JavaScript is disabled in your browser. Please enable JavaScript to view this website.
AB232833

Anti-GSTA2 antibody

Be the first to review this product! Submit a review

|

(3 Publications)

Rabbit Polyclonal GSTA2 antibody. Suitable for WB, IHC-P and reacts with Mouse samples. Cited in 3 publications. Immunogen corresponding to Recombinant Full Length Protein corresponding to Mouse Gsta2.

View Alternative Names

Glutathione S-transferase A2, GST class-alpha member 2, Glutathione S-transferase GT41A, Gsta2

3 Images
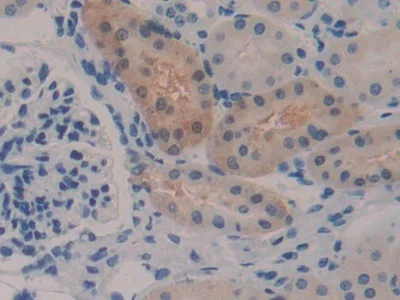
Immunohistochemistry (Formalin/PFA-fixed paraffin-embedded sections) - Anti-GSTA2 antibody (AB232833)
  • IHC-P

Supplier Data

Immunohistochemistry (Formalin/PFA-fixed paraffin-embedded sections) - Anti-GSTA2 antibody (AB232833)

Formalin-fixed, paraffin-embedded mouse kidney tissue stained for GSTA2 using ab232833 at 10 μg/ml in immunohistochemical analysis. DAB staining.

Western blot - Anti-GSTA2 antibody (AB232833)
  • WB

Supplier Data

Western blot - Anti-GSTA2 antibody (AB232833)

All lanes:

Western blot - Anti-GSTA2 antibody (ab232833) at 2 µg/mL

All lanes:

Recombinant mouse GSTA2 protein

Predicted band size: 26 kDa

false

Western blot - Anti-GSTA2 antibody (AB232833)
  • WB

Supplier Data

Western blot - Anti-GSTA2 antibody (AB232833)

All lanes:

Western blot - Anti-GSTA2 antibody (ab232833) at 2 µg/mL

All lanes:

Mouse liver lysate

Predicted band size: 26 kDa

false

Key facts

Host species

Rabbit

Clonality

Polyclonal

Isotype

IgG

Carrier free

No

Reacts with

Mouse

Applications

WB, IHC-P

applications

Immunogen

Recombinant Full Length Protein corresponding to Mouse Gsta2.

P10648

Reactivity data

{ "title": "Reactivity Data", "filters": { "stats": ["", "Species", "Dilution Info", "Notes"], "tabs": { "all-applications": {"fullname" : "All Applications", "shortname": "All Applications"}, "WB" : {"fullname" : "Western blot", "shortname":"WB"}, "IHCP" : {"fullname" : "Immunohistochemistry (Formalin/PFA-fixed paraffin-embedded sections)", "shortname":"IHC-P"} }, "product-promise": { "all": "all", "testedAndGuaranteed": "tested", "guaranteed": "expected", "predicted": "predicted", "notRecommended": "not-recommended" } }, "values": { "Mouse": { "WB-species-checked": "testedAndGuaranteed", "WB-species-dilution-info": "0.2-2 µg/mL", "WB-species-notes": "<p></p>", "IHCP-species-checked": "testedAndGuaranteed", "IHCP-species-dilution-info": "5-20 µg/mL", "IHCP-species-notes": "<p></p>" }, "Rat": { "WB-species-checked": "predicted", "WB-species-dilution-info": "", "WB-species-notes": "", "IHCP-species-checked": "predicted", "IHCP-species-dilution-info": "", "IHCP-species-notes": "" } } }

Properties and storage information

Form
Liquid
Purification technique
Affinity purification Immunogen
Purification notes
Antigen-specific affinity chromatography followed by Protein A affinity chromatography.
Storage buffer
pH: 7.4 Preservative: 0.02% Sodium azide Constituents: PBS, 55.77% Glycerol (glycerin, glycerine)
Shipped at conditions
Blue Ice
Appropriate short-term storage duration
1-2 weeks
Appropriate short-term storage conditions
+4°C
Appropriate long-term storage conditions
-20°C
Aliquoting information
Upon delivery aliquot
Storage information
Avoid freeze / thaw cycle

Supplementary information

This supplementary information is collated from multiple sources and compiled automatically.

The protein Glutathione S-transferase alpha 2 (GSTA2) plays an important mechanical role in detoxification processes. GSTA2 belongs to the family of glutathione S-transferases and has a mass of approximately 25 kDa. This enzyme is known for catalyzing the conjugation of the reduced form of glutathione to various substrates aiding in their solubility and subsequent excretion from the body. GSTA2 is mainly expressed in the liver but it can also be found in other tissues such as the kidney and intestine exposed to oxidative stress and toxicants.
Biological function summary

GSTA2 contributes significantly to protecting cells from oxidative damage and chemical stress. It does not form part of a larger protein complex but acts as an important defense line in detoxifying endogenous and exogenous compounds. The presence of GSTA2 ensures the maintenance of cellular redox balance by eliminating harmful electrophiles and peroxides that could cause cellular damage.

Pathways

GSTA2 is an essential component of the drug metabolism and glutathione conjugation pathways. In these pathways it cooperates with other glutathione S-transferases to facilitate the transformation of toxic substances into less harmful compounds. GSTA2 shares functional similarities with proteins like GSTP1 which also participate in the glutathione transferase activity under stressful environmental conditions. These pathways ensure cellular resilience against chemical insults maintaining homeostasis and cellular function.

GSTA2 has notable connections to cancer and liver disease. Research shows changes in GSTA2 expression levels in various cancers where altered detoxification processes contribute to tumor development and progression. In liver diseases varying GSTA2 activities influence the liver’s ability to manage oxidative stress and perform detoxification. GSTA2 shows interaction with proteins such as CYP enzymes which are also involved in drug and xenobiotic metabolism influencing disease outcomes and treatment responses.

Product protocols

For this product, it's our understanding that no specific protocols are required. You can visit:

Target data

Catalyzes the conjugation of glutathione to a large variety of electrophilic compounds.
See full target information Gsta2

Publications (3)

Recent publications for all applications. Explore the full list and refine your search

Brain communications 6:fcae352 PubMed39670112

2024

Heterogeneous nuclear ribonucleoprotein D - an understudied subfamily affected in sporadic TDP-43 proteinopathies.

Applications

Unspecified application

Species

Unspecified reactive species

Monica Pinkerton,Gabrielle L Adler,Mallory Ledger,Chen Yue Ni,Yue Yang,Rachel H Tan

Frontiers in oncology 12:808889 PubMed35433465

2022

Chemotherapeutic Risk lncRNA-PVT1 SNP Sensitizes Metastatic Colorectal Cancer to FOLFOX Regimen.

Applications

Unspecified application

Species

Unspecified reactive species

Shenshen Wu,Xi Yang,Weiyan Tang,Giuseppe Familiari,Michela Relucenti,Michael Aschner,Xiaobo Li,Rui Chen

The Journal of physiology 598:5427-5451 PubMed32893883

2020

Functional, proteomic and bioinformatic analyses of Nrf2- and Keap1- null skeletal muscle.

Applications

Unspecified application

Species

Unspecified reactive species

Lie Gao,Vikas Kumar,Neetha Nanoth Vellichirammal,Song-Young Park,Tara L Rudebush,Li Yu,Won-Mok Son,Elizabeth J Pekas,Ahmed M Wafi,Juan Hong,Peng Xiao,Chittibabu Guda,Han-Jun Wang,Harold D Schultz,Irving H Zucker
View all publications

Product promise

We are committed to supporting your work with high-quality reagents, and we're here for you every step of the way. In the unlikely event that one of our products does not perform as expected, you're protected by our Product Promise.
For full details, please see our Terms & Conditions

Please note: All products are 'FOR RESEARCH USE ONLY. NOT FOR USE IN DIAGNOSTIC OR THERAPEUTIC PROCEDURES'.

For licensing inquiries, please contact partnerships@abcam.com