also to see the average affinity of antibody. Based on the comparison with published literature values for mouse monoclonal antibodies, Recombinant antibodies appear to be on average 1-2 order of magnitude higher affinity.

  • Unconjugated

    Anti-GST3 / GST pi antibody [EPR8263]

  • 565 Alexa Fluor® 555

    Alexa Fluor® 555 Anti-GST3 / GST pi antibody [EPR8263]

  • 660 APC

    APC Anti-GST3 / GST pi antibody [EPR8263]

  • 617 Alexa Fluor® 594

    Alexa Fluor® 594 Anti-GST3 / GST pi antibody [EPR8263]

  • 578 PE

    PE Anti-GST3 / GST pi antibody [EPR8263]

  • 775 Alexa Fluor® 750

    Alexa Fluor® 750 Anti-GST3 / GST pi antibody [EPR8263]

  • HRP

    HRP Anti-GST3 / GST pi antibody [EPR8263]

  • 665 Alexa Fluor® 647

    Alexa Fluor® 647 Anti-GST3 / GST pi antibody [EPR8263]

Key facts

Host species

Rabbit

Clonality

Monoclonal

Clone number

EPR8263

Isotype

IgG

Carrier free

Yes

Reacts with

Mouse, Rat, Human

Applications

Flow Cyt (Intra), IHC-P, ICC/IF, WB

applications

Immunogen

The exact immunogen used to generate this antibody is proprietary information.

Reactivity data

{ "title": "Reactivity Data", "filters": { "stats": ["", "Species", "Dilution Info", "Notes"], "tabs": { "all-applications": {"fullname" : "All Applications", "shortname": "All Applications"}, "IHCP" : {"fullname" : "Immunohistochemistry (Formalin/PFA-fixed paraffin-embedded sections)", "shortname":"IHC-P"}, "IP" : {"fullname" : "Immunoprecipitation", "shortname":"IP"}, "WB" : {"fullname" : "Western blot", "shortname":"WB"}, "ICCIF" : {"fullname" : "Immunocytochemistry/ Immunofluorescence", "shortname":"ICC/IF"}, "FlowCytIntra" : {"fullname" : "Flow Cytometry (Intracellular)", "shortname":"Flow Cyt (Intra)"} }, "product-promise": { "all": "all", "testedAndGuaranteed": "tested", "guaranteed": "expected", "predicted": "predicted", "notRecommended": "not-recommended" } }, "values": { "Human": { "IHCP-species-checked": "testedAndGuaranteed", "IHCP-species-dilution-info": "", "IHCP-species-notes": "<p></p>", "IP-species-checked": "notRecommended", "IP-species-dilution-info": "", "IP-species-notes": "<p></p>", "WB-species-checked": "testedAndGuaranteed", "WB-species-dilution-info": "", "WB-species-notes": "<p></p>", "ICCIF-species-checked": "testedAndGuaranteed", "ICCIF-species-dilution-info": "", "ICCIF-species-notes": "<p></p>", "FlowCytIntra-species-checked": "testedAndGuaranteed", "FlowCytIntra-species-dilution-info": "", "FlowCytIntra-species-notes": "<p></p>" }, "Mouse": { "IHCP-species-checked": "testedAndGuaranteed", "IHCP-species-dilution-info": "", "IHCP-species-notes": "<p></p>", "IP-species-checked": "notRecommended", "IP-species-dilution-info": "", "IP-species-notes": "<p></p>", "WB-species-checked": "testedAndGuaranteed", "WB-species-dilution-info": "", "WB-species-notes": "<p></p>", "ICCIF-species-checked": "guaranteed", "ICCIF-species-dilution-info": "", "ICCIF-species-notes": "", "FlowCytIntra-species-checked": "guaranteed", "FlowCytIntra-species-dilution-info": "", "FlowCytIntra-species-notes": "" }, "Rat": { "IHCP-species-checked": "testedAndGuaranteed", "IHCP-species-dilution-info": "", "IHCP-species-notes": "<p></p>", "IP-species-checked": "notRecommended", "IP-species-dilution-info": "", "IP-species-notes": "<p></p>", "WB-species-checked": "testedAndGuaranteed", "WB-species-dilution-info": "", "WB-species-notes": "<p></p>", "ICCIF-species-checked": "guaranteed", "ICCIF-species-dilution-info": "", "ICCIF-species-notes": "", "FlowCytIntra-species-checked": "guaranteed", "FlowCytIntra-species-dilution-info": "", "FlowCytIntra-species-notes": "" } } }

Product details

ab245762 is the carrier-free version of ab138491.

Patented technology
Our RabMAb® technology is a patented hybridoma-based technology for making rabbit monoclonal antibodies. For details on our patents, please refer to RabMAb® patents.

What are the advantages of a recombinant monoclonal antibody?
This product is a recombinant monoclonal antibody, which offers several advantages including:

  • - High batch-to-batch consistency and reproducibility
  • - Improved sensitivity and specificity
  • - Long-term security of supply
  • - Animal-free batch production

For more information, read more on recombinant antibodies.

Conjugation ready
Our carrier-free antibodies are typically supplied in a PBS-only formulation, purified and free of BSA, sodium azide and glycerol. This conjugation-ready format is designed for use with fluorochromes, metal isotopes, oligonucleotides, and enzymes, which makes them ideal for antibody labelling, functional and cell-based assays, flow-based assays (e.g. mass cytometry) and Multiplex Imaging applications.

Use our conjugation kits for antibody conjugates that are ready-to-use in as little as 20 minutes with 1 minute hands-on-time and 100% antibody recovery: available for fluorescent dyes, HRP, biotin and gold.

Compatibility
This product is compatible with the Maxpar® Antibody Labeling Kit from Fluidigm, without the need for antibody preparation. Maxpar® is a trademark of Fluidigm Canada Inc.

Properties and storage information

Form
Liquid
Purification technique
Affinity purification Protein A
Storage buffer
pH: 7.2 - 7.4 Constituents: PBS
Shipped at conditions
Blue Ice
Appropriate short-term storage conditions
+4°C
Appropriate long-term storage conditions
+4°C
Storage information
Do Not Freeze

Supplementary information

This supplementary information is collated from multiple sources and compiled automatically.

GST3 also known as GST pi or GSTP is a protein part of the glutathione S-transferase family. These enzymes are involved in detoxifying processes by catalyzing the conjugation of glutathione to harmful substances. GSTP is approximately 23 kDa in size and is predominantly expressed in mammalian tissues including the liver and lung. These tissues play active roles in detoxifying external chemicals and managing oxidative stress in the body.
Biological function summary

GST3 contributes to the detoxification of xenobiotics and electrophilic compounds playing a protective role against cellular damage. It can exist as homo-dimers or form hetero-dimers with other GST family members participating in larger enzyme complexes. Through conjugation reactions GSTP helps in the detoxification processes thereby aiding cellular defenses and maintaining cellular redox balance.

Pathways

GST3 is an integral part of the phase II detoxification pathway and oxidative stress response. It interacts closely with other proteins such as Nrf2 (Nuclear factor erythroid 2-related factor 2) and helps regulate the transcription of antioxidant proteins that protect against oxidative damage. This enzyme plays a role in modulating the MAPK signaling pathway which influences cell proliferation and apoptosis.

GSTP has links to several cancer types including liver and lung cancer. Its overexpression in tumors suggests its role in cancer cell survival and resistance to chemotherapy. GSTP interacts with cancer-associated proteins like c-Jun N-terminal kinase (JNK) influencing pathways that lead to aberrant cellular growth and transformation. It also has associations with neurodegenerative diseases given its role in counteracting oxidative stress which commonly underpins neurodegeneration.

Product protocols

For this product, it's our understanding that no specific protocols are required. You can visit:

Target data

Conjugation of reduced glutathione to a wide number of exogenous and endogenous hydrophobic electrophiles. Involved in the formation of glutathione conjugates of both prostaglandin A2 (PGA2) and prostaglandin J2 (PGJ2) (PubMed : 9084911). Participates in the formation of novel hepoxilin regioisomers (PubMed : 21046276). Negatively regulates CDK5 activity via p25/p35 translocation to prevent neurodegeneration.
See full target information GSTP1

Publications (1)

Recent publications for all applications. Explore the full list and refine your search

Cells 12: PubMed37408269

2023

The First Transcriptomic Atlas of the Adult Lacrimal Gland Reveals Epithelial Complexity and Identifies Novel Progenitor Cells in Mice.

Applications

Unspecified application

Species

Unspecified reactive species

Vanessa Delcroix,Olivier Mauduit,Hyun Soo Lee,Anastasiia Ivanova,Takeshi Umazume,Sarah M Knox,Cintia S de Paiva,Darlene A Dartt,Helen P Makarenkova
View all publications

Product promise

We are committed to supporting your work with high-quality reagents, and we're here for you every step of the way. In the unlikely event that one of our products does not perform as expected, you're protected by our Product Promise.
For full details, please see our Terms & Conditions

Please note: All products are 'FOR RESEARCH USE ONLY. NOT FOR USE IN DIAGNOSTIC OR THERAPEUTIC PROCEDURES'.

For licensing inquiries, please contact partnerships@abcam.com