JavaScript is disabled in your browser. Please enable JavaScript to view this website.
AB52759

Anti-GSTK1 antibody [EP1938Y]

Be the first to review this product! Submit a review

|

(2 Publications)

Rabbit Recombinant Monoclonal GSTK1 antibody. Suitable for IHC-P, ICC/IF, IP, WB and reacts with Human samples. Cited in 2 publications.

View Alternative Names

HDCMD47P, GSTK1, Glutathione S-transferase kappa 1, GST 13-13, GST class-kappa, GSTK1-1, Glutathione S-transferase subunit 13, hGSTK1

5 Images
Western blot - Anti-GSTK1 antibody [EP1938Y] (AB52759)
  • WB

Lab

Western blot - Anti-GSTK1 antibody [EP1938Y] (AB52759)

Lanes 1-4 : Merged signal (red and green). Green - ab52759 observed at 27 kDa. Red - loading control ab8245 observed at 36 kDa.

ab52759 Anti-GSTK1 antibody [EP1938Y] was shown to specifically react with GSTK1 in wild-type HEK293T cells. Loss of signal was observed when knockout cell line ab266112 (knockout cell lysate ab257461) was used. Wild-type and GSTK1 knockout samples were subjected to SDS-PAGE. ab52759 and Anti-GAPDH antibody [6C5] - Loading Control (ab8245) were incubated at room temperature for 2. 5 hours at 1 in 1000 dilution and 1 in 20000 dilution respectively. Blots were developed with Goat anti-Rabbit IgG H&L (IRDye® 800CW) preadsorbed (ab216773) and Goat anti-Mouse IgG H&L (IRDye® 680RD) preadsorbed (ab216776) secondary antibodies at 1 in 20000 dilution for 1 hour at room temperature before imaging.

All lanes:

Western blot - Anti-GSTK1 antibody [EP1938Y] (ab52759) at 1/1000 dilution

Lane 1:

Wild-type HEK293T cell lysate at 20 µg

Lane 2:

GSTK1 knockout HEK293T cell lysate at 20 µg

Lane 2:

Western blot - Human GSTK1 knockout HEK-293T cell line (<a href='/en-us/products/cell-lines/human-gstk1-knockout-hek-293t-cell-line-ab266112'>ab266112</a>)

Lane 3:

HeLa cell lysate at 20 µg

Lane 4:

Daudi cell lysate at 20 µg

Secondary

All lanes:

Western blot - Goat anti-Rabbit IgG H&L (IRDye® 800CW) preadsorbed (<a href='/en-us/products/secondary-antibodies/goat-rabbit-igg-h-l-irdye-800cw-preadsorbed-ab216773'>ab216773</a>) at 1/10000 dilution

Predicted band size: 25 kDa

Observed band size: 27 kDa

false

Immunocytochemistry/ Immunofluorescence - Anti-GSTK1 antibody [EP1938Y] (AB52759)
  • ICC/IF

Unknown

Immunocytochemistry/ Immunofluorescence - Anti-GSTK1 antibody [EP1938Y] (AB52759)

Immunocytochemistry analysis of A549 (human lung carcinoma epithelial cell) labeling GSTK1 with purified ab52759 at 1/100 dilution (10 µg/ml). Cells were fixed with 4% Paraformaldehyde and permeabilised with 0.1% tritonX-100. Goat anti rabbit IgG (Alexa Fluor® 488, ab150077) at 1/1000 (2 µg/ml) was used as the secondary antibody. ab195889 Anti-alpha Tubulin antibody [DM1A] - Microtubule Marker (Alexa Fluor® 594) 1/200 (2.13 µg/ml) was used as counterstain. Nuclei were stained blue with DAPI.
Negative control : PBS instead of the primary antibody.

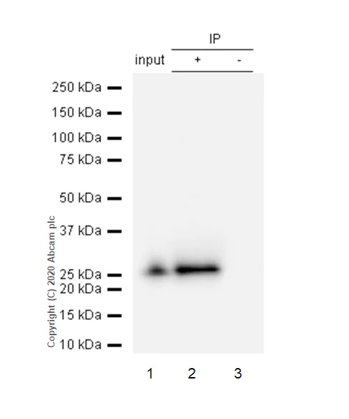
Immunoprecipitation - Anti-GSTK1 antibody [EP1938Y] (AB52759)
  • IP

Lab

Immunoprecipitation - Anti-GSTK1 antibody [EP1938Y] (AB52759)

Purified ab52759 at 1/50 dilution (2μg) immunoprecipitating GSTK1 in Human heart lysate.
Lane 1 (input) : Human heart lysate 10μg
Lane 2 (+) : ab52759 + Human heart lysate.
Lane 3 (-) : Rabbit monoclonal IgG (ab172730) instead of ab52759 in Human heart lysate.
VeriBlot for IP Detection Reagent (HRP) (ab131366) (1/1000 dilution) was used for Western blotting.
Blocking Buffer and concentration : 5% NFDM/TBST.
Diluting buffer and concentration : 5% NFDM/TBST.
Observed band size : 25 kDa

All lanes:

Immunoprecipitation - Anti-GSTK1 antibody [EP1938Y] (ab52759)

Predicted band size: 25 kDa

false

Immunohistochemistry (Formalin/PFA-fixed paraffin-embedded sections) - Anti-GSTK1 antibody [EP1938Y] (AB52759)
  • IHC-P

Unknown

Immunohistochemistry (Formalin/PFA-fixed paraffin-embedded sections) - Anti-GSTK1 antibody [EP1938Y] (AB52759)

Immunohistochemical staining of paraffin-embedded human liver using ab52759 at a 1 : 100 dilution.

Perform heat mediated antigen retrieval with citrate buffer pH 6 before commencing with IHC staining protocol.

Western blot - Anti-GSTK1 antibody [EP1938Y] (AB52759)
  • WB

Unknown

Western blot - Anti-GSTK1 antibody [EP1938Y] (AB52759)

All lanes:

Western blot - Anti-GSTK1 antibody [EP1938Y] (ab52759) at 1/5000 dilution

All lanes:

Fetal liver lysate at 10 µg

Secondary

All lanes:

Goat anti-rabbit HRP labeled at 1/2000 dilution

Predicted band size: 25 kDa

Observed band size: 25 kDa

false

  • Carrier free

    Anti-GSTK1 antibody [EP1938Y] - BSA and Azide free

Key facts

Host species

Rabbit

Clonality

Monoclonal

Clone number

EP1938Y

Isotype

IgG

Carrier free

No

Reacts with

Human

Applications

IHC-P, ICC/IF, IP, WB

applications

Immunogen

The exact immunogen used to generate this antibody is proprietary information.

Reactivity data

{ "title": "Reactivity Data", "filters": { "stats": ["", "Species", "Dilution Info", "Notes"], "tabs": { "all-applications": {"fullname" : "All Applications", "shortname": "All Applications"}, "IHCP" : {"fullname" : "Immunohistochemistry (Formalin/PFA-fixed paraffin-embedded sections)", "shortname":"IHC-P"}, "ICCIF" : {"fullname" : "Immunocytochemistry/ Immunofluorescence", "shortname":"ICC/IF"}, "IP" : {"fullname" : "Immunoprecipitation", "shortname":"IP"}, "FlowCyt" : {"fullname" : "Flow Cytometry", "shortname":"Flow Cyt"}, "WB" : {"fullname" : "Western blot", "shortname":"WB"} }, "product-promise": { "all": "all", "testedAndGuaranteed": "tested", "guaranteed": "expected", "predicted": "predicted", "notRecommended": "not-recommended" } }, "values": { "Human": { "IHCP-species-checked": "testedAndGuaranteed", "IHCP-species-dilution-info": "", "IHCP-species-notes": "<p></p> Perform heat-mediated antigen retrieval with citrate buffer pH 6 before commencing with IHC staining protocol.", "ICCIF-species-checked": "testedAndGuaranteed", "ICCIF-species-dilution-info": "1/100 - 1/250", "ICCIF-species-notes": "<p></p>", "IP-species-checked": "testedAndGuaranteed", "IP-species-dilution-info": "1/50", "IP-species-notes": "<p></p>", "FlowCyt-species-checked": "notRecommended", "FlowCyt-species-dilution-info": "", "FlowCyt-species-notes": "<p></p>", "WB-species-checked": "testedAndGuaranteed", "WB-species-dilution-info": "1/1000 - 1/10000", "WB-species-notes": "<p></p>" } } }

Product details

Species reactivity
Mouse, Rat: We have preliminary internal testing data to indicate this antibody may not react with these species.
Please contact us for more information.

Patented technology
Our RabMAb® technology is a patented hybridoma-based technology for making rabbit monoclonal antibodies. For details on our patents, please refer to RabMAb® patents.

What are the advantages of a recombinant monoclonal antibody?
This product is a recombinant monoclonal antibody, which offers several advantages including:

  • - High batch-to-batch consistency and reproducibility
  • - Improved sensitivity and specificity
  • - Long-term security of supply
  • - Animal-free batch production

For more information, read more on recombinant antibodies.

Properties and storage information

Form
Liquid
Purification technique
Affinity purification Protein A
Storage buffer
pH: 7.2 - 7.4 Preservative: 0.05% Sodium azide Constituents: 50% Tissue culture supernatant, 40% Glycerol (glycerin, glycerine), 9.85% Tris glycine, 0.1% BSA
Shipped at conditions
Blue Ice
Appropriate short-term storage conditions
+4°C
Appropriate long-term storage conditions
-20°C
Storage information
Stable for 12 months at -20°C

Supplementary information

This supplementary information is collated from multiple sources and compiled automatically.

GSTK1 also known as Glutathione S-transferase kappa 1 is an enzyme with a mass of approximately 26 kDa. This protein belongs to the glutathione S-transferase family which plays a significant role in detoxification processes through conjugation reactions. GSTK1 displays a broad tissue expression with abundant presence in liver and kidneys as well as other tissues which facilitates its involvement in protecting cells from oxidative stress and chemical damage.
Biological function summary

GSTK1 is part of the cellular defense mechanism against xenobiotic and oxidative stress. This enzyme participates in the neutralization of harmful compounds by facilitating their conjugation with glutathione a powerful antioxidant. GSTK1 functions independently and does not form part of a larger protein complex. Its activity is important in maintaining cellular homeostasis and preventing damage caused by reactive oxygen species.

Pathways

GSTK1 has critical involvement in glutathione metabolism and xenobiotic detoxification pathways. It interacts functionally with proteins like GSTM1 which are also part of the glutathione S-transferase family enhancing the cell’s ability to detoxify harmful substances. GSTK1 helps to modulate the cellular response to oxidative stress through these pathways ensuring protection against toxicity.

GSTK1 has been linked to conditions including cancer and liver diseases. Its detoxification role makes GSTK1 significant in cancer biology where its expression levels may influence tumor resistance to chemotherapy. Additionally GSTK1 has connections with other glutathione S-transferases like GSTP1 which have associations with similar disorders affecting cellular protection mechanisms.

Product protocols

For this product, it's our understanding that no specific protocols are required. You can visit:

Target data

Glutathione S-transferase that catalyzes the conjugation of glutathione to exogenous and endogenous compounds (PubMed : 14709161, PubMed : 14742434). Significant glutathione conjugating activity is found only with the model substrate, 1-chloro-2,4-dinitrobenzene (CDNB) (PubMed : 14709161).
See full target information GSTK1

Publications (2)

Recent publications for all applications. Explore the full list and refine your search

Environmental toxicology and chemistry 37:2098-2111 PubMed29630745

2018

Toxicological and chemical studies of wastewater from hydraulic fracture and conventional shale gas wells.

Applications

Unspecified application

Species

Unspecified reactive species

L M Crosby,Calin A Tatu,Matthew Varonka,Kaylene M Charles,William H Orem

Ecotoxicology and environmental safety 78:170-7 PubMed22153302

2011

Early cytotoxic and genotoxic effects of atrazine on Wistar rat liver: a morphological, immunohistochemical, biochemical, and molecular study.

Applications

IHC-FoFr

Species

Unspecified reactive species

Franco D Campos-Pereira,Camila A Oliveira,Acácio A Pigoso,Elaine C M Silva-Zacarin,Renata Barbieri,Erika F Spatti,Maria A Marin-Morales,Grasiela D C Severi-Aguiar
View all publications

Product promise

We are committed to supporting your work with high-quality reagents, and we're here for you every step of the way. In the unlikely event that one of our products does not perform as expected, you're protected by our Product Promise.
For full details, please see our Terms & Conditions

Associated Products

Select an associated product type
Alternative Product
Primary Antibodies

AB134173

Anti-GSTK1 antibody [EPR1939]

primary-antibodies

gstk1-antibody-epr1939-ab134173

0

(0 reviews)

Alternative Product
Primary Antibodies

AB155407

Anti-GSTK1 antibody

primary-antibodies

gstk1-antibody-ab155407

0

(0 reviews)

Please note: All products are 'FOR RESEARCH USE ONLY. NOT FOR USE IN DIAGNOSTIC OR THERAPEUTIC PROCEDURES'.

For licensing inquiries, please contact partnerships@abcam.com