JavaScript is disabled in your browser. Please enable JavaScript to view this website.
AB250907

Anti-GTF2E2 antibody [EPR14929] - BSA and Azide free

Be the first to review this product! Submit a review

|

(0 Publication)

Rabbit Recombinant Monoclonal GTF2E2 antibody. Carrier free. Suitable for ICC/IF, IP, WB, IHC-P and reacts with Human, Mouse, Rat samples.

View Alternative Names

TF2E2, GTF2E2, Transcription initiation factor IIE subunit beta, TFIIE-beta, General transcription factor IIE subunit 2

6 Images
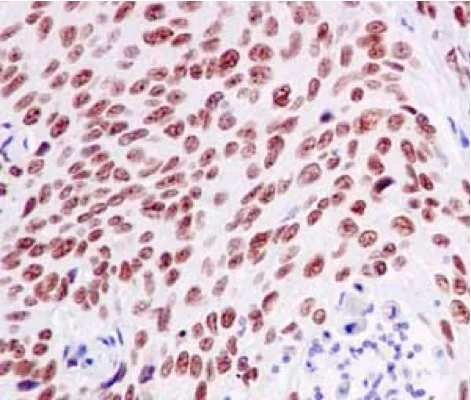
Immunohistochemistry (Formalin/PFA-fixed paraffin-embedded sections) - Anti-GTF2E2 antibody [EPR14929] - BSA and Azide free (AB250907)
  • IHC-P

Supplier Data

Immunohistochemistry (Formalin/PFA-fixed paraffin-embedded sections) - Anti-GTF2E2 antibody [EPR14929] - BSA and Azide free (AB250907)

This data was developed using ab187143, the same antibody clone in a different buffer formulation.

Immunohistochemical analysis of paraffin embedded Human cervix carcinoma tissue labeling GTF2E2 with ab187143 at 1/250 with prediluted HRP Polymer for Rabbit IgG as a secondary antibody.

Perform heat mediated antigen retrieval with EDTA buffer pH 9 before commencing with IHC staining protocol.

Immunocytochemistry/ Immunofluorescence - Anti-GTF2E2 antibody [EPR14929] - BSA and Azide free (AB250907)
  • ICC/IF

Supplier Data

Immunocytochemistry/ Immunofluorescence - Anti-GTF2E2 antibody [EPR14929] - BSA and Azide free (AB250907)

This data was developed using ab187143, the same antibody clone in a different buffer formulation.

Immunofluorescent analysis of 293T cells labeling GTF2E2 with ab187143 at 1/250 and DAPI staining (blue).

Western blot - Anti-GTF2E2 antibody [EPR14929] - BSA and Azide free (AB250907)
  • WB

Supplier Data

Western blot - Anti-GTF2E2 antibody [EPR14929] - BSA and Azide free (AB250907)

This data was developed using ab187143, the same antibody clone in a different buffer formulation.

All lanes:

Western blot - Anti-GTF2E2 antibody [EPR14929] (<a href='/en-us/products/primary-antibodies/gtf2e2-antibody-epr14929-ab187143'>ab187143</a>) at 1/10000 dilution

Lane 1:

K562 lysate at 20 µg

Lane 2:

Jurkat lysate at 20 µg

Lane 3:

293T lysate at 20 µg

Secondary

All lanes:

Goat Anti-Rabbit IgG, (H+L), Peroxidase conjugated at 1/1000 dilution

Predicted band size: 33 kDa

Observed band size: 33 kDa

false

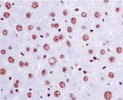
Immunohistochemistry (Formalin/PFA-fixed paraffin-embedded sections) - Anti-GTF2E2 antibody [EPR14929] - BSA and Azide free (AB250907)
  • IHC-P

Supplier Data

Immunohistochemistry (Formalin/PFA-fixed paraffin-embedded sections) - Anti-GTF2E2 antibody [EPR14929] - BSA and Azide free (AB250907)

This data was developed using ab187143, the same antibody clone in a different buffer formulation.

Immunohistochemical analysis of paraffin embedded Mouse liver tissue labeling GTF2E2 with ab187143 at 1/250 with a prediluted HRP Polymer for Rabbit IgG as a secondary antibody.

Perform heat mediated antigen retrieval with EDTA buffer pH 9 before commencing with IHC staining protocol.

Immunoprecipitation - Anti-GTF2E2 antibody [EPR14929] - BSA and Azide free (AB250907)
  • IP

Supplier Data

Immunoprecipitation - Anti-GTF2E2 antibody [EPR14929] - BSA and Azide free (AB250907)

This data was developed using ab187143&44; the same antibody clone in a different buffer formulation.

Immunoprecipitation. ab187143 at 1/50 labeling GTF2E2 immunoprecipitated from Jurkat cell lysate using ab187143 at 1/30.

All lanes:

Immunoprecipitation - Anti-GTF2E2 antibody [EPR14929] (<a href='/en-us/products/primary-antibodies/gtf2e2-antibody-epr14929-ab187143'>ab187143</a>)

Predicted band size: 33 kDa

Observed band size: 33 kDa

false

Western blot - Anti-GTF2E2 antibody [EPR14929] - BSA and Azide free (AB250907)
  • WB

Supplier Data

Western blot - Anti-GTF2E2 antibody [EPR14929] - BSA and Azide free (AB250907)

This data was developed using ab187143, the same antibody clone in a different buffer formulation.

All lanes:

Western blot - Anti-GTF2E2 antibody [EPR14929] (<a href='/en-us/products/primary-antibodies/gtf2e2-antibody-epr14929-ab187143'>ab187143</a>) at 1/1000 dilution

Lanes 1 and 3:

Mouse heart tissue lysate at 10 µg

Lane 2:

Rat brain tissue lysate at 10 µg

Secondary

All lanes:

Goat Anti-Rabbit IgG, (H+L), Peroxidase conjugated at 1/1000 dilution

Predicted band size: 33 kDa

Observed band size: 33 kDa

false

Key facts

Host species

Rabbit

Clonality

Monoclonal

Clone number

EPR14929

Isotype

IgG

Carrier free

Yes

Reacts with

Mouse, Rat, Human

Applications

IP, IHC-P, ICC/IF, WB

applications

Immunogen

The exact immunogen used to generate this antibody is proprietary information.

Reactivity data

{ "title": "Reactivity Data", "filters": { "stats": ["", "Species", "Dilution Info", "Notes"], "tabs": { "all-applications": {"fullname" : "All Applications", "shortname": "All Applications"}, "ICCIF" : {"fullname" : "Immunocytochemistry/ Immunofluorescence", "shortname":"ICC/IF"}, "IP" : {"fullname" : "Immunoprecipitation", "shortname":"IP"}, "WB" : {"fullname" : "Western blot", "shortname":"WB"}, "IHCP" : {"fullname" : "Immunohistochemistry (Formalin/PFA-fixed paraffin-embedded sections)", "shortname":"IHC-P"} }, "product-promise": { "all": "all", "testedAndGuaranteed": "tested", "guaranteed": "expected", "predicted": "predicted", "notRecommended": "not-recommended" } }, "values": { "Human": { "ICCIF-species-checked": "testedAndGuaranteed", "ICCIF-species-dilution-info": "", "ICCIF-species-notes": "<p></p> Perform heat-mediated antigen retrieval with Tris/EDTA buffer pH 9.0 before commencing with IHC staining protocol.", "IP-species-checked": "testedAndGuaranteed", "IP-species-dilution-info": "", "IP-species-notes": "<p></p> Perform heat-mediated antigen retrieval with Tris/EDTA buffer pH 9.0 before commencing with IHC staining protocol.", "WB-species-checked": "testedAndGuaranteed", "WB-species-dilution-info": "", "WB-species-notes": "<p></p>", "IHCP-species-checked": "testedAndGuaranteed", "IHCP-species-dilution-info": "", "IHCP-species-notes": "<p></p> Perform heat-mediated antigen retrieval with Tris/EDTA buffer pH 9.0 before commencing with IHC staining protocol." }, "Mouse": { "ICCIF-species-checked": "guaranteed", "ICCIF-species-dilution-info": "", "ICCIF-species-notes": "", "IP-species-checked": "guaranteed", "IP-species-dilution-info": "", "IP-species-notes": "", "WB-species-checked": "testedAndGuaranteed", "WB-species-dilution-info": "", "WB-species-notes": "<p></p>", "IHCP-species-checked": "testedAndGuaranteed", "IHCP-species-dilution-info": "", "IHCP-species-notes": "<p></p> Perform heat-mediated antigen retrieval with Tris/EDTA buffer pH 9.0 before commencing with IHC staining protocol." }, "Rat": { "ICCIF-species-checked": "guaranteed", "ICCIF-species-dilution-info": "", "ICCIF-species-notes": "", "IP-species-checked": "guaranteed", "IP-species-dilution-info": "", "IP-species-notes": "", "WB-species-checked": "testedAndGuaranteed", "WB-species-dilution-info": "", "WB-species-notes": "<p></p>", "IHCP-species-checked": "guaranteed", "IHCP-species-dilution-info": "", "IHCP-species-notes": "" } } }

Product details

ab250907 is the carrier-free version of ab187143.

Patented technology
Our RabMAb® technology is a patented hybridoma-based technology for making rabbit monoclonal antibodies. For details on our patents, please refer to RabMAb® patents.

What are the advantages of a recombinant monoclonal antibody?
This product is a recombinant monoclonal antibody, which offers several advantages including:

  • - High batch-to-batch consistency and reproducibility
  • - Improved sensitivity and specificity
  • - Long-term security of supply
  • - Animal-free batch production

For more information, read more on recombinant antibodies.

Conjugation ready
Our carrier-free antibodies are typically supplied in a PBS-only formulation, purified and free of BSA, sodium azide and glycerol. This conjugation-ready format is designed for use with fluorochromes, metal isotopes, oligonucleotides, and enzymes, which makes them ideal for antibody labelling, functional and cell-based assays, flow-based assays (e.g. mass cytometry) and Multiplex Imaging applications.

Use our conjugation kits for antibody conjugates that are ready-to-use in as little as 20 minutes with 1 minute hands-on-time and 100% antibody recovery: available for fluorescent dyes, HRP, biotin and gold.

Compatibility
This product is compatible with the Maxpar® Antibody Labeling Kit from Fluidigm, without the need for antibody preparation. Maxpar® is a trademark of Fluidigm Canada Inc.

Properties and storage information

Form
Liquid
Purification technique
Affinity purification Protein A
Storage buffer
pH: 7.2 - 7.4 Constituents: PBS
Shipped at conditions
Blue Ice
Appropriate short-term storage conditions
+4°C
Appropriate long-term storage conditions
+4°C
Storage information
Do Not Freeze

Supplementary information

This supplementary information is collated from multiple sources and compiled automatically.

The target GTF2E2 also known as General Transcription Factor IIE Subunit 2 participates in the initiation of transcription by RNA polymerase II. It plays an important role in the formation of the transcription initiation complex. The protein has a molecular mass of approximately 32 kDa. GTF2E2 is expressed in various tissues with significant expression detected in the human heart and skeletal muscle.
Biological function summary

GTF2E2 interacts with other general transcription factors to promote the assembly of the pre-initiation complex. It forms a part of the TFIIE complex with another subunit TFIIE α. This complex is significant for transcription initiation as it helps in opening the DNA double helix. Its activity influences gene expression regulation and is important for directing RNA polymerase II to specific promoter sites.

Pathways

The protein is involved in the RNA polymerase II transcription initiation pathway a critical step for mRNA synthesis. Additionally it affects the regulation of the p53 signaling pathway often interacting with proteins like TFIIH and TBP. The association with these pathways highlights its role in maintaining the gene expression safety and responding to cellular stress signals.

Altered expression of GTF2E2 correlates with cancer and developmental disorders. Its dysfunction might lead to malformed transcription initiation influencing oncogenic pathways. Mutations or misregulation can affect the stability of the transcription machinery potentially linking it to the BRCA1 protein in breast cancer further highlighting the need for precise transcription control.

Product protocols

For this product, it's our understanding that no specific protocols are required. You can visit:

Target data

Recruits TFIIH to the initiation complex and stimulates the RNA polymerase II C-terminal domain kinase and DNA-dependent ATPase activities of TFIIH. Both TFIIH and TFIIE are required for promoter clearance by RNA polymerase.
See full target information GTF2E2

Product promise

We are committed to supporting your work with high-quality reagents, and we're here for you every step of the way. In the unlikely event that one of our products does not perform as expected, you're protected by our Product Promise.
For full details, please see our Terms & Conditions

Please note: All products are 'FOR RESEARCH USE ONLY. NOT FOR USE IN DIAGNOSTIC OR THERAPEUTIC PROCEDURES'.

For licensing inquiries, please contact partnerships@abcam.com