JavaScript is disabled in your browser. Please enable JavaScript to view this website.
AB231601

Anti-GSTA4 antibody

Be the first to review this product! Submit a review

|

(1 Publication)

Rabbit Polyclonal GSTA4 antibody. Suitable for WB, IHC-P and reacts with Rat samples. Cited in 1 publication. Immunogen corresponding to Recombinant Full Length Protein corresponding to Rat Glutathione S-transferase alpha-4.

View Alternative Names

Glutathione S-transferase alpha-4, GST 8-8, GST A4-4, GST K, Glutathione S-transferase Yk, GST Yk, Gsta4

7 Images
Immunohistochemistry (Formalin/PFA-fixed paraffin-embedded sections) - Anti-GSTA4 antibody (AB231601)
  • IHC-P

Supplier Data

Immunohistochemistry (Formalin/PFA-fixed paraffin-embedded sections) - Anti-GSTA4 antibody (AB231601)

Formalin-fixed, paraffin-embedded rat testis tissue stained for GSTA4 using ab231601 at 20 μg/ml in immunohistochemical analysis. DAB staining.

Immunohistochemistry (Formalin/PFA-fixed paraffin-embedded sections) - Anti-GSTA4 antibody (AB231601)
  • IHC-P

Supplier Data

Immunohistochemistry (Formalin/PFA-fixed paraffin-embedded sections) - Anti-GSTA4 antibody (AB231601)

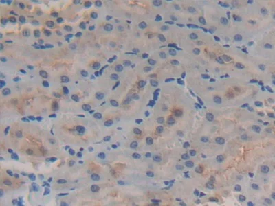
Formalin-fixed, paraffin-embedded rat kidney tissue stained for GSTA4 using ab231601 at 20 μg/ml in immunohistochemical analysis. DAB staining.

Immunohistochemistry (Formalin/PFA-fixed paraffin-embedded sections) - Anti-GSTA4 antibody (AB231601)
  • IHC-P

Supplier Data

Immunohistochemistry (Formalin/PFA-fixed paraffin-embedded sections) - Anti-GSTA4 antibody (AB231601)

Formalin-fixed, paraffin-embedded rat colon tissue stained for GSTA4 using ab231601 at 20 μg/ml in immunohistochemical analysis. DAB staining.

Immunohistochemistry (Formalin/PFA-fixed paraffin-embedded sections) - Anti-GSTA4 antibody (AB231601)
  • IHC-P

Supplier Data

Immunohistochemistry (Formalin/PFA-fixed paraffin-embedded sections) - Anti-GSTA4 antibody (AB231601)

Formalin-fixed, paraffin-embedded rat liver tissue stained for GSTA4 using ab231601 at 20 μg/ml in immunohistochemical analysis. DAB staining.

Immunohistochemistry (Formalin/PFA-fixed paraffin-embedded sections) - Anti-GSTA4 antibody (AB231601)
  • IHC-P

Supplier Data

Immunohistochemistry (Formalin/PFA-fixed paraffin-embedded sections) - Anti-GSTA4 antibody (AB231601)

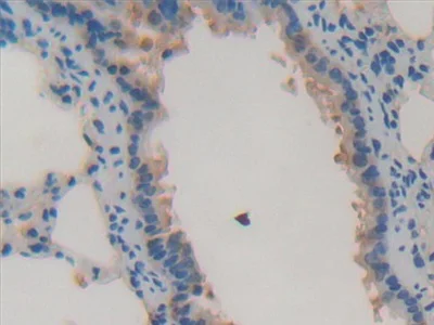
Formalin-fixed, paraffin-embedded rat lung tissue stained for GSTA4 using ab231601 at 20 μg/ml in immunohistochemical analysis. DAB staining.

Western blot - Anti-GSTA4 antibody (AB231601)
  • WB

Supplier Data

Western blot - Anti-GSTA4 antibody (AB231601)

All lanes:

Western blot - Anti-GSTA4 antibody (ab231601) at 3 µg/mL

All lanes:

Recombinant rat GSTA4 protein

Secondary

All lanes:

HRP-Linked Guinea pig anti-Rabbit at 1/2000 dilution

Predicted band size: 26 kDa

false

Western blot - Anti-GSTA4 antibody (AB231601)
  • WB

Supplier Data

Western blot - Anti-GSTA4 antibody (AB231601)

All lanes:

Western blot - Anti-GSTA4 antibody (ab231601) at 3 µg/mL

Lane 1:

Rat serum

Lane 2:

Rat brain lysate

Lane 3:

Rat liver lysate

Secondary

All lanes:

HRP-Linked Guinea pig anti-Rabbit at 1/2000 dilution

Predicted band size: 26 kDa

false

Key facts

Host species

Rabbit

Clonality

Polyclonal

Isotype

IgG

Carrier free

No

Reacts with

Rat

Applications

WB, IHC-P

applications

Immunogen

Recombinant Full Length Protein corresponding to Rat Glutathione S-transferase alpha-4.

P14942

Reactivity data

{ "title": "Reactivity Data", "filters": { "stats": ["", "Species", "Dilution Info", "Notes"], "tabs": { "all-applications": {"fullname" : "All Applications", "shortname": "All Applications"}, "WB" : {"fullname" : "Western blot", "shortname":"WB"}, "IHCP" : {"fullname" : "Immunohistochemistry (Formalin/PFA-fixed paraffin-embedded sections)", "shortname":"IHC-P"} }, "product-promise": { "all": "all", "testedAndGuaranteed": "tested", "guaranteed": "expected", "predicted": "predicted", "notRecommended": "not-recommended" } }, "values": { "Mouse": { "WB-species-checked": "predicted", "WB-species-dilution-info": "", "WB-species-notes": "", "IHCP-species-checked": "predicted", "IHCP-species-dilution-info": "", "IHCP-species-notes": "" }, "Rat": { "WB-species-checked": "testedAndGuaranteed", "WB-species-dilution-info": "0.5-2 µg/mL", "WB-species-notes": "<p></p>", "IHCP-species-checked": "testedAndGuaranteed", "IHCP-species-dilution-info": "5-20 µg/mL", "IHCP-species-notes": "<p></p>" } } }

Properties and storage information

Form
Liquid
Purification technique
Affinity purification Immunogen
Purification notes
Antigen-specific affinity chromatography followed by Protein A affinity chromatography.
Storage buffer
pH: 7.4 Preservative: 0.011% Proclin 300 Constituents: 55.77% Glycerol (glycerin, glycerine), 44.219% PBS
Shipped at conditions
Blue Ice
Appropriate short-term storage duration
1-2 weeks
Appropriate short-term storage conditions
+4°C
Appropriate long-term storage conditions
-20°C
Aliquoting information
Upon delivery aliquot
Storage information
Avoid freeze / thaw cycle

Supplementary information

This supplementary information is collated from multiple sources and compiled automatically.

GSTA4 also known as Glutathione S-transferase alpha-4 is an enzyme that plays a critical role in detoxification processes. This protein weighs approximately 25 kDa and exhibits strong expression in tissues such as the liver kidney and brain. GSTA4 belongs to the glutathione S-transferase superfamily specifically the alpha class which is involved in the conjugation of the reduced form of glutathione (GSH) to a wide range of hydrophobic electrophiles.
Biological function summary

GSTA4 helps in the metabolism of lipid peroxidation products by catalyzing their conjugation with glutathione. This process is essential for reducing oxidative stress caused by cellular metabolism. GSTA4 does not normally function as part of a larger complex but instead works independently to carry out this detoxification role. The ability of GSTA4 to target lipid peroxidation products is significant for cellular protection mechanisms.

Pathways

GSTA4 actively participates in the detoxification pathway where it neutralizes harmful compounds like 4-hydroxynonenal (4-HNE) a byproduct of lipid peroxidation. GSTA4 is also involved in the glutathione metabolism pathway playing an important role alongside other GST isoforms in managing oxidative stress within cells. Proteins related through these pathways include other members of the glutathione S-transferase family which share similar functional roles in detoxification processes.

GSTA4 impacts the development of conditions related to oxidative stress such as Alzheimer's disease and cancer. Through its detoxifying activity GSTA4 helps mitigate oxidative damage that may contribute to the progression of these diseases. Research indicates the dysregulation of GSTA4 expression links to both Alzheimer's disease and cancer along with its interactions with other GST family proteins highlighting its importance in disease pathology.

Product protocols

For this product, it's our understanding that no specific protocols are required. You can visit:

Target data

Conjugation of reduced glutathione to a wide number of exogenous and endogenous hydrophobic electrophiles.
See full target information Glutathione S-transferase alpha-4

Publications (1)

Recent publications for all applications. Explore the full list and refine your search

The Journal of physiology 598:5427-5451 PubMed32893883

2020

Functional, proteomic and bioinformatic analyses of Nrf2- and Keap1- null skeletal muscle.

Applications

Unspecified application

Species

Unspecified reactive species

Lie Gao,Vikas Kumar,Neetha Nanoth Vellichirammal,Song-Young Park,Tara L Rudebush,Li Yu,Won-Mok Son,Elizabeth J Pekas,Ahmed M Wafi,Juan Hong,Peng Xiao,Chittibabu Guda,Han-Jun Wang,Harold D Schultz,Irving H Zucker
View all publications

Product promise

We are committed to supporting your work with high-quality reagents, and we're here for you every step of the way. In the unlikely event that one of our products does not perform as expected, you're protected by our Product Promise.
For full details, please see our Terms & Conditions

Please note: All products are 'FOR RESEARCH USE ONLY. NOT FOR USE IN DIAGNOSTIC OR THERAPEUTIC PROCEDURES'.

For licensing inquiries, please contact partnerships@abcam.com